JavaScript is disabled in your browser. Please enable JavaScript to view this website.
AB92698

Anti-SMAD1 + SMAD5 + SMAD9 (phospho S463 + S465 + S467) antibody [MMC-1-104-3]

4

(2 Reviews)

|

(57 Publications)

Rabbit Recombinant Monoclonal SMAD1 + SMAD5 + SMAD9 phospho S463 + S465 + S467 antibody. Suitable for IHC-P, Dot, WB and reacts with Mouse, Rat, Human, Synthetic peptide samples. Cited in 47 publications.

View Alternative Names

MADH5, SMAD5, Mothers against decapentaplegic homolog 5, MAD homolog 5, Mothers against DPP homolog 5, JV5-1, SMAD family member 5, SMAD 5, Smad5, hSmad5

12 Images
Immunohistochemistry (Formalin/PFA-fixed paraffin-embedded sections) - Anti-SMAD1 + SMAD5 + SMAD9 (phospho S463 + S465 + S467) antibody [MMC-1-104-3] (AB92698)
  • IHC-P

Unknown

Immunohistochemistry (Formalin/PFA-fixed paraffin-embedded sections) - Anti-SMAD1 + SMAD5 + SMAD9 (phospho S463 + S465 + S467) antibody [MMC-1-104-3] (AB92698)

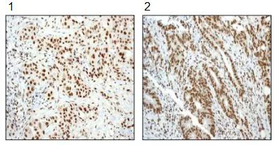
Immunohistochemistry (Formalin/PFA-fixed paraffin-embedded sections) analysis of (1) human breast carcinoma and (2) human colonic carcinoma tissues labelling SMAD5 (phospho S463 + P465) with unpurified ab92698 at a dilution of 1/100.

Perform heat mediated antigen retrieval before commencing with IHC staining protocol.

Immunohistochemistry (Formalin/PFA-fixed paraffin-embedded sections) - Anti-SMAD1 + SMAD5 + SMAD9 (phospho S463 + S465 + S467) antibody [MMC-1-104-3] (AB92698)
  • IHC-P

Unknown

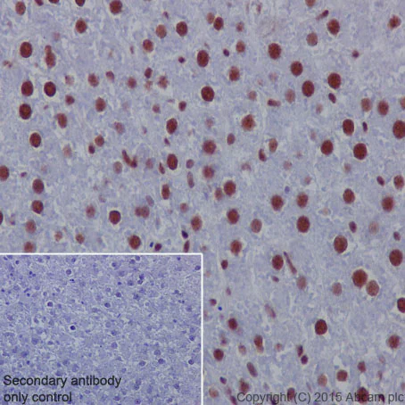
Immunohistochemistry (Formalin/PFA-fixed paraffin-embedded sections) - Anti-SMAD1 + SMAD5 + SMAD9 (phospho S463 + S465 + S467) antibody [MMC-1-104-3] (AB92698)

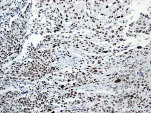
Immunohistochemistry (Formalin/PFA-fixed paraffin-embedded sections) analysis of human glioma tissue labelling SMAD5 (phospho S463 + S465) with unpurified ab92698.

Perform heat mediated antigen retrieval before commencing with IHC staining protocol.

Immunohistochemistry (Formalin/PFA-fixed paraffin-embedded sections) - Anti-SMAD1 + SMAD5 + SMAD9 (phospho S463 + S465 + S467) antibody [MMC-1-104-3] (AB92698)
  • IHC-P

Unknown

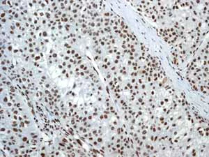
Immunohistochemistry (Formalin/PFA-fixed paraffin-embedded sections) - Anti-SMAD1 + SMAD5 + SMAD9 (phospho S463 + S465 + S467) antibody [MMC-1-104-3] (AB92698)

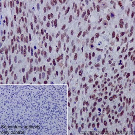
Immunohistochemistry (Formalin/PFA-fixed paraffin-embedded sections) analysis of human cervical carcinoma tissue labelling SMAD5 (phospho S463 + S465) with purified ab92698 at a dilution of 1/800. Heat mediated antigen retrieval was performed using Tris/EDTA buffer pH 9. ab97051, a HRP-conjugated goat anti-rabbit IgG (H+L) was used as the secondary antibody (1/500). Negative control using PBS instead of primary antibody. Counterstained with hematoxylin.

Immunohistochemistry (Formalin/PFA-fixed paraffin-embedded sections) - Anti-SMAD1 + SMAD5 + SMAD9 (phospho S463 + S465 + S467) antibody [MMC-1-104-3] (AB92698)
  • IHC-P

Unknown

Immunohistochemistry (Formalin/PFA-fixed paraffin-embedded sections) - Anti-SMAD1 + SMAD5 + SMAD9 (phospho S463 + S465 + S467) antibody [MMC-1-104-3] (AB92698)

Immunohistochemistry (Formalin/PFA-fixed paraffin-embedded sections) analysis of human cervical carcinoma tissue labelling SMAD5 (phospho S463 + S465) with unpurified ab92698.

Perform heat mediated antigen retrieval before commencing with IHC staining protocol.

Immunohistochemistry (Formalin/PFA-fixed paraffin-embedded sections) - Anti-SMAD1 + SMAD5 + SMAD9 (phospho S463 + S465 + S467) antibody [MMC-1-104-3] (AB92698)
  • IHC-P

Unknown

Immunohistochemistry (Formalin/PFA-fixed paraffin-embedded sections) - Anti-SMAD1 + SMAD5 + SMAD9 (phospho S463 + S465 + S467) antibody [MMC-1-104-3] (AB92698)

Immunohistochemistry (Formalin/PFA-fixed paraffin-embedded sections) analysis of normal human tonsil tissue labelling SMAD5 (phospho S463 + S465) with unpurified ab92698.

Perform heat mediated antigen retrieval before commencing with IHC staining protocol.

Immunohistochemistry (Formalin/PFA-fixed paraffin-embedded sections) - Anti-SMAD1 + SMAD5 + SMAD9 (phospho S463 + S465 + S467) antibody [MMC-1-104-3] (AB92698)
  • IHC-P

Unknown

Immunohistochemistry (Formalin/PFA-fixed paraffin-embedded sections) - Anti-SMAD1 + SMAD5 + SMAD9 (phospho S463 + S465 + S467) antibody [MMC-1-104-3] (AB92698)

Immunohistochemistry (Formalin/PFA-fixed paraffin-embedded sections) analysis of human hepatocellular carcinoma tissue labelling SMAD5 (phospho S463 + S465) with unpurified ab92698.

Perform heat mediated antigen retrieval before commencing with IHC staining protocol.

Immunohistochemistry (Formalin/PFA-fixed paraffin-embedded sections) - Anti-SMAD1 + SMAD5 + SMAD9 (phospho S463 + S465 + S467) antibody [MMC-1-104-3] (AB92698)
  • IHC-P

Unknown

Immunohistochemistry (Formalin/PFA-fixed paraffin-embedded sections) - Anti-SMAD1 + SMAD5 + SMAD9 (phospho S463 + S465 + S467) antibody [MMC-1-104-3] (AB92698)

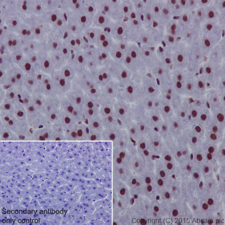
Immunohistochemistry (Formalin/PFA-fixed paraffin-embedded sections) analysis of rat liver tissue labelling SMAD5 (phospho S463 + S465) with purified ab92698 at a dilution of 1/800. Heat mediated antigen retrieval was performed using Tris/EDTA buffer pH 9. ab97051, a HRP-conjugated goat anti-rabbit IgG (H+L) was used as the secondary antibody (1/500). Negative control using PBS instead of primary antibody. Counterstained with hematoxylin.

Immunohistochemistry (Formalin/PFA-fixed paraffin-embedded sections) - Anti-SMAD1 + SMAD5 + SMAD9 (phospho S463 + S465 + S467) antibody [MMC-1-104-3] (AB92698)
  • IHC-P

Unknown

Immunohistochemistry (Formalin/PFA-fixed paraffin-embedded sections) - Anti-SMAD1 + SMAD5 + SMAD9 (phospho S463 + S465 + S467) antibody [MMC-1-104-3] (AB92698)

Immunohistochemistry (Formalin/PFA-fixed paraffin-embedded sections) analysis of mouse liver tissue labelling SMAD5 (phospho S463 + S465) with purified ab92698 at a dilution of 1/800. Heat mediated antigen retrieval was performed using Tris/EDTA buffer pH 9. ab97051, a HRP-conjugated goat anti-rabbit IgG (H+L) was used as the secondary antibody (1/500). Negative control using PBS instead of primary antibody. Counterstained with hematoxylin.

Western blot - Anti-SMAD1 + SMAD5 + SMAD9 (phospho S463 + S465 + S467) antibody [MMC-1-104-3] (AB92698)
  • WB

Lab

Western blot - Anti-SMAD1 + SMAD5 + SMAD9 (phospho S463 + S465 + S467) antibody [MMC-1-104-3] (AB92698)

Blocking and dilution buffer : 5% NFDM /TBST.

All lanes:

Western blot - Anti-SMAD1 + SMAD5 + SMAD9 (phospho S463 + S465 + S467) antibody [MMC-1-104-3] (ab92698) at 1/10000 dilution

Lane 1:

HeLa whole cell lysate - untreated at 10 µg

Lane 2:

HeLa whole cell lysate - treated with Bone Morphogenetic protein-4 at 10 µg

Secondary

All lanes:

Western blot - Goat Anti-Rabbit IgG H&L (HRP) (<a href='/en-us/products/secondary-antibodies/goat-rabbit-igg-h-l-hrp-ab97051'>ab97051</a>) at 1/10000 dilution

Observed band size: 58 kDa

false

Western blot - Anti-SMAD1 + SMAD5 + SMAD9 (phospho S463 + S465 + S467) antibody [MMC-1-104-3] (AB92698)
  • WB

Lab

Western blot - Anti-SMAD1 + SMAD5 + SMAD9 (phospho S463 + S465 + S467) antibody [MMC-1-104-3] (AB92698)

Blocking and dilution buffer : 5% NFDM/TBST.

All lanes:

Western blot - Anti-SMAD1 + SMAD5 + SMAD9 (phospho S463 + S465 + S467) antibody [MMC-1-104-3] (ab92698) at 1/10000 dilution

Lane 1:

Untreated HeLa (human cervix adenocarcinoma) whole cell lysates 20μg

Lane 2:

HeLa (human cervix adenocarcinoma) treated with Bone Morphogenetic Protein-4 (BMP-4) whole cell lysates 20μg

Lane 3:

HeLa (human cervix adenocarcinoma) treated with Bone Morphogenetic Protein-4 (BMP-4) and phosphatase, whole cell lysates 20μg.

Secondary

All lanes:

Western blot - Goat Anti-Rabbit IgG H&L (HRP) (<a href='/en-us/products/secondary-antibodies/goat-rabbit-igg-h-l-hrp-ab97051'>ab97051</a>) at 1/20000 dilution

Observed band size: 58 kDa

false

Exposure time: 30s

Western blot - Anti-SMAD1 + SMAD5 + SMAD9 (phospho S463 + S465 + S467) antibody [MMC-1-104-3] (AB92698)
  • WB

Lab

Western blot - Anti-SMAD1 + SMAD5 + SMAD9 (phospho S463 + S465 + S467) antibody [MMC-1-104-3] (AB92698)

Blocking and dilution buffer : 5% NFDM /TBST.

All lanes:

Western blot - Anti-SMAD1 + SMAD5 + SMAD9 (phospho S463 + S465 + S467) antibody [MMC-1-104-3] (ab92698) at 1/5000 dilution

Lane 1:

Mouse brain tissue lysate at 10 µg

Lane 2:

Rat brain tissue lysate at 10 µg

Secondary

All lanes:

Western blot - Goat Anti-Rabbit IgG H&L (HRP) (<a href='/en-us/products/secondary-antibodies/goat-rabbit-igg-h-l-hrp-ab97051'>ab97051</a>) at 1/20000 dilution

Observed band size: 58 kDa

false

Dot Blot - Anti-SMAD1 + SMAD5 + SMAD9 (phospho S463 + S465 + S467) antibody [MMC-1-104-3] (AB92698)
  • Dot

Unknown

Dot Blot - Anti-SMAD1 + SMAD5 + SMAD9 (phospho S463 + S465 + S467) antibody [MMC-1-104-3] (AB92698)

Dot blot analysis of SMAD5 (pS463 + pS465) peptide (Lane 1), SMAD5 (pS465) peptide (Lane 2), SMAD5 (pS463) peptide (Lane 3) and SMAD5 non-phospho peptide (Lane 4) labelling SMAD5 (pS465) with purified ab92698 at a dilution of 1/1000. ab97051 (Peroxidase conjugated goat anti-rabbit IgG (H+L)) was used as the secondary antibody at a dilution of 1/100000.

Blocking and dilution buffer : 5% NFDM/TBST.

Exposure time : 3 minutes.

Key facts

Host species

Rabbit

Clonality

Monoclonal

Clone number

MMC-1-104-3

Isotype

IgG

Carrier free

No

Reacts with

Mouse, Rat, Human

Applications

WB, Dot, IHC-P

applications

Immunogen

The exact immunogen used to generate this antibody is proprietary information.

Specificity

This antibody may cross-react with Smad1 Phospho (pS463/465) and Smad9 Phospho (pS465/467).
Stimulation may be required to allow detection of the phosphorylated protein.&nbsp; Please see images below for recommended treatment conditions and positive controls.

Reactivity data

{ "title": "Reactivity Data", "filters": { "stats": ["", "Species", "Dilution Info", "Notes"], "tabs": { "all-applications": {"fullname" : "All Applications", "shortname": "All Applications"}, "IHCP" : {"fullname" : "Immunohistochemistry (Formalin/PFA-fixed paraffin-embedded sections)", "shortname":"IHC-P"}, "FlowCyt" : {"fullname" : "Flow Cytometry", "shortname":"Flow Cyt"}, "Dot" : {"fullname" : "Dot Blot", "shortname":"Dot"}, "WB" : {"fullname" : "Western blot", "shortname":"WB"}, "ICCIF" : {"fullname" : "Immunocytochemistry/ Immunofluorescence", "shortname":"ICC/IF"} }, "product-promise": { "all": "all", "testedAndGuaranteed": "tested", "guaranteed": "expected", "predicted": "predicted", "notRecommended": "not-recommended" } }, "values": { "Human": { "IHCP-species-checked": "testedAndGuaranteed", "IHCP-species-dilution-info": "1/100 - 1/800", "IHCP-species-notes": "<p></p>", "FlowCyt-species-checked": "notRecommended", "FlowCyt-species-dilution-info": "", "FlowCyt-species-notes": "<p></p>", "Dot-species-checked": "guaranteed", "Dot-species-dilution-info": "", "Dot-species-notes": "", "WB-species-checked": "testedAndGuaranteed", "WB-species-dilution-info": "1/1000 - 1/10000", "WB-species-notes": "<p></p>", "ICCIF-species-checked": "notRecommended", "ICCIF-species-dilution-info": "", "ICCIF-species-notes": "<p></p>" }, "Mouse": { "IHCP-species-checked": "testedAndGuaranteed", "IHCP-species-dilution-info": "1/100 - 1/800", "IHCP-species-notes": "<p></p>", "FlowCyt-species-checked": "notRecommended", "FlowCyt-species-dilution-info": "", "FlowCyt-species-notes": "<p></p>", "Dot-species-checked": "guaranteed", "Dot-species-dilution-info": "", "Dot-species-notes": "", "WB-species-checked": "testedAndGuaranteed", "WB-species-dilution-info": "1/1000 - 1/10000", "WB-species-notes": "<p></p>", "ICCIF-species-checked": "notRecommended", "ICCIF-species-dilution-info": "", "ICCIF-species-notes": "<p></p>" }, "Rat": { "IHCP-species-checked": "testedAndGuaranteed", "IHCP-species-dilution-info": "1/100 - 1/800", "IHCP-species-notes": "<p></p>", "FlowCyt-species-checked": "notRecommended", "FlowCyt-species-dilution-info": "", "FlowCyt-species-notes": "<p></p>", "Dot-species-checked": "guaranteed", "Dot-species-dilution-info": "", "Dot-species-notes": "", "WB-species-checked": "guaranteed", "WB-species-dilution-info": "", "WB-species-notes": "", "ICCIF-species-checked": "notRecommended", "ICCIF-species-dilution-info": "", "ICCIF-species-notes": "<p></p>" }, "Synthetic peptide": { "IHCP-species-checked": "notRecommended", "IHCP-species-dilution-info": "", "IHCP-species-notes": "", "FlowCyt-species-checked": "notRecommended", "FlowCyt-species-dilution-info": "", "FlowCyt-species-notes": "", "Dot-species-checked": "testedAndGuaranteed", "Dot-species-dilution-info": "1/1000", "Dot-species-notes": "<p></p>", "WB-species-checked": "notRecommended", "WB-species-dilution-info": "", "WB-species-notes": "", "ICCIF-species-checked": "notRecommended", "ICCIF-species-dilution-info": "", "ICCIF-species-notes": "" } } }

Product details

Patented technology
Our RabMAb® technology is a patented hybridoma-based technology for making rabbit monoclonal antibodies. For details on our patents, please refer to RabMAb® patents.

What are the advantages of a recombinant monoclonal antibody?
This product is a recombinant monoclonal antibody, which offers several advantages including:

  • - High batch-to-batch consistency and reproducibility
  • - Improved sensitivity and specificity
  • - Long-term security of supply
  • - Animal-free batch production

For more information, read more on recombinant antibodies.

Properties and storage information

Form
Liquid
Purification technique
Affinity purification Protein A
Storage buffer
pH: 7.2 - 7.4 Preservative: 0.01% Sodium azide Constituents: PBS, 40% Glycerol (glycerin, glycerine), 0.05% BSA
Shipped at conditions
Blue Ice
Appropriate short-term storage duration
1-2 weeks
Appropriate short-term storage conditions
+4°C
Appropriate long-term storage conditions
-20°C
Aliquoting information
Upon delivery aliquot
Storage information
Stable for 12 months at -20°C

Supplementary information

This supplementary information is collated from multiple sources and compiled automatically.

The Smad1 SMAD5 and SMAD9 proteins sometimes known as receptor-regulated SMADs (R-SMADs) play significant roles in cellular signaling. These proteins act as intracellular mediators for the transforming growth factor-beta (TGF-β) superfamily of cytokines particularly the bone morphogenetic proteins (BMPs). These proteins are expressed in various tissues including bone heart lung and brain where they facilitate specific receptor signaling. These SMAD proteins typically have molecular masses ranging from about 50 kDa to 60 kDa which varies depending on specific post-translational modifications such as phosphorylation.
Biological function summary

The Smad1 SMAD5 and SMAD9 proteins are transcription factors involved in the regulation of gene expression. Upon activation by BMP receptors these proteins undergo phosphorylation then form complexes with SMAD4 another member of the SMAD family. This heteromeric complex translocates into the nucleus where it influences the expression of genes associated with cell proliferation differentiation and apoptosis. The Smad1 SMAD5 and SMAD9 proteins therefore coordinate diverse cellular processes by modulating transcriptional responses to extracellular signals in developmental and homeostatic contexts.

Pathways

Smad1 SMAD5 and SMAD9 proteins integrate into the BMP signaling pathway which is fundamental in bone and cartilage development. These proteins interact closely with BMP type I receptors through phosphorylation-mediated mechanisms. Another pathway involving these SMAD proteins is the TGF-β pathway where their activity converges with other signaling molecules like SMAD2 and SMAD3 resulting in complex regulatory outcomes in cellular contexts. The interactions within these pathways help mediate processes like embryogenesis and tissue homeostasis illustrating the interplay of cell signaling and transcriptional regulation.

Smad1 SMAD5 and SMAD9 proteins associate with conditions like pulmonary hypertension and cancer. Dysregulation within the BMP signaling pathway mediated by improper functioning of these R-SMADs links to abnormal vascular remodeling and cancerous cell growth due to altered proliferative signaling. Additionally Smad1 and SMAD5 show connections with proteins such as BMPR2 in the context of pulmonary arterial hypertension further emphasizing their role as mediators of disease-related signaling pathways. Addressing these proteins' malfunction provides potential therapeutic intervention points for complex pathological states.

Product protocols

For this product, it's our understanding that no specific protocols are required. You can visit:

Target data

Transcriptional regulator that plays a role in various cellular processes including embryonic development, cell differentiation, angiogenesis and tissue homeostasis (PubMed : 12064918, PubMed : 16516194). Upon BMP ligand binding to their receptors at the cell surface, is phosphorylated by activated type I BMP receptors (BMPRIs) and associates with SMAD4 to form a heteromeric complex which translocates into the nucleus acting as transcription factor (PubMed : 9442019). In turn, the hetero-trimeric complex recognizes cis-regulatory elements containing Smad Binding Elements (SBEs) to modulate the outcome of the signaling network (PubMed : 33510867). Non-phosphorylated SMAD5 has a cytoplasmic role in energy metabolism regulation by promoting mitochondrial respiration and glycolysis in response to cytoplasmic pH changes (PubMed : 28675158). Mechanistically, interacts with hexokinase 1/HK1 and thereby accelerates glycolysis (PubMed : 28675158).
See full target information SMAD5 phospho S463 + S465

Additional targets

SMAD1 phospho S463 + S465,SMAD9 phospho S465 + S467

Publications (57)

Recent publications for all applications. Explore the full list and refine your search

PLoS biology 23:e3002654 PubMed40720543

2025

Sox5 controls the establishment of quiescence in neural stem cells during postnatal development.

Applications

Unspecified application

Species

Unspecified reactive species

Cristina Medina-Menéndez,Paula Tirado-Melendro,Lingling Li,Pilar Rodríguez-Martín,Elena Melgarejo-de la Peña,Mario Díaz-García,María Valdés-Bescós,Rafael López-Sansegundo,Aixa V Morales

Scientific reports 15:19979 PubMed40481141

2025

EIF4A3 enhances the viability, invasion and osteogenic differentiation of BMSCs via the USP53/SMAD5 pathway.

Applications

Unspecified application

Species

Unspecified reactive species

Gang Cheng,Xiaoling Yang,Yongtao Tang,Changjun Wu,Zulin Tang,Siqi Wei

HemaSphere 9:e70096 PubMed40182015

2025

Hepatocyte Toll-like receptors contribute to the hepcidin inflammatory response to pathogens and pathogen-derived ligands.

Applications

Unspecified application

Species

Unspecified reactive species

Katharina Bonitz,Silvia Colucci,Ruiyue Qiu,Sandro Altamura,Richard Sparla,Katja Mudder,Stefan Zimmermann,Matthias W Hentze,Martina U Muckenthaler,Oriana Marques

International journal of molecular sciences 25: PubMed39408869

2024

The Regulatory Role of miRNAs in Zebrafish Fin Regeneration.

Applications

Unspecified application

Species

Unspecified reactive species

Jiaqi Fan,Xinya Liu,Ziheng Duan,Hanya Zhao,Zhongjie Chang,Li Li

Chemistry & biodiversity 21:e202400005 PubMed38504590

2024

Active Components of Pueraria lobata through the MAPK/ERK Signaling Pathway Alleviate Iron Overload in Alcoholic Liver Disease.

Applications

Unspecified application

Species

Unspecified reactive species

Xue Li,Le Liu,Mei-Xuan Wan,Li-Min Gong,Juan Su,Li Xu

Development (Cambridge, England) 151: PubMed38300806

2024

Grainyhead-like 2 interacts with noggin to regulate tissue fusion in mouse.

Applications

Unspecified application

Species

Unspecified reactive species

Michael E de Vries,Marina R Carpinelli,Jarrad N Fuller,Yindi Sutton,Darren D Partridge,Alana Auden,Peter J Anderson,Stephen M Jane,Sebastian Dworkin

Regenerative therapy 24:351-360 PubMed37674692

2023

Acyl-protein thioesterase1 alleviates senile osteoporosis by promoting osteoblast differentiation via depalmitoylation of BMPR1a.

Applications

Unspecified application

Species

Unspecified reactive species

Changjiao Ji,Qiaoyan Dong,Huihui Liu,Xiaodeng Yang,Yingguang Han,Bingrui Zhu,Huaixin Xing

Cancer & metabolism 11:9 PubMed37443106

2023

BMP4 upregulates glycogen synthesis through the SMAD/SLC2A1 (GLUT1) signaling axis in hepatocellular carcinoma (HCC) cells.

Applications

Unspecified application

Species

Unspecified reactive species

Jiamin Zhong,Luyao Tian,Yannian Gou,Piao Zhao,Xiangyu Dong,Meichun Guo,Guozhi Zhao,Aohua Li,Ailing Hao,Tong-Chuan He,Jiaming Fan

International journal of biological sciences 19:3184-3199 PubMed37416767

2023

Nicotinamide adenine dinucleotide kinase promotes lymph node metastasis of NSCLC via activating ID1 expression through BMP pathway.

Applications

Unspecified application

Species

Unspecified reactive species

Zimei Zeng,Jie Gao,Tao Chen,Ziyu Zhang,Mengwei Li,Qi Fan,Guoqian Liu,Xuebing Li,Zhi Li,Chenxi Zhong,Feng Yao,Lunquan Sun,Yuezhen Deng,Min Li

American journal of cancer research 13:1471-1485 PubMed37168326

2023

Somatic-to-primordial germ cell-like transformation is critical in tumor initiation of mouse breast tumor 4T1 cells.

Applications

Unspecified application

Species

Unspecified reactive species

Zhan Ma,Fengyu Zhang,Aiping Liu,Huikuan Lin,Chunfang Liu
View all publications

Product promise

We are committed to supporting your work with high-quality reagents, and we're here for you every step of the way. In the unlikely event that one of our products does not perform as expected, you're protected by our Product Promise.
For full details, please see our Terms & Conditions

Please note: All products are 'FOR RESEARCH USE ONLY. NOT FOR USE IN DIAGNOSTIC OR THERAPEUTIC PROCEDURES'.

For licensing inquiries, please contact partnerships@abcam.com