JavaScript is disabled in your browser. Please enable JavaScript to view this website.
AB230098

Anti-Smad2 (phospho S250) antibody [EPR2855(2)] - BSA and Azide free

  • BOND RX™ Validated
  • RabMAb
  • Recombinant
  • KO Validated
  • What is this?

Be the first to review this product! Submit a review

|

(1 Publication)

Rabbit Recombinant Monoclonal SMAD2 phospho S250 antibody. Carrier free. Suitable for WB, Flow Cyt (Intra), IHC-P and reacts with Human, Mouse samples. Cited in 1 publication.

View Alternative Names

MADH2, MADR2, SMAD2, Mothers against decapentaplegic homolog 2, MAD homolog 2, Mothers against DPP homolog 2, JV18-1, Mad-related protein 2, SMAD family member 2, hMAD-2, SMAD 2, Smad2, hSMAD2

7 Images
Immunohistochemistry (Formalin/PFA-fixed paraffin-embedded sections) - Anti-Smad2 (phospho S250) antibody [EPR2855(2)] - BSA and Azide free (AB230098)
  • IHC-P

Lab

Immunohistochemistry (Formalin/PFA-fixed paraffin-embedded sections) - Anti-Smad2 (phospho S250) antibody [EPR2855(2)] - BSA and Azide free (AB230098)

This data was developed using ab184557, the same antibody clone in a different buffer formulation.

Immunohistochemical analysis of paraffin-embedded human endometrial carcinoma tissue labeling Smad2 (phospho S250) with ab184557 at 1/1000 dilution, followed by a ready to use Rabbit specific IHC polymer detection kit HRP/DAB (ab209101).

Positive staining on human endometrial carcinoma without alkaline phosphatase treatment (image A). No signal was detected when tissues were treated with alkaline phosphatase (image B).
The section was incubated with ab184557 for 30 mins at room temperature.
The immunostaining was performed on a Leica Biosystems BOND® RX instrument

Secondary antibody only control : Secondary antibody is a ready to use Rabbit specific IHC polymer detection kit HRP/DAB (ab209101).

Heat mediated antigen retrieval was performed with Tris-EDTA buffer (pH 9.0, Epitope Retrieval Solution2) for 20 mins.

Immunohistochemistry (Formalin/PFA-fixed paraffin-embedded sections) - Anti-Smad2 (phospho S250) antibody [EPR2855(2)] - BSA and Azide free (AB230098)
  • IHC-P

Lab

Immunohistochemistry (Formalin/PFA-fixed paraffin-embedded sections) - Anti-Smad2 (phospho S250) antibody [EPR2855(2)] - BSA and Azide free (AB230098)

This data was developed using ab184557, the same antibody clone in a different buffer formulation.

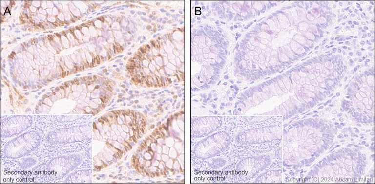
Immunohistochemical analysis of paraffin-embedded human colon tissue labeling Smad2 (phospho S250) with ab184557 at 1/1000 dilution, followed by a ready to use Rabbit specific IHC polymer detection kit HRP/DAB (ab209101).

Positive staining on human colon without alkaline phosphatase treatment (image A). No signal was detected when tissues were treated with alkaline phosphatase (image B).
The section was incubated with ab184557 for 30 mins at room temperature.
The immunostaining was performed on a Leica Biosystems BOND® RX instrument

Secondary antibody only control : Secondary antibody is a ready to use Rabbit specific IHC polymer detection kit HRP/DAB (ab209101).

Heat mediated antigen retrieval was performed with Tris-EDTA buffer (pH 9.0, Epitope Retrieval Solution2) for 20 mins.

Flow Cytometry (Intracellular) - Anti-Smad2 (phospho S250) antibody [EPR2855(2)] - BSA and Azide free (AB230098)
  • Flow Cyt (Intra)

Supplier Data

Flow Cytometry (Intracellular) - Anti-Smad2 (phospho S250) antibody [EPR2855(2)] - BSA and Azide free (AB230098)

This data was developed using ab184557, the same antibody clone in a different buffer formulation.

Intracellular flow cytometric analysis of 2% paraformaldehyde-fixed and permeabilized HeLa cells labeling Smad2 (phospho S250) with ab184557 at 1/20 dilution (red) compared to a Rabbit monoclonal IgG isotype control (green), followed by Goat anti rabbit IgG (FITC) secondary antibody at 1/150 dilution. HeLa cells labeled using ab184557 preincubated with Smad2 (phospho S250) peptide (blue) or non-phospho-Smad2 peptide (orange).

Immunohistochemistry (Formalin/PFA-fixed paraffin-embedded sections) - Anti-Smad2 (phospho S250) antibody [EPR2855(2)] - BSA and Azide free (AB230098)
  • IHC-P

Lab

Immunohistochemistry (Formalin/PFA-fixed paraffin-embedded sections) - Anti-Smad2 (phospho S250) antibody [EPR2855(2)] - BSA and Azide free (AB230098)

This data was developed using ab184557, the same antibody clone in a different buffer formulation.

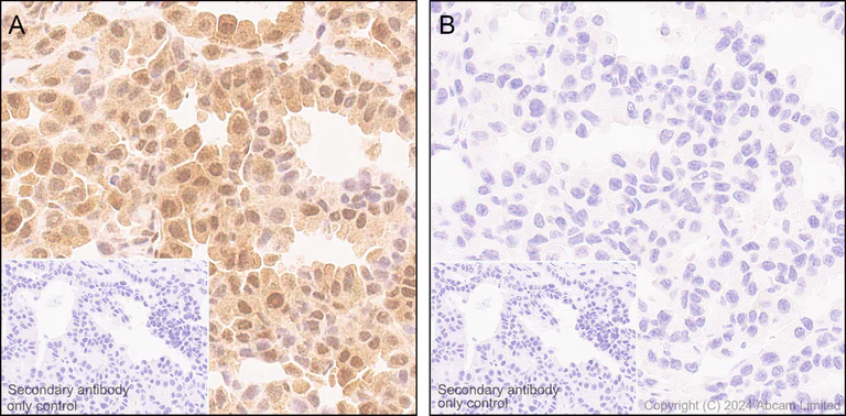
Immunohistochemical analysis of paraffin-embedded mouse lung cancer tissue labeling Smad2 (phospho S250) with ab184557 at 1/1000 dilution, followed by a ready to use Rabbit specific IHC polymer detection kit HRP/DAB (ab209101).

Positive staining on mouse lung cancer without alkaline phosphatase treatment (image A). No signal was detected when tissues were treated with alkaline phosphatase (image B).
The section was incubated with ab184557 for 30 mins at room temperature.
The immunostaining was performed on a Leica Biosystems BOND® RX instrument

Secondary antibody only control : Secondary antibody is a ready to use Rabbit specific IHC polymer detection kit HRP/DAB (ab209101).

Heat mediated antigen retrieval was performed with Tris-EDTA buffer (pH 9.0, Epitope Retrieval Solution2) for 20 mins.

Western blot - Anti-Smad2 (phospho S250) antibody [EPR2855(2)] - BSA and Azide free (AB230098)
  • WB

Lab

Western blot - Anti-Smad2 (phospho S250) antibody [EPR2855(2)] - BSA and Azide free (AB230098)

This data was developed using ab184557, the same antibody clone in a different buffer formulation.

In Western blot, ab184557 was shown to bind specifically to SMAD2. Target of interest was observed at 58 kDa in wild-type HeLa cell lysates (lane 1) with no signal observed at this size in SMAD2 knockout cell line (lane 2) (lane 2, knockout cell line ab255430).

In Western blot, Anti-GAPDH antibody [EPR16891] - Loading Control (ab181602) staining at 1/200000 dilution.

Blocking and diluting buffer and concentration : 5% NFDM/TBST.

All lanes:

Western blot - Anti-Smad2 (phospho S250) antibody [EPR2855(2)] (<a href='/en-us/products/primary-antibodies/smad2-phospho-s250-antibody-epr28552-ab184557'>ab184557</a>) at 1/1000 dilution

Lane 1:

Wild-type HeLa (human cervical adenocarcinoma epithelial cell) whole cell lysate at 20 µg

Lane 2:

SMAD2 knockout HeLa whole cell lysate at 20 µg

Secondary

All lanes:

Western blot - Goat Anti-Rabbit IgG H&L (HRP) (<a href='/en-us/products/secondary-antibodies/goat-rabbit-igg-h-l-hrp-ab97051'>ab97051</a>) at 1/100000 dilution

Observed band size: 58 kDa

false

Exposure time: 10s

Western blot - Anti-Smad2 (phospho S250) antibody [EPR2855(2)] - BSA and Azide free (AB230098)
  • WB

Supplier Data

Western blot - Anti-Smad2 (phospho S250) antibody [EPR2855(2)] - BSA and Azide free (AB230098)

This data was developed using ab184557, the same antibody clone in a different buffer formulation.

All lanes:

Western blot - Anti-Smad2 (phospho S250) antibody [EPR2855(2)] (<a href='/en-us/products/primary-antibodies/smad2-phospho-s250-antibody-epr28552-ab184557'>ab184557</a>) at 1/1000 dilution

Lane 1:

untreated HeLa cells lysates at 10 µg

Lane 2:

HeLa cell lysate treated with alkaline phosphatase at 10 µg

Secondary

All lanes:

Goat Anti-Rabbit IgG, (H+L), Peroxidase conjugate at 1/1000 dilution

Predicted band size: 52 kDa

Observed band size: 58 kDa

false

Western blot - Anti-Smad2 (phospho S250) antibody [EPR2855(2)] - BSA and Azide free (AB230098)
  • WB

Lab

Western blot - Anti-Smad2 (phospho S250) antibody [EPR2855(2)] - BSA and Azide free (AB230098)

This data was developed using ab184557, the same antibody clone in a different buffer formulation.

The expression of Smad2 (phospho S250) is upregulated in response to PMA treatment.

In Western blot, Anti-GAPDH antibody [EPR16891] - Loading Control (ab181602) staining at 1/200000 dilution.

Blocking and diluting buffer and concentration : 5% NFDM/TBST.

All lanes:

Western blot - Anti-Smad2 (phospho S250) antibody [EPR2855(2)] (<a href='/en-us/products/primary-antibodies/smad2-phospho-s250-antibody-epr28552-ab184557'>ab184557</a>) at 1/1000 dilution

Lane 1:

Untreated NIH/3T3 (mouse embryonic fibroblast) whole cell lysate (untreated membrane) at 20 µg

Lane 2:

NIH/3T3 treated with 200nM PMA for 30 minutes whole cell lysate (untreated membrane) at 20 µg

Lane 3:

Untreated NIH/3T3 (mouse embryonic fibroblast) whole cell lysate (alkaline phosphatase treated membrane) at 20 µg

Lane 4:

NIH/3T3 treated with 200nM PMA for 30 minutes whole cell lysate (alkaline phosphatase treated membrane) at 20 µg

Secondary

All lanes:

Western blot - Goat Anti-Rabbit IgG H&L (HRP) (<a href='/en-us/products/secondary-antibodies/goat-rabbit-igg-h-l-hrp-ab97051'>ab97051</a>) at 1/100000 dilution

Observed band size: 58 kDa

false

Exposure time: 10s

  • Unconjugated

    Anti-Smad2 (phospho S250) antibody [EPR2855(2)]

Key facts

Host species

Rabbit

Clonality

Monoclonal

Clone number

EPR2855(2)

Isotype

IgG

Carrier free

Yes

Reacts with

Human

Applications

IHC-P, Flow Cyt (Intra), WB

applications

Immunogen

The exact immunogen used to generate this antibody is proprietary information.

Reactivity data

{ "title": "Reactivity Data", "filters": { "stats": ["", "Species", "Dilution Info", "Notes"], "tabs": { "all-applications": {"fullname" : "All Applications", "shortname": "All Applications"}, "WB" : {"fullname" : "Western blot", "shortname":"WB"}, "FlowCytIntra" : {"fullname" : "Flow Cytometry (Intracellular)", "shortname":"Flow Cyt (Intra)"}, "IHCP" : {"fullname" : "Immunohistochemistry (Formalin/PFA-fixed paraffin-embedded sections)", "shortname":"IHC-P"} }, "product-promise": { "all": "all", "testedAndGuaranteed": "tested", "guaranteed": "expected", "predicted": "predicted", "notRecommended": "not-recommended" } }, "values": { "Human": { "WB-species-checked": "testedAndGuaranteed", "WB-species-dilution-info": "", "WB-species-notes": "<p></p>", "FlowCytIntra-species-checked": "testedAndGuaranteed", "FlowCytIntra-species-dilution-info": "", "FlowCytIntra-species-notes": "<p></p>", "IHCP-species-checked": "testedAndGuaranteed", "IHCP-species-dilution-info": "", "IHCP-species-notes": "<p></p>" }, "Mouse": { "WB-species-checked": "testedAndGuaranteed", "WB-species-dilution-info": "", "WB-species-notes": "<p></p>", "FlowCytIntra-species-checked": "notRecommended", "FlowCytIntra-species-dilution-info": "", "FlowCytIntra-species-notes": "<p></p>", "IHCP-species-checked": "testedAndGuaranteed", "IHCP-species-dilution-info": "", "IHCP-species-notes": "<p></p>" }, "Rat": { "WB-species-checked": "predicted", "WB-species-dilution-info": "", "WB-species-notes": "", "FlowCytIntra-species-checked": "notRecommended", "FlowCytIntra-species-dilution-info": "", "FlowCytIntra-species-notes": "", "IHCP-species-checked": "predicted", "IHCP-species-dilution-info": "", "IHCP-species-notes": "" } } }

Product details

ab230098 is the carrier-free version of ab184557.

Patented technology
Our RabMAb® technology is a patented hybridoma-based technology for making rabbit monoclonal antibodies. For details on our patents, please refer to RabMAb® patents.

What are the advantages of a recombinant monoclonal antibody?
This product is a recombinant monoclonal antibody, which offers several advantages including:

  • - High batch-to-batch consistency and reproducibility
  • - Improved sensitivity and specificity
  • - Long-term security of supply
  • - Animal-free batch production

For more information, read more on recombinant antibodies.

Conjugation ready
Our carrier-free antibodies are typically supplied in a PBS-only formulation, purified and free of BSA, sodium azide and glycerol. This conjugation-ready format is designed for use with fluorochromes, metal isotopes, oligonucleotides, and enzymes, which makes them ideal for antibody labelling, functional and cell-based assays, flow-based assays (e.g. mass cytometry) and Multiplex Imaging applications.

Use our conjugation kits for antibody conjugates that are ready-to-use in as little as 20 minutes with 1 minute hands-on-time and 100% antibody recovery: available for fluorescent dyes, HRP, biotin and gold.

Compatibility
This product is compatible with the Maxpar® Antibody Labeling Kit from Fluidigm, without the need for antibody preparation. Maxpar® is a trademark of Fluidigm Canada Inc.

Properties and storage information

Form
Liquid
Purification technique
Affinity purification Protein A
Storage buffer
pH: 7.2 - 7.4 Constituents: PBS
Shipped at conditions
Blue Ice
Appropriate short-term storage conditions
+4°C
Appropriate long-term storage conditions
+4°C
Storage information
Do Not Freeze

Supplementary information

This supplementary information is collated from multiple sources and compiled automatically.

Smad2 also known as Mothers against decapentaplegic homolog 2 (MAD2) or MADR2 is a signaling protein involved in the transforming growth factor-beta (TGF-β) receptor pathway. Smad2 has a molecular mass of approximately 58 kDa and expresses in various tissues including epithelial mesenchymal and endothelial cells. Smad2 undergoes phosphorylation on serine residues in response to TGF-β signaling converting it into phosphorylated forms often referred to as p-Smad2 or phospho-Smad2. These phosphorylated forms are critical for the relay of signals from the cell surface to the nucleus.
Biological function summary

Smad2 acts as an intracellular mediator for TGF-β signaling a pathway important for regulating cell proliferation differentiation and apoptosis. Smad2 typically functions as part of a heteromeric complex with Smad4 another key player in TGF-β signaling. Upon activation phosphorylated Smad2 combines with Smad4 to form a complex that translocates into the nucleus. This complex then binds to specific DNA sequences to regulate the transcription of target genes involved in processes such as cell growth inhibition and extracellular matrix production.

Pathways

Smad2 is integral to the TGF-β and activin receptor signaling pathways. These pathways are essential in controlling cell growth and immune responses. Smad2 interacts with other proteins such as Smad3 in addition to Smad4 to modulate gene expression effectively. The interaction between Smad2 and these proteins ensures precise control of cellular responses to external stimuli emphasizing its pivotal role in maintaining cellular homeostasis.

Smad2 correlates with various pathological conditions including fibrosis and cancer. Aberrant Smad2 signaling can contribute to the development of these diseases as excessive TGF-β signaling promotes fibrotic tissue deposition and tumor progression. Smad2 connects with other proteins like Smad3 in these pathological contexts both acting as mediators of abnormal cellular behaviors. Understanding the regulatory mechanisms of Smad2 can help develop therapeutic strategies against disorders linked to dysregulated TGF-β signaling.

Product protocols

For this product, it's our understanding that no specific protocols are required. You can visit:

Target data

Receptor-regulated SMAD (R-SMAD) that is an intracellular signal transducer and transcriptional modulator activated by TGF-beta (transforming growth factor) and activin type 1 receptor kinases. Binds the TRE element in the promoter region of many genes that are regulated by TGF-beta and, on formation of the SMAD2/SMAD4 complex, activates transcription. Promotes TGFB1-mediated transcription of odontoblastic differentiation genes in dental papilla cells (By similarity). Positively regulates PDPK1 kinase activity by stimulating its dissociation from the 14-3-3 protein YWHAQ which acts as a negative regulator. May act as a tumor suppressor in colorectal carcinoma (PubMed : 8752209).
See full target information SMAD2 phospho S250

Publications (1)

Recent publications for all applications. Explore the full list and refine your search

Aging 16:11668-11682 PubMed39133152

2024

Solamargine acts as an antiviral by interacting to MZF1 and targeting the core promoter of the hepatitis B virus gene.

Applications

Unspecified application

Species

Unspecified reactive species

Wenwen Chen,Xinrui Zhao,Yingli Huang,Kai Lu,Yuan Li,Xiaofang Li,Hui Ding,Xiuling Li,Suofeng Sun
View all publications

Product promise

We are committed to supporting your work with high-quality reagents, and we're here for you every step of the way. In the unlikely event that one of our products does not perform as expected, you're protected by our Product Promise.
For full details, please see our Terms & Conditions

Please note: All products are 'FOR RESEARCH USE ONLY. NOT FOR USE IN DIAGNOSTIC OR THERAPEUTIC PROCEDURES'.

For licensing inquiries, please contact partnerships@abcam.com