JavaScript is disabled in your browser. Please enable JavaScript to view this website.
AB280888

Anti-Smad2 (phospho S467) antibody [EPR23681-40]

  • BOND RX™ Validated
  • 20ul selling size
  • RabMAb
  • Recombinant
  • KO Validated
  • What is this?

5

(2 Reviews)

|

(22 Publications)

Anti-Smad2 (phospho S467) antibody [EPR23681-40] (ab280888) is a rabbit monoclonal antibody detecting Smad2 in Western Blot, Flow Cytometry (Intra), Flow Cytometry, IP, IHC-P, ICC/IF, Dot Blot. Suitable for Human, Mouse, Rat.

- KO validated for confirmed specificity
- Biophysical QC for unrivalled batch-batch consistency
- Over 20 publications

View Alternative Names

MADH2, MADR2, SMAD2, Mothers against decapentaplegic homolog 2, MAD homolog 2, Mothers against DPP homolog 2, JV18-1, Mad-related protein 2, SMAD family member 2, hMAD-2, SMAD 2, Smad2, hSMAD2

15 Images
Immunohistochemistry (Formalin/PFA-fixed paraffin-embedded sections) - Anti-Smad2 (phospho S467) antibody [EPR23681-40] (AB280888)
  • IHC-P

Supplier Data

Immunohistochemistry (Formalin/PFA-fixed paraffin-embedded sections) - Anti-Smad2 (phospho S467) antibody [EPR23681-40] (AB280888)

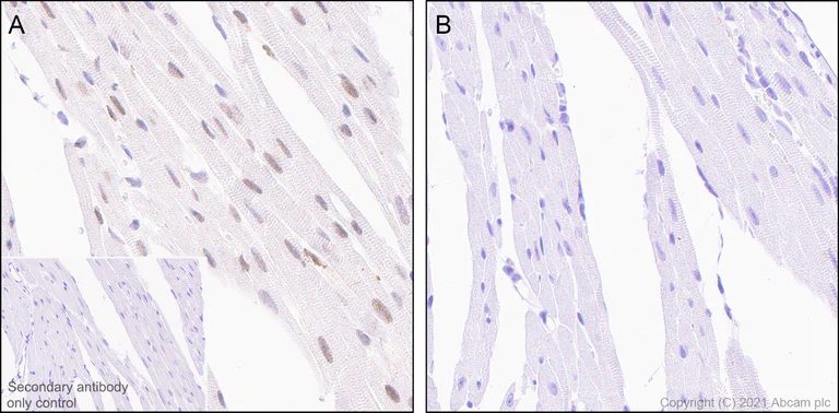
Immunohistochemical analysis of paraffin-embedded mouse cardiac muscle tissue labelling Smad2 (phospho S467) with ab280888 at 1/2000 (0.262 μg/ml) dilution followed by a ready to use Rabbit specific IHC polymer detection kit HRP/DAB (ab209101). Nuclear staining on mouse cardiac muscle without alkaline phosphatase treatment (image A). No signal was detected when tissues were treated with alkaline phosphatase (image B). The section was incubated with ab280888 for 30 mins at room temperature. The immunostaining was performed on a Leica Biosystems BOND® RX instrument. Counterstained with Hematoxylin.

Secondary antibody only control : Secondary antibody is ready to use Rabbit specific IHC polymer detection kit HRP/DAB (ab209101).

Heat mediated antigen retrieval with Tris-EDTA buffer (pH 9.0, epitope retrieval solution2) for 20 mins.

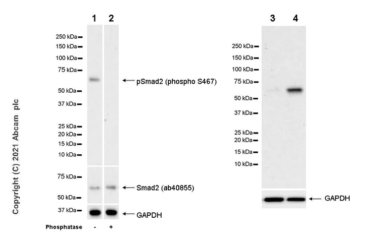
Western blot - Anti-Smad2 (phospho S467) antibody [EPR23681-40] (AB280888)
  • WB

Lab

Western blot - Anti-Smad2 (phospho S467) antibody [EPR23681-40] (AB280888)

Blocking and diluting buffer and concentration : 5% NFDM/TBST

The molecular weight observed is consistent with what has been described in the literature. (PMID : 24347165)

The up-regulation of pSmad2 (S467) is induced by TGF-beta1 treatment in NIH/3T3 (PMID : 24347165)

Exposure time : 3 minutes

All lanes:

Western blot - Anti-Smad2 (phospho S467) antibody [EPR23681-40] (ab280888) at 1/1000 dilution

Lane 1:

NIH/3T3 (mouse embryonic fibroblast) treated with 20ng/ml TGF beta1 and 50 μM MG-132 for 15 minutes, whole cell lysate at 10 µg

Lane 2:

NIH/3T3 treated with 20ng/ml TGF beta1 and 50 μM MG-132 for 15 minutes whole cell lysate (phosphatase treated membrane) at 10 µg

Lane 3:

NIH/3T3 whole cell lysate at 10 µg

Lane 4:

NIH/3T3 treated with 20ng/ml TGF beta1 and 50 μM MG-132 for 15 minutes, whole cell lysate at 10 µg

Secondary

All lanes:

Western blot - Goat Anti-Rabbit IgG H&L (HRP) (<a href='/en-us/products/secondary-antibodies/goat-rabbit-igg-h-l-hrp-ab97051'>ab97051</a>) at 1/100000 dilution

Predicted band size: 52 kDa

Observed band size: 60 kDa

false

Immunohistochemistry (Formalin/PFA-fixed paraffin-embedded sections) - Anti-Smad2 (phospho S467) antibody [EPR23681-40] (AB280888)
  • IHC-P

Supplier Data

Immunohistochemistry (Formalin/PFA-fixed paraffin-embedded sections) - Anti-Smad2 (phospho S467) antibody [EPR23681-40] (AB280888)

Immunohistochemical analysis of paraffin-embedded rat lung tissue labelling Smad2 (phospho S467) with ab280888 at 1/2000 (0.262 μg/ml) dilution followed by a ready to use Rabbit specific IHC polymer detection kit HRP/DAB (ab209101). Nuclear staining on rat lung without alkaline phosphatase treatment (image A). No signal was detected when tissues were treated with alkaline phosphatase (image B). The section was incubated with ab280888 for 30 mins at room temperature. The immunostaining was performed on a Leica Biosystems BOND® RX instrument. Counterstained with Hematoxylin.

Secondary antibody only control : Secondary antibody is ready to use Rabbit specific IHC polymer detection kit HRP/DAB (ab209101).

Heat mediated antigen retrieval with Tris-EDTA buffer (pH 9.0, epitope retrieval solution2) for 20 mins.

Flow Cytometry (Intracellular) - Anti-Smad2 (phospho S467) antibody [EPR23681-40] (AB280888)
  • Flow Cyt (Intra)

Supplier Data

Flow Cytometry (Intracellular) - Anti-Smad2 (phospho S467) antibody [EPR23681-40] (AB280888)

Intracellular flow cytometric analysis of 4% paraformaldehyde fixed 90% methanol permeabilized NIH/3T3 (mouse embryonic fibroblast) treated with 20ng/ml TGF beta1 for 15 minutes (Red)/ Untreated control (Green) cells labelling Smad2 (phospho S467) with ab280888 at 1/5000 dilution (0.01μg)/ red (Red) compared with a Rabbit monoclonal IgG (ab172730) (Black) isotype control and an unlabelled control (cells without incubation with primary antibody and secondary antibody) (Blue).

Goat anti rabbit IgG (Alexa Fluor® 488, ab150077) at 1/2000 dilution was used as the secondary antibody.

The up-regulation of pSmad2 (S467) is induced by TGF-beta1 treatment in NIH/3T3 (PMID : 24347165).

Immunocytochemistry/ Immunofluorescence - Anti-Smad2 (phospho S467) antibody [EPR23681-40] (AB280888)
  • ICC/IF

Supplier Data

Immunocytochemistry/ Immunofluorescence - Anti-Smad2 (phospho S467) antibody [EPR23681-40] (AB280888)

Immunofluorescent analysis of 4% Paraformaldehyde-fixed, 0.1% Triton X-100 permeabilized NIH/3T3 cells labelling Smad2 (phospho S467) with ab280888 at 1/50 (10.48 μg/ml) dilution, followed by ab150077 Goat Anti-Rabbit IgG H&L (Alexa Fluor® 488) antibody at 1/1000 dilution (Green).

Confocal image showing mainly nuclear staining in NIH/3T3 cells treated with TGF-β1 (20 ng/ml) for 15 mins.

ab195889 Anti-alpha Tubulin mouse monoclonal antibody - Microtubule Marker (Alexa Fluor® 594) was used to counterstain tubulin at 1/200 dilution (Red). The Nuclear counterstain was DAPI (Blue).

Secondary antibody only control : Secondary antibody is ab150077 Goat Anti-Rabbit IgG H&L (Alexa Fluor® 488) at 1/1000 dilution.

Flow Cytometry (Intracellular) - Anti-Smad2 (phospho S467) antibody [EPR23681-40] (AB280888)
  • Flow Cyt (Intra)

Supplier Data

Flow Cytometry (Intracellular) - Anti-Smad2 (phospho S467) antibody [EPR23681-40] (AB280888)

Intracellular flow cytometric analysis of 4% paraformaldehyde fixed 90% methanol permeabilized HeLa (human cervix adenocarcinoma epithelial cell) treated with 20ng/ml TGF beta1 for 15 minutes (Red)/ Untreated control (Green) cells labelling Smad2 (phospho S467) with ab280888 at 1/5000 dilution (0.01μg)/ red (Red) compared with a Rabbit monoclonal IgG (ab172730) (Black) isotype control and an unlabelled control (cells without incubation with primary antibody and secondary antibody) (Blue).

Goat anti rabbit IgG (Alexa Fluor® 488, ab150077) at 1/2000 dilution was used as the secondary antibody.

The up-regulation of pSmad2 (S467) is induced by TGF-beta1 treatment in HeLa (PMID : 24959295).

Immunocytochemistry/ Immunofluorescence - Anti-Smad2 (phospho S467) antibody [EPR23681-40] (AB280888)
  • ICC/IF

Supplier Data

Immunocytochemistry/ Immunofluorescence - Anti-Smad2 (phospho S467) antibody [EPR23681-40] (AB280888)

Immunofluorescent analysis of 4% Paraformaldehyde-fixed, 0.1% Triton X-100 permeabilized HeLa cells labelling Smad2 (phospho S467) with ab280888 at 1/50 (10.48 μg/ml) dilution, followed by ab150077 Goat Anti-Rabbit IgG H&L (Alexa Fluor® 488) antibody at 1/1000 dilution (Green).

Confocal image showing mainly nuclear staining in HeLa cells treated with TGF-β1 (20 ng/ml) for 15 mins.

ab195889 Anti-alpha Tubulin mouse monoclonal antibody - Microtubule Marker (Alexa Fluor® 594) was used to counterstain tubulin at 1/200 dilution (Red). The nuclear counterstain was DAPI (Blue).

Secondary antibody only control : Secondary antibody is ab150077 Goat Anti-Rabbit IgG H&L (Alexa Fluor® 488) at 1/1000 dilution.

Immunohistochemistry (Formalin/PFA-fixed paraffin-embedded sections) - Anti-Smad2 (phospho S467) antibody [EPR23681-40] (AB280888)
  • IHC-P

Supplier Data

Immunohistochemistry (Formalin/PFA-fixed paraffin-embedded sections) - Anti-Smad2 (phospho S467) antibody [EPR23681-40] (AB280888)

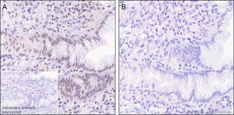
Immunohistochemical analysis of paraffin-embedded human stomach tissue labelling Smad2 (phospho S467) with ab280888 at 1/2000 (0.262 μg/ml) dilution followed by ready to use Rabbit specific IHC polymer detection kit HRP/DAB (ab209101). Nuclear staining on human stomach without alkaline phosphatase treatment (image A). No signal was detected when tissues were treated with alkaline phosphatase (image B). The section was incubated with ab280888 for 30 mins at room temperature. The immunostaining was performed on a Leica Biosystems BOND® RX instrument. Counterstained with Hematoxylin.

Secondary antibody only control : Secondary antibody is ready to use Rabbit specific IHC polymer detection kit HRP/DAB (ab209101).

Heat mediated antigen retrieval with Tris-EDTA buffer (pH 9.0, epitope retrieval solution2) for 20 mins.

Immunohistochemistry (Formalin/PFA-fixed paraffin-embedded sections) - Anti-Smad2 (phospho S467) antibody [EPR23681-40] (AB280888)
  • IHC-P

Supplier Data

Immunohistochemistry (Formalin/PFA-fixed paraffin-embedded sections) - Anti-Smad2 (phospho S467) antibody [EPR23681-40] (AB280888)

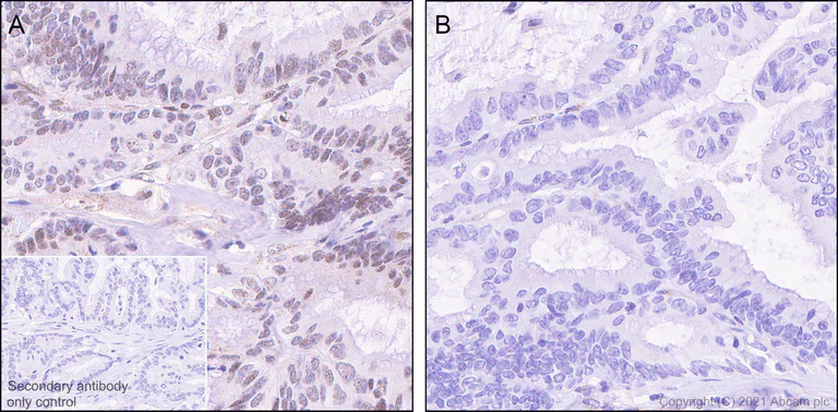
Immunohistochemical analysis of paraffin-embedded human colon carcinoma tissue labelling Smad2 (phospho S467) with ab280888 at 1/2000 (0.262 μg/ml) dilution followed by a ready to use Rabbit specific IHC polymer detection kit HRP/DAB (ab209101). Nuclear staining on human colon carcinoma without alkaline phosphatase treatment (image A). No signal was detected when tissues were treated with alkaline phosphatase (image B). The section was incubated with ab280888 for 30 mins at room temperature. The immunostaining was performed on a Leica Biosystems BOND® RX instrument. Counterstained with Hematoxylin.

Secondary antibody only control : Secondary antibody is ready to use Rabbit specific IHC polymer detection kit HRP/DAB (ab209101).

Heat mediated antigen retrieval with Tris-EDTA buffer (pH 9.0, epitope retrieval solution2) for 20 mins.

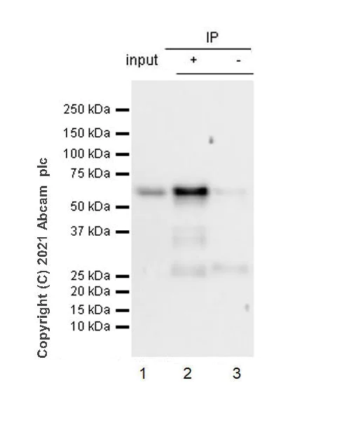
Immunoprecipitation - Anti-Smad2 (phospho S467) antibody [EPR23681-40] (AB280888)
  • IP

Supplier Data

Immunoprecipitation - Anti-Smad2 (phospho S467) antibody [EPR23681-40] (AB280888)

Smad2 (phospho S467) was immunoprecipitated from 0.35 mg NIH/3T3 (mouse embryonic fibroblast) treated with 20ng/ml TGF beta1 50 μM MG-132 for 15 minutes, whole cell lysate 10 μg with ab280888 at 1/30 dilution (2μg in 0.35mg lysates). Western blot was performed on the immunoprecipitate using ab280888 at 1/1000 dilution. VeriBlot for IP Detection Reagent (HRP)(ab131366) was used at 1/5000 dilution.

Lane 1 : NIH/3T3 treated with 20ng/ml TGF beta1 50 μM MG-132 for 15 minutes, whole cell lysate 10 μg

Lane 2 : ab280888 IP in NIH/3T3 treated with 20ng/mltreated with 20ng/ml TGF beta1 50 μM MG-132 for 15 minutes, whole cell lysate

Lane 3 : Rabbit monoclonal IgG (ab172730) instead of ab280888 in NIH/3T3 treated with 20ng/mltreated with 20ng/ml TGF beta1 50 μM MG-132 for 15 minutes, whole cell lysate

Blocking and dilution buffer and concentration : 5% NFDM/TBST.

Exposure time : 32 seconds.

All lanes:

Immunoprecipitation - Anti-Smad2 (phospho S467) antibody [EPR23681-40] (ab280888)

Predicted band size: 52 kDa

Observed band size: 60 kDa

false

Immunoprecipitation - Anti-Smad2 (phospho S467) antibody [EPR23681-40] (AB280888)
  • IP

Supplier Data

Immunoprecipitation - Anti-Smad2 (phospho S467) antibody [EPR23681-40] (AB280888)

Smad2 (phospho S467) was immunoprecipitated from 0.35 mg HeLa (human cervix adenocarcinoma epithelial cell) treated with 20ng/ml TGF beta1 for 15 minutes, whole cell lysate 10 μg with ab280888 at 1/30 dilution (2μg in 0.35mg lysates). Western blot was performed on the immunoprecipitate using ab280888 at 1/1000 dilution. VeriBlot for IP Detection Reagent (HRP)(ab131366) was used at 1/5000 dilution.

Lane 1 : HeLa treated with 20ng/ml TGF beta1 for 15 minutes, whole cell lysate 10 μg

Lane 2 : ab280888 IP in HeLa treated with 20ng/ml TGF beta1 for 15 minutes whole cell lysate

Lane 3 : Rabbit monoclonal IgG (ab172730) instead of ab280888 in HeLa treated with 20ng/ml TGF beta1 for 15 minutes whole cell lysate

Blocking and dilution buffer and concentration : 5% NFDM/TBST.

Exposure time : 15 seconds.

All lanes:

Immunoprecipitation - Anti-Smad2 (phospho S467) antibody [EPR23681-40] (ab280888)

Predicted band size: 52 kDa

Observed band size: 60 kDa

false

Western blot - Anti-Smad2 (phospho S467) antibody [EPR23681-40] (AB280888)
  • WB

Lab

Western blot - Anti-Smad2 (phospho S467) antibody [EPR23681-40] (AB280888)

Blocking and diluting buffer and concentration : 5% NFDM/TBST

The molecular weight observed is consistent with what has been described in the literature. (PMID : 24959295)

The up-regulation of pSmad2 (S467) is induced by TGF-beta1 treatment in HeLa (PMID : 24959295).

Exposure time : 3 minutes

All lanes:

Western blot - Anti-Smad2 (phospho S467) antibody [EPR23681-40] (ab280888) at 1/1000 dilution

Lane 1:

HeLa (human cervix adenocarcinoma epithelial cell) treated with 20ng/ml TGF beta1 for 15 minutes, whole cell lysate at 10 µg

Lane 2:

HeLa treated with 20ng/ml TGF beta1 for 15 minutes whole cell lysate (phosphatase treated membrane) at 10 µg

Lane 3:

HeLa whole cell lysate at 20 µg

Lane 4:

HeLa treated with 20ng/ml TGF beta1 for 15 minutes, whole cell lysate at 20 µg

Secondary

All lanes:

Western blot - Goat Anti-Rabbit IgG H&L (HRP) (<a href='/en-us/products/secondary-antibodies/goat-rabbit-igg-h-l-hrp-ab97051'>ab97051</a>) at 1/100000 dilution

Predicted band size: 52 kDa

Observed band size: 60 kDa

false

Western blot - Anti-Smad2 (phospho S467) antibody [EPR23681-40] (AB280888)
  • WB

Lab

Western blot - Anti-Smad2 (phospho S467) antibody [EPR23681-40] (AB280888)

Blocking and diluting buffer and concentration : Intercept® (TBS) Blocking Buffer diluted with an equal volume of 0.1% TBS

Lanes 1-4 : Merged signal (red and green). Green - ab280888 observed at 60 kDa. Red - loading control ab8245 (Mouse monoclonal [6C5] to GAPDH) observed at 36 kDa.

ab280888 Anti-Smad2 (phospho S467) antibody [EPR23681-40] was shown to specifically react with Smad2 in wild-type HeLa cells. Loss of signal was observed when knockout cell line ab255430 (knockout cell lysate ab263833) was used. Wild-type and Smad2 knockout samples were subjected to SDS-PAGE.

ab280888 and Anti-GAPDH antibody [6C5] - Loading Control (ab8245) were incubated at 4℃ overnight at 1 in 1000 dilution and 1 in 20000 dilution respectively. Blots were developed with Goat anti-Rabbit IgG H&L (IRDye® 800CW) preadsorbed (ab216773) and Goat anti-Mouse IgG H&L (IRDye® 680RD) preadsorbed (ab216776) secondary antibodies at 1 in 10000 dilution for 1 hour at room temperature before imaging.

All lanes:

Western blot - Anti-Smad2 (phospho S467) antibody [EPR23681-40] (ab280888) at 1/1000 dilution

Lane 1:

Wild-type HeLa (human cervix adenocarcinoma epithelial cell), whole cell lysate at 20 µg

Lane 2:

Wild-type HeLa (human cervix adenocarcinoma epithelial cell) treated with 20 ng/ml TGF beta1 for 15 minutes, whole cell lysate at 20 µg

Lane 2:

Western blot - Human SMAD2 knockout HeLa cell line (<a href='/en-us/products/cell-lines/human-smad2-knockout-hela-cell-line-ab255430'>ab255430</a>)

Lane 3:

Smad2 knockout HeLa (human cervix adenocarcinoma epithelial cell), whole cell lysate at 20 µg

Lane 4:

Smad2 knockout HeLa (human cervix adenocarcinoma epithelial cell), treated with 20 ng/ml TGF beta1 for 15 minutes, whole cell lysate at 20 µg

Secondary

All lanes:

Goat Anti-Rabbit IgG H&L (IRDye® 800CW) (<a href='/en-us/products/secondary-antibodies/goat-rabbit-igg-h-l-irdye-800cw-preadsorbed-ab216773'>ab216773</a>) and Goat Anti-Mouse IgG H&L (IRDye® 680RD) (<a href='/en-us/products/secondary-antibodies/goat-mouse-igg-h-l-irdye-680rd-preadsorbed-ab216776'>ab216776</a>) at 1/20000 dilution

Predicted band size: 52 kDa

Observed band size: 60 kDa

false

Western blot - Anti-Smad2 (phospho S467) antibody [EPR23681-40] (AB280888)
  • WB

Lab

Western blot - Anti-Smad2 (phospho S467) antibody [EPR23681-40] (AB280888)

Blocking and diluting buffer and concentration : Intercept® (TBS) Blocking Buffer diluted with an equal volume of 0.1% TBS

Lanes 1-4 : Merged signal (red and green). Green - ab280888 observed at 60 kDa. Red - loading control ab8245 (Mouse monoclonal [6C5] to GAPDH) observed at 36 kDa.

ab280888 Anti-Smad2 (phospho S467) antibody [EPR23681-40] was shown to specifically react with Smad2 in wild-type HeLa cells. Loss of signal was observed when knockout cell line ab255430 (knockout cell lysate ab263833) was used. Wild-type and Smad2 knockout samples were subjected to SDS-PAGE.

ab280888 and Anti-GAPDH antibody [6C5] - Loading Control (ab8245) were incubated at 4℃ overnight at 1 in 1000 dilution and 1 in 20000 dilution respectively. Blots were developed with Goat anti-Rabbit IgG H&L (IRDye® 800CW) preadsorbed (ab216773) and Goat anti-Mouse IgG H&L (IRDye® 680RD) preadsorbed (ab216776) secondary antibodies at 1 in 10000 dilution for 1 hour at room temperature before imaging.

All lanes:

Western blot - Anti-Smad2 (phospho S467) antibody [EPR23681-40] (ab280888) at 1/1000 dilution

Lane 1:

Wild-type HeLa (human cervix adenocarcinoma epithelial cell), whole cell lysate at 20 µg

Lane 2:

Wild-type HeLa (human cervix adenocarcinoma epithelial cell) treated with 20 ng/ml TGF beta1 for 15 minutes, whole cell lysate at 20 µg

Lane 3:

Smad2 knockout HeLa (human cervix adenocarcinoma epithelial cell), whole cell lysate at 20 µg

Lane 4:

Smad2 knockout HeLa (human cervix adenocarcinoma epithelial cell), treated with 20 ng/ml TGF beta1 for 15 minutes, whole cell lysate at 20 µg

Secondary

All lanes:

Goat Anti-Rabbit IgG H&L (IRDye® 800CW) (<a href='/en-us/products/secondary-antibodies/goat-rabbit-igg-h-l-irdye-800cw-preadsorbed-ab216773'>ab216773</a>) and Goat Anti-Mouse IgG H&L (IRDye® 680RD) (<a href='/en-us/products/secondary-antibodies/goat-mouse-igg-h-l-irdye-680rd-preadsorbed-ab216776'>ab216776</a>) at 1/20000 dilution

Predicted band size: 52 kDa

Observed band size: 60 kDa

false

Dot Blot - Anti-Smad2 (phospho S467) antibody [EPR23681-40] (AB280888)
  • Dot

Supplier Data

Dot Blot - Anti-Smad2 (phospho S467) antibody [EPR23681-40] (AB280888)

Dot blot analysis of Smad2 (phospho S467) using ab280888 at 1 : 1000 (0.524 μg/ml) followed by a Goat Anti-Rabbit IgG, (H+L), Peroxidase conjugated (ab97051) at 1 : 100,000 dilution.

Lane 1 : Smad2 peptide (aa 458-467)
Lane 2 : Smad2 (phospho S465) peptide (aa 458-467)
Lane 3 : Smad2 (phospho aa S465/S467) peptide (aa 458-467)
Lane 4 : Smad2 (phospho S467) peptide (aa 458-467)

Exposure time : 3 minutes

Blocking and diluting buffer and concentration : 5% NFDM/TBST

  • Carrier free

    Anti-Smad2 (phospho S467) antibody [EPR23681-40] - BSA and Azide free

  • 565 Alexa Fluor® 555

    Alexa Fluor® 555 Anti-Smad2 (phospho S467) antibody [EPR23681-40]

  • 617 Alexa Fluor® 594

    Alexa Fluor® 594 Anti-Smad2 (phospho S467) antibody [EPR23681-40]

  • 603 Alexa Fluor® 568

    Alexa Fluor® 568 Anti-Smad2 (phospho S467) antibody [EPR23681-40]

  • 660 APC

    APC Anti-Smad2 (phospho S467) antibody [EPR23681-40]

  • 578 PE

    PE Anti-Smad2 (phospho S467) antibody [EPR23681-40]

  • 519 Alexa Fluor® 488

    Alexa Fluor® 488 Anti-Smad2 (phospho S467) antibody [EPR23681-40]

Key facts

Host species

Rabbit

Clonality

Monoclonal

Clone number

EPR23681-40

Isotype

IgG

Carrier free

No

Reacts with

Mouse, Rat, Human

Applications

IP, Flow Cyt (Intra), WB, Dot, IHC-P, ICC/IF

applications

Immunogen

The exact immunogen used to generate this antibody is proprietary information.

Specificity

This antibody was raised against a dual phosphorated peptide for both phosopho S467 and phosopho S465. The dot blot shows that this antibody binds phosopho S467 on its own, but binding is enhanced by the presence of phosopho S465. Our data suggests shown in the dot blot that this antibody does not bind phosopho S465 alone.

Reactivity data

{ "title": "Reactivity Data", "filters": { "stats": ["", "Species", "Dilution Info", "Notes"], "tabs": { "all-applications": {"fullname" : "All Applications", "shortname": "All Applications"}, "ICCIF" : {"fullname" : "Immunocytochemistry/ Immunofluorescence", "shortname":"ICC/IF"}, "IP" : {"fullname" : "Immunoprecipitation", "shortname":"IP"}, "Dot" : {"fullname" : "Dot Blot", "shortname":"Dot"}, "WB" : {"fullname" : "Western blot", "shortname":"WB"}, "FlowCytIntra" : {"fullname" : "Flow Cytometry (Intracellular)", "shortname":"Flow Cyt (Intra)"}, "IHCP" : {"fullname" : "Immunohistochemistry (Formalin/PFA-fixed paraffin-embedded sections)", "shortname":"IHC-P"} }, "product-promise": { "all": "all", "testedAndGuaranteed": "tested", "guaranteed": "expected", "predicted": "predicted", "notRecommended": "not-recommended" } }, "values": { "Human": { "ICCIF-species-checked": "testedAndGuaranteed", "ICCIF-species-dilution-info": "1/50", "ICCIF-species-notes": "<p></p>", "IP-species-checked": "testedAndGuaranteed", "IP-species-dilution-info": "1/30", "IP-species-notes": "<p></p>", "Dot-species-checked": "guaranteed", "Dot-species-dilution-info": "", "Dot-species-notes": "", "WB-species-checked": "testedAndGuaranteed", "WB-species-dilution-info": "1/1000", "WB-species-notes": "<p></p>", "FlowCytIntra-species-checked": "testedAndGuaranteed", "FlowCytIntra-species-dilution-info": "1/5000", "FlowCytIntra-species-notes": "<p></p>", "IHCP-species-checked": "testedAndGuaranteed", "IHCP-species-dilution-info": "1/2000", "IHCP-species-notes": "<p></p>" }, "Mouse": { "ICCIF-species-checked": "testedAndGuaranteed", "ICCIF-species-dilution-info": "1/50", "ICCIF-species-notes": "<p></p>", "IP-species-checked": "testedAndGuaranteed", "IP-species-dilution-info": "1/30", "IP-species-notes": "<p></p>", "Dot-species-checked": "guaranteed", "Dot-species-dilution-info": "", "Dot-species-notes": "", "WB-species-checked": "testedAndGuaranteed", "WB-species-dilution-info": "1/1000", "WB-species-notes": "<p></p>", "FlowCytIntra-species-checked": "testedAndGuaranteed", "FlowCytIntra-species-dilution-info": "1/5000", "FlowCytIntra-species-notes": "<p></p>", "IHCP-species-checked": "testedAndGuaranteed", "IHCP-species-dilution-info": "1/2000", "IHCP-species-notes": "<p></p>" }, "Rat": { "ICCIF-species-checked": "guaranteed", "ICCIF-species-dilution-info": "", "ICCIF-species-notes": "", "IP-species-checked": "guaranteed", "IP-species-dilution-info": "", "IP-species-notes": "", "Dot-species-checked": "guaranteed", "Dot-species-dilution-info": "", "Dot-species-notes": "", "WB-species-checked": "notRecommended", "WB-species-dilution-info": "1/1000", "WB-species-notes": "<p></p>", "FlowCytIntra-species-checked": "guaranteed", "FlowCytIntra-species-dilution-info": "", "FlowCytIntra-species-notes": "", "IHCP-species-checked": "testedAndGuaranteed", "IHCP-species-dilution-info": "1/2000", "IHCP-species-notes": "<p></p>" }, "Synthetic peptide - Human": { "ICCIF-species-checked": "notRecommended", "ICCIF-species-dilution-info": "", "ICCIF-species-notes": "", "IP-species-checked": "notRecommended", "IP-species-dilution-info": "", "IP-species-notes": "", "Dot-species-checked": "testedAndGuaranteed", "Dot-species-dilution-info": "1/1000", "Dot-species-notes": "<p></p>", "WB-species-checked": "notRecommended", "WB-species-dilution-info": "", "WB-species-notes": "", "FlowCytIntra-species-checked": "notRecommended", "FlowCytIntra-species-dilution-info": "", "FlowCytIntra-species-notes": "", "IHCP-species-checked": "notRecommended", "IHCP-species-dilution-info": "", "IHCP-species-notes": "" } } }

You may be interested in:

AB260065

Human Smad2 ELISA Kit

0

0 Reviews

View product

We recommend this product because it’s often used in the same experiment or related research.

We advise that you always check the datasheet to ensure it fits your experiments, or contact ourtechnical teamfor help.

Product details

Properties and storage information

Form
Liquid
Purification technique
Affinity purification Protein A
Storage buffer
Preservative: 0.01% Sodium azide Constituents: 59.94% PBS, 40% Glycerol (glycerin, glycerine), 0.05% BSA
Shipped at conditions
Blue Ice
Appropriate short-term storage duration
1-2 weeks
Appropriate short-term storage conditions
+4°C
Appropriate long-term storage conditions
-20°C
Aliquoting information
Upon delivery aliquot
Storage information
Avoid freeze / thaw cycle

Supplementary information

This supplementary information is collated from multiple sources and compiled automatically.

Smad2 also known as Mothers against decapentaplegic homolog 2 (MAD2) or MADR2 is a signaling protein involved in the transforming growth factor-beta (TGF-Β) receptor pathway. Smad2 has a molecular mass of approximately 58 kDa and expresses in various tissues including epithelial mesenchymal and endothelial cells. Smad2 undergoes phosphorylation on serine residues in response to TGF-Β signaling converting it into phosphorylated forms often referred to as p-Smad2 or phospho-Smad2. These phosphorylated forms are critical for the relay of signals from the cell surface to the nucleus.
Biological function summary

Smad2 acts as an intracellular mediator for TGF-Β signaling a pathway important for regulating cell proliferation differentiation and apoptosis. Smad2 typically functions as part of a heteromeric complex with Smad4 another key player in TGF-Β signaling. Upon activation phosphorylated Smad2 combines with Smad4 to form a complex that translocates into the nucleus. This complex then binds to specific DNA sequences to regulate the transcription of target genes involved in processes such as cell growth inhibition and extracellular matrix production.

Pathways

Smad2 is integral to the TGF-Β and activin receptor signaling pathways. These pathways are essential in controlling cell growth and immune responses. Smad2 interacts with other proteins such as Smad3 in addition to Smad4 to modulate gene expression effectively. The interaction between Smad2 and these proteins ensures precise control of cellular responses to external stimuli emphasizing its pivotal role in maintaining cellular homeostasis.

Smad2 correlates with various pathological conditions including fibrosis and cancer. Aberrant Smad2 signaling can contribute to the development of these diseases as excessive TGF-Β signaling promotes fibrotic tissue deposition and tumor progression. Smad2 connects with other proteins like Smad3 in these pathological contexts both acting as mediators of abnormal cellular behaviors. Understanding the regulatory mechanisms of Smad2 can help develop therapeutic strategies against disorders linked to dysregulated TGF-Β signaling.

Product protocols

For this product, it's our understanding that no specific protocols are required. You can visit:

Target data

Receptor-regulated SMAD (R-SMAD) that is an intracellular signal transducer and transcriptional modulator activated by TGF-beta (transforming growth factor) and activin type 1 receptor kinases. Binds the TRE element in the promoter region of many genes that are regulated by TGF-beta and, on formation of the SMAD2/SMAD4 complex, activates transcription. Promotes TGFB1-mediated transcription of odontoblastic differentiation genes in dental papilla cells (By similarity). Positively regulates PDPK1 kinase activity by stimulating its dissociation from the 14-3-3 protein YWHAQ which acts as a negative regulator. May act as a tumor suppressor in colorectal carcinoma (PubMed : 8752209).
See full target information SMAD2 phospho S467

Publications (22)

Recent publications for all applications. Explore the full list and refine your search

Aging 15:10524-10539 PubMed37815883

2023

Paroxetine protects against bleomycin-induced pulmonary fibrosis by blocking GRK2/Smad3 pathway.

Applications

Unspecified application

Species

Unspecified reactive species

Kaochang Zhao,Hanxiang Nie,Zheng Tang,Guozhong Chen,Jizhen Huang

Environmental toxicology 39:106-119 PubMed37665165

2023

Total flavonoids of Rhizoma drynariae improves tendon-bone healing for anterior cruciate ligament reconstruction in mice and promotes the osteogenic differentiation of bone mesenchymal stem cells by the ERR1/2-Gga1-TGF-β/MAPK pathway.

Applications

Unspecified application

Species

Unspecified reactive species

Lei Han,Canfeng Wang,Tuo Wang,Yungeng Hu,Hongshun Wang

Cell journal 25:554-563 PubMed37641417

2023

β-Sitosterol Inhibits The Proliferation of Endometrial Cells via Regulating Smad7-Mediated TGF-β/Smads Signaling Pathway.

Applications

Unspecified application

Species

Unspecified reactive species

Yi Wen,Lili Pang,Lingxiu Fan,Yihan Zhou,Ruonan Li,Tingting Zhao,Manli Zhang

Cellular & molecular biology letters 28:32 PubMed37076815

2023

KIAA1429-mediated m6A modification of CHST11 promotes progression of diffuse large B-cell lymphoma by regulating Hippo-YAP pathway.

Applications

Unspecified application

Species

Unspecified reactive species

Xiaomin Chen,Tiange Lu,Yiqing Cai,Yang Han,Mengfei Ding,Yurou Chu,Xiangxiang Zhou,Xin Wang

Environmental toxicology 38:950-961 PubMed36715115

2023

RBM15 silencing promotes ferroptosis by regulating the TGF-β/Smad2 pathway in lung cancer.

Applications

Unspecified application

Species

Unspecified reactive species

Jing Feng,Yaling Li,Fen He,Fuwei Zhang

Journal of Cancer 14:114-128 PubMed36605486

2023

Anti-PAI-1 Monoclonal Antibody Inhibits the Metastasis and Growth of Esophageal Squamous Cell Carcinoma.

Applications

Unspecified application

Species

Unspecified reactive species

Yutian Zheng,Lin Meng,Like Qu,Chuanke Zhao,Lixin Wang,Caiyun Liu,Chengchao Shou

Drug design, development and therapy 16:4223-4234 PubMed36524216

2022

Keloid Patient Plasma-Derived Exosomal hsa_circ_0020792 Promotes Normal Skin Fibroblasts Proliferation, Migration, and Fibrogenesis via Modulating miR-193a-5p and Activating TGF-β1/Smad2/3 Signaling.

Applications

Unspecified application

Species

Unspecified reactive species

Huan Hu,Guangyu Mao,Jianghong Zheng,Feng Guo

Frontiers in pharmacology 13:1021361 PubMed36386139

2022

Administration of USP7 inhibitor P22077 inhibited cardiac hypertrophy and remodeling in Ang II-induced hypertensive mice.

Applications

Unspecified application

Species

Unspecified reactive species

Yu-Hui Gu,Kai-Wen Ren,Yu Wang,Shi-Hao Wang,Xiao-Hong Yu,Li-Wen Xu,Hui-Hua Li,Hai-Lian Bi

Frontiers in cardiovascular medicine 9:957903 PubMed36304536

2022

Cardiac-specific knockdown of Bhlhe40 attenuates angiotensin II (Ang II)-Induced atrial fibrillation in mice.

Applications

Unspecified application

Species

Unspecified reactive species

Kai-Wen Ren,Xiao-Hong Yu,Yu-Hui Gu,Xin Xie,Yu Wang,Shi-Hao Wang,Hui-Hua Li,Hai-Lian Bi

BMC cancer 22:942 PubMed36050634

2022

Oleuropein inhibits invasion of squamous cell carcinoma of the head and neck through TGF-β1 signaling pathway.

Applications

Unspecified application

Species

Unspecified reactive species

Ting Xu,Xuan Liu
View all publications

Product promise

We are committed to supporting your work with high-quality reagents, and we're here for you every step of the way. In the unlikely event that one of our products does not perform as expected, you're protected by our Product Promise.
For full details, please see our Terms & Conditions

Please note: All products are 'FOR RESEARCH USE ONLY. NOT FOR USE IN DIAGNOSTIC OR THERAPEUTIC PROCEDURES'.

For licensing inquiries, please contact partnerships@abcam.com