JavaScript is disabled in your browser. Please enable JavaScript to view this website.
AB280897

Anti-Smad2 (phospho S467) antibody [EPR23681-40] - BSA and Azide free

  • BOND RX™ Validated
  • RabMAb
  • Recombinant
  • KO Validated
  • What is this?

4

(1 Review)

|

(0 Publication)

Rabbit Recombinant Monoclonal SMAD2 phospho S467 antibody. Carrier free. Suitable for ICC/IF, IP, Dot, WB, Flow Cyt (Intra), IHC-P and reacts with Mouse, Human, Rat, Synthetic peptide - Human samples.

View Alternative Names

MADH2, MADR2, SMAD2, SMAD family member 2, SMAD 2, hSMAD2, JV18-1, Mad-related protein 2, Mothers against decapentaplegic homolog 2, hMAD-2, MAD homolog 2, Mothers against DPP homolog 2

14 Images
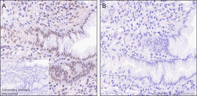
Immunohistochemistry (Formalin/PFA-fixed paraffin-embedded sections) - Anti-Smad2 (phospho S467) antibody [EPR23681-40] - BSA and Azide free (AB280897)
  • IHC-P

Supplier Data

Immunohistochemistry (Formalin/PFA-fixed paraffin-embedded sections) - Anti-Smad2 (phospho S467) antibody [EPR23681-40] - BSA and Azide free (AB280897)

This data was developed using ab280888, the same antibody clone in a different buffer formulation.

Immunohistochemical analysis of paraffin-embedded human stomach tissue labelling Smad2 (phospho S467) with ab280888 at 1/2000 (0.262 μg/ml) dilution followed by ready to use Rabbit specific IHC polymer detection kit HRP/DAB (ab209101). Nuclear staining on human stomach without alkaline phosphatase treatment (image A). No signal was detected when tissues were treated with alkaline phosphatase (image B). The section was incubated with ab280888 for 30 mins at room temperature. The immunostaining was performed on a Leica Biosystems BOND® RX instrument. Counterstained with Hematoxylin.

Secondary antibody only control : Secondary antibody is ready to use Rabbit specific IHC polymer detection kit HRP/DAB (ab209101).

Heat mediated antigen retrieval with Tris-EDTA buffer (pH 9.0, epitope retrieval solution2) for 20 mins.

Flow Cytometry (Intracellular) - Anti-Smad2 (phospho S467) antibody [EPR23681-40] - BSA and Azide free (AB280897)
  • Flow Cyt (Intra)

Supplier Data

Flow Cytometry (Intracellular) - Anti-Smad2 (phospho S467) antibody [EPR23681-40] - BSA and Azide free (AB280897)

This data was developed using ab280888, the same antibody clone in a different buffer formulation.

Intracellular flow cytometric analysis of 4% paraformaldehyde fixed 90% methanol permeabilized HeLa (human cervix adenocarcinoma epithelial cell) treated with 20ng/ml TGF beta1 for 15 minutes (Red)/ Untreated control (Green) cells labelling Smad2 (phospho S467) with ab280888 at 1/5000 dilution (0.01μg)/ red (Red) compared with a Rabbit monoclonal IgG (ab172730) (Black) isotype control and an unlabelled control (cells without incubation with primary antibody and secondary antibody) (Blue).

Goat anti rabbit IgG (Alexa Fluor® 488, ab150077) at 1/2000 dilution was used as the secondary antibody.

The up-regulation of pSmad2 (S467) is induced by TGF-beta1 treatment in HeLa (PMID : 24959295).

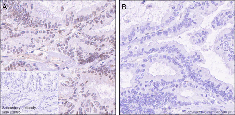
Immunohistochemistry (Formalin/PFA-fixed paraffin-embedded sections) - Anti-Smad2 (phospho S467) antibody [EPR23681-40] - BSA and Azide free (AB280897)
  • IHC-P

Supplier Data

Immunohistochemistry (Formalin/PFA-fixed paraffin-embedded sections) - Anti-Smad2 (phospho S467) antibody [EPR23681-40] - BSA and Azide free (AB280897)

This data was developed using ab280888, the same antibody clone in a different buffer formulation.

Immunohistochemical analysis of paraffin-embedded human colon carcinoma tissue labelling Smad2 (phospho S467) with ab280888 at 1/2000 (0.262 μg/ml) dilution followed by a ready to use Rabbit specific IHC polymer detection kit HRP/DAB (ab209101). Nuclear staining on human colon carcinoma without alkaline phosphatase treatment (image A). No signal was detected when tissues were treated with alkaline phosphatase (image B). The section was incubated with ab280888 for 30 mins at room temperature. The immunostaining was performed on a Leica Biosystems BOND® RX instrument. Counterstained with Hematoxylin.

Secondary antibody only control : Secondary antibody is ready to use Rabbit specific IHC polymer detection kit HRP/DAB (ab209101).

Heat mediated antigen retrieval with Tris-EDTA buffer (pH 9.0, epitope retrieval solution2) for 20 mins.

Immunocytochemistry/ Immunofluorescence - Anti-Smad2 (phospho S467) antibody [EPR23681-40] - BSA and Azide free (AB280897)
  • ICC/IF

Supplier Data

Immunocytochemistry/ Immunofluorescence - Anti-Smad2 (phospho S467) antibody [EPR23681-40] - BSA and Azide free (AB280897)

This data was developed using ab280888, the same antibody clone in a different buffer formulation.

Immunofluorescent analysis of 4% Paraformaldehyde-fixed, 0.1% Triton X-100 permeabilized HeLa cells labelling Smad2 (phospho S467) with ab280888 at 1/50 (10.48 μg/ml) dilution, followed by ab150077 Goat Anti-Rabbit IgG H&L (Alexa Fluor® 488) antibody at 1/1000 dilution (Green).

Confocal image showing mainly nuclear staining in HeLa cells treated with TGF-β1 (20 ng/ml) for 15 mins.

ab195889 Anti-alpha Tubulin mouse monoclonal antibody - Microtubule Marker (Alexa Fluor® 594) was used to counterstain tubulin at 1/200 dilution (Red). The nuclear counterstain was DAPI (Blue).

Secondary antibody only control : Secondary antibody is ab150077 Goat Anti-Rabbit IgG H&L (Alexa Fluor® 488) at 1/1000 dilution.

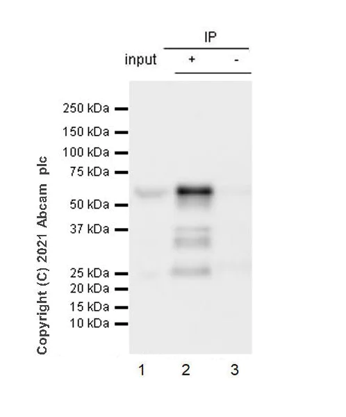
Immunoprecipitation - Anti-Smad2 (phospho S467) antibody [EPR23681-40] - BSA and Azide free (AB280897)
  • IP

Supplier Data

Immunoprecipitation - Anti-Smad2 (phospho S467) antibody [EPR23681-40] - BSA and Azide free (AB280897)

This data was developed using ab280888, the same antibody clone in a different buffer formulation.

Smad2 (phospho S467) was immunoprecipitated from 0.35 mg HeLa (human cervix adenocarcinoma epithelial cell) treated with 20ng/ml TGF beta1 for 15 minutes, whole cell lysate 10 μg with ab280888 at 1/30 dilution (2μg in 0.35mg lysates). Western blot was performed on the immunoprecipitate using ab280888 at 1/1000 dilution. VeriBlot for IP Detection Reagent (HRP)(ab131366) was used at 1/5000 dilution.

Lane 1 : HeLa treated with 20ng/ml TGF beta1 for 15 minutes, whole cell lysate 10 μg

Lane 2 : ab280888 IP in HeLa treated with 20ng/ml TGF beta1 for 15 minutes whole cell lysate

Lane 3 : Rabbit monoclonal IgG (ab172730) instead of ab280888 in HeLa treated with 20ng/ml TGF beta1 for 15 minutes whole cell lysate

Blocking and dilution buffer and concentration : 5% NFDM/TBST.

Exposure time : 15 seconds.

All lanes:

Immunoprecipitation - Anti-Smad2 (phospho S467) antibody [EPR23681-40] (<a href='/en-us/products/primary-antibodies/smad2-phospho-s467-antibody-epr23681-40-ab280888'>ab280888</a>)

Predicted band size: 52 kDa

Observed band size: 60 kDa

false

Flow Cytometry (Intracellular) - Anti-Smad2 (phospho S467) antibody [EPR23681-40] - BSA and Azide free (AB280897)
  • Flow Cyt (Intra)

Supplier Data

Flow Cytometry (Intracellular) - Anti-Smad2 (phospho S467) antibody [EPR23681-40] - BSA and Azide free (AB280897)

This data was developed using ab280888, the same antibody clone in a different buffer formulation.

Intracellular flow cytometric analysis of 4% paraformaldehyde fixed 90% methanol permeabilized NIH/3T3 (mouse embryonic fibroblast) treated with 20ng/ml TGF beta1 for 15 minutes (Red)/ Untreated control (Green) cells labelling Smad2 (phospho S467) with ab280888 at 1/5000 dilution (0.01μg)/ red (Red) compared with a Rabbit monoclonal IgG (ab172730) (Black) isotype control and an unlabelled control (cells without incubation with primary antibody and secondary antibody) (Blue).

Goat anti rabbit IgG (Alexa Fluor® 488, ab150077) at 1/2000 dilution was used as the secondary antibody.

The up-regulation of pSmad2 (S467) is induced by TGF-beta1 treatment in NIH/3T3 (PMID : 24347165).

Immunohistochemistry (Formalin/PFA-fixed paraffin-embedded sections) - Anti-Smad2 (phospho S467) antibody [EPR23681-40] - BSA and Azide free (AB280897)
  • IHC-P

Supplier Data

Immunohistochemistry (Formalin/PFA-fixed paraffin-embedded sections) - Anti-Smad2 (phospho S467) antibody [EPR23681-40] - BSA and Azide free (AB280897)

This data was developed using ab280888, the same antibody clone in a different buffer formulation.

Immunohistochemical analysis of paraffin-embedded rat lung tissue labelling Smad2 (phospho S467) with ab280888 at 1/2000 (0.262 μg/ml) dilution followed by a ready to use Rabbit specific IHC polymer detection kit HRP/DAB (ab209101). Nuclear staining on rat lung without alkaline phosphatase treatment (image A). No signal was detected when tissues were treated with alkaline phosphatase (image B). The section was incubated with ab280888 for 30 mins at room temperature. The immunostaining was performed on a Leica Biosystems BOND® RX instrument. Counterstained with Hematoxylin.

Secondary antibody only control : Secondary antibody is ready to use Rabbit specific IHC polymer detection kit HRP/DAB (ab209101).

Heat mediated antigen retrieval with Tris-EDTA buffer (pH 9.0, epitope retrieval solution2) for 20 mins.

Immunocytochemistry/ Immunofluorescence - Anti-Smad2 (phospho S467) antibody [EPR23681-40] - BSA and Azide free (AB280897)
  • ICC/IF

Supplier Data

Immunocytochemistry/ Immunofluorescence - Anti-Smad2 (phospho S467) antibody [EPR23681-40] - BSA and Azide free (AB280897)

This data was developed using ab280888, the same antibody clone in a different buffer formulation.

Immunofluorescent analysis of 4% Paraformaldehyde-fixed, 0.1% Triton X-100 permeabilized NIH/3T3 cells labelling Smad2 (phospho S467) with ab280888 at 1/50 (10.48 μg/ml) dilution, followed by ab150077 Goat Anti-Rabbit IgG H&L (Alexa Fluor® 488) antibody at 1/1000 dilution (Green).

Confocal image showing mainly nuclear staining in NIH/3T3 cells treated with TGF-β1 (20 ng/ml) for 15 mins.

ab195889 Anti-alpha Tubulin mouse monoclonal antibody - Microtubule Marker (Alexa Fluor® 594) was used to counterstain tubulin at 1/200 dilution (Red). The Nuclear counterstain was DAPI (Blue).

Secondary antibody only control : Secondary antibody is ab150077 Goat Anti-Rabbit IgG H&L (Alexa Fluor® 488) at 1/1000 dilution.

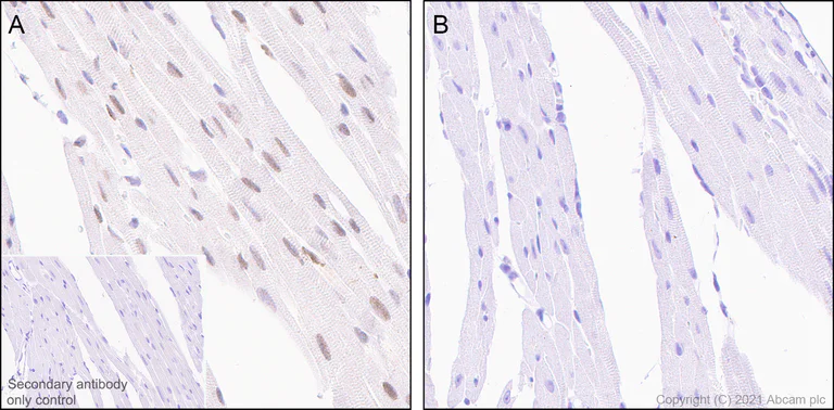
Immunohistochemistry (Formalin/PFA-fixed paraffin-embedded sections) - Anti-Smad2 (phospho S467) antibody [EPR23681-40] - BSA and Azide free (AB280897)
  • IHC-P

Supplier Data

Immunohistochemistry (Formalin/PFA-fixed paraffin-embedded sections) - Anti-Smad2 (phospho S467) antibody [EPR23681-40] - BSA and Azide free (AB280897)

This data was developed using ab280888, the same antibody clone in a different buffer formulation.

Immunohistochemical analysis of paraffin-embedded mouse cardiac muscle tissue labelling Smad2 (phospho S467) with ab280888 at 1/2000 (0.262 μg/ml) dilution followed by a ready to use Rabbit specific IHC polymer detection kit HRP/DAB (ab209101). Nuclear staining on mouse cardiac muscle without alkaline phosphatase treatment (image A). No signal was detected when tissues were treated with alkaline phosphatase (image B). The section was incubated with ab280888 for 30 mins at room temperature. The immunostaining was performed on a Leica Biosystems BOND® RX instrument. Counterstained with Hematoxylin.

Secondary antibody only control : Secondary antibody is ready to use Rabbit specific IHC polymer detection kit HRP/DAB (ab209101).

Heat mediated antigen retrieval with Tris-EDTA buffer (pH 9.0, epitope retrieval solution2) for 20 mins.

Immunoprecipitation - Anti-Smad2 (phospho S467) antibody [EPR23681-40] - BSA and Azide free (AB280897)
  • IP

Supplier Data

Immunoprecipitation - Anti-Smad2 (phospho S467) antibody [EPR23681-40] - BSA and Azide free (AB280897)

This data was developed using ab280888, the same antibody clone in a different buffer formulation.

Smad2 (phospho S467) was immunoprecipitated from 0.35 mg NIH/3T3 (mouse embryonic fibroblast) treated with 20ng/ml TGF beta1 50 μM MG-132 for 15 minutes, whole cell lysate 10 μg with ab280888 at 1/30 dilution (2μg in 0.35mg lysates). Western blot was performed on the immunoprecipitate using ab280888 at 1/1000 dilution. VeriBlot for IP Detection Reagent (HRP)(ab131366) was used at 1/5000 dilution.

Lane 1 : NIH/3T3 treated with 20ng/ml TGF beta1 50 μM MG-132 for 15 minutes, whole cell lysate 10 μg

Lane 2 : ab280888 IP in NIH/3T3 treated with 20ng/mltreated with 20ng/ml TGF beta1 50 μM MG-132 for 15 minutes, whole cell lysate

Lane 3 : Rabbit monoclonal IgG (ab172730) instead of ab280888 in NIH/3T3 treated with 20ng/mltreated with 20ng/ml TGF beta1 50 μM MG-132 for 15 minutes, whole cell lysate

Blocking and dilution buffer and concentration : 5% NFDM/TBST.

Exposure time : 32 seconds.

All lanes:

Immunoprecipitation - Anti-Smad2 (phospho S467) antibody [EPR23681-40] (<a href='/en-us/products/primary-antibodies/smad2-phospho-s467-antibody-epr23681-40-ab280888'>ab280888</a>)

Predicted band size: 52 kDa

Observed band size: 60 kDa

false

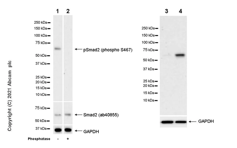
Western blot - Anti-Smad2 (phospho S467) antibody [EPR23681-40] - BSA and Azide free (AB280897)
  • WB

Lab

Western blot - Anti-Smad2 (phospho S467) antibody [EPR23681-40] - BSA and Azide free (AB280897)

This data was developed using ab280888, the same antibody clone in a different buffer formulation.

Blocking and diluting buffer and concentration : Intercept® (TBS) Blocking Buffer diluted with an equal volume of 0.1% TBS

Lanes 1-4 : Merged signal (red and green). Green - ab280888 observed at 60 kDa. Red - loading control ab8245 (Mouse monoclonal [6C5] to GAPDH) observed at 36 kDa.

ab280888 Anti-Smad2 (phospho S467) antibody [EPR23681-40] was shown to specifically react with Smad2 in wild-type HeLa cells. Loss of signal was observed when knockout cell line ab255430 (knockout cell lysate (ab263833) was used. Wild-type and Smad2 knockout samples were subjected to SDS-PAGE.

ab280888 and Anti-GAPDH antibody [6C5] - Loading Control (ab8245) were incubated at 4℃ overnight at 1 in 1000 dilution and 1 in 20000 dilution respectively. Blots were developed with Goat anti-Rabbit IgG H&L (IRDye® 800CW) preadsorbed (ab216773) and Goat anti-Mouse IgG H&L (IRDye® 680RD) preadsorbed (ab216776) secondary antibodies at 1 in 10000 dilution for 1 hour at room temperature before imaging.

All lanes:

Western blot - Anti-Smad2 (phospho S467) antibody [EPR23681-40] (<a href='/en-us/products/primary-antibodies/smad2-phospho-s467-antibody-epr23681-40-ab280888'>ab280888</a>) at 1/1000 dilution

Lane 1:

Wild-type HeLa (human cervix adenocarcinoma epithelial cell), whole cell lysate at 20 µg

Lane 2:

Wild-type HeLa (human cervix adenocarcinoma epithelial cell) treated with 20 ng/ml TGF beta1 for 15 minutes, whole cell lysate at 20 µg

Lane 2:

Western blot - Human SMAD2 knockout HeLa cell line (<a href='/en-us/products/cell-lines/human-smad2-knockout-hela-cell-line-ab255430'>ab255430</a>)

Lane 3:

Smad2 knockout HeLa (human cervix adenocarcinoma epithelial cell), whole cell lysate at 20 µg

Lane 4:

Smad2 knockout HeLa (human cervix adenocarcinoma epithelial cell), treated with 20 ng/ml TGF beta1 for 15 minutes, whole cell lysate at 20 µg

Secondary

All lanes:

Goat Anti-Rabbit IgG H&L (IRDye® 800CW) (<a href='/en-us/products/secondary-antibodies/goat-rabbit-igg-h-l-irdye-800cw-preadsorbed-ab216773'>ab216773</a>) and Goat Anti-Mouse IgG H&L (IRDye® 680RD) (<a href='/en-us/products/secondary-antibodies/goat-mouse-igg-h-l-irdye-680rd-preadsorbed-ab216776'>ab216776</a>) at 1/20000 dilution

Predicted band size: 52 kDa

Observed band size: 60 kDa

false

Western blot - Anti-Smad2 (phospho S467) antibody [EPR23681-40] - BSA and Azide free (AB280897)
  • WB

Lab

Western blot - Anti-Smad2 (phospho S467) antibody [EPR23681-40] - BSA and Azide free (AB280897)

This data was developed using ab280888, the same antibody clone in a different buffer formulation.

Blocking and diluting buffer and concentration : 5% NFDM/TBST

The molecular weight observed is consistent with what has been described in the literature. (PMID : 24959295)

The up-regulation of pSmad2 (S467) is induced by TGF-beta1 treatment in HeLa (PMID : 24959295).

Exposure time : 3 minutes.

All lanes:

Western blot - Anti-Smad2 (phospho S467) antibody [EPR23681-40] (<a href='/en-us/products/primary-antibodies/smad2-phospho-s467-antibody-epr23681-40-ab280888'>ab280888</a>) at 1/1000 dilution

Lane 1:

HeLa (human cervix adenocarcinoma epithelial cell) treated with 20ng/ml TGF beta1 for 15 minutes, whole cell lysate at 10 µg

Lane 2:

HeLa treated with 20ng/ml TGF beta1 for 15 minutes whole cell lysate (phosphatase treated membrane) at 10 µg

Lane 3:

HeLa whole cell lysate at 20 µg

Lane 4:

HeLa treated with 20ng/ml TGF beta1 for 15 minutes, whole cell lysate at 20 µg

Secondary

All lanes:

Western blot - Goat Anti-Rabbit IgG H&L (HRP) (<a href='/en-us/products/secondary-antibodies/goat-rabbit-igg-h-l-hrp-ab97051'>ab97051</a>) at 1/100000 dilution

Predicted band size: 52 kDa

Observed band size: 60 kDa

false

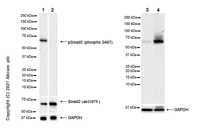
Western blot - Anti-Smad2 (phospho S467) antibody [EPR23681-40] - BSA and Azide free (AB280897)
  • WB

Lab

Western blot - Anti-Smad2 (phospho S467) antibody [EPR23681-40] - BSA and Azide free (AB280897)

This data was developed using ab280888, the same antibody clone in a different buffer formulation.

Blocking and diluting buffer and concentration : 5% NFDM/TBST

The molecular weight observed is consistent with what has been described in the literature. (PMID : 24347165)

The up-regulation of pSmad2 (S467) is induced by TGF-beta1 treatment in NIH/3T3 (PMID : 24347165)

Exposure time : 3 minutes.

All lanes:

Western blot - Anti-Smad2 (phospho S467) antibody [EPR23681-40] (<a href='/en-us/products/primary-antibodies/smad2-phospho-s467-antibody-epr23681-40-ab280888'>ab280888</a>) at 1/1000 dilution

Lane 1:

NIH/3T3 (mouse embryonic fibroblast) treated with 20ng/ml TGF beta1 and 50 μM MG-132 for 15 minutes, whole cell lysate at 10 µg

Lane 2:

NIH/3T3 treated with 20ng/ml TGF beta1 and 50 μM MG-132 for 15 minutes whole cell lysate (phosphatase treated membrane) at 10 µg

Lane 3:

NIH/3T3 whole cell lysate at 10 µg

Lane 4:

NIH/3T3 treated with 20ng/ml TGF beta1 and 50 μM MG-132 for 15 minutes, whole cell lysate at 10 µg

Secondary

All lanes:

Western blot - Goat Anti-Rabbit IgG H&L (HRP) (<a href='/en-us/products/secondary-antibodies/goat-rabbit-igg-h-l-hrp-ab97051'>ab97051</a>) at 1/100000 dilution

Predicted band size: 52 kDa

Observed band size: 60 kDa

false

Dot Blot - Anti-Smad2 (phospho S467) antibody [EPR23681-40] - BSA and Azide free (AB280897)
  • Dot

Supplier Data

Dot Blot - Anti-Smad2 (phospho S467) antibody [EPR23681-40] - BSA and Azide free (AB280897)

This data was developed using ab280888, the same antibody clone in a different buffer formulation.

Dot blot analysis of Smad2 (phospho S467) using ab280888 at 1 : 1000 (0.524 μg/ml) followed by a Goat Anti-Rabbit IgG, (H+L), Peroxidase conjugated (ab97051) at 1 : 100,000 dilution.

Lane 1 : Smad2 peptide (aa 458-467)
Lane 2 : Smad2 (phospho S465) peptide (aa 458-467)
Lane 3 : Smad2 (phospho aa S465/S467) peptide (aa 458-467)
Lane 4 : Smad2 (phospho S467) peptide (aa 458-467)

Exposure time : 3 minutes

Blocking and diluting buffer and concentration : 5% NFDM/TBST

  • 603 Alexa Fluor® 568

    Alexa Fluor® 568 Anti-Smad2 (phospho S467) antibody [EPR23681-40]

  • Unconjugated

    Anti-Smad2 (phospho S467) antibody [EPR23681-40]

  • 519 Alexa Fluor® 488

    Alexa Fluor® 488 Anti-Smad2 (phospho S467) antibody [EPR23681-40]

  • 660 APC

    APC Anti-Smad2 (phospho S467) antibody [EPR23681-40]

  • 578 PE

    PE Anti-Smad2 (phospho S467) antibody [EPR23681-40]

  • 617 Alexa Fluor® 594

    Alexa Fluor® 594 Anti-Smad2 (phospho S467) antibody [EPR23681-40]

  • 565 Alexa Fluor® 555

    Alexa Fluor® 555 Anti-Smad2 (phospho S467) antibody [EPR23681-40]

Key facts

Host species

Rabbit

Clonality

Monoclonal

Clone number

EPR23681-40

Isotype

IgG

Carrier free

Yes

Reacts with

Mouse, Rat, Human

Applications

ICC/IF, Dot, WB, IHC-P, IP, Flow Cyt (Intra)

applications

Immunogen

The exact immunogen used to generate this antibody is proprietary information.

Specificity

This antibody was raised against a dual phosphorated peptide for both phosopho S467 and phosopho S465. The dot blot shows that this antibody binds phosopho S467 on its own, but binding is enhanced by the presence of phosopho S465. Our data suggests shown in the dot blot that this antibody does not bind phosopho S465 alone.

Reactivity data

{ "title": "Reactivity Data", "filters": { "stats": ["", "Species", "Dilution Info", "Notes"], "tabs": { "all-applications": {"fullname" : "All Applications", "shortname": "All Applications"}, "ICCIF" : {"fullname" : "Immunocytochemistry/ Immunofluorescence", "shortname":"ICC/IF"}, "IP" : {"fullname" : "Immunoprecipitation", "shortname":"IP"}, "Dot" : {"fullname" : "Dot Blot", "shortname":"Dot"}, "WB" : {"fullname" : "Western blot", "shortname":"WB"}, "FlowCytIntra" : {"fullname" : "Flow Cytometry (Intracellular)", "shortname":"Flow Cyt (Intra)"}, "IHCP" : {"fullname" : "Immunohistochemistry (Formalin/PFA-fixed paraffin-embedded sections)", "shortname":"IHC-P"} }, "product-promise": { "all": "all", "testedAndGuaranteed": "tested", "guaranteed": "expected", "predicted": "predicted", "notRecommended": "not-recommended" } }, "values": { "Human": { "ICCIF-species-checked": "testedAndGuaranteed", "ICCIF-species-dilution-info": "", "ICCIF-species-notes": "<p></p>", "IP-species-checked": "testedAndGuaranteed", "IP-species-dilution-info": "", "IP-species-notes": "<p></p>", "Dot-species-checked": "guaranteed", "Dot-species-dilution-info": "", "Dot-species-notes": "", "WB-species-checked": "testedAndGuaranteed", "WB-species-dilution-info": "", "WB-species-notes": "<p></p>", "FlowCytIntra-species-checked": "testedAndGuaranteed", "FlowCytIntra-species-dilution-info": "", "FlowCytIntra-species-notes": "<p></p>", "IHCP-species-checked": "testedAndGuaranteed", "IHCP-species-dilution-info": "", "IHCP-species-notes": "<p></p>" }, "Mouse": { "ICCIF-species-checked": "testedAndGuaranteed", "ICCIF-species-dilution-info": "", "ICCIF-species-notes": "<p></p>", "IP-species-checked": "testedAndGuaranteed", "IP-species-dilution-info": "", "IP-species-notes": "<p></p>", "Dot-species-checked": "guaranteed", "Dot-species-dilution-info": "", "Dot-species-notes": "", "WB-species-checked": "testedAndGuaranteed", "WB-species-dilution-info": "", "WB-species-notes": "<p></p>", "FlowCytIntra-species-checked": "testedAndGuaranteed", "FlowCytIntra-species-dilution-info": "", "FlowCytIntra-species-notes": "<p></p>", "IHCP-species-checked": "testedAndGuaranteed", "IHCP-species-dilution-info": "", "IHCP-species-notes": "<p></p>" }, "Rat": { "ICCIF-species-checked": "guaranteed", "ICCIF-species-dilution-info": "", "ICCIF-species-notes": "", "IP-species-checked": "guaranteed", "IP-species-dilution-info": "", "IP-species-notes": "", "Dot-species-checked": "guaranteed", "Dot-species-dilution-info": "", "Dot-species-notes": "", "WB-species-checked": "notRecommended", "WB-species-dilution-info": "", "WB-species-notes": "<p></p>", "FlowCytIntra-species-checked": "guaranteed", "FlowCytIntra-species-dilution-info": "", "FlowCytIntra-species-notes": "", "IHCP-species-checked": "testedAndGuaranteed", "IHCP-species-dilution-info": "", "IHCP-species-notes": "<p></p>" }, "Synthetic peptide - Human": { "ICCIF-species-checked": "notRecommended", "ICCIF-species-dilution-info": "", "ICCIF-species-notes": "", "IP-species-checked": "notRecommended", "IP-species-dilution-info": "", "IP-species-notes": "", "Dot-species-checked": "testedAndGuaranteed", "Dot-species-dilution-info": "", "Dot-species-notes": "<p></p>", "WB-species-checked": "notRecommended", "WB-species-dilution-info": "", "WB-species-notes": "", "FlowCytIntra-species-checked": "notRecommended", "FlowCytIntra-species-dilution-info": "", "FlowCytIntra-species-notes": "", "IHCP-species-checked": "notRecommended", "IHCP-species-dilution-info": "", "IHCP-species-notes": "" } } }

Product details

ab280897 is the carrier-free version of ab280888.

Patented technology
Our RabMAb® technology is a patented hybridoma-based technology for making rabbit monoclonal antibodies. For details on our patents, please refer to RabMAb® patents.

What are the advantages of a recombinant monoclonal antibody?
This product is a recombinant monoclonal antibody, which offers several advantages including:

  • - High batch-to-batch consistency and reproducibility
  • - Improved sensitivity and specificity
  • - Long-term security of supply
  • - Animal-free batch production

For more information, read more on recombinant antibodies.

Conjugation ready
Our carrier-free antibodies are typically supplied in a PBS-only formulation, purified and free of BSA, sodium azide and glycerol. This conjugation-ready format is designed for use with fluorochromes, metal isotopes, oligonucleotides, and enzymes, which makes them ideal for antibody labelling, functional and cell-based assays, flow-based assays (e.g. mass cytometry) and Multiplex Imaging applications.

Use our conjugation kits for antibody conjugates that are ready-to-use in as little as 20 minutes with 1 minute hands-on-time and 100% antibody recovery: available for fluorescent dyes, HRP, biotin and gold.

Compatibility
This product is compatible with the Maxpar® Antibody Labeling Kit from Fluidigm, without the need for antibody preparation. Maxpar® is a trademark of Fluidigm Canada Inc.

Properties and storage information

Form
Liquid
Purification technique
Affinity purification Protein A
Storage buffer
Constituents: PBS
Shipped at conditions
Blue Ice
Appropriate short-term storage conditions
+4°C
Appropriate long-term storage conditions
+4°C

Supplementary information

This supplementary information is collated from multiple sources and compiled automatically.

Smad2 also known as Mothers against decapentaplegic homolog 2 (MAD2) or MADR2 is a signaling protein involved in the transforming growth factor-beta (TGF-β) receptor pathway. Smad2 has a molecular mass of approximately 58 kDa and expresses in various tissues including epithelial mesenchymal and endothelial cells. Smad2 undergoes phosphorylation on serine residues in response to TGF-β signaling converting it into phosphorylated forms often referred to as p-Smad2 or phospho-Smad2. These phosphorylated forms are critical for the relay of signals from the cell surface to the nucleus.
Biological function summary

Smad2 acts as an intracellular mediator for TGF-β signaling a pathway important for regulating cell proliferation differentiation and apoptosis. Smad2 typically functions as part of a heteromeric complex with Smad4 another key player in TGF-β signaling. Upon activation phosphorylated Smad2 combines with Smad4 to form a complex that translocates into the nucleus. This complex then binds to specific DNA sequences to regulate the transcription of target genes involved in processes such as cell growth inhibition and extracellular matrix production.

Pathways

Smad2 is integral to the TGF-β and activin receptor signaling pathways. These pathways are essential in controlling cell growth and immune responses. Smad2 interacts with other proteins such as Smad3 in addition to Smad4 to modulate gene expression effectively. The interaction between Smad2 and these proteins ensures precise control of cellular responses to external stimuli emphasizing its pivotal role in maintaining cellular homeostasis.

Smad2 correlates with various pathological conditions including fibrosis and cancer. Aberrant Smad2 signaling can contribute to the development of these diseases as excessive TGF-β signaling promotes fibrotic tissue deposition and tumor progression. Smad2 connects with other proteins like Smad3 in these pathological contexts both acting as mediators of abnormal cellular behaviors. Understanding the regulatory mechanisms of Smad2 can help develop therapeutic strategies against disorders linked to dysregulated TGF-β signaling.

Product protocols

For this product, it's our understanding that no specific protocols are required. You can visit:

Target data

Receptor-regulated SMAD (R-SMAD) that is an intracellular signal transducer and transcriptional modulator activated by TGF-beta (transforming growth factor) and activin type 1 receptor kinases. Binds the TRE element in the promoter region of many genes that are regulated by TGF-beta and, on formation of the SMAD2/SMAD4 complex, activates transcription. Promotes TGFB1-mediated transcription of odontoblastic differentiation genes in dental papilla cells (By similarity). Positively regulates PDPK1 kinase activity by stimulating its dissociation from the 14-3-3 protein YWHAQ which acts as a negative regulator. May act as a tumor suppressor in colorectal carcinoma (PubMed : 8752209).
See full target information SMAD2 phospho S467

Product promise

We are committed to supporting your work with high-quality reagents, and we're here for you every step of the way. In the unlikely event that one of our products does not perform as expected, you're protected by our Product Promise.
For full details, please see our Terms & Conditions

Please note: All products are 'FOR RESEARCH USE ONLY. NOT FOR USE IN DIAGNOSTIC OR THERAPEUTIC PROCEDURES'.

For licensing inquiries, please contact partnerships@abcam.com