JavaScript is disabled in your browser. Please enable JavaScript to view this website.
AB254407

Anti-Smad2 (phospho T8) + Smad3 (phospho T8) antibody [EPR23682-64]

  • 20ul selling size
  • Recombinant
  • Advanced Validation
  • RabMAb
  • What is this?

Be the first to review this product! Submit a review

|

(23 Publications)

Anti-Smad2 (phospho T8) + Smad3 (phospho T8) antibody [EPR23682-64] (ab254407) is a rabbit monoclonal antibody detecting Smad2 in Western Blot, IP, ICC/IF, Dot Blot. Suitable for Human, Mouse, Rat.

- Biophysical QC for unrivalled batch-batch consistency

View Alternative Names

MADH2, MADR2, SMAD2, Mothers against decapentaplegic homolog 2, MAD homolog 2, Mothers against DPP homolog 2, JV18-1, Mad-related protein 2, SMAD family member 2, hMAD-2, SMAD 2, Smad2, hSMAD2

9 Images
Immunocytochemistry/ Immunofluorescence - Anti-Smad2 (phospho T8) + Smad3 (phospho T8) antibody [EPR23682-64] (AB254407)
  • ICC/IF

Supplier Data

Immunocytochemistry/ Immunofluorescence - Anti-Smad2 (phospho T8) + Smad3 (phospho T8) antibody [EPR23682-64] (AB254407)

Immunofluorescent analysis of 4% Paraformaldehyde-fixed, 0.1% Triton X-100 permeabilized HaCaT cells labelling Smad2 (phospho T8) + Smad3 (phospho T8) with ab254407 at 1/50 (9.34 ug/ml) dilution, followed by ab150077 Goat Anti-Rabbit IgG H&L (Alexa Fluor® 488) antibody at 1/1000 dilution (Green). Confocal image showing weak cytoplasmic and nuclear staining in HaCaT cells, while strong cytoplasmic and weak nuclear staining in HaCaT cells treated with calyculin A (100 nM) for 30 mins is observed. ab195889 Anti-alpha Tubulin mouse monoclonal antibody - Microtubule Marker (Alexa Fluor® 594) was used to counterstain tubulin at 1/200 dilution (Red). The Nuclear counterstain was DAPI (Blue).

Secondary antibody only control : Secondary antibody is ab150077 Goat Anti-Rabbit IgG H&L (Alexa Fluor® 488) at 1/1000 dilution.

Immunocytochemistry/ Immunofluorescence - Anti-Smad2 (phospho T8) + Smad3 (phospho T8) antibody [EPR23682-64] (AB254407)
  • ICC/IF

Supplier Data

Immunocytochemistry/ Immunofluorescence - Anti-Smad2 (phospho T8) + Smad3 (phospho T8) antibody [EPR23682-64] (AB254407)

Immunofluorescent analysis of 4% Paraformaldehyde-fixed, 0.1% Triton X-100 permeabilized RAW 264.7 cells labelling Smad2 (phospho T8) + Smad3 (phospho T8) with ab254407 at 1/50 (9.34 ug/ml) dilution, followed by ab150077 Goat Anti-Rabbit IgG H&L (Alexa Fluor® 488) antibody at 1/1000 dilution (Green). Confocal image showing weak cytoplasmic and nuclear staining in RAW 264.7 cells, while strong cytoplasmic and weak nuclear staining in RAW 264.7 cells treated with calyculin A (100 nM) for 30 mins is observed. ab195889 Anti-alpha Tubulin mouse monoclonal antibody - Microtubule Marker (Alexa Fluor® 594) was used to counterstain tubulin at 1/200 dilution (Red). The Nuclear counterstain was DAPI (Blue).

Secondary antibody only control : Secondary antibody is ab150077 Goat Anti-Rabbit IgG H&L (Alexa Fluor® 488) at 1/1000 dilution.

Western blot - Anti-Smad2 (phospho T8) + Smad3 (phospho T8) antibody [EPR23682-64] (AB254407)
  • WB

Lab

Western blot - Anti-Smad2 (phospho T8) + Smad3 (phospho T8) antibody [EPR23682-64] (AB254407)

Blocking and diluting buffer and concentration : 5% NFDM/TBST.

The molecular weight observed is consistent with what has been described in the literature. (PMID : 25998442, 30666129).

Calyculin A is a known phosphatase inhibitor, which increased the level of pSmad2/3 (T8). The shifted band after treated with Calyculin A might be due to multiple phosphorylation events.

The down-regulation of pSmad2 (T8) is induced by TGF-beta1 treatment in HaCaT (PMID : 19201832).

Bands between 15-25kDa may be caused by degradation.

Exposure time : Lane 1, 2 : 26 secondsLane 3, 4 : 59 secondsLane 5, 6 : 3 minutes

All lanes:

Western blot - Anti-Smad2 (phospho T8) + Smad3 (phospho T8) antibody [EPR23682-64] (ab254407) at 1/1000 dilution

Lane 1:

HaCaT (human skin keratinocyte), whole cell lysate at 10 µg

Lane 2:

HaCaT - phosphatase treated membrane, whole cell lysate at 10 µg

Lanes 3 and 5:

HaCaT whole cell lysate at 20 µg

Lane 4:

HaCaT treated with 100nM calycin A for 30 min, whole cell lysate at 20 µg

Lane 6:

HaCaT treated with /ml TGF beta1 for 24h, whole cell lysate at 20 µg

Secondary

All lanes:

Western blot - Goat Anti-Rabbit IgG H&L (HRP) (<a href='/en-us/products/secondary-antibodies/goat-rabbit-igg-h-l-hrp-ab97051'>ab97051</a>) at 1/100000 dilution

Observed band size: 55 kDa,60 kDa

false

ChIC/CUT&RUN sequencing - Anti-Smad2 (phospho T8) + Smad3 (phospho T8) antibody [EPR23682-64] (AB254407)
  • ChIC/CUT&RUN-seq

Supplier Data

ChIC/CUT&RUN sequencing - Anti-Smad2 (phospho T8) + Smad3 (phospho T8) antibody [EPR23682-64] (AB254407)

ChIC/CUT&RUN was performed using a pAG-MNAse at a final concentration of 700 ng/mL, 2 x 10^5 HaCaT (human skin keratinocyte) cells and 5µg of ab254407 [EPR23682-64]. The resulting DNA was sequenced on the Illumina NovaSeq 6000 to a depth of 10 million reads. The negative IgG control ab172730 is also shown. Additional screenshots of mapped reads can be found in the Protocol booklet in the Product Protocol section. The University of Geneva owns patents relevant to ChIC (Chromatin Immuno-Cleavage) methods.

Western blot - Anti-Smad2 (phospho T8) + Smad3 (phospho T8) antibody [EPR23682-64] (AB254407)
  • WB

Lab

Western blot - Anti-Smad2 (phospho T8) + Smad3 (phospho T8) antibody [EPR23682-64] (AB254407)

Blocking and diluting buffer and concentration : 5% NFDM/TBST.

The molecular weight observed is consistent with what has been described in the literature. (PMID : 25998442, 30666129)

Exposure time : 59 seconds.

All lanes:

Western blot - Anti-Smad2 (phospho T8) + Smad3 (phospho T8) antibody [EPR23682-64] (ab254407) at 1/1000 dilution

Lane 1:

PC-12 (rat adrenal gland pheochromocytoma), whole cell lysate at 10 µg

Lane 2:

PC-12 - phosphatase treated membrane, whole cell lysate at 10 µg

Secondary

All lanes:

Goat Anti-Rabbit IgG, (H+L), Peroxidase conjugated (<a href='/en-us/products/secondary-antibodies/goat-rabbit-igg-h-l-hrp-ab97051'>ab97051</a>) at 1/100000 dilution

Observed band size: 60 kDa

false

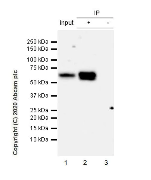
Immunoprecipitation - Anti-Smad2 (phospho T8) + Smad3 (phospho T8) antibody [EPR23682-64] (AB254407)
  • IP

Supplier Data

Immunoprecipitation - Anti-Smad2 (phospho T8) + Smad3 (phospho T8) antibody [EPR23682-64] (AB254407)

Smad2 (phospho T8) + Smad3 (phospho T8) was immunoprecipitated from 0.35 mg HaCaT (human skin keratinocyte), whole cell lysate with ab254407 at 1/30 dilution (2ug in 0.35mg lysates). Western blot was performed on the immunoprecipitate using ab254407 at 1/1000 dilution. VeriBlot for IP Detection Reagent (HRP)(ab131366) was used at 1/5000 dilution.

Lane 1 : HaCaT (human skin keratinocyte), whole cell lysate 10 ug

Lane 2 : ab254407 IP in HaCaT whole cell lysate

Lane 3 : Rabbit monoclonal IgG (ab172730) instead of ab254407 in HaCaT whole cell lysate

Blocking and dilution buffer and concentration : 5% NFDM/TBST.

Exposure time : 110 seconds

The molecular weight observed is consistent with what has been described in the literature. (PMID : 25998442, 30666129).

All lanes:

Immunoprecipitation - Anti-Smad2 (phospho T8) + Smad3 (phospho T8) antibody [EPR23682-64] (ab254407)

Observed band size: 55 kDa,60 kDa

false

Western blot - Anti-Smad2 (phospho T8) + Smad3 (phospho T8) antibody [EPR23682-64] (AB254407)
  • WB

Lab

Western blot - Anti-Smad2 (phospho T8) + Smad3 (phospho T8) antibody [EPR23682-64] (AB254407)

Blocking and diluting buffer and concentration : 5% NFDM/TBST.

The molecular weight observed is consistent with what has been described in the literature. (PMID : 25998442, 30666129).

Bands between 15-25kDa may be caused by degradation.

Exposure time : 3 minutes.

All lanes:

Western blot - Anti-Smad2 (phospho T8) + Smad3 (phospho T8) antibody [EPR23682-64] (ab254407) at 1/1000 dilution

Lane 1:

Human liver cancer tissue lysate at 20 µg

Lane 2:

Mouse lung tissue lysate at 20 µg

Lane 3:

Mouse liver tissue lysate at 20 µg

Secondary

All lanes:

Goat Anti-Rabbit IgG, (H+L), Peroxidase conjugated (<a href='/en-us/products/secondary-antibodies/goat-rabbit-igg-h-l-hrp-ab97051'>ab97051</a>) at 1/100000 dilution

Observed band size: 55 kDa,60 kDa

false

Western blot - Anti-Smad2 (phospho T8) + Smad3 (phospho T8) antibody [EPR23682-64] (AB254407)
  • WB

Lab

Western blot - Anti-Smad2 (phospho T8) + Smad3 (phospho T8) antibody [EPR23682-64] (AB254407)

Blocking and diluting buffer and concentration : 5% NFDM/TBST.

Exposure time : 26 seconds.

All lanes:

Western blot - Anti-Smad2 (phospho T8) + Smad3 (phospho T8) antibody [EPR23682-64] (ab254407) at 1/1000 dilution

Lane 1:

RAW264.7 (mouse Abelson murine leukemia virus-induced tumor macrophage), whole cell lysate at 10 µg

Lane 2:

RAW264.7 - phosphatase treated membrane, whole cell lysate at 10 µg

Secondary

All lanes:

Goat Anti-Rabbit IgG, (H+L), Peroxidase conjugated (<a href='/en-us/products/secondary-antibodies/goat-rabbit-igg-h-l-hrp-ab97051'>ab97051</a>) at 1/100000 dilution

Observed band size: 60 kDa

false

Dot Blot - Anti-Smad2 (phospho T8) + Smad3 (phospho T8) antibody [EPR23682-64] (AB254407)
  • Dot

Supplier Data

Dot Blot - Anti-Smad2 (phospho T8) + Smad3 (phospho T8) antibody [EPR23682-64] (AB254407)

Dot blot analysis of Smad2 (phospho T8) + Smad3 (phospho T8) using ab254407 at 1/1000 (0.467 ug/ml) dilution followed by a Goat Anti-Rabbit IgG, (H+L), Peroxidase conjugated (ab97051) at 1/100,000 dilution.

Exposure time : 3 minutes.

Blocking and diluting buffer and concentration : 5% NFDM/TBST.

Lane 1 : Smad2/3 peptide (aa 6-14)

Lane 2 : Smad2/3 (phospho T8) peptide (aa 2-10 )

Lane 3 : Smad2/3 peptide (aa 2-14)

  • Carrier free

    Anti-Smad2 (phospho T8) + Smad3 (phospho T8) antibody [EPR23682-64] - BSA and Azide free

  • 578 PE

    PE Anti-Smad2 (phospho T8) + Smad3 (phospho T8) antibody [EPR23682-64]

  • 660 APC

    APC Anti-Smad2 (phospho T8) + Smad3 (phospho T8) antibody [EPR23682-64]

  • 519 Alexa Fluor® 488

    Alexa Fluor® 488 Anti-Smad2 (phospho T8) + Smad3 (phospho T8) antibody [EPR23682-64]

  • 665 Alexa Fluor® 647

    Alexa Fluor® 647 Anti-Smad2 (phospho T8) + Smad3 (phospho T8) antibody [EPR23682-64]

  • 617 Alexa Fluor® 594

    Alexa Fluor® 594 Anti-Smad2 (phospho T8) + Smad3 (phospho T8) antibody [EPR23682-64]

  • 565 Alexa Fluor® 555

    Alexa Fluor® 555 Anti-Smad2 (phospho T8) + Smad3 (phospho T8) antibody [EPR23682-64]

Key facts

Host species

Rabbit

Clonality

Monoclonal

Clone number

EPR23682-64

Isotype

IgG

Carrier free

No

Reacts with

Mouse, Rat, Human

Applications

WB, ICC/IF, Dot, IP, ChIC/CUT&RUN-seq

applications

Immunogen

The exact immunogen used to generate this antibody is proprietary information.

Reactivity data

{ "title": "Reactivity Data", "filters": { "stats": ["", "Species", "Dilution Info", "Notes"], "tabs": { "all-applications": {"fullname" : "All Applications", "shortname": "All Applications"}, "ChICCUTRUNseq" : {"fullname" : "ChIC/CUT&RUN sequencing", "shortname":"ChIC/CUT&RUN-seq"}, "ICCIF" : {"fullname" : "Immunocytochemistry/ Immunofluorescence", "shortname":"ICC/IF"}, "IP" : {"fullname" : "Immunoprecipitation", "shortname":"IP"}, "Dot" : {"fullname" : "Dot Blot", "shortname":"Dot"}, "WB" : {"fullname" : "Western blot", "shortname":"WB"}, "IHCP" : {"fullname" : "Immunohistochemistry (Formalin/PFA-fixed paraffin-embedded sections)", "shortname":"IHC-P"}, "FlowCyt" : {"fullname" : "Flow Cytometry", "shortname":"Flow Cyt"} }, "product-promise": { "all": "all", "testedAndGuaranteed": "tested", "guaranteed": "expected", "predicted": "predicted", "notRecommended": "not-recommended" } }, "values": { "Human": { "ChICCUTRUNseq-species-checked": "testedAndGuaranteed", "ChICCUTRUNseq-species-dilution-info": "5 µg", "ChICCUTRUNseq-species-notes": "<p></p>", "ICCIF-species-checked": "testedAndGuaranteed", "ICCIF-species-dilution-info": "1/50", "ICCIF-species-notes": "<p></p>", "IP-species-checked": "testedAndGuaranteed", "IP-species-dilution-info": "1/30", "IP-species-notes": "<p></p>", "Dot-species-checked": "guaranteed", "Dot-species-dilution-info": "", "Dot-species-notes": "", "WB-species-checked": "testedAndGuaranteed", "WB-species-dilution-info": "1/1000", "WB-species-notes": "<p></p>", "IHCP-species-checked": "notRecommended", "IHCP-species-dilution-info": "", "IHCP-species-notes": "<p></p>", "FlowCyt-species-checked": "notRecommended", "FlowCyt-species-dilution-info": "", "FlowCyt-species-notes": "<p></p>" }, "Mouse": { "ChICCUTRUNseq-species-checked": "guaranteed", "ChICCUTRUNseq-species-dilution-info": "", "ChICCUTRUNseq-species-notes": "", "ICCIF-species-checked": "testedAndGuaranteed", "ICCIF-species-dilution-info": "1/50", "ICCIF-species-notes": "<p></p>", "IP-species-checked": "guaranteed", "IP-species-dilution-info": "", "IP-species-notes": "", "Dot-species-checked": "guaranteed", "Dot-species-dilution-info": "", "Dot-species-notes": "", "WB-species-checked": "testedAndGuaranteed", "WB-species-dilution-info": "1/1000", "WB-species-notes": "<p></p>", "IHCP-species-checked": "notRecommended", "IHCP-species-dilution-info": "", "IHCP-species-notes": "<p></p>", "FlowCyt-species-checked": "notRecommended", "FlowCyt-species-dilution-info": "", "FlowCyt-species-notes": "" }, "Rat": { "ChICCUTRUNseq-species-checked": "guaranteed", "ChICCUTRUNseq-species-dilution-info": "", "ChICCUTRUNseq-species-notes": "", "ICCIF-species-checked": "notRecommended", "ICCIF-species-dilution-info": "1/50", "ICCIF-species-notes": "<p></p>", "IP-species-checked": "guaranteed", "IP-species-dilution-info": "", "IP-species-notes": "", "Dot-species-checked": "guaranteed", "Dot-species-dilution-info": "", "Dot-species-notes": "", "WB-species-checked": "testedAndGuaranteed", "WB-species-dilution-info": "1/1000", "WB-species-notes": "<p></p>", "IHCP-species-checked": "notRecommended", "IHCP-species-dilution-info": "", "IHCP-species-notes": "<p></p>", "FlowCyt-species-checked": "notRecommended", "FlowCyt-species-dilution-info": "", "FlowCyt-species-notes": "" }, "Synthetic peptide": { "ChICCUTRUNseq-species-checked": "notRecommended", "ChICCUTRUNseq-species-dilution-info": "", "ChICCUTRUNseq-species-notes": "", "ICCIF-species-checked": "notRecommended", "ICCIF-species-dilution-info": "", "ICCIF-species-notes": "", "IP-species-checked": "notRecommended", "IP-species-dilution-info": "", "IP-species-notes": "", "Dot-species-checked": "testedAndGuaranteed", "Dot-species-dilution-info": "1/1000", "Dot-species-notes": "<p></p>", "WB-species-checked": "notRecommended", "WB-species-dilution-info": "", "WB-species-notes": "", "IHCP-species-checked": "notRecommended", "IHCP-species-dilution-info": "", "IHCP-species-notes": "", "FlowCyt-species-checked": "notRecommended", "FlowCyt-species-dilution-info": "", "FlowCyt-species-notes": "" } } }

Product details

What is this antibody validated in?
Anti-Smad2 (phospho T8) + Smad3 (phospho T8) antibody [EPR23682-64] (ab254407) is a rabbit recombinant monoclonal antibody and is validated for use in Western Blot (WB), Immunoprecipitation (IP), Immunocytochemistry/immunofluorescence (ICC/IF), Dot Blot in Human, Mouse, Rat samples.

Trusted by the scientific community
Anti-Smad2 (phospho T8) + Smad3 (phospho T8) [EPR23682-64] (ab254407) was first used in a scientific publication in 2020 and has been cited over 10 times in peer-reviewed journals.

Trial sizes available!
Test your antibody or perform pre-screening before committing to a larger quantity. Sold in 10µl. Discover our selection of trial-size antibodies.

Other related products
We have a range of other formats of antibody clone [EPR23682-64] also available for your convenience: ab254407, Carrier free - ab276140, PE - ab318411, APC - ab318514, Alexa Fluor® 488 - ab318617, Alexa Fluor® 647 - ab318720, Alexa Fluor® 594 - ab318823, Alexa Fluor® 555 - ab318923

Patented technology
Our RabMAb® technology is a patented hybridoma-based technology for making rabbit monoclonal antibodies. For details on our patents, please refer to RabMAb® patents.

What are the advantages of a recombinant monoclonal antibody?
This product is a recombinant monoclonal antibody, which offers several advantages including:

  • - High batch-to-batch consistency and reproducibility
  • - Improved sensitivity and specificity
  • - Long-term security of supply
  • - Animal-free batch production

For more information, read more on recombinant antibodies.

Properties and storage information

Form
Liquid
Purification technique
Affinity purification Protein A
Storage buffer
Preservative: 0.01% Sodium azide Constituents: 59.94% PBS, 40% Glycerol (glycerin, glycerine), 0.05% BSA
Shipped at conditions
Blue Ice
Appropriate short-term storage duration
1-2 weeks
Appropriate short-term storage conditions
+4°C
Appropriate long-term storage conditions
-20°C
Aliquoting information
Upon delivery aliquot
Storage information
Avoid freeze / thaw cycle

Supplementary information

This supplementary information is collated from multiple sources and compiled automatically.

Smad2 and Smad3 also known as Smad family member 2 and Smad family member 3 are intracellular proteins involved in signaling cascades. Smad2 has a molecular mass of approximately 58 kDa and Smad3 is around 52 kDa. These proteins are part of the Smad family which functions in the signal transduction for the Transforming Growth Factor-beta (TGF-Β) superfamily. Smad2 and Smad3 are widely expressed in many tissues including the brain heart and lung suggesting their broad biological roles.
Biological function summary

Smad2 and Smad3 regulate transcriptional responses essential for cellular processes including proliferation differentiation and apoptosis. These proteins form a trimeric complex with Smad4 upon activation by TGF-Β receptors. The activated complex translocates into the nucleus where it binds to DNA and influences gene expression. Such actions highlight their fundamental role in controlling cell behavior and fate.

Pathways

Smad2 and Smad3 play critical roles within the TGF-Β signaling pathway. This pathway has significant effects on cell cycle control and immune regulation. Both Smad2 and Smad3 interact closely with the protein Smad4 to mediate various downstream effects integrating signals with other pathways such as MAPK pathway which involves different cellular responses.

Smad2 and Smad3 are closely associated with cancer and fibrosis. Aberrant TGF-Β signaling often leads to tumor progression and metastasis partly due to the dysregulated actions of Smad2 and Smad3. Additionally these proteins through their pathway functions contribute to the pathological process of fibrosis in organs like the liver and lungs. It is important to note their interaction with the ERK protein which can also influence disease outcomes in these contexts.

Product protocols

For this product, it's our understanding that no specific protocols are required. You can visit:

Target data

Receptor-regulated SMAD (R-SMAD) that is an intracellular signal transducer and transcriptional modulator activated by TGF-beta (transforming growth factor) and activin type 1 receptor kinases. Binds the TRE element in the promoter region of many genes that are regulated by TGF-beta and, on formation of the SMAD2/SMAD4 complex, activates transcription. Promotes TGFB1-mediated transcription of odontoblastic differentiation genes in dental papilla cells (By similarity). Positively regulates PDPK1 kinase activity by stimulating its dissociation from the 14-3-3 protein YWHAQ which acts as a negative regulator. May act as a tumor suppressor in colorectal carcinoma (PubMed : 8752209).
See full target information SMAD2 phospho T8

Publications (23)

Recent publications for all applications. Explore the full list and refine your search

International journal of molecular sciences 26: PubMed40943182

2025

The Effect of Fibulin-5 on Hydrocephalus After Subarachnoid Hemorrhage in Mice.

Applications

Unspecified application

Species

Unspecified reactive species

Yume Suzuki,Mai Nampei,Fumihiro Kawakita,Hiroki Oinaka,Hideki Nakajima,Hidenori Suzuki

International journal of biological sciences 21:3164-3182 PubMed40384860

2025

N-acetylcysteine and raloxifene boost photodynamic therapy against cutaneous squamous cell carcinoma by decreasing TGFβ1 secreted by cancer-associated fibroblasts.

Applications

Unspecified application

Species

Unspecified reactive species

María Gallego-Rentero,Luisa María Botella,Marta Mascaraque,Jimena Nicolás-Morala,Virginia Albiñana,Edgar Abarca-Lachen,Yolanda Gilaberte,Salvador González,Ángeles Juarranz,Elisa Carrasco

Stem cell research & therapy 16:201 PubMed40264229

2025

Sildenafil promotes osteogenic differentiation of human mesenchymal stem cells and inhibits bone loss by affecting the TGF-β signaling pathway.

Applications

Unspecified application

Species

Unspecified reactive species

Menglong Hu,Likun Wu,Erfan Wei,Xingtong Pan,Qiyue Zhu,Xv Xiuyun,Letian Lv,Xinyi Dong,Hao Liu,Yunsong Liu

Scientific reports 15:8260 PubMed40064976

2025

Protective effects of Rosa roxburghii Tratt. extract against UVB-induced inflammaging through inhibiting the IL-17 pathway.

Applications

Unspecified application

Species

Unspecified reactive species

Shuhong Zhang,Yueyue Chen,Liping Qu

International journal of nanomedicine 20:1615-1634 PubMed39931530

2025

USC-Derived Small Extracellular Vesicles-Functionalized Scaffolds Promote Scarless Vaginal Defect Repair via Delivery of Decorin and DUSP3 Proteins.

Applications

Unspecified application

Species

Unspecified reactive species

Yiyun Xu,Jie Li,Yu Qiu,Fuyue Wu,Zhuowei Xue,Bin Liu,Hongjie Fan,Yuedi Zhou,Qingkai Wu

Molecular medicine (Cambridge, Mass.) 30:228 PubMed39580448

2024

DsbA-L activates TGF-β1/SMAD3 signaling and M2 macrophage polarization by stimulating AKT1 and NLRP3 to promote pulmonary fibrosis.

Applications

Unspecified application

Species

Unspecified reactive species

Juan Wang,Zhenkun Xia,Bei Qing,Ying Chen,Linguo Gu,Hongzuo Chen,Zhenglian Ge,Yunchang Yuan

European journal of medical research 29:554 PubMed39558432

2024

MiR-10b-5p attenuates spinal cord injury and alleviates LPS-induced PC12 cells injury by inhibiting TGF-β1 decay and activating TGF-β1/Smad3 pathway through PTBP1.

Applications

Unspecified application

Species

Unspecified reactive species

Huandong Liu,Chong Liang,Hongfei Liu,Ping Liang,Huilin Cheng

Inflammation 48:1929-1939 PubMed39446178

2024

Metformin Attenuates Vocal Fold Fibrosis via AMPK Signaling.

Applications

Unspecified application

Species

Unspecified reactive species

Jie Cai,Lucheng Fang,Peng Zhou,Jianghao Wu,Yuliang Song,Aikebaier Tuohuti,Yuechen Sun,Xiong Chen

Poultry science 103:104278 PubMed39343644

2024

Growth differentiation factor 9 activates the TGF-β pathway in follicle atresia of Muscovy ducks.

Applications

Unspecified application

Species

Unspecified reactive species

Caiyun Huang,Ziyuan Du,Yuzhu Shi,Ningning Sun,Zhihao Zhu,Xuanci Yu,Ang Li

Inflammatory bowel diseases 31:151-168 PubMed39102823

2024

Resolving Resident Colonic Muscularis Macrophage Diversity and Plasticity During Colitis.

Applications

Unspecified application

Species

Unspecified reactive species

Kensuke Ohishi,David Dora,Christopher Y Han,Richard A Guyer,Takahiro Ohkura,Simon Kazimierczyk,Nicole Picard,Abigail R Leavitt,Leah C Ott,Ahmed A Rahman,Jessica L Mueller,Nahum Y Shpigel,Nitya Jain,Nandor Nagy,Ryo Hotta,Allan M Goldstein,Rhian Stavely
View all publications
chicCutRunSequencingBooklet
en

Product promise

We are committed to supporting your work with high-quality reagents, and we're here for you every step of the way. In the unlikely event that one of our products does not perform as expected, you're protected by our Product Promise.
For full details, please see our Terms & Conditions

Please note: All products are 'FOR RESEARCH USE ONLY. NOT FOR USE IN DIAGNOSTIC OR THERAPEUTIC PROCEDURES'.

For licensing inquiries, please contact partnerships@abcam.com