JavaScript is disabled in your browser. Please enable JavaScript to view this website.
AB305326

Anti-Smad2 + Smad3 antibody [18/Smad2/3] - BSA and Azide free

Be the first to review this product! Submit a review

|

(0 Publication)

Mouse Recombinant Monoclonal SMAD2 antibody. Carrier free. Suitable for IHC-P, WB and reacts with Rat, Mouse, Human samples.

View Alternative Names

Madh2, Madr2, Smad2, Mothers against decapentaplegic homolog 2, MAD homolog 2, Mothers against DPP homolog 2, Mad-related protein 2, SMAD family member 2, mMad2, SMAD 2

8 Images
Immunohistochemistry - Anti-Smad2 + Smad3 antibody [18/Smad2/3] - BSA and Azide free (AB305326)
  • IHC

Supplier Data

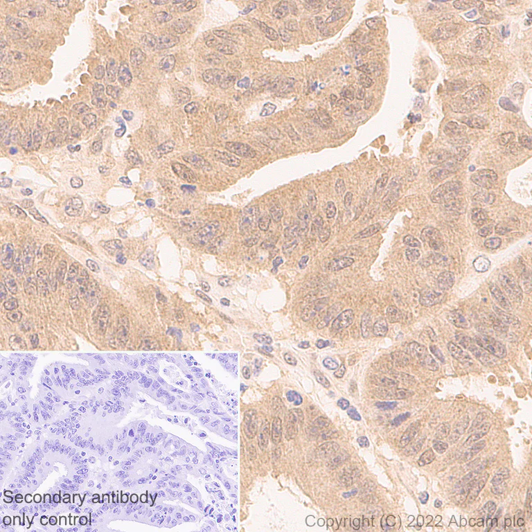
Immunohistochemistry - Anti-Smad2 + Smad3 antibody [18/Smad2/3] - BSA and Azide free (AB305326)

This data was developed using ab305325, the same antibody clone in a different buffer formulation. Immunohistochemical analysis of paraffin-embedded human colon cancer tissue labeling Smad2 + Smad3 with ab305325 at 1/100 dilution (9.39 ug/ml) followed by ready to use LeicaDS9800 (Bond™ Polymer Refine Detection). Positive staining on human colon cancer is observed. The section was incubated with ab305325 for 30 mins at room temperature, followed by anti-mouse IgG1 antibody (ab125913) for 8 mins during the LeicaDS9800 kit staining procedure. The immunostaining was performed on a Leica Biosystems BOND® RX instrument. Counterstained with Hematoxylin. Secondary antibody only control : Secondary antibody is ready to use LeicaDS9800 (Bond™ Polymer Refine Detection). Heat mediated antigen retrieval was performed with Tris-EDTA buffer (pH 9.0, Epitope Retrieval Solution2) for 20 mins.

Immunohistochemistry - Anti-Smad2 + Smad3 antibody [18/Smad2/3] - BSA and Azide free (AB305326)
  • IHC

Supplier Data

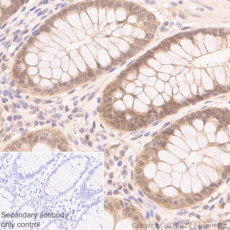
Immunohistochemistry - Anti-Smad2 + Smad3 antibody [18/Smad2/3] - BSA and Azide free (AB305326)

This data was developed using ab305325, the same antibody clone in a different buffer formulation. Immunohistochemical analysis of paraffin-embedded human colon tissue labeling Smad2 + Smad3 with ab305325 at 1/100 dilution (9.39 ug/ml) followed by ready to use LeicaDS9800 (Bond™ Polymer Refine Detection). Positive staining on human colon is observed. The section was incubated with ab305325 for 30 mins at room temperature, followed by anti-mouse IgG1 antibody (ab125913) for 8 mins during the LeicaDS9800 kit staining procedure. The immunostaining was performed on a Leica Biosystems BOND® RX instrument. Counterstained with Hematoxylin. Secondary antibody only control : Secondary antibody is ready to use LeicaDS9800 (Bond™ Polymer Refine Detection). Heat mediated antigen retrieval was performed with Tris-EDTA buffer (pH 9.0, Epitope Retrieval Solution2) for 20 mins.

Immunohistochemistry - Anti-Smad2 + Smad3 antibody [18/Smad2/3] - BSA and Azide free (AB305326)
  • IHC

Supplier Data

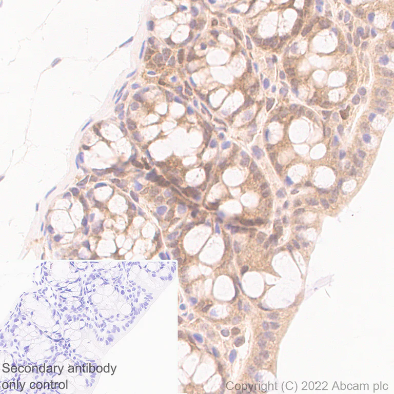
Immunohistochemistry - Anti-Smad2 + Smad3 antibody [18/Smad2/3] - BSA and Azide free (AB305326)

This data was developed using ab305325, the same antibody clone in a different buffer formulation. Immunohistochemical analysis of paraffin-embedded mouse colon tissue labeling Smad2 + Smad3 with ab305325 at 1/250 dilution (3.756 ug/ml) followed by ready to use LeicaDS9800 (Bond™ Polymer Refine Detection). Positive staining on mouse colon is observed. The section was incubated with ab305325 for 30 mins at room temperature, followed by anti-mouse IgG1 antibody (ab125913) for 8 mins during the LeicaDS9800 kit staining procedure. The immunostaining was performed on a Leica Biosystems BOND® RX instrument. Counterstained with Hematoxylin. Secondary antibody only control : Secondary antibody is ready to use LeicaDS9800 (Bond™ Polymer Refine Detection). Heat mediated antigen retrieval was performed with Tris-EDTA buffer (pH 9.0, Epitope Retrieval Solution2) for 20 mins.

Immunohistochemistry - Anti-Smad2 + Smad3 antibody [18/Smad2/3] - BSA and Azide free (AB305326)
  • IHC

Supplier Data

Immunohistochemistry - Anti-Smad2 + Smad3 antibody [18/Smad2/3] - BSA and Azide free (AB305326)

This data was developed using ab305325, the same antibody clone in a different buffer formulation. Immunohistochemical analysis of paraffin-embedded mouse breast cancer tissue labeling Smad2 + Smad3 with ab305325 at 1/250 dilution (3.756 ug/ml) followed by ready to use LeicaDS9800 (Bond™ Polymer Refine Detection). Positive staining on mouse breast cancer is observed. The section was incubated with ab305325 for 30 mins at room temperature, followed by anti-mouse IgG1 antibody (ab125913) for 8 mins during the LeicaDS9800 kit staining procedure. The immunostaining was performed on a Leica Biosystems BOND® RX instrument. Counterstained with Hematoxylin. Secondary antibody only control : Secondary antibody is ready to use LeicaDS9800 (Bond™ Polymer Refine Detection). Heat mediated antigen retrieval was performed with Tris-EDTA buffer (pH 9.0, Epitope Retrieval Solution2) for 20 mins.

Immunohistochemistry - Anti-Smad2 + Smad3 antibody [18/Smad2/3] - BSA and Azide free (AB305326)
  • IHC

Supplier Data

Immunohistochemistry - Anti-Smad2 + Smad3 antibody [18/Smad2/3] - BSA and Azide free (AB305326)

This data was developed using ab305325, the same antibody clone in a different buffer formulation. Immunohistochemical analysis of paraffin-embedded rat colon tissue labeling Smad2 + Smad3 with ab305325 at 1/250 dilution (3.756 ug/ml) followed by ready to use LeicaDS9800 (Bond™ Polymer Refine Detection). Positive staining on rat colon is observed. The section was incubated with ab305325 for 30 mins at room temperature, followed by anti-mouse IgG1 antibody (ab125913) for 8 mins during the LeicaDS9800 kit staining procedure. The immunostaining was performed on a Leica Biosystems BOND® RX instrument. Counterstained with Hematoxylin. Secondary antibody only control : Secondary antibody is ready to use LeicaDS9800 (Bond™ Polymer Refine Detection). Heat mediated antigen retrieval was performed with Tris-EDTA buffer (pH 9.0, Epitope Retrieval Solution2) for 20 mins.

Western blot - Anti-Smad2 + Smad3 antibody [18/Smad2/3] - BSA and Azide free (AB305326)
  • WB

Supplier Data

Western blot - Anti-Smad2 + Smad3 antibody [18/Smad2/3] - BSA and Azide free (AB305326)

This data was developed using ab305325, the same antibody clone in a different buffer formulation. Blocking and diluting buffer and concentration : 5% NFDM/TBST. The expression profile/ molecular weight observed is consistent with what has been described in the literature (PMID : 18809571). The identity of the band around 37 kDa is unknown. Exposure times : Lanes 1, 4 and 5 : 180 seconds; Lanes 2 and 3 : 37 seconds.

All lanes:

Western blot - Anti-Smad2 + Smad3 antibody [18/Smad2/3] (<a href='/en-us/products/primary-antibodies/smad2-smad3-antibody-18-smad2-3-ab305325'>ab305325</a>) at 1/1000 dilution

Lane 1:

HeLa (human cervix adenocarcinoma epithelial cell), whole cell lysate 20 μg

Lane 2:

A549 (human lung carcinoma epithelial cell), whole cell lysate 20 μg

Lane 3:

HT-1080 (human fibrosarcoma epithelial cell), whole cell lysate 20 μg

Observed band size: 58 kDa,62 kDa

false

Exposure time: 114s

Western blot - Anti-Smad2 + Smad3 antibody [18/Smad2/3] - BSA and Azide free (AB305326)
  • WB

Supplier Data

Western blot - Anti-Smad2 + Smad3 antibody [18/Smad2/3] - BSA and Azide free (AB305326)

This data was developed using ab305325, the same antibody clone in a different buffer formulation. Blocking and diluting buffer and concentration : 5% NFDM/TBST. The expression profile/ molecular weight observed is consistent with what has been described in the literature (PMID : 18809571). The identity of the band around 37 kDa is unknown. Exposure time : 59 seconds.

All lanes:

Western blot - Anti-Smad2 + Smad3 antibody [18/Smad2/3] (<a href='/en-us/products/primary-antibodies/smad2-smad3-antibody-18-smad2-3-ab305325'>ab305325</a>) at 1/1000 dilution

Lane 1:

RAW264.7 (mouse Abelson murine leukemia virus-induced tumor macrophage), whole cell lysate 10 μg

Lane 2:

C2C12 (mouse myoblasts myoblast), whole cell lysate 10 μg

Lane 3:

C6 (rat glial tumor glial cell), whole cell lysate 10 μg

Observed band size: 58 kDa,62 kDa

false

Exposure time: 59s

Western blot - Anti-Smad2 + Smad3 antibody [18/Smad2/3] - BSA and Azide free (AB305326)
  • WB

Supplier Data

Western blot - Anti-Smad2 + Smad3 antibody [18/Smad2/3] - BSA and Azide free (AB305326)

This data was developed using ab305325, the same antibody clone in a different buffer formulation. Blocking and diluting buffer and concentration : 5% NFDM/TBST. Exposure time : 15 seconds.

All lanes:

Western blot - Anti-Smad2 + Smad3 antibody [18/Smad2/3] (<a href='/en-us/products/primary-antibodies/smad2-smad3-antibody-18-smad2-3-ab305325'>ab305325</a>) at 1/1000 dilution

Lane 1:

His-tagged human Smad2 recombinant protein fragment 10ng

Lane 2:

His/GST-tagged human Smad3 recombinant protein fragment 10ng

Observed band size: 37 kDa,60 kDa

false

Exposure time: 15s

Key facts

Host species

Mouse

Clonality

Monoclonal

Clone number

18-Smad2-3

Isotype

IgG1

Carrier free

Yes

Reacts with

Rat, Mouse, Human

Applications

IHC-P, WB

applications

Immunogen

The exact immunogen used to generate this antibody is proprietary information.

Reactivity data

{ "title": "Reactivity Data", "filters": { "stats": ["", "Species", "Dilution Info", "Notes"], "tabs": { "all-applications": {"fullname" : "All Applications", "shortname": "All Applications"}, "IHCP" : {"fullname" : "Immunohistochemistry (Formalin/PFA-fixed paraffin-embedded sections)", "shortname":"IHC-P"}, "WB" : {"fullname" : "Western blot", "shortname":"WB"}, "IP" : {"fullname" : "Immunoprecipitation", "shortname":"IP"}, "ICCIF" : {"fullname" : "Immunocytochemistry/ Immunofluorescence", "shortname":"ICC/IF"} }, "product-promise": { "all": "all", "testedAndGuaranteed": "tested", "guaranteed": "expected", "predicted": "predicted", "notRecommended": "not-recommended" } }, "values": { "Human": { "IHCP-species-checked": "testedAndGuaranteed", "IHCP-species-dilution-info": "", "IHCP-species-notes": "<p></p>", "WB-species-checked": "testedAndGuaranteed", "WB-species-dilution-info": "", "WB-species-notes": "<p></p>", "IP-species-checked": "notRecommended", "IP-species-dilution-info": "", "IP-species-notes": "<p></p>", "ICCIF-species-checked": "notRecommended", "ICCIF-species-dilution-info": "", "ICCIF-species-notes": "<p></p>" }, "Mouse": { "IHCP-species-checked": "testedAndGuaranteed", "IHCP-species-dilution-info": "", "IHCP-species-notes": "<p></p>", "WB-species-checked": "testedAndGuaranteed", "WB-species-dilution-info": "", "WB-species-notes": "<p></p>", "IP-species-checked": "notRecommended", "IP-species-dilution-info": "", "IP-species-notes": "<p></p>", "ICCIF-species-checked": "notRecommended", "ICCIF-species-dilution-info": "", "ICCIF-species-notes": "<p></p>" }, "Rat": { "IHCP-species-checked": "testedAndGuaranteed", "IHCP-species-dilution-info": "", "IHCP-species-notes": "<p></p>", "WB-species-checked": "testedAndGuaranteed", "WB-species-dilution-info": "", "WB-species-notes": "<p></p>", "IP-species-checked": "notRecommended", "IP-species-dilution-info": "", "IP-species-notes": "<p></p>", "ICCIF-species-checked": "notRecommended", "ICCIF-species-dilution-info": "", "ICCIF-species-notes": "<p></p>" } } }

Product details

Want a custom formulation?
This antibody clone is manufactured by Abcam. If you require a custom buffer formulation or conjugation for your experiments, please contact orders@abcam.com

What are the advantages of a recombinant monoclonal antibody?
This product is a recombinant monoclonal antibody, which offers several advantages including:

  • - High batch-to-batch consistency and reproducibility
  • - Improved sensitivity and specificity
  • - Long-term security of supply
  • - Animal-free batch production

For more information, read more on recombinant antibodies.

Conjugation ready
Our carrier-free antibodies are typically supplied in a PBS-only formulation, purified and free of BSA, sodium azide and glycerol. This conjugation-ready format is designed for use with fluorochromes, metal isotopes, oligonucleotides, and enzymes, which makes them ideal for antibody labelling, functional and cell-based assays, flow-based assays (e.g. mass cytometry) and Multiplex Imaging applications.

Use our conjugation kits for antibody conjugates that are ready-to-use in as little as 20 minutes with 1 minute hands-on-time and 100% antibody recovery: available for fluorescent dyes, HRP, biotin and gold.

Compatibility
This product is compatible with the Maxpar® Antibody Labeling Kit from Fluidigm, without the need for antibody preparation. Maxpar® is a trademark of Fluidigm Canada Inc.

Properties and storage information

Form
Liquid
Purification technique
Affinity purification Protein A
Storage buffer
pH: 7.2 - 7.4 Constituents: 100% PBS
Shipped at conditions
Blue Ice
Appropriate short-term storage conditions
+4°C
Appropriate long-term storage conditions
+4°C

Supplementary information

This supplementary information is collated from multiple sources and compiled automatically.

Smad2 and Smad3 also known as Smad family member 2 and Smad family member 3 are intracellular proteins involved in signaling cascades. Smad2 has a molecular mass of approximately 58 kDa and Smad3 is around 52 kDa. These proteins are part of the Smad family which functions in the signal transduction for the Transforming Growth Factor-beta (TGF-β) superfamily. Smad2 and Smad3 are widely expressed in many tissues including the brain heart and lung suggesting their broad biological roles.
Biological function summary

Smad2 and Smad3 regulate transcriptional responses essential for cellular processes including proliferation differentiation and apoptosis. These proteins form a trimeric complex with Smad4 upon activation by TGF-β receptors. The activated complex translocates into the nucleus where it binds to DNA and influences gene expression. Such actions highlight their fundamental role in controlling cell behavior and fate.

Pathways

Smad2 and Smad3 play critical roles within the TGF-β signaling pathway. This pathway has significant effects on cell cycle control and immune regulation. Both Smad2 and Smad3 interact closely with the protein Smad4 to mediate various downstream effects integrating signals with other pathways such as MAPK pathway which involves different cellular responses.

Smad2 and Smad3 are closely associated with cancer and fibrosis. Aberrant TGF-β signaling often leads to tumor progression and metastasis partly due to the dysregulated actions of Smad2 and Smad3. Additionally these proteins through their pathway functions contribute to the pathological process of fibrosis in organs like the liver and lungs. It is important to note their interaction with the ERK protein which can also influence disease outcomes in these contexts.

Product protocols

For this product, it's our understanding that no specific protocols are required. You can visit:

Target data

Receptor-regulated SMAD (R-SMAD) that is an intracellular signal transducer and transcriptional modulator activated by TGF-beta (transforming growth factor) and activin type 1 receptor kinases. Binds the TRE element in the promoter region of many genes that are regulated by TGF-beta and, on formation of the SMAD2/SMAD4 complex, activates transcription. Promotes TGFB1-mediated transcription of odontoblastic differentiation genes in dental papilla cells (PubMed : 33548622). Positively regulates PDPK1 kinase activity by stimulating its dissociation from the 14-3-3 protein YWHAQ which acts as a negative regulator (By similarity).
See full target information Smad2

Product promise

We are committed to supporting your work with high-quality reagents, and we're here for you every step of the way. In the unlikely event that one of our products does not perform as expected, you're protected by our Product Promise.
For full details, please see our Terms & Conditions

Please note: All products are 'FOR RESEARCH USE ONLY. NOT FOR USE IN DIAGNOSTIC OR THERAPEUTIC PROCEDURES'.

For licensing inquiries, please contact partnerships@abcam.com