JavaScript is disabled in your browser. Please enable JavaScript to view this website.
AB217553

Anti-Smad2 + Smad3 antibody

Be the first to review this product! Submit a review

|

(14 Publications)

Rabbit Polyclonal SMAD3 antibody. Suitable for ICC/IF, Flow Cyt, WB and reacts with Human, Mouse, Rat samples. Cited in 14 publications. Immunogen corresponding to Synthetic Peptide within Human SMAD3 aa 1-100 conjugated to Keyhole Limpet Haemocyanin.

View Alternative Names

MADH3, SMAD3, Mothers against decapentaplegic homolog 3, MAD homolog 3, Mad3, Mothers against DPP homolog 3, hMAD-3, JV15-2, SMAD family member 3, SMAD 3, Smad3, hSMAD3

4 Images
Immunocytochemistry/ Immunofluorescence - Anti-Smad2 + Smad3 antibody (AB217553)
  • ICC/IF

Supplier Data

Immunocytochemistry/ Immunofluorescence - Anti-Smad2 + Smad3 antibody (AB217553)

Hela cell; 4% Paraformaldehyde-fixed; Triton X-100 at room temperature for 20 min; Blocking buffer (normal goat serum) at 37°C for 20 min; Antibody incubation with (Smad3) polyclonal Antibody, Unconjugated (ab217553) 1 : 100, 90 minutes at 37°C; followed by a conjugated Goat Anti-Rabbit IgG antibody at 37°C for 90 minutes, DAPI (blue) was used to stain the cell nuclei.

Flow Cytometry - Anti-Smad2 + Smad3 antibody (AB217553)
  • Flow Cyt

Supplier Data

Flow Cytometry - Anti-Smad2 + Smad3 antibody (AB217553)

HUVEC cells(black) were fixed with 4% PFA for 10min at room temperature,permeabilized with 90% ice-cold methanol for 20 min at -20℃, and incubated in 5% BSA blocking buffer for 30 min at room temperature. Cells were then stained with Smad2/3 Polyclonal Antibody(ab217553) at 1 : 50 dilution in blocking buffer and incubated for 30 min at room temperature, washed twice with 2% BSA in PBS, followed by secondary antibody(blue) incubation for 40 min at room temperature. Acquisitions of 20,000 events were performed. Cells stained with primary antibody (green), and isotype control (orange).

Western blot - Anti-Smad2 + Smad3 antibody (AB217553)
  • WB

Supplier Data

Western blot - Anti-Smad2 + Smad3 antibody (AB217553)

12% SDS-PAGE

All lanes:

Western blot - Anti-Smad2 + Smad3 antibody (ab217553) at 1/200 dilution

Lane 1:

mouse brain lysates

Lane 2:

mouse kidney lysates

Secondary

All lanes:

HRP-conjugated secondary antibody at 1/3000 dilution

Observed band size: 47 kDa

false

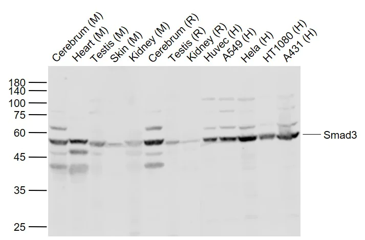
Western blot - Anti-Smad2 + Smad3 antibody (AB217553)
  • WB

Supplier Data

Western blot - Anti-Smad2 + Smad3 antibody (AB217553)

All lanes:

Western blot - Anti-Smad2 + Smad3 antibody (ab217553) at 1/1000 dilution

Lane 1:

Mouse cerebrum lysate

Lane 2:

Mouse heart lysate

Lane 3:

Mouse testis lysate

Lane 4:

Mouse Skin lysate

Lane 5:

Mouse Kidney lysate

Lane 6:

Rat cerebrum lysate

Lane 7:

Rat Testis lysate

Lane 8:

Rat kidney lysate

Lane 9:

HUVEC cell lysate

Lane 10:

A459 cell lysate

Lane 11:

HeLa cell lysate

Lane 12:

HT1080 cell lysate

Lane 13:

A431 cell lysate

false

Key facts

Host species

Rabbit

Clonality

Polyclonal

Isotype

IgG

Carrier free

No

Reacts with

Mouse, Rat, Human

Applications

ICC/IF, WB, Flow Cyt

applications

Immunogen

Synthetic Peptide within Human SMAD3 aa 1-100 conjugated to Keyhole Limpet Haemocyanin. The exact immunogen used to generate this antibody is proprietary information.

P84022

Reactivity data

{ "title": "Reactivity Data", "filters": { "stats": ["", "Species", "Dilution Info", "Notes"], "tabs": { "all-applications": {"fullname" : "All Applications", "shortname": "All Applications"}, "ICCIF" : {"fullname" : "Immunocytochemistry/ Immunofluorescence", "shortname":"ICC/IF"}, "FlowCyt" : {"fullname" : "Flow Cytometry", "shortname":"Flow Cyt"}, "WB" : {"fullname" : "Western blot", "shortname":"WB"} }, "product-promise": { "all": "all", "testedAndGuaranteed": "tested", "guaranteed": "expected", "predicted": "predicted", "notRecommended": "not-recommended" } }, "values": { "Human": { "ICCIF-species-checked": "testedAndGuaranteed", "ICCIF-species-dilution-info": "1/100", "ICCIF-species-notes": "<p></p>", "FlowCyt-species-checked": "testedAndGuaranteed", "FlowCyt-species-dilution-info": "1/50", "FlowCyt-species-notes": "<p></p>", "WB-species-checked": "testedAndGuaranteed", "WB-species-dilution-info": "1/100 - 1/1000", "WB-species-notes": "<p></p>" }, "Mouse": { "ICCIF-species-checked": "guaranteed", "ICCIF-species-dilution-info": "", "ICCIF-species-notes": "", "FlowCyt-species-checked": "guaranteed", "FlowCyt-species-dilution-info": "", "FlowCyt-species-notes": "", "WB-species-checked": "testedAndGuaranteed", "WB-species-dilution-info": "1/100 - 1/1000", "WB-species-notes": "<p></p>" }, "Rat": { "ICCIF-species-checked": "guaranteed", "ICCIF-species-dilution-info": "", "ICCIF-species-notes": "", "FlowCyt-species-checked": "guaranteed", "FlowCyt-species-dilution-info": "", "FlowCyt-species-notes": "", "WB-species-checked": "testedAndGuaranteed", "WB-species-dilution-info": "1/100 - 1/1000", "WB-species-notes": "<p></p>" } } }

Properties and storage information

Form
Liquid
Purification technique
Affinity purification Protein A
Storage buffer
pH: 7.4 Preservative: 0.02% Proclin 300 Constituents: 50% Glycerol (glycerin, glycerine), 48.98% TBS, 1X, 1% BSA
Shipped at conditions
Blue Ice
Appropriate short-term storage duration
1-2 weeks
Appropriate short-term storage conditions
+4°C
Appropriate long-term storage conditions
-20°C
Aliquoting information
Upon delivery aliquot
Storage information
Avoid freeze / thaw cycle

Supplementary information

This supplementary information is collated from multiple sources and compiled automatically.

Smad2 and Smad3 are intracellular proteins tightly involved in the TGF-β signaling pathway. These proteins also known as mothers against decapentaplegic homolog 2 and 3 play an important role in transmitting signals from the cell surface to the nucleus. Smad2 has a molecular weight of approximately 58 kDa while Smad3 is about 52 kDa. They are expressed in various tissues throughout the body including heart skin and immune cells. Upon activation Smad2 and Smad3 undergo phosphorylation a modification that is important for their function as signal transducers.
Biological function summary

The functions of Smad2 and Smad3 are critical in mediating cellular processes such as proliferation differentiation and apoptosis. These proteins often form complexes specifically oligomeric structures with other Smad proteins like co-Smad4 to exert their regulatory roles. The Smad2/3 complexes control the transcription of specific genes in response to TGF-β stimuli influencing cellular responses in a context-dependent manner.

Pathways

Smad2 and Smad3 are central to the TGF-β signaling pathway one significant pathway that affects cellular growth and differentiation. These proteins interact with TGF-β receptors on the cell surface to become phosphorylated forming a complex with Smad4 which then translocates to the nucleus. In the nucleus this complex regulates gene expression. Both Smad2 and Smad3 also engage with other signaling pathways such as the MAPK pathway further influencing cell behavior and cooperating with proteins like ERK.

Smad2 and Smad3 have been linked to conditions like cancer and fibrosis. Dysregulation of Smad2/3 signaling often leads to unchecked cell proliferation a hallmark of tumorigenesis. In fibrosis excessive Smad2/3 activity contributes to tissue scarring due to increased extracellular matrix production. For instance their interaction with proteins like α-SMA (alpha-smooth muscle actin) in fibroblasts plays a role in cardiac and pulmonary fibrosis. Understanding their exact contribution provides insights into potential therapeutic targets for treating these diseases.

Product protocols

For this product, it's our understanding that no specific protocols are required. You can visit:

Target data

SMAD3 is a receptor-regulated SMAD that functions as an intracellular signal transducer and transcriptional modulator, activated by TGF-beta and activin type 1 receptor kinases. It binds to the TRE element in promoters of numerous genes regulated by TGF-beta, and upon forming a complex with SMAD4, activates transcription. Additionally, SMAD3 can form a complex with SMAD4, JUN, and FOS at the AP-1/SMAD site to regulate TGF-beta-mediated transcription. SMAD3 may inhibit wound healing by modulating the growth and migration of primary keratinocytes and altering TGF-beta-mediated monocyte chemotaxis, with this effect being potentially hormone-sensitive. Furthermore, SMAD3 is involved in regulating chondrogenesis and osteogenesis and may inhibit early bone fracture healing. It also positively regulates PDPK1 kinase activity by promoting its dissociation from the 14-3-3 protein YWHAQ, which negatively regulates it. This supplementary information is collated from multiple sources and compiled automatically.
See full target information SMAD3

Additional targets

SMAD2

Publications (14)

Recent publications for all applications. Explore the full list and refine your search

BMC cancer 25:1313 PubMed40804612

2025

CircMORC1 downregulated in plasma EVs promotes gastric cancer cell proliferation and invasion via miR-103a-1-5p sponging.

Applications

Unspecified application

Species

Unspecified reactive species

Xiang-Ming Zhai,Yi-Qi Yang,Li Lin,Huan-Chang Luo,Zhi-Wei Guo,Ying-Song Wu

Theranostics 14:6185-6201 PubMed39431015

2024

Spatial transcriptomic sequencing reveals immune microenvironment features of granulomas in lung and omentum.

Applications

Unspecified application

Species

Unspecified reactive species

Xiaochen Qiu,Pengfei Zhong,Liang Yue,Chaofan Li,Zhimin Yun,Guangqian Si,Mengfan Li,Zhi Chen,Yingxia Tan,Pengtao Bao

British journal of pharmacology 181:1308-1323 PubMed37990806

2023

Paediatric sepsis survivors are resistant to sepsis-induced long-term immune dysfunction.

Applications

Unspecified application

Species

Unspecified reactive species

David F Colón,Carlos W Wanderley,Walter M Turato,Vanessa F Borges,Marcelo Franchin,Fernanda V S Castanheira,Daniele Nascimento,Douglas Prado,Mikhael Haruo Fernandes de Lima,Leila C Volpon,Silvia K Kavaguti,Ana P Carlotti,Fabio Carmona,Bernardo S Franklin,Thiago M Cunha,Jose Carlos Alves-Filho,Fernando Q Cunha

Cellular & molecular biology letters 28:15 PubMed36849929

2023

IRE1α arm of unfolded protein response in muscle-specific TGF-β signaling-mediated regulation of muscle cell immunological properties.

Applications

Unspecified application

Species

Unspecified reactive species

Jiangwei Xiao,Jingwen Huang,Xiaoting Jian,Han Wang,Haiqiang Lan,Zhaohong Liao,Ruicai Gu,Jijie Hu,Hua Liao

International journal of oral science 14:37 PubMed35853862

2022

PTHrP promotes subchondral bone formation in TMJ-OA.

Applications

Unspecified application

Species

Unspecified reactive species

Jun Zhang,Caixia Pi,Chen Cui,Yang Zhou,Bo Liu,Juan Liu,Xin Xu,Xuedong Zhou,Liwei Zheng

Oncology letters 24:251 PubMed35761941

2022

IGFBP7 remodels the tumor microenvironment of esophageal squamous cell carcinoma by activating the TGFβ1/SMAD signaling pathway.

Applications

Unspecified application

Species

Unspecified reactive species

Xiuqing Li,Ji Zhang,Youshan Wu,Chuntao Ma,Dongying Wei,Lijuan Pan,Liangliang Cai

Experimental and therapeutic medicine 24:496 PubMed35837062

2022

Procyanidin B2 suppresses hyperglycemia-induced renal mesangial cell dysfunction by modulating CAV-1-dependent signaling.

Applications

Unspecified application

Species

Unspecified reactive species

Jun Yin,Ke Wang,Xue Zhu,Guoyuan Lu,Donghua Jin,Junsi Qiu,Fanfan Zhou

Iranian journal of public health 50:1973-1982 PubMed35223564

2022

MiRNA-21 Regulates Bronchial Epithelial Cell Proliferation by Activating Tgfβ1/Smad Signaling Pathway and Its Correlation with Asthma Severity in Children.

Applications

Unspecified application

Species

Unspecified reactive species

Yang Kang,Minghui Bai,Liling Deng,Linbo Fan,Xing Wang

Molecular medicine (Cambridge, Mass.) 28:9 PubMed35090386

2022

Omega-3 fatty acids impair miR-1-3p-dependent Notch3 down-regulation and alleviate sepsis-induced intestinal injury.

Applications

Unspecified application

Species

Unspecified reactive species

You-Lian Chen,Yin-Jing Xie,Zhen-Mi Liu,Wei-Bu Chen,Ru Zhang,Hong-Xing Ye,Wei Wang,Xue-Yan Liu,Huai-Sheng Chen

Life sciences 229:261-276 PubMed31082400

2019

FGF-2 targets sclerostin in bone and myostatin in skeletal muscle to mitigate the deleterious effects of glucocorticoid on musculoskeletal degradation.

Applications

Unspecified application

Species

Unspecified reactive species

Sulekha Adhikary,Dharmendra Choudhary,Ashish Kumar Tripathi,Anirudha Karvande,Naseer Ahmad,Priyanka Kothari,Ritu Trivedi
View all publications

Product promise

We are committed to supporting your work with high-quality reagents, and we're here for you every step of the way. In the unlikely event that one of our products does not perform as expected, you're protected by our Product Promise.
For full details, please see our Terms & Conditions

Please note: All products are 'FOR RESEARCH USE ONLY. NOT FOR USE IN DIAGNOSTIC OR THERAPEUTIC PROCEDURES'.

For licensing inquiries, please contact partnerships@abcam.com