JavaScript is disabled in your browser. Please enable JavaScript to view this website.
AB28379

Anti-Smad3 antibody

4

(13 Reviews)

|

(207 Publications)

Rabbit Polyclonal SMAD3 antibody. Suitable for IHC-P and reacts with Human samples. Cited in 207 publications.

View Alternative Names

MADH3, SMAD3, SMAD family member 3, SMAD 3, hSMAD3, JV15-2, Mothers against decapentaplegic homolog 3, MAD homolog 3, Mad3, Mothers against DPP homolog 3, hMAD-3

1 Images
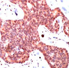
Immunohistochemistry (Formalin/PFA-fixed paraffin-embedded sections) - Anti-Smad3 antibody (AB28379)
  • IHC-P

Unknown

Immunohistochemistry (Formalin/PFA-fixed paraffin-embedded sections) - Anti-Smad3 antibody (AB28379)

ab28379, at a 1/100 dilution, staining Smad3 in formalin fixed paraffin embedded human breast carcinoma sections by Immunohistochemistry.

Key facts

Host species

Rabbit

Clonality

Polyclonal

Isotype

IgG

Carrier free

No

Reacts with

Human

Applications

IHC-P

applications

Immunogen

The exact immunogen used to generate this antibody is proprietary information.

Reactivity data

{ "title": "Reactivity Data", "filters": { "stats": ["", "Species", "Dilution Info", "Notes"], "tabs": { "all-applications": {"fullname" : "All Applications", "shortname": "All Applications"}, "IHCP" : {"fullname" : "Immunohistochemistry (Formalin/PFA-fixed paraffin-embedded sections)", "shortname":"IHC-P"} }, "product-promise": { "all": "all", "testedAndGuaranteed": "tested", "guaranteed": "expected", "predicted": "predicted", "notRecommended": "not-recommended" } }, "values": { "Human": { "IHCP-species-checked": "testedAndGuaranteed", "IHCP-species-dilution-info": "1/100", "IHCP-species-notes": "<p></p> Perform heat-mediated antigen retrieval via the pressure cooker method before commencing with IHC staining protocol." }, "Mouse": { "IHCP-species-checked": "predicted", "IHCP-species-dilution-info": "", "IHCP-species-notes": "" }, "Rat": { "IHCP-species-checked": "predicted", "IHCP-species-dilution-info": "", "IHCP-species-notes": "" } } }

Properties and storage information

Form
Liquid
Purification technique
Affinity purification Immunogen
Purification notes
This antibody is affinity purified.
Storage buffer
pH: 7.6 Preservative: 0.1% Sodium azide Constituents: PBS, 1% BSA
Shipped at conditions
Blue Ice
Appropriate short-term storage duration
1-2 weeks
Appropriate short-term storage conditions
+4°C
Appropriate long-term storage conditions
-20°C
Aliquoting information
Upon delivery aliquot
Storage information
Avoid freeze / thaw cycle

Supplementary information

This supplementary information is collated from multiple sources and compiled automatically.

Smad3 also known as Mothers against decapentaplegic homolog 3 is a protein that plays a mechanical role in signal transduction. It acts mainly as a transcription factor and gets activated through phosphorylation. The molecular weight of Smad3 is approximately 48 kDa. It is expressed widely across numerous tissues including the cellular nucleus where it executes its function after activation.
Biological function summary

Smad3 acts as a mediator of signal transduction for the TGF-beta (transforming growth factor-beta) superfamily forming a complex with phosphorylated Smad2. This enables it to regulate transcriptional activity influencing cell proliferation differentiation and apoptosis. Smad3 also participates in various cellular processes by interacting with other co-factors and regulatory proteins that aid in fine-tuning its function.

Pathways

Smad3 plays an important role in the TGF-beta signaling pathway where it works closely with Smad4 to propagate the signal. Upon phosphorylation it forms a complex with co-Smad (Smad4) and moves into the nucleus to influence gene expression. Smad3 is also involved in pathways related to oncogenesis and tissue fibrosis indicating its significant role in cellular regulation and response mechanisms.

Smad3 is associated with fibrotic diseases and cancers particularly in tissues such as the liver and lungs. Altered Smad3 signaling contributes to the pathological process occurring in fibrotic disorders often interacting with Smad4 in these abnormalities. Dysregulated Smad3 expression or mutations can also lead to oncogenic transformations highlighting its critical involvement in disease states.

Product protocols

For this product, it's our understanding that no specific protocols are required. You can visit:

Target data

Receptor-regulated SMAD (R-SMAD) that is an intracellular signal transducer and transcriptional modulator activated by TGF-beta (transforming growth factor) and activin type 1 receptor kinases. Binds the TRE element in the promoter region of many genes that are regulated by TGF-beta and, on formation of the SMAD3/SMAD4 complex, activates transcription. Also can form a SMAD3/SMAD4/JUN/FOS complex at the AP-1/SMAD site to regulate TGF-beta-mediated transcription. Has an inhibitory effect on wound healing probably by modulating both growth and migration of primary keratinocytes and by altering the TGF-mediated chemotaxis of monocytes. This effect on wound healing appears to be hormone-sensitive. Regulator of chondrogenesis and osteogenesis and inhibits early healing of bone fractures. Positively regulates PDPK1 kinase activity by stimulating its dissociation from the 14-3-3 protein YWHAQ which acts as a negative regulator.
See full target information SMAD3

Publications (207)

Recent publications for all applications. Explore the full list and refine your search

Frontiers in immunology 16:1571007 PubMed40852727

2025

Therapeutic potential of formononetin in cirrhotic portal hypertension: modulating hepatic fibrosis, macrophage polarization, and lymphangiogenesis.

Applications

Unspecified application

Species

Unspecified reactive species

Zhenghao Wu,Guqing Luo,Hongjie Li,Min Chen,Guangbo Wu,Qiang Fan,Chihao Zhang,Jiwei Yu,Jiayun Lin,Jinbo Zhao,Xiaoliang Qi,Haizhong Huo,Meng Luo,Lei Zheng

Cell division 20:20 PubMed40751214

2025

SMAD3 orchestrates RNF167 and STAMBPL1-mediated Sestrin2 ubiquitination to drive gastric cancer progression.

Applications

Unspecified application

Species

Unspecified reactive species

Ning Zhang,Na Zhao,Hainan Zhang,Le Yao,Hongtao Si

Cells 14: PubMed40558517

2025

Adenosine A Receptor Antagonism Interferes with TGF-β Cellular Signaling Through SMAD2/-3 and p65-Nf-κB in Podocytes and Protects from Phenotypical Transformation in Experimental Diabetic Glomerulopathy.

Applications

Unspecified application

Species

Unspecified reactive species

Ignacio Arias,Claudia Jara,Pablo Mendoza-Soto,Yessica Nahuelpán,Claudio Cappelli,Carlos Oyarzún,Diego Carrillo-Beltrán,Claudia Quezada-Monrás,Angelo Torres-Arévalo,Rody San Martín

EBioMedicine 101:105026 PubMed38417378

2024

Identification of a distal enhancer regulating hedgehog interacting protein gene in human lung epithelial cells.

Applications

Unspecified application

Species

Unspecified reactive species

Feng Guo,Li Zhang,Yuzhen Yu,Lu Gong,Shiyue Tao,Rhiannon B Werder,Shreya Mishra,Yihan Zhou,Wardatul Jannat Anamika,Taotao Lao,Hiroyuki Inuzuka,Yihan Zhang,Betty Pham,Tao Liu,Tiffany S Tufenkjian,Bradley W Richmond,Wenyi Wei,Hongmei Mou,Andrew A Wilson,Ming Hu,Wei Chen,Xiaobo Zhou

Cell proliferation 57:e13579 PubMed38012096

2023

TGF-β3 mediates mitochondrial dynamics through the p-Smad3/AMPK pathway.

Applications

Unspecified application

Species

Unspecified reactive species

Xinmei Du,Mengmeng Duan,Shiyi Kan,Yueyi Yang,Siqun Xu,Jieya Wei,Jiazhou Li,Hao Chen,Xuedong Zhou,Jing Xie

Cells 12: PubMed38067144

2023

Sertoli Cell-Specific Activation of Transforming Growth Factor Beta Receptor 1 Leads to Testicular Granulosa Cell Tumor Formation.

Applications

Unspecified application

Species

Unspecified reactive species

Xin Fang,Linfeng Nie,Satwikreddy Putluri,Nan Ni,Laurent Bartholin,Qinglei Li

International journal of molecular sciences 24: PubMed37511155

2023

Smad3 Mediates Diabetic Dyslipidemia and Fatty Liver in db/db Mice by Targeting PPARδ.

Applications

Unspecified application

Species

Unspecified reactive species

Huijun He,Yu Zhong,Honglian Wang,Patrick Ming-Kuen Tang,Vivian Weiwen Xue,Xiaocui Chen,Jiaoyi Chen,Xiaoru Huang,Cheng Wang,Huiyao Lan

Science advances 9:eadf3924 PubMed37436991

2023

Cathepsin W restrains peripheral regulatory T cells for mucosal immune quiescence.

Applications

Unspecified application

Species

Unspecified reactive species

Jian Li,Zuojia Chen,Girak Kim,Jialie Luo,Shohei Hori,Chuan Wu

Cell discovery 9:41 PubMed37072414

2023

PHF14 enhances DNA methylation of SMAD7 gene to promote TGF-β-driven lung adenocarcinoma metastasis.

Applications

Unspecified application

Species

Unspecified reactive species

Han Tian,Chenying Liu,Jianchen Yu,Jian Han,Jianan Du,Shujun Liang,Wenting Wang,Qin Liu,Rong Lian,Ting Zhu,Shanshan Wu,Tianyu Tao,Yaokai Ye,Jingjing Zhao,Yi Yang,Xun Zhu,Junchao Cai,Jueheng Wu,Mengfeng Li

Nucleic acids research 51:2655-2670 PubMed36727462

2023

SMAD3 promotes expression and activity of the androgen receptor in prostate cancer.

Applications

Unspecified application

Species

Unspecified reactive species

Hee-Young Jeon,Majid Pornour,Hyunju Ryu,Sudeep Khadka,Rui Xu,Jihyun Jang,Deqiang Li,Hegang Chen,Arif Hussain,Ladan Fazli,Martin Gleave,Xuesen Dong,Furong Huang,Qianben Wang,Christopher Barbieri,Jianfei Qi
View all publications

Product promise

We are committed to supporting your work with high-quality reagents, and we're here for you every step of the way. In the unlikely event that one of our products does not perform as expected, you're protected by our Product Promise.
For full details, please see our Terms & Conditions

Please note: All products are 'FOR RESEARCH USE ONLY. NOT FOR USE IN DIAGNOSTIC OR THERAPEUTIC PROCEDURES'.

For licensing inquiries, please contact partnerships@abcam.com