JavaScript is disabled in your browser. Please enable JavaScript to view this website.
AB208182

Anti-Smad3 antibody [EPR19686] - ChIP Grade

  • 20ul selling size
  • RabMAb
  • Recombinant
  • KO Validated
  • What is this?

Be the first to review this product! Submit a review

|

(31 Publications)

Rabbit Recombinant Monoclonal SMAD3 antibody. Suitable for IP, ChIP, WB and reacts with Human, Mouse, Rat, Recombinant fragment - Human samples. Cited in 31 publications.

View Alternative Names

MADH3, SMAD3, Mothers against decapentaplegic homolog 3, MAD homolog 3, Mad3, Mothers against DPP homolog 3, hMAD-3, JV15-2, SMAD family member 3, SMAD 3, Smad3, hSMAD3

8 Images
Immunoprecipitation - Anti-Smad3 antibody [EPR19686] - ChIP Grade (AB208182)
  • IP

Supplier Data

Immunoprecipitation - Anti-Smad3 antibody [EPR19686] - ChIP Grade (AB208182)

Smad3 was immunoprecipitated from 0.35 mg of HeLa (Human epithelial cell line from cervix adenocarcinoma) whole cell lysate with ab208182 at 1/30 dilution.

Western blot was performed from the immunoprecipitate using ab208182 at 1/1000 dilution.

VeriBlot for IP Detection Reagent (HRP) (ab131366), was used for detection at 1/10000 dilution.

Lane 1 : HeLa whole cell lysate 10μg (Input).

Lane 2 : ab208182 IP in HeLa whole cell lysate.

Lane 3 : Rabbit monoclonal IgG (ab172730) instead of ab208182 in HeLa whole cell lysate.

Blocking and dilution buffer and concentration : 5% NFDM/TBST.

Exposure time : 3 minutes.

All lanes:

Immunoprecipitation - Anti-Smad3 antibody [EPR19686] - ChIP Grade (ab208182)

Predicted band size: 48 kDa

false

ChIP - Anti-Smad3 antibody [EPR19686] - ChIP Grade (AB208182)
  • ChIP

Unknown

ChIP - Anti-Smad3 antibody [EPR19686] - ChIP Grade (AB208182)

Chromatin was prepared from HaCaT (Human keratinocyte cell line) cells treated with 7ng/ml TGF-β for 1h and non-treated according to the Abcam X-ChIP protocol. Cells were fixed with formaldehyde for 10 minutes. The ChIP was performed with 25μg of chromatin, 2μg of ab208182 (red), and 20μl of protein A/G beads. 2μg of rabbit normal IgG was added to the beads control (grey). The immunoprecipitated DNA was quantified by real time PCR (Sybr green approach).

The ChIP condition performed here is similar to the literature (PMID : 18245174).

Western blot - Anti-Smad3 antibody [EPR19686] - ChIP Grade (AB208182)
  • WB

Lab

Western blot - Anti-Smad3 antibody [EPR19686] - ChIP Grade (AB208182)

Lanes 1 - 4 : Merged signal (red and green). Green - ab208182 observed at 50 kDa. Red - loading control, ab8245 (Mouse anti-GAPDH antibody [6C5]) observed at 37kDa.

ab208182 was shown to react with Smad3 in western blot. Membranes were blocked in 3% milk in TBS-T (0.1% Tween®) before incubation with ab208182 and ab8245 (Mouse anti-GAPDH antibody [6C5]) overnight at 4°C at a 1 in 1000 Dilution and a 1 in 20000 dilution respectively. Blots were incubated with Goat anti-Rabbit IgG H&L (IRDye® 800CW) preabsorbed (ab216773) and Goat anti-Mouse IgG H&L (IRDye® 680RD) preabsorbed (ab216776) secondary antibodies at 1 in 20000 dilution for 1 hour at room temperature before imaging.

All lanes:

Western blot - Anti-Smad3 antibody [EPR19686] - ChIP Grade (ab208182) at 1/1000 dilution

Lane 1:

Wild-type A549 (Human lung carcinoma cell line) whole cell lysate at 20 µg

Lane 2:

Western blot - Human SMAD3 knockout A549 cell lysate (<a href='/en-us/products/cell-lysates/human-smad3-knockout-a549-cell-lysate-ab264513'>ab264513</a>)

Lane 3:

HeLa (Human epithelial cell line from cervix adenocarcinoma) whole cell lysate at 20 µg

Lane 4:

Human Kidney cell lysate at 20 µg

Predicted band size: 48 kDa

Observed band size: 50 kDa

false

Western blot - Anti-Smad3 antibody [EPR19686] - ChIP Grade (AB208182)
  • WB

Lab

Western blot - Anti-Smad3 antibody [EPR19686] - ChIP Grade (AB208182)

Lanes 1 - 4 : Merged signal (red and green). Green - ab208182 observed at 55 kDa. Red - loading control, ab8245 observed at 37 kDa.

ab208182 was shown to react with Smad3 in wild-type HeLa cells. Loss of signal was observed when knockout cell line ab255431 (knockout cell lysate ab263834) was used. Wild-type and Smad3 knockout samples were subjected to SDS-PAGE. ab208182 and Anti-GAPDH antibody [6C5] - Loading Control (ab8245) were incubated overnight at 4°C at 1 in 1000 dilution and 1 in 20000 dilution respectively. Blots were developed with Goat anti-Rabbit IgG H&L (IRDye® 800CW) preadsorbed (ab216773) and Goat anti-Mouse IgG H&L (IRDye® 680RD) preadsorbed (ab216776) secondary antibodies at 1 in 20000 dilution for 1 hour at room temperature before imaging.

All lanes:

Western blot - Anti-Smad3 antibody [EPR19686] - ChIP Grade (ab208182) at 1/1000 dilution

Lane 1:

Wild-type A549 cell lysate at 20 µg

Lane 2:

SMAD3 knockout A549 cell lysate at 20 µg

Lane 3:

Wild-type HeLa cell lysate at 20 µg

Lane 4:

Western blot - Human SMAD3 knockout HeLa cell lysate (<a href='/en-us/products/cell-lysates/human-smad3-knockout-hela-cell-lysate-ab263834'>ab263834</a>)

Secondary

All lanes:

Western blot - Goat anti-Rabbit IgG H&L (IRDye® 800CW) preadsorbed (<a href='/en-us/products/secondary-antibodies/goat-rabbit-igg-h-l-irdye-800cw-preadsorbed-ab216773'>ab216773</a>) at 1/20000 dilution

Predicted band size: 48 kDa

Observed band size: 37 kDa,74 kDa

false

Western blot - Anti-Smad3 antibody [EPR19686] - ChIP Grade (AB208182)
  • WB

Supplier Data

Western blot - Anti-Smad3 antibody [EPR19686] - ChIP Grade (AB208182)

Blocking/Dilution buffer : 5% NFDM/TBST.

Exposure time : Lane 1/6 : 3 minutes; Lane 2-5 : 15 seconds.

All lanes:

Western blot - Anti-Smad3 antibody [EPR19686] - ChIP Grade (ab208182) at 1/1000 dilution

Lane 1:

HeLa (Human epithelial cell line from cervix adenocarcinoma) whole cell lysate at 10 µg

Lane 2:

Jurkat (Human T cell leukemia cell line from peripheral blood) whole cell lysate at 10 µg

Lane 3:

HEK-293 (Human epithelial cell line from embryonic kidney) whole cell lysate at 10 µg

Lane 4:

K562 (Human chronic myelogenous leukemia cell line from bone marrow) whole cell lysate at 10 µg

Lane 5:

BxPC-3 (Human pancreas adenocarcinoma cell line) whole cell lysate at 10 µg

Lane 6:

Human fetal kidney lysate at 10 µg

Secondary

Lanes 1 - 5:

Western blot - Goat Anti-Rabbit IgG H&L (HRP) (<a href='/en-us/products/secondary-antibodies/goat-rabbit-igg-h-l-hrp-ab97051'>ab97051</a>) at 1/100000 dilution

Lane 6:

Goat Anti-Rabbit IgG Peroxidase Conjugate, specific to the non-reduced form of IgG at 1/10000 dilution

Predicted band size: 13 kDa,48 kDa

Observed band size: 55 kDa

false

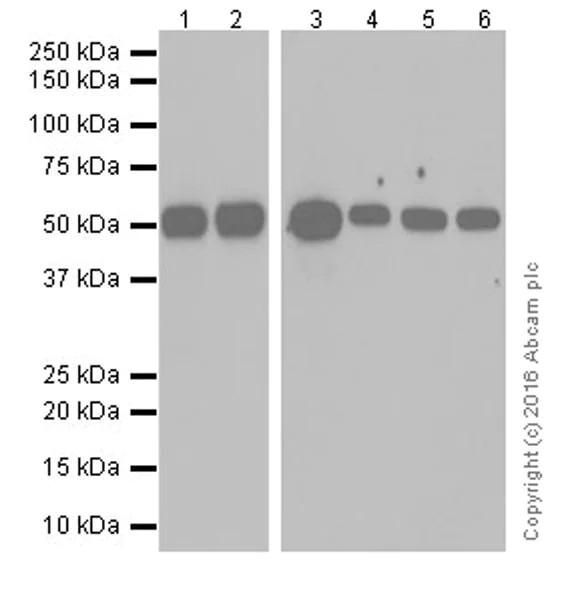
Western blot - Anti-Smad3 antibody [EPR19686] - ChIP Grade (AB208182)
  • WB

Supplier Data

Western blot - Anti-Smad3 antibody [EPR19686] - ChIP Grade (AB208182)

Blocking/Dilution buffer : 5% NFDM/TBST.

Human Smad3 recombinant protein contains aa2-227 with GST and His-Tag®. This protein was made-in house.

All lanes:

Western blot - Anti-Smad3 antibody [EPR19686] - ChIP Grade (ab208182) at 1/1000 dilution

Lane 1:

Human Smad3 recombinant protein at 0.01 µg

Lane 2:

Human Smad2 active protein at 0.01 µg

Secondary

All lanes:

Western blot - Goat Anti-Rabbit IgG H&L (HRP) (<a href='/en-us/products/secondary-antibodies/goat-rabbit-igg-h-l-hrp-ab97051'>ab97051</a>) at 1/100000 dilution

Predicted band size: 48 kDa

Observed band size: 74 kDa

false

Exposure time: 1s

Western blot - Anti-Smad3 antibody [EPR19686] - ChIP Grade (AB208182)
  • WB

Lab

Western blot - Anti-Smad3 antibody [EPR19686] - ChIP Grade (AB208182)

False colour image of Western blot : Anti-Smad3 antibody [EPR19686] - ChIP Grade staining at 1/1000 dilution, shown in green; Mouse anti-GAPDH antibody [6C5] (ab8245) loading control staining at 1/20000 dilution, shown in red. In Western blot, ab208182 was shown to bind specifically to Smad3. A band was observed at 50 kDa in wild-type A549 cell lysates with no signal observed at this size in SMAD3 CRISPR-Cas9 edited cell line ab277888 (CRISPR-Cas9 edited cell lysate None). The band observed in the CRISPR-Cas9 edited lysate lane below 50 kDa is likely to represent a truncated form of Smad3. This has not been investigated further and the functional properties of the gene product have not been determined. To generate this image, wild-type and SMAD3 CRISPR-Cas9 edited A549 cell lysates were analysed. First, samples were run on an SDS-PAGE gel then transferred onto a nitrocellulose membrane. Membranes were blocked in 3 % milk in TBS-0.1 % Tween® 20 (TBS-T) before incubation with primary antibodies overnight at 4 °C. Blots were washed four times in TBS-T, incubated with secondary antibodies for 1 h at room temperature, washed again four times then imaged. Secondary antibodies used were Goat anti-Rabbit IgG H&L 800CW and Goat anti-Mouse IgG H&L 680RD at 1/20000 dilution.

All lanes:

Western blot - Anti-Smad3 antibody [EPR19686] - ChIP Grade (ab208182) at 1/1000 dilution

Lane 1:

Wild-type A549 cell lysate at 20 µg

Lane 2:

SMAD3 CRISPR-Cas9 edited A549 cell lysate at 20 µg

Secondary

Lanes 1 - 2:

Goat anti-Rabbit IgG H&L 800CW at 1/20000 dilution

Lanes 1 - 2:

Goat anti-Mouse IgG H&L 680RD at 1/20000 dilution

Observed band size: 50 kDa

false

Western blot - Anti-Smad3 antibody [EPR19686] - ChIP Grade (AB208182)
  • WB

Supplier Data

Western blot - Anti-Smad3 antibody [EPR19686] - ChIP Grade (AB208182)

Blocking/Dilution buffer : 5% NFDM/TBST.

Exposure time : Lane 1/2 : 30 seconds; Lane 3-6 : 3 minutes.

All lanes:

Western blot - Anti-Smad3 antibody [EPR19686] - ChIP Grade (ab208182) at 1/1000 dilution

Lane 1:

C6 (Rat glial tumor cell line) whole cell lysate at 10 µg

Lane 2:

PC-12 (Rat adrenal gland pheochromocytoma cell line) whole cell lysate at 10 µg

Lane 3:

NIH/3T3 (Mouse embryonic fibroblast cell line) whole cell lysate at 10 µg

Lane 4:

Rat spleen lysate at 10 µg

Lane 5:

Rat kidney lysate at 10 µg

Lane 6:

Mouse spleen lysate at 10 µg

Secondary

All lanes:

Western blot - Goat Anti-Rabbit IgG H&L (HRP) (<a href='/en-us/products/secondary-antibodies/goat-rabbit-igg-h-l-hrp-ab97051'>ab97051</a>) at 1/100000 dilution

Predicted band size: 48 kDa

Observed band size: 55 kDa

false

  • Carrier free

    Anti-Smad3 antibody [EPR19686] - BSA and Azide free

Key facts

Host species

Rabbit

Clonality

Monoclonal

Clone number

EPR19686

Isotype

IgG

Carrier free

No

Reacts with

Mouse, Rat, Human

Applications

ChIP, IP, WB

applications

Immunogen

The exact immunogen used to generate this antibody is proprietary information.

Reactivity data

{ "title": "Reactivity Data", "filters": { "stats": ["", "Species", "Dilution Info", "Notes"], "tabs": { "all-applications": {"fullname" : "All Applications", "shortname": "All Applications"}, "IP" : {"fullname" : "Immunoprecipitation", "shortname":"IP"}, "ChIP" : {"fullname" : "ChIP", "shortname":"ChIP"}, "WB" : {"fullname" : "Western blot", "shortname":"WB"} }, "product-promise": { "all": "all", "testedAndGuaranteed": "tested", "guaranteed": "expected", "predicted": "predicted", "notRecommended": "not-recommended" } }, "values": { "Human": { "IP-species-checked": "testedAndGuaranteed", "IP-species-dilution-info": "1/30", "IP-species-notes": "<p></p>", "ChIP-species-checked": "testedAndGuaranteed", "ChIP-species-dilution-info": "2 µg for 25 µg chromatin", "ChIP-species-notes": "<p></p>", "WB-species-checked": "testedAndGuaranteed", "WB-species-dilution-info": "1/1000", "WB-species-notes": "<p></p>" }, "Mouse": { "IP-species-checked": "guaranteed", "IP-species-dilution-info": "", "IP-species-notes": "", "ChIP-species-checked": "guaranteed", "ChIP-species-dilution-info": "", "ChIP-species-notes": "", "WB-species-checked": "testedAndGuaranteed", "WB-species-dilution-info": "1/1000", "WB-species-notes": "<p></p>" }, "Rat": { "IP-species-checked": "guaranteed", "IP-species-dilution-info": "", "IP-species-notes": "", "ChIP-species-checked": "guaranteed", "ChIP-species-dilution-info": "", "ChIP-species-notes": "", "WB-species-checked": "testedAndGuaranteed", "WB-species-dilution-info": "1/1000", "WB-species-notes": "<p></p>" }, "Recombinant fragment - Human": { "IP-species-checked": "notRecommended", "IP-species-dilution-info": "", "IP-species-notes": "", "ChIP-species-checked": "notRecommended", "ChIP-species-dilution-info": "", "ChIP-species-notes": "", "WB-species-checked": "testedAndGuaranteed", "WB-species-dilution-info": "1/1000", "WB-species-notes": "<p></p>" } } }

Product details

Patented technology
Our RabMAb® technology is a patented hybridoma-based technology for making rabbit monoclonal antibodies. For details on our patents, please refer to RabMAb® patents.

What are the advantages of a recombinant monoclonal antibody?
This product is a recombinant monoclonal antibody, which offers several advantages including:

  • - High batch-to-batch consistency and reproducibility
  • - Improved sensitivity and specificity
  • - Long-term security of supply
  • - Animal-free batch production

For more information, read more on recombinant antibodies.

Properties and storage information

Form
Liquid
Purification technique
Affinity purification Protein A
Storage buffer
pH: 7.2 - 7.4 Preservative: 0.01% Sodium azide Constituents: PBS, 40% Glycerol (glycerin, glycerine), 0.05% BSA
Shipped at conditions
Blue Ice
Appropriate short-term storage duration
1-2 weeks
Appropriate short-term storage conditions
+4°C
Appropriate long-term storage conditions
-20°C
Aliquoting information
Upon delivery aliquot
Storage information
Avoid freeze / thaw cycle

Supplementary information

This supplementary information is collated from multiple sources and compiled automatically.

Smad3 also known as Mothers against decapentaplegic homolog 3 is a protein that plays a mechanical role in signal transduction. It acts mainly as a transcription factor and gets activated through phosphorylation. The molecular weight of Smad3 is approximately 48 kDa. It is expressed widely across numerous tissues including the cellular nucleus where it executes its function after activation.
Biological function summary

Smad3 acts as a mediator of signal transduction for the TGF-beta (transforming growth factor-beta) superfamily forming a complex with phosphorylated Smad2. This enables it to regulate transcriptional activity influencing cell proliferation differentiation and apoptosis. Smad3 also participates in various cellular processes by interacting with other co-factors and regulatory proteins that aid in fine-tuning its function.

Pathways

Smad3 plays an important role in the TGF-beta signaling pathway where it works closely with Smad4 to propagate the signal. Upon phosphorylation it forms a complex with co-Smad (Smad4) and moves into the nucleus to influence gene expression. Smad3 is also involved in pathways related to oncogenesis and tissue fibrosis indicating its significant role in cellular regulation and response mechanisms.

Smad3 is associated with fibrotic diseases and cancers particularly in tissues such as the liver and lungs. Altered Smad3 signaling contributes to the pathological process occurring in fibrotic disorders often interacting with Smad4 in these abnormalities. Dysregulated Smad3 expression or mutations can also lead to oncogenic transformations highlighting its critical involvement in disease states.

Product protocols

For this product, it's our understanding that no specific protocols are required. You can visit:

Target data

SMAD3 is a receptor-regulated SMAD that functions as an intracellular signal transducer and transcriptional modulator, activated by TGF-beta and activin type 1 receptor kinases. It binds to the TRE element in promoters of numerous genes regulated by TGF-beta, and upon forming a complex with SMAD4, activates transcription. Additionally, SMAD3 can form a complex with SMAD4, JUN, and FOS at the AP-1/SMAD site to regulate TGF-beta-mediated transcription. SMAD3 may inhibit wound healing by modulating the growth and migration of primary keratinocytes and altering TGF-beta-mediated monocyte chemotaxis, with this effect being potentially hormone-sensitive. Furthermore, SMAD3 is involved in regulating chondrogenesis and osteogenesis and may inhibit early bone fracture healing. It also positively regulates PDPK1 kinase activity by promoting its dissociation from the 14-3-3 protein YWHAQ, which negatively regulates it. This supplementary information is collated from multiple sources and compiled automatically.
See full target information SMAD3

Publications (31)

Recent publications for all applications. Explore the full list and refine your search

Nucleic acids research 53: PubMed40889156

2025

SMAD3 and p300 complex scaffolding by long non-coding RNA LIMD1-AS1 promotes TGF-β-induced breast cancer cell plasticity.

Applications

Unspecified application

Species

Unspecified reactive species

Chuannan Fan,Davy Cats,Miriam Selle,Olga Khorosjutina,Soniya Dhanjal,Bernhard Schmierer,Hailiang Mei,Peter Ten Dijke,Qian Wang

PloS one 20:e0328272 PubMed40680000

2025

Vericiguat reduces atrial fibrillation recurrence by alleviating myocardial fibrosis via the TGF-β1/Smad2/3 pathway.

Applications

Unspecified application

Species

Unspecified reactive species

XiaoLin Sun,Yawen Sheng,Pei Xu,Qian Peng,Zhongbao Ruan

Frontiers in molecular biosciences 12:1571593 PubMed40656894

2025

Inhibition of USP11 attenuates sepsis-associated acute kidney injury by downregulating TGFBR2/Smad3 signaling.

Applications

Unspecified application

Species

Unspecified reactive species

Lu Wang,Wen Tang,Long Jiang,Daquan Zhang,Zhigao Wang,Rennan Guo,Jingjing Wang,Dong Xiao

Cell communication and signaling : CCS 23:230 PubMed40382656

2025

Prkci promotes colorectal cancer metastasis by phosphorylating and stabilizing Tgfbr1 to activate TGF-β signaling.

Applications

Unspecified application

Species

Unspecified reactive species

Peng Li,Guangshi Liu,Wenbin Zhang,Tao Li

Chemical biology & drug design 105:e70113 PubMed40317895

2025

Osthole Induces Hepatic Stellate Cell Ferroptosis to Alleviate Liver Fibrosis by Inhibiting the Y-Box Binding Protein 1-Wnt/β-Catenin Axis Through Downregulating Myocyte Enhancer Factor 2A.

Applications

Unspecified application

Species

Unspecified reactive species

Ming Tong,Meng Liu,Liang Chen,Yi-He Lin,Qing Zheng

Nature communications 16:2890 PubMed40133308

2025

Identification of a SNAI1 enhancer RNA that drives cancer cell plasticity.

Applications

Unspecified application

Species

Unspecified reactive species

Chuannan Fan,Qian Wang,Peter H L Krijger,Davy Cats,Miriam Selle,Olga Khorosjutina,Soniya Dhanjal,Bernhard Schmierer,Hailiang Mei,Wouter de Laat,Peter Ten Dijke

Neuropsychiatric disease and treatment 20:1969-1983 PubMed39430656

2024

Overexpression of ATF4 Inhibits Ferroptosis to Alleviate Anxiety Disorders by Activating the TGF-β Signaling Pathway.

Applications

Unspecified application

Species

Unspecified reactive species

Wentao Wu,Fei Wen,Jiaxin Hu,Leijun Li

International dental journal 75:1338-1347 PubMed39394033

2024

Anti-Radiofibrosis Effect of Dicliptera chinensis Polysaccharide on Rat Dermal Fibroblasts Via The TGF-β1/Smads/CTGF Signaling Pathway.

Applications

Unspecified application

Species

Unspecified reactive species

Yude Huang,Lixiang Zhao,Yanfei Zhao,Yiyang Fan,Linjing Gao,Haoyu Lu,Xian Wang,Dongqin Mo,Daiyou Wang

iScience 27:110200 PubMed38993677

2024

CircSMAD3 represses SMAD3 phosphorylation and ameliorates cardiac remodeling by recruiting YBX1.

Applications

Unspecified application

Species

Unspecified reactive species

Shuai Mei,Xiaozhu Ma,Li Zhou,Qidamugai Wuyun,Jing Wang,Qianqian Xiao,Man Wang,Kaiyue Zhang,Chen Chen,Jiangtao Yan,Hu Ding

Photochemistry and photobiology 100:1874-1893 PubMed38504445

2024

Compound collagen peptide powder improves skin photoaging by reducing oxidative stress and activating TGF-β1/Smad pathway.

Applications

Unspecified application

Species

Unspecified reactive species

Kaien Guo,Linxin Zheng,Xin Zeng,Guangchun Huang,Lingling Meng,Yuting Yin
View all publications

Product promise

We are committed to supporting your work with high-quality reagents, and we're here for you every step of the way. In the unlikely event that one of our products does not perform as expected, you're protected by our Product Promise.
For full details, please see our Terms & Conditions

Please note: All products are 'FOR RESEARCH USE ONLY. NOT FOR USE IN DIAGNOSTIC OR THERAPEUTIC PROCEDURES'.

For licensing inquiries, please contact partnerships@abcam.com