JavaScript is disabled in your browser. Please enable JavaScript to view this website.
AB172202

Anti-SMAD3 (pS423/425)+SMAD5&SMAD1 (pS463/465)+SMAD2 (pS465/467) antibody [EP823Y] - BSA&Azide free

3

(1 Review)

|

(2 Publications)

Rabbit Recombinant Monoclonal SMAD3 phospho S423 + S425 antibody. Carrier free. Suitable for Dot, WB, ICC/IF, IHC-P, ChIC/CUT&RUN-seq and reacts with Human, Mouse samples. Cited in 2 publications.

View Alternative Names

MADH3, SMAD3, Mothers against decapentaplegic homolog 3, MAD homolog 3, Mad3, Mothers against DPP homolog 3, hMAD-3, JV15-2, SMAD family member 3, SMAD 3, Smad3, hSMAD3

13 Images
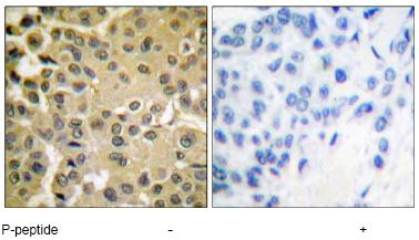
Immunohistochemistry (Formalin/PFA-fixed paraffin-embedded sections) - Anti-SMAD3 (pS423/425) + SMAD5 (pS463/465 ) + SMAD1 (pS463/465) + SMAD2 (pS465/467) antibody [EP823Y] - BSA and Azide free (AB172202)
  • IHC-P

Unknown

Immunohistochemistry (Formalin/PFA-fixed paraffin-embedded sections) - Anti-SMAD3 (pS423/425) + SMAD5 (pS463/465 ) + SMAD1 (pS463/465) + SMAD2 (pS465/467) antibody [EP823Y] - BSA and Azide free (AB172202)

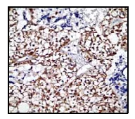
Immunohistochemical analysis of Smad3 in paraffin embedded human liver carcinoma tissue using ab52903 at 1/100 dilution.This data was developed using the same antibody clone in a different buffer formulation containing PBS, BSA, glycerol, and sodium azide (ab52903).

Immunocytochemistry/ Immunofluorescence - Anti-SMAD3 (pS423/425)+SMAD5&SMAD1 (pS463/465)+SMAD2 (pS465/467) antibody [EP823Y] - BSA&Azide free (AB172202)
  • ICC/IF

Unknown

Immunocytochemistry/ Immunofluorescence - Anti-SMAD3 (pS423/425)+SMAD5&SMAD1 (pS463/465)+SMAD2 (pS465/467) antibody [EP823Y] - BSA&Azide free (AB172202)

Immunocytochemistry/Immunofluorescence analysis of A549 +/- TGFβ (5ng/ml 24h) and A549 + TGFβ (5ng/ml 24h) + Lamda phosphatase (LP) cells. Smad3 (phospho S423 + S425) was labelled with purified ab52903 at a dilution of 1/100 dilution while Smad3 was labelled with ab207447 at a dilution of 1/500 dilution. Cells were fixed with 4% paraformaldehyde and permeabilized with 0.1% triton X-100. ab150077 (goat anti-rabbit IgG Alexa Fluor® 488) (1/1000 dilution) was used as the secondary antibody. The cells were co-stained with ab195889 (Anti-alpha Tubulin antibody [DM1A] - Microtubule Marker (Alexa Fluor® 594)) at 1/200 dilution. Nuclei counterstained with DAPI (blue). Control : PBS instead of the primary antibody.

This ICC/IF data was generated using the same anti-phospho Smad3 S423/425 antibody clone, EP823Y, in a different buffer formulation (ab52903).

Immunocytochemistry/ Immunofluorescence - Anti-SMAD3 (pS423/425)+SMAD5&SMAD1 (pS463/465)+SMAD2 (pS465/467) antibody [EP823Y] - BSA&Azide free (AB172202)
  • ICC/IF

AbReview40862****

Immunocytochemistry/ Immunofluorescence - Anti-SMAD3 (pS423/425)+SMAD5&SMAD1 (pS463/465)+SMAD2 (pS465/467) antibody [EP823Y] - BSA&Azide free (AB172202)

ab52903 staining Smad3 in mouse primary embryonic epicardial cells by ICC/IF (Immunocytochemistry/immunofluorescence). Cells were fixed with 4% formaldehyde permeabilized with 0.5% Triton X-100 and blocked with PBS + 1% BSA + 10% goat serum + 0.1% Triton X-100 for 1 hour at 20°C. Samples were incubated with primary antibody (1/100 dilution in PBS + 1% BSA + 10% goat serum + 0.1% Triton X-100) for 16 hours at 4°C. An Alexa Fluor®488-conjugated goat anti-rabbit IgG polyclonal (1/200 dilution) was used as the secondary antibody.

This data was developed using the same antibody clone in a different buffer formulation containing PBS, BSA, glycerol, and sodium azide (ab52903).

This image is courtesy of an anonymous Abreview.

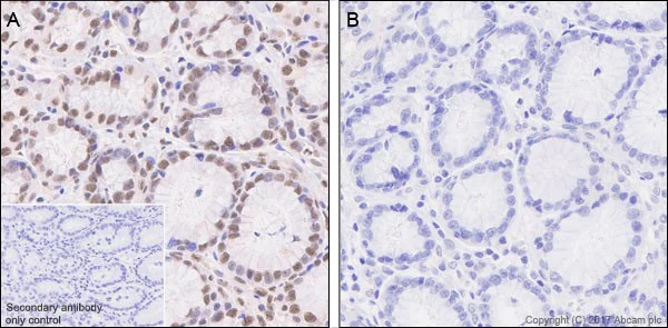
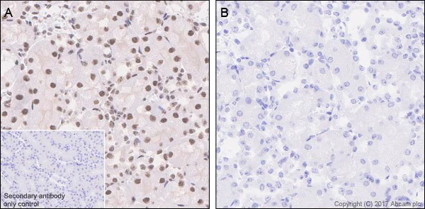
Immunohistochemistry (Formalin/PFA-fixed paraffin-embedded sections) - Anti-SMAD3 (pS423/425) + SMAD5 (pS463/465 ) + SMAD1 (pS463/465) + SMAD2 (pS465/467) antibody [EP823Y] - BSA and Azide free (AB172202)
  • IHC-P

Unknown

Immunohistochemistry (Formalin/PFA-fixed paraffin-embedded sections) - Anti-SMAD3 (pS423/425) + SMAD5 (pS463/465 ) + SMAD1 (pS463/465) + SMAD2 (pS465/467) antibody [EP823Y] - BSA and Azide free (AB172202)

This IHC data was generated using the same anti-phospho Smad3 S423/425 antibody clone, EP823Y, in a different buffer formulation (cat# ab52903).

ab52903 staining Smad3 in Human stomach tissue sections by Immunohistochemistry (Formalin/PFA fixed paraffin embedded sections). Tissue was fixed with paraffin and antigen retrieval was by heat mediation using ab93684 (Tris/EDTA buffer, Ph9.0). Samples were incubated with primary antibody at a 1/200 dilution. A ready to use rabbit specific IHC polymer detection kit HRP/DAP (ab209101). Hematoxylin was used as a counterstain. Nuclear and weakly cytoplasmic staining on human stomach without alkaline phosphatase treatment (image A). No signal can be detected when tissues were treated with alkaline phosphatase (image B).

Immunocytochemistry/ Immunofluorescence - Anti-SMAD3 (pS423/425)+SMAD5&SMAD1 (pS463/465)+SMAD2 (pS465/467) antibody [EP823Y] - BSA&Azide free (AB172202)
  • ICC/IF

AbReview16498****

Immunocytochemistry/ Immunofluorescence - Anti-SMAD3 (pS423/425)+SMAD5&SMAD1 (pS463/465)+SMAD2 (pS465/467) antibody [EP823Y] - BSA&Azide free (AB172202)

ab52903 staining Smad3 (phospho S423 + S425) in human TII Pneumocyte A549 cells by Immunocytochemistry/ Immunofluorescence. Cells were fixed with paraformaldehyde and permeabilized with 0.1% Triton x100 before blocking with 3% BSA for 1 hour at RT. Samples were incubated with primary antibody (1/200 : in 3% BSA in 1x PBST) for 24 hours at 4°C. A TRITC-conjugated goat polyclonal to rabbit IgG was used as secondary antibody at 1/200 dilution.

This data was developed using the same antibody clone in a different buffer formulation containing PBS, BSA, glycerol, and sodium azide (ab52903).

This image is courtesy of an Abreview submitted by Aaron Gardner.

Immunohistochemistry (Formalin/PFA-fixed paraffin-embedded sections) - Anti-SMAD3 (pS423/425) + SMAD5 (pS463/465 ) + SMAD1 (pS463/465) + SMAD2 (pS465/467) antibody [EP823Y] - BSA and Azide free (AB172202)
  • IHC-P

Unknown

Immunohistochemistry (Formalin/PFA-fixed paraffin-embedded sections) - Anti-SMAD3 (pS423/425) + SMAD5 (pS463/465 ) + SMAD1 (pS463/465) + SMAD2 (pS465/467) antibody [EP823Y] - BSA and Azide free (AB172202)

Purified ab52903 staining Smad3 in Mouse kidney tissue sections by Immunohistochemistry (Formalin/PFA fixed paraffin embedded sections). Tissue was fixed with paraffin and antigen retrieval was by heat mediation using ab93684 (Tris/EDTA buffer, pH 9.0). Samples were incubated with primary antibody at a 1/200 dilution. A ready to use rabbit specific IHC polymer detection kit HRP/DAP (ab209101). Hematoxylin was used as a counterstain. Nuclear and weakly cytoplasmic staining on mouse kidney without alkaline phosphatase treatment (image A). No signal can be detected when tissues were treated with alkaline phosphatase (image B).

This data was developed using the same antibody clone in a different buffer formulation containing PBS, BSA, glycerol, and sodium azide (ab52903).

Immunocytochemistry/ Immunofluorescence - Anti-SMAD3 (pS423/425)+SMAD5&SMAD1 (pS463/465)+SMAD2 (pS465/467) antibody [EP823Y] - BSA&Azide free (AB172202)
  • ICC/IF

PubMed

Immunocytochemistry/ Immunofluorescence - Anti-SMAD3 (pS423/425)+SMAD5&SMAD1 (pS463/465)+SMAD2 (pS465/467) antibody [EP823Y] - BSA&Azide free (AB172202)

TGF-β1 signaling is impaired in NDRG1-silenced MEFs. PML+/+ mouse embryonic fibroblasts (MEFs) were transfected with either CTL-siRNAs (A & B) or NDRG1-siRNAs (C & D) and induced with100 ng/ml TGF-β1. Immunofluorescent staining revealed intense nuclear staining for phosphorylated SMAD3 (SMAD3-P ab52903) in CTL-siRNA treated MEFs (B) while only weak nuclear staining for MEFs treated with NDRG1-siRNA (D).

This data was developed using the same antibody clone in a different buffer formulation containing PBS, BSA, glycerol, and sodium azide (ab52903).

Image from Tang MK et al. PLoS One. 2013;8(3):e59477. Fig 12.; doi: 10.1371/journal.pone.0059477.

Dot Blot - Anti-SMAD3 (pS423/425)+SMAD5&SMAD1 (pS463/465)+SMAD2 (pS465/467) antibody [EP823Y] - BSA&Azide free (AB172202)
  • Dot

Unknown

Dot Blot - Anti-SMAD3 (pS423/425)+SMAD5&SMAD1 (pS463/465)+SMAD2 (pS465/467) antibody [EP823Y] - BSA&Azide free (AB172202)

Dot blot analysis of Smad 3 (phospho S423 + S425) phospho peptide (Lane 1), Smad 3 (phospho S423) phospho peptide (Lane 2), Smad 3 (phospho S425) phospho peptide (Lane 3) and Smad 3 non-phospho peptide (Lane 4) labelling Smad 3 (phospho S423 + S425) with ab52903 at a dilution of 1/1000. A Goat Anti-Rabbit IgG, (H+L), Peroxidase conjugated (ab97051) was used as the secondary antibody at a dilution of 1/20,000. Blocking and dilution buffer : 5% NFDM /TBST.

This data was developed using the same antibody clone in a different buffer formulation containing PBS, BSA, glycerol, and sodium azide (ab52903).

ChIC/CUT&RUN sequencing - Anti-SMAD3 (pS423/425)+SMAD5&SMAD1 (pS463/465)+SMAD2 (pS465/467) antibody [EP823Y] - BSA&Azide free (AB172202)
  • ChIC/CUT&RUN-seq

Lab

ChIC/CUT&RUN sequencing - Anti-SMAD3 (pS423/425)+SMAD5&SMAD1 (pS463/465)+SMAD2 (pS465/467) antibody [EP823Y] - BSA&Azide free (AB172202)

This data was developed using the same antibody clone in a different buffer formulation (ab52903). ChIC/CUT&RUN was performed using a pAG-MNase at a final concentration of 700 ng/mL, 2.5 x 10^5 A549 (Human lung carcinoma cell line) cells treated with hTGF-β1 (7 ng/mL 1 h) and 5 µg of ab52903 [EP823Y]. The resulting DNA was sequenced on the Illumina NovaSeq 6000 to a depth of 10 million reads. The negative IgG control ab172730 is also shown. The University of Geneva owns patents relevant to ChIC (Chromatin Immuno-Cleavage) methods.

ChIC/CUT&RUN sequencing - Anti-SMAD3 (pS423/425)+SMAD5&SMAD1 (pS463/465)+SMAD2 (pS465/467) antibody [EP823Y] - BSA&Azide free (AB172202)
  • ChIC/CUT&RUN-seq

Lab

ChIC/CUT&RUN sequencing - Anti-SMAD3 (pS423/425)+SMAD5&SMAD1 (pS463/465)+SMAD2 (pS465/467) antibody [EP823Y] - BSA&Azide free (AB172202)

This data was developed using the same antibody clone in a different buffer formulation (ab52903). ChIC/CUT&RUN was performed using a pAG-MNase at a final concentration of 700 ng/mL, 2.5 x 10^5 A549 (Human lung carcinoma cell line) cells treated with hTGF-β1 (7 ng/mL 1 h) and 5 µg of ab52903 [EP823Y]. The resulting DNA was sequenced on the Illumina NovaSeq 6000 to a depth of 10 million reads. The negative IgG control ab172730 is also shown. The University of Geneva owns patents relevant to ChIC (Chromatin Immuno-Cleavage) methods.

ChIC/CUT&RUN sequencing - Anti-SMAD3 (pS423/425)+SMAD5&SMAD1 (pS463/465)+SMAD2 (pS465/467) antibody [EP823Y] - BSA&Azide free (AB172202)
  • ChIC/CUT&RUN-seq

Lab

ChIC/CUT&RUN sequencing - Anti-SMAD3 (pS423/425)+SMAD5&SMAD1 (pS463/465)+SMAD2 (pS465/467) antibody [EP823Y] - BSA&Azide free (AB172202)

This data was developed using the same antibody clone in a different buffer formulation (ab52903). ChIC/CUT&RUN was performed using a pAG-MNase at a final concentration of 700 ng/mL, 2.5 x 10^5 A549 (Human lung carcinoma cell line) cells treated with hTGF-β1 (7 ng/mL 1 h) and 5 µg of ab52903 [EP823Y]. The resulting DNA was sequenced on the Illumina NovaSeq 6000 to a depth of 10 million reads. The negative IgG control ab172730 is also shown. The University of Geneva owns patents relevant to ChIC (Chromatin Immuno-Cleavage) methods.

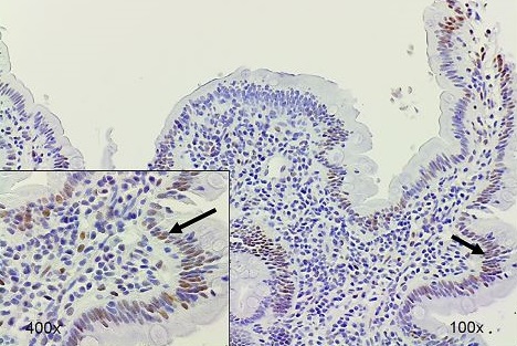
Immunohistochemistry (Formalin/PFA-fixed paraffin-embedded sections) - Anti-SMAD3 (pS423/425) + SMAD5 (pS463/465 ) + SMAD1 (pS463/465) + SMAD2 (pS465/467) antibody [EP823Y] - BSA and Azide free (AB172202)
  • IHC-P

PubMed

Immunohistochemistry (Formalin/PFA-fixed paraffin-embedded sections) - Anti-SMAD3 (pS423/425) + SMAD5 (pS463/465 ) + SMAD1 (pS463/465) + SMAD2 (pS465/467) antibody [EP823Y] - BSA and Azide free (AB172202)

Representative IHC photomicrographs from an Environmental enteropathy (EE) duodenal biopsy showing p-SMAD3 staining (ab52903) in only the epithelium (arrows).

This data was developed using the same antibody clone in a different buffer formulation containing PBS, BSA, glycerol, and sodium azide (ab52903).

Image from Syed S et al. PLoS Negl Trop Dis. 2018;12(2):e0006224. Fig 4.; doi: 10.1371/journal.pntd.0006224.

Dot Blot - Anti-SMAD3 (pS423/425)+SMAD5&SMAD1 (pS463/465)+SMAD2 (pS465/467) antibody [EP823Y] - BSA&Azide free (AB172202)
  • Dot

Lab

Dot Blot - Anti-SMAD3 (pS423/425)+SMAD5&SMAD1 (pS463/465)+SMAD2 (pS465/467) antibody [EP823Y] - BSA&Azide free (AB172202)

Blocking and diluting buffer and concentration : 5% NFDM /TBST

All lanes:

Dot Blot - Anti-SMAD3 (pS423/425) + SMAD5 (pS463/465) + SMAD1 (pS463/465) + SMAD2 (pS465/467) antibody [EP823Y] (<a href='/en-us/products/primary-antibodies/smad3-ps423-425-smad5-ps463-465-smad1-ps463-465-smad2-ps465-467-antibody-ep823y-ab52903'>ab52903</a>) at 1/1000 dilution

Lane 1:

Smad5 non-phospho peptide

Lane 2:

Smad5 (s463+s465) phospho peptide

Lane 3:

Smad2 non-phospho peptide

Lane 4:

Smad2 (s465+s467) phospho peptide

Lane 5:

Smad1 non-phospho peptide

Lane 6:

Smad1 (s463+s465) phospho peptide

Lane 7:

Smad3 non-phospho peptide

Lane 8:

Smad3 (s423+s435) phospho peptide

Secondary

All lanes:

Dot Blot - Goat Anti-Rabbit IgG H&L (HRP) (<a href='/en-us/products/secondary-antibodies/goat-rabbit-igg-h-l-hrp-ab97051'>ab97051</a>) at 1/20000 dilution

false

Exposure time: 59s

  • 665 Alexa Fluor® 647

    Alexa Fluor® 647 Anti-SMAD3 (pS423/425) + SMAD5 (pS463/465 ) + SMAD1 (pS463/465) + SMAD2 (pS465/467) antibody [EP823Y]

  • 603 Alexa Fluor® 568

    Alexa Fluor® 568 Anti-SMAD3 (pS423/425) + SMAD5 (pS463/465 ) + SMAD1 (pS463/465) + SMAD2 (pS465/467) antibody [EP823Y]

  • Unconjugated

    Anti-SMAD3 (pS423/425) + SMAD5 (pS463/465) + SMAD1 (pS463/465) + SMAD2 (pS465/467) antibody [EP823Y]

  • 519 Alexa Fluor® 488

    Alexa Fluor® 488 Anti-SMAD3 (pS423/425) + SMAD5 (pS463/465 ) + SMAD1 (pS463/465) + SMAD2 (pS465/467) antibody [EP823Y]

  • 775 Alexa Fluor® 750

    A750 Anti-SMAD3 (pS423/425)+SMAD5 (pS463/465)+SMAD1 (pS463/465)+SMAD2 (pS465/467) antibody [EP823Y]

  • 565 Alexa Fluor® 555

    Alexa Fluor® 555 Anti-SMAD3 (pS423/425) + SMAD5 (pS463/465 ) + SMAD1 (pS463/465) + SMAD2 (pS465/467) antibody [EP823Y]

  • 617 Alexa Fluor® 594

    Alexa Fluor® 594 Anti-SMAD3 (pS423/425) + SMAD5 (pS463/465 ) + SMAD1 (pS463/465) + SMAD2 (pS465/467) antibody [EP823Y]

Key facts

Host species

Rabbit

Clonality

Monoclonal

Clone number

EP823Y

Isotype

IgG

Carrier free

Yes

Reacts with

Mouse, Human

Applications

IHC-P, ChIC/CUT&RUN-seq, ICC/IF, Dot, WB

applications

Immunogen

The exact immunogen used to generate this antibody is proprietary information.

Specificity

This antibody detects Smad3 phosphorylated on Serine 423 and Serine 425. This Smad3 antibody may also detect Smad1, Smad2 and Smad5 phosphorylated at the equivalent sites.

Reactivity data

{ "title": "Reactivity Data", "filters": { "stats": ["", "Species", "Dilution Info", "Notes"], "tabs": { "all-applications": {"fullname" : "All Applications", "shortname": "All Applications"}, "Dot" : {"fullname" : "Dot Blot", "shortname":"Dot"}, "WB" : {"fullname" : "Western blot", "shortname":"WB"}, "ICCIF" : {"fullname" : "Immunocytochemistry/ Immunofluorescence", "shortname":"ICC/IF"}, "IHCP" : {"fullname" : "Immunohistochemistry (Formalin/PFA-fixed paraffin-embedded sections)", "shortname":"IHC-P"}, "ChICCUTRUNseq" : {"fullname" : "ChIC/CUT&RUN sequencing", "shortname":"ChIC/CUT&RUN-seq"}, "IP" : {"fullname" : "Immunoprecipitation", "shortname":"IP"}, "FlowCyt" : {"fullname" : "Flow Cytometry", "shortname":"Flow Cyt"} }, "product-promise": { "all": "all", "testedAndGuaranteed": "tested", "guaranteed": "expected", "predicted": "predicted", "notRecommended": "not-recommended" } }, "values": { "Human": { "Dot-species-checked": "testedAndGuaranteed", "Dot-species-dilution-info": "", "Dot-species-notes": "<p></p>", "WB-species-checked": "testedAndGuaranteed", "WB-species-dilution-info": "", "WB-species-notes": "<p></p>", "ICCIF-species-checked": "testedAndGuaranteed", "ICCIF-species-dilution-info": "", "ICCIF-species-notes": "<p></p>", "IHCP-species-checked": "testedAndGuaranteed", "IHCP-species-dilution-info": "", "IHCP-species-notes": "<p></p>", "ChICCUTRUNseq-species-checked": "testedAndGuaranteed", "ChICCUTRUNseq-species-dilution-info": "", "ChICCUTRUNseq-species-notes": "<p></p>", "IP-species-checked": "notRecommended", "IP-species-dilution-info": "", "IP-species-notes": "<p></p>", "FlowCyt-species-checked": "notRecommended", "FlowCyt-species-dilution-info": "", "FlowCyt-species-notes": "<p></p>" }, "Mouse": { "Dot-species-checked": "guaranteed", "Dot-species-dilution-info": "", "Dot-species-notes": "", "WB-species-checked": "testedAndGuaranteed", "WB-species-dilution-info": "", "WB-species-notes": "<p></p>", "ICCIF-species-checked": "guaranteed", "ICCIF-species-dilution-info": "", "ICCIF-species-notes": "", "IHCP-species-checked": "testedAndGuaranteed", "IHCP-species-dilution-info": "", "IHCP-species-notes": "<p>The secondary antibody is rabbit specific IHC polymer detection kit HRP/DAB (<a href='/en-us/products/ihc-kits/rabbit-specific-ihc-polymer-detection-kit-hrp-dab-ab209101'>ab209101</a>).</p>", "ChICCUTRUNseq-species-checked": "guaranteed", "ChICCUTRUNseq-species-dilution-info": "", "ChICCUTRUNseq-species-notes": "", "IP-species-checked": "notRecommended", "IP-species-dilution-info": "", "IP-species-notes": "<p></p>", "FlowCyt-species-checked": "notRecommended", "FlowCyt-species-dilution-info": "", "FlowCyt-species-notes": "<p></p>" } } }

Product details

ab172202 is the carrier-free version of ab52903.

Patented technology
Our RabMAb® technology is a patented hybridoma-based technology for making rabbit monoclonal antibodies. For details on our patents, please refer to RabMAb® patents.

What are the advantages of a recombinant monoclonal antibody?
This product is a recombinant monoclonal antibody, which offers several advantages including:

  • - High batch-to-batch consistency and reproducibility
  • - Improved sensitivity and specificity
  • - Long-term security of supply
  • - Animal-free batch production

For more information, read more on recombinant antibodies.

Conjugation ready
Our carrier-free antibodies are typically supplied in a PBS-only formulation, purified and free of BSA, sodium azide and glycerol. This conjugation-ready format is designed for use with fluorochromes, metal isotopes, oligonucleotides, and enzymes, which makes them ideal for antibody labelling, functional and cell-based assays, flow-based assays (e.g. mass cytometry) and Multiplex Imaging applications.

Use our conjugation kits for antibody conjugates that are ready-to-use in as little as 20 minutes with 1 minute hands-on-time and 100% antibody recovery: available for fluorescent dyes, HRP, biotin and gold.

Compatibility
This product is compatible with the Maxpar® Antibody Labeling Kit from Fluidigm, without the need for antibody preparation. Maxpar® is a trademark of Fluidigm Canada Inc.

Properties and storage information

Form
Liquid
Purification technique
Affinity purification Protein A
Storage buffer
Constituents: PBS
Shipped at conditions
Blue Ice
Appropriate short-term storage conditions
+4°C
Appropriate long-term storage conditions
+4°C
Storage information
Do Not Freeze

Supplementary information

This supplementary information is collated from multiple sources and compiled automatically.

Smad3 also known as Mothers against decapentaplegic homolog 3 is a protein that plays a mechanical role in signal transduction. It acts mainly as a transcription factor and gets activated through phosphorylation. The molecular weight of Smad3 is approximately 48 kDa. It is expressed widely across numerous tissues including the cellular nucleus where it executes its function after activation.
Biological function summary

Smad3 acts as a mediator of signal transduction for the TGF-beta (transforming growth factor-beta) superfamily forming a complex with phosphorylated Smad2. This enables it to regulate transcriptional activity influencing cell proliferation differentiation and apoptosis. Smad3 also participates in various cellular processes by interacting with other co-factors and regulatory proteins that aid in fine-tuning its function.

Pathways

Smad3 plays an important role in the TGF-beta signaling pathway where it works closely with Smad4 to propagate the signal. Upon phosphorylation it forms a complex with co-Smad (Smad4) and moves into the nucleus to influence gene expression. Smad3 is also involved in pathways related to oncogenesis and tissue fibrosis indicating its significant role in cellular regulation and response mechanisms.

Smad3 is associated with fibrotic diseases and cancers particularly in tissues such as the liver and lungs. Altered Smad3 signaling contributes to the pathological process occurring in fibrotic disorders often interacting with Smad4 in these abnormalities. Dysregulated Smad3 expression or mutations can also lead to oncogenic transformations highlighting its critical involvement in disease states.

Product protocols

For this product, it's our understanding that no specific protocols are required. You can visit:

Target data

SMAD3 is a receptor-regulated SMAD that functions as an intracellular signal transducer and transcriptional modulator, activated by TGF-beta and activin type 1 receptor kinases. It binds to the TRE element in promoters of numerous genes regulated by TGF-beta, and upon forming a complex with SMAD4, activates transcription. Additionally, SMAD3 can form a complex with SMAD4, JUN, and FOS at the AP-1/SMAD site to regulate TGF-beta-mediated transcription. SMAD3 may inhibit wound healing by modulating the growth and migration of primary keratinocytes and altering TGF-beta-mediated monocyte chemotaxis, with this effect being potentially hormone-sensitive. Furthermore, SMAD3 is involved in regulating chondrogenesis and osteogenesis and may inhibit early bone fracture healing. It also positively regulates PDPK1 kinase activity by promoting its dissociation from the 14-3-3 protein YWHAQ, which negatively regulates it. This supplementary information is collated from multiple sources and compiled automatically.
See full target information SMAD3 phospho S423 + S425

Additional targets

SMAD5 phospho S463 + S465,SMAD2 phospho S465 + S467,SMAD1 phospho S463 + S465

Publications (2)

Recent publications for all applications. Explore the full list and refine your search

Journal of Cancer 14:114-128 PubMed36605486

2023

Anti-PAI-1 Monoclonal Antibody Inhibits the Metastasis and Growth of Esophageal Squamous Cell Carcinoma.

Applications

Unspecified application

Species

Unspecified reactive species

Yutian Zheng,Lin Meng,Like Qu,Chuanke Zhao,Lixin Wang,Caiyun Liu,Chengchao Shou

The European journal of neuroscience 54:5586-5600 PubMed34258805

2021

Neuroprotective effects of four different fluids on cerebral ischaemia/reperfusion injury in rats through stabilization of the blood-brain barrier.

Applications

Unspecified application

Species

Unspecified reactive species

Reai Shan,Hongyan Zhou,Xinfang Liu,Guangjun Su,Guangsen Liu,Xiaoli Zhang,Cong Sun,Zining Yu,Lifang Zhan,Zhihua Huang
View all publications

Product promise

We are committed to supporting your work with high-quality reagents, and we're here for you every step of the way. In the unlikely event that one of our products does not perform as expected, you're protected by our Product Promise.
For full details, please see our Terms & Conditions

Please note: All products are 'FOR RESEARCH USE ONLY. NOT FOR USE IN DIAGNOSTIC OR THERAPEUTIC PROCEDURES'.

For licensing inquiries, please contact partnerships@abcam.com