JavaScript is disabled in your browser. Please enable JavaScript to view this website.
AB217267

Anti-Smad4 antibody [SP306] - C-terminal

  • RabMAb
  • Recombinant
  • Advanced Validation
  • 20ul selling size
  • What is this?

Be the first to review this product! Submit a review

|

(3 Publications)

Rabbit Recombinant Monoclonal SMAD4 antibody. C-terminal. Suitable for IHC-P, ICC/IF, Flow Cyt (Intra), ChIC/CUT&RUN-seq and reacts with Human, Mouse, Rat samples. Cited in 3 publications.

View Alternative Names

DPC4, MADH4, SMAD4, Mothers against decapentaplegic homolog 4, MAD homolog 4, Mothers against DPP homolog 4, Deletion target in pancreatic carcinoma 4, SMAD family member 4, SMAD 4, Smad4, hSMAD4

18 Images
Immunocytochemistry/ Immunofluorescence - Anti-Smad4 antibody [SP306] - C-terminal (AB217267)
  • ICC/IF

Unknown

Immunocytochemistry/ Immunofluorescence - Anti-Smad4 antibody [SP306] - C-terminal (AB217267)

Immunocytochemistry/ Immunofluorescence analysis of HepG2 (human hepatocellular carcinoma epithelial cell) cells labeling Smad4 with purified ab217267 at 1 : 50 (9 µg/ml). Cells were fixed in 4% paraformaldehyde and permeabilized with 0.1% Triton X-100. Cells were counterstained with ab195889 Anti-alpha Tubulin antibody [DM1A] - Microtubule Marker (Alexa Fluor® 594) 1 : 200 (2.5 µg/ml). Goat anti rabbit IgG (Alexa Fluor® 488, ab150077) was used as the secondary antibody at 1 : 1000 (2 µg/ml) dilution. DAPI nuclear counterstain. PBS instead of the primary antibody was used as the secondary antibody only control.

Immunohistochemistry (Formalin/PFA-fixed paraffin-embedded sections) - Anti-Smad4 antibody [SP306] - C-terminal (AB217267)
  • IHC-P

Supplier Data

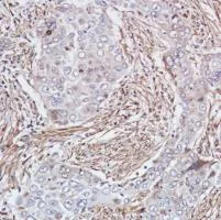
Immunohistochemistry (Formalin/PFA-fixed paraffin-embedded sections) - Anti-Smad4 antibody [SP306] - C-terminal (AB217267)

Immunohistochemical analysis of formalin-fixed, paraffin-embedded human colon adenocarcinoma tissue labeling Smad4 with ab217267 at 1/100 dilution.

Immunohistochemistry (Formalin/PFA-fixed paraffin-embedded sections) - Anti-Smad4 antibody [SP306] - C-terminal (AB217267)
  • IHC-P

Supplier Data

Immunohistochemistry (Formalin/PFA-fixed paraffin-embedded sections) - Anti-Smad4 antibody [SP306] - C-terminal (AB217267)

Immunohistochemical analysis of formalin-fixed, paraffin-embedded human renal cell carcinoma tissue labeling Smad4 with ab217267 at 1/100 dilution.

Immunohistochemistry (Formalin/PFA-fixed paraffin-embedded sections) - Anti-Smad4 antibody [SP306] - C-terminal (AB217267)
  • IHC-P

Supplier Data

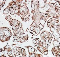
Immunohistochemistry (Formalin/PFA-fixed paraffin-embedded sections) - Anti-Smad4 antibody [SP306] - C-terminal (AB217267)

Immunohistochemical analysis of formalin-fixed, paraffin-embedded human placenta tissue labeling Smad4 with ab217267 at 1/100 dilution.

Flow Cytometry (Intracellular) - Anti-Smad4 antibody [SP306] - C-terminal (AB217267)
  • Flow Cyt (Intra)

Lab

Flow Cytometry (Intracellular) - Anti-Smad4 antibody [SP306] - C-terminal (AB217267)

Flow cytometry overlay histogram showing wild-type Hap1 (green line) and SMAD4 knockout Hap1 stained with ab217267 (red line). The cells were fixed with 80% methanol (5 min) and then permeabilised with 0.1% PBS-Triton X-100 for 15 min. The cells were then incubated in 1x PBS containing 10% normal goat serum to block non-specific protein-protein interaction followed by the antibody (ab217267) (1x 106 in 100μl at 0.008 μg/ml (1/265000)) for 30min at 22°C.

The secondary antibody Goat Anti-Rabbit IgG H&L (Alexa Fluor® 488) preadsorbed was incubated at 1/4000 for 30min at 22°C

Isotype control antibody Recombinant Rabbit IgG, monoclonal [EPR25A] - Isotype Control was used at the same concentration and conditions as the primary antibody (wild-type Hap1 - black line, SMAD4 knockout Hap1 - grey line). Unlabelled sample was also used as a control (this line is not shown for the purpose of simplicity).

Acquisition of >5000 events were collected using a 50 mW Blue laser (488nm) and 525/40 bandpass filter.

This antibody gave a positive signal in Hap1 Fixed with 4% formaldehyde (10 min) / permeabilised with 0.1% PBS-Triton X-100 for 15 min under the same conditions.

Immunohistochemistry (Formalin/PFA-fixed paraffin-embedded sections) - Anti-Smad4 antibody [SP306] - C-terminal (AB217267)
  • IHC-P

Supplier Data

Immunohistochemistry (Formalin/PFA-fixed paraffin-embedded sections) - Anti-Smad4 antibody [SP306] - C-terminal (AB217267)

Immunohistochemical analysis of formalin-fixed, paraffin-embedded human pancreatic adenocarcinoma tissue labeling Smad4 with ab217267 at 1/100 dilution.

Immunohistochemistry (Formalin/PFA-fixed paraffin-embedded sections) - Anti-Smad4 antibody [SP306] - C-terminal (AB217267)
  • IHC-P

Supplier Data

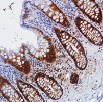
Immunohistochemistry (Formalin/PFA-fixed paraffin-embedded sections) - Anti-Smad4 antibody [SP306] - C-terminal (AB217267)

Immunohistochemical analysis of formalin-fixed, paraffin-embedded human colon tissue labeling Smad4 with ab217267 at 1/100 dilution.

Immunohistochemistry (Formalin/PFA-fixed paraffin-embedded sections) - Anti-Smad4 antibody [SP306] - C-terminal (AB217267)
  • IHC-P

Supplier Data

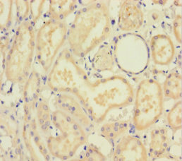
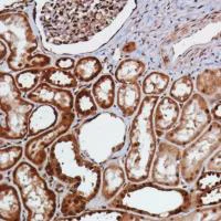
Immunohistochemistry (Formalin/PFA-fixed paraffin-embedded sections) - Anti-Smad4 antibody [SP306] - C-terminal (AB217267)

Immunohistochemical analysis of formalin-fixed, paraffin-embedded human kidney tissue labeling Smad4 with ab217267 at 1/100 dilution.

Flow Cytometry (Intracellular) - Anti-Smad4 antibody [SP306] - C-terminal (AB217267)
  • Flow Cyt (Intra)

Unknown

Flow Cytometry (Intracellular) - Anti-Smad4 antibody [SP306] - C-terminal (AB217267)

Intracellular Flow Cytometry analysis of HepG2 (Human hepatocellular carcinoma epithelial cell) cells labeling Smad4 with purified ab217267 at 1/450 dilution (1.01 μg/ml) Red. Cells were fixed with 4% paraformaldehyde . A Goat anti rabbit IgG (Alexa Fluor® 488, ab150077) secondary antibody was used at 1/2000 dilution. Isotype control - Rabbit monoclonal IgG (ab172730) / Black. Unlabeled control - Unlabelled cells / Blue.

Immunohistochemistry (Formalin/PFA-fixed paraffin-embedded sections) - Anti-Smad4 antibody [SP306] - C-terminal (AB217267)
  • IHC-P

Supplier Data

Immunohistochemistry (Formalin/PFA-fixed paraffin-embedded sections) - Anti-Smad4 antibody [SP306] - C-terminal (AB217267)

Immunohistochemical analysis of formalin-fixed, paraffin-embedded human pancreas tissue labeling Smad4 with ab217267 at 1/100 dilution.

Flow Cytometry (Intracellular) - Anti-Smad4 antibody [SP306] - C-terminal (AB217267)
  • Flow Cyt (Intra)

Unknown

Flow Cytometry (Intracellular) - Anti-Smad4 antibody [SP306] - C-terminal (AB217267)

Intracellular Flow Cytometry analysis of NIH/3T3 (Mouse embryonic fibroblast) cells labeling Smad4 with purified ab217267 at 1/450 dilution (1.01 μg/ml) Red. Cells were fixed with 4% paraformaldehyde . A Goat anti rabbit IgG (Alexa Fluor® 488, ab150077) secondary antibody was used at 1/2000 dilution. Isotype control - Rabbit monoclonal IgG (ab172730) / Black. Unlabeled control - Unlabelled cells / Blue.

Flow Cytometry (Intracellular) - Anti-Smad4 antibody [SP306] - C-terminal (AB217267)
  • Flow Cyt (Intra)

Supplier Data

Flow Cytometry (Intracellular) - Anti-Smad4 antibody [SP306] - C-terminal (AB217267)

Intracellular flow cytometric analysis of NIH/3T3 (Mouse embryo fibroblast cell line) cellslabeling Smad4 with ab217267 at 1/400 dilution for 30 minutes at 4° C (green), compared to a negative control cell of rabbit IgG (blue).

Flow Cytometry (Intracellular) - Anti-Smad4 antibody [SP306] - C-terminal (AB217267)
  • Flow Cyt (Intra)

Unknown

Flow Cytometry (Intracellular) - Anti-Smad4 antibody [SP306] - C-terminal (AB217267)

Intracellular Flow Cytometry analysis of C6 (Rat glial tumor glial cell) cells labeling Smad4 with purified ab217267 at 1/450 dilution (1.01 μg/ml) Red. Cells were fixed with 4% paraformaldehyde . A Goat anti rabbit IgG (Alexa Fluor® 488, ab150077) secondary antibody was used at 1/2000 dilution. Isotype control - Rabbit monoclonal IgG (ab172730) / Black. Unlabeled control - Unlabelled cells / Blue.

Immunocytochemistry/ Immunofluorescence - Anti-Smad4 antibody [SP306] - C-terminal (AB217267)
  • ICC/IF

Unknown

Immunocytochemistry/ Immunofluorescence - Anti-Smad4 antibody [SP306] - C-terminal (AB217267)

Immunocytochemistry/ Immunofluorescence analysis of C6 (rat glial tumor glial cell) cells labeling Smad4 with purified ab217267 at 1 : 50 (9 µg/ml). Cells were fixed in 4% paraformaldehyde and permeabilized with 0.1% Triton X-100. Cells were counterstained with ab195889 Anti-alpha Tubulin antibody [DM1A] - Microtubule Marker (Alexa Fluor® 594) 1 : 200 (2.5 µg/ml). Goat anti rabbit IgG (Alexa Fluor® 488, ab150077) was used as the secondary antibody at 1 : 1000 (2 µg/ml) dilution. DAPI nuclear counterstain. PBS instead of the primary antibody was used as the secondary antibody only control.

Immunocytochemistry/ Immunofluorescence - Anti-Smad4 antibody [SP306] - C-terminal (AB217267)
  • ICC/IF

Unknown

Immunocytochemistry/ Immunofluorescence - Anti-Smad4 antibody [SP306] - C-terminal (AB217267)

Immunocytochemistry/ Immunofluorescence analysis of NIH/3T3 (mouse embryonic fibroblast) cells labeling Smad4 with purified ab217267 at 1 : 50 (9 µg/ml). Cells were fixed in 4% paraformaldehyde and permeabilized with 0.1% Triton X-100. Cells were counterstained with ab195889 Anti-alpha Tubulin antibody [DM1A] - Microtubule Marker (Alexa Fluor® 594) 1 : 200 (2.5 µg/ml). Goat anti rabbit IgG (Alexa Fluor® 488, ab150077) was used as the secondary antibody at 1 : 1000 (2 µg/ml) dilution. DAPI nuclear counterstain. PBS instead of the primary antibody was used as the secondary antibody only control.

ChIC/CUT&RUN sequencing - Anti-Smad4 antibody [SP306] - C-terminal (AB217267)
  • ChIC/CUT&RUN-seq

Lab

ChIC/CUT&RUN sequencing - Anti-Smad4 antibody [SP306] - C-terminal (AB217267)

ChIC/CUT&RUN was performed using a pAG-MNase at a final concentration of 700 ng/mL, 2.5 x 105 HeLa (Human epithelial cell line from cervix adenocarcinoma) cells treated with hTGF-β1 (10 ng/mL 1 h) and 5 µg of ab217267 [SP306]. The resulting DNA was sequenced on the Illumina NovaSeq 6000 to a depth of 10 million reads. The negative IgG control ab172730 is also shown.

The University of Geneva owns patents relevant to ChIC (Chromatin Immuno-Cleavage) methods.

ChIC/CUT&RUN sequencing - Anti-Smad4 antibody [SP306] - C-terminal (AB217267)
  • ChIC/CUT&RUN-seq

Lab

ChIC/CUT&RUN sequencing - Anti-Smad4 antibody [SP306] - C-terminal (AB217267)

ChIC/CUT&RUN was performed using a pAG-MNase at a final concentration of 700 ng/mL, 2.5 x 105 HeLa (Human epithelial cell line from cervix adenocarcinoma) cells treated with hTGF-β1 (10 ng/mL 1 h) and 5 µg of ab217267 [SP306]. The resulting DNA was sequenced on the Illumina NovaSeq 6000 to a depth of 10 million reads. The negative IgG control ab172730 is also shown.

The University of Geneva owns patents relevant to ChIC (Chromatin Immuno-Cleavage) methods.

ChIC/CUT&RUN sequencing - Anti-Smad4 antibody [SP306] - C-terminal (AB217267)
  • ChIC/CUT&RUN-seq

Lab

ChIC/CUT&RUN sequencing - Anti-Smad4 antibody [SP306] - C-terminal (AB217267)

ChIC/CUT&RUN was performed using a pAG-MNase at a final concentration of 700 ng/mL, 2.5 x 105 HeLa (Human epithelial cell line from cervix adenocarcinoma) cells treated with hTGF-β1 (10 ng/mL 1 h) and 5 µg of ab217267 [SP306]. The resulting DNA was sequenced on the Illumina NovaSeq 6000 to a depth of 10 million reads. The negative IgG control ab172730 is also shown.

The University of Geneva owns patents relevant to ChIC (Chromatin Immuno-Cleavage) methods.

Key facts

Host species

Rabbit

Clonality

Monoclonal

Clone number

SP306

Isotype

IgG

Carrier free

No

Reacts with

Mouse, Rat, Human

Applications

ICC/IF, Flow Cyt (Intra), ChIC/CUT&RUN-seq, IHC-P

applications

Immunogen

The exact immunogen used to generate this antibody is proprietary information.

Reactivity data

{ "title": "Reactivity Data", "filters": { "stats": ["", "Species", "Dilution Info", "Notes"], "tabs": { "all-applications": {"fullname" : "All Applications", "shortname": "All Applications"}, "IHCP" : {"fullname" : "Immunohistochemistry (Formalin/PFA-fixed paraffin-embedded sections)", "shortname":"IHC-P"}, "ICCIF" : {"fullname" : "Immunocytochemistry/ Immunofluorescence", "shortname":"ICC/IF"}, "FlowCytIntra" : {"fullname" : "Flow Cytometry (Intracellular)", "shortname":"Flow Cyt (Intra)"}, "ChICCUTRUNseq" : {"fullname" : "ChIC/CUT&RUN sequencing", "shortname":"ChIC/CUT&RUN-seq"} }, "product-promise": { "all": "all", "testedAndGuaranteed": "tested", "guaranteed": "expected", "predicted": "predicted", "notRecommended": "not-recommended" } }, "values": { "Human": { "IHCP-species-checked": "testedAndGuaranteed", "IHCP-species-dilution-info": "1/100", "IHCP-species-notes": "<p></p>", "ICCIF-species-checked": "testedAndGuaranteed", "ICCIF-species-dilution-info": "1/50", "ICCIF-species-notes": "<p></p>", "FlowCytIntra-species-checked": "testedAndGuaranteed", "FlowCytIntra-species-dilution-info": "1/450", "FlowCytIntra-species-notes": "<p></p>", "ChICCUTRUNseq-species-checked": "testedAndGuaranteed", "ChICCUTRUNseq-species-dilution-info": "5 µg", "ChICCUTRUNseq-species-notes": "<p></p>" }, "Mouse": { "IHCP-species-checked": "guaranteed", "IHCP-species-dilution-info": "", "IHCP-species-notes": "", "ICCIF-species-checked": "testedAndGuaranteed", "ICCIF-species-dilution-info": "1/50", "ICCIF-species-notes": "<p></p>", "FlowCytIntra-species-checked": "testedAndGuaranteed", "FlowCytIntra-species-dilution-info": "1/450", "FlowCytIntra-species-notes": "<p></p>", "ChICCUTRUNseq-species-checked": "guaranteed", "ChICCUTRUNseq-species-dilution-info": "", "ChICCUTRUNseq-species-notes": "" }, "Rat": { "IHCP-species-checked": "guaranteed", "IHCP-species-dilution-info": "", "IHCP-species-notes": "", "ICCIF-species-checked": "testedAndGuaranteed", "ICCIF-species-dilution-info": "1/50", "ICCIF-species-notes": "<p></p>", "FlowCytIntra-species-checked": "testedAndGuaranteed", "FlowCytIntra-species-dilution-info": "1/450", "FlowCytIntra-species-notes": "<p></p>", "ChICCUTRUNseq-species-checked": "guaranteed", "ChICCUTRUNseq-species-dilution-info": "", "ChICCUTRUNseq-species-notes": "" } } }

Product details

Patented technology
Our RabMAb® technology is a patented hybridoma-based technology for making rabbit monoclonal antibodies. For details on our patents, please refer to RabMAb® patents.

What are the advantages of a recombinant monoclonal antibody?
This product is a recombinant monoclonal antibody, which offers several advantages including:

  • - High batch-to-batch consistency and reproducibility
  • - Improved sensitivity and specificity
  • - Long-term security of supply
  • - Animal-free batch production

For more information, read more on recombinant antibodies.

Properties and storage information

Form
Liquid
Purification technique
Affinity purification Protein A
Storage buffer
pH: 7.2 - 7.4 Preservative: 0.1% Sodium azide Constituents: PBS, 1% BSA
Shipped at conditions
Blue Ice
Appropriate short-term storage duration
1-2 weeks
Appropriate short-term storage conditions
+4°C
Appropriate long-term storage conditions
-20°C
Aliquoting information
Upon delivery aliquot
Storage information
Avoid freeze / thaw cycle

Supplementary information

This supplementary information is collated from multiple sources and compiled automatically.

Smad4 also known as DPC4 or MADH4 is a central protein in the TGF-beta signaling pathway with a molecular mass of approximately 60 kDa. It acts as a signal transducer that facilitates communication from the cell surface to the nucleus. Smad4 is broadly expressed in various tissues playing an important role in the regulation of cellular processes. It forms a complex with receptor-regulated Smads (R-Smads) to translocate to the nucleus where it influences gene transcription.
Biological function summary

Smad4 influences cell proliferation differentiation and apoptosis by mediating signals from TGF-beta cytokines. It is part of the Smad protein family acting as a transcriptional controller. Upon TGF-beta receptor activation Smad4 forms complexes with Smad2 and Smad3 translocating to the nucleus to regulate genes imperative for cellular homeostasis. Its role in cell cycle regulation underlines its contribution to normal cellular functions and its potential involvement in disorders.

Pathways

Smad4 operates within the TGF-beta pathway linking extracellular signals to nuclear transcription alterations. It participates in the regulation of epithelial-mesenchymal transition (EMT) a process important for development and tumor progression. In these pathways Smad4 interacts closely with Smad2 and Smad3 orchestrating various cellular responses to external stimuli through transcriptional management.

Smad4 is highly related to cancer and juvenile polyposis syndrome. Mutations or deletions in Smad4 disrupt its function contributing to the progression of pancreatic cancer and colorectal cancer among others. Within these contexts Smad4 connects strongly to other proteins like p21 and cyclin-dependent kinase inhibitors which are important in cell cycle arrest and impede tumor growth.

Product protocols

For this product, it's our understanding that no specific protocols are required. You can visit:

Target data

In muscle physiology, plays a central role in the balance between atrophy and hypertrophy. When recruited by MSTN, promotes atrophy response via phosphorylated SMAD2/4. MSTN decrease causes SMAD4 release and subsequent recruitment by the BMP pathway to promote hypertrophy via phosphorylated SMAD1/5/8. Acts synergistically with SMAD1 and YY1 in bone morphogenetic protein (BMP)-mediated cardiac-specific gene expression. Binds to SMAD binding elements (SBEs) (5'-GTCT/AGAC-3') within BMP response element (BMPRE) of cardiac activating regions (By similarity). Common SMAD (co-SMAD) is the coactivator and mediator of signal transduction by TGF-beta (transforming growth factor). Component of the heterotrimeric SMAD2/SMAD3-SMAD4 complex that forms in the nucleus and is required for the TGF-mediated signaling (PubMed : 25514493). Promotes binding of the SMAD2/SMAD4/FAST-1 complex to DNA and provides an activation function required for SMAD1 or SMAD2 to stimulate transcription. Component of the multimeric SMAD3/SMAD4/JUN/FOS complex which forms at the AP1 promoter site; required for synergistic transcriptional activity in response to TGF-beta. May act as a tumor suppressor. Positively regulates PDPK1 kinase activity by stimulating its dissociation from the 14-3-3 protein YWHAQ which acts as a negative regulator.
See full target information SMAD4

Publications (3)

Recent publications for all applications. Explore the full list and refine your search

EMBO reports 26:1269-1289 PubMed39920335

2025

Haploinsufficient phenotypes promote selection of PTEN and ARID1A-deficient clones in human colon.

Applications

Unspecified application

Species

Unspecified reactive species

Nefeli Skoufou-Papoutsaki,Sam Adler,Shenay Mehmed,Claire Tume,Cora Olpe,Edward Morrissey,Richard Kemp,Anne-Claire Girard,Elisa B Moutin,Chandra Sekhar Reddy Chilamakuri,Jodi L Miller,Cecilia Lindskog,Fabian Werle,Kate Marks,Francesca Perrone,Matthias Zilbauer,David S Tourigny,Douglas J Winton

Frontiers in molecular biosciences 10:1178439 PubMed37426420

2023

Sequence- and structure-specific RNA oligonucleotide binding attenuates heterogeneous nuclear ribonucleoprotein A1 dysfunction.

Applications

Unspecified application

Species

Unspecified reactive species

Joseph P Clarke,Patricia A Thibault,Sakina Fatima,Hannah E Salapa,Subha Kalyaanamoorthy,Aravindhan Ganesan,Michael C Levin

Journal of experimental & clinical cancer research : CR 40:214 PubMed34174926

2021

Integrin alpha-V is an important driver in pancreatic adenocarcinoma progression.

Applications

Unspecified application

Species

Unspecified reactive species

Marius Kemper,Alina Schiecke,Hanna Maar,Sergey Nikulin,Andrey Poloznikov,Vladimir Galatenko,Michael Tachezy,Florian Gebauer,Tobias Lange,Kristoffer Riecken,Alexander Tonevitsky,Achim Aigner,Jakob Izbicki,Udo Schumacher,Daniel Wicklein
View all publications

Product promise

We are committed to supporting your work with high-quality reagents, and we're here for you every step of the way. In the unlikely event that one of our products does not perform as expected, you're protected by our Product Promise.
For full details, please see our Terms & Conditions

Please note: All products are 'FOR RESEARCH USE ONLY. NOT FOR USE IN DIAGNOSTIC OR THERAPEUTIC PROCEDURES'.

For licensing inquiries, please contact partnerships@abcam.com