JavaScript is disabled in your browser. Please enable JavaScript to view this website.
AB228205

Anti-Smad4 antibody [SP306] - C-terminal, prediluted

Be the first to review this product! Submit a review

|

(2 Publications)

Rabbit Recombinant Monoclonal SMAD4 antibody. C-terminal. Suitable for IHC-P and reacts with Human samples. Cited in 2 publications.

View Alternative Names

DPC4, MADH4, SMAD4, Mothers against decapentaplegic homolog 4, MAD homolog 4, Mothers against DPP homolog 4, Deletion target in pancreatic carcinoma 4, SMAD family member 4, SMAD 4, Smad4, hSMAD4

5 Images
Immunohistochemistry (Formalin/PFA-fixed paraffin-embedded sections) - Anti-Smad4 antibody [SP306] - C-terminal, prediluted (AB228205)
  • IHC-P

Supplier Data

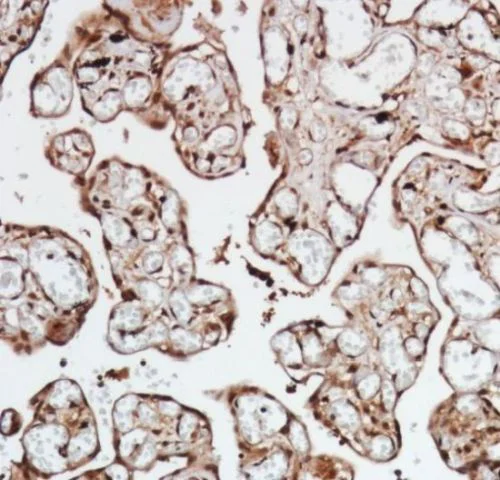
Immunohistochemistry (Formalin/PFA-fixed paraffin-embedded sections) - Anti-Smad4 antibody [SP306] - C-terminal, prediluted (AB228205)

Formalin-fixed, paraffin-embedded human placenta tissue stained for Smad4 using ab228205 in immunohistochemical analysis.

Immunohistochemistry (Formalin/PFA-fixed paraffin-embedded sections) - Anti-Smad4 antibody [SP306] - C-terminal, prediluted (AB228205)
  • IHC-P

Supplier Data

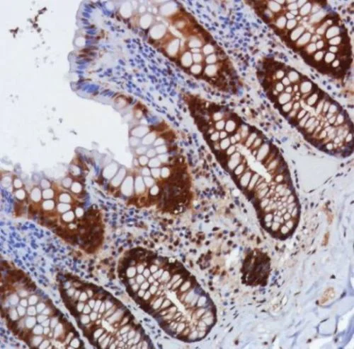
Immunohistochemistry (Formalin/PFA-fixed paraffin-embedded sections) - Anti-Smad4 antibody [SP306] - C-terminal, prediluted (AB228205)

Formalin-fixed, paraffin-embedded human colon tissue stained for Smad4 using ab228205 in immunohistochemical analysis.

Immunohistochemistry (Formalin/PFA-fixed paraffin-embedded sections) - Anti-Smad4 antibody [SP306] - C-terminal, prediluted (AB228205)
  • IHC-P

Supplier Data

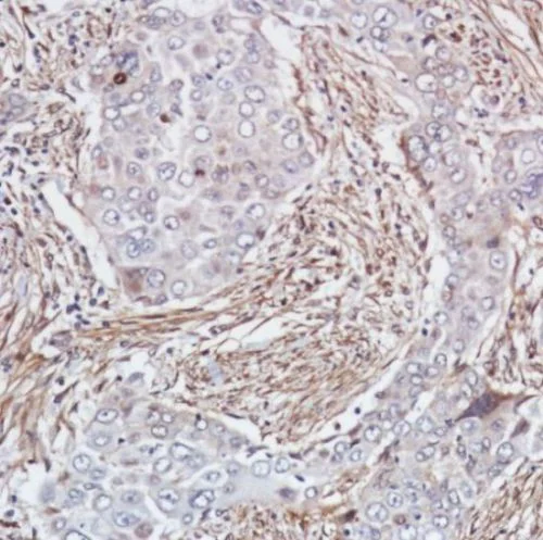
Immunohistochemistry (Formalin/PFA-fixed paraffin-embedded sections) - Anti-Smad4 antibody [SP306] - C-terminal, prediluted (AB228205)

Formalin-fixed, paraffin-embedded human pancreatic adenocarcinoma tissue stained for Smad4 using ab228205 in immunohistochemical analysis.

Immunohistochemistry (Formalin/PFA-fixed paraffin-embedded sections) - Anti-Smad4 antibody [SP306] - C-terminal, prediluted (AB228205)
  • IHC-P

Supplier Data

Immunohistochemistry (Formalin/PFA-fixed paraffin-embedded sections) - Anti-Smad4 antibody [SP306] - C-terminal, prediluted (AB228205)

Formalin-fixed, paraffin-embedded human renal cell carcinoma tissue stained for Smad4 using ab228205 in immunohistochemical analysis.

Immunohistochemistry (Formalin/PFA-fixed paraffin-embedded sections) - Anti-Smad4 antibody [SP306] - C-terminal, prediluted (AB228205)
  • IHC-P

Supplier Data

Immunohistochemistry (Formalin/PFA-fixed paraffin-embedded sections) - Anti-Smad4 antibody [SP306] - C-terminal, prediluted (AB228205)

Formalin-fixed, paraffin-embedded human pancreas tissue stained for Smad4 using ab228205 in immunohistochemical analysis.

Key facts

Host species

Rabbit

Clonality

Monoclonal

Clone number

SP306

Isotype

IgG

Carrier free

No

Reacts with

Human

Applications

IHC-P

applications

Immunogen

The exact immunogen used to generate this antibody is proprietary information.

Reactivity data

{ "title": "Reactivity Data", "filters": { "stats": ["", "Species", "Dilution Info", "Notes"], "tabs": { "all-applications": {"fullname" : "All Applications", "shortname": "All Applications"}, "IHCP" : {"fullname" : "Immunohistochemistry (Formalin/PFA-fixed paraffin-embedded sections)", "shortname":"IHC-P"} }, "product-promise": { "all": "all", "testedAndGuaranteed": "tested", "guaranteed": "expected", "predicted": "predicted", "notRecommended": "not-recommended" } }, "values": { "Human": { "IHCP-species-checked": "testedAndGuaranteed", "IHCP-species-dilution-info": "1/1", "IHCP-species-notes": "<p>Primary antibody incubation for 10 minutes at room temperature. Pre-diluted / ready to use.</p>" } } }

Properties and storage information

Form
Liquid
Purification technique
Affinity purification Protein A
Purification notes
Purified from TCS by protein A.
Storage buffer
pH: 7.6 Preservative: 0.1% Sodium azide Constituents: Tris buffered saline, 1% BSA
Shipped at conditions
Blue Ice
Appropriate short-term storage conditions
+4°C
Appropriate long-term storage conditions
+4°C
Storage information
Do Not Freeze

Supplementary information

This supplementary information is collated from multiple sources and compiled automatically.

Smad4 also known as DPC4 or MADH4 is a central protein in the TGF-beta signaling pathway with a molecular mass of approximately 60 kDa. It acts as a signal transducer that facilitates communication from the cell surface to the nucleus. Smad4 is broadly expressed in various tissues playing an important role in the regulation of cellular processes. It forms a complex with receptor-regulated Smads (R-Smads) to translocate to the nucleus where it influences gene transcription.
Biological function summary

Smad4 influences cell proliferation differentiation and apoptosis by mediating signals from TGF-beta cytokines. It is part of the Smad protein family acting as a transcriptional controller. Upon TGF-beta receptor activation Smad4 forms complexes with Smad2 and Smad3 translocating to the nucleus to regulate genes imperative for cellular homeostasis. Its role in cell cycle regulation underlines its contribution to normal cellular functions and its potential involvement in disorders.

Pathways

Smad4 operates within the TGF-beta pathway linking extracellular signals to nuclear transcription alterations. It participates in the regulation of epithelial-mesenchymal transition (EMT) a process important for development and tumor progression. In these pathways Smad4 interacts closely with Smad2 and Smad3 orchestrating various cellular responses to external stimuli through transcriptional management.

Smad4 is highly related to cancer and juvenile polyposis syndrome. Mutations or deletions in Smad4 disrupt its function contributing to the progression of pancreatic cancer and colorectal cancer among others. Within these contexts Smad4 connects strongly to other proteins like p21 and cyclin-dependent kinase inhibitors which are important in cell cycle arrest and impede tumor growth.

Product protocols

For this product, it's our understanding that no specific protocols are required. You can visit:

Target data

In muscle physiology, plays a central role in the balance between atrophy and hypertrophy. When recruited by MSTN, promotes atrophy response via phosphorylated SMAD2/4. MSTN decrease causes SMAD4 release and subsequent recruitment by the BMP pathway to promote hypertrophy via phosphorylated SMAD1/5/8. Acts synergistically with SMAD1 and YY1 in bone morphogenetic protein (BMP)-mediated cardiac-specific gene expression. Binds to SMAD binding elements (SBEs) (5'-GTCT/AGAC-3') within BMP response element (BMPRE) of cardiac activating regions (By similarity). Common SMAD (co-SMAD) is the coactivator and mediator of signal transduction by TGF-beta (transforming growth factor). Component of the heterotrimeric SMAD2/SMAD3-SMAD4 complex that forms in the nucleus and is required for the TGF-mediated signaling (PubMed : 25514493). Promotes binding of the SMAD2/SMAD4/FAST-1 complex to DNA and provides an activation function required for SMAD1 or SMAD2 to stimulate transcription. Component of the multimeric SMAD3/SMAD4/JUN/FOS complex which forms at the AP1 promoter site; required for synergistic transcriptional activity in response to TGF-beta. May act as a tumor suppressor. Positively regulates PDPK1 kinase activity by stimulating its dissociation from the 14-3-3 protein YWHAQ which acts as a negative regulator.
See full target information SMAD4

Publications (2)

Recent publications for all applications. Explore the full list and refine your search

Communications biology 5:1068 PubMed36207615

2022

SMAD2/3 mediate oncogenic effects of TGF-β in the absence of SMAD4.

Applications

Unspecified application

Species

Unspecified reactive species

Adrien Bertrand-Chapel,Cassandre Caligaris,Tanguy Fenouil,Clara Savary,Sophie Aires,Sylvie Martel,Paul Huchedé,Christelle Chassot,Véronique Chauvet,Victoire Cardot-Ruffino,Anne-Pierre Morel,Fabien Subtil,Kayvan Mohkam,Jean-Yves Mabrut,Laurie Tonon,Alain Viari,Philippe Cassier,Valérie Hervieu,Marie Castets,Alain Mauviel,Stéphanie Sentis,Laurent Bartholin

Cancers 13: PubMed33466385

2021

Co-Overexpression of TWIST1-CSF1 Is a Common Event in Metastatic Oral Cancer and Drives Biologically Aggressive Phenotype.

Applications

Unspecified application

Species

Unspecified reactive species

Sabrina Daniela da Silva,Fabio Albuquerque Marchi,Jie Su,Long Yang,Ludmila Valverde,Jessica Hier,Krikor Bijian,Michael Hier,Alex Mlynarek,Luiz Paulo Kowalski,Moulay A Alaoui-Jamali
View all publications

Product promise

We are committed to supporting your work with high-quality reagents, and we're here for you every step of the way. In the unlikely event that one of our products does not perform as expected, you're protected by our Product Promise.
For full details, please see our Terms & Conditions

Please note: All products are 'FOR RESEARCH USE ONLY. NOT FOR USE IN DIAGNOSTIC OR THERAPEUTIC PROCEDURES'.

For licensing inquiries, please contact partnerships@abcam.com