JavaScript is disabled in your browser. Please enable JavaScript to view this website.
AB40771

Anti-SMAD5 antibody [EP619Y]

  • 20ul selling size
  • KO Validated
  • RabMAb
  • Recombinant
  • What is this?

5

(4 Reviews)

|

(51 Publications)

Rabbit Recombinant Monoclonal SMAD5 antibody. Suitable for WB, ICC/IF, Flow Cyt (Intra), IHC-P and reacts with Mouse, African green monkey, Human, Rat samples. Cited in 51 publications.

View Alternative Names

MADH5, SMAD5, Mothers against decapentaplegic homolog 5, MAD homolog 5, Mothers against DPP homolog 5, JV5-1, SMAD family member 5, SMAD 5, Smad5, hSmad5

9 Images
Immunohistochemistry (Formalin/PFA-fixed paraffin-embedded sections) - Anti-SMAD5 antibody [EP619Y] (AB40771)
  • IHC-P

Unknown

Immunohistochemistry (Formalin/PFA-fixed paraffin-embedded sections) - Anti-SMAD5 antibody [EP619Y] (AB40771)

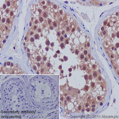
Immunohistochemical staining of paraffin embedded human testis with purified ab40771 at a working dilution of 1/50. The secondary antibody used is ab97051, a goat anti-rabbit IgG (H&L) at a dilution of 1/500. The sample is counter-stained with hematoxylin. Antigen retrieval was perfomed using Tris-EDTA buffer, pH 9.0. PBS was used instead of the primary antibody as the negative control, and is shown in the inset.

Immunocytochemistry/ Immunofluorescence - Anti-SMAD5 antibody [EP619Y] (AB40771)
  • ICC/IF

Unknown

Immunocytochemistry/ Immunofluorescence - Anti-SMAD5 antibody [EP619Y] (AB40771)

Immunofluorescence staining of HeLa cells with purified ab40771 at a working dilution of 1/100, counter-stained with DAPI. The secondary antibody was Alexa Fluor® 488 goat anti-rabbit (ab150077), used at a dilution of 1/1000. ab7291, a mouse anti-tubulin antibody (1/1000), was used to stain tubulin along with ab150120 (Alexa Fluor® 594 goat anti-mouse, 1/1000), shown in the top right hand panel. The cells were fixed in 4% PFA and permeabilized using 0.1% Triton X 100. The negative controls are shown in bottom middle and right hand panels - for negative control 1, purified ab40771 was used at a dilution of 1/500 followed by an Alexa Fluor® 594 goat anti-mouse antibody (ab150120) at a dilution of 1/500. For negative control 2, ab7291 (mouse anti-tubulin) was used at a dilution of 1/500 followed by an Alexa Fluor® 488 goat anti-rabbit antibody (ab150077) at a dilution of 1/400.

Flow Cytometry (Intracellular) - Anti-SMAD5 antibody [EP619Y] (AB40771)
  • Flow Cyt (Intra)

Unknown

Flow Cytometry (Intracellular) - Anti-SMAD5 antibody [EP619Y] (AB40771)

Overlay histogram showing HEK293 cells stained with unpurified ab40771 (red line). The cells were fixed with methanol (5 min) and then permeabilized with 0.1% PBS-Tween for 20 min. The cells were then incubated in 1x PBS / 10% normal goat serum / 0.3M glycine to block non-specific protein-protein interactions followed by the antibody (ab40771, 1/50 dilution) for 30 min at 22°C. The secondary antibody used was DyLight® 488 goat anti-rabbit IgG (H+L) (ab96899) at 1/500 dilution for 30 min at 22°C. Isotype control antibody (black line) was rabbit monoclonal IgG (1μg/1x106 cells) used under the same conditions. Acquisition of >5,000 events was performed. This antibody gave a positive signal in HEK293 cells fixed with 4% paraformaldehyde (10 min)/permeabilized in 0.1% PBS-Tween used under the same conditions.

Immunohistochemistry (Formalin/PFA-fixed paraffin-embedded sections) - Anti-SMAD5 antibody [EP619Y] (AB40771)
  • IHC-P

Unknown

Immunohistochemistry (Formalin/PFA-fixed paraffin-embedded sections) - Anti-SMAD5 antibody [EP619Y] (AB40771)

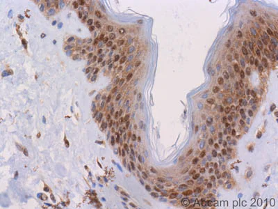
Unpurified ab40771 (4μg/ml) staining SMAD5 in human skin using an automated system (DAKO Autostainer Plus). Using this protocol there is strong staining of nuclear/cytoplasmic compartments within the stratum granulosum.
Sections were rehydrated and antigen retrieved with the Dako 3 in 1 AR buffer EDTA pH 9.0 in a DAKO PT link. Slides were peroxidase blocked in 3% H2O2 in methanol for 10 mins. They were then blocked with Dako Protein block for 10 minutes (containing casein 0.25% in PBS) then incubated with primary antibody for 20 min and detected with Dako envision flex amplification kit for 30 minutes. Colorimetric detection was completed with Diaminobenzidine for 5 minutes. Slides were counterstained with Haematoxylin and coverslipped under DePeX. Please note that, for manual staining, optimization of primary antibody concentration and incubation time is recommended. Signal amplification may be required.

Flow Cytometry (Intracellular) - Anti-SMAD5 antibody [EP619Y] (AB40771)
  • Flow Cyt (Intra)

Unknown

Flow Cytometry (Intracellular) - Anti-SMAD5 antibody [EP619Y] (AB40771)

Overlay histogram showing PC-12 cells fixed in 4% PFA and stained with purified ab40771 at a dilution of 1/100 (red line). The secondary antibody used was Alexa Fluorr® 488 goat anti-rabbit at a dilution of 1/500. Rabbit monoclonal IgG was used as an isotype control (black line) and cells incubated in the absence of both primary and secondary antibody were used as a negative control (blue line).

Western blot - Anti-SMAD5 antibody [EP619Y] (AB40771)
  • WB

Lab

Western blot - Anti-SMAD5 antibody [EP619Y] (AB40771)

Blocking buffer : 5% NFDM/TBST
Dilution buffer : 5% NFDM/TBST

All lanes:

Western blot - Anti-SMAD5 antibody [EP619Y] (ab40771) at 1/5000 dilution

Lane 1:

HEK293 whole cell lysate at 10 µg

Lane 2:

COS-1 whole cell lysate at 10 µg

Secondary

All lanes:

Western blot - Goat Anti-Rabbit IgG H&L (HRP) (<a href='/en-us/products/secondary-antibodies/goat-rabbit-igg-h-l-hrp-ab97051'>ab97051</a>) at 1/20000 dilution

Predicted band size: 52 kDa

Observed band size: 52 kDa

false

Western blot - Anti-SMAD5 antibody [EP619Y] (AB40771)
  • WB

Lab

Western blot - Anti-SMAD5 antibody [EP619Y] (AB40771)

Anti-SMAD5 antibody [EP619Y] (ab40771) staining at 1/1000 dilution, shown in green; Mouse anti-CANX [CANX/1543] (ab238078) loading control staining at 1/20000 dilution, shown in magenta. In Western blot, ab40771 was shown to bind specifically to SMAD5. A band was observed at 52 kDa in wild-type HeLa cell lysates with no signal observed at this size in SMAD5 knockout cell line. To generate this image, wild-type and SMAD5 knockout HeLa cell lysates were analysed. First, samples were run on an SDS-PAGE gel then transferred onto a nitrocellulose membrane. Membranes were blocked in 3 % milk in TBS-0.1 % Tween® 20 (TBS-T) before incubation with primary antibodies overnight at 4 °C. Blots were washed four times in TBS-T, incubated with secondary antibodies for 1 h at room temperature, washed again four times then imaged. Secondary antibodies used were Goat anti-Rabbit IgG H&L 800CW and Goat anti-Mouse IgG H&L 680RD at 1/20000 dilution.

All lanes:

Western blot - Anti-SMAD5 antibody [EP619Y] (ab40771) at 1/1000 dilution

Lane 1:

Wild-type HeLa Vehicle Control TGF-beta (0 ng/mL, 30 min) cell lysate at 20 µg

Lane 2:

Wild-type HeLa Treated TGF-beta (10 ng/mL, 30 min) cell lysate at 20 µg

Lane 3:

SMAD1 knockout HeLa Vehicle Control TGF-beta (0 ng/mL, 30 min), <a href='/en-us/products/cell-lines/human-smad1-knockout-hela-cell-line-ab265400'>ab265400</a> cell lysate at 20 µg

Lane 4:

SMAD1 knockout HeLa Treated TGF-beta (10 ng/mL, 30 min), <a href='/en-us/products/cell-lines/human-smad1-knockout-hela-cell-line-ab265400'>ab265400</a> cell lysate at 20 µg

Lane 5:

SMAD2 knockout HeLa Vehicle Control TGF-beta (0 ng/mL, 30 min), <a href='/en-us/products/cell-lines/human-smad2-knockout-hela-cell-line-ab255430'>ab255430</a> cell lysate at 20 µg

Lane 6:

SMAD2 knockout HeLa Treated TGF-beta (10 ng/mL, 30 min), <a href='/en-us/products/cell-lines/human-smad2-knockout-hela-cell-line-ab255430'>ab255430</a> cell lysate at 20 µg

Lane 7:

Wild-type HeLa Vehicle Control TGF-beta (0 ng/mL, 30 min), ab255448 cell lysate at 20 µg

Lane 8:

Wild-type HeLa Treated TGF-beta (10 ng/mL, 30 min), ab255448 cell lysate at 20 µg

Lane 9:

SMAD3 knockout HeLa Vehicle Control TGF-beta (0 ng/mL, 30 min), <a href='/en-us/products/cell-lines/human-smad3-knockout-hela-cell-line-ab255431'>ab255431</a> cell lysate at 20 µg

Lane 10:

SMAD3 knockout HeLa Treated TGF-beta (10 ng/mL, 30 min), <a href='/en-us/products/cell-lines/human-smad3-knockout-hela-cell-line-ab255431'>ab255431</a> cell lysate at 20 µg

Lane 11:

Wild-type HEK293 Vehicle Control TGF-beta (0 ng/mL, 30 min), ab259776 cell lysate at 20 µg

Lane 12:

Wild-type HEK293 Treated TGF-beta (10 ng/mL, 30 min), ab259776 cell lysate at 20 µg

Lane 13:

SMAD5 knockout HEK293 Vehicle Control TGF-beta (0 ng/mL, 30 min), <a href='/en-us/products/cell-lines/human-smad5-knockout-hek-293-cell-line-ab269470'>ab269470</a> cell lysate at 20 µg

Lane 14:

SMAD5 knockout HEK293 Treated TGF-beta (10 ng/mL, 30 min), <a href='/en-us/products/cell-lines/human-smad5-knockout-hek-293-cell-line-ab269470'>ab269470</a> cell lysate at 20 µg

Secondary

Lanes 1 - 14:

Goat anti-Rabbit IgG H&L 800CW at 1/20000 dilution

Lanes 1 - 14:

Goat anti-Mouse IgG H&L 680RD at 1/20000 dilution

Observed band size: 52 kDa

false

Western blot - Anti-SMAD5 antibody [EP619Y] (AB40771)
  • WB

Lab

Western blot - Anti-SMAD5 antibody [EP619Y] (AB40771)

Blocking and dilution buffer : 5% NFDM/TBST

All lanes:

Western blot - Anti-SMAD5 antibody [EP619Y] (ab40771) at 1/1000 dilution

Lane 1:

3T3-L1 (Mouse embryonic fibroblast) lysate at 20 µg

Lane 2:

Neuro-2a (Mouse neuroblastoma neuroblast) at 20 µg

Lane 3:

F9 (Mouse embryonal carcinoma epithelial cell) lysate at 20 µg

Secondary

All lanes:

Goat Anti-Rabbit IgG, (H+L), Peroxidase conjugated at 1/1000 dilution

Predicted band size: 52 kDa

Observed band size: 52 kDa

false

Exposure time: 3min

Western blot - Anti-SMAD5 antibody [EP619Y] (AB40771)
  • WB

Unknown

Western blot - Anti-SMAD5 antibody [EP619Y] (AB40771)

All lanes:

Western blot - Anti-SMAD5 antibody [EP619Y] (ab40771) at 1/1000 dilution

All lanes:

Cos-1 cell lysate at 10 µg

Predicted band size: 52 kDa

Observed band size: 52 kDa

false

Key facts

Host species

Rabbit

Clonality

Monoclonal

Clone number

EP619Y

Isotype

IgG

Carrier free

No

Reacts with

Mouse, Rat, Human, African green monkey

Applications

Flow Cyt (Intra), ICC/IF, IHC-P, WB

applications

Immunogen

The exact immunogen used to generate this antibody is proprietary information.

Reactivity data

{ "title": "Reactivity Data", "filters": { "stats": ["", "Species", "Dilution Info", "Notes"], "tabs": { "all-applications": {"fullname" : "All Applications", "shortname": "All Applications"}, "Dot" : {"fullname" : "Dot Blot", "shortname":"Dot"}, "WB" : {"fullname" : "Western blot", "shortname":"WB"}, "ICCIF" : {"fullname" : "Immunocytochemistry/ Immunofluorescence", "shortname":"ICC/IF"}, "FlowCytIntra" : {"fullname" : "Flow Cytometry (Intracellular)", "shortname":"Flow Cyt (Intra)"}, "IHCP" : {"fullname" : "Immunohistochemistry (Formalin/PFA-fixed paraffin-embedded sections)", "shortname":"IHC-P"} }, "product-promise": { "all": "all", "testedAndGuaranteed": "tested", "guaranteed": "expected", "predicted": "predicted", "notRecommended": "not-recommended" } }, "values": { "Human": { "Dot-species-checked": "notRecommended", "Dot-species-dilution-info": "", "Dot-species-notes": "<p></p>", "WB-species-checked": "testedAndGuaranteed", "WB-species-dilution-info": "1/1000 - 1/5000", "WB-species-notes": "<p></p>", "ICCIF-species-checked": "testedAndGuaranteed", "ICCIF-species-dilution-info": "1/50 - 1/100", "ICCIF-species-notes": "<p></p>", "FlowCytIntra-species-checked": "testedAndGuaranteed", "FlowCytIntra-species-dilution-info": "1/30 - 1/100", "FlowCytIntra-species-notes": "<p><a href='/en-us/products/primary-antibodies/rabbit-igg-monoclonal-epr25a-isotype-control-ab172730'>ab172730</a> - Rabbit monoclonal IgG, is suitable for use as an isotype control with this antibody.</p>", "IHCP-species-checked": "testedAndGuaranteed", "IHCP-species-dilution-info": "1/50", "IHCP-species-notes": "<p></p> Perform heat-mediated antigen retrieval with Tris/EDTA buffer pH 9.0 before commencing with IHC staining protocol." }, "Mouse": { "Dot-species-checked": "notRecommended", "Dot-species-dilution-info": "", "Dot-species-notes": "", "WB-species-checked": "testedAndGuaranteed", "WB-species-dilution-info": "1/1000 - 1/5000", "WB-species-notes": "<p></p>", "ICCIF-species-checked": "guaranteed", "ICCIF-species-dilution-info": "", "ICCIF-species-notes": "", "FlowCytIntra-species-checked": "guaranteed", "FlowCytIntra-species-dilution-info": "", "FlowCytIntra-species-notes": "", "IHCP-species-checked": "guaranteed", "IHCP-species-dilution-info": "", "IHCP-species-notes": "" }, "Rat": { "Dot-species-checked": "notRecommended", "Dot-species-dilution-info": "", "Dot-species-notes": "", "WB-species-checked": "guaranteed", "WB-species-dilution-info": "", "WB-species-notes": "", "ICCIF-species-checked": "guaranteed", "ICCIF-species-dilution-info": "", "ICCIF-species-notes": "", "FlowCytIntra-species-checked": "testedAndGuaranteed", "FlowCytIntra-species-dilution-info": "1/30 - 1/100", "FlowCytIntra-species-notes": "<p><a href='/en-us/products/primary-antibodies/rabbit-igg-monoclonal-epr25a-isotype-control-ab172730'>ab172730</a> - Rabbit monoclonal IgG, is suitable for use as an isotype control with this antibody.</p>", "IHCP-species-checked": "guaranteed", "IHCP-species-dilution-info": "", "IHCP-species-notes": "" }, "African green monkey": { "Dot-species-checked": "notRecommended", "Dot-species-dilution-info": "", "Dot-species-notes": "", "WB-species-checked": "testedAndGuaranteed", "WB-species-dilution-info": "1/1000 - 1/5000", "WB-species-notes": "<p></p>", "ICCIF-species-checked": "guaranteed", "ICCIF-species-dilution-info": "", "ICCIF-species-notes": "", "FlowCytIntra-species-checked": "guaranteed", "FlowCytIntra-species-dilution-info": "", "FlowCytIntra-species-notes": "", "IHCP-species-checked": "guaranteed", "IHCP-species-dilution-info": "", "IHCP-species-notes": "" } } }

Product details

Patented technology
Our RabMAb® technology is a patented hybridoma-based technology for making rabbit monoclonal antibodies. For details on our patents, please refer to RabMAb® patents.

What are the advantages of a recombinant monoclonal antibody?
This product is a recombinant monoclonal antibody, which offers several advantages including:

  • - High batch-to-batch consistency and reproducibility
  • - Improved sensitivity and specificity
  • - Long-term security of supply
  • - Animal-free batch production

For more information, read more on recombinant antibodies.

Properties and storage information

Form
Liquid
Purification technique
Affinity purification Protein A
Storage buffer
pH: 7.2 - 7.4 Preservative: 0.01% Sodium azide Constituents: PBS, 40% Glycerol (glycerin, glycerine), 0.05% BSA
Shipped at conditions
Blue Ice
Appropriate short-term storage duration
1-2 weeks
Appropriate short-term storage conditions
+4°C
Appropriate long-term storage conditions
-20°C
Aliquoting information
Upon delivery aliquot
Storage information
Avoid freeze / thaw cycle

Supplementary information

This supplementary information is collated from multiple sources and compiled automatically.

SMAD5 also known as Mothers Against Decapentaplegic Homolog 5 is a protein involved in the signal transduction regulated by the transforming growth factor-beta (TGF-beta) superfamily of cytokines. This protein has a molecular mass of approximately 52 kDa and is ubiquitously expressed across various tissues. Mechanically SMAD5 functions as an intracellular mediator that translocates from the cytoplasm to the nucleus upon activation to regulate transcription. It participates actively in transmitting signals from surface receptors into the nucleus influencing gene expression.
Biological function summary

SMAD5 plays a central role in the bone morphogenetic protein (BMP) signaling pathway which is critical for embryonic development and tissue homeostasis. It forms a complex with receptor-regulated SMADs (R-SMADs) and co-SMAD (SMAD4) upon phosphorylation by BMP type I receptors. This complex then moves to the nucleus where it regulates expression of target genes. Through this mechanism SMAD5 impacts processes such as bone formation differentiation and cellular differentiation.

Pathways

Several key cellular signaling processes involve SMAD5. Primarily it contributes to the BMP pathway which is integral to skeletal development and repair. SMAD5 interacts with other SMAD proteins like SMAD1 and SMAD8 which all act downstream of the BMP receptors. Additionally SMAD5 participates in crosstalk with the TGF-beta signaling pathway enabling the fine-tuning of cellular responses to a variety of external cues. This connection places SMAD5 within a network of signaling events important for regulating different cell functions and maintaining cellular homeostasis.

SMAD5's function has links to abnormal bone and cartilage development such as in fibrodysplasia ossificans progressiva (FOP) and pulmonary hypertension (PH). These conditions occur due to dysregulation within the BMP signaling pathway. For example mutations in SMAD5 or its regulatory proteins can cause inappropriate signal propagation leading to ossification in FOP or altered vascular remodeling in PH. The interplay between SMAD5 and SMAD4 another key player in these pathways highlights the complex nature of SMAD-related pathologies.

Product protocols

For this product, it's our understanding that no specific protocols are required. You can visit:

Target data

Transcriptional regulator that plays a role in various cellular processes including embryonic development, cell differentiation, angiogenesis and tissue homeostasis (PubMed : 12064918, PubMed : 16516194). Upon BMP ligand binding to their receptors at the cell surface, is phosphorylated by activated type I BMP receptors (BMPRIs) and associates with SMAD4 to form a heteromeric complex which translocates into the nucleus acting as transcription factor (PubMed : 9442019). In turn, the hetero-trimeric complex recognizes cis-regulatory elements containing Smad Binding Elements (SBEs) to modulate the outcome of the signaling network (PubMed : 33510867). Non-phosphorylated SMAD5 has a cytoplasmic role in energy metabolism regulation by promoting mitochondrial respiration and glycolysis in response to cytoplasmic pH changes (PubMed : 28675158). Mechanistically, interacts with hexokinase 1/HK1 and thereby accelerates glycolysis (PubMed : 28675158).
See full target information SMAD5

Publications (51)

Recent publications for all applications. Explore the full list and refine your search

Clinical science (London, England : 1979) 139:15-27 PubMed39631055

2024

SMAD5 as a novel gene for familial pulmonary arterial hypertension.

Applications

Unspecified application

Species

Unspecified reactive species

Ding Cao,Ekkehard Grünig,Yuriy Sirenko,Ganna Radchenko,Henning Gall,Ayat Ahmed,Susanne Theiß,Mareike Lankeit,Benjamin Meder,Magdalena Laugsch,Christina A Eichstaedt

Stem cell research & therapy 15:98 PubMed38581019

2024

Mesenchymal stromal cell chondrogenesis under ALK1/2/3-specific BMP inhibition: a revision of the prohypertrophic signalling network concept.

Applications

Unspecified application

Species

Unspecified reactive species

Solvig Diederichs,Simon I Dreher,Sarah Anna Nüesch,Sven Schmidt,Christian Merle,Wiltrud Richter

Intractable & rare diseases research 12:222-233 PubMed38024586

2023

Circ_KIAA0922 regulates Saos-2 cell proliferation and osteogenic differentiation by regulating the miR-148a-3p/SMAD5 axis and activating the TGF-β signaling pathway.

Applications

Unspecified application

Species

Unspecified reactive species

Shanshan Zhang,Yongtao Zhang,Dan Yang,Wei Zhi,Junfeng Li,Meilin Liu,Yanqin Lu,Jinxiang Han

Acta Cardiologica Sinica 39:841-853 PubMed38022420

2023

Long Non-Coding RNA Dancr Affects Myocardial Fibrosis in Atrial Fibrillation Mice via the MicroRNA-146b-5p/Smad5 Axis.

Applications

Unspecified application

Species

Unspecified reactive species

Dejin Wang,Xiqian Wang,Tianxiao Yang,Hongliang Tian,Yuanzhen Su,Qilei Wang

Aging 15:7616-7636 PubMed37543427

2023

An angiogenesis-related lncRNA signature predicts the immune microenvironment and prognosis of breast cancer.

Applications

Unspecified application

Species

Unspecified reactive species

Ya-Wen Wang,Can Liu,Yan-Duo Chen,Bin Yang,Xu Chen,Guangxin Ma,Ya-Ru Tian,Xiangkun Bo,Kai Zhang

Cells 12: PubMed37371129

2023

Inverse Regulation of Cartilage Neogenesis at Physiologically Relevant Calcium Conditions by Human Articular Chondrocytes and Mesenchymal Stromal Cells.

Applications

Unspecified application

Species

Unspecified reactive species

Tim Hammersen,Justyna Buchert,Severin Zietzschmann,Solvig Diederichs,Wiltrud Richter

Oncology research 29:263-273 PubMed37303938

2023

Long noncoding RNA TMEM147-AS1 serves as a microRNA-326 sponge to aggravate the malignancy of gastric cancer by upregulating SMAD5.

Applications

Unspecified application

Species

Unspecified reactive species

Xufu Qin,Ziye Jiang,Yongcui Zhu,Hongpeng Xue,Chengqun Wei

Biomaterials research 26:78 PubMed36514131

2022

Biomimetic hydrogel blanket for conserving and recovering intrinsic cell properties.

Applications

Unspecified application

Species

Unspecified reactive species

Seung-Hoon Um,Youngmin Seo,Hyunseon Seo,Kyungwoo Lee,Sun Hwa Park,Jung Ho Jeon,Jung Yeon Lim,Myoung-Ryul Ok,Yu-Chan Kim,Hyunjung Kim,Cheol-Hong Cheon,Hyung-Seop Han,James R Edwards,Sung Won Kim,Hojeong Jeon

Blood 141:422-432 PubMed36322932

2022

Regulation of iron homeostasis by hepatocyte TfR1 requires HFE and contributes to hepcidin suppression in β-thalassemia.

Applications

Unspecified application

Species

Unspecified reactive species

Xia Xiao,Gillian A Moschetta,Yang Xu,Allison L Fisher,Víctor M Alfaro-Magallanes,Som Dev,Chia-Yu Wang,Jodie L Babitt

PLoS genetics 18:e1009967 PubMed36197846

2022

The RNA helicase DDX6 controls early mouse embryogenesis by repressing aberrant inhibition of BMP signaling through miRNA-mediated gene silencing.

Applications

Unspecified application

Species

Unspecified reactive species

Jessica Kim,Masafumi Muraoka,Hajime Okada,Atsushi Toyoda,Rieko Ajima,Yumiko Saga
View all publications

Product promise

We are committed to supporting your work with high-quality reagents, and we're here for you every step of the way. In the unlikely event that one of our products does not perform as expected, you're protected by our Product Promise.
For full details, please see our Terms & Conditions

Please note: All products are 'FOR RESEARCH USE ONLY. NOT FOR USE IN DIAGNOSTIC OR THERAPEUTIC PROCEDURES'.

For licensing inquiries, please contact partnerships@abcam.com