JavaScript is disabled in your browser. Please enable JavaScript to view this website.
AB279386

Anti-SMAP2 antibody [OTI9B6]

Be the first to review this product! Submit a review

|

(1 Publication)

Mouse Monoclonal SMAP2 antibody. Suitable for WB, IHC-P and reacts with Transfected cell lysate - Human, Human, Mouse, Rat samples. Cited in 1 publication. Immunogen corresponding to Recombinant Full Length Protein corresponding to Human SMAP2.

View Alternative Names

SMAP1L, SMAP2, Stromal membrane-associated protein 2, Stromal membrane-associated protein 1-like

2 Images
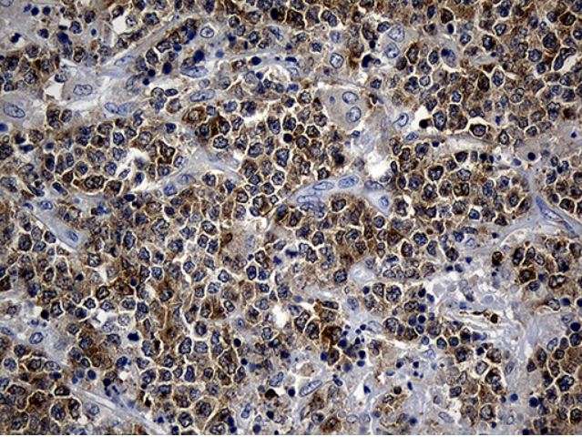
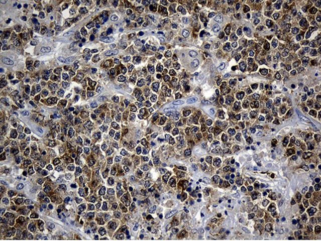
Immunohistochemistry (Formalin/PFA-fixed paraffin-embedded sections) - Anti-SMAP2 antibody [OTI9B6] (AB279386)
  • IHC-P

Supplier Data

Immunohistochemistry (Formalin/PFA-fixed paraffin-embedded sections) - Anti-SMAP2 antibody [OTI9B6] (AB279386)

Paraffin embedded human lymphoma tissue stained for SMAP2 using ab279386 at 1/500 dilution in immunohistochemical analysis. Heat-induced epitope retrieval by 1mM EDTA in 10mM Tris buffer with pH8.5 at 120°C for 3minutes.

Western blot - Anti-SMAP2 antibody [OTI9B6] (AB279386)
  • WB

Supplier Data

Western blot - Anti-SMAP2 antibody [OTI9B6] (AB279386)

All lanes:

Western blot - Anti-SMAP2 antibody [OTI9B6] (ab279386) at 1/500 dilution

Lane 1:

A431 cell lysate at 35 µg

Lane 2:

U251 cell lysate at 35 µg

Lane 3:

Human liver tissue lysate at 35 µg

Predicted band size: 47 kDa

false

Key facts

Host species

Mouse

Clonality

Monoclonal

Clone number

OTI9B6

Isotype

IgG2a

Carrier free

No

Reacts with

Mouse, Rat, Human

Applications

IHC-P, WB

applications

Immunogen

Recombinant Full Length Protein corresponding to Human SMAP2.

Q8WU79

Reactivity data

{ "title": "Reactivity Data", "filters": { "stats": ["", "Species", "Dilution Info", "Notes"], "tabs": { "all-applications": {"fullname" : "All Applications", "shortname": "All Applications"}, "WB" : {"fullname" : "Western blot", "shortname":"WB"}, "IHCP" : {"fullname" : "Immunohistochemistry (Formalin/PFA-fixed paraffin-embedded sections)", "shortname":"IHC-P"} }, "product-promise": { "all": "all", "testedAndGuaranteed": "tested", "guaranteed": "expected", "predicted": "predicted", "notRecommended": "not-recommended" } }, "values": { "Human": { "WB-species-checked": "testedAndGuaranteed", "WB-species-dilution-info": "1/500 - 1/2000", "WB-species-notes": "<p></p>", "IHCP-species-checked": "testedAndGuaranteed", "IHCP-species-dilution-info": "1/500", "IHCP-species-notes": "<p></p>" }, "Mouse": { "WB-species-checked": "guaranteed", "WB-species-dilution-info": "1/500 - 1/2000", "WB-species-notes": "<p></p>", "IHCP-species-checked": "guaranteed", "IHCP-species-dilution-info": "1/500", "IHCP-species-notes": "<p></p>" }, "Rat": { "WB-species-checked": "guaranteed", "WB-species-dilution-info": "1/500 - 1/2000", "WB-species-notes": "<p></p>", "IHCP-species-checked": "guaranteed", "IHCP-species-dilution-info": "1/500", "IHCP-species-notes": "<p></p>" }, "Transfected cell lysate - Human": { "WB-species-checked": "testedAndGuaranteed", "WB-species-dilution-info": "1/500 - 1/2000", "WB-species-notes": "<p></p>", "IHCP-species-checked": "notRecommended", "IHCP-species-dilution-info": "", "IHCP-species-notes": "" } } }

Properties and storage information

Form
Liquid
Purification technique
Affinity purification Protein A/G
Storage buffer
pH: 7.3 Preservative: 0.02% Sodium azide Constituents: 50% Glycerol (glycerin, glycerine), 1% BSA
Shipped at conditions
Blue Ice
Appropriate short-term storage duration
1-2 weeks
Appropriate short-term storage conditions
+4°C
Appropriate long-term storage conditions
-20°C
Aliquoting information
Upon delivery aliquot
Storage information
Avoid freeze / thaw cycle

Supplementary information

This supplementary information is collated from multiple sources and compiled automatically.

SMAP2 also known as Stromal Membrane-Associated Protein 2 encodes a protein with an approximate mass of 45 kDa. This protein plays a role as a GTPase-activating protein for the ADP-ribosylation factor (ARF) family of GTPases. It regulates the ARF proteins by converting them from the active GTP-bound state to the inactive GDP-bound state. SMAP2 shows a widespread expression pattern in various tissues with detectable levels in organs such as the brain liver and kidney.
Biological function summary

The regulation of ARF proteins by SMAP2 impacts membrane trafficking and dynamics. It assists in the disassembly of coated vesicles a critical step for intracellular transport. Although SMAP2 does not form part of a well-defined protein complex itself its regulation of ARFs influences complexes involved in vesicular trafficking like the coatomer complexes. This activity ensures proper cellular transport and communication.

Pathways

The GTPase-activating function of SMAP2 integrates into the vesicular transport and Golgi apparatus-related pathways. SMAP2 activity is important in trafficking pathways where it impacts vesicle budding and uncoating processes. It functions alongside other proteins involved in these pathways such as ARF1 and COPI which coordinate in maintaining cellular homeostasis and protein sorting.

SMAP2 has potential links to neurodegenerative diseases such as Alzheimer's disease and various types of cancer. Alterations in vesicular trafficking may contribute to the pathophysiology of these conditions. The interactions of SMAP2 with proteins like ARF1 are of interest as ARF1’s dysregulation has been noted in cancer cell proliferation and survival. Understanding SMAP2’s role could therefore offer insights into therapeutic targets for these diseases.

Product protocols

For this product, it's our understanding that no specific protocols are required. You can visit:

Target data

GTPase activating protein that acts on ARF1. Can also activate ARF6 (in vitro). May play a role in clathrin-dependent retrograde transport from early endosomes to the trans-Golgi network (By similarity).
See full target information SMAP2

Publications (1)

Recent publications for all applications. Explore the full list and refine your search

Heliyon 10:e35303 PubMed39170313

2024

ITPKA phosphorylates PYCR1 and promotes the progression of glioma.

Applications

Unspecified application

Species

Unspecified reactive species

Xiangying Luo,Tao Chen,Junyi Deng,Ziyuan Liu,Changlong Bi,Song Lan
View all publications

Product promise

We are committed to supporting your work with high-quality reagents, and we're here for you every step of the way. In the unlikely event that one of our products does not perform as expected, you're protected by our Product Promise.
For full details, please see our Terms & Conditions

Please note: All products are 'FOR RESEARCH USE ONLY. NOT FOR USE IN DIAGNOSTIC OR THERAPEUTIC PROCEDURES'.

For licensing inquiries, please contact partnerships@abcam.com