JavaScript is disabled in your browser. Please enable JavaScript to view this website.
AB240648

Anti-SMARCA2 / BRM antibody [EPR23103-44]

  • BOND RX™ Validated
  • RabMAb
  • Recombinant
  • KO Validated
  • What is this?

Be the first to review this product! Submit a review

|

(3 Publications)

Anti-SMARCA2 / BRM antibody [EPR23103-44] (ab240648) is a rabbit monoclonal antibody detecting SMARCA2 / BRM in Western Blot, Flow Cytometry (Intra), Flow Cytometry, IHC-P, ICC/IF. Suitable for Human, Mouse.

- KO validated for confirmed specificity
- Biophysical QC for unrivalled batch-batch consistency

View Alternative Names

BAF190B, BRM, SNF2A, SNF2L2, SMARCA2, Probable global transcription activator SNF2L2, ATP-dependent helicase SMARCA2, BRG1-associated factor 190B, Protein brahma homolog, SNF2-alpha, SWI/SNF-related matrix-associated actin-dependent regulator of chromatin subfamily A member 2, hBRM

8 Images
Immunohistochemistry (Formalin/PFA-fixed paraffin-embedded sections) - Anti-SMARCA2 / BRM antibody [EPR23103-44] (AB240648)
  • IHC-P

Unknown

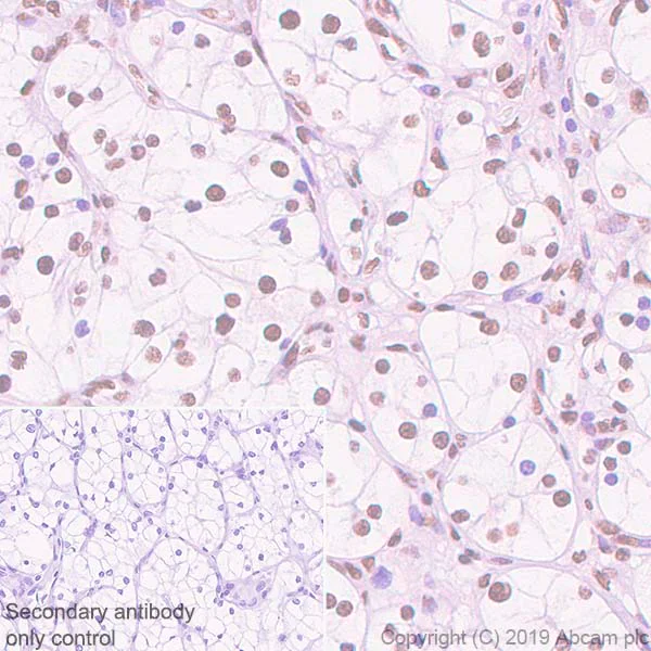
Immunohistochemistry (Formalin/PFA-fixed paraffin-embedded sections) - Anti-SMARCA2 / BRM antibody [EPR23103-44] (AB240648)

Immunohistochemical analysis of paraffin-embedded human renal cell carcinoma tissue labeling SMARCA2/BRM with ab240648 at 1/2000 dilution (0.23 μg/ml) followed by a ready to use Rabbit specific IHC polymer detection kit HRP/DAB (ab209101). Nuclear staining on human renal cell carcinoma. The section was incubated with ab240648 for 30 mins at room temperature. The immunostaining was performed on a Leica Biosystems BOND® RX instrument. Counterstained with hematoxylin.

Secondary antibody only control : Secondary antibody is a ready to use Rabbit specific IHC polymer detection kit HRP/DAB (ab209101).

Heat mediated antigen retrieval with Tris-EDTA buffer (pH 9.0, epitope retrieval solution 2) for 20mins.

Immunohistochemistry (Formalin/PFA-fixed paraffin-embedded sections) - Anti-SMARCA2 / BRM antibody [EPR23103-44] (AB240648)
  • IHC-P

Lab

Immunohistochemistry (Formalin/PFA-fixed paraffin-embedded sections) - Anti-SMARCA2 / BRM antibody [EPR23103-44] (AB240648)

Immunohistochemical analysis of formalin fixed paraffin embedded human renal cell carcinoma labelling SMARCA2/BRM with ab240648 at a concentration of 1µg/ml. The immunostaining was performed on a Ventana DISCOVERY ULTRA (Roche Tissue Diagnostics) instrument with a OptiView DAB IHC Detection Kit. Heat mediated antigen retrieval was performed with DISCOVERY cell conditioning solution (CC1) 100°C, pH8.5 for 32mins. ab240648 Anti-SMARCA2/BRM antibody [EPR23103-44] was incubated for 16mins at 37°C. Sections were counterstained with Hematoxylin II. Image inset shows absence of staining in secondary antibody only control.

Customers are encouraged to optimise antigen retrieval conditions, antibody concentration, incubation times and temperature for best results in their own IHC assay workflow (automated and manual).

Flow Cytometry (Intracellular) - Anti-SMARCA2 / BRM antibody [EPR23103-44] (AB240648)
  • Flow Cyt (Intra)

Unknown

Flow Cytometry (Intracellular) - Anti-SMARCA2 / BRM antibody [EPR23103-44] (AB240648)

Intracellular flow cytometric analysis of 4% paraformaldehyde fixed, 90% methanol permeabilized HeLa (human cervix adenocarcinoma epithelial cell) cells labeling SMARCA2/BRM with ab240648 at 1/500 dilution (Red) compared with a Rabbit monoclonal IgG (ab172730) (Black) isotype control and an unlabeled control (cells without incubation with primary antibody and secondary antibody) (Blue). A Goat anti rabbit IgG (Alexa Fluor® 488, ab150077) at 1/2000 dilution was used as the secondary antibody.

Immunocytochemistry/ Immunofluorescence - Anti-SMARCA2 / BRM antibody [EPR23103-44] (AB240648)
  • ICC/IF

Unknown

Immunocytochemistry/ Immunofluorescence - Anti-SMARCA2 / BRM antibody [EPR23103-44] (AB240648)

Immunofluorescent analysis of 4% Paraformaldehyde-fixed, 0.1% Triton X-100 permeabilized HeLa (human cervix adenocarcinoma epithelial cell) cells labeling SMARCA2/BRM with ab240648 at 1/50 dilution, followed by ab150077 AlexaFluor®488 Goat anti-Rabbit secondary antibody at 1/1000 dilution (Green). Confocal image showing strong nuclear and weak cytoplasmic staining in HeLa cells. ab195889 Anti-alpha Tubulin antibody [DM1A] - Microtubule Marker (Alexa Fluor® 594) was used to counterstain tubulin at 1/200 dilution (Red). The nuclear counterstain was DAPI (Blue).

Secondary antibody only control : Secondary antibody is ab150077 AlexaFluor®488 Goat anti-Rabbit secondary at 1/1000 dilution.

Immunohistochemistry (Formalin/PFA-fixed paraffin-embedded sections) - Anti-SMARCA2 / BRM antibody [EPR23103-44] (AB240648)
  • IHC-P

Unknown

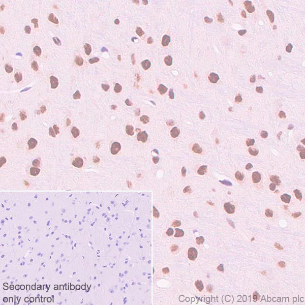
Immunohistochemistry (Formalin/PFA-fixed paraffin-embedded sections) - Anti-SMARCA2 / BRM antibody [EPR23103-44] (AB240648)

Immunohistochemical analysis of paraffin-embedded mouse cerebrum tissue labeling SMARCA2/BRM with ab240648 at 1/2000 dilution (0.23 μg/ml) followed by a ready to use Rabbit specific IHC polymer detection kit HRP/DAB (ab209101). Nuclear staining on mouse cerebrum. The section was incubated with ab240648 for 30 mins at room temperature. The immunostaining was performed on a Leica Biosystems BOND® RX instrument. Counterstained with hematoxylin.

Secondary antibody only control : Secondary antibody is a ready to use Rabbit specific IHC polymer detection kit HRP/DAB (ab209101).

Heat mediated antigen retrieval with Tris-EDTA buffer (pH 9.0, epitope retrieval solution 2) for 20mins.

Immunocytochemistry/ Immunofluorescence - Anti-SMARCA2 / BRM antibody [EPR23103-44] (AB240648)
  • ICC/IF

Unknown

Immunocytochemistry/ Immunofluorescence - Anti-SMARCA2 / BRM antibody [EPR23103-44] (AB240648)

Immunofluorescent analysis of 4% Paraformaldehyde-fixed, 0.1% Triton X-100 permeabilized Neuro-2a (mouse neuroblastoma neuroblast) cells labeling SMARCA2/BRM with ab240648 at 1/50 dilution, followed by ab150077 AlexaFluor®488 Goat anti-Rabbit secondary antibody at 1/1000 dilution (Green). Confocal image showing strong nuclear and weak cytoplasmic staining in Neuro-2a cells. ab195889 Anti-alpha Tubulin antibody [DM1A] - Microtubule Marker (Alexa Fluor® 594) was used to counterstain tubulin at 1/200 dilution (Red). The nuclear counterstain was DAPI (Blue).

Secondary antibody only control : Secondary antibody is ab150077 AlexaFluor®488 Goat anti-Rabbit secondary at 1/1000 dilution.

Western blot - Anti-SMARCA2 / BRM antibody [EPR23103-44] (AB240648)
  • WB

Unknown

Western blot - Anti-SMARCA2 / BRM antibody [EPR23103-44] (AB240648)

Blocking and dilution buffer : 5% NFDM/TBST.

Exposure times : Lane 1 : 3 minutes; Lanes 2-3 : 26 seconds; Lane 4 : 3 minutes.

Two isoforms of SMARCA2/BRM are reported in human and mouse species (PMID : 21811517).

All lanes:

Western blot - Anti-SMARCA2 / BRM antibody [EPR23103-44] (ab240648) at 1/1000 dilution

Lane 1:

HEK-293T (human embryonic kidney epithelial cell) whole cell lysate at 20 µg

Lane 2:

HeLa (human cervix adenocarcinoma epithelial cell) whole cell lysate at 20 µg

Lane 3:

MCF7 (human breast adenocarcinoma epithelial cell) whole cell lysate at 20 µg

Lane 4:

Neuro-2a (mouse neuroblastoma neuroblast) whole cell lysate at 20 µg

Secondary

All lanes:

Western blot - Goat Anti-Rabbit IgG H&L (HRP) (<a href='/en-us/products/secondary-antibodies/goat-rabbit-igg-h-l-hrp-ab97051'>ab97051</a>) at 1/100000 dilution

Predicted band size: 181 kDa

Observed band size: 200 kDa

false

Western blot - Anti-SMARCA2 / BRM antibody [EPR23103-44] (AB240648)
  • WB

Lab

Western blot - Anti-SMARCA2 / BRM antibody [EPR23103-44] (AB240648)

Lanes 1 - 4 : Merged signal (red and green). Green - ab240648 observed at 200 kDa. Red - loading control ab7291 (Mouse anti-Alpha Tubulin [DM1A]) observed at 55 kDa.

ab240648 was shown to react with SMARCA2 / BRM in wild-type HeLa cells in Western blot with loss of signal observed in SMARCA2 knockout cell line ab265416 (SMARCA2 knockout cell lysate ab257687). Wild-type HeLa and SMARCA2 knockout cell lysates were subjected to SDS-PAGE. Membranes were blocked in 3 % milk in TBS-T (0.1 % Tween®) before incubation with ab240648 and ab7291 (Mouse anti-Alpha Tubulin [DM1A]) overnight at 4 °C at a 1 in 1000 dilution and a 1 in 20000 dilution respectively. Blots were incubated with Goat anti-Rabbit IgG H&L (IRDye® 800CW) preabsorbed (ab216773) and Goat anti-Mouse IgG H&L (IRDye® 680RD) preabsorbed (ab216776) secondary antibodies at 1 in 20000 dilution for 1 h at room temperature before imaging.

All lanes:

Western blot - Anti-SMARCA2 / BRM antibody [EPR23103-44] (ab240648) at 1/1000 dilution

Lane 1:

Wild-type HeLa cell lysate at 20 µg

Lane 2:

SMARCA2 knockout HeLa cell lysate at 20 µg

Lane 2:

Western blot - Human SMARCA2 (BRM) knockout HeLa cell line (<a href='/en-us/products/cell-lines/human-smarca2-brm-knockout-hela-cell-line-ab265416'>ab265416</a>)

Lane 3:

HeLa cell lysate at 20 µg

Lane 4:

Daudi cell lysate at 20 µg

Predicted band size: 181 kDa

Observed band size: 200 kDa

false

  • Carrier free

    Anti-SMARCA2 / BRM antibody [EPR23103-44] - BSA and Azide free

  • 660 APC

    APC Anti-SMARCA2 / BRM antibody [EPR23103-44]

  • HRP

    HRP Anti-SMARCA2 / BRM antibody [EPR23103-44]

  • 519 Alexa Fluor® 488

    Alexa Fluor® 488 Anti-SMARCA2 / BRM antibody [EPR23103-44]

  • 617 Alexa Fluor® 594

    Alexa Fluor® 594 Anti-SMARCA2 / BRM antibody [EPR23103-44]

  • 565 Alexa Fluor® 555

    Alexa Fluor® 555 Anti-SMARCA2 / BRM antibody [EPR23103-44]

  • 578 PE

    PE Anti-SMARCA2 / BRM antibody [EPR23103-44]

  • 665 Alexa Fluor® 647

    Alexa Fluor® 647 Anti-SMARCA2 / BRM antibody [EPR23103-44]

  • 603 Alexa Fluor® 568

    Alexa Fluor® 568 Anti-SMARCA2 / BRM antibody [EPR23103-44]

  • 775 Alexa Fluor® 750

    Alexa Fluor® 750 Anti-SMARCA2 / BRM antibody [EPR23103-44]

Key facts

Host species

Rabbit

Clonality

Monoclonal

Clone number

EPR23103-44

Isotype

IgG

Carrier free

No

Reacts with

Mouse, Human

Applications

IHC-P, Flow Cyt (Intra), ICC/IF, WB

applications

Immunogen

The exact immunogen used to generate this antibody is proprietary information.

Reactivity data

{ "title": "Reactivity Data", "filters": { "stats": ["", "Species", "Dilution Info", "Notes"], "tabs": { "all-applications": {"fullname" : "All Applications", "shortname": "All Applications"}, "IP" : {"fullname" : "Immunoprecipitation", "shortname":"IP"}, "WB" : {"fullname" : "Western blot", "shortname":"WB"}, "ICCIF" : {"fullname" : "Immunocytochemistry/ Immunofluorescence", "shortname":"ICC/IF"}, "FlowCytIntra" : {"fullname" : "Flow Cytometry (Intracellular)", "shortname":"Flow Cyt (Intra)"}, "IHCP" : {"fullname" : "Immunohistochemistry (Formalin/PFA-fixed paraffin-embedded sections)", "shortname":"IHC-P"} }, "product-promise": { "all": "all", "testedAndGuaranteed": "tested", "guaranteed": "expected", "predicted": "predicted", "notRecommended": "not-recommended" } }, "values": { "Human": { "IP-species-checked": "notRecommended", "IP-species-dilution-info": "", "IP-species-notes": "<p></p>", "WB-species-checked": "testedAndGuaranteed", "WB-species-dilution-info": "1/1000", "WB-species-notes": "<p></p>", "ICCIF-species-checked": "testedAndGuaranteed", "ICCIF-species-dilution-info": "1/50", "ICCIF-species-notes": "<p></p>", "FlowCytIntra-species-checked": "testedAndGuaranteed", "FlowCytIntra-species-dilution-info": "1/500", "FlowCytIntra-species-notes": "<p></p>", "IHCP-species-checked": "testedAndGuaranteed", "IHCP-species-dilution-info": "1/2000", "IHCP-species-notes": "<p></p> Perform heat-mediated antigen retrieval with Tris/EDTA buffer pH 9.0 before commencing with IHC staining protocol." }, "Mouse": { "IP-species-checked": "notRecommended", "IP-species-dilution-info": "", "IP-species-notes": "<p></p>", "WB-species-checked": "testedAndGuaranteed", "WB-species-dilution-info": "1/1000", "WB-species-notes": "<p></p>", "ICCIF-species-checked": "testedAndGuaranteed", "ICCIF-species-dilution-info": "1/50", "ICCIF-species-notes": "<p></p>", "FlowCytIntra-species-checked": "guaranteed", "FlowCytIntra-species-dilution-info": "", "FlowCytIntra-species-notes": "", "IHCP-species-checked": "testedAndGuaranteed", "IHCP-species-dilution-info": "1/2000", "IHCP-species-notes": "<p></p> Perform heat-mediated antigen retrieval with Tris/EDTA buffer pH 9.0 before commencing with IHC staining protocol." } } }

Product details

Product Specifications
Anti-SMARCA2 / BRM antibody [EPR23103-44] (ab240648) was developed by Abcam using patented rabbit monoclonal antibody technology and is validated for use in Flow Cyt (Intra), ICC/IF, IHC-P, WB in human, mouse samples.
Anti-SMARCA2 / BRM antibody [EPR23103-44] (ab240648) specifically detects SMARCA2 / BRM (UniProt ID: P51531; Molecular weight: 181kDa) and is sold in 100 µL and 1 mL selling sizes.

Quality and Validation
Abcam's high quality manufacturing and validation processes ensure Anti-SMARCA2 / BRM antibody [EPR23103-44] (ab240648) has high sensitivity and specificity alongside high lot-to-lot consistency and reproducibility.
The specificity of Anti-SMARCA2 / BRM antibody [EPR23103-44] (ab240648) has been confirmed by testing in knockout samples.


Related Products
Antibody clone EPR23103-44 is also available pre-conjugated to a variety of labels for your convenience - PE, APC, HRP, Alexa Fluor® 488, Alexa Fluor® 647, Alkaline Phosphatase, Alexa Fluor® 594, Alexa Fluor® 555, Alexa Fluor® 568, Alexa Fluor® 750 (ab305746, ab305747, ab305748, ab307770, ab307771, ab308820, ab310553, ab312082, ab312560, ab321489).

Patented technology
Our RabMAb® technology is a patented hybridoma-based technology for making rabbit monoclonal antibodies. For details on our patents, please refer to RabMAb® patents.

What are the advantages of a recombinant monoclonal antibody?
This product is a recombinant monoclonal antibody, which offers several advantages including:

  • - High batch-to-batch consistency and reproducibility
  • - Improved sensitivity and specificity
  • - Long-term security of supply
  • - Animal-free batch production

For more information, read more on recombinant antibodies.

Properties and storage information

Form
Liquid
Purification technique
Affinity purification Protein A
Storage buffer
pH: 7.2 - 7.4 Preservative: 0.01% Sodium azide Constituents: PBS, 40% Glycerol (glycerin, glycerine), 0.05% BSA
Shipped at conditions
Blue Ice
Appropriate short-term storage duration
1-2 weeks
Appropriate short-term storage conditions
+4°C
Appropriate long-term storage conditions
-20°C
Aliquoting information
Upon delivery aliquot
Storage information
Avoid freeze / thaw cycle

Supplementary information

This supplementary information is collated from multiple sources and compiled automatically.

The SMARCA2 protein also known as BRM (Brahma-related gene 1) is a component of the SWI/SNF chromatin remodeling complex. This protein has a molecular mass of approximately 185 kDa. Scientists observe that SMARCA2/BRM is expressed in various tissues including the brain and liver. It acts as an ATPase which moves histone octamers in chromatin and facilitates access to DNA. SMARCA2/BRM plays an important role in transcriptional activation by modifying chromatin structure.
Biological function summary

SMARCA2/BRM interacts with other subunits to form the SWI/SNF complex important for regulating gene expression. This complex helps control the transcription of specific genes by repositioning nucleosomes. SMARCA2/BRM modulates cell cycle progression and differentiation as it influences transcription factor access to DNA. Its activity is essential for normal cellular responses maintaining cell homeostasis and development.

Pathways

SMARCA2/BRM participates significantly in the cell cycle and Wnt signaling pathways. In the cell cycle it cooperates with proteins like p53 to regulate genes involved in cell growth and apoptosis. In the Wnt pathway SMARCA2/BRM interacts with beta-catenin to influence cellular responses to Wnt signals. These pathways are critical for cell proliferation and maintaining cellular integrity and SMARCA2/BRM serves as a pivotal modulator within these systems.

SMARCA2/BRM has a connection to cancer and Coffin-Siris syndrome. Altered expression of SMARCA2/BRM has been observed in several cancers where it frequently interacts with other oncogenic proteins disrupting normal regulatory functions and promoting tumorigenesis. Meanwhile mutations in SMARCA2 can lead to Coffin-Siris syndrome a genetic disorder affecting development and it is connected with other proteins like SOX2 which are also involved in developmental pathways. Understanding SMARCA2's role may uncover insights into therapeutic targets for these conditions.

Product protocols

For this product, it's our understanding that no specific protocols are required. You can visit:

Target data

Involved in transcriptional activation and repression of select genes by chromatin remodeling (alteration of DNA-nucleosome topology). Component of SWI/SNF chromatin remodeling complexes that carry out key enzymatic activities, changing chromatin structure by altering DNA-histone contacts within a nucleosome in an ATP-dependent manner. Binds DNA non-specifically (PubMed : 22952240, PubMed : 26601204). Belongs to the neural progenitors-specific chromatin remodeling complex (npBAF complex) and the neuron-specific chromatin remodeling complex (nBAF complex). During neural development a switch from a stem/progenitor to a postmitotic chromatin remodeling mechanism occurs as neurons exit the cell cycle and become committed to their adult state. The transition from proliferating neural stem/progenitor cells to postmitotic neurons requires a switch in subunit composition of the npBAF and nBAF complexes. As neural progenitors exit mitosis and differentiate into neurons, npBAF complexes which contain ACTL6A/BAF53A and PHF10/BAF45A, are exchanged for homologous alternative ACTL6B/BAF53B and DPF1/BAF45B or DPF3/BAF45C subunits in neuron-specific complexes (nBAF). The npBAF complex is essential for the self-renewal/proliferative capacity of the multipotent neural stem cells. The nBAF complex along with CREST plays a role regulating the activity of genes essential for dendrite growth (By similarity).
See full target information SMARCA2

Publications (3)

Recent publications for all applications. Explore the full list and refine your search

PLoS biology 21:e3002192 PubMed37478146

2023

Baf155 regulates skeletal muscle metabolism via HIF-1a signaling.

Applications

Unspecified application

Species

Unspecified reactive species

Jong-Seol Kang,Dongha Kim,Joonwoo Rhee,Ji-Yun Seo,Inkuk Park,Ji-Hoon Kim,Daewon Lee,WonUk Lee,Ye Lynne Kim,Kyusang Yoo,Sunghwan Bae,Jongkyeong Chung,Rho Hyun Seong,Young-Yun Kong

The Journal of neuroscience : the official journal of the Society for Neuroscience 42:7900-7920 PubMed36261270

2022

Activity-Induced Cortical Glutamatergic Neuron Nascent Proteins.

Applications

Unspecified application

Species

Unspecified reactive species

Lucio M Schiapparelli,Yi Xie,Pranav Sharma,Daniel B McClatchy,Yuanhui Ma,John R Yates,Anton Maximov,Hollis T Cline

Nature 602:129-134 PubMed35082446

2022

Brahma safeguards canalization of cardiac mesoderm differentiation.

Applications

Unspecified application

Species

Unspecified reactive species

Swetansu K Hota,Kavitha S Rao,Andrew P Blair,Ali Khalilimeybodi,Kevin M Hu,Reuben Thomas,Kevin So,Vasumathi Kameswaran,Jiewei Xu,Benjamin J Polacco,Ravi V Desai,Nilanjana Chatterjee,Austin Hsu,Jonathon M Muncie,Aaron M Blotnick,Sarah A B Winchester,Leor S Weinberger,Ruth Hüttenhain,Irfan S Kathiriya,Nevan J Krogan,Jeffrey J Saucerman,Benoit G Bruneau
View all publications

Product promise

We are committed to supporting your work with high-quality reagents, and we're here for you every step of the way. In the unlikely event that one of our products does not perform as expected, you're protected by our Product Promise.
For full details, please see our Terms & Conditions

Associated Products

Select an associated product type
Alternative Product
Primary Antibodies

AB227000

Anti-SMARCA2 / BRM antibody

primary-antibodies

smarca2-brm-antibody-ab227000

0

(0 reviews)

Alternative Product
Primary Antibodies

AB264165

Anti-SMARCA2 / BRM antibody

primary-antibodies

smarca2-brm-antibody-ab264165

0

(0 reviews)

Alternative Product
Primary Antibodies

AB264164

Anti-SMARCA2 / BRM antibody

primary-antibodies

smarca2-brm-antibody-ab264164

0

(0 reviews)

Alternative Product
Primary Antibodies

AB223735

Anti-SMARCA2 / BRM antibody

primary-antibodies

smarca2-brm-antibody-ab223735

0

(0 reviews)

Please note: All products are 'FOR RESEARCH USE ONLY. NOT FOR USE IN DIAGNOSTIC OR THERAPEUTIC PROCEDURES'.

For licensing inquiries, please contact partnerships@abcam.com