JavaScript is disabled in your browser. Please enable JavaScript to view this website.
AB269872

Anti-SMARCA2 / BRM antibody [EPR23103-44] - BSA and Azide free

  • BOND RX™ Validated
  • RabMAb
  • Recombinant
  • KO Validated
  • What is this?

Be the first to review this product! Submit a review

|

(0 Publication)

Rabbit Recombinant Monoclonal SMARCA2 / BRM antibody. Carrier free. Suitable for WB, ICC/IF, Flow Cyt (Intra), IHC-P and reacts with Human, Mouse samples.

View Alternative Names

BAF190B, BRM, SNF2A, SNF2L2, SMARCA2, Probable global transcription activator SNF2L2, ATP-dependent helicase SMARCA2, BRG1-associated factor 190B, Protein brahma homolog, SNF2-alpha, SWI/SNF-related matrix-associated actin-dependent regulator of chromatin subfamily A member 2, hBRM

6 Images
Immunocytochemistry/ Immunofluorescence - Anti-SMARCA2 / BRM antibody [EPR23103-44] - BSA and Azide free (AB269872)
  • ICC/IF

Unknown

Immunocytochemistry/ Immunofluorescence - Anti-SMARCA2 / BRM antibody [EPR23103-44] - BSA and Azide free (AB269872)

Immunofluorescent analysis of 4% Paraformaldehyde-fixed, 0.1% Triton X-100 permeabilized HeLa (human cervix adenocarcinoma epithelial cell) cells labeling SMARCA2/BRM with ab240648 at 1/50 dilution, followed by ab150077 AlexaFluor®488 Goat anti-Rabbit secondary antibody at 1/1000 dilution (Green). Confocal image showing strong nuclear and weak cytoplasmic staining in HeLa cells. ab195889 Anti-alpha Tubulin antibody [DM1A] - Microtubule Marker (Alexa Fluor® 594) was used to counterstain tubulin at 1/200 dilution (Red). The nuclear counterstain was DAPI (Blue).

Secondary antibody only control : Secondary antibody is ab150077 AlexaFluor®488 Goat anti-Rabbit secondary at 1/1000 dilution.

This data was developed using the same antibody clone in a different buffer formulation containing PBS, BSA, glycerol, and sodium azide (ab240648).

Flow Cytometry (Intracellular) - Anti-SMARCA2 / BRM antibody [EPR23103-44] - BSA and Azide free (AB269872)
  • Flow Cyt (Intra)

Unknown

Flow Cytometry (Intracellular) - Anti-SMARCA2 / BRM antibody [EPR23103-44] - BSA and Azide free (AB269872)

Intracellular flow cytometric analysis of 4% paraformaldehyde fixed, 90% methanol permeabilized HeLa (human cervix adenocarcinoma epithelial cell) cells labeling SMARCA2/BRM with ab240648 at 1/500 dilution (Red) compared with a Rabbit monoclonal IgG (ab172730) (Black) isotype control and an unlabeled control (cells without incubation with primary antibody and secondary antibody) (Blue). A Goat anti rabbit IgG (Alexa Fluor® 488, ab150077) at 1/2000 dilution was used as the secondary antibody.

This data was developed using the same antibody clone in a different buffer formulation containing PBS, BSA, glycerol, and sodium azide (ab240648).

Immunocytochemistry/ Immunofluorescence - Anti-SMARCA2 / BRM antibody [EPR23103-44] - BSA and Azide free (AB269872)
  • ICC/IF

Unknown

Immunocytochemistry/ Immunofluorescence - Anti-SMARCA2 / BRM antibody [EPR23103-44] - BSA and Azide free (AB269872)

Immunofluorescent analysis of 4% Paraformaldehyde-fixed, 0.1% Triton X-100 permeabilized Neuro-2a (mouse neuroblastoma neuroblast) cells labeling SMARCA2/BRM with ab240648 at 1/50 dilution, followed by ab150077 AlexaFluor®488 Goat anti-Rabbit secondary antibody at 1/1000 dilution (Green). Confocal image showing strong nuclear and weak cytoplasmic staining in Neuro-2a cells. ab195889 Anti-alpha Tubulin antibody [DM1A] - Microtubule Marker (Alexa Fluor® 594) was used to counterstain tubulin at 1/200 dilution (Red). The nuclear counterstain was DAPI (Blue).

Secondary antibody only control : Secondary antibody is ab150077 AlexaFluor®488 Goat anti-Rabbit secondary at 1/1000 dilution.

This data was developed using the same antibody clone in a different buffer formulation containing PBS, BSA, glycerol, and sodium azide (ab240648).

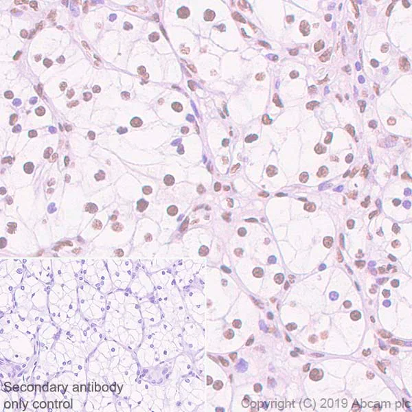
Immunohistochemistry (Formalin/PFA-fixed paraffin-embedded sections) - Anti-SMARCA2 / BRM antibody [EPR23103-44] - BSA and Azide free (AB269872)
  • IHC-P

Unknown

Immunohistochemistry (Formalin/PFA-fixed paraffin-embedded sections) - Anti-SMARCA2 / BRM antibody [EPR23103-44] - BSA and Azide free (AB269872)

Immunohistochemical analysis of paraffin-embedded human renal cell carcinoma tissue labeling SMARCA2/BRM with ab240648 at 1/2000 dilution (0.23 μg/ml) followed by a ready to use Rabbit specific IHC polymer detection kit HRP/DAB (ab209101). Nuclear staining on human renal cell carcinoma. The section was incubated with ab240648 for 30 mins at room temperature. The immunostaining was performed on a Leica Biosystems BOND® RX instrument. Counterstained with hematoxylin.

Secondary antibody only control : Secondary antibody is a ready to use Rabbit specific IHC polymer detection kit HRP/DAB (ab209101).

Heat mediated antigen retrieval with Tris-EDTA buffer (pH 9.0, epitope retrieval solution 2) for 20mins.

This data was developed using the same antibody clone in a different buffer formulation containing PBS, BSA, glycerol, and sodium azide (ab240648).

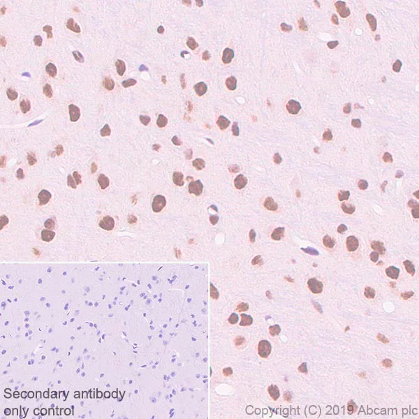
Immunohistochemistry (Formalin/PFA-fixed paraffin-embedded sections) - Anti-SMARCA2 / BRM antibody [EPR23103-44] - BSA and Azide free (AB269872)
  • IHC-P

Unknown

Immunohistochemistry (Formalin/PFA-fixed paraffin-embedded sections) - Anti-SMARCA2 / BRM antibody [EPR23103-44] - BSA and Azide free (AB269872)

Immunohistochemical analysis of paraffin-embedded mouse cerebrum tissue labeling SMARCA2/BRM with ab240648 at 1/2000 dilution (0.23 μg/ml) followed by a ready to use Rabbit specific IHC polymer detection kit HRP/DAB (ab209101). Nuclear staining on mouse cerebrum. The section was incubated with ab240648 for 30 mins at room temperature. The immunostaining was performed on a Leica Biosystems BOND® RX instrument. Counterstained with hematoxylin.

Secondary antibody only control : Secondary antibody is a ready to use Rabbit specific IHC polymer detection kit HRP/DAB (ab209101).

Heat mediated antigen retrieval with Tris-EDTA buffer (pH 9.0, epitope retrieval solution 2) for 20mins.

This data was developed using the same antibody clone in a different buffer formulation containing PBS, BSA, glycerol, and sodium azide (ab240648).

Western blot - Anti-SMARCA2 / BRM antibody [EPR23103-44] - BSA and Azide free (AB269872)
  • WB

Lab

Western blot - Anti-SMARCA2 / BRM antibody [EPR23103-44] - BSA and Azide free (AB269872)

This data was developed using the same antibody clone in a different buffer formulation (ab240648).

Lanes 1 - 4 : Merged signal (red and green). Green - ab240648 observed at 200 kDa. Red - loading control ab7291 (Mouse anti-Alpha Tubulin [DM1A]) observed at 55 kDa.

ab240648 was shown to react with SMARCA2 / BRM in wild-type HeLa cells in Western blot with loss of signal observed in SMARCA2 knockout cell line ab265416 (SMARCA2 knockout cell lysate ab257687). Wild-type HeLa and SMARCA2 knockout cell lysates were subjected to SDS-PAGE. Membranes were blocked in 3 % milk in TBS-T (0.1 % Tween®) before incubation with ab240648 and ab7291 (Mouse anti-Alpha Tubulin [DM1A]) overnight at 4 °C at a 1 in 1000 dilution and a 1 in 20000 dilution respectively. Blots were incubated with Goat anti-Rabbit IgG H&L (IRDye® 800CW) preabsorbed (ab216773) and Goat anti-Mouse IgG H&L (IRDye® 680RD) preabsorbed (ab216776) secondary antibodies at 1 in 20000 dilution for 1 h at room temperature before imaging.

All lanes:

Western blot - Anti-SMARCA2 / BRM antibody [EPR23103-44] (<a href='/en-us/products/primary-antibodies/smarca2-brm-antibody-epr23103-44-ab240648'>ab240648</a>) at 1/1000 dilution

Lane 1:

Wild-type HeLa cell lysate at 20 µg

Lane 2:

SMARCA2 knockout HeLa cell lysate at 20 µg

Lane 2:

Western blot - Human SMARCA2 (BRM) knockout HeLa cell line (<a href='/en-us/products/cell-lines/human-smarca2-brm-knockout-hela-cell-line-ab265416'>ab265416</a>)

Lane 3:

HeLa cell lysate at 20 µg

Lane 4:

Daudi cell lysate at 20 µg

Predicted band size: 181 kDa

Observed band size: 200 kDa

false

  • Unconjugated

    Anti-SMARCA2 / BRM antibody [EPR23103-44]

  • 775 Alexa Fluor® 750

    Alexa Fluor® 750 Anti-SMARCA2 / BRM antibody [EPR23103-44]

  • 660 APC

    APC Anti-SMARCA2 / BRM antibody [EPR23103-44]

  • HRP

    HRP Anti-SMARCA2 / BRM antibody [EPR23103-44]

  • 519 Alexa Fluor® 488

    Alexa Fluor® 488 Anti-SMARCA2 / BRM antibody [EPR23103-44]

  • 617 Alexa Fluor® 594

    Alexa Fluor® 594 Anti-SMARCA2 / BRM antibody [EPR23103-44]

  • 565 Alexa Fluor® 555

    Alexa Fluor® 555 Anti-SMARCA2 / BRM antibody [EPR23103-44]

  • 578 PE

    PE Anti-SMARCA2 / BRM antibody [EPR23103-44]

  • 665 Alexa Fluor® 647

    Alexa Fluor® 647 Anti-SMARCA2 / BRM antibody [EPR23103-44]

  • 603 Alexa Fluor® 568

    Alexa Fluor® 568 Anti-SMARCA2 / BRM antibody [EPR23103-44]

Key facts

Host species

Rabbit

Clonality

Monoclonal

Clone number

EPR23103-44

Isotype

IgG

Carrier free

Yes

Reacts with

Mouse, Human

Applications

IHC-P, WB, Flow Cyt (Intra), ICC/IF

applications

Immunogen

The exact immunogen used to generate this antibody is proprietary information.

Reactivity data

{ "title": "Reactivity Data", "filters": { "stats": ["", "Species", "Dilution Info", "Notes"], "tabs": { "all-applications": {"fullname" : "All Applications", "shortname": "All Applications"}, "IP" : {"fullname" : "Immunoprecipitation", "shortname":"IP"}, "WB" : {"fullname" : "Western blot", "shortname":"WB"}, "ICCIF" : {"fullname" : "Immunocytochemistry/ Immunofluorescence", "shortname":"ICC/IF"}, "FlowCytIntra" : {"fullname" : "Flow Cytometry (Intracellular)", "shortname":"Flow Cyt (Intra)"}, "IHCP" : {"fullname" : "Immunohistochemistry (Formalin/PFA-fixed paraffin-embedded sections)", "shortname":"IHC-P"} }, "product-promise": { "all": "all", "testedAndGuaranteed": "tested", "guaranteed": "expected", "predicted": "predicted", "notRecommended": "not-recommended" } }, "values": { "Human": { "IP-species-checked": "notRecommended", "IP-species-dilution-info": "", "IP-species-notes": "<p></p>", "WB-species-checked": "testedAndGuaranteed", "WB-species-dilution-info": "", "WB-species-notes": "<p></p>", "ICCIF-species-checked": "testedAndGuaranteed", "ICCIF-species-dilution-info": "", "ICCIF-species-notes": "<p></p>", "FlowCytIntra-species-checked": "testedAndGuaranteed", "FlowCytIntra-species-dilution-info": "", "FlowCytIntra-species-notes": "<p></p>", "IHCP-species-checked": "testedAndGuaranteed", "IHCP-species-dilution-info": "", "IHCP-species-notes": "<p></p> Perform heat-mediated antigen retrieval with Tris/EDTA buffer pH 9.0 before commencing with IHC staining protocol." }, "Mouse": { "IP-species-checked": "notRecommended", "IP-species-dilution-info": "", "IP-species-notes": "<p></p> Perform heat-mediated antigen retrieval with Tris/EDTA buffer pH 9.0 before commencing with IHC staining protocol.", "WB-species-checked": "testedAndGuaranteed", "WB-species-dilution-info": "", "WB-species-notes": "<p></p>", "ICCIF-species-checked": "testedAndGuaranteed", "ICCIF-species-dilution-info": "", "ICCIF-species-notes": "<p></p>", "FlowCytIntra-species-checked": "guaranteed", "FlowCytIntra-species-dilution-info": "", "FlowCytIntra-species-notes": "", "IHCP-species-checked": "testedAndGuaranteed", "IHCP-species-dilution-info": "", "IHCP-species-notes": "<p></p> Perform heat-mediated antigen retrieval with Tris/EDTA buffer pH 9.0 before commencing with IHC staining protocol." } } }

Product details

ab269872 is the carrier-free version of ab240648.

Patented technology
Our RabMAb® technology is a patented hybridoma-based technology for making rabbit monoclonal antibodies. For details on our patents, please refer to RabMAb® patents.

What are the advantages of a recombinant monoclonal antibody?
This product is a recombinant monoclonal antibody, which offers several advantages including:

  • - High batch-to-batch consistency and reproducibility
  • - Improved sensitivity and specificity
  • - Long-term security of supply
  • - Animal-free batch production

For more information, read more on recombinant antibodies.

Conjugation ready
Our carrier-free antibodies are typically supplied in a PBS-only formulation, purified and free of BSA, sodium azide and glycerol. This conjugation-ready format is designed for use with fluorochromes, metal isotopes, oligonucleotides, and enzymes, which makes them ideal for antibody labelling, functional and cell-based assays, flow-based assays (e.g. mass cytometry) and Multiplex Imaging applications.

Use our conjugation kits for antibody conjugates that are ready-to-use in as little as 20 minutes with 1 minute hands-on-time and 100% antibody recovery: available for fluorescent dyes, HRP, biotin and gold.

Compatibility
This product is compatible with the Maxpar® Antibody Labeling Kit from Fluidigm, without the need for antibody preparation. Maxpar® is a trademark of Fluidigm Canada Inc.

Properties and storage information

Form
Liquid
Purification technique
Affinity purification Protein A
Storage buffer
pH: 7.2 - 7.4 Constituents: PBS
Shipped at conditions
Blue Ice
Appropriate short-term storage conditions
+4°C
Appropriate long-term storage conditions
+4°C
Storage information
Do Not Freeze

Supplementary information

This supplementary information is collated from multiple sources and compiled automatically.

The SMARCA2 protein also known as BRM (Brahma-related gene 1) is a component of the SWI/SNF chromatin remodeling complex. This protein has a molecular mass of approximately 185 kDa. Scientists observe that SMARCA2/BRM is expressed in various tissues including the brain and liver. It acts as an ATPase which moves histone octamers in chromatin and facilitates access to DNA. SMARCA2/BRM plays an important role in transcriptional activation by modifying chromatin structure.
Biological function summary

SMARCA2/BRM interacts with other subunits to form the SWI/SNF complex important for regulating gene expression. This complex helps control the transcription of specific genes by repositioning nucleosomes. SMARCA2/BRM modulates cell cycle progression and differentiation as it influences transcription factor access to DNA. Its activity is essential for normal cellular responses maintaining cell homeostasis and development.

Pathways

SMARCA2/BRM participates significantly in the cell cycle and Wnt signaling pathways. In the cell cycle it cooperates with proteins like p53 to regulate genes involved in cell growth and apoptosis. In the Wnt pathway SMARCA2/BRM interacts with beta-catenin to influence cellular responses to Wnt signals. These pathways are critical for cell proliferation and maintaining cellular integrity and SMARCA2/BRM serves as a pivotal modulator within these systems.

SMARCA2/BRM has a connection to cancer and Coffin-Siris syndrome. Altered expression of SMARCA2/BRM has been observed in several cancers where it frequently interacts with other oncogenic proteins disrupting normal regulatory functions and promoting tumorigenesis. Meanwhile mutations in SMARCA2 can lead to Coffin-Siris syndrome a genetic disorder affecting development and it is connected with other proteins like SOX2 which are also involved in developmental pathways. Understanding SMARCA2's role may uncover insights into therapeutic targets for these conditions.

Product protocols

For this product, it's our understanding that no specific protocols are required. You can visit:

Target data

Involved in transcriptional activation and repression of select genes by chromatin remodeling (alteration of DNA-nucleosome topology). Component of SWI/SNF chromatin remodeling complexes that carry out key enzymatic activities, changing chromatin structure by altering DNA-histone contacts within a nucleosome in an ATP-dependent manner. Binds DNA non-specifically (PubMed : 22952240, PubMed : 26601204). Belongs to the neural progenitors-specific chromatin remodeling complex (npBAF complex) and the neuron-specific chromatin remodeling complex (nBAF complex). During neural development a switch from a stem/progenitor to a postmitotic chromatin remodeling mechanism occurs as neurons exit the cell cycle and become committed to their adult state. The transition from proliferating neural stem/progenitor cells to postmitotic neurons requires a switch in subunit composition of the npBAF and nBAF complexes. As neural progenitors exit mitosis and differentiate into neurons, npBAF complexes which contain ACTL6A/BAF53A and PHF10/BAF45A, are exchanged for homologous alternative ACTL6B/BAF53B and DPF1/BAF45B or DPF3/BAF45C subunits in neuron-specific complexes (nBAF). The npBAF complex is essential for the self-renewal/proliferative capacity of the multipotent neural stem cells. The nBAF complex along with CREST plays a role regulating the activity of genes essential for dendrite growth (By similarity).
See full target information SMARCA2

Product promise

We are committed to supporting your work with high-quality reagents, and we're here for you every step of the way. In the unlikely event that one of our products does not perform as expected, you're protected by our Product Promise.
For full details, please see our Terms & Conditions

Associated Products

Select an associated product type
Alternative Product
Primary Antibodies

AB227000

Anti-SMARCA2 / BRM antibody

primary-antibodies

smarca2-brm-antibody-ab227000

0

(0 reviews)

Alternative Product
Primary Antibodies

AB264165

Anti-SMARCA2 / BRM antibody

primary-antibodies

smarca2-brm-antibody-ab264165

0

(0 reviews)

Alternative Product
Primary Antibodies

AB264164

Anti-SMARCA2 / BRM antibody

primary-antibodies

smarca2-brm-antibody-ab264164

0

(0 reviews)

Alternative Product
Primary Antibodies

AB223735

Anti-SMARCA2 / BRM antibody

primary-antibodies

smarca2-brm-antibody-ab223735

0

(0 reviews)

Alternative Version
Primary Antibodies

AB305747

APC Anti-SMARCA2 / BRM antibody [EPR23103-44]

primary-antibodies

apc-smarca2-brm-antibody-epr23103-44-ab305747

0

(0 reviews)

Alternative Version
Primary Antibodies

AB305748

HRP Anti-SMARCA2 / BRM antibody [EPR23103-44]

primary-antibodies

hrp-smarca2-brm-antibody-epr23103-44-ab305748

0

(0 reviews)

Alternative Version
Primary Antibodies

AB307770

Alexa Fluor® 488 Anti-SMARCA2 / BRM antibody [EPR23103-44]

primary-antibodies

alexa-fluor-488-smarca2-brm-antibody-epr23103-44-ab307770

0

(0 reviews)

Alternative Version
Primary Antibodies

AB310553

Alexa Fluor® 594 Anti-SMARCA2 / BRM antibody [EPR23103-44]

primary-antibodies

alexa-fluor-594-smarca2-brm-antibody-epr23103-44-ab310553

0

(0 reviews)

Alternative Version
Primary Antibodies

AB312082

Alexa Fluor® 555 Anti-SMARCA2 / BRM antibody [EPR23103-44]

primary-antibodies

alexa-fluor-555-smarca2-brm-antibody-epr23103-44-ab312082

0

(0 reviews)

Alternative Version
Primary Antibodies

AB305746

PE Anti-SMARCA2 / BRM antibody [EPR23103-44]

primary-antibodies

pe-smarca2-brm-antibody-epr23103-44-ab305746

0

(0 reviews)

Alternative Version
Primary Antibodies

AB307771

Alexa Fluor® 647 Anti-SMARCA2 / BRM antibody [EPR23103-44]

primary-antibodies

alexa-fluor-647-smarca2-brm-antibody-epr23103-44-ab307771

0

(0 reviews)

Alternative Version
Primary Antibodies

AB312560

Alexa Fluor® 568 Anti-SMARCA2 / BRM antibody [EPR23103-44]

primary-antibodies

alexa-fluor-568-smarca2-brm-antibody-epr23103-44-ab312560

0

(0 reviews)

Please note: All products are 'FOR RESEARCH USE ONLY. NOT FOR USE IN DIAGNOSTIC OR THERAPEUTIC PROCEDURES'.

For licensing inquiries, please contact partnerships@abcam.com