JavaScript is disabled in your browser. Please enable JavaScript to view this website.
AB300040

Anti-SMARCA6 antibody [EPR25295-62]

  • BOND RX™ Validated
  • 20ul selling size
  • RabMAb
  • Recombinant
  • What is this?

Be the first to review this product! Submit a review

|

(0 Publication)

Rabbit Recombinant Monoclonal SMARCA6 antibody. Suitable for ICC/IF, IP, Flow Cyt (Intra), IHC-P, WB and reacts with Mouse, Rat, Human samples.

View Alternative Names

PASG, SMARCA6, Nbla10143, HELLS, Lymphoid-specific helicase, Proliferation-associated SNF2-like protein, SWI/SNF2-related matrix-associated actin-dependent regulator of chromatin subfamily A member 6

9 Images
Immunohistochemistry (Formalin/PFA-fixed paraffin-embedded sections) - Anti-SMARCA6 antibody [EPR25295-62] (AB300040)
  • IHC-P

Supplier Data

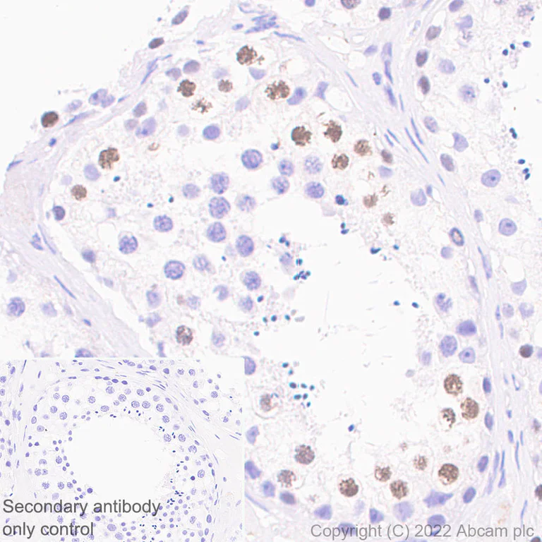
Immunohistochemistry (Formalin/PFA-fixed paraffin-embedded sections) - Anti-SMARCA6 antibody [EPR25295-62] (AB300040)

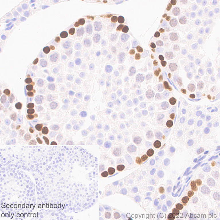
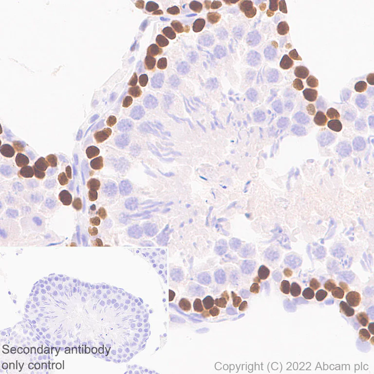
Immunohistochemical analysis of paraffin-embedded Human testis tissue labelling SMARCA6 with ab300040 at 1/500 (1.06 μg/ml) followed by a ready to use LeicaDS9800 (BOND™ Polymer Refine Detection). Positive staining on human testis (PMID : 21349825). The section was incubated with ab300040 for 30 mins at room temperature. The immunostaining was performed on a Leica Biosystems BOND® RX instrument. Counterstained with Hematoxylin.

Secondary antibody only control : Secondary antibody is a ready to use LeicaDS9800 (BOND™ Polymer Refine Detection).

Heat mediated antigen retrieval with Tris-EDTA buffer (pH 9.0, epitope retrieval solution2) for 20 mins.

Flow Cytometry (Intracellular) - Anti-SMARCA6 antibody [EPR25295-62] (AB300040)
  • Flow Cyt (Intra)

Supplier Data

Flow Cytometry (Intracellular) - Anti-SMARCA6 antibody [EPR25295-62] (AB300040)

Intracellular flow cytometric analysis of 4% paraformaldehyde fixed 90% methanol permeabilized LNCaP (Human prostate carcinoma epithelial cell, Left) / MOLT-4 (human lymphoblastic leukemia T lymphoblast, Right) cells labeling SMARCA6 with ab300040 at 1/500 dilution (0.1 μg) (Red) compared with a Rabbit monoclonal IgG (ab172730) (Black) isotype control and an unlabeled control (cells without incubation with primary antibody and secondary antibody) (Blue). A Goat Anti-Rabbit IgG (Alexa Fluor® 488, ab150081) at 1/2000 dilution was used as the secondary antibody. Low expression : LNCaP(PMID : 10910076).

Flow Cytometry (Intracellular) - Anti-SMARCA6 antibody [EPR25295-62] (AB300040)
  • Flow Cyt (Intra)

Supplier Data

Flow Cytometry (Intracellular) - Anti-SMARCA6 antibody [EPR25295-62] (AB300040)

Intracellular flow cytometric analysis of 4% paraformaldehyde fixed 90% methanol permeabilized NIH/3T3 (Mouse embryonic fibroblast) cells labeling SMARCA6 with ab300040 at 1/50 dilution (1 μg) (Red) compared with a Rabbit monoclonal IgG (ab172730) (Black) isotype control and an unlabelled control (cells without incubation with primary antibody and secondary antibody) (Blue). A Goat Anti-Rabbit IgG (Alexa Fluor® 488, ab150081) at 1/2000 dilution was used as the secondary antibody.

Immunohistochemistry (Formalin/PFA-fixed paraffin-embedded sections) - Anti-SMARCA6 antibody [EPR25295-62] (AB300040)
  • IHC-P

Supplier Data

Immunohistochemistry (Formalin/PFA-fixed paraffin-embedded sections) - Anti-SMARCA6 antibody [EPR25295-62] (AB300040)

Immunohistochemical analysis of paraffin-embedded Rat testis tissue labelling SMARCA6 with ab300040 at 1/500 dilution (1.06 μg/ml) followed by a ready to use LeicaDS9800 (BOND™ Polymer Refine Detection). Positive staining on rat testis (PMID : 21349825). The section was incubated with ab300040 for 30 mins at room temperature.The immunostaining was performed on a Leica Biosystems BOND® RX instrument. Counterstained with Hematoxylin.

Secondary antibody only control : Secondary antibody is a ready to use LeicaDS9800 (BOND™ Polymer Refine Detection).

Heat mediated antigen retrieval with Tris-EDTA buffer (pH 9.0, epitope retrieval solution 2) for 20 mins.

Immunocytochemistry/ Immunofluorescence - Anti-SMARCA6 antibody [EPR25295-62] (AB300040)
  • ICC/IF

Supplier Data

Immunocytochemistry/ Immunofluorescence - Anti-SMARCA6 antibody [EPR25295-62] (AB300040)

Immunofluorescent analysis of 4% Paraformaldehyde-fixed, 0.1% TritonX-100 permeilized NIH/3T3 (mouse embryonic fibroblast) cells labelling SMARCA6 with ab300040 at 1/50 dilution (10.6 μg/ml) dilution, followed by ab150081 Goat Anti-Rabbit IgG H&L (Alexa Fluor® 488) preadsorbed antibody at 1/1000 dilution (2 μg/mL) (Green). Confocal image showing nuclear staining in NIH/3T3 cell line. ab195889 Anti-alpha Tubulin mouse monoclonal antibody - Microtubule Marker (Alexa Fluor® 594) was used to counterstain tubulin at 1/200 dilution (2.5 μg/ml) (Red). The Nuclear counterstain was DAPI (Blue).

Secondary antibody only control : Secondary antibody is ab150081 Goat Anti-Rabbit IgG H&L (Alexa Fluor® 488) preadsorbed at 1/1000 (2 μg/mL) dilution.

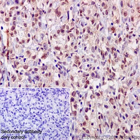
Immunohistochemistry (Formalin/PFA-fixed paraffin-embedded sections) - Anti-SMARCA6 antibody [EPR25295-62] (AB300040)
  • IHC-P

Supplier Data

Immunohistochemistry (Formalin/PFA-fixed paraffin-embedded sections) - Anti-SMARCA6 antibody [EPR25295-62] (AB300040)

Immunohistochemical analysis of paraffin-embedded Mouse testis tissue labeling SMARCA6 with ab300040 at 1/500 (1.06 μg/ml) followed by a ready to use LeicaDS9800 (BOND™ Polymer Refine Detection). Positive staining on mouse testis (PMID : 21349825). The section was incubated with ab300040 for 30 mins at room temperature. The immunostaining was performed on a Leica Biosystems BOND® RX instrument. Counterstained with Hematoxylin.

Secondary antibody only control : Secondary antibody is a ready to use LeicaDS9800 (BOND™ Polymer Refine Detection).

Heat mediated antigen retrieval with Tris-EDTA buffer (pH 9.0, epitope retrieval solution2) for 20 mins.

Immunoprecipitation - Anti-SMARCA6 antibody [EPR25295-62] (AB300040)
  • IP

Supplier Data

Immunoprecipitation - Anti-SMARCA6 antibody [EPR25295-62] (AB300040)

SMARCA6 was immunoprecipitated from 0.35 mg NIH/3T3 (mouse embryonic fibroblast) whole cell lysate 10 μg with ab300040 at 1/30 dilution (2 μg in 0.35mg lysates). Western blot was performed on the immunoprecipitate using ab300040 at 1/1000 dilution. VeriBlot for IP secondary antibody(HRP) (ab131366) was used at 1/5000 dilution.

Lane 1 : NIH/3T3 (mouse embryonic fibroblast) whole cell lysate 10 μg

Lane 2 : ab300040 in NIH/3T3 whole cell lysate

Lane 3 : Rabbit monoclonal IgG (ab172730) instead of ab300040 in NIH/3T3 whole cell lysate

Blocking and dilution buffer and concentration : 5% NFDM/TBST.

Exposure time : 32 seconds

All lanes:

Immunoprecipitation - Anti-SMARCA6 antibody [EPR25295-62] (ab300040)

Predicted band size: 97 kDa

false

Immunoprecipitation - Anti-SMARCA6 antibody [EPR25295-62] (AB300040)
  • IP

Supplier Data

Immunoprecipitation - Anti-SMARCA6 antibody [EPR25295-62] (AB300040)

SMARCA6 was immunoprecipitated from 0.35 mg Raji (human Burkitt's lymphoma b lymphocyte) whole cell lysate 10 μg with ab300040 at 1/30 dilution (2 μg in 0.35mg lysates). Western blot was performed on the immunoprecipitate using ab300040 at 1/1000 dilution. VeriBlot for IP secondary antibody(HRP) (ab131366) was used at 1/5000 dilution.

Lane 1 : Raji (human Burkitt's lymphoma b lymphocyte) whole cell lysate 10 μg

Lane 2 : ab300040 in Raji whole cell lysate

Lane 3 : Rabbit monoclonal IgG (ab172730) instead of ab300040 in Raji whole cell lysate

Blocking and dilution buffer and concentration : 5% NFDM/TBST.

Exposure time : 15 seconds

All lanes:

Immunoprecipitation - Anti-SMARCA6 antibody [EPR25295-62] (ab300040)

Predicted band size: 97 kDa

false

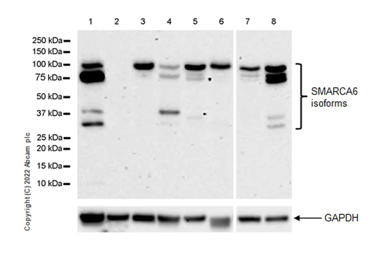
Western blot - Anti-SMARCA6 antibody [EPR25295-62] (AB300040)
  • WB

Unknown

Western blot - Anti-SMARCA6 antibody [EPR25295-62] (AB300040)

Blocking / Diluting buffer and concentration :

5% NFDM/TBST

The expression profile/ molecular weight observed is consistent with what has been described in the literature (PMID : 10910076).
Low expression cell line : LNCaP, RPMI-8226(PMID : 10910076).

All lanes:

Western blot - Anti-SMARCA6 antibody [EPR25295-62] (ab300040) at 1/1000 dilution

Lane 1:

MOLT-4 (human lymphoblastic leukemia t lymphoblast) whole cell lysate at 20 µg

Lane 2:

LNCaP (human prostate carcinoma epithelial cell) whole cell lysate at 20 µg

Lane 3:

Raji (human burkitt's lymphoma b lymphocyte) whole cell lysate at 20 µg

Lane 4:

RPMI-8226 (human plasmacytoma, myeloma b lymphocyte) whole cell lysate at 20 µg

Lane 5:

Mouse thymus tissue lysate at 20 µg

Lane 6:

Rat thymus tissue lysate at 20 µg

Lane 7:

NIH/3T3 (mouse embryonic fibroblast) whole cell lysate at 20 µg

Lane 8:

RAW 264.7 (mouse abelson murine leukemia virus-induced tumor macrophage) whole cell lysate at 20 µg

Secondary

All lanes:

Western blot - Goat Anti-Rabbit IgG H&L (HRP) (<a href='/en-us/products/secondary-antibodies/goat-rabbit-igg-h-l-hrp-ab97051'>ab97051</a>) at 1/100000 dilution

Predicted band size: 97 kDa

Observed band size: 32-100 kDa

false

Exposure time: 3min

  • Carrier free

    Anti-SMARCA6 antibody [EPR25295-62] (BSA and Azide free)

Key facts

Host species

Rabbit

Clonality

Monoclonal

Clone number

EPR25295-62

Isotype

IgG

Carrier free

No

Reacts with

Human, Mouse, Rat

Applications

WB, ICC/IF, Flow Cyt (Intra), IHC-P, IP

applications

Immunogen

The exact immunogen used to generate this antibody is proprietary information.

Reactivity data

{ "title": "Reactivity Data", "filters": { "stats": ["", "Species", "Dilution Info", "Notes"], "tabs": { "all-applications": {"fullname" : "All Applications", "shortname": "All Applications"}, "ICCIF" : {"fullname" : "Immunocytochemistry/ Immunofluorescence", "shortname":"ICC/IF"}, "IP" : {"fullname" : "Immunoprecipitation", "shortname":"IP"}, "FlowCytIntra" : {"fullname" : "Flow Cytometry (Intracellular)", "shortname":"Flow Cyt (Intra)"}, "IHCP" : {"fullname" : "Immunohistochemistry (Formalin/PFA-fixed paraffin-embedded sections)", "shortname":"IHC-P"}, "WB" : {"fullname" : "Western blot", "shortname":"WB"} }, "product-promise": { "all": "all", "testedAndGuaranteed": "tested", "guaranteed": "expected", "predicted": "predicted", "notRecommended": "not-recommended" } }, "values": { "Human": { "ICCIF-species-checked": "notRecommended", "ICCIF-species-dilution-info": "1/50", "ICCIF-species-notes": "<p></p>", "IP-species-checked": "testedAndGuaranteed", "IP-species-dilution-info": "1/30", "IP-species-notes": "<p></p>", "FlowCytIntra-species-checked": "testedAndGuaranteed", "FlowCytIntra-species-dilution-info": "1/50", "FlowCytIntra-species-notes": "<p></p>", "IHCP-species-checked": "testedAndGuaranteed", "IHCP-species-dilution-info": "1/500", "IHCP-species-notes": "<p></p>", "WB-species-checked": "testedAndGuaranteed", "WB-species-dilution-info": "1/1000", "WB-species-notes": "<p></p>" }, "Mouse": { "ICCIF-species-checked": "testedAndGuaranteed", "ICCIF-species-dilution-info": "1/50", "ICCIF-species-notes": "<p></p>", "IP-species-checked": "testedAndGuaranteed", "IP-species-dilution-info": "1/30", "IP-species-notes": "<p></p>", "FlowCytIntra-species-checked": "testedAndGuaranteed", "FlowCytIntra-species-dilution-info": "1/50", "FlowCytIntra-species-notes": "<p></p>", "IHCP-species-checked": "testedAndGuaranteed", "IHCP-species-dilution-info": "1/500", "IHCP-species-notes": "<p></p>", "WB-species-checked": "testedAndGuaranteed", "WB-species-dilution-info": "1/1000", "WB-species-notes": "<p></p>" }, "Rat": { "ICCIF-species-checked": "guaranteed", "ICCIF-species-dilution-info": "", "ICCIF-species-notes": "", "IP-species-checked": "guaranteed", "IP-species-dilution-info": "", "IP-species-notes": "", "FlowCytIntra-species-checked": "guaranteed", "FlowCytIntra-species-dilution-info": "", "FlowCytIntra-species-notes": "", "IHCP-species-checked": "testedAndGuaranteed", "IHCP-species-dilution-info": "1/500", "IHCP-species-notes": "<p></p>", "WB-species-checked": "testedAndGuaranteed", "WB-species-dilution-info": "1/1000", "WB-species-notes": "<p></p>" } } }

Product details

Patented technology
Our RabMAb® technology is a patented hybridoma-based technology for making rabbit monoclonal antibodies. For details on our patents, please refer to RabMAb® patents.

What are the advantages of a recombinant monoclonal antibody?
This product is a recombinant monoclonal antibody, which offers several advantages including:

  • - High batch-to-batch consistency and reproducibility
  • - Improved sensitivity and specificity
  • - Long-term security of supply
  • - Animal-free batch production

For more information, read more on recombinant antibodies.

Properties and storage information

Form
Liquid
Purification technique
Affinity purification Protein A
Storage buffer
pH: 7.2 - 7.4 Preservative: 0.01% Sodium azide Constituents: PBS, 40% Glycerol (glycerin, glycerine), 0.05% BSA
Shipped at conditions
Blue Ice
Appropriate short-term storage duration
1-2 weeks
Appropriate short-term storage conditions
+4°C
Appropriate long-term storage conditions
-20°C
Aliquoting information
Upon delivery aliquot
Storage information
Avoid freeze / thaw cycle

Supplementary information

This supplementary information is collated from multiple sources and compiled automatically.

SMARCA6 also known as SWI/SNF-related matrix-associated actin-dependent regulator of chromatin subfamily A member 6 is a protein with a molecular weight of approximately 170 kDa. It functions as an ATPase and is an important component of chromatin remodeling complexes. SMARCA6 plays a role in modifying chromatin structure through ATP hydrolysis which influences gene expression. This protein is expressed in various tissues and its expression can be detected across different cell types including those involved in blood functions.
Biological function summary

SMARCA6 influences gene expression by modifying the chromatin structure which allows transcription factors to access DNA. It is a part of the SWI/SNF chromatin remodeling complex critical for regulating a wide range of genes involved in development and cell cycle. Through the remodeling of chromatin SMARCA6 controls access to specific genomic regions and modulates transcriptional activation or repression therefore influencing cellular differentiation and proliferation.

Pathways

SMARCA6 participates in pathways involved in chromatin organization and gene regulation. It engages in the Wnt signaling pathway interacting with proteins such as BAF155 and BAF170 to modulate transcriptional outcomes. SMARCA6's activity in these pathways is essential for cellular processes impacting how cells respond to growth signals and maintain homeostasis.

Aberrations in SMARCA6 function or expression can lead to complications such as cancer and neurodevelopmental disorders. It has been linked to leukemia where chromatin remodeling anomalies disrupt normal gene expression patterns. In such contexts SMARCA6 interacts with proteins like BAF57 affecting the regulation of oncogenes and tumor suppressors. Altered SMARCA6 activity in these diseases highlights its role in maintaining genomic stability and proper cell function.

Product protocols

For this product, it's our understanding that no specific protocols are required. You can visit:

Target data

Plays an essential role in normal development and survival. Involved in regulation of the expansion or survival of lymphoid cells. Required for de novo or maintenance DNA methylation. May control silencing of the imprinted CDKN1C gene through DNA methylation. May play a role in formation and organization of heterochromatin, implying a functional role in the regulation of transcription and mitosis (By similarity).
See full target information HELLS

Product promise

We are committed to supporting your work with high-quality reagents, and we're here for you every step of the way. In the unlikely event that one of our products does not perform as expected, you're protected by our Product Promise.
For full details, please see our Terms & Conditions

Please note: All products are 'FOR RESEARCH USE ONLY. NOT FOR USE IN DIAGNOSTIC OR THERAPEUTIC PROCEDURES'.

For licensing inquiries, please contact partnerships@abcam.com