JavaScript is disabled in your browser. Please enable JavaScript to view this website.
AB305037

Anti-SMARCC1/BAF155 antibody [EPR25109-77]

  • BOND RX™ Validated
  • 20ul selling size
  • RabMAb
  • Recombinant
  • KO Validated
  • What is this?

Be the first to review this product! Submit a review

|

(3 Publications)

Knockout Tested Rabbit Recombinant Monoclonal SMARCC1/BAF155 antibody. Suitable for WB, IHC-P, ICC/IF, IP and reacts with Human, Mouse, Rat samples. Cited in 3 publications.

View Alternative Names

BAF155, SMARCC1, SWI/SNF complex subunit SMARCC1, BRG1-associated factor 155, SWI/SNF complex 155 kDa subunit, SWI/SNF-related matrix-associated actin-dependent regulator of chromatin subfamily C member 1

15 Images
Immunohistochemistry (Formalin/PFA-fixed paraffin-embedded sections) - Anti-SMARCC1/BAF155 antibody [EPR25109-77] (AB305037)
  • IHC-P

Supplier Data

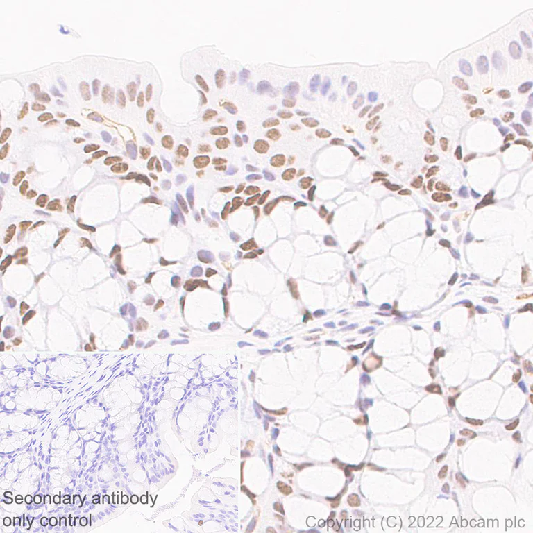
Immunohistochemistry (Formalin/PFA-fixed paraffin-embedded sections) - Anti-SMARCC1/BAF155 antibody [EPR25109-77] (AB305037)

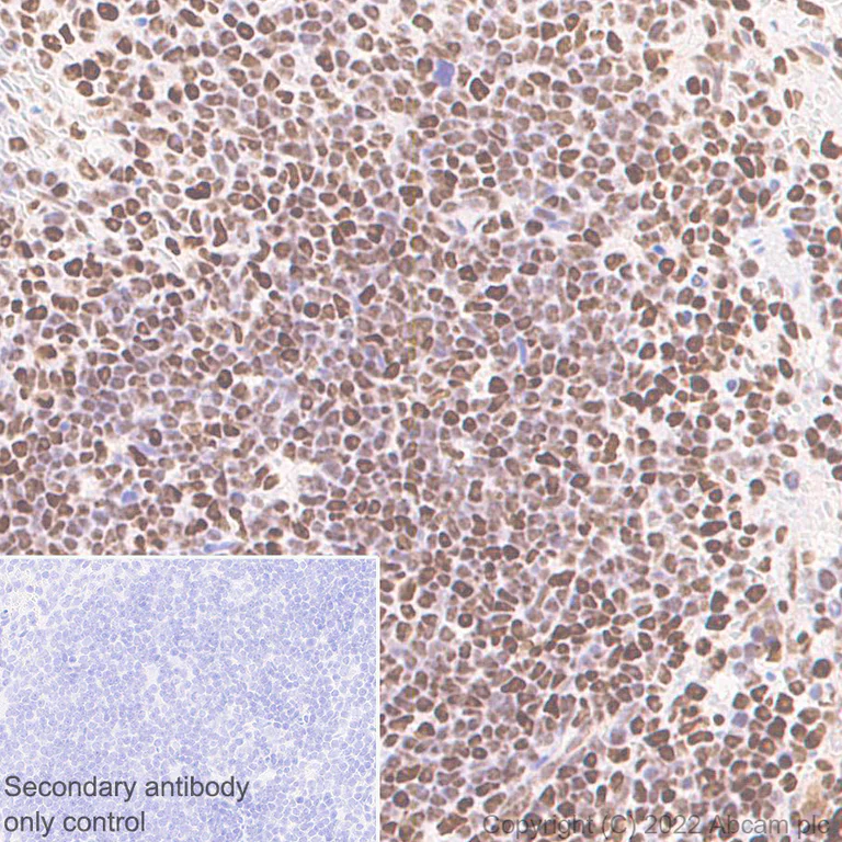
Immunohistochemical analysis of paraffin-embedded Human colon tissue labeling SMARCC1/BAF155 with ab305037 at 1/100 (4.75 ug/ml) followed by a ready to use LeicaDS9800 (Bond™ Polymer Refine Detection) was used. Nuclear staining on human colon (PMID : 30144500).The section was incubated with ab305037 for 30 mins at room temperature.The immunostaining was performed on a Leica Biosystems BOND® RX instrument Counterstained with Hematoxylin. Secondary antibody only control : Secondary antibody is a ready to use LeicaDS9800 (Bond™ Polymer Refine Detection). Heat mediated antigen retrieval was performed with Tris-EDTA buffer (pH 9.0, Epitope Retrieval Solution2) for 20 mins

Immunocytochemistry/ Immunofluorescence - Anti-SMARCC1/BAF155 antibody [EPR25109-77] (AB305037)
  • ICC/IF

Supplier Data

Immunocytochemistry/ Immunofluorescence - Anti-SMARCC1/BAF155 antibody [EPR25109-77] (AB305037)

Immunofluorescent analysis of 100% methanol-fixed, 0.1% TritonX-100 permeabilized SMARCC1 KO HeLa (SMARCC1 knockout human cervical adenocarcinoma epithelial cell) (ab264859) cells labelling SMARCC1/BAF155 with ab305037 at 1/100 (4.75 ug/ml) dilution, followed by ab150081 Goat Anti-Rabbit IgG H&L (Alexa Fluor® 488) preadsorbed antibody at 1/1000 2 ug/ml dilution (Green). Confocal image showing no staining in SMARCC1 knockout Hela cells and showing nuclear staining in wildtype Hela cells.The image was taken with a confocal microscope (Leica-Microsystems, TCS SP8) is observed. ab195889 Anti-alpha Tubulin mouse monoclonal antibody - Microtubule Marker (Alexa Fluor® 594) was used to counterstain tubulin at 1/200 2.5 ug/ml dilution (Red). The Nuclear counterstain was DAPI (Blue). Secondary antibody only control : Secondary antibody is ab150081 Goat Anti-Rabbit IgG H&L (Alexa Fluor® 488) preadsorbed at 1/1000 2 ug/ml dilution.

Immunohistochemistry (Formalin/PFA-fixed paraffin-embedded sections) - Anti-SMARCC1/BAF155 antibody [EPR25109-77] (AB305037)
  • IHC-P

Supplier Data

Immunohistochemistry (Formalin/PFA-fixed paraffin-embedded sections) - Anti-SMARCC1/BAF155 antibody [EPR25109-77] (AB305037)

Immunohistochemical analysis of paraffin-embedded (A) Wild-type Hela ( tissue labeling SMARCC1/BAF155 with ab305037 at 1/100 (4.75 ug/ml) followed by a ready to use LeicaDS9800 (Bond™ Polymer Refine Detection) was used. Nuclear staining on (A) Wild-type Hela (human cervix adenocarcinoma epithelial cell) cell pellet, and no staining on (B) SMARCC1 knockout Hela (ab264859) cell pellet.The section was incubated with ab305037 for 30 mins at room temperature. The immunostaining was performed on a Leica Biosystems BOND® RX instrument Counterstained with Hematoxylin. Secondary antibody only control : Secondary antibody is a ready to use LeicaDS9800 (Bond™ Polymer Refine Detection). Heat mediated antigen retrieval was performed with Tris-EDTA buffer (pH 9.0, Epitope Retrieval Solution2) for 20 mins

Immunohistochemistry (Formalin/PFA-fixed paraffin-embedded sections) - Anti-SMARCC1/BAF155 antibody [EPR25109-77] (AB305037)
  • IHC-P

Supplier Data

Immunohistochemistry (Formalin/PFA-fixed paraffin-embedded sections) - Anti-SMARCC1/BAF155 antibody [EPR25109-77] (AB305037)

Immunohistochemical analysis of paraffin-embedded Human kidney tissue labeling SMARCC1/BAF155 with ab305037 at 1/100 (4.75 ug/ml) followed by a ready to use LeicaDS9800 (Bond™ Polymer Refine Detection) was used. Nuclear staining on human kidney (PMID : 33532313).The section was incubated with ab305037 for 30 mins at room temperature. The immunostaining was performed on a Leica Biosystems BOND® RX instrument Counterstained with Hematoxylin. Secondary antibody only control : Secondary antibody is a ready to use LeicaDS9800 (Bond™ Polymer Refine Detection). Heat mediated antigen retrieval was performed with Tris-EDTA buffer (pH 9.0, Epitope Retrieval Solution2) for 20 mins

Immunoprecipitation - Anti-SMARCC1/BAF155 antibody [EPR25109-77] (AB305037)
  • IP

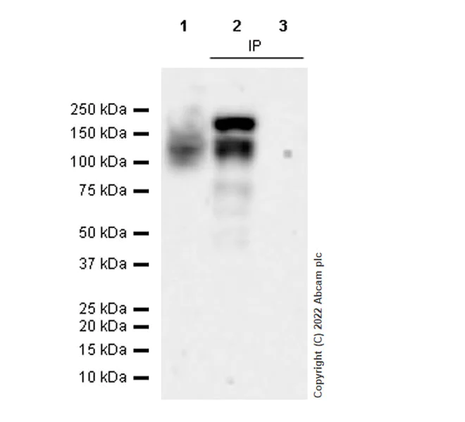
Supplier Data

Immunoprecipitation - Anti-SMARCC1/BAF155 antibody [EPR25109-77] (AB305037)

SMARCC1/BAF155 was immunoprecipitated from 0.35 mg HeLa (human cervix adenocarcinoma epithelial cell), whole cell lysate 10 ug with ab305037 at 1/30 dilution (2ug in 0.35mg lysates). Western blot was performed on the immunoprecipitate using ab305037 at 1/1000 dilution. VeriBlot for IP secondary antibody(HRP)(ab131366) was used at 1/5000 dilution. Lane 1 : HeLa (human cervix adenocarcinoma epithelial cell), whole cell lysate 10 ug Lane 2 : ab305037 IP in HeLa whole cell lysate Lane 3 : Rabbit monoclonal IgG (ab172730) instead of ab305037 in HeLa whole cell lysate Blocking and dilution buffer and concentration : 5% NFDM/TBST. Exposure time : 76 seconds The band beneath the target band (150 kDa) is likely to be degraded target fragments.

All lanes:

Immunoprecipitation - Anti-SMARCC1/BAF155 antibody [EPR25109-77] (ab305037) at 1/1000 dilution

Lane 1:

HeLa (human cervix adenocarcinoma epithelial cell), whole cell lysate 10 ug

Lane 2:

ab305037 IP in HeLa whole cell lysate

Secondary

All lanes:

Immunoprecipitation - VeriBlot for IP Detection Reagent (HRP) (<a href='/en-us/products/reagents/veriblot-for-ip-detection-reagent-hrp-ab131366'>ab131366</a>) at 1/5000 dilution

Predicted band size: 150 kDa

Observed band size: 150 kDa

false

Exposure time: 76s

Immunohistochemistry (Formalin/PFA-fixed paraffin-embedded sections) - Anti-SMARCC1/BAF155 antibody [EPR25109-77] (AB305037)
  • IHC-P

Supplier Data

Immunohistochemistry (Formalin/PFA-fixed paraffin-embedded sections) - Anti-SMARCC1/BAF155 antibody [EPR25109-77] (AB305037)

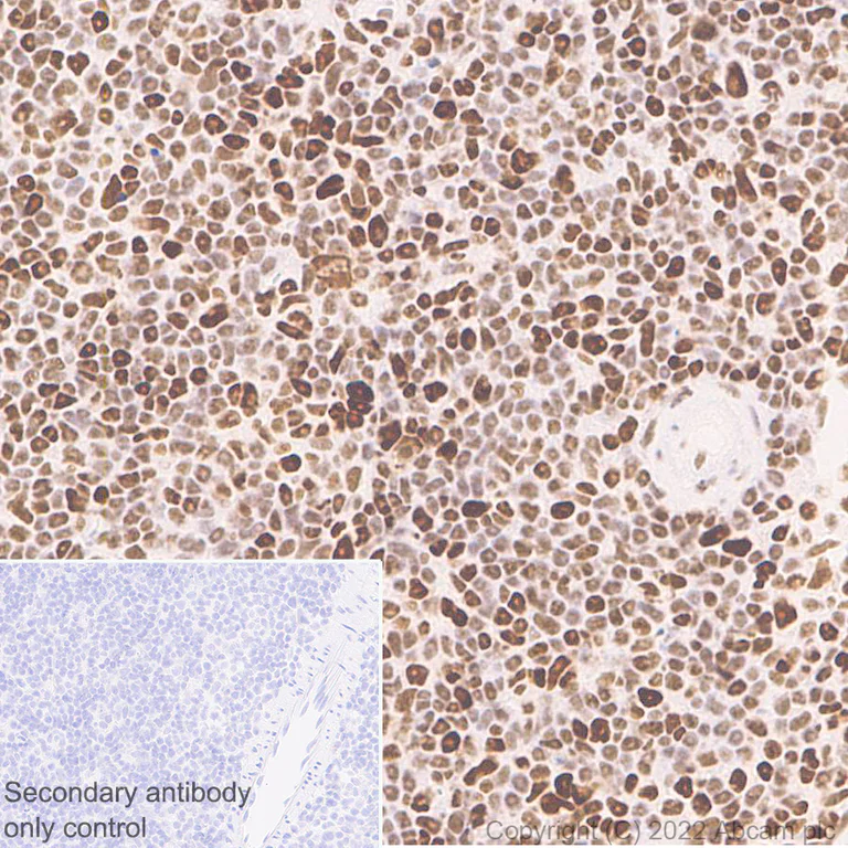
Immunohistochemical analysis of paraffin-embedded Rat spleen tissue labeling SMARCC1/BAF155 with ab305037 at 1/100 (4.75 ug/ml) followed by a ready to use LeicaDS9800 (Bond™ Polymer Refine Detection) was used. Nuclear staining on rat spleen.The section was incubated with ab305037 for 30 mins at room temperature.The immunostaining was performed on a Leica Biosystems BOND® RX instrument Counterstained with Hematoxylin. Secondary antibody only control : Secondary antibody is a ready to use LeicaDS9800 (Bond™ Polymer Refine Detection). Heat mediated antigen retrieval was performed with Tris-EDTA buffer (pH 9.0, Epitope Retrieval Solution2) for 20 mins

Immunocytochemistry/ Immunofluorescence - Anti-SMARCC1/BAF155 antibody [EPR25109-77] (AB305037)
  • ICC/IF

Supplier Data

Immunocytochemistry/ Immunofluorescence - Anti-SMARCC1/BAF155 antibody [EPR25109-77] (AB305037)

Immunofluorescent analysis of 100% methanol-fixed, 0.1% TritonX-100 permeabilized ES-D3 [D3] (mouse blastocyst-derived embryonic stem cell) cells labelling SMARCC1/BAF155 with ab305037 at 1/100 (4.75 ug/ml) dilution, followed by ab150081 Goat Anti-Rabbit IgG H&L (Alexa Fluor® 488) preadsorbed antibody at 1/1000 2 ug/ml dilution (Green). Confocal image showing nuclear staining in ES-D3 [D3] cell line.The image was taken with a confocal microscope (Leica-Microsystems, TCS SP8) is observed. ab195889 Anti-alpha Tubulin mouse monoclonal antibody - Microtubule Marker (Alexa Fluor® 594) was used to counterstain tubulin at 1/200 2.5 ug/ml dilution (Red). The Nuclear counterstain was DAPI (Blue). Secondary antibody only control : Secondary antibody is ab150081 Goat Anti-Rabbit IgG H&L (Alexa Fluor® 488) preadsorbed at 1/1000 2 ug/ml dilution.

Immunohistochemistry (Formalin/PFA-fixed paraffin-embedded sections) - Anti-SMARCC1/BAF155 antibody [EPR25109-77] (AB305037)
  • IHC-P

Supplier Data

Immunohistochemistry (Formalin/PFA-fixed paraffin-embedded sections) - Anti-SMARCC1/BAF155 antibody [EPR25109-77] (AB305037)

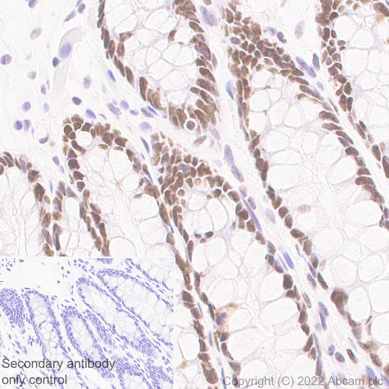
Immunohistochemical analysis of paraffin-embedded Rat colon tissue labeling SMARCC1/BAF155 with ab305037 at 1/100 (4.75 ug/ml) followed by a ready to use LeicaDS9800 (Bond™ Polymer Refine Detection) was used. Nuclear staining on rat colon.The section was incubated with ab305037 for 30 mins at room temperature.The immunostaining was performed on a Leica Biosystems BOND® RX instrument Counterstained with Hematoxylin. Secondary antibody only control : Secondary antibody is a ready to use LeicaDS9800 (Bond™ Polymer Refine Detection). Heat mediated antigen retrieval was performed with Tris-EDTA buffer (pH 9.0, Epitope Retrieval Solution2) for 20 mins

Immunohistochemistry (Formalin/PFA-fixed paraffin-embedded sections) - Anti-SMARCC1/BAF155 antibody [EPR25109-77] (AB305037)
  • IHC-P

Supplier Data

Immunohistochemistry (Formalin/PFA-fixed paraffin-embedded sections) - Anti-SMARCC1/BAF155 antibody [EPR25109-77] (AB305037)

Immunohistochemical analysis of paraffin-embedded Mouse colon tissue labeling SMARCC1/BAF155 with ab305037 at 1/100 (4.75 ug/ml) followed by a ready to use LeicaDS9800 (Bond™ Polymer Refine Detection) was used. Nuclear staining on mouse colon.The section was incubated with ab305037 for 30 mins at room temperature.The immunostaining was performed on a Leica Biosystems BOND® RX instrument Counterstained with Hematoxylin. Secondary antibody only control : Secondary antibody is a ready to use LeicaDS9800 (Bond™ Polymer Refine Detection). Heat mediated antigen retrieval was performed with Tris-EDTA buffer (pH 9.0, Epitope Retrieval Solution2) for 20 mins

Immunohistochemistry (Formalin/PFA-fixed paraffin-embedded sections) - Anti-SMARCC1/BAF155 antibody [EPR25109-77] (AB305037)
  • IHC-P

Supplier Data

Immunohistochemistry (Formalin/PFA-fixed paraffin-embedded sections) - Anti-SMARCC1/BAF155 antibody [EPR25109-77] (AB305037)

Immunohistochemical analysis of paraffin-embedded Mouse spleen tissue labeling SMARCC1/BAF155 with ab305037 at 1/100 (4.75 ug/ml) followed by a ready to use LeicaDS9800 (Bond™ Polymer Refine Detection) was used. Nuclear staining on mouse spleen.The section was incubated with ab305037 for 30 mins at room temperature.The immunostaining was performed on a Leica Biosystems BOND® RX instrument Counterstained with Hematoxylin. Secondary antibody only control : Secondary antibody is a ready to use LeicaDS9800 (Bond™ Polymer Refine Detection). Heat mediated antigen retrieval was performed with Tris-EDTA buffer (pH 9.0, Epitope Retrieval Solution2) for 20 mins

Immunoprecipitation - Anti-SMARCC1/BAF155 antibody [EPR25109-77] (AB305037)
  • IP

Supplier Data

Immunoprecipitation - Anti-SMARCC1/BAF155 antibody [EPR25109-77] (AB305037)

SMARCC1/BAF155 was immunoprecipitated from 0.35 mg ES-D3 (mouse embryonic pluripotent stem Cell), whole cell lysate 10 ug with ab305037 at 1/30 dilution (2ug in 0.35mg lysates). Western blot was performed on the immunoprecipitate using ab305037 at 1/1000 dilution. VeriBlot for IP secondary antibody(HRP)(ab131366) was used at 1/5000 dilution. Lane 1 : ES-D3 (mouse embryonic pluripotent stem Cell), whole cell lysate 10 ug Lane 2 : ab305037 IP in ES-D3 whole cell lysate Lane 3 : Rabbit monoclonal IgG (ab172730) instead of ab305037 in ES-D3 whole cell lysate Blocking and dilution buffer and concentration : 5% NFDM/TBST. Exposure time : 15 seconds The band beneath the target band (150 kDa) is likely to be degraded target fragments.

All lanes:

Immunoprecipitation - Anti-SMARCC1/BAF155 antibody [EPR25109-77] (ab305037) at 1/1000 dilution

Lane 1:

ES-D3 (mouse embryonic pluripotent stem Cell), whole cell lysate 10 ug

Lane 2:

ab305037 IP in ES-D3 whole cell lysate

Secondary

All lanes:

Immunoprecipitation - VeriBlot for IP Detection Reagent (HRP) (<a href='/en-us/products/reagents/veriblot-for-ip-detection-reagent-hrp-ab131366'>ab131366</a>) at 1/5000 dilution

Predicted band size: 150 kDa

Observed band size: 150 kDa

false

Exposure time: 15s

Western blot - Anti-SMARCC1/BAF155 antibody [EPR25109-77] (AB305037)
  • WB

Supplier Data

Western blot - Anti-SMARCC1/BAF155 antibody [EPR25109-77] (AB305037)

Blocking and diluting buffer and concentration : 5% NFDM/TBST In Western blot, ab305037 was shown to bind specifically to SMARCC1/BAF155. A band was observed at 150 kDa in wild-type HeLa cell lysate whereas no signal observed at this size in SMARCC1/BAF155 knockout cell line. The band beneath the target band (150 kDa) is likely to be degraded target fragments. ES-D3 cell Lysate was freshly made and used immediately to minimize protein degradation. Exposure time : Lanes 1-2 : 26 seconds Lane 3 : 6 seconds

All lanes:

Western blot - Anti-SMARCC1/BAF155 antibody [EPR25109-77] (ab305037) at 1/1000 dilution

Lane 1:

Wild-type HeLa (human cervix adenocarcinoma epithelial cell), whole cell lysate at 20 µg

Lane 2:

SWI/SNF complex subunit SMARCC1 knockout HeLa, whole cell lysate at 20 µg

Lane 3:

ES-D3 (mouse embryonic pluripotent stem Cell), whole cell lysate at 20 µg

Secondary

All lanes:

Western blot - Goat Anti-Rabbit IgG H&L (HRP) (<a href='/en-us/products/secondary-antibodies/goat-rabbit-igg-h-l-hrp-ab97051'>ab97051</a>) at 1/100000 dilution

Predicted band size: 123 kDa

Observed band size: 150 kDa

false

Western blot - Anti-SMARCC1/BAF155 antibody [EPR25109-77] (AB305037)
  • WB

Supplier Data

Western blot - Anti-SMARCC1/BAF155 antibody [EPR25109-77] (AB305037)

Blocking and diluting buffer and concentration : 5% NFDM/TBST Lysates were freshly made and used immediately to minimize protein degradation. Samples are non-boiled as boiling may cause protein aggregation. The band beneath the target band (150 kDa) is likely to be degraded target fragments. Exposure time : 26 seconds

All lanes:

Western blot - Anti-SMARCC1/BAF155 antibody [EPR25109-77] (ab305037) at 1/1000 dilution

Lane 1:

HeLa (human cervix adenocarcinoma epithelial cell), whole cell lysate at 20 µg

Lane 2:

293T (human embryonic kidney epithelial cell), whole cell lysate at 20 µg

Lane 3:

NIH/3T3 (mouse embryonic fibroblast), whole cell lysate at 20 µg

Lane 4:

PC-12 (rat adrenal gland pheochromocytoma), whole cell lysate at 20 µg

Secondary

All lanes:

Western blot - Goat Anti-Rabbit IgG H&L (HRP) (<a href='/en-us/products/secondary-antibodies/goat-rabbit-igg-h-l-hrp-ab97051'>ab97051</a>) at 1/100000 dilution

Predicted band size: 123 kDa

Observed band size: 150 kDa

false

Exposure time: 26s

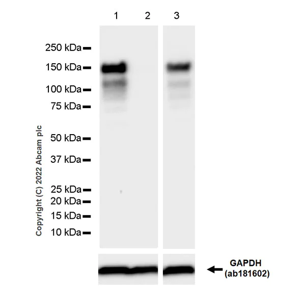
Western blot - Anti-SMARCC1/BAF155 antibody [EPR25109-77] (AB305037)
  • WB

Supplier Data

Western blot - Anti-SMARCC1/BAF155 antibody [EPR25109-77] (AB305037)

Blocking and diluting buffer and concentration : 5% NFDM/TBST Lysates were freshly made and used immediately to minimize protein degradation. The band beneath the target band (150 kDa) is likely to be degraded target fragments. Exposure time : 26 seconds

All lanes:

Western blot - Anti-SMARCC1/BAF155 antibody [EPR25109-77] (ab305037) at 1/1000 dilution

All lanes:

Mouse spleen tissue lysate at 20 µg

Secondary

All lanes:

Western blot - Goat Anti-Rabbit IgG H&L (HRP) (<a href='/en-us/products/secondary-antibodies/goat-rabbit-igg-h-l-hrp-ab97051'>ab97051</a>) at 1/100000 dilution

Predicted band size: 123 kDa

Observed band size: 150 kDa

false

Exposure time: 26s

Western blot - Anti-SMARCC1/BAF155 antibody [EPR25109-77] (AB305037)
  • WB

Supplier Data

Western blot - Anti-SMARCC1/BAF155 antibody [EPR25109-77] (AB305037)

Blocking and diluting buffer and concentration : 5% NFDM/TBST This antibody does not cross-react with mouse SMARCC2/BAF170. Exposure time : 37 seconds

All lanes:

Western blot - Anti-SMARCC1/BAF155 antibody [EPR25109-77] (ab305037) at 1/1000 dilution

Lane 1:

His-tagged mouse SMARCC1/BAF155 recombinant protein at 10 ng

Lane 2:

His-tagged mouse SMARCC2/BAF170 recombinant protein at 15 ng

Secondary

All lanes:

Western blot - Goat Anti-Rabbit IgG H&L (HRP) (<a href='/en-us/products/secondary-antibodies/goat-rabbit-igg-h-l-hrp-ab97051'>ab97051</a>) at 1/100000 dilution

Predicted band size: 123 kDa

Observed band size: 50 kDa

false

Exposure time: 37s

  • Carrier free

    Anti-SMARCC1/BAF155 antibody [EPR25109-77] - BSA and Azide free

Key facts

Host species

Rabbit

Clonality

Monoclonal

Clone number

EPR25109-77

Isotype

IgG

Carrier free

No

Reacts with

Human, Mouse, Rat

Applications

IP, IHC-P, WB, ICC/IF

applications

Immunogen

The exact immunogen used to generate this antibody is proprietary information.

Reactivity data

{ "title": "Reactivity Data", "filters": { "stats": ["", "Species", "Dilution Info", "Notes"], "tabs": { "all-applications": {"fullname" : "All Applications", "shortname": "All Applications"}, "WB" : {"fullname" : "Western blot", "shortname":"WB"}, "IHCP" : {"fullname" : "Immunohistochemistry (Formalin/PFA-fixed paraffin-embedded sections)", "shortname":"IHC-P"}, "ICCIF" : {"fullname" : "Immunocytochemistry/ Immunofluorescence", "shortname":"ICC/IF"}, "FlowCytIntra" : {"fullname" : "Flow Cytometry (Intracellular)", "shortname":"Flow Cyt (Intra)"}, "IP" : {"fullname" : "Immunoprecipitation", "shortname":"IP"}, "ChIP" : {"fullname" : "ChIP", "shortname":"ChIP"} }, "product-promise": { "all": "all", "testedAndGuaranteed": "tested", "guaranteed": "expected", "predicted": "predicted", "notRecommended": "not-recommended" } }, "values": { "Human": { "WB-species-checked": "testedAndGuaranteed", "WB-species-dilution-info": "1/1000", "WB-species-notes": "<p></p>", "IHCP-species-checked": "testedAndGuaranteed", "IHCP-species-dilution-info": "1/100", "IHCP-species-notes": "<p></p>", "ICCIF-species-checked": "testedAndGuaranteed", "ICCIF-species-dilution-info": "1/100", "ICCIF-species-notes": "<p></p>", "FlowCytIntra-species-checked": "notRecommended", "FlowCytIntra-species-dilution-info": "", "FlowCytIntra-species-notes": "<p></p>", "IP-species-checked": "testedAndGuaranteed", "IP-species-dilution-info": "1/30", "IP-species-notes": "<p></p>", "ChIP-species-checked": "notRecommended", "ChIP-species-dilution-info": "", "ChIP-species-notes": "" }, "Mouse": { "WB-species-checked": "testedAndGuaranteed", "WB-species-dilution-info": "1/1000", "WB-species-notes": "<p></p>", "IHCP-species-checked": "testedAndGuaranteed", "IHCP-species-dilution-info": "1/100", "IHCP-species-notes": "<p></p>", "ICCIF-species-checked": "testedAndGuaranteed", "ICCIF-species-dilution-info": "1/100", "ICCIF-species-notes": "<p></p>", "FlowCytIntra-species-checked": "notRecommended", "FlowCytIntra-species-dilution-info": "", "FlowCytIntra-species-notes": "<p></p>", "IP-species-checked": "testedAndGuaranteed", "IP-species-dilution-info": "1/30", "IP-species-notes": "<p></p>", "ChIP-species-checked": "notRecommended", "ChIP-species-dilution-info": "", "ChIP-species-notes": "<p></p>" }, "Rat": { "WB-species-checked": "testedAndGuaranteed", "WB-species-dilution-info": "1/1000", "WB-species-notes": "<p></p>", "IHCP-species-checked": "testedAndGuaranteed", "IHCP-species-dilution-info": "1/100", "IHCP-species-notes": "<p></p>", "ICCIF-species-checked": "guaranteed", "ICCIF-species-dilution-info": "", "ICCIF-species-notes": "", "FlowCytIntra-species-checked": "notRecommended", "FlowCytIntra-species-dilution-info": "", "FlowCytIntra-species-notes": "", "IP-species-checked": "guaranteed", "IP-species-dilution-info": "", "IP-species-notes": "", "ChIP-species-checked": "notRecommended", "ChIP-species-dilution-info": "", "ChIP-species-notes": "" } } }

Product details

Patented technology
Our RabMAb® technology is a patented hybridoma-based technology for making rabbit monoclonal antibodies. For details on our patents, please refer to RabMAb® patents.

What are the advantages of a recombinant monoclonal antibody?
This product is a recombinant monoclonal antibody, which offers several advantages including:

  • - High batch-to-batch consistency and reproducibility
  • - Improved sensitivity and specificity
  • - Long-term security of supply
  • - Animal-free batch production

For more information, read more on recombinant antibodies.

Properties and storage information

Form
Liquid
Purification technique
Affinity purification Protein A
Storage buffer
pH: 7.2 - 7.4 Preservative: 0.01% Sodium azide Constituents: PBS, 40% Glycerol (glycerin, glycerine), 0.05% BSA
Shipped at conditions
Blue Ice
Appropriate short-term storage duration
1-2 weeks
Appropriate short-term storage conditions
+4°C
Appropriate long-term storage conditions
-20°C
Aliquoting information
Upon delivery aliquot
Storage information
Avoid freeze / thaw cycle

Supplementary information

This supplementary information is collated from multiple sources and compiled automatically.

SMARCC1 also known as BAF155 is a component of the SWI/SNF chromatin remodeling complex with a molecular weight of approximately 155 kDa. It plays a role in modifying the structure of chromatin which affects the accessibility of DNA to transcription factors and other proteins. SMARCC1 expresses widely in various tissues particularly where regulation of gene transcription is essential. This protein acts as a scaffold facilitating the assembly of the SWI/SNF complex which is vital for the regulation of transcriptional processes.
Biological function summary

SMARCC1 participates in remodeling chromatin architecture to facilitate or repress gene transcription. It forms an integral part of the SWI/SNF complex which is critical for maintaining proper chromatin structure and function. This complex influences gene expression during developmental processes cell cycle regulation and DNA repair. SMARCC1 interacts with other core components of the SWI/SNF complex such as BAF47 and BRG1 ensuring correct and responsive chromatin modification.

Pathways

SMARCC1 participates in the ATP-dependent chromatin remodeling pathway an important player in gene expression control. This remodeling is connected to the cell cycle pathway as it regulates genes required for cell proliferation. Within these pathways SMARCC1 closely interacts with transcription factors such as c-Myc and other chromatin regulators coordinating the expression of target genes necessary for cell growth and differentiation.

SMARCC1 is linked to cancer and neurodevelopmental disorders. Alterations in SMARCC1 function or expression can lead to dysregulated gene expression contributing to tumorigenesis by affecting pathways involved in cell growth and apoptosis. For instance its association with BRG1 influences pathways implicated in various cancers including solid tumors. Additionally SMARCC1 dysfunction connects to certain neurodevelopmental disorders through the modification of genes critical for brain development and function.

Product protocols

For this product, it's our understanding that no specific protocols are required. You can visit:

Target data

Involved in transcriptional activation and repression of select genes by chromatin remodeling (alteration of DNA-nucleosome topology). Component of SWI/SNF chromatin remodeling complexes that carry out key enzymatic activities, changing chromatin structure by altering DNA-histone contacts within a nucleosome in an ATP-dependent manner. May stimulate the ATPase activity of the catalytic subunit of the complex (PubMed : 10078207, PubMed : 29374058). Belongs to the neural progenitors-specific chromatin remodeling complex (npBAF complex) and the neuron-specific chromatin remodeling complex (nBAF complex). During neural development a switch from a stem/progenitor to a postmitotic chromatin remodeling mechanism occurs as neurons exit the cell cycle and become committed to their adult state. The transition from proliferating neural stem/progenitor cells to postmitotic neurons requires a switch in subunit composition of the npBAF and nBAF complexes. As neural progenitors exit mitosis and differentiate into neurons, npBAF complexes which contain ACTL6A/BAF53A and PHF10/BAF45A, are exchanged for homologous alternative ACTL6B/BAF53B and DPF1/BAF45B or DPF3/BAF45C subunits in neuron-specific complexes (nBAF). The npBAF complex is essential for the self-renewal/proliferative capacity of the multipotent neural stem cells. The nBAF complex along with CREST plays a role regulating the activity of genes essential for dendrite growth (By similarity).
See full target information SMARCC1

Publications (3)

Recent publications for all applications. Explore the full list and refine your search

Nature communications 15:6200 PubMed39043686

2024

Engineering mouse cell fate controller by rational design.

Applications

Unspecified application

Species

Unspecified reactive species

Tao Huang,Dong Liu,Xiaomin Wang,Junqi Kuang,Manqi Wu,Beibei Wang,Zechuan Liang,Yixin Fan,Bo Chen,Zhaoyi Ma,Yu Fu,Wenhui Zhang,Jin Ming,Yue Qin,Chengchen Zhao,Bo Wang,Duanqing Pei

Physiological reports 12:e16057 PubMed38825580

2024

Molecular distinctions of bronchoalveolar and alveolar organoids under differentiation conditions.

Applications

Unspecified application

Species

Unspecified reactive species

Yan Yu,Zexin Chen,Bin Zheng,Min Huang,Junlang Li,Gang Li

Clinical and translational medicine 13:e1235 PubMed37186134

2023

Therapeutic targeting of CNBP phase separation inhibits ribosome biogenesis and neuroblastoma progression via modulating SWI/SNF complex activity.

Applications

Unspecified application

Species

Unspecified reactive species

Anpei Hu,Guo Chen,Banghe Bao,Yanhua Guo,Dan Li,Xiaojing Wang,Jianqun Wang,Qilan Li,Yi Zhou,Haiyang Gao,Jiyu Song,Xinyi Du,Liduan Zheng,Qiangsong Tong
View all publications

Product promise

We are committed to supporting your work with high-quality reagents, and we're here for you every step of the way. In the unlikely event that one of our products does not perform as expected, you're protected by our Product Promise.
For full details, please see our Terms & Conditions

Please note: All products are 'FOR RESEARCH USE ONLY. NOT FOR USE IN DIAGNOSTIC OR THERAPEUTIC PROCEDURES'.

For licensing inquiries, please contact partnerships@abcam.com