JavaScript is disabled in your browser. Please enable JavaScript to view this website.
AB269463

Anti-SMARCD1 antibody [EPR23170-71] - BSA and Azide free

  • Advanced Validation
  • RabMAb
  • Recombinant
  • KO Validated
  • What is this?

Be the first to review this product! Submit a review

|

(0 Publication)

Rabbit Recombinant Monoclonal SMARCD1 antibody. Carrier free. Suitable for IP, WB, ICC/IF, Flow Cyt (Intra), ChIC/CUT&RUN-seq and reacts with Mouse, Human samples.

View Alternative Names

BAF60A, SMARCD1, SWI/SNF-related matrix-associated actin-dependent regulator of chromatin subfamily D member 1, 60 kDa BRG-1/Brm-associated factor subunit A, BRG1-associated factor 60A, SWI/SNF complex 60 kDa subunit

10 Images
Immunocytochemistry/ Immunofluorescence - Anti-SMARCD1 antibody [EPR23170-71] - BSA and Azide free (AB269463)
  • ICC/IF

Unknown

Immunocytochemistry/ Immunofluorescence - Anti-SMARCD1 antibody [EPR23170-71] - BSA and Azide free (AB269463)

Immunofluorescent analysis of 4% Paraformaldehyde-fixed, 0.1% TritonX-100 permeabilized HeLa (human cervix adenocarcinoma epithelial cell) cells labelling SMARCD1 with ab245222 at 1/50 dilution, followed by ab150077 AlexaFluor®488 Goat anti-Rabbit secondary antibody at 1/1000 dilution (Green). Confocal image showing nuclear staining in HeLa cells. ab195889 Anti-alpha Tubulin antibody [DM1A] - Microtubule Marker (Alexa Fluor® 594) was used to counterstain tubulin at 1/200 dilution (Red). The Nuclear counterstain was DAPI (Blue).

Secondary antibody only control : Secondary antibody is ab150077 AlexaFluor®488 Goat anti-Rabbit secondary at 1/1000 dilution.

This data was developed using the same antibody clone in a different buffer formulation containing PBS, BSA, glycerol, and sodium azide (ab245222).

Flow Cytometry (Intracellular) - Anti-SMARCD1 antibody [EPR23170-71] - BSA and Azide free (AB269463)
  • Flow Cyt (Intra)

Unknown

Flow Cytometry (Intracellular) - Anti-SMARCD1 antibody [EPR23170-71] - BSA and Azide free (AB269463)

Intracellular flow cytometric analysis of 4% paraformaldehyde fixed, 90% methanol permeabilized HeLa (Human cervix adenocarcinoma epithelial cell) cells labelling SMARCD1 with ab245222 at 1/500 dilution (Red) compared with a Rabbit monoclonal IgG (ab172730) (Black) isotype control and an unlabelled control (cells without incubation with primary antibody and secondary antibody) (Blue). A Goat anti rabbit IgG (Alexa Fluor®488, ab150077) at 1/2000 dilution was used as the secondary antibody.

This data was developed using the same antibody clone in a different buffer formulation containing PBS, BSA, glycerol, and sodium azide (ab245222).

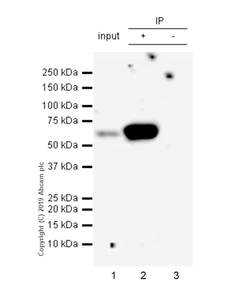
Immunoprecipitation - Anti-SMARCD1 antibody [EPR23170-71] - BSA and Azide free (AB269463)
  • IP

Supplier Data

Immunoprecipitation - Anti-SMARCD1 antibody [EPR23170-71] - BSA and Azide free (AB269463)

SMARCD1 was immunoprecipitated from 0.35 mg of HeLa (Human cervix adenocarcinoma epithelial cell) whole cell lysate whole cell lysate with ab245222 at 1/30 dilution. Western blot was performed from the immunoprecipitate using ab245222 at 1/1000 dilution. VeriBlot for IP Detection Reagent (HRP) (ab131366), was used as secondary antibody at 1/5000 dilution.

Lane 1 : HeLa whole cell lysate 10 (Input).
Lane 2 : ab245222 IP in HeLa whole cell lysate.
Lane 3 : Rabbit monoclonal IgG (ab172730) instead of ab245222 in HeLa whole cell lysate.

Blocking and dilution buffer and concentration : 5% NFDM/TBST.
Exposure time : 3 minutes.

This data was developed using the same antibody clone in a different buffer formulation containing PBS, BSA, glycerol, and sodium azide (ab245222).

All lanes:

Immunoprecipitation - Anti-SMARCD1 antibody [EPR23170-71] (<a href='/en-us/products/primary-antibodies/smarcd1-antibody-epr23170-71-ab245222'>ab245222</a>)

Predicted band size: 58 kDa

Observed band size: 58 kDa

false

Flow Cytometry (Intracellular) - Anti-SMARCD1 antibody [EPR23170-71] - BSA and Azide free (AB269463)
  • Flow Cyt (Intra)

Unknown

Flow Cytometry (Intracellular) - Anti-SMARCD1 antibody [EPR23170-71] - BSA and Azide free (AB269463)

Intracellular flow cytometric analysis of 4% paraformaldehyde fixed, 90% methanol permeabilized NIH/3T3 (Mouse embryonic fibroblast) cells labelling SMARCD1 with ab245222 at 1/500 dilution (Red) compared with a Rabbit monoclonal IgG (ab172730) (Black) isotype control and an unlabelled control (cells without incubation with primary antibody and secondary antibody) (Blue). A Goat anti rabbit IgG (Alexa Fluor®488, ab150077) at 1/2000 dilution was used as the secondary antibody.

This data was developed using the same antibody clone in a different buffer formulation containing PBS, BSA, glycerol, and sodium azide (ab245222).

Immunocytochemistry/ Immunofluorescence - Anti-SMARCD1 antibody [EPR23170-71] - BSA and Azide free (AB269463)
  • ICC/IF

Unknown

Immunocytochemistry/ Immunofluorescence - Anti-SMARCD1 antibody [EPR23170-71] - BSA and Azide free (AB269463)

Immunofluorescent analysis of 4% Paraformaldehyde-fixed, 0.1% TritonX-100 permeabilized Neuro-2a (mouse neuroblastoma neuroblast) cells labelling SMARCD1 with ab245222 at 1/50 dilution, followed by ab150077 AlexaFluor®488 Goat anti-Rabbit secondary antibody at 1/1000 dilution (Green). Confocal image showing nuclear staining in Neuro-2a cells. ab195889 Anti-alpha Tubulin antibody [DM1A] - Microtubule Marker (Alexa Fluor® 594) was used to counterstain tubulin at 1/200 dilution (Red). The Nuclear counterstain was DAPI (Blue).

Secondary antibody only control : Secondary antibody is ab150077 AlexaFluor®488 Goat anti-Rabbit secondary at 1/1000 dilution.

This data was developed using the same antibody clone in a different buffer formulation containing PBS, BSA, glycerol, and sodium azide (ab245222).

Immunoprecipitation - Anti-SMARCD1 antibody [EPR23170-71] - BSA and Azide free (AB269463)
  • IP

Supplier Data

Immunoprecipitation - Anti-SMARCD1 antibody [EPR23170-71] - BSA and Azide free (AB269463)

SMARCD1 was immunoprecipitated from 0.35 mg of NIH/3T3 (Mouse embryonic fibroblast) whole cell lysate with ab245222 at 1/30 dilution. Western blot was performed from the immunoprecipitate using ab245222 at 1/1000 dilution. VeriBlot for IP Detection Reagent (HRP) (ab131366), was used as secondary antibody at 1/5000 dilution.

Lane 1 : NIH/3T3 whole cell lysate 10 (Input).
Lane 2 : ab245222 IP in NIH/3T3 whole cell lysate.
Lane 3 : Rabbit monoclonal IgG (ab172730) instead of ab245222 in NIH/3T3 whole cell lysate.

Blocking and dilution buffer and concentration : 5% NFDM/TBST.
Exposure time : 3 minutes.

This data was developed using the same antibody clone in a different buffer formulation containing PBS, BSA, glycerol, and sodium azide (ab245222).

All lanes:

Immunoprecipitation - Anti-SMARCD1 antibody [EPR23170-71] (<a href='/en-us/products/primary-antibodies/smarcd1-antibody-epr23170-71-ab245222'>ab245222</a>)

Predicted band size: 58 kDa

Observed band size: 58 kDa

false

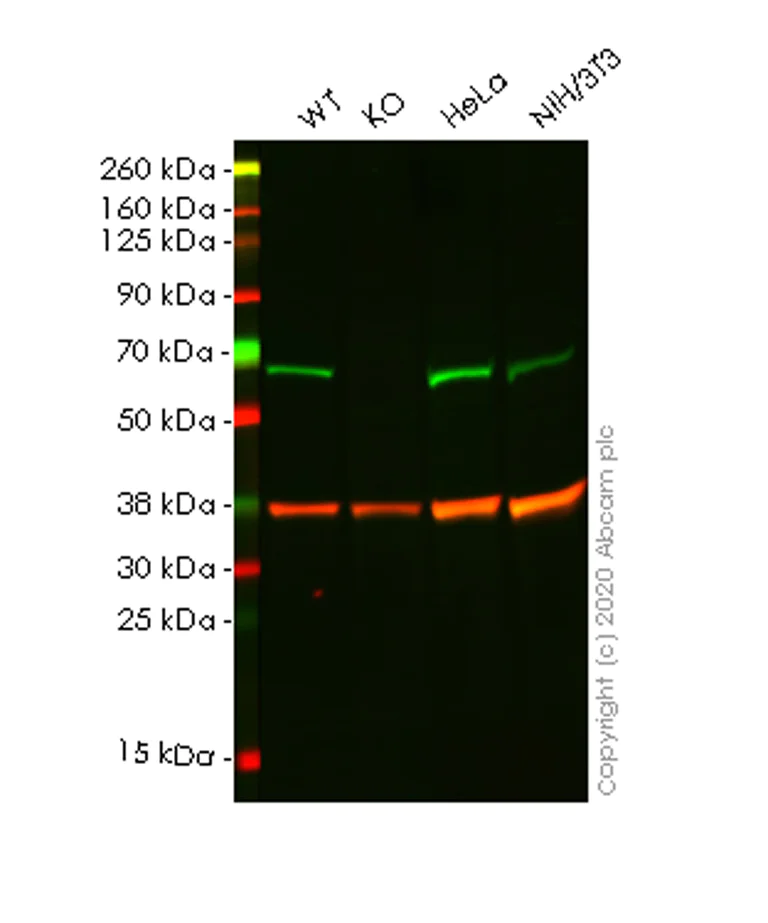
Western blot - Anti-SMARCD1 antibody [EPR23170-71] - BSA and Azide free (AB269463)
  • WB

Lab

Western blot - Anti-SMARCD1 antibody [EPR23170-71] - BSA and Azide free (AB269463)

This data was developed using ab245222, the same antibody clone in a different buffer formulation.

Lanes 1-4 : Merged signal (red and green). Green - ab245222 observed at 58 kDa. Red - loading control ab8245 observed at 36 kDa.

ab245222 Anti-SMARCD1 antibody [EPR23170-71] was shown to specifically react with SMARCD1 in wild-type HEK-293T cells. Loss of signal was observed when knockout cell line ab266458 (knockout cell lysate ab259143) was used. Wild-type and SMARCD1 knockout samples were subjected to SDS-PAGE. ab245222 and Anti-GAPDH antibody [6C5] - Loading Control (ab8245) were incubated overnight at 4°C at 1 in 1000 dilution and 1 in 20000 dilution respectively. Blots were developed with Goat anti-Rabbit IgG H&L (IRDye® 800CW) preadsorbed (ab216773) and Goat anti-Mouse IgG H&L (IRDye® 680RD) preadsorbed (ab216776) secondary antibodies at 1 in 20000 dilution for 1 hour at room temperature before imaging.

All lanes:

Western blot - Anti-SMARCD1 antibody [EPR23170-71] (<a href='/en-us/products/primary-antibodies/smarcd1-antibody-epr23170-71-ab245222'>ab245222</a>) at 1/1000 dilution

Lane 1:

Wild-type HEK-293T (Human epithelial cell line from embryonic kidney transformed with large T antigen) whole cell lysate at 20 µg

Lane 2:

SMARCD1 knockout HEK-293T (Human epithelial cell line from embryonic kidney transformed with large T antigen) whole cell lysate at 20 µg

Lane 2:

Western blot - Human SMARCD1 knockout HEK-293T cell line (<a href='/en-us/products/cell-lines/human-smarcd1-knockout-hek-293t-cell-line-ab266458'>ab266458</a>)

Lane 3:

HeLa (Human epithelial cell line from cervix adenocarcinoma) whole cell lysate at 20 µg

Lane 4:

NIH/3T3 (Mouse embryonic fibroblast cell line) whole cell lysate at 20 µg

Secondary

All lanes:

Western blot - Goat anti-Rabbit IgG H&L (IRDye® 800CW) preadsorbed (<a href='/en-us/products/secondary-antibodies/goat-rabbit-igg-h-l-irdye-800cw-preadsorbed-ab216773'>ab216773</a>) at 1/10000 dilution

Predicted band size: 58 kDa

Observed band size: 58 kDa

false

ChIC/CUT&RUN sequencing - Anti-SMARCD1 antibody [EPR23170-71] - BSA and Azide free (AB269463)
  • ChIC/CUT&RUN-seq

Lab

ChIC/CUT&RUN sequencing - Anti-SMARCD1 antibody [EPR23170-71] - BSA and Azide free (AB269463)

This data was developed using the same antibody clone in a different buffer formulation containing PBS, BSA, glycerol, and sodium azide (,ab245222).

ChIC/CUT&RUN was performed using a pAG-MNase at a final concentration of 700 ng/mL, 2.5 x 10^5 HeLa (human cervical adenocarcinoma epithelial cell) cells and 5 µg of ab245222 [EPR23170]. The resulting DNA was sequenced on the Illumina NovaSeq 6000 to a depth of 10 million reads. The negative IgG control ab172730 is also shown.
The University of Geneva owns patents relevant to ChIC (Chromatin Immuno-Cleavage) methods.

ChIC/CUT&RUN sequencing - Anti-SMARCD1 antibody [EPR23170-71] - BSA and Azide free (AB269463)
  • ChIC/CUT&RUN-seq

Lab

ChIC/CUT&RUN sequencing - Anti-SMARCD1 antibody [EPR23170-71] - BSA and Azide free (AB269463)

This data was developed using the same antibody clone in a different buffer formulation containing PBS, BSA, glycerol, and sodium azide (,ab245222).

ChIC/CUT&RUN was performed using a pAG-MNase at a final concentration of 700 ng/mL, 2.5 x 10^5 HeLa (human cervical adenocarcinoma epithelial cell) cells and 5 µg of ab245222 [EPR23170]. The resulting DNA was sequenced on the Illumina NovaSeq 6000 to a depth of 10 million reads. The negative IgG control ab172730 is also shown.
The University of Geneva owns patents relevant to ChIC (Chromatin Immuno-Cleavage) methods.

ChIC/CUT&RUN sequencing - Anti-SMARCD1 antibody [EPR23170-71] - BSA and Azide free (AB269463)
  • ChIC/CUT&RUN-seq

Lab

ChIC/CUT&RUN sequencing - Anti-SMARCD1 antibody [EPR23170-71] - BSA and Azide free (AB269463)

This data was developed using the same antibody clone in a different buffer formulation containing PBS, BSA, glycerol, and sodium azide (,ab245222).

ChIC/CUT&RUN was performed using a pAG-MNase at a final concentration of 700 ng/mL, 2.5 x 10^5 HeLa (human cervical adenocarcinoma epithelial cell) cells and 5 µg of ab245222 [EPR23170]. The resulting DNA was sequenced on the Illumina NovaSeq 6000 to a depth of 10 million reads. The negative IgG control ab172730 is also shown.
The University of Geneva owns patents relevant to ChIC (Chromatin Immuno-Cleavage) methods.

  • Unconjugated

    Anti-SMARCD1 antibody [EPR23170-71]

  • 519 Alexa Fluor® 488

    Alexa Fluor® 488 Anti-SMARCD1 antibody [EPR23170-71]

  • 578 PE

    PE Anti-SMARCD1 antibody [EPR23170-71]

  • 665 Alexa Fluor® 647

    Alexa Fluor® 647 Anti-SMARCD1 antibody [EPR23170-71]

  • 565 Alexa Fluor® 555

    Alexa Fluor® 555 Anti-SMARCD1 antibody [EPR23170-71]

  • 617 Alexa Fluor® 594

    Alexa Fluor® 594 Anti-SMARCD1 antibody [EPR23170-71]

  • 660 APC

    APC Anti-SMARCD1 antibody [EPR23170-71]

Key facts

Host species

Rabbit

Clonality

Monoclonal

Clone number

EPR23170-71

Isotype

IgG

Carrier free

Yes

Reacts with

Mouse, Human

Applications

IP, WB, Flow Cyt (Intra), ChIC/CUT&RUN-seq, ICC/IF

applications

Immunogen

The exact immunogen used to generate this antibody is proprietary information.

Reactivity data

{ "title": "Reactivity Data", "filters": { "stats": ["", "Species", "Dilution Info", "Notes"], "tabs": { "all-applications": {"fullname" : "All Applications", "shortname": "All Applications"}, "IP" : {"fullname" : "Immunoprecipitation", "shortname":"IP"}, "WB" : {"fullname" : "Western blot", "shortname":"WB"}, "IHCP" : {"fullname" : "Immunohistochemistry (Formalin/PFA-fixed paraffin-embedded sections)", "shortname":"IHC-P"}, "ICCIF" : {"fullname" : "Immunocytochemistry/ Immunofluorescence", "shortname":"ICC/IF"}, "FlowCytIntra" : {"fullname" : "Flow Cytometry (Intracellular)", "shortname":"Flow Cyt (Intra)"}, "ChICCUTRUNseq" : {"fullname" : "ChIC/CUT&RUN sequencing", "shortname":"ChIC/CUT&RUN-seq"} }, "product-promise": { "all": "all", "testedAndGuaranteed": "tested", "guaranteed": "expected", "predicted": "predicted", "notRecommended": "not-recommended" } }, "values": { "Human": { "IP-species-checked": "testedAndGuaranteed", "IP-species-dilution-info": "", "IP-species-notes": "<p></p>", "WB-species-checked": "testedAndGuaranteed", "WB-species-dilution-info": "", "WB-species-notes": "<p></p>", "IHCP-species-checked": "notRecommended", "IHCP-species-dilution-info": "", "IHCP-species-notes": "<p></p>", "ICCIF-species-checked": "testedAndGuaranteed", "ICCIF-species-dilution-info": "", "ICCIF-species-notes": "<p></p>", "FlowCytIntra-species-checked": "testedAndGuaranteed", "FlowCytIntra-species-dilution-info": "", "FlowCytIntra-species-notes": "<p></p>", "ChICCUTRUNseq-species-checked": "testedAndGuaranteed", "ChICCUTRUNseq-species-dilution-info": "", "ChICCUTRUNseq-species-notes": "<p></p>" }, "Mouse": { "IP-species-checked": "testedAndGuaranteed", "IP-species-dilution-info": "", "IP-species-notes": "<p></p>", "WB-species-checked": "testedAndGuaranteed", "WB-species-dilution-info": "", "WB-species-notes": "<p></p>", "IHCP-species-checked": "notRecommended", "IHCP-species-dilution-info": "", "IHCP-species-notes": "<p></p>", "ICCIF-species-checked": "testedAndGuaranteed", "ICCIF-species-dilution-info": "", "ICCIF-species-notes": "<p></p>", "FlowCytIntra-species-checked": "testedAndGuaranteed", "FlowCytIntra-species-dilution-info": "", "FlowCytIntra-species-notes": "<p></p>", "ChICCUTRUNseq-species-checked": "guaranteed", "ChICCUTRUNseq-species-dilution-info": "", "ChICCUTRUNseq-species-notes": "" } } }

Product details

ab269463 is the carrier-free version of ab245222.

Patented technology
Our RabMAb® technology is a patented hybridoma-based technology for making rabbit monoclonal antibodies. For details on our patents, please refer to RabMAb® patents.

What are the advantages of a recombinant monoclonal antibody?
This product is a recombinant monoclonal antibody, which offers several advantages including:

  • - High batch-to-batch consistency and reproducibility
  • - Improved sensitivity and specificity
  • - Long-term security of supply
  • - Animal-free batch production

For more information, read more on recombinant antibodies.

Conjugation ready
Our carrier-free antibodies are typically supplied in a PBS-only formulation, purified and free of BSA, sodium azide and glycerol. This conjugation-ready format is designed for use with fluorochromes, metal isotopes, oligonucleotides, and enzymes, which makes them ideal for antibody labelling, functional and cell-based assays, flow-based assays (e.g. mass cytometry) and Multiplex Imaging applications.

Use our conjugation kits for antibody conjugates that are ready-to-use in as little as 20 minutes with 1 minute hands-on-time and 100% antibody recovery: available for fluorescent dyes, HRP, biotin and gold.

Compatibility
This product is compatible with the Maxpar® Antibody Labeling Kit from Fluidigm, without the need for antibody preparation. Maxpar® is a trademark of Fluidigm Canada Inc.

Properties and storage information

Form
Liquid
Purification technique
Affinity purification Protein A
Storage buffer
pH: 7.2 - 7.4 Constituents: PBS
Shipped at conditions
Blue Ice
Appropriate short-term storage conditions
+4°C
Appropriate long-term storage conditions
+4°C
Storage information
Do Not Freeze

Supplementary information

This supplementary information is collated from multiple sources and compiled automatically.

SMARCD1 also known as SWI/SNF-related matrix-associated actin-dependent regulator of chromatin subfamily D member 1 is a component of the SWI/SNF chromatin remodeling complex. The protein has a mass of approximately 50 kDa. It shows expression in various tissues including the brain liver and heart. Alternative names for SMARCD1 include BAF60A indicating its role within the BAF (BRG1/BRM-associated factors) complex.
Biological function summary

SMARCD1 plays a significant role in altering chromatin structure to regulate gene expression. It functions as part of the SWI/SNF complex which modulates access of transcription factors to DNA. This protein contributes to the regulation of various genes involved in cellular processes like proliferation differentiation and DNA repair. The SWI/SNF complex including SMARCD1 alters nucleosome positioning affecting the transcriptional landscape.

Pathways

SMARCD1 influences the expression of genes involved in critical cellular activities. It participates actively in the Wnt signaling and the cell cycle regulation pathways. The Wnt pathway includes critical interactions with proteins like β-catenin which contributes to the regulation of gene transcription related to cell fate and proliferation. SMARCD1's involvement in cell cycle regulation also implicates interactions with proteins such as cyclins and p53.

The altered expression or mutation of SMARCD1 relates to conditions like cancer and developmental disorders. Overexpression of SMARCD1 has associations with certain types of cancers including breast cancer where SMARCD1 modulates interactions with key proteins like BRG1 and BRM. Developmental disorders may involve interactions affecting the SWI/SNF complex leading to issues in tissue differentiation and growth.

Product protocols

For this product, it's our understanding that no specific protocols are required. You can visit:

Target data

Involved in transcriptional activation and repression of select genes by chromatin remodeling (alteration of DNA-nucleosome topology). Component of SWI/SNF chromatin remodeling complexes that carry out key enzymatic activities, changing chromatin structure by altering DNA-histone contacts within a nucleosome in an ATP-dependent manner (PubMed : 29374058, PubMed : 8804307). Belongs to the neural progenitors-specific chromatin remodeling complex (npBAF complex) and the neuron-specific chromatin remodeling complex (nBAF complex). During neural development a switch from a stem/progenitor to a postmitotic chromatin remodeling mechanism occurs as neurons exit the cell cycle and become committed to their adult state. The transition from proliferating neural stem/progenitor cells to postmitotic neurons requires a switch in subunit composition of the npBAF and nBAF complexes. As neural progenitors exit mitosis and differentiate into neurons, npBAF complexes which contain ACTL6A/BAF53A and PHF10/BAF45A, are exchanged for homologous alternative ACTL6B/BAF53B and DPF1/BAF45B or DPF3/BAF45C subunits in neuron-specific complexes (nBAF). The npBAF complex is essential for the self-renewal/proliferative capacity of the multipotent neural stem cells. The nBAF complex along with CREST plays a role regulating the activity of genes essential for dendrite growth (By similarity). Has a strong influence on vitamin D-mediated transcriptional activity from an enhancer vitamin D receptor element (VDRE). May be a link between mammalian SWI-SNF-like chromatin remodeling complexes and the vitamin D receptor (VDR) heterodimer (PubMed : 14698202). Mediates critical interactions between nuclear receptors and the BRG1/SMARCA4 chromatin-remodeling complex for transactivation (PubMed : 12917342). Interacts with AKIRIN2 (By similarity).
See full target information SMARCD1

Product promise

We are committed to supporting your work with high-quality reagents, and we're here for you every step of the way. In the unlikely event that one of our products does not perform as expected, you're protected by our Product Promise.
For full details, please see our Terms & Conditions

Please note: All products are 'FOR RESEARCH USE ONLY. NOT FOR USE IN DIAGNOSTIC OR THERAPEUTIC PROCEDURES'.

For licensing inquiries, please contact partnerships@abcam.com