JavaScript is disabled in your browser. Please enable JavaScript to view this website.
AB220164

Anti-SMARCD2 antibody [EPR20860-251]

Be the first to review this product! Submit a review

|

(4 Publications)

Rabbit Recombinant Monoclonal SMARCD2 antibody. Suitable for IP, WB, Flow Cyt (Intra), IHC-P and reacts with Mouse, Human, Rat samples. Cited in 4 publications.

View Alternative Names

Baf60b, Smarcd2, SWI/SNF-related matrix-associated actin-dependent regulator of chromatin subfamily D member 2, 60 kDa BRG-1/Brm-associated factor subunit B, BRG1-associated factor 60B, BAF60B

8 Images
Flow Cytometry (Intracellular) - Anti-SMARCD2 antibody [EPR20860-251] (AB220164)
  • Flow Cyt (Intra)

Unknown

Flow Cytometry (Intracellular) - Anti-SMARCD2 antibody [EPR20860-251] (AB220164)

Intracellular flow cytometric analysis of 4% paraformaldehyde-fixed, 90% methanol permeabilized HeLa (human epithelial cell line from cervix adenocarcinoma) cell line labeling SMARCD2 with ab220164 at 1/600 (red) compared with a Rabbit monoclonal IgG (ab172730) (black) and an unlabeled control (cells without incubation with primary antibody and secondary antibody) (blue).

Goat anti rabbit IgG (Alexa Fluor® 488, ab150077), at 1/2000 dilution was used as the secondary antibody.

Immunoprecipitation - Anti-SMARCD2 antibody [EPR20860-251] (AB220164)
  • IP

Unknown

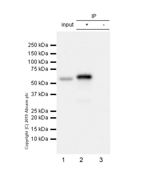
Immunoprecipitation - Anti-SMARCD2 antibody [EPR20860-251] (AB220164)

SMARCD2 was immunoprecipitated from 0.35 mg HeLa (human epithelial cell line from cervix adenocarcinoma) whole cell lysate with ab220164 at 1/30 dilution. Western blot was performed from the immunoprecipitate using ab220164 at 1/1000 dilution. VeriBlot for IP Detection Reagent (HRP) (ab131366), was used at 1/5000 dilution.

Lane 1 : HeLa whole cell lysate 10 μg (Input).
Lane 2 : ab220164 IP in HeLa whole cell lysate .
Lane 3 : Rabbit monoclonal IgG (ab172730) instead of ab220164 in HeLa whole cell lysate.

Blocking/Dilution buffer : 5% NFDM/TBST.
Exposure time : 40 seconds.

All lanes:

Immunoprecipitation - Anti-SMARCD2 antibody [EPR20860-251] (ab220164)

Predicted band size: 52 kDa

Observed band size: 59 kDa

false

Immunohistochemistry (Formalin/PFA-fixed paraffin-embedded sections) - Anti-SMARCD2 antibody [EPR20860-251] (AB220164)
  • IHC-P

Unknown

Immunohistochemistry (Formalin/PFA-fixed paraffin-embedded sections) - Anti-SMARCD2 antibody [EPR20860-251] (AB220164)

Immunohistochemical analysis of paraffin-embedded mouse colon tissue labeling SMARCD2 with ab220164 at 1/200 dilution, followed by ready to use Rabbit specific IHC polymer detection kit HRP/DAB (ab209101). Nuclear staining on mouse colon (PMID : 20148946, 28303890, 25622893). The section was incubated with ab220164 for 30 mins at room temperature. The immunostaining was performed on a Leica Biosystems BOND® RX instrument. Counterstained with hematoxylin.

Secondary antibody only control : Used PBS instead of primary antibody, secondary antibody is ready to use Rabbit specific IHC polymer detection kit HRP/DAB (ab209101).

Heat mediated antigen retrieval with Tris-EDTA buffer (pH 9.0, epitope retrieval solution 2) for 20 mins.

Immunohistochemistry (Formalin/PFA-fixed paraffin-embedded sections) - Anti-SMARCD2 antibody [EPR20860-251] (AB220164)
  • IHC-P

Unknown

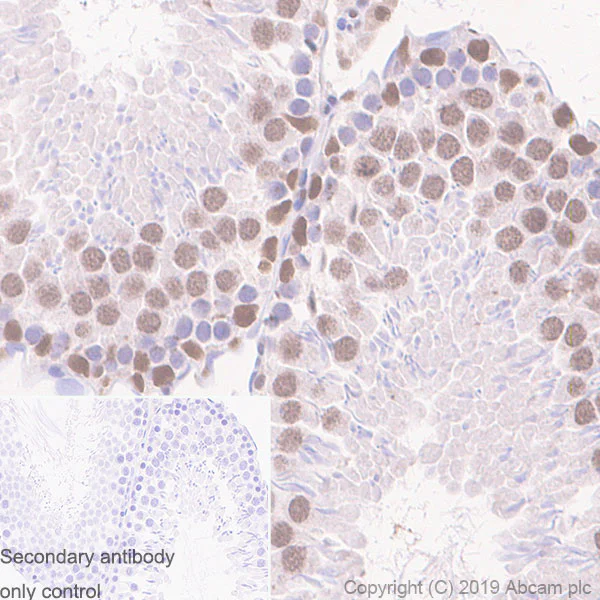
Immunohistochemistry (Formalin/PFA-fixed paraffin-embedded sections) - Anti-SMARCD2 antibody [EPR20860-251] (AB220164)

Immunohistochemical analysis of paraffin-embedded rat testis tissue labeling SMARCD2 with ab220164 at 1/200 dilution, followed by ready to use Rabbit specific IHC polymer detection kit HRP/DAB (ab209101). Nuclear staining on rat testis (PMID : 20148946, 28303890, 25622893). The section was incubated with ab220164 for 30 mins at room temperature. The immunostaining was performed on a Leica Biosystems BOND® RX instrument. Counterstained with hematoxylin.

Secondary antibody only control : Used PBS instead of primary antibody, secondary antibody is ready to use Rabbit specific IHC polymer detection kit HRP/DAB (ab209101).

Heat mediated antigen retrieval with Tris-EDTA buffer (pH 9.0, epitope retrieval solution 2) for 20 mins.

Immunoprecipitation - Anti-SMARCD2 antibody [EPR20860-251] (AB220164)
  • IP

Supplier Data

Immunoprecipitation - Anti-SMARCD2 antibody [EPR20860-251] (AB220164)

SMARCD2 was immunoprecipitated from 0.35 mg mouse P70 thymus lysate with ab220164 at 1/30 dilution. Western blot was performed from the immunoprecipitate using ab220164 at 1/1000 dilution. VeriBlot for IP Detection Reagent (HRP) (ab131366), was used at 1/5000 dilution.

Lane 1 : Mouse P70 thymus lysate 10 μg (Input).
Lane 2 : ab220164 IP in mouse P70 thymus lysate .
Lane 3 : Rabbit monoclonal IgG (ab172730) instead of ab220164 in mouse P70 thymus lysate.

Blocking/Dilution buffer : 5% NFDM/TBST.
Exposure time : 3 seconds.

All lanes:

Immunoprecipitation - Anti-SMARCD2 antibody [EPR20860-251] (ab220164) at 1/1000 dilution

Secondary

All lanes:

Immunoprecipitation - VeriBlot for IP Detection Reagent (HRP) (<a href='/en-us/products/reagents/veriblot-for-ip-detection-reagent-hrp-ab131366'>ab131366</a>) at 1/5000 dilution

Predicted band size: 52 kDa

Observed band size: 59 kDa

false

Exposure time: 3s

Western blot - Anti-SMARCD2 antibody [EPR20860-251] (AB220164)
  • WB

Unknown

Western blot - Anti-SMARCD2 antibody [EPR20860-251] (AB220164)

Blocking/Dilution buffer : 5% NFDM/TBST.

Exposure times : Lane 1 : 59 secs; Lane 2 : 81 secs; Lane 3 : 26 secs.

All lanes:

Western blot - Anti-SMARCD2 antibody [EPR20860-251] (ab220164) at 1/1000 dilution

Lane 1:

Jurkat (human T cell leukemia cell line from peripheral blood) whole cell lysate at 20 µg

Lane 2:

HeLa (human epithelial cell line from cervix adenocarcinoma) whole cell lysate at 20 µg

Lane 3:

Rat thymus lysate at 20 µg

Secondary

All lanes:

Western blot - Goat Anti-Rabbit IgG H&L (HRP) (<a href='/en-us/products/secondary-antibodies/goat-rabbit-igg-h-l-hrp-ab97051'>ab97051</a>) at 1/100000 dilution

Predicted band size: 52 kDa

Observed band size: 59 kDa

false

Western blot - Anti-SMARCD2 antibody [EPR20860-251] (AB220164)
  • WB

Unknown

Western blot - Anti-SMARCD2 antibody [EPR20860-251] (AB220164)

Blocking/Dilution buffer : 5% NFDM/TBST.

All lanes:

Western blot - Anti-SMARCD2 antibody [EPR20860-251] (ab220164) at 1/1000 dilution

Lane 1:

Mouse P70 liver lysate at 20 µg

Lane 2:

Mouse P70 thymus lysate at 20 µg

Lane 3:

Mouse P70 white adipose lysate at 20 µg

Lane 4:

Mouse P70 brown adipose lysate at 20 µg

Lane 5:

Beta-TC-6 (mouse pancreas insulinoma beta cell line) whole cell lysate at 20 µg

Secondary

All lanes:

Western blot - Goat Anti-Rabbit IgG H&L (HRP) (<a href='/en-us/products/secondary-antibodies/goat-rabbit-igg-h-l-hrp-ab97051'>ab97051</a>) at 1/100000 dilution

Predicted band size: 52 kDa

Observed band size: 59 kDa

false

Exposure time: 3min

Western blot - Anti-SMARCD2 antibody [EPR20860-251] (AB220164)
  • WB

Unknown

Western blot - Anti-SMARCD2 antibody [EPR20860-251] (AB220164)

Lysates were kindly provided by Dr Zhuoxian Meng.

Blocking/Dilution buffer : 5% NFDM/TBST.

All lanes:

Western blot - Anti-SMARCD2 antibody [EPR20860-251] (ab220164) at 1/1000 dilution

Lane 1:

Neuro-2a (mouse neuroblastoma cell line) transfected with scrambled siRNA control whole cell lysate at 20 µg

Lane 2:

SMARCD2 knockdown Neuro-2a whole cell lysate at 20 µg

Secondary

All lanes:

Western blot - Goat Anti-Rabbit IgG H&L (HRP) (<a href='/en-us/products/secondary-antibodies/goat-rabbit-igg-h-l-hrp-ab97051'>ab97051</a>) at 1/100000 dilution

Predicted band size: 52 kDa

Observed band size: 59 kDa

false

Exposure time: 3min

  • Carrier free

    Anti-SMARCD2 antibody [EPR20860-251] - BSA and Azide free

Key facts

Host species

Rabbit

Clonality

Monoclonal

Clone number

EPR20860-251

Isotype

IgG

Carrier free

No

Reacts with

Mouse, Rat, Human

Applications

IP, Flow Cyt (Intra), WB, IHC-P

applications

Immunogen

The exact immunogen used to generate this antibody is proprietary information.

Specificity

IHC is recommended only for mouse and rat.

Reactivity data

{ "title": "Reactivity Data", "filters": { "stats": ["", "Species", "Dilution Info", "Notes"], "tabs": { "all-applications": {"fullname" : "All Applications", "shortname": "All Applications"}, "IP" : {"fullname" : "Immunoprecipitation", "shortname":"IP"}, "WB" : {"fullname" : "Western blot", "shortname":"WB"}, "ICCIF" : {"fullname" : "Immunocytochemistry/ Immunofluorescence", "shortname":"ICC/IF"}, "FlowCytIntra" : {"fullname" : "Flow Cytometry (Intracellular)", "shortname":"Flow Cyt (Intra)"}, "IHCP" : {"fullname" : "Immunohistochemistry (Formalin/PFA-fixed paraffin-embedded sections)", "shortname":"IHC-P"} }, "product-promise": { "all": "all", "testedAndGuaranteed": "tested", "guaranteed": "expected", "predicted": "predicted", "notRecommended": "not-recommended" } }, "values": { "Human": { "IP-species-checked": "testedAndGuaranteed", "IP-species-dilution-info": "1/30", "IP-species-notes": "<p></p>", "WB-species-checked": "testedAndGuaranteed", "WB-species-dilution-info": "1/1000", "WB-species-notes": "<p></p>", "ICCIF-species-checked": "notRecommended", "ICCIF-species-dilution-info": "", "ICCIF-species-notes": "<p></p>", "FlowCytIntra-species-checked": "testedAndGuaranteed", "FlowCytIntra-species-dilution-info": "1/600", "FlowCytIntra-species-notes": "<p></p>", "IHCP-species-checked": "guaranteed", "IHCP-species-dilution-info": "", "IHCP-species-notes": "" }, "Mouse": { "IP-species-checked": "testedAndGuaranteed", "IP-species-dilution-info": "1/30", "IP-species-notes": "<p></p>", "WB-species-checked": "testedAndGuaranteed", "WB-species-dilution-info": "1/1000", "WB-species-notes": "<p></p>", "ICCIF-species-checked": "notRecommended", "ICCIF-species-dilution-info": "", "ICCIF-species-notes": "<p></p>", "FlowCytIntra-species-checked": "guaranteed", "FlowCytIntra-species-dilution-info": "", "FlowCytIntra-species-notes": "", "IHCP-species-checked": "testedAndGuaranteed", "IHCP-species-dilution-info": "1/200", "IHCP-species-notes": "<p></p>" }, "Rat": { "IP-species-checked": "guaranteed", "IP-species-dilution-info": "", "IP-species-notes": "", "WB-species-checked": "testedAndGuaranteed", "WB-species-dilution-info": "1/1000", "WB-species-notes": "<p></p>", "ICCIF-species-checked": "notRecommended", "ICCIF-species-dilution-info": "", "ICCIF-species-notes": "<p></p>", "FlowCytIntra-species-checked": "guaranteed", "FlowCytIntra-species-dilution-info": "", "FlowCytIntra-species-notes": "", "IHCP-species-checked": "testedAndGuaranteed", "IHCP-species-dilution-info": "1/200", "IHCP-species-notes": "<p></p>" } } }

Product details

Patented technology
Our RabMAb® technology is a patented hybridoma-based technology for making rabbit monoclonal antibodies. For details on our patents, please refer to RabMAb® patents.

What are the advantages of a recombinant monoclonal antibody?
This product is a recombinant monoclonal antibody, which offers several advantages including:

  • - High batch-to-batch consistency and reproducibility
  • - Improved sensitivity and specificity
  • - Long-term security of supply
  • - Animal-free batch production

For more information, read more on recombinant antibodies.

Properties and storage information

Form
Liquid
Purification technique
Affinity purification Protein A
Storage buffer
pH: 7.2 - 7.4 Preservative: 0.01% Sodium azide Constituents: PBS, 40% Glycerol (glycerin, glycerine), 0.05% BSA
Shipped at conditions
Blue Ice
Appropriate short-term storage duration
1-2 weeks
Appropriate short-term storage conditions
+4°C
Appropriate long-term storage conditions
-20°C
Aliquoting information
Upon delivery aliquot
Storage information
Avoid freeze / thaw cycle

Supplementary information

This supplementary information is collated from multiple sources and compiled automatically.

The SMARCD2 protein also known as BAF60B functions as a subunit of the SWI/SNF chromatin remodeling complex. It possesses a molecular mass of approximately 60 kDa. The protein is widely expressed with notable levels observed in hematopoietic tissues and the central nervous system. SMARCD2 contributes to the modulation of chromatin structure thereby facilitating accessibility of transcriptional machinery to DNA.
Biological function summary

SMARCD2 plays a significant role in the regulation of transcription. As a component of the chromatin remodeling complex it influences gene expression linked to differentiation and development. The SWI/SNF complex which includes SMARCD2 modulates nucleosome positioning on DNA therefore impacting cellular responses to various signaling pathways. The regulatory effects of SMARCD2 within the complex are important for proper lineage commitment and cell fate decisions.

Pathways

SMARCD2 interacts within the context of transcriptional regulation. It is notably involved in the Wnt signaling pathway and the Notch signaling pathway. In these pathways SMARCD2 interacts with proteins like beta-catenin and RBPJ directly influencing the transcription of downstream target genes. SMARCD2's activity within these signaling modules contributes to the regulation of proliferation and differentiation processes.

SMARCD2 is linked to acute myeloid leukemia and neurodevelopmental disorders. Aberrations in the SWI/SNF complex including altered SMARCD2 function can lead to disrupted gene regulation and contribute to leukemogenesis. Similarly mutations affecting SMARCD2 are associated with neurodevelopmental syndromes such as Coffin-Siris syndrome. In these contexts the interplay between SMARCD2 and other complex members such as SMARCA4 influences disease pathogenesis and progression.

Product protocols

For this product, it's our understanding that no specific protocols are required. You can visit:

Target data

Involved in transcriptional activation and repression of select genes by chromatin remodeling (alteration of DNA-nucleosome topology). Component of SWI/SNF chromatin remodeling complexes that carry out key enzymatic activities, changing chromatin structure by altering DNA-histone contacts within a nucleosome in an ATP-dependent manner. Critical regulator of myeloid differentiation, controlling granulocytopoiesis and the expression of genes involved in neutrophil granule formation.
See full target information Smarcd2

Publications (4)

Recent publications for all applications. Explore the full list and refine your search

Cell & bioscience 15:124 PubMed40877964

2025

Enriched environment inhibits GLT-1 ubiquitination by downregulating SMURF1 to attenuate ischemic brain injury induced excitotoxicity.

Applications

Unspecified application

Species

Unspecified reactive species

Yi Zhang,Wen Liu,Tao Huang,Lingling Liu,Xiuping Chen

Cancer cell 42:1352-1369.e13 PubMed39029464

2024

Mammalian SWI/SNF complex activity regulates POU2F3 and constitutes a targetable dependency in small cell lung cancer.

Applications

Unspecified application

Species

Unspecified reactive species

Leslie Duplaquet,Kevin So,Alexander W Ying,Shreoshi Pal Choudhuri,Xinyue Li,Grace D Xu,Yixiang Li,Xintao Qiu,Rong Li,Shilpa Singh,Xiaoli S Wu,Seth Hamilton,Victor D Chien,Qi Liu,Jun Qi,Tim D D Somerville,Hillary M Heiling,Emanuele Mazzola,Yenarae Lee,Thomas Zoller,Christopher R Vakoc,John G Doench,William C Forrester,Tinya Abrams,Henry W Long,Matthew J Niederst,Benjamin J Drapkin,Cigall Kadoch,Matthew G Oser

Frontiers in pharmacology 15:1333715 PubMed38449809

2024

Capsaicin ameliorate pulmonary fibrosis via antioxidant Nrf-2/ PPAR- γ pathway activation and inflammatory TGF-β1/ NF-κB/COX II pathway inhibition.

Applications

Unspecified application

Species

Unspecified reactive species

Wesam H Abdulaal,Hani Z Asfour,Nawal Helmi,Hadeel Al Sadoun,Basmah Eldakhakhny,Nabil A Alhakamy,Hani Mohammed Alqarni,Saeed Ali Mohammed Alzahrani,Mohamed A El-Moselhy,Sara S Sharkawi,Esam Mohamed Aboubakr

Science advances 8:eabj3967 PubMed35108058

2022

Profiling and functional characterization of maternal mRNA translation during mouse maternal-to-zygotic transition.

Applications

Unspecified application

Species

Unspecified reactive species

Chunxia Zhang,Meng Wang,Yisi Li,Yi Zhang
View all publications

Product promise

We are committed to supporting your work with high-quality reagents, and we're here for you every step of the way. In the unlikely event that one of our products does not perform as expected, you're protected by our Product Promise.
For full details, please see our Terms & Conditions

Please note: All products are 'FOR RESEARCH USE ONLY. NOT FOR USE IN DIAGNOSTIC OR THERAPEUTIC PROCEDURES'.

For licensing inquiries, please contact partnerships@abcam.com