JavaScript is disabled in your browser. Please enable JavaScript to view this website.
AB9262

Anti-SMC1A antibody

4

(6 Reviews)

|

(49 Publications)

Anti-SMC1A antibody (ab9262) is a rabbit polyclonal antibody detecting SMC1A in Western Blot, IP, IHC-P. Suitable for Human, Mouse.

- Over 40 publications
- Trusted since 2002

View Alternative Names

DXS423E, KIAA0178, SB1.8, SMC1, SMC1L1, SMC1A, Structural maintenance of chromosomes protein 1A, SMC protein 1A, SMC-1-alpha, SMC-1A, Sb1.8

4 Images
Western blot - Anti-SMC1A antibody (AB9262)
  • WB

Supplier Data

Western blot - Anti-SMC1A antibody (AB9262)

Detection : Chemiluminescence.

All lanes:

Western blot - Anti-SMC1A antibody (ab9262) at 0.1 µg/mL

Lane 1:

HeLa whole cell lysate at 50 µg

Lane 2:

293T whole cell lysate at 50 µg

Lane 3:

NIH3T3 whole cell lysate at 50 µg

Predicted band size: 143 kDa

false

Exposure time: 3s

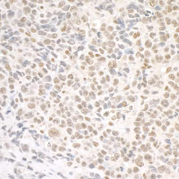
Immunohistochemistry (Formalin/PFA-fixed paraffin-embedded sections) - Anti-SMC1A antibody (AB9262)
  • IHC-P

Supplier Data

Immunohistochemistry (Formalin/PFA-fixed paraffin-embedded sections) - Anti-SMC1A antibody (AB9262)

Immunohistochemical analysis of formalin-fixed, paraffin-embedded human ovarian cancer tissue, labeling SMC1 with ab9262 at 0.2 μg/mL. Detection : DAB.

Immunoprecipitation - Anti-SMC1A antibody (AB9262)
  • IP

Supplier Data

Immunoprecipitation - Anti-SMC1A antibody (AB9262)

SMC1A was immunoprecipitated from 1 mg HeLa whole cell lysate with ab9262 at 6 μg per reaction. Western blot was performed on the immunoprecipitate using ab243875 at 1/1000 dilution.

Lysates prepared using NETN lysis buffer.

Lane 1 : ab9262 IP in HeLa whole cell lysate.

Lane 2 : Contol IgG in HeLa whole cell lysate.

Detection : Chemiluminescence.

Exposure time : 10 seconds.

All lanes:

Immunoprecipitation - Anti-SMC1A antibody (ab9262)

Predicted band size: 143 kDa

false

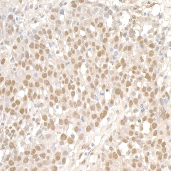
Immunohistochemistry (Formalin/PFA-fixed paraffin-embedded sections) - Anti-SMC1A antibody (AB9262)
  • IHC-P

Supplier Data

Immunohistochemistry (Formalin/PFA-fixed paraffin-embedded sections) - Anti-SMC1A antibody (AB9262)

Immunohistochemical analysis of formalin-fixed, paraffin-embedded mouse colon cancer tissue CT26, labeling SMC1 with ab9262 at 0.2 μg/mL. Detection : DAB.

Key facts

Host species

Rabbit

Clonality

Polyclonal

Isotype

IgG

Carrier free

No

Reacts with

Mouse, Human

Applications

IP, WB, IHC-P

applications

Immunogen

Synthetic Peptide within Human SMC1A aa 1100 to C-terminus conjugated to Keyhole Limpet Haemocyanin. The exact immunogen used to generate this antibody is proprietary information.

Q14683

Reactivity data

{ "title": "Reactivity Data", "filters": { "stats": ["", "Species", "Dilution Info", "Notes"], "tabs": { "all-applications": {"fullname" : "All Applications", "shortname": "All Applications"}, "IHCP" : {"fullname" : "Immunohistochemistry (Formalin/PFA-fixed paraffin-embedded sections)", "shortname":"IHC-P"}, "IP" : {"fullname" : "Immunoprecipitation", "shortname":"IP"}, "WB" : {"fullname" : "Western blot", "shortname":"WB"} }, "product-promise": { "all": "all", "testedAndGuaranteed": "tested", "guaranteed": "expected", "predicted": "predicted", "notRecommended": "not-recommended" } }, "values": { "Human": { "IHCP-species-checked": "testedAndGuaranteed", "IHCP-species-dilution-info": "1/500 - 1/2000", "IHCP-species-notes": "<p></p> Perform heat-mediated antigen retrieval with citrate buffer pH 6 before commencing with IHC staining protocol.", "IP-species-checked": "testedAndGuaranteed", "IP-species-dilution-info": "1-4 µg/mg of lysate", "IP-species-notes": "<p></p>", "WB-species-checked": "testedAndGuaranteed", "WB-species-dilution-info": "1/1000 - 1/10000", "WB-species-notes": "<p></p>" }, "Mouse": { "IHCP-species-checked": "guaranteed", "IHCP-species-dilution-info": "", "IHCP-species-notes": "", "IP-species-checked": "guaranteed", "IP-species-dilution-info": "", "IP-species-notes": "", "WB-species-checked": "testedAndGuaranteed", "WB-species-dilution-info": "1/1000 - 1/10000", "WB-species-notes": "<p></p>" }, "Rat": { "IHCP-species-checked": "predicted", "IHCP-species-dilution-info": "", "IHCP-species-notes": "", "IP-species-checked": "predicted", "IP-species-dilution-info": "", "IP-species-notes": "", "WB-species-checked": "predicted", "WB-species-dilution-info": "", "WB-species-notes": "" }, "Cow": { "IHCP-species-checked": "predicted", "IHCP-species-dilution-info": "", "IHCP-species-notes": "", "IP-species-checked": "predicted", "IP-species-dilution-info": "", "IP-species-notes": "", "WB-species-checked": "predicted", "WB-species-dilution-info": "", "WB-species-notes": "" } } }

Product details

What is this antibody validated in?
Anti-SMC1A antibody (ab9262) is a rabbit polyclonal antibody and is validated for use in Western Blot (WB), Immunoprecipitation (IP), Immunohistochemistry (IHC-P) in Human, Mouse samples.

What is the molecular weight of SMC1A?
Anti-SMC1A (ab9262) specifically detects a band for SMC1A (UniProt: Q14683) at a molecular weight of 143kDa.

Trusted by the scientific community
Anti-SMC1A (ab9262) was first used in a scientific publication in 2002 and has been cited over 40 times in peer-reviewed journals.

Reviewed by scientists
Anti-SMC1A (ab9262) has over 5 independent reviews from customers.

Properties and storage information

Form
Liquid
Purification technique
Affinity purification Immunogen
Purification notes
Antibodies were affinity purified using the peptide immobilized on solid support. Antibody concentration was determined by extinction coefficient: absorbance at 280nm of 1.4 equals 1.0 mg of IgG.
Storage buffer
pH: 7 - 8 Preservative: 0.1% Sodium azide Constituents: PBS, 1.815% Tris, 1.764% Sodium citrate
Shipped at conditions
Blue Ice
Appropriate short-term storage duration
1-2 weeks
Appropriate short-term storage conditions
+4°C
Appropriate long-term storage conditions
+4°C
Aliquoting information
Upon delivery aliquot
Storage information
Avoid freeze / thaw cycle

Supplementary information

This supplementary information is collated from multiple sources and compiled automatically.

SMC1A also known as structural maintenance of chromosomes 1A is an essential component of the cohesin complex. This complex regulates the cohesion of sister chromatids ensuring accurate chromosome segregation during cell division. With a molecular mass of around 143 kDa SMC1A is expressed ubiquitously with higher levels in proliferating cells. It is a member of the SMC protein family possessing distinct N-terminal and C-terminal domains connected by a flexible coiled-coil region.
Biological function summary

SMC1A forms a complex with other proteins most notably SMC3 RAD21 and STAG2. This complex is necessary for maintaining chromatid cohesion during the cell cycle's S and G2 phases. Furthermore SMC1A influences DNA repair specifically homologous recombination by maintaining genome stability. Through its associations SMC1A contributes to regulation of gene expression further illustrating its multifunctional role in cellular processes.

Pathways

SMC1A integrates into DNA damage response and repair pathways. The ATR and ATM signaling pathways interact with SMC1A modulating its function during DNA repair mechanisms. SMC1A associates with proteins like PDS5 and WAPL which influence cohesin dynamics. These interactions stress SMC1A’s role in preserving genomic integrity and controlling cell cycle progression.

Mutations or deregulation of SMC1A links to Cornelia de Lange Syndrome and certain cancers. This role is particularly significant in Cornelia de Lange Syndrome where SMC1A mutations disrupt normal chromosomal condensation and separation. Within oncogenesis SMC1A's interaction with TP53 indicates a broader influence on tumorigenesis emphasizing its involvement in maintaining cellular homeostasis and preventing cancer progression.

Product protocols

For this product, it's our understanding that no specific protocols are required. You can visit:

Target data

Involved in chromosome cohesion during cell cycle and in DNA repair. Central component of cohesin complex. The cohesin complex is required for the cohesion of sister chromatids after DNA replication. The cohesin complex apparently forms a large proteinaceous ring within which sister chromatids can be trapped. At anaphase, the complex is cleaved and dissociates from chromatin, allowing sister chromatids to segregate. The cohesin complex may also play a role in spindle pole assembly during mitosis. Involved in DNA repair via its interaction with BRCA1 and its related phosphorylation by ATM, or via its phosphorylation by ATR. Works as a downstream effector both in the ATM/NBS1 branch and in the ATR/MSH2 branch of S-phase checkpoint.
See full target information SMC1A

Publications (49)

Recent publications for all applications. Explore the full list and refine your search

The Journal of clinical investigation 135: PubMed40454469

2025

TDP-43 dysregulation of polyadenylation site selection is a defining feature of RNA misprocessing in amyotrophic lateral sclerosis and frontotemporal dementia.

Applications

Unspecified application

Species

Unspecified reactive species

Frederick J Arnold,Ya Cui,Sebastian Michels,Michael R Colwin,Cameron M Stockford,Wenbin Ye,Vidhya Maheswari Jawahar,Karen Jansen-West,Julien Philippe,Ravinder Gulia,Yunzi Gou,Oliver H Tam,Sneha Menon,Wendy G Situ,Saira L Cazarez,Aryan Zandi,Kean Ck Ehsani,Sierra Howard,Dennis W Dickson,Molly Gale Hammell,Mercedes Prudencio,Leonard Petrucelli,Wei Li,Albert R La Spada

Nature structural & molecular biology 32:1268-1281 PubMed40360814

2025

CTCF depletion decouples enhancer-mediated gene activation from chromatin hub formation.

Applications

Unspecified application

Species

Unspecified reactive species

Magdalena A Karpinska,Yi Zhu,Zahra Fakhraei Ghazvini,Shyam Ramasamy,Mariano Barbieri,T B Ngoc Cao,Natalie Varahram,Abrar Aljahani,Michael Lidschreiber,Argyris Papantonis,A Marieke Oudelaar

Scientific reports 15:6457 PubMed39987149

2025

Uncovering pre-cytokinetic block in cancer cells under shear stress using a disturbed flow-generating device.

Applications

Unspecified application

Species

Unspecified reactive species

Lucie Beresova,Jan Vitecek,Iva Protivánková,Michal Dudka,Katarina Chroma,Zdenek Skrott,Tereza Buchtova,Kamila Poláková,Jan Novotny,Ludmila Novakova,Jiri Bartek,Martin Mistrik

Breast cancer : basic and clinical research 18:11782234241234771 PubMed38504674

2024

MicroRNA-190b Targets RFWD3 in Estrogen Receptor-Positive Breast Cancer.

Applications

Unspecified application

Species

Unspecified reactive species

Elisabet Alexandra Frick,Karen Kristjansdottir,Snaedís Ragnarsdottir,Arnar Ingi Vilhjalmsson,Maria Rose Bustos,Linda Vidarsdottir,Thorkell Gudjonsson,Stefan Sigurdsson

Nature structural & molecular biology 30:991-1000 PubMed37430065

2023

The Mediator complex regulates enhancer-promoter interactions.

Applications

Unspecified application

Species

Unspecified reactive species

Shyam Ramasamy,Abrar Aljahani,Magdalena A Karpinska,T B Ngoc Cao,Taras Velychko,J Neos Cruz,Michael Lidschreiber,A Marieke Oudelaar

Life science alliance 6: PubMed37193606

2023

Identification of a novel enhancer essential for expression in T2 cells and activated ILC2s.

Applications

Unspecified application

Species

Unspecified reactive species

Aneela Nomura,Tetsuro Kobayashi,Wooseok Seo,Michiko Ohno-Oishi,Kiyokazu Kakugawa,Sawako Muroi,Hideyuki Yoshida,Takaho A Endo,Kazuyo Moro,Ichiro Taniuchi

Genome biology 23:70 PubMed35241136

2022

Meiosis-specific cohesin complexes display essential and distinct roles in mitotic embryonic stem cell chromosomes.

Applications

Unspecified application

Species

Unspecified reactive species

Eui-Hwan Choi,Seobin Yoon,Young Eun Koh,Tae Kyung Hong,Jeong Tae Do,Bum-Kyu Lee,Yoonsoo Hahn,Keun P Kim

Nature communications 13:187 PubMed35039491

2022

The three-dimensional structure of Epstein-Barr virus genome varies by latency type and is regulated by PARP1 enzymatic activity.

Applications

Unspecified application

Species

Unspecified reactive species

Sarah M Morgan,Hideki Tanizawa,Lisa Beatrice Caruso,Michael Hulse,Andrew Kossenkov,Jozef Madzo,Kelsey Keith,Yinfei Tan,Sarah Boyle,Paul M Lieberman,Italo Tempera

Cell death and differentiation 29:687-696 PubMed34611297

2021

RNA-interference screen for p53 regulators unveils a role of WDR75 in ribosome biogenesis.

Applications

Unspecified application

Species

Unspecified reactive species

Pavel Moudry,Katarina Chroma,Sladana Bursac,Sinisa Volarevic,Jiri Bartek

Life science alliance 4: PubMed34462321

2021

Paralogous synthetic lethality underlies genetic dependencies of the cancer-mutated gene .

Applications

Unspecified application

Species

Unspecified reactive species

Melanie L Bailey,David Tieu,Andrea Habsid,Amy Hin Yan Tong,Katherine Chan,Jason Moffat,Philip Hieter
View all publications

Product promise

We are committed to supporting your work with high-quality reagents, and we're here for you every step of the way. In the unlikely event that one of our products does not perform as expected, you're protected by our Product Promise.
For full details, please see our Terms & Conditions

Please note: All products are 'FOR RESEARCH USE ONLY. NOT FOR USE IN DIAGNOSTIC OR THERAPEUTIC PROCEDURES'.

For licensing inquiries, please contact partnerships@abcam.com