JavaScript is disabled in your browser. Please enable JavaScript to view this website.
AB109238

Anti-SMC1A antibody [EPR2879(2)]

Be the first to review this product! Submit a review

|

(2 Publications)

Rabbit Recombinant Monoclonal SMC1A antibody. Suitable for IHC-P, WB and reacts with Human samples. Cited in 2 publications.

View Alternative Names

DXS423E, KIAA0178, SB1.8, SMC1, SMC1L1, SMC1A, Structural maintenance of chromosomes protein 1A, SMC protein 1A, SMC-1-alpha, SMC-1A, Sb1.8

3 Images
Immunohistochemistry (Formalin/PFA-fixed paraffin-embedded sections) - Anti-SMC1A antibody [EPR2879(2)] (AB109238)
  • IHC-P

Unknown

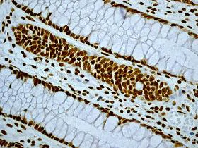
Immunohistochemistry (Formalin/PFA-fixed paraffin-embedded sections) - Anti-SMC1A antibody [EPR2879(2)] (AB109238)

Immunohistochemical analysis of SMC1A expression in paraffin-embedded Human colon tissue using ab109238 at 1/250 dilution.

Perform heat mediated antigen retrieval with citrate buffer pH 6 before commencing with IHC staining protocol.

Immunohistochemistry (Formalin/PFA-fixed paraffin-embedded sections) - Anti-SMC1A antibody [EPR2879(2)] (AB109238)
  • IHC-P

Unknown

Immunohistochemistry (Formalin/PFA-fixed paraffin-embedded sections) - Anti-SMC1A antibody [EPR2879(2)] (AB109238)

Immunohistochemical analysis of SMC1A expression in paraffin-embedded Human tonsil tissue using ab109238 at 1/250 dilution.

Perform heat mediated antigen retrieval with citrate buffer pH 6 before commencing with IHC staining protocol.

Western blot - Anti-SMC1A antibody [EPR2879(2)] (AB109238)
  • WB

Unknown

Western blot - Anti-SMC1A antibody [EPR2879(2)] (AB109238)

All lanes:

Western blot - Anti-SMC1A antibody [EPR2879(2)] (ab109238) at 1/10000 dilution

Lane 1:

293T (Human embryonic kidney epithelial cell) cell lysate at 10 µg

Lane 2:

HeLa cell lysate at 10 µg

Lane 3:

Jurkat cell lysate at 10 µg

Predicted band size: 143 kDa

false

  • Carrier free

    Anti-SMC1A antibody [EPR2879(2)] - BSA and Azide free

Key facts

Host species

Rabbit

Clonality

Monoclonal

Clone number

EPR2879(2)

Isotype

IgG

Carrier free

No

Reacts with

Human

Applications

IHC-P, WB

applications

Immunogen

The exact immunogen used to generate this antibody is proprietary information.

Reactivity data

{ "title": "Reactivity Data", "filters": { "stats": ["", "Species", "Dilution Info", "Notes"], "tabs": { "all-applications": {"fullname" : "All Applications", "shortname": "All Applications"}, "IHCP" : {"fullname" : "Immunohistochemistry (Formalin/PFA-fixed paraffin-embedded sections)", "shortname":"IHC-P"}, "ICCIF" : {"fullname" : "Immunocytochemistry/ Immunofluorescence", "shortname":"ICC/IF"}, "FlowCyt" : {"fullname" : "Flow Cytometry", "shortname":"Flow Cyt"}, "WB" : {"fullname" : "Western blot", "shortname":"WB"} }, "product-promise": { "all": "all", "testedAndGuaranteed": "tested", "guaranteed": "expected", "predicted": "predicted", "notRecommended": "not-recommended" } }, "values": { "Human": { "IHCP-species-checked": "testedAndGuaranteed", "IHCP-species-dilution-info": "1/250 - 1/500", "IHCP-species-notes": "<p></p>", "ICCIF-species-checked": "notRecommended", "ICCIF-species-dilution-info": "", "ICCIF-species-notes": "<p></p>", "FlowCyt-species-checked": "notRecommended", "FlowCyt-species-dilution-info": "", "FlowCyt-species-notes": "<p></p>", "WB-species-checked": "testedAndGuaranteed", "WB-species-dilution-info": "1/10000 - 1/50000", "WB-species-notes": "<p></p>" }, "Mouse": { "IHCP-species-checked": "predicted", "IHCP-species-dilution-info": "", "IHCP-species-notes": "", "ICCIF-species-checked": "notRecommended", "ICCIF-species-dilution-info": "", "ICCIF-species-notes": "", "FlowCyt-species-checked": "notRecommended", "FlowCyt-species-dilution-info": "", "FlowCyt-species-notes": "", "WB-species-checked": "predicted", "WB-species-dilution-info": "", "WB-species-notes": "" }, "Rat": { "IHCP-species-checked": "predicted", "IHCP-species-dilution-info": "", "IHCP-species-notes": "", "ICCIF-species-checked": "notRecommended", "ICCIF-species-dilution-info": "", "ICCIF-species-notes": "", "FlowCyt-species-checked": "notRecommended", "FlowCyt-species-dilution-info": "", "FlowCyt-species-notes": "", "WB-species-checked": "predicted", "WB-species-dilution-info": "", "WB-species-notes": "" } } }

Product details

Patented technology
Our RabMAb® technology is a patented hybridoma-based technology for making rabbit monoclonal antibodies. For details on our patents, please refer to RabMAb® patents.

What are the advantages of a recombinant monoclonal antibody?
This product is a recombinant monoclonal antibody, which offers several advantages including:

  • - High batch-to-batch consistency and reproducibility
  • - Improved sensitivity and specificity
  • - Long-term security of supply
  • - Animal-free batch production

For more information, read more on recombinant antibodies.

Properties and storage information

Form
Liquid
Purification technique
Affinity purification Protein A
Storage buffer
pH: 7.2 - 7.4 Preservative: 0.05% Sodium azide Constituents: 50% Tissue culture supernatant, 40% Glycerol (glycerin, glycerine), 9.85% Tris glycine, 0.1% BSA
Shipped at conditions
Blue Ice
Appropriate short-term storage conditions
+4°C
Appropriate long-term storage conditions
-20°C
Storage information
Stable for 12 months at -20°C

Supplementary information

This supplementary information is collated from multiple sources and compiled automatically.

SMC1A also known as structural maintenance of chromosomes 1A is an essential component of the cohesin complex. This complex regulates the cohesion of sister chromatids ensuring accurate chromosome segregation during cell division. With a molecular mass of around 143 kDa SMC1A is expressed ubiquitously with higher levels in proliferating cells. It is a member of the SMC protein family possessing distinct N-terminal and C-terminal domains connected by a flexible coiled-coil region.
Biological function summary

SMC1A forms a complex with other proteins most notably SMC3 RAD21 and STAG2. This complex is necessary for maintaining chromatid cohesion during the cell cycle's S and G2 phases. Furthermore SMC1A influences DNA repair specifically homologous recombination by maintaining genome stability. Through its associations SMC1A contributes to regulation of gene expression further illustrating its multifunctional role in cellular processes.

Pathways

SMC1A integrates into DNA damage response and repair pathways. The ATR and ATM signaling pathways interact with SMC1A modulating its function during DNA repair mechanisms. SMC1A associates with proteins like PDS5 and WAPL which influence cohesin dynamics. These interactions stress SMC1A’s role in preserving genomic integrity and controlling cell cycle progression.

Mutations or deregulation of SMC1A links to Cornelia de Lange Syndrome and certain cancers. This role is particularly significant in Cornelia de Lange Syndrome where SMC1A mutations disrupt normal chromosomal condensation and separation. Within oncogenesis SMC1A's interaction with TP53 indicates a broader influence on tumorigenesis emphasizing its involvement in maintaining cellular homeostasis and preventing cancer progression.

Product protocols

For this product, it's our understanding that no specific protocols are required. You can visit:

Target data

Involved in chromosome cohesion during cell cycle and in DNA repair. Central component of cohesin complex. The cohesin complex is required for the cohesion of sister chromatids after DNA replication. The cohesin complex apparently forms a large proteinaceous ring within which sister chromatids can be trapped. At anaphase, the complex is cleaved and dissociates from chromatin, allowing sister chromatids to segregate. The cohesin complex may also play a role in spindle pole assembly during mitosis. Involved in DNA repair via its interaction with BRCA1 and its related phosphorylation by ATM, or via its phosphorylation by ATR. Works as a downstream effector both in the ATM/NBS1 branch and in the ATR/MSH2 branch of S-phase checkpoint.
See full target information SMC1A

Publications (2)

Recent publications for all applications. Explore the full list and refine your search

JCI insight 10: PubMed41059571

2025

AI662270/GRP94 axis couples the unfolded protein response to mitochondrial dynamics during acute myocardial infarction.

Applications

Unspecified application

Species

Unspecified reactive species

Suling Ding,Wen Liu,Zhiwei Zhang,Xiyang Yang,Dili Sun,Jianfu Zhu,Xiaowei Zhu,Shijun Wang,Mengshi Xie,Hongyu Shi,Junbo Ge,Xiangdong Yang

Cellular and molecular gastroenterology and hepatology 14:1177-1198 PubMed35987451

2022

cccDNA Surrogate MC-HBV-Based Screen Identifies Cohesin Complex as a Novel HBV Restriction Factor.

Applications

Unspecified application

Species

Unspecified reactive species

Zhuanchang Wu,Liyuan Wang,Xin Wang,Yang Sun,Haoran Li,Zhaoying Zhang,Caiyue Ren,Xiaohui Zhang,Shuangjie Li,Jinghui Lu,Leiqi Xu,Xuetian Yue,Yue Hong,Qiang Li,Haizhen Zhu,Yaoqin Gong,Chengjiang Gao,Huili Hu,Lifen Gao,Xiaohong Liang,Chunhong Ma
View all publications

Product promise

We are committed to supporting your work with high-quality reagents, and we're here for you every step of the way. In the unlikely event that one of our products does not perform as expected, you're protected by our Product Promise.
For full details, please see our Terms & Conditions

Please note: All products are 'FOR RESEARCH USE ONLY. NOT FOR USE IN DIAGNOSTIC OR THERAPEUTIC PROCEDURES'.

For licensing inquiries, please contact partnerships@abcam.com