JavaScript is disabled in your browser. Please enable JavaScript to view this website.
AB240573

Anti-SMC1A (phospho S957) antibody

Be the first to review this product! Submit a review

|

(0 Publication)

Rabbit Polyclonal SMC1A phospho S957 antibody. Suitable for IHC-P, IP, WB and reacts with Mouse, Human samples. Immunogen corresponding to Synthetic Peptide within Human SMC1A phospho S957.

View Alternative Names

DXS423E, KIAA0178, SB1.8, SMC1, SMC1L1, SMC1A, Structural maintenance of chromosomes protein 1A, SMC protein 1A, SMC-1-alpha, SMC-1A, Sb1.8

4 Images
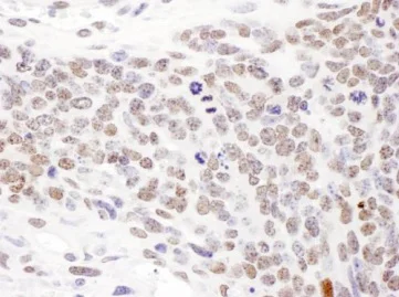
Immunohistochemistry (Formalin/PFA-fixed paraffin-embedded sections) - Anti-SMC1A (phospho S957) antibody (AB240573)
  • IHC-P

Supplier Data

Immunohistochemistry (Formalin/PFA-fixed paraffin-embedded sections) - Anti-SMC1A (phospho S957) antibody (AB240573)

Formalin-fixed, paraffin-embedded human ovarian carcinoma tissue stained for (phospho S957) with ab240573 at 0.2 μg/ml in immunohistochemical analysis. DAB staining.

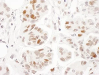
Immunohistochemistry (Formalin/PFA-fixed paraffin-embedded sections) - Anti-SMC1A (phospho S957) antibody (AB240573)
  • IHC-P

Supplier Data

Immunohistochemistry (Formalin/PFA-fixed paraffin-embedded sections) - Anti-SMC1A (phospho S957) antibody (AB240573)

Formalin-fixed, paraffin-embedded mouse teratoma tissue stained for SMC1A (phospho S957) with ab240573 at 1 μg/ml in immunohistochemical analysis. DAB staining.

Western blot - Anti-SMC1A (phospho S957) antibody (AB240573)
  • WB

Unknown

Western blot - Anti-SMC1A (phospho S957) antibody (AB240573)

All lanes:

Western blot - Anti-SMC1A (phospho S957) antibody (ab240573) at 0.1 µg/mL

Lane 1:

HEK-293T (human epithelial cell line from embryonic kidney transformed with large T antigen) (Mock treated) whole cell lysate at 50 µg

Lane 2:

HEK-293T, Treated with 100 uM etoposide for 2 hours, whole cell lysate at 50 µg

Predicted band size: 143 kDa

true

Exposure time: 30s

Immunoprecipitation - Anti-SMC1A (phospho S957) antibody (AB240573)
  • IP

Supplier Data

Immunoprecipitation - Anti-SMC1A (phospho S957) antibody (AB240573)

Detection of SMC1A (phospho S957) by IP.

HEK-293T (human epithelial cell line from embryonic kidney transformed with large T antigen) whole cell lysate (1 mg for IP; 20% of IP loaded) treated with 100 μM etopside for 2 hours (Lane 2) or mock treated (Lane 1).

ab240573 used at 6 μg/mg lysate and at 0.1 μg/ml for WB.

Lane 3 : Control IgG IP in HEK-293T whole cell lysate mock treated.

Lane 4 : Control IgG IP in HEK-293T whole cell lysate treated with 100 μM etopside for 2 hours.

Detection : Chemiluminescence with exposure times of 30 seconds.

All lanes:

Immunoprecipitation - Anti-SMC1A (phospho S957) antibody (ab240573)

Predicted band size: 143 kDa

false

Key facts

Host species

Rabbit

Clonality

Polyclonal

Isotype

IgG

Carrier free

No

Reacts with

Mouse, Human

Applications

IHC-P, IP, WB

applications

Immunogen

Synthetic Peptide within Human SMC1A phospho S957. The exact immunogen used to generate this antibody is proprietary information.

Q14683

Reactivity data

{ "title": "Reactivity Data", "filters": { "stats": ["", "Species", "Dilution Info", "Notes"], "tabs": { "all-applications": {"fullname" : "All Applications", "shortname": "All Applications"}, "IHCP" : {"fullname" : "Immunohistochemistry (Formalin/PFA-fixed paraffin-embedded sections)", "shortname":"IHC-P"}, "IP" : {"fullname" : "Immunoprecipitation", "shortname":"IP"}, "WB" : {"fullname" : "Western blot", "shortname":"WB"} }, "product-promise": { "all": "all", "testedAndGuaranteed": "tested", "guaranteed": "expected", "predicted": "predicted", "notRecommended": "not-recommended" } }, "values": { "Human": { "IHCP-species-checked": "testedAndGuaranteed", "IHCP-species-dilution-info": "1/1000 - 1/5000", "IHCP-species-notes": "<p></p> Perform heat-mediated antigen retrieval with citrate buffer pH 6 before commencing with IHC staining protocol.", "IP-species-checked": "testedAndGuaranteed", "IP-species-dilution-info": "2-10 µg/mg of lysate", "IP-species-notes": "<p></p>", "WB-species-checked": "testedAndGuaranteed", "WB-species-dilution-info": "1/2000 - 1/10000", "WB-species-notes": "<p></p>" }, "Mouse": { "IHCP-species-checked": "testedAndGuaranteed", "IHCP-species-dilution-info": "1/1000 - 1/5000", "IHCP-species-notes": "<p></p> Perform heat-mediated antigen retrieval with citrate buffer pH 6 before commencing with IHC staining protocol.", "IP-species-checked": "guaranteed", "IP-species-dilution-info": "", "IP-species-notes": "", "WB-species-checked": "guaranteed", "WB-species-dilution-info": "", "WB-species-notes": "" }, "Cow": { "IHCP-species-checked": "predicted", "IHCP-species-dilution-info": "", "IHCP-species-notes": "", "IP-species-checked": "predicted", "IP-species-dilution-info": "", "IP-species-notes": "", "WB-species-checked": "predicted", "WB-species-dilution-info": "", "WB-species-notes": "" } } }

Properties and storage information

Form
Liquid
Purification technique
Affinity purification Immunogen
Purification notes
ab240573 was affinity purified using an epitope specific to SMC1A (phospho S957) immobilized on solid support.
Storage buffer
pH: 7 - 8 Preservative: 0.09% Sodium azide Constituents: Tris citrate/phosphate
Shipped at conditions
Blue Ice
Appropriate short-term storage duration
1-2 weeks
Appropriate short-term storage conditions
+4°C
Appropriate long-term storage conditions
-20°C
Aliquoting information
Upon delivery aliquot
Storage information
Avoid freeze / thaw cycle

Supplementary information

This supplementary information is collated from multiple sources and compiled automatically.

SMC1A also known as structural maintenance of chromosomes 1A is an essential component of the cohesin complex. This complex regulates the cohesion of sister chromatids ensuring accurate chromosome segregation during cell division. With a molecular mass of around 143 kDa SMC1A is expressed ubiquitously with higher levels in proliferating cells. It is a member of the SMC protein family possessing distinct N-terminal and C-terminal domains connected by a flexible coiled-coil region.
Biological function summary

SMC1A forms a complex with other proteins most notably SMC3 RAD21 and STAG2. This complex is necessary for maintaining chromatid cohesion during the cell cycle's S and G2 phases. Furthermore SMC1A influences DNA repair specifically homologous recombination by maintaining genome stability. Through its associations SMC1A contributes to regulation of gene expression further illustrating its multifunctional role in cellular processes.

Pathways

SMC1A integrates into DNA damage response and repair pathways. The ATR and ATM signaling pathways interact with SMC1A modulating its function during DNA repair mechanisms. SMC1A associates with proteins like PDS5 and WAPL which influence cohesin dynamics. These interactions stress SMC1A’s role in preserving genomic integrity and controlling cell cycle progression.

Mutations or deregulation of SMC1A links to Cornelia de Lange Syndrome and certain cancers. This role is particularly significant in Cornelia de Lange Syndrome where SMC1A mutations disrupt normal chromosomal condensation and separation. Within oncogenesis SMC1A's interaction with TP53 indicates a broader influence on tumorigenesis emphasizing its involvement in maintaining cellular homeostasis and preventing cancer progression.

Product protocols

For this product, it's our understanding that no specific protocols are required. You can visit:

Target data

Involved in chromosome cohesion during cell cycle and in DNA repair. Central component of cohesin complex. The cohesin complex is required for the cohesion of sister chromatids after DNA replication. The cohesin complex apparently forms a large proteinaceous ring within which sister chromatids can be trapped. At anaphase, the complex is cleaved and dissociates from chromatin, allowing sister chromatids to segregate. The cohesin complex may also play a role in spindle pole assembly during mitosis. Involved in DNA repair via its interaction with BRCA1 and its related phosphorylation by ATM, or via its phosphorylation by ATR. Works as a downstream effector both in the ATM/NBS1 branch and in the ATR/MSH2 branch of S-phase checkpoint.
See full target information SMC1A phospho S957

Product promise

We are committed to supporting your work with high-quality reagents, and we're here for you every step of the way. In the unlikely event that one of our products does not perform as expected, you're protected by our Product Promise.
For full details, please see our Terms & Conditions

Please note: All products are 'FOR RESEARCH USE ONLY. NOT FOR USE IN DIAGNOSTIC OR THERAPEUTIC PROCEDURES'.

For licensing inquiries, please contact partnerships@abcam.com