JavaScript is disabled in your browser. Please enable JavaScript to view this website.
AB176731

Anti-SMCHD1 antibody

Be the first to review this product! Submit a review

|

(2 Publications)

Rabbit Polyclonal SMCHD1 antibody. Suitable for IHC-P, IP, WB and reacts with Human samples. Cited in 2 publications. Immunogen corresponding to Synthetic Peptide within Human SMCHD1 aa 1950 to C-terminus.

View Alternative Names

KIAA0650, SMCHD1, Structural maintenance of chromosomes flexible hinge domain-containing protein 1, SMC hinge domain-containing protein 1

4 Images
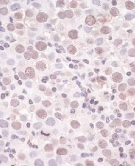
Immunohistochemistry (Formalin/PFA-fixed paraffin-embedded sections) - Anti-SMCHD1 antibody (AB176731)
  • IHC-P

Supplier Data

Immunohistochemistry (Formalin/PFA-fixed paraffin-embedded sections) - Anti-SMCHD1 antibody (AB176731)

Immunohistochemical analysis of formalin-fixed, paraffin-embedded Human testicular seminoma tissue labeling SMCHD1 with ab176731 at 1/200 dilution (1μg/ml). Detection : Peroxidase substrate.

Immunohistochemistry (Formalin/PFA-fixed paraffin-embedded sections) - Anti-SMCHD1 antibody (AB176731)
  • IHC-P

Supplier Data

Immunohistochemistry (Formalin/PFA-fixed paraffin-embedded sections) - Anti-SMCHD1 antibody (AB176731)

Immunohistochemical analysis of formalin-fixed, paraffin-embedded Human non-small cell lung cancer tissue labeling SMCHD1 with ab176731 at 1/200 dilution (1μg/ml). Detection : Peroxidase substrate.

Immunoprecipitation - Anti-SMCHD1 antibody (AB176731)
  • IP

Supplier Data

Immunoprecipitation - Anti-SMCHD1 antibody (AB176731)

Detection of SMCHD1 in Immunoprecipitaties of HeLa whole cell lysate (1 mg for IP, 20% of IP loaded), using ab176731 at 3 μg/mg lysate for IP and at 0.4 μg/ml for subsequent Western blot detection.

Detection : Chemiluminescence with exposure time of 3 seconds.

All lanes:

Immunoprecipitation - Anti-SMCHD1 antibody (ab176731)

Predicted band size: 226 kDa

false

Western blot - Anti-SMCHD1 antibody (AB176731)
  • WB

Supplier Data

Western blot - Anti-SMCHD1 antibody (AB176731)

All lanes:

Western blot - Anti-SMCHD1 antibody (ab176731) at 0.04 µg/mL

Lane 1:

HeLa whole cell lysate at 50 µg

Lane 2:

HeLa whole cell lysate at 15 µg

Lane 3:

HeLa whole cell lysate at 5 µg

Lane 4:

293T whole cell lysate at 50 µg

Predicted band size: 226 kDa

true

Exposure time: 3min

Key facts

Host species

Rabbit

Clonality

Polyclonal

Isotype

IgG

Carrier free

No

Reacts with

Human

Applications

IP, WB, IHC-P

applications

Immunogen

Synthetic Peptide within Human SMCHD1 aa 1950 to C-terminus. The exact immunogen used to generate this antibody is proprietary information.

A6NHR9

Reactivity data

{ "title": "Reactivity Data", "filters": { "stats": ["", "Species", "Dilution Info", "Notes"], "tabs": { "all-applications": {"fullname" : "All Applications", "shortname": "All Applications"}, "IHCP" : {"fullname" : "Immunohistochemistry (Formalin/PFA-fixed paraffin-embedded sections)", "shortname":"IHC-P"}, "IP" : {"fullname" : "Immunoprecipitation", "shortname":"IP"}, "WB" : {"fullname" : "Western blot", "shortname":"WB"} }, "product-promise": { "all": "all", "testedAndGuaranteed": "tested", "guaranteed": "expected", "predicted": "predicted", "notRecommended": "not-recommended" } }, "values": { "Human": { "IHCP-species-checked": "testedAndGuaranteed", "IHCP-species-dilution-info": "1/100 - 1/500", "IHCP-species-notes": "<p></p> Perform heat-mediated antigen retrieval with citrate buffer pH 6 before commencing with IHC staining protocol.", "IP-species-checked": "testedAndGuaranteed", "IP-species-dilution-info": "2-5 µg/mg of lysate", "IP-species-notes": "<p></p>", "WB-species-checked": "testedAndGuaranteed", "WB-species-dilution-info": "1/2000 - 1/10000", "WB-species-notes": "<p></p>" }, "Chimpanzee": { "IHCP-species-checked": "predicted", "IHCP-species-dilution-info": "", "IHCP-species-notes": "", "IP-species-checked": "predicted", "IP-species-dilution-info": "", "IP-species-notes": "", "WB-species-checked": "predicted", "WB-species-dilution-info": "", "WB-species-notes": "" }, "Cynomolgus monkey": { "IHCP-species-checked": "predicted", "IHCP-species-dilution-info": "", "IHCP-species-notes": "", "IP-species-checked": "predicted", "IP-species-dilution-info": "", "IP-species-notes": "", "WB-species-checked": "predicted", "WB-species-dilution-info": "", "WB-species-notes": "" }, "Gorilla": { "IHCP-species-checked": "predicted", "IHCP-species-dilution-info": "", "IHCP-species-notes": "", "IP-species-checked": "predicted", "IP-species-dilution-info": "", "IP-species-notes": "", "WB-species-checked": "predicted", "WB-species-dilution-info": "", "WB-species-notes": "" }, "Rabbit": { "IHCP-species-checked": "predicted", "IHCP-species-dilution-info": "", "IHCP-species-notes": "", "IP-species-checked": "predicted", "IP-species-dilution-info": "", "IP-species-notes": "", "WB-species-checked": "predicted", "WB-species-dilution-info": "", "WB-species-notes": "" }, "Rhesus monkey": { "IHCP-species-checked": "predicted", "IHCP-species-dilution-info": "", "IHCP-species-notes": "", "IP-species-checked": "predicted", "IP-species-dilution-info": "", "IP-species-notes": "", "WB-species-checked": "predicted", "WB-species-dilution-info": "", "WB-species-notes": "" } } }

Properties and storage information

Form
Liquid
Purification technique
Affinity purification Immunogen
Purification notes
ab176731 is affinity purified using an epitope specific to SMCHD1 immobilized on solid support.
Storage buffer
pH: 6.8 - 7.4 Preservative: 0.09% Sodium azide Constituents: 99% Tris buffered saline, 0.1% BSA
Shipped at conditions
Blue Ice
Appropriate short-term storage duration
1-2 weeks
Appropriate short-term storage conditions
+4°C
Appropriate long-term storage conditions
-20°C
Aliquoting information
Upon delivery aliquot
Storage information
Avoid freeze / thaw cycle

Supplementary information

This supplementary information is collated from multiple sources and compiled automatically.

Structural Maintenance of Chromosomes Flexible Hinge Domain Containing 1 (SMCHD1) is a chromatin-associated protein known by several names including FSHD2 protein. It has an approximate mass of 253 kDa. SMCHD1 functions primarily as an epigenetic repressor; it modifies the chromatin structure by influencing histone positioning. SMCHD1 is expressed abundantly in a variety of tissues including muscle and neural tissues indicating its widespread importance in cellular regulation.
Biological function summary

SMCHD1 modulates gene expression by modifying the chromatin landscape. It is not only involved in chromatin remodeling but also interacts as a part of a larger protein complex that affects transcriptional silencing. By mediating gene silencing SMCHD1 is important for processes such as X-chromosome inactivation in females and the silencing of certain imprinted genes which require precise regulation and inheritance patterns.

Pathways

SMCHD1 plays a role in the epigenetic regulatory pathway influencing genomic imprinting and X-chromosome inactivation. It works alongside proteins such as EZH2 from the Polycomb Repressive Complex 2 (PRC2) and HP1 proteins demonstrating its integration in chromatin organization and gene expression control. Studies show that SMCHD1 has a relationship with pathways directed by these proteins highlighting its collaborative regulation of chromatin architecture.

SMCHD1 associates with two conditions: facioscapulohumeral muscular dystrophy type 2 (FSHD2) and Bosma arhinia microphthalmia syndrome (BAMS). FSHD2 involves mutations in SMCHD1 leading to misregulated expression of DUX4 a protein linked to muscle degeneration while BAMS relates to developmental defects due to disrupted chromatin dynamics. SMCHD1's connection with these conditions underlines its significant role in maintaining proper genomic function and highlights its potential as a target for therapeutic interventions.

Product protocols

For this product, it's our understanding that no specific protocols are required. You can visit:

Target data

Non-canonical member of the structural maintenance of chromosomes (SMC) protein family that plays a key role in epigenetic silencing by regulating chromatin architecture (By similarity). Promotes heterochromatin formation in both autosomes and chromosome X, probably by mediating the merge of chromatin compartments (By similarity). Plays a key role in chromosome X inactivation in females by promoting the spreading of heterochromatin (PubMed : 23542155). Recruited to inactivated chromosome X by Xist RNA and acts by mediating the merge of chromatin compartments : promotes random chromatin interactions that span the boundaries of existing structures, leading to create a compartment-less architecture typical of inactivated chromosome X (By similarity). Required to facilitate Xist RNA spreading (By similarity). Also required for silencing of a subset of clustered autosomal loci in somatic cells, such as the DUX4 locus (PubMed : 23143600). Has ATPase activity; may participate in structural manipulation of chromatin in an ATP-dependent manner as part of its role in gene expression regulation (PubMed : 29748383). Also plays a role in DNA repair : localizes to sites of DNA double-strand breaks in response to DNA damage to promote the repair of DNA double-strand breaks (PubMed : 24790221, PubMed : 25294876). Acts by promoting non-homologous end joining (NHEJ) and inhibiting homologous recombination (HR) repair (PubMed : 25294876).
See full target information SMCHD1

Publications (2)

Recent publications for all applications. Explore the full list and refine your search

Communications biology 6:677 PubMed37380887

2023

SMCHD1 and LRIF1 converge at the FSHD-associated D4Z4 repeat and LRIF1 promoter yet display different modes of action.

Applications

Unspecified application

Species

Unspecified reactive species

Darina Šikrová,Alessandra M Testa,Iris Willemsen,Anita van den Heuvel,Stephen J Tapscott,Lucia Daxinger,Judit Balog,Silvère M van der Maarel

Journal of medical genetics 55:469-478 PubMed29563141

2018

Monosomy 18p is a risk factor for facioscapulohumeral dystrophy.

Applications

Unspecified application

Species

Unspecified reactive species

Judit Balog,Remko Goossens,Richard J L F Lemmers,Kirsten R Straasheijm,Patrick J van der Vliet,Anita van den Heuvel,Chiara Cambieri,Nicolas Capet,Léonard Feasson,Veronique Manel,Julian Contet,Marjolein Kriek,Colleen M Donlin-Smith,Claudia A L Ruivenkamp,Patricia Heard,Stephen J Tapscott,Jannine D Cody,Rabi Tawil,Sabrina Sacconi,Silvère M van der Maarel
View all publications

Product promise

We are committed to supporting your work with high-quality reagents, and we're here for you every step of the way. In the unlikely event that one of our products does not perform as expected, you're protected by our Product Promise.
For full details, please see our Terms & Conditions

Please note: All products are 'FOR RESEARCH USE ONLY. NOT FOR USE IN DIAGNOSTIC OR THERAPEUTIC PROCEDURES'.

For licensing inquiries, please contact partnerships@abcam.com