JavaScript is disabled in your browser. Please enable JavaScript to view this website.
AB175235

Anti-SMCHD1 antibody [EPR12340]

Be the first to review this product! Submit a review

|

(1 Publication)

Rabbit Recombinant Monoclonal SMCHD1 antibody. Suitable for IP, WB, IHC-P and reacts with Human samples. Cited in 1 publication.

View Alternative Names

KIAA0650, SMCHD1, Structural maintenance of chromosomes flexible hinge domain-containing protein 1, SMC hinge domain-containing protein 1

4 Images
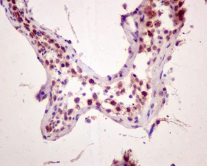
Immunohistochemistry (Formalin/PFA-fixed paraffin-embedded sections) - Anti-SMCHD1 antibody [EPR12340] (AB175235)
  • IHC-P

Supplier Data

Immunohistochemistry (Formalin/PFA-fixed paraffin-embedded sections) - Anti-SMCHD1 antibody [EPR12340] (AB175235)

Immunohistochemical analysis of paraffin embedded Human testis tissue labeling SMCHD1 with ab175235 at 1/50.

Perform heat mediated antigen retrieval with citrate buffer pH 6 before commencing with IHC staining protocol.

Immunohistochemistry (Formalin/PFA-fixed paraffin-embedded sections) - Anti-SMCHD1 antibody [EPR12340] (AB175235)
  • IHC-P

Supplier Data

Immunohistochemistry (Formalin/PFA-fixed paraffin-embedded sections) - Anti-SMCHD1 antibody [EPR12340] (AB175235)

Immunohistochemical analysis of paraffin embedded Human lung carcinoma tissue labeling SMCHD1 with ab175235 at 1/50.

Perform heat mediated antigen retrieval with citrate buffer pH 6 before commencing with IHC staining protocol.

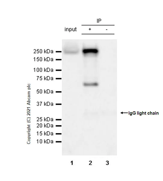
Immunoprecipitation - Anti-SMCHD1 antibody [EPR12340] (AB175235)
  • IP

Supplier Data

Immunoprecipitation - Anti-SMCHD1 antibody [EPR12340] (AB175235)

Blocking buffer and concentration : 5% NFDM/TBST.

The 60 kDa band in the IP lane may be caused by cleavage (PMID : 30071896).

All lanes:

Immunoprecipitation - Anti-SMCHD1 antibody [EPR12340] (ab175235) at 1/1000 dilution

Lane 1:

HeLa (human cervix adenocarcinoma epithelial cell) whole cell lysate at 10 µg

Lane 2:

HeLa whole cell lysate

Lane 3:

Rabbit monoclonal IgG (<a href='/en-us/products/primary-antibodies/rabbit-igg-monoclonal-epr25a-isotype-control-ab172730'>ab172730</a>) instead of ab175235 in HeLa whole cell lysate

Secondary

All lanes:

Immunoprecipitation - VeriBlot for IP Detection Reagent (HRP) (<a href='/en-us/products/reagents/veriblot-for-ip-detection-reagent-hrp-ab131366'>ab131366</a>) at 1/5000 dilution

Predicted band size: 226 kDa

Observed band size: 226 kDa,60 kDa

true

Exposure time: 10s

Western blot - Anti-SMCHD1 antibody [EPR12340] (AB175235)
  • WB

Supplier Data

Western blot - Anti-SMCHD1 antibody [EPR12340] (AB175235)

All lanes:

Western blot - Anti-SMCHD1 antibody [EPR12340] (ab175235) at 1/1000 dilution

Lane 1:

293T (Human embryonic kidney epithelial cell) cell lysate at 10 µg

Lane 2:

HepG2 cell lysate at 10 µg

Lane 3:

HeLa cell lysate at 10 µg

Lane 4:

U-87 MG (Human glioblastoma-astrocytoma epithelial cell line) cell lysate at 10 µg

Predicted band size: 226 kDa

false

  • Carrier free

    Anti-SMCHD1 antibody [EPR12340] - BSA and Azide free

Key facts

Host species

Rabbit

Clonality

Monoclonal

Clone number

EPR12340

Isotype

IgG

Carrier free

No

Reacts with

Human

Applications

IHC-P, WB, IP

applications

Immunogen

The exact immunogen used to generate this antibody is proprietary information.

Reactivity data

{ "title": "Reactivity Data", "filters": { "stats": ["", "Species", "Dilution Info", "Notes"], "tabs": { "all-applications": {"fullname" : "All Applications", "shortname": "All Applications"}, "ICCIF" : {"fullname" : "Immunocytochemistry/ Immunofluorescence", "shortname":"ICC/IF"}, "IP" : {"fullname" : "Immunoprecipitation", "shortname":"IP"}, "FlowCyt" : {"fullname" : "Flow Cytometry", "shortname":"Flow Cyt"}, "WB" : {"fullname" : "Western blot", "shortname":"WB"}, "IHCP" : {"fullname" : "Immunohistochemistry (Formalin/PFA-fixed paraffin-embedded sections)", "shortname":"IHC-P"} }, "product-promise": { "all": "all", "testedAndGuaranteed": "tested", "guaranteed": "expected", "predicted": "predicted", "notRecommended": "not-recommended" } }, "values": { "Human": { "ICCIF-species-checked": "notRecommended", "ICCIF-species-dilution-info": "", "ICCIF-species-notes": "<p></p>", "IP-species-checked": "testedAndGuaranteed", "IP-species-dilution-info": "1/30", "IP-species-notes": "<p></p>", "FlowCyt-species-checked": "notRecommended", "FlowCyt-species-dilution-info": "", "FlowCyt-species-notes": "<p></p>", "WB-species-checked": "testedAndGuaranteed", "WB-species-dilution-info": "1/1000", "WB-species-notes": "<p></p>", "IHCP-species-checked": "testedAndGuaranteed", "IHCP-species-dilution-info": "1/50", "IHCP-species-notes": "<p></p>" }, "Mouse": { "ICCIF-species-checked": "notRecommended", "ICCIF-species-dilution-info": "", "ICCIF-species-notes": "", "IP-species-checked": "notRecommended", "IP-species-dilution-info": "1/30", "IP-species-notes": "<p></p>", "FlowCyt-species-checked": "notRecommended", "FlowCyt-species-dilution-info": "", "FlowCyt-species-notes": "", "WB-species-checked": "notRecommended", "WB-species-dilution-info": "1/1000", "WB-species-notes": "<p></p>", "IHCP-species-checked": "notRecommended", "IHCP-species-dilution-info": "", "IHCP-species-notes": "" }, "Rat": { "ICCIF-species-checked": "notRecommended", "ICCIF-species-dilution-info": "", "ICCIF-species-notes": "", "IP-species-checked": "notRecommended", "IP-species-dilution-info": "", "IP-species-notes": "", "FlowCyt-species-checked": "notRecommended", "FlowCyt-species-dilution-info": "", "FlowCyt-species-notes": "", "WB-species-checked": "notRecommended", "WB-species-dilution-info": "1/1000", "WB-species-notes": "<p></p>", "IHCP-species-checked": "notRecommended", "IHCP-species-dilution-info": "", "IHCP-species-notes": "" } } }

Product details

Species reactivity
Mouse, Rat: We have preliminary internal testing data to indicate this antibody may not react with these species.
Please contact us for more information.

Patented technology
Our RabMAb® technology is a patented hybridoma-based technology for making rabbit monoclonal antibodies. For details on our patents, please refer to RabMAb® patents.

What are the advantages of a recombinant monoclonal antibody?
This product is a recombinant monoclonal antibody, which offers several advantages including:

  • - High batch-to-batch consistency and reproducibility
  • - Improved sensitivity and specificity
  • - Long-term security of supply
  • - Animal-free batch production

For more information, read more on recombinant antibodies.

Properties and storage information

Form
Liquid
Purification technique
Affinity purification Protein A
Storage buffer
pH: 7.2 - 7.4 Preservative: 0.01% Sodium azide Constituents: PBS, 50% Tissue culture supernatant, 40% Glycerol (glycerin, glycerine), 0.05% BSA
Shipped at conditions
Blue Ice
Appropriate short-term storage duration
1-2 weeks
Appropriate short-term storage conditions
+4°C
Appropriate long-term storage conditions
-20°C
Aliquoting information
Upon delivery aliquot
Storage information
Avoid freeze / thaw cycle

Supplementary information

This supplementary information is collated from multiple sources and compiled automatically.

Structural Maintenance of Chromosomes Flexible Hinge Domain Containing 1 (SMCHD1) is a chromatin-associated protein known by several names including FSHD2 protein. It has an approximate mass of 253 kDa. SMCHD1 functions primarily as an epigenetic repressor; it modifies the chromatin structure by influencing histone positioning. SMCHD1 is expressed abundantly in a variety of tissues including muscle and neural tissues indicating its widespread importance in cellular regulation.
Biological function summary

SMCHD1 modulates gene expression by modifying the chromatin landscape. It is not only involved in chromatin remodeling but also interacts as a part of a larger protein complex that affects transcriptional silencing. By mediating gene silencing SMCHD1 is important for processes such as X-chromosome inactivation in females and the silencing of certain imprinted genes which require precise regulation and inheritance patterns.

Pathways

SMCHD1 plays a role in the epigenetic regulatory pathway influencing genomic imprinting and X-chromosome inactivation. It works alongside proteins such as EZH2 from the Polycomb Repressive Complex 2 (PRC2) and HP1 proteins demonstrating its integration in chromatin organization and gene expression control. Studies show that SMCHD1 has a relationship with pathways directed by these proteins highlighting its collaborative regulation of chromatin architecture.

SMCHD1 associates with two conditions: facioscapulohumeral muscular dystrophy type 2 (FSHD2) and Bosma arhinia microphthalmia syndrome (BAMS). FSHD2 involves mutations in SMCHD1 leading to misregulated expression of DUX4 a protein linked to muscle degeneration while BAMS relates to developmental defects due to disrupted chromatin dynamics. SMCHD1's connection with these conditions underlines its significant role in maintaining proper genomic function and highlights its potential as a target for therapeutic interventions.

Product protocols

For this product, it's our understanding that no specific protocols are required. You can visit:

Target data

Non-canonical member of the structural maintenance of chromosomes (SMC) protein family that plays a key role in epigenetic silencing by regulating chromatin architecture (By similarity). Promotes heterochromatin formation in both autosomes and chromosome X, probably by mediating the merge of chromatin compartments (By similarity). Plays a key role in chromosome X inactivation in females by promoting the spreading of heterochromatin (PubMed : 23542155). Recruited to inactivated chromosome X by Xist RNA and acts by mediating the merge of chromatin compartments : promotes random chromatin interactions that span the boundaries of existing structures, leading to create a compartment-less architecture typical of inactivated chromosome X (By similarity). Required to facilitate Xist RNA spreading (By similarity). Also required for silencing of a subset of clustered autosomal loci in somatic cells, such as the DUX4 locus (PubMed : 23143600). Has ATPase activity; may participate in structural manipulation of chromatin in an ATP-dependent manner as part of its role in gene expression regulation (PubMed : 29748383). Also plays a role in DNA repair : localizes to sites of DNA double-strand breaks in response to DNA damage to promote the repair of DNA double-strand breaks (PubMed : 24790221, PubMed : 25294876). Acts by promoting non-homologous end joining (NHEJ) and inhibiting homologous recombination (HR) repair (PubMed : 25294876).
See full target information SMCHD1

Publications (1)

Recent publications for all applications. Explore the full list and refine your search

Biology direct 20:89 PubMed40696397

2025

CLIC2 regulates immunosuppression and macrophage differentiation in genomically stable gastric cancer.

Applications

Unspecified application

Species

Unspecified reactive species

Viviana Longo,Pellegrino Mazzone,Giovanni Calice,Pietro Zoppoli,Giuseppina Di Paola,Giuseppe Cesta,Margherita Luongo,Claudia Sabato,Sabino Russi,Simona Laurino,Tiziana Notarangelo,Giuseppe Patitucci,Chiara Balzamo,Valeria Lucci,Elena Amendola,Giuseppina Amodio,Paolo Remondelli,Valentina Pagliara,Maria Rita Milone,Roberta Guadagno,Cristofaro De Stefano,Ferdinando De Vita,Geppino Falco,Francesco Albano
View all publications

Product promise

We are committed to supporting your work with high-quality reagents, and we're here for you every step of the way. In the unlikely event that one of our products does not perform as expected, you're protected by our Product Promise.
For full details, please see our Terms & Conditions

Please note: All products are 'FOR RESEARCH USE ONLY. NOT FOR USE IN DIAGNOSTIC OR THERAPEUTIC PROCEDURES'.

For licensing inquiries, please contact partnerships@abcam.com