JavaScript is disabled in your browser. Please enable JavaScript to view this website.
AB317812

Anti-SMCHD1 antibody [EPR27952-42] - BSA and Azide free

Be the first to review this product! Submit a review

|

(0 Publication)

Rabbit Recombinant Monoclonal SMCHD1 antibody. Carrier free. Suitable for WB, IP, ChIC/CUT&RUN-seq and reacts with Human, Mouse samples.

View Alternative Names

KIAA0650, SMCHD1, Structural maintenance of chromosomes flexible hinge domain-containing protein 1, SMC hinge domain-containing protein 1

11 Images
Immunoprecipitation - Anti-SMCHD1 antibody [EPR27952-42] - BSA and Azide free (AB317812)
  • IP

Supplier Data

Immunoprecipitation - Anti-SMCHD1 antibody [EPR27952-42] - BSA and Azide free (AB317812)

This data was developed using ab317811, the same antibody clone in a different buffer formulation.

SMCHD1 was immunoprecipitated from 0.35 mg HCT 116 (human colorectal carcinoma epithelial cell) whole cell lysate with ab317811 at 1/30 dilution (2ug in 0.35mg lysates). Western blot was performed on the immunoprecipitate using ab317811 at 1/1000 dilution. VeriBlot for IP secondary antibody(HRP)(ab131366) was used at 1/5000 dilution.

Lane 1 : HCT 116 (human colorectal carcinoma epithelial cell) whole cell lysate
Lane 2 : ab317811 IP in HCT 116 (human colorectal carcinoma epithelial cell) whole cell lysate
Lane 3 : Rabbit monoclonal IgG (ab172730) instead of ab317811 in HCT 116 whole cell lysate

All lanes:

Immunoprecipitation - Anti-SMCHD1 antibody [EPR27952-42] (<a href='/en-us/products/primary-antibodies/smchd1-antibody-epr27952-42-ab317811'>ab317811</a>) at 1/30 dilution

All lanes:

HCT 116 (human colorectal carcinoma epithelial cell) whole cell lysate with NFDM/TBST

Secondary

All lanes:

Immunoprecipitation - VeriBlot for IP Detection Reagent (HRP) (<a href='/en-us/products/reagents/veriblot-for-ip-detection-reagent-hrp-ab131366'>ab131366</a>) at 1/5000 dilution

false

Exposure time: 180s

Immunoprecipitation - Anti-SMCHD1 antibody [EPR27952-42] - BSA and Azide free (AB317812)
  • IP

Lab

Immunoprecipitation - Anti-SMCHD1 antibody [EPR27952-42] - BSA and Azide free (AB317812)

This data was developed using ab317811, the same antibody clone in a different buffer formulation.

SMCHD1 was immunoprecipitated from 0.35 mg EL4 (mouse lymphoma T lymphocyte) whole cell lysate with ab317811 at 1/30 dilution (2µg in 0.35mg lysates). Western blot was performed on the immunoprecipitate using ab317811 at 1/1000 dilution. VeriBlot for IP secondary antibody(HRP)(ab131366) was used at 1/5000 dilution.

Blocking and dilution buffer and concentration : 5% NFDM/TBST.

All lanes:

Immunoprecipitation - Anti-SMCHD1 antibody [EPR27952-42] (<a href='/en-us/products/primary-antibodies/smchd1-antibody-epr27952-42-ab317811'>ab317811</a>) at 1/1000 dilution

Lane 1:

EL4 (mouse lymphoma T lymphocyte) whole cell lysate (Input) at 10 µg

Lane 2:

EL4 (mouse lymphoma T lymphocyte) whole cell lysate

Lane 3:

Rabbit monoclonal IgG (<a href='/en-us/products/primary-antibodies/rabbit-igg-monoclonal-epr25a-isotype-control-ab172730'>ab172730</a>) instead of <a href='/en-us/products/primary-antibodies/smchd1-antibody-epr27952-42-ab317811'>ab317811</a> in EL4 whole cell lysate

Secondary

All lanes:

Immunoprecipitation - VeriBlot for IP Detection Reagent (HRP) (<a href='/en-us/products/reagents/veriblot-for-ip-detection-reagent-hrp-ab131366'>ab131366</a>) at 1/5000 dilution

Observed band size: 226 kDa

false

Exposure time: 180s

Western blot - Anti-SMCHD1 antibody [EPR27952-42] - BSA and Azide free (AB317812)
  • WB

Lab

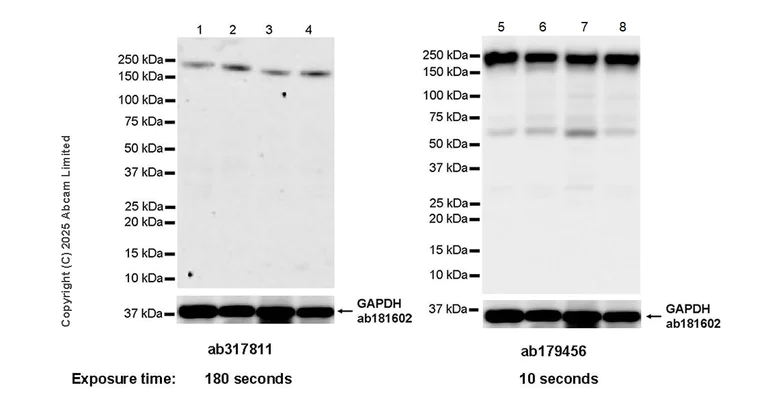
Western blot - Anti-SMCHD1 antibody [EPR27952-42] - BSA and Azide free (AB317812)

This data was developed using ab317811, the same antibody clone in a different buffer formulation.

In Western blot, Anti-GAPDH antibody [EPR16891] - Loading Control (ab181602) staining at 1/200000 dilution.

Exposure time : Lane 1-4 : 180 seconds; Lane 5-8 : 10 seconds

In Western blot analysis, ab317811 exhibited lower sensitivity compared to ab179456, for which reason we recommend the latter as a superior alternative.

Protocol optimizations including used gels with concentration of 6% and a two hours electrical transfer are suggested if ab109746 must be used.

Lanes 1 - 4:

Western blot - Anti-SMCHD1 antibody [EPR27952-42] (<a href='/en-us/products/primary-antibodies/smchd1-antibody-epr27952-42-ab317811'>ab317811</a>) at 1/1000 dilution

Lanes 5 - 8:

Western blot - Anti-SMCHD1 antibody [EPR12340-29] (<a href='/en-us/products/primary-antibodies/smchd1-antibody-epr12340-29-ab179456'>ab179456</a>) at 1/1000 dilution

Lanes 1 and 5:

HeLa (human cervical adenocarcinoma epithelial cell) whole cell lysate at 20 µg

Lanes 2 and 6:

HCT 116 (human colorectal carcinoma epithelial cell) whole cell lysate at 20 µg

Lanes 3 and 7:

U-2 OS (human bone osteosarcoma epithelial cell) whole cell lysate at 20 µg

Lanes 4 and 8:

SH-SY5Y (human neuroblastoma epithelial cell) whole cell lysate at 20 µg

Secondary

All lanes:

Western blot - Goat Anti-Rabbit IgG H&L (HRP) (<a href='/en-us/products/secondary-antibodies/goat-rabbit-igg-h-l-hrp-ab97051'>ab97051</a>) at 1/20000 dilution

Observed band size: 226 kDa

false

Exposure time: 180s

Western blot - Anti-SMCHD1 antibody [EPR27952-42] - BSA and Azide free (AB317812)
  • WB

Lab

Western blot - Anti-SMCHD1 antibody [EPR27952-42] - BSA and Azide free (AB317812)

This data was developed using ab317811, the same antibody clone in a different buffer formulation.

Low expression : MCF7.

In Western blot, Anti-Vinculin antibody [EPR8185] (ab129002) staining at 1/10000 dilution.

This Western blot was performed using 6% gels, followed by a two-hour electrical transfer, which showed significantly stronger signals.

All lanes:

Western blot - Anti-SMCHD1 antibody [EPR27952-42] (<a href='/en-us/products/primary-antibodies/smchd1-antibody-epr27952-42-ab317811'>ab317811</a>) at 1/1000 dilution

Lane 1:

HeLa (human cervical adenocarcinoma epithelial cell) whole cell lysate at 20 µg

Lane 2:

HCT 116 (human colorectal carcinoma epithelial cell) whole cell lysate at 20 µg

Lane 3:

U-2 OS (human bone osteosarcoma epithelial cell) whole cell lysate at 20 µg

Lane 4:

SH-SY5Y (human neuroblastoma epithelial cell) whole cell lysate at 20 µg

Lane 5:

MCF7 (human breast adenocarcinoma epithelial cell) whole cell lysate at 20 µg

Lane 6:

HepG2 (human hepatocellular carcinoma epithelial cell) whole cell lysate at 20 µg

Lane 7:

SK-OV-3 (human ovarian cancer epithelial cell) whole cell lysate at 20 µg

Lane 8:

C2C12 (mouse myoblast) whole cell lysate at 20 µg

Secondary

All lanes:

Western blot - Goat Anti-Rabbit IgG H&L (HRP) (<a href='/en-us/products/secondary-antibodies/goat-rabbit-igg-h-l-hrp-ab97051'>ab97051</a>) at 1/20000 dilution

Observed band size: 226 kDa

false

Exposure time: 180s

ChIC/CUT&RUN sequencing - Anti-SMCHD1 antibody [EPR27952-42] - BSA and Azide free (AB317812)
  • ChIC/CUT&RUN-seq

Supplier Data

ChIC/CUT&RUN sequencing - Anti-SMCHD1 antibody [EPR27952-42] - BSA and Azide free (AB317812)

This data was developed using ab317811, the same antibody clone in a different buffer formulation.

ChIC/CUT&RUN was performed using a pAG-MNase at a final concentration of 700 ng/mL, 2.5 x 105 HCT 116 (human colorectal carcinoma epithelial cell) cells and 5 µg of ab317811 [EPR27952-42]. The resulting DNA was sequenced on the Illumina NovaSeq 6000 to a depth of 10 million reads. The negative IgG control ab172730 is also shown. The University of Geneva owns patents relevant to ChIC (Chromatin Immuno-Cleavage) methods.

ChIC/CUT&RUN sequencing - Anti-SMCHD1 antibody [EPR27952-42] - BSA and Azide free (AB317812)
  • ChIC/CUT&RUN-seq

Supplier Data

ChIC/CUT&RUN sequencing - Anti-SMCHD1 antibody [EPR27952-42] - BSA and Azide free (AB317812)

This data was developed using ab317811, the same antibody clone in a different buffer formulation.

ChIC/CUT&RUN was performed using a pAG-MNase at a final concentration of 700 ng/mL, 2.5 x 105 HCT 116 (human colorectal carcinoma epithelial cell) cells and 5 µg of ab317811 [EPR27952-42]. The resulting DNA was sequenced on the Illumina NovaSeq 6000 to a depth of 10 million reads. The negative IgG control ab172730 is also shown. The University of Geneva owns patents relevant to ChIC (Chromatin Immuno-Cleavage) methods.

ChIC/CUT&RUN sequencing - Anti-SMCHD1 antibody [EPR27952-42] - BSA and Azide free (AB317812)
  • ChIC/CUT&RUN-seq

Supplier Data

ChIC/CUT&RUN sequencing - Anti-SMCHD1 antibody [EPR27952-42] - BSA and Azide free (AB317812)

This data was developed using ab317811, the same antibody clone in a different buffer formulation.

ChIC/CUT&RUN was performed using a pAG-MNase at a final concentration of 700 ng/mL, 2.5 x 105 HCT 116 (human colorectal carcinoma epithelial cell) cells and 5 µg of ab317811 [EPR27952-42]. The resulting DNA was sequenced on the Illumina NovaSeq 6000 to a depth of 10 million reads. The negative IgG control ab172730 is also shown. The University of Geneva owns patents relevant to ChIC (Chromatin Immuno-Cleavage) methods.

Western blot - Anti-SMCHD1 antibody [EPR27952-42] - BSA and Azide free (AB317812)
  • WB

Lab

Western blot - Anti-SMCHD1 antibody [EPR27952-42] - BSA and Azide free (AB317812)

This data was developed using ab317811, the same antibody clone in a different buffer formulation.

Blocking and diluting buffer : 5% NFDM/TBST

Low expression : liver.

This Western blot was performed using 6% gels, followed by a two-hour electrical transfer, which showed significantly stronger signals.

In Western blot, Anti-Vinculin antibody [EPR8185] (ab129002) staining at 1/10000 dilution.

All lanes:

Western blot - Anti-SMCHD1 antibody [EPR27952-42] (<a href='/en-us/products/primary-antibodies/smchd1-antibody-epr27952-42-ab317811'>ab317811</a>) at 1/1000 dilution

Lane 1:

Mouse spleen tissue lysate at 50 µg

Lane 2:

Mouse testis tissue lysate at 50 µg

Lane 3:

Mouse liver tissue lysate at 50 µg

Secondary

All lanes:

Western blot - Goat Anti-Rabbit IgG H&L (HRP) (<a href='/en-us/products/secondary-antibodies/goat-rabbit-igg-h-l-hrp-ab97051'>ab97051</a>) at 1/20000 dilution

Observed band size: 226 kDa

false

Exposure time: 180s

Western blot - Anti-SMCHD1 antibody [EPR27952-42] - BSA and Azide free (AB317812)
  • WB

Lab

Western blot - Anti-SMCHD1 antibody [EPR27952-42] - BSA and Azide free (AB317812)

This data was developed using ab317811, the same antibody clone in a different buffer formulation.

This Western blot was performed using 6% gels, followed by a two-hour electrical transfer, which showed significantly stronger signals.

All lanes:

Western blot - Anti-SMCHD1 antibody [EPR27952-42] (<a href='/en-us/products/primary-antibodies/smchd1-antibody-epr27952-42-ab317811'>ab317811</a>) at 1/1000 dilution

Lane 1:

4T1 (mouse mammary gland carcinoma epithelial cell) whole cell lysate at 50 µg

Lane 2:

EL4 (mouse lymphoma T lymphocyte) whole cell lysate at 50 µg

Lane 3:

F9 (mouse embryonal carcinoma epithelial cell) whole cell lysate at 50 µg

Lane 4:

Neuro-2a (mouse neuroblastoma neuroblast) whole cell lysate at 50 µg

Secondary

All lanes:

Western blot - Goat Anti-Rabbit IgG H&L (HRP) (<a href='/en-us/products/secondary-antibodies/goat-rabbit-igg-h-l-hrp-ab97051'>ab97051</a>) at 1/20000 dilution

Observed band size: 226 kDa

false

Exposure time: 180s

Western blot - Anti-SMCHD1 antibody [EPR27952-42] - BSA and Azide free (AB317812)
  • WB

Supplier Data

Western blot - Anti-SMCHD1 antibody [EPR27952-42] - BSA and Azide free (AB317812)

This data was developed using ab317811, the same antibody clone in a different buffer formulation.

Low expression : liver.

The lanes 4-5 of this blot was developed using a high sensitivity ECL substrate.

The identity of the lower MW bands in lanes 4-5 are unknown.

In Western blot, Anti-Vinculin antibody [EPR8185] (ab129002) staining at 1/10000 dilution.

Exposure time : Lanes 1-3 : 180 seconds; Lanes 4-5 : 103 seconds.

Lane 1:

Mouse spleen tissue lysate

Lane 2:

Mouse testis tissue lysate

Lane 3:

Mouse liver tissue lysate

Lane 4:

Rat spleen tissue lysate

Lane 5:

Rat liver tissue lysate

false

Western blot - Anti-SMCHD1 antibody [EPR27952-42] - BSA and Azide free (AB317812)
  • WB

Supplier Data

Western blot - Anti-SMCHD1 antibody [EPR27952-42] - BSA and Azide free (AB317812)

This data was developed using ab317811, the same antibody clone in a different buffer formulation.

Low expression : MCF7.

The lane 9 of this blot was developed using a high sensitivity ECL substrate.

In Western blot, Anti-Vinculin antibody [EPR8185] (ab129002) staining at 1/10000 dilution.

Exposure time : Lanes 1-8 : 180 seconds; Lane 9 : 59 seconds.

Lane 1:

HeLa (human cervical adenocarcinoma epithelial cell) whole cell lysate

Lane 2:

HCT 116 (human colorectal carcinoma epithelial cell) whole cell lysate

Lane 3:

U-2 OS (human bone osteosarcoma epithelial cell) whole cell lysate

Lane 4:

SH-SY5Y (human neuroblastoma epithelial cell) whole cell lysate

Lane 5:

MCF7 (human breast adenocarcinoma epithelial cell) whole cell lysate

Lane 6:

HepG2 (human hepatocellar carcinoma epithelial cell) whole cell lysate 20

Lane 7:

SK-OV-3 (human ovarian cancer epithelial cell) whole cell lysate

Lane 8:

C2C12 (mouse myoblast) whole cell lysate

Lane 9:

PC-12 (rat adrenal gland pheochromocytoma cell) whole cell lysate

false

Key facts

Host species

Rabbit

Clonality

Monoclonal

Clone number

EPR27952-42

Isotype

IgG

Carrier free

Yes

Reacts with

Human, Mouse

Applications

WB, ChIC/CUT&RUN-seq, IP

applications

Immunogen

The exact immunogen used to generate this antibody is proprietary information.

Reactivity data

{ "title": "Reactivity Data", "filters": { "stats": ["", "Species", "Dilution Info", "Notes"], "tabs": { "all-applications": {"fullname" : "All Applications", "shortname": "All Applications"}, "WB" : {"fullname" : "Western blot", "shortname":"WB"}, "IP" : {"fullname" : "Immunoprecipitation", "shortname":"IP"}, "ChICCUTRUNseq" : {"fullname" : "ChIC/CUT&RUN sequencing", "shortname":"ChIC/CUT&RUN-seq"}, "FlowCytIntra" : {"fullname" : "Flow Cytometry (Intracellular)", "shortname":"Flow Cyt (Intra)"}, "ICCIF" : {"fullname" : "Immunocytochemistry/ Immunofluorescence", "shortname":"ICC/IF"}, "IHCP" : {"fullname" : "Immunohistochemistry (Formalin/PFA-fixed paraffin-embedded sections)", "shortname":"IHC-P"} }, "product-promise": { "all": "all", "testedAndGuaranteed": "tested", "guaranteed": "expected", "predicted": "predicted", "notRecommended": "not-recommended" } }, "values": { "Human": { "WB-species-checked": "testedAndGuaranteed", "WB-species-dilution-info": "", "WB-species-notes": "<p>This Western blot was recommended to be performed using 6% gels, followed by a two-hour electrical transfer.</p>", "IP-species-checked": "testedAndGuaranteed", "IP-species-dilution-info": "", "IP-species-notes": "<p></p>", "ChICCUTRUNseq-species-checked": "testedAndGuaranteed", "ChICCUTRUNseq-species-dilution-info": "", "ChICCUTRUNseq-species-notes": "<p></p>", "FlowCytIntra-species-checked": "notRecommended", "FlowCytIntra-species-dilution-info": "", "FlowCytIntra-species-notes": "<p></p>", "ICCIF-species-checked": "notRecommended", "ICCIF-species-dilution-info": "", "ICCIF-species-notes": "<p></p>", "IHCP-species-checked": "notRecommended", "IHCP-species-dilution-info": "", "IHCP-species-notes": "<p></p>" }, "Mouse": { "WB-species-checked": "testedAndGuaranteed", "WB-species-dilution-info": "", "WB-species-notes": "<p>This Western blot was recommended to be performed using 6% gels, followed by a two-hour electrical transfer.</p>", "IP-species-checked": "testedAndGuaranteed", "IP-species-dilution-info": "", "IP-species-notes": "<p></p>", "ChICCUTRUNseq-species-checked": "guaranteed", "ChICCUTRUNseq-species-dilution-info": "", "ChICCUTRUNseq-species-notes": "", "FlowCytIntra-species-checked": "notRecommended", "FlowCytIntra-species-dilution-info": "", "FlowCytIntra-species-notes": "", "ICCIF-species-checked": "notRecommended", "ICCIF-species-dilution-info": "", "ICCIF-species-notes": "", "IHCP-species-checked": "notRecommended", "IHCP-species-dilution-info": "", "IHCP-species-notes": "<p></p>" }, "Rat": { "WB-species-checked": "predicted", "WB-species-dilution-info": "", "WB-species-notes": "", "IP-species-checked": "predicted", "IP-species-dilution-info": "", "IP-species-notes": "", "ChICCUTRUNseq-species-checked": "predicted", "ChICCUTRUNseq-species-dilution-info": "", "ChICCUTRUNseq-species-notes": "", "FlowCytIntra-species-checked": "notRecommended", "FlowCytIntra-species-dilution-info": "", "FlowCytIntra-species-notes": "", "ICCIF-species-checked": "notRecommended", "ICCIF-species-dilution-info": "", "ICCIF-species-notes": "", "IHCP-species-checked": "notRecommended", "IHCP-species-dilution-info": "", "IHCP-species-notes": "" } } }

Product details

ab317812 is the carrier-free version of ab317811.

Patented technology
Our RabMAb® technology is a patented hybridoma-based technology for making rabbit monoclonal antibodies. For details on our patents, please refer to RabMAb® patents.

What are the advantages of a recombinant monoclonal antibody?
This product is a recombinant monoclonal antibody, which offers several advantages including:

  • - High batch-to-batch consistency and reproducibility
  • - Improved sensitivity and specificity
  • - Long-term security of supply
  • - Animal-free batch production

For more information, read more on recombinant antibodies.

Conjugation ready
Our carrier-free antibodies are typically supplied in a PBS-only formulation, purified and free of BSA, sodium azide and glycerol. This conjugation-ready format is designed for use with fluorochromes, metal isotopes, oligonucleotides, and enzymes, which makes them ideal for antibody labelling, functional and cell-based assays, flow-based assays (e.g. mass cytometry) and Multiplex Imaging applications.

Use our conjugation kits for antibody conjugates that are ready-to-use in as little as 20 minutes with 1 minute hands-on-time and 100% antibody recovery: available for fluorescent dyes, HRP, biotin and gold.

Compatibility
This product is compatible with the Maxpar® Antibody Labeling Kit from Fluidigm, without the need for antibody preparation. Maxpar® is a trademark of Fluidigm Canada Inc.

Properties and storage information

Form
Liquid
Purification technique
Affinity purification Protein A
Storage buffer
pH: 7.2 - 7.4 Constituents: PBS
Shipped at conditions
Blue Ice
Appropriate short-term storage conditions
+4°C
Appropriate long-term storage conditions
+4°C

Supplementary information

This supplementary information is collated from multiple sources and compiled automatically.

Structural Maintenance of Chromosomes Flexible Hinge Domain Containing 1 (SMCHD1) is a chromatin-associated protein known by several names including FSHD2 protein. It has an approximate mass of 253 kDa. SMCHD1 functions primarily as an epigenetic repressor; it modifies the chromatin structure by influencing histone positioning. SMCHD1 is expressed abundantly in a variety of tissues including muscle and neural tissues indicating its widespread importance in cellular regulation.
Biological function summary

SMCHD1 modulates gene expression by modifying the chromatin landscape. It is not only involved in chromatin remodeling but also interacts as a part of a larger protein complex that affects transcriptional silencing. By mediating gene silencing SMCHD1 is important for processes such as X-chromosome inactivation in females and the silencing of certain imprinted genes which require precise regulation and inheritance patterns.

Pathways

SMCHD1 plays a role in the epigenetic regulatory pathway influencing genomic imprinting and X-chromosome inactivation. It works alongside proteins such as EZH2 from the Polycomb Repressive Complex 2 (PRC2) and HP1 proteins demonstrating its integration in chromatin organization and gene expression control. Studies show that SMCHD1 has a relationship with pathways directed by these proteins highlighting its collaborative regulation of chromatin architecture.

SMCHD1 associates with two conditions: facioscapulohumeral muscular dystrophy type 2 (FSHD2) and Bosma arhinia microphthalmia syndrome (BAMS). FSHD2 involves mutations in SMCHD1 leading to misregulated expression of DUX4 a protein linked to muscle degeneration while BAMS relates to developmental defects due to disrupted chromatin dynamics. SMCHD1's connection with these conditions underlines its significant role in maintaining proper genomic function and highlights its potential as a target for therapeutic interventions.

Product protocols

For this product, it's our understanding that no specific protocols are required. You can visit:

Target data

Non-canonical member of the structural maintenance of chromosomes (SMC) protein family that plays a key role in epigenetic silencing by regulating chromatin architecture (By similarity). Promotes heterochromatin formation in both autosomes and chromosome X, probably by mediating the merge of chromatin compartments (By similarity). Plays a key role in chromosome X inactivation in females by promoting the spreading of heterochromatin (PubMed : 23542155). Recruited to inactivated chromosome X by Xist RNA and acts by mediating the merge of chromatin compartments : promotes random chromatin interactions that span the boundaries of existing structures, leading to create a compartment-less architecture typical of inactivated chromosome X (By similarity). Required to facilitate Xist RNA spreading (By similarity). Also required for silencing of a subset of clustered autosomal loci in somatic cells, such as the DUX4 locus (PubMed : 23143600). Has ATPase activity; may participate in structural manipulation of chromatin in an ATP-dependent manner as part of its role in gene expression regulation (PubMed : 29748383). Also plays a role in DNA repair : localizes to sites of DNA double-strand breaks in response to DNA damage to promote the repair of DNA double-strand breaks (PubMed : 24790221, PubMed : 25294876). Acts by promoting non-homologous end joining (NHEJ) and inhibiting homologous recombination (HR) repair (PubMed : 25294876).
See full target information SMCHD1

Product promise

We are committed to supporting your work with high-quality reagents, and we're here for you every step of the way. In the unlikely event that one of our products does not perform as expected, you're protected by our Product Promise.
For full details, please see our Terms & Conditions

Please note: All products are 'FOR RESEARCH USE ONLY. NOT FOR USE IN DIAGNOSTIC OR THERAPEUTIC PROCEDURES'.

For licensing inquiries, please contact partnerships@abcam.com