JavaScript is disabled in your browser. Please enable JavaScript to view this website.
AB126984

Anti-SMG7 antibody

2

(5 Reviews)

|

(1 Publication)

Rabbit Polyclonal SMG7 antibody. Suitable for WB, IHC-P and reacts with Human, Mouse samples. Cited in 1 publication. Immunogen corresponding to Recombinant Fragment Protein within Human SMG7 aa 700-1050.

View Alternative Names

C1orf16, EST1C, KIAA0250, SMG7, Nonsense-mediated mRNA decay factor SMG7, SMG-7 homolog, hSMG-7

3 Images
Immunohistochemistry (Formalin/PFA-fixed paraffin-embedded sections) - Anti-SMG7 antibody (AB126984)
  • IHC-P

Unknown

Immunohistochemistry (Formalin/PFA-fixed paraffin-embedded sections) - Anti-SMG7 antibody (AB126984)

ab126984 at a 1/500 dilution staining SMG7 in paraffin-embedded HeLa xenograft tissue by Immunohistochemistry.

Western blot - Anti-SMG7 antibody (AB126984)
  • WB

Supplier Data

Western blot - Anti-SMG7 antibody (AB126984)

Samples were separated by 5% SDS-PAGE.

All lanes:

Western blot - Anti-SMG7 antibody (ab126984) at 1/1000 dilution

Lane 1:

Neuro2a whole cell extracts at 30 µg

Lane 2:

NIH-3T3 whole cell extracts at 30 µg

Lane 3:

Raw264.7 whole cell extracts at 30 µg

Lane 4:

C2C12 whole cell extracts at 30 µg

Secondary

All lanes:

HRP-conjugated anti-rabbit IgG antibody

false

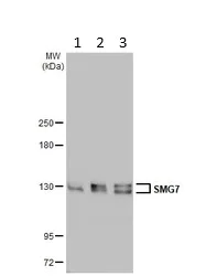
Western blot - Anti-SMG7 antibody (AB126984)
  • WB

Supplier Data

Western blot - Anti-SMG7 antibody (AB126984)

Samples were separated by 5% SDS-PAGE.

All lanes:

Western blot - Anti-SMG7 antibody (ab126984) at 1/1000 dilution

Lane 1:

A549 whole cell extracts at 30 µg

Lane 2:

H1299 whole cell extracts at 30 µg

Lane 3:

HCT116 whole cell extracts at 30 µg

Secondary

All lanes:

HRP-conjugated anti-rabbit IgG antibody

false

Key facts

Host species

Rabbit

Clonality

Polyclonal

Isotype

IgG

Carrier free

No

Reacts with

Human, Mouse

Applications

IHC-P, WB

applications

Immunogen

Recombinant Fragment Protein within Human SMG7 aa 700-1050. The exact immunogen used to generate this antibody is proprietary information.

Q92540

Reactivity data

{ "title": "Reactivity Data", "filters": { "stats": ["", "Species", "Dilution Info", "Notes"], "tabs": { "all-applications": {"fullname" : "All Applications", "shortname": "All Applications"}, "WB" : {"fullname" : "Western blot", "shortname":"WB"}, "IHCP" : {"fullname" : "Immunohistochemistry (Formalin/PFA-fixed paraffin-embedded sections)", "shortname":"IHC-P"} }, "product-promise": { "all": "all", "testedAndGuaranteed": "tested", "guaranteed": "expected", "predicted": "predicted", "notRecommended": "not-recommended" } }, "values": { "Human": { "WB-species-checked": "testedAndGuaranteed", "WB-species-dilution-info": "1/500 - 1/3000", "WB-species-notes": "<p></p>", "IHCP-species-checked": "testedAndGuaranteed", "IHCP-species-dilution-info": "1/100 - 1/1000", "IHCP-species-notes": "<p></p>" }, "Mouse": { "WB-species-checked": "testedAndGuaranteed", "WB-species-dilution-info": "1/500 - 1/3000", "WB-species-notes": "<p></p>", "IHCP-species-checked": "guaranteed", "IHCP-species-dilution-info": "", "IHCP-species-notes": "" } } }

Properties and storage information

Form
Liquid
Purification technique
Affinity purification Immunogen
Storage buffer
pH: 7 Preservative: 0.01% Thimerosal (merthiolate) Constituents: PBS, 20% Glycerol (glycerin, glycerine), 1% BSA
Shipped at conditions
Blue Ice
Appropriate short-term storage conditions
+4°C
Appropriate long-term storage conditions
-20°C
Aliquoting information
Upon delivery aliquot
Storage information
Avoid freeze / thaw cycle

Supplementary information

This supplementary information is collated from multiple sources and compiled automatically.

SMG7 also known as Suppressor with Morphogenetic Effect on Genitalia 7 is a protein involved in the nonsense-mediated mRNA decay (NMD) pathway. This protein has an approximate mass of 120 kDa and is expressed widely in human tissues. SMG7 interacts with phosphorylated SMG1 and forms an important component of the complex responsible for degrading mRNAs containing premature stop codons effectively regulating gene expression by preventing the synthesis of truncated proteins.
Biological function summary

SMG7 functions as an important part of the surveillance system that maintains the quality of mRNA transcripts. It acts within the NMD complex along with proteins like SMG1 SMG8 and SMG9. This protein binds to protein phosphatase 2A (PP2A) aiding in the dephosphorylation and recycling of NMD components. SMG7 plays an important role in controlling mRNA stability influencing cell survival differentiation and adaptation to stress.

Pathways

SMG7 actively participates in the nonsense-mediated decay pathway. This pathway is central to maintaining cellular homeostasis by eliminating defective transcripts that could encode malfunctioning proteins. SMG7 often works in conjunction with proteins such as UPF1 and UPF2 sharing roles in recognizing and targeting faulty mRNAs for decay. Through its involvement in the decay process SMG7 helps prevent the accumulation of potentially harmful proteins that arise from erroneous gene expression.

Disruptions in SMG7 function have been linked to cancer and neurodegenerative diseases. Aberrant regulation of NMD can lead to the stabilization of mRNAs harboring premature stop codons contributing to tumorigenesis and disease progression. Furthermore SMG7 and proteins like UPF1 have been studied in the context of cancers whereby altered NMD activity might affect cancer cell survival and invasion. Research also indicates the importance of proper NMD function in managing neurological disorders highlighting the potential of targeting SMG7 for therapeutic interventions.

Product protocols

For this product, it's our understanding that no specific protocols are required. You can visit:

Target data

Plays a role in nonsense-mediated mRNA decay. Recruits UPF1 to cytoplasmic mRNA decay bodies. Together with SMG5 is thought to provide a link to the mRNA degradation machinery involving exonucleolytic pathways, and to serve as an adapter for UPF1 to protein phosphatase 2A (PP2A), thereby triggering UPF1 dephosphorylation.
See full target information SMG7

Publications (1)

Recent publications for all applications. Explore the full list and refine your search

Aging 10:463-480 PubMed29615536

2018

Protective effects of melatonin against nicotine-induced disorder of mouse early folliculogenesis.

Applications

Unspecified application

Species

Unspecified reactive species

Yu-Feng Wang,Xiao-Feng Sun,Ze-Li Han,Lan Li,Wei Ge,Yong Zhao,Massimo De Felici,Wei Shen,Shun-Feng Cheng
View all publications

Product promise

We are committed to supporting your work with high-quality reagents, and we're here for you every step of the way. In the unlikely event that one of our products does not perform as expected, you're protected by our Product Promise.
For full details, please see our Terms & Conditions

Please note: All products are 'FOR RESEARCH USE ONLY. NOT FOR USE IN DIAGNOSTIC OR THERAPEUTIC PROCEDURES'.

For licensing inquiries, please contact partnerships@abcam.com