JavaScript is disabled in your browser. Please enable JavaScript to view this website.
AB85659

Anti-SMG9 antibody

Be the first to review this product! Submit a review

|

(1 Publication)

Rabbit Polyclonal SMG9 antibody. Suitable for IHC-P, IP and reacts with Human samples. Cited in 1 publication. Immunogen corresponding to Synthetic Peptide within Human SMG9.

View Alternative Names

C19orf61, SMG9, Nonsense-mediated mRNA decay factor SMG9

2 Images
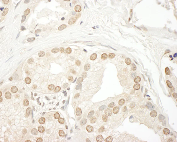
Immunohistochemistry (Formalin/PFA-fixed paraffin-embedded sections) - Anti-SMG9 antibody (AB85659)
  • IHC-P

Unknown

Immunohistochemistry (Formalin/PFA-fixed paraffin-embedded sections) - Anti-SMG9 antibody (AB85659)

Immunohistochemistry (Formalin/PFA-fixed paraffin-embedded sections) analysis of human prostate carcinoma tissue labelling C19orf61 with ab85689 at 1/5000 (0.2µg/ml). Detection : DAB.

Immunoprecipitation - Anti-SMG9 antibody (AB85659)
  • IP

Unknown

Immunoprecipitation - Anti-SMG9 antibody (AB85659)

1mg whole cell lysate from HeLa cells was immunoprecipitated using 10μg ab90659.
20% of the immunoprecipitate was loaded in each lane, and probed with ab90659 at 1μg/ml (lane 1) or with a control IgG (lane 2).
Detection : chemoluminescence, with an exposure time of 1 second.

All lanes:

Immunoprecipitation - Anti-SMG9 antibody (ab85659)

Predicted band size: 58 kDa

false

Key facts

Host species

Rabbit

Clonality

Polyclonal

Isotype

IgG

Carrier free

No

Reacts with

Human

Applications

IP, IHC-P

applications

Immunogen

Synthetic Peptide within Human SMG9. The exact immunogen used to generate this antibody is proprietary information.

Q9H0W8

Reactivity data

{ "title": "Reactivity Data", "filters": { "stats": ["", "Species", "Dilution Info", "Notes"], "tabs": { "all-applications": {"fullname" : "All Applications", "shortname": "All Applications"}, "IHCP" : {"fullname" : "Immunohistochemistry (Formalin/PFA-fixed paraffin-embedded sections)", "shortname":"IHC-P"}, "IP" : {"fullname" : "Immunoprecipitation", "shortname":"IP"} }, "product-promise": { "all": "all", "testedAndGuaranteed": "tested", "guaranteed": "expected", "predicted": "predicted", "notRecommended": "not-recommended" } }, "values": { "Human": { "IHCP-species-checked": "testedAndGuaranteed", "IHCP-species-dilution-info": "1/2000 - 1/10000", "IHCP-species-notes": "<p></p> Perform heat-mediated antigen retrieval with citrate buffer pH 6 before commencing with IHC staining protocol.", "IP-species-checked": "testedAndGuaranteed", "IP-species-dilution-info": "5-10 µg/mg of lysate", "IP-species-notes": "<p></p>" }, "Mouse": { "IHCP-species-checked": "predicted", "IHCP-species-dilution-info": "", "IHCP-species-notes": "", "IP-species-checked": "predicted", "IP-species-dilution-info": "", "IP-species-notes": "" }, "Rat": { "IHCP-species-checked": "predicted", "IHCP-species-dilution-info": "", "IHCP-species-notes": "", "IP-species-checked": "predicted", "IP-species-dilution-info": "", "IP-species-notes": "" }, "Chimpanzee": { "IHCP-species-checked": "predicted", "IHCP-species-dilution-info": "", "IHCP-species-notes": "", "IP-species-checked": "predicted", "IP-species-dilution-info": "", "IP-species-notes": "" }, "Cow": { "IHCP-species-checked": "predicted", "IHCP-species-dilution-info": "", "IHCP-species-notes": "", "IP-species-checked": "predicted", "IP-species-dilution-info": "", "IP-species-notes": "" }, "Dog": { "IHCP-species-checked": "predicted", "IHCP-species-dilution-info": "", "IHCP-species-notes": "", "IP-species-checked": "predicted", "IP-species-dilution-info": "", "IP-species-notes": "" }, "Elephant": { "IHCP-species-checked": "predicted", "IHCP-species-dilution-info": "", "IHCP-species-notes": "", "IP-species-checked": "predicted", "IP-species-dilution-info": "", "IP-species-notes": "" }, "Gorilla": { "IHCP-species-checked": "predicted", "IHCP-species-dilution-info": "", "IHCP-species-notes": "", "IP-species-checked": "predicted", "IP-species-dilution-info": "", "IP-species-notes": "" }, "Guinea pig": { "IHCP-species-checked": "predicted", "IHCP-species-dilution-info": "", "IHCP-species-notes": "", "IP-species-checked": "predicted", "IP-species-dilution-info": "", "IP-species-notes": "" }, "Horse": { "IHCP-species-checked": "predicted", "IHCP-species-dilution-info": "", "IHCP-species-notes": "", "IP-species-checked": "predicted", "IP-species-dilution-info": "", "IP-species-notes": "" }, "Orangutan": { "IHCP-species-checked": "predicted", "IHCP-species-dilution-info": "", "IHCP-species-notes": "", "IP-species-checked": "predicted", "IP-species-dilution-info": "", "IP-species-notes": "" }, "Pig": { "IHCP-species-checked": "predicted", "IHCP-species-dilution-info": "", "IHCP-species-notes": "", "IP-species-checked": "predicted", "IP-species-dilution-info": "", "IP-species-notes": "" }, "Rabbit": { "IHCP-species-checked": "predicted", "IHCP-species-dilution-info": "", "IHCP-species-notes": "", "IP-species-checked": "predicted", "IP-species-dilution-info": "", "IP-species-notes": "" }, "Rhesus monkey": { "IHCP-species-checked": "predicted", "IHCP-species-dilution-info": "", "IHCP-species-notes": "", "IP-species-checked": "predicted", "IP-species-dilution-info": "", "IP-species-notes": "" } } }

Properties and storage information

Form
Liquid
Purification technique
Affinity purification Immunogen
Storage buffer
pH: 7 - 8 Preservative: 0.09% Sodium azide Constituents: Tris citrate/phosphate
Shipped at conditions
Blue Ice
Appropriate short-term storage conditions
+4°C
Appropriate long-term storage conditions
-20°C
Aliquoting information
Upon delivery aliquot
Storage information
Avoid freeze / thaw cycle

Supplementary information

This supplementary information is collated from multiple sources and compiled automatically.

SMG9 also known as suppressor with morphogenetic effect on genitalia 9 is a critical component in RNA decay machinery. It has a molecular mass of about 81 kDa. The protein is located in the cytoplasm and nucleus of cells. SMG9 expression occurs ubiquitously across various tissues suggesting its role in fundamental cellular processes. It is not tissue-specific which indicates its importance in a multitude of cell types.
Biological function summary

SMG9 plays a role in nonsense-mediated mRNA decay (NMD) a quality control mechanism that targets defective mRNA. Within this process SMG9 forms part of the SMG1 complex which is essential in recognizing and degrading mRNAs with premature stop codons. This action helps maintain the fidelity of gene expression and prevents the translation of potentially harmful truncated proteins. The function of the SMG1-SMG9 complex emphasizes its role in cellular homeostasis and regulation.

Pathways

SMG9 integrates into the NMD pathway a critical mechanism for post-transcriptional regulation of gene expression. The NMD pathway involves several proteins including UPF1 a central player in recognizing and degrading faulty mRNAs. SMG9 directly interacts with the SMG1 kinase which phosphorylates UPF1 enhancing the accuracy of the mRNA surveillance. This interaction places SMG9 at a significant junction for controlling mRNA integrity and protecting cells from abnormal proteins.

Disruptions in the function of SMG9 have been linked to various genetic disorders such as intellectual disability. Mutations in SMG9 can lead to impaired NMD function resulting in the accumulation of dysfunctional proteins that contribute to disease pathology. The altered function of SMG9 in disorders often involves interactions with other elements of the NMD pathway including UPF1 which can disrupt normal cellular activities and promote disease development. These links suggest a potential target for therapeutic interventions to mitigate effects caused by defective mRNA decay processes.

Product protocols

For this product, it's our understanding that no specific protocols are required. You can visit:

Target data

Involved in nonsense-mediated decay (NMD) of mRNAs containing premature stop codons (PubMed : 19417104). Is recruited by release factors to stalled ribosomes together with SMG1 and SMG8 (forming the SMG1C protein kinase complex) and, in the SMG1C complex, is required for the efficient association between SMG1 and SMG8 (PubMed : 19417104). Plays a role in brain, heart, and eye development (By similarity).
See full target information SMG9

Publications (1)

Recent publications for all applications. Explore the full list and refine your search

Genome biology 19:4 PubMed29334995

2018

Antisense suppression of the nonsense mediated decay factor Upf3b as a potential treatment for diseases caused by nonsense mutations.

Applications

Unspecified application

Species

Unspecified reactive species

Lulu Huang,Audrey Low,Sagar S Damle,Melissa M Keenan,Steven Kuntz,Susan F Murray,Brett P Monia,Shuling Guo
View all publications

Product promise

We are committed to supporting your work with high-quality reagents, and we're here for you every step of the way. In the unlikely event that one of our products does not perform as expected, you're protected by our Product Promise.
For full details, please see our Terms & Conditions

Please note: All products are 'FOR RESEARCH USE ONLY. NOT FOR USE IN DIAGNOSTIC OR THERAPEUTIC PROCEDURES'.

For licensing inquiries, please contact partnerships@abcam.com