JavaScript is disabled in your browser. Please enable JavaScript to view this website.
AB232784

Anti-SMN/Gemin 1 antibody

Be the first to review this product! Submit a review

|

(8 Publications)

Rabbit Polyclonal SMN/Gemin 1 antibody. Suitable for WB, IHC-P, ICC/IF and reacts with Human, Recombinant full length protein - Human, Mouse samples. Cited in 8 publications. Immunogen corresponding to Recombinant Fragment Protein within Human SMN1 aa 1 to C-terminus.

View Alternative Names

SMN, SMNT, SMN2, SMNC, SMN1, Survival motor neuron protein, Component of gems 1, Gemin-1

7 Images
Immunocytochemistry/ Immunofluorescence - Anti-SMN/Gemin 1 antibody (AB232784)
  • ICC/IF

Supplier Data

Immunocytochemistry/ Immunofluorescence - Anti-SMN/Gemin 1 antibody (AB232784)

HeLa (human epithelial cell line from cervix adenocarcinoma) cells stained for SMN/Gemin 1 (green) using ab232784 at 20 μg/ml in ICC/IF, followed by FITC staining.

Immunohistochemistry (Formalin/PFA-fixed paraffin-embedded sections) - Anti-SMN/Gemin 1 antibody (AB232784)
  • IHC-P

Supplier Data

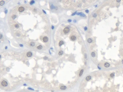
Immunohistochemistry (Formalin/PFA-fixed paraffin-embedded sections) - Anti-SMN/Gemin 1 antibody (AB232784)

Paraffin-embedded human kidney tissue stained for SMN/Gemin 1 using ab232784 at 20 μg/ml in immunohistochemical analysis. DAB staining.

Immunohistochemistry (Formalin/PFA-fixed paraffin-embedded sections) - Anti-SMN/Gemin 1 antibody (AB232784)
  • IHC-P

Supplier Data

Immunohistochemistry (Formalin/PFA-fixed paraffin-embedded sections) - Anti-SMN/Gemin 1 antibody (AB232784)

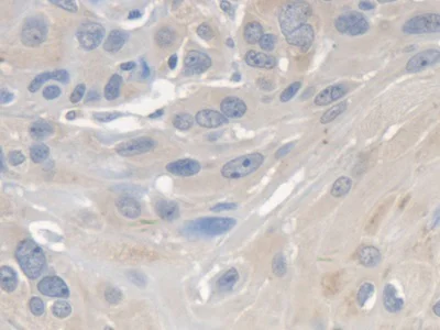
Paraffin-embedded human esophagus tissue stained for SMN/Gemin 1 using ab232784 at 20 μg/ml in immunohistochemical analysis. DAB staining.

Immunohistochemistry (Formalin/PFA-fixed paraffin-embedded sections) - Anti-SMN/Gemin 1 antibody (AB232784)
  • IHC-P

Supplier Data

Immunohistochemistry (Formalin/PFA-fixed paraffin-embedded sections) - Anti-SMN/Gemin 1 antibody (AB232784)

Paraffin-embedded human stomach tissue stained for SMN/Gemin 1 using ab232784 at 20 μg/ml in immunohistochemical analysis. DAB staining.

Immunohistochemistry (Formalin/PFA-fixed paraffin-embedded sections) - Anti-SMN/Gemin 1 antibody (AB232784)
  • IHC-P

Supplier Data

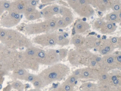
Immunohistochemistry (Formalin/PFA-fixed paraffin-embedded sections) - Anti-SMN/Gemin 1 antibody (AB232784)

Paraffin-embedded human liver tissue stained for SMN/Gemin 1 using ab232784 at 20 μg/ml in immunohistochemical analysis. DAB staining.

Western blot - Anti-SMN/Gemin 1 antibody (AB232784)
  • WB

Supplier Data

Western blot - Anti-SMN/Gemin 1 antibody (AB232784)

All lanes:

Western blot - Anti-SMN/Gemin 1 antibody (ab232784) at 2 µg/mL

Lane 1:

Human serum

Lane 2:

HeLa (human epithelial cell line from cervix adenocarcinoma) cell lysate

Lane 3:

HepG2 (human liver hepatocellular carcinoma cell line) cell lysate

Lane 4:

HEK-293T (human epithelial cell line from embryonic kidney transformed with large T antigen) cell lysate

Lane 5:

Mouse testis lysate

Predicted band size: 32 kDa

false

Western blot - Anti-SMN/Gemin 1 antibody (AB232784)
  • WB

Unknown

Western blot - Anti-SMN/Gemin 1 antibody (AB232784)

All lanes:

Western blot - Anti-SMN/Gemin 1 antibody (ab232784) at 2 µg/mL

All lanes:

Recombinant human SMN/Gemin 1 protein.

Predicted band size: 32 kDa

false

Key facts

Host species

Rabbit

Clonality

Polyclonal

Isotype

IgG

Carrier free

No

Reacts with

Mouse, Human

Applications

WB, IHC-P, ICC/IF

applications

Immunogen

Recombinant Fragment Protein within Human SMN1 aa 1 to C-terminus. The exact immunogen used to generate this antibody is proprietary information.

Q16637

Reactivity data

{ "title": "Reactivity Data", "filters": { "stats": ["", "Species", "Dilution Info", "Notes"], "tabs": { "all-applications": {"fullname" : "All Applications", "shortname": "All Applications"}, "WB" : {"fullname" : "Western blot", "shortname":"WB"}, "IHCP" : {"fullname" : "Immunohistochemistry (Formalin/PFA-fixed paraffin-embedded sections)", "shortname":"IHC-P"}, "ICCIF" : {"fullname" : "Immunocytochemistry/ Immunofluorescence", "shortname":"ICC/IF"} }, "product-promise": { "all": "all", "testedAndGuaranteed": "tested", "guaranteed": "expected", "predicted": "predicted", "notRecommended": "not-recommended" } }, "values": { "Human": { "WB-species-checked": "testedAndGuaranteed", "WB-species-dilution-info": "0.2-2 µg/mL", "WB-species-notes": "<p></p>", "IHCP-species-checked": "testedAndGuaranteed", "IHCP-species-dilution-info": "5-20 µg/mL", "IHCP-species-notes": "<p></p>", "ICCIF-species-checked": "testedAndGuaranteed", "ICCIF-species-dilution-info": "5-20 µg/mL", "ICCIF-species-notes": "<p></p>" }, "Mouse": { "WB-species-checked": "testedAndGuaranteed", "WB-species-dilution-info": "0.2-2 µg/mL", "WB-species-notes": "<p></p>", "IHCP-species-checked": "guaranteed", "IHCP-species-dilution-info": "", "IHCP-species-notes": "", "ICCIF-species-checked": "guaranteed", "ICCIF-species-dilution-info": "", "ICCIF-species-notes": "" }, "Cynomolgus monkey": { "WB-species-checked": "predicted", "WB-species-dilution-info": "", "WB-species-notes": "", "IHCP-species-checked": "predicted", "IHCP-species-dilution-info": "", "IHCP-species-notes": "", "ICCIF-species-checked": "predicted", "ICCIF-species-dilution-info": "", "ICCIF-species-notes": "" }, "Orangutan": { "WB-species-checked": "predicted", "WB-species-dilution-info": "", "WB-species-notes": "", "IHCP-species-checked": "predicted", "IHCP-species-dilution-info": "", "IHCP-species-notes": "", "ICCIF-species-checked": "predicted", "ICCIF-species-dilution-info": "", "ICCIF-species-notes": "" }, "Recombinant full length protein - Human": { "WB-species-checked": "testedAndGuaranteed", "WB-species-dilution-info": "0.2-2 µg/mL", "WB-species-notes": "<p></p>", "IHCP-species-checked": "notRecommended", "IHCP-species-dilution-info": "", "IHCP-species-notes": "", "ICCIF-species-checked": "notRecommended", "ICCIF-species-dilution-info": "", "ICCIF-species-notes": "" } } }

Properties and storage information

Form
Liquid
Purification technique
Affinity purification Immunogen
Purification notes
ab232784 was purified by antigen-specific affinity chromatography followed by Protein A affinity chromatography.
Storage buffer
pH: 7.4 Preservative: 0.011% Proclin 300 Constituents: PBS, 55.77% Glycerol (glycerin, glycerine)
Shipped at conditions
Blue Ice
Appropriate short-term storage duration
1-2 weeks
Appropriate short-term storage conditions
+4°C
Appropriate long-term storage conditions
-20°C
Aliquoting information
Upon delivery aliquot
Storage information
Avoid freeze / thaw cycle

Supplementary information

This supplementary information is collated from multiple sources and compiled automatically.

SMN also known as Survival of Motor Neuron protein or Gemin 1 is an important protein involved in the assembly of small nuclear ribonucleoproteins (snRNPs). It has a molecular mass of approximately 38 kDa. SMN proteins are expressed in almost all tissues with highest levels in spinal cord and brain tissues. They play a mechanical role in Gemin complex assisting RNA processing tasks which are essential in RNA metabolism alongside other Gemin proteins.
Biological function summary

The SMN protein operates within the SMN-Gemin complex a multi-protein assembly important for snRNP biogenesis and pre-mRNA splicing. This complex coordinates the maturation and transport of snRNPs facilitating the processing of precursor mRNAs in the nucleus. SMN and associated Gemin proteins mediate the assembly of Sm proteins onto snRNA ensuring accurate splicing mechanisms necessary for gene expression.

Pathways

The SMN protein is notably involved in the chaperone-assisted assembly pathway related to snRNP biogenesis. It plays a central role in the spliceosome assembly process working closely with Sm proteins and other RNA-binding proteins. Importantly SMN interacts with the ribonucleoprotein complex influencing mRNA splicing which integrates into the broader cell signaling pathways such as the cholinergic agonist pathways and RNA splicing pathways that regulate neuromuscular communication.

The deficiency or malfunction of SMN protein directly relates to Spinal Muscular Atrophy (SMA) an autosomal recessive disorder. SMA is characterized by motor neuron degeneration which can be attributed to insufficient SMN protein levels leading to compromised snRNP assembly and splicing. The SMN1 gene deletion or mutation reduces the available SMN protein linking this defect with the severity of SMA. Studies suggest that altering the expression levels of the related SMN2 gene can potentially modulate disease outcomes further emphasizing the connection between SMN protein and SMA pathogenesis.

Product protocols

For this product, it's our understanding that no specific protocols are required. You can visit:

Target data

The SMN complex catalyzes the assembly of small nuclear ribonucleoproteins (snRNPs), the building blocks of the spliceosome, and thereby plays an important role in the splicing of cellular pre-mRNAs (PubMed : 18984161, PubMed : 9845364). Most spliceosomal snRNPs contain a common set of Sm proteins SNRPB, SNRPD1, SNRPD2, SNRPD3, SNRPE, SNRPF and SNRPG that assemble in a heptameric protein ring on the Sm site of the small nuclear RNA to form the core snRNP (Sm core) (PubMed : 18984161). In the cytosol, the Sm proteins SNRPD1, SNRPD2, SNRPE, SNRPF and SNRPG are trapped in an inactive 6S pICln-Sm complex by the chaperone CLNS1A that controls the assembly of the core snRNP (PubMed : 18984161). To assemble core snRNPs, the SMN complex accepts the trapped 5Sm proteins from CLNS1A forming an intermediate (PubMed : 18984161). Within the SMN complex, SMN1 acts as a structural backbone and together with GEMIN2 it gathers the Sm complex subunits (PubMed : 17178713, PubMed : 21816274, PubMed : 22101937). Binding of snRNA inside 5Sm ultimately triggers eviction of the SMN complex, thereby allowing binding of SNRPD3 and SNRPB to complete assembly of the core snRNP (PubMed : 31799625). Ensures the correct splicing of U12 intron-containing genes that may be important for normal motor and proprioceptive neurons development (PubMed : 23063131). Also required for resolving RNA-DNA hybrids created by RNA polymerase II, that form R-loop in transcription terminal regions, an important step in proper transcription termination (PubMed : 26700805). May also play a role in the metabolism of small nucleolar ribonucleoprotein (snoRNPs).
See full target information SMN1

Publications (8)

Recent publications for all applications. Explore the full list and refine your search

Molecular medicine reports 31: PubMed39886972

2025

Triptolide reverses cis‑diamminedichloroplatinum resistance in esophageal squamous cell carcinoma by suppressing glycolysis and causing mitochondrial malfunction.

Applications

Unspecified application

Species

Unspecified reactive species

Kuiyuan Liu,Jia Liu,Tiebao Meng,Nan Wu,Juntao Liu,Mingxu Qiao,Liangyi Dong,Jingeng Liu

Biomolecules & biomedicine 25:1205-1217 PubMed39873475

2025

APOC1 knockdown induces apoptosis and decreases angiogenesis in diffuse large B-cell lymphoma cells through blocking the PI3K/AKT/mTOR pathway.

Applications

Unspecified application

Species

Unspecified reactive species

Jing Gao,Xiaojuan Lu,Guanglei Wang,Tanling Huang,Zhongyu Tuo,Weiwei Meng

Heliyon 10:e30240 PubMed38726105

2024

Calycosin prevents NLRP3-induced gut fibrosis by regulating IL-33/ST2 axis.

Applications

Unspecified application

Species

Unspecified reactive species

Xiujun Liao,Haiting Xie,Saojun Yu

Cancer communications (London, England) 43:808-833 PubMed37378422

2023

MFN2 suppresses clear cell renal cell carcinoma progression by modulating mitochondria-dependent dephosphorylation of EGFR.

Applications

Unspecified application

Species

Unspecified reactive species

Li Luo,Denghui Wei,Yihui Pan,Qiu-Xia Wang,Jian-Xiong Feng,Bing Yu,Tiebang Kang,Junhang Luo,Jiefeng Yang,Song Gao

Cell death discovery 8:346 PubMed35922404

2022

Cancer-associated fibroblasts-derived extracellular vesicles carrying lncRNA SNHG3 facilitate colorectal cancer cell proliferation via the miR-34b-5p/HuR/HOXC6 axis.

Applications

Unspecified application

Species

Unspecified reactive species

Jiangning Zhao,Huanrong Lin,Kunsong Huang,Shen Li

Journal of thoracic disease 14:2089-2102 PubMed35813760

2022

Pirfenidone inhibits cell fibrosis in connective tissue disease-associated interstitial lung disease by targeting the TNF-α/STAT3/KL6 pathway.

Applications

Unspecified application

Species

Unspecified reactive species

Yanhua Zuo,Jing Liu,Huaheng Xu,Yanxia Li,Ran Tao,Zongfang Zhang

American journal of translational research 14:4310-4320 PubMed35836868

2022

Follistatin-like 1 ameliorates severe acute pancreatitis associated lung injury via inhibiting the activation of NLRP3 inflammasome and NF-κB pathway.

Applications

Unspecified application

Species

Unspecified reactive species

Liming Wang,Na Wang,Guifang Shi,Shuqing Sun

Journal of healthcare engineering 2022:8450673 PubMed35399858

2022

Gu-Ben-Zhi-Ke-Zhong-Yao Alleviated PM2.5-Induced Lung Injury via HMGB1/NF-B Axis.

Applications

Unspecified application

Species

Unspecified reactive species

Wenxiao Hou,Hongchun Zhang,Meng Jiang,Yina Wu,Tao Li,Luhong Cong,Jun Duan
View all publications

Product promise

We are committed to supporting your work with high-quality reagents, and we're here for you every step of the way. In the unlikely event that one of our products does not perform as expected, you're protected by our Product Promise.
For full details, please see our Terms & Conditions

Please note: All products are 'FOR RESEARCH USE ONLY. NOT FOR USE IN DIAGNOSTIC OR THERAPEUTIC PROCEDURES'.

For licensing inquiries, please contact partnerships@abcam.com