JavaScript is disabled in your browser. Please enable JavaScript to view this website.
AB314896

Anti-SMN/Gemin 1 antibody [EPR25897-27] - BSA and Azide free

Be the first to review this product! Submit a review

|

(0 Publication)

Rabbit Recombinant Monoclonal SMN/Gemin 1 antibody. Carrier free. Suitable for WB, IP, ICC/IF, Flow Cyt (Intra) and reacts with Human, Mouse samples.

View Alternative Names

SMN, SMNT, SMN2, SMNC, SMN1, Survival motor neuron protein, Component of gems 1, Gemin-1

7 Images
Flow Cytometry (Intracellular) - Anti-SMN/Gemin 1 antibody [EPR25897-27] - BSA and Azide free (AB314896)
  • Flow Cyt (Intra)

Supplier Data

Flow Cytometry (Intracellular) - Anti-SMN/Gemin 1 antibody [EPR25897-27] - BSA and Azide free (AB314896)

This data was developed using ab314895, the same antibody clone in a different buffer formulation.

Flow cytometric analysis of 4% paraformaldehyde fixed 90% methanol permeabilized HeLa (human cervical adenocarcinoma epithelial cell) cells labelling SMN/Gemin 1 with ab314895 at 1/500 dilution (0.1 ug)/Red compared with a Rabbit monoclonal IgG (ab172730) (Black) isotype control and an unlabelled control (cells without incubation with primary antibody and secondary antibody) (Blue). A Goat Anti-Rabbit IgG (Alexa Fluor® 488, ab150081) at 1/5000 dilution was used as the secondary antibody.

Immunocytochemistry/ Immunofluorescence - Anti-SMN/Gemin 1 antibody [EPR25897-27] - BSA and Azide free (AB314896)
  • ICC/IF

Supplier Data

Immunocytochemistry/ Immunofluorescence - Anti-SMN/Gemin 1 antibody [EPR25897-27] - BSA and Azide free (AB314896)

This data was developed using ab314895, the same antibody clone in a different buffer formulation.

Immunofluorescent analysis of 4% Paraformaldehyde-fixed, 0.1% TritonX-100 permeabilized HeLa (human cervical adenocarcinoma epithelial cell) cells labelling SMN/Gemin 1 with ab314895 at 1/50 (10.34 ug/ml) dilution, followed by ab150081 Goat Anti-Rabbit IgG H&L (Alexa Fluor® 488) preadsorbed antibody at 1/1000 (2 ug/mL) dilution (Green). Confocal image showing nuclear and cytoplasmic staining in HeLa cell line. Image was taken with a confocal microscope (Leica-Microsystems, TCS SP8). ab195889 Anti-alpha Tubulin mouse monoclonal antibody - Microtubule Marker (Alexa Fluor® 594) was used to counterstain tubulin at 1/200 (2.5ug/ ml) dilution (Red). The Nuclear counterstain was DAPI (Blue).

Secondary antibody only control : Secondary antibody is ab150081 Goat Anti-Rabbit IgG H&L (Alexa Fluor® 488) preadsorbed at 1/1000 (2 ug/mL) dilution.

Immunoprecipitation - Anti-SMN/Gemin 1 antibody [EPR25897-27] - BSA and Azide free (AB314896)
  • IP

Supplier Data

Immunoprecipitation - Anti-SMN/Gemin 1 antibody [EPR25897-27] - BSA and Azide free (AB314896)

This data was developed using ab314895, the same antibody clone in a different buffer formulation.

SMN/Gemin 1 was immunoprecipitated from 0.35 mg HeLa (human cervix adenocarcinoma epithelial cell) whole cell lysate with ab314895 at 1/30 dilution (2ug in 0.35mg lysates). Western blot was performed on the immunoprecipitate using ab314895 at 1/1000 dilution. VeriBlot for IP secondary antibody(HRP)(ab131366) was used at 1/5000 dilution.

Lane 1 : HeLa (human cervix adenocarcinoma epithelial cell) whole cell lysate

Lane 2 : ab314895 IP in HeLa (human cervix adenocarcinoma epithelial cell) whole cell lysate

Lane 3 : Rabbit monoclonal lgG (ab172730) instead of ab314895 in HeLa whole cell lysate

Blocking and dilution buffer and concentration : 5% NFDM/TBST.

All lanes:

Immunoprecipitation - Anti-SMN/Gemin 1 antibody [EPR25897-27] (<a href='/en-us/products/primary-antibodies/smn-gemin-1-antibody-epr25897-27-ab314895'>ab314895</a>) at 1/30 dilution

All lanes:

HeLa (human cervix adenocarcinoma epithelial cell) whole cell lysate

Secondary

All lanes:

Immunoprecipitation - VeriBlot for IP Detection Reagent (HRP) (<a href='/en-us/products/reagents/veriblot-for-ip-detection-reagent-hrp-ab131366'>ab131366</a>) at 1/5000 dilution

false

Exposure time: 3s

Immunocytochemistry/ Immunofluorescence - Anti-SMN/Gemin 1 antibody [EPR25897-27] - BSA and Azide free (AB314896)
  • ICC/IF

Supplier Data

Immunocytochemistry/ Immunofluorescence - Anti-SMN/Gemin 1 antibody [EPR25897-27] - BSA and Azide free (AB314896)

This data was developed using ab314895, the same antibody clone in a different buffer formulation.

Immunofluorescent analysis of 4% Paraformaldehyde-fixed, 0.1% TritonX-100 permeabilized Neuro-2a (mouse neuroblastoma neuroblast) cells labelling SMN/Gemin 1 with ab314895 at 1/50 (10.34 ug/ml) dilution, followed by ab150081 Goat Anti-Rabbit IgG H&L (Alexa Fluor® 488) preadsorbed antibody at 1/1000 (2 ug/mL) dilution (Green). Confocal image showing nuclear and cytoplasmic staining in Neuro-2a cell line. Image was taken with a confocal microscope (Leica-Microsystems, TCS SP8). ab195889 Anti-alpha Tubulin mouse monoclonal antibody - Microtubule Marker (Alexa Fluor® 594) was used to counterstain tubulin at 1/200 (2.5ug/ ml) dilution (Red). The Nuclear counterstain was DAPI (Blue).

Secondary antibody only control : Secondary antibody is ab150081 Goat Anti-Rabbit IgG H&L (Alexa Fluor® 488) preadsorbed at 1/1000 (2 ug/mL) dilution.

Flow Cytometry (Intracellular) - Anti-SMN/Gemin 1 antibody [EPR25897-27] - BSA and Azide free (AB314896)
  • Flow Cyt (Intra)

Supplier Data

Flow Cytometry (Intracellular) - Anti-SMN/Gemin 1 antibody [EPR25897-27] - BSA and Azide free (AB314896)

This data was developed using ab314895, the same antibody clone in a different buffer formulation.

Flow cytometric analysis of 4% paraformaldehyde fixed 90% methanol permeabilized Neuro-2a (mouse neuroblastoma neuroblast) cells labelling SMN/Gemin 1 with ab314895 at 1/500 dilution (0.1 ug)/Red compared with a Rabbit monoclonal IgG (ab172730) (Black) isotype control and an unlabelled control (cells without incubation with primary antibody and secondary antibody) (Blue). A Goat Anti-Rabbit IgG (Alexa Fluor® 488, ab150081) at 1/5000 dilution was used as the secondary antibody.

Immunoprecipitation - Anti-SMN/Gemin 1 antibody [EPR25897-27] - BSA and Azide free (AB314896)
  • IP

Supplier Data

Immunoprecipitation - Anti-SMN/Gemin 1 antibody [EPR25897-27] - BSA and Azide free (AB314896)

This data was developed using ab314895, the same antibody clone in a different buffer formulation.

SMN/Gemin 1 was immunoprecipitated from 0.35 mg Neuro-2a (mouse neuroblastoma neuroblast) whole cell lysate with ab314895 at 1/30 dilution (2ug in 0.35mg lysates). Western blot was performed on the immunoprecipitate using ab314895 at 1/1000 dilution. VeriBlot for IP secondary antibody(HRP)(ab131366) was used at 1/5000 dilution.

Lane 1 : Neuro-2a (mouse neuroblastoma neuroblast) whole cell lysate

Lane 2 : ab314895 IP in Neuro-2a (mouse neuroblastoma neuroblast) whole cell lysate

Lane 3 : Rabbit monoclonal IgG (ab172730) instead of ab314895 in Neuro-2a whole cell lysate

Blocking and dilution buffer and concentration : 5% NFDM/TBST.

All lanes:

Immunoprecipitation - Anti-SMN/Gemin 1 antibody [EPR25897-27] (<a href='/en-us/products/primary-antibodies/smn-gemin-1-antibody-epr25897-27-ab314895'>ab314895</a>) at 1/30 dilution

All lanes:

Neuro-2a (mouse neuroblastoma neuroblast) whole cell lysate

Secondary

All lanes:

Immunoprecipitation - VeriBlot for IP Detection Reagent (HRP) (<a href='/en-us/products/reagents/veriblot-for-ip-detection-reagent-hrp-ab131366'>ab131366</a>) at 1/5000 dilution

false

Exposure time: 180s

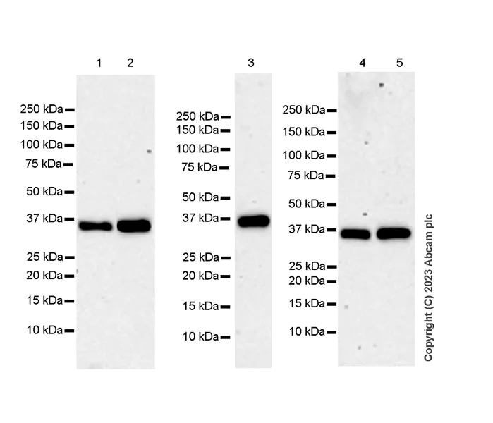
Western blot - Anti-SMN/Gemin 1 antibody [EPR25897-27] - BSA and Azide free (AB314896)
  • WB

Supplier Data

Western blot - Anti-SMN/Gemin 1 antibody [EPR25897-27] - BSA and Azide free (AB314896)

This data was developed using ab314895, the same antibody clone in a different buffer formulation.

Blocking and diluting buffer and concentration : 5% NFDM/TBST

Lane 1-2 and lane 4-5 were freshly made and used for Western blotting immediately to minimize protein degradation.

All lanes:

Western blot - Anti-SMN/Gemin 1 antibody [EPR25897-27] (<a href='/en-us/products/primary-antibodies/smn-gemin-1-antibody-epr25897-27-ab314895'>ab314895</a>) at 1/1000 dilution

Lane 1:

HeLa (human epithelial cell line from cervical adenocarcinoma) whole cell lysate at 20 µg

Lane 2:

293T (human embryonic kidney epithelial cell) whole cell lysate at 20 µg

Lane 3:

K-562 (human chronic myelogenous leukemia lymphoblast) whole cell lysate at 20 µg

Lane 4:

U-87 MG (human glioblastoma-astrocytoma epithelial cell) whole cell lysate at 20 µg

Lane 5:

SH-SY5Y (human neuroblastoma epithelial cell) whole cell lysate at 20 µg

Secondary

All lanes:

Western blot - Goat Anti-Rabbit IgG H&L (HRP) (<a href='/en-us/products/secondary-antibodies/goat-rabbit-igg-h-l-hrp-ab97051'>ab97051</a>) at 1/100000 dilution

Observed band size: 35 kDa

false

Exposure time: 180s

  • Carrier free

    Anti-SMN/Gemin 1 antibody [EPR25897-27] - BSA and Azide free (Detector)

  • Unconjugated

    Anti-SMN/Gemin 1 antibody [EPR25897-27]

Key facts

Host species

Rabbit

Clonality

Monoclonal

Clone number

EPR25897-27

Isotype

IgG

Carrier free

Yes

Reacts with

Human, Mouse

Applications

Flow Cyt (Intra), ICC/IF, IP, WB

applications

Immunogen

The exact immunogen used to generate this antibody is proprietary information.

Specificity

Unsuitable for mouse WB.

Reactivity data

{ "title": "Reactivity Data", "filters": { "stats": ["", "Species", "Dilution Info", "Notes"], "tabs": { "all-applications": {"fullname" : "All Applications", "shortname": "All Applications"}, "WB" : {"fullname" : "Western blot", "shortname":"WB"}, "IP" : {"fullname" : "Immunoprecipitation", "shortname":"IP"}, "ICCIF" : {"fullname" : "Immunocytochemistry/ Immunofluorescence", "shortname":"ICC/IF"}, "FlowCytIntra" : {"fullname" : "Flow Cytometry (Intracellular)", "shortname":"Flow Cyt (Intra)"}, "IHCP" : {"fullname" : "Immunohistochemistry (Formalin/PFA-fixed paraffin-embedded sections)", "shortname":"IHC-P"} }, "product-promise": { "all": "all", "testedAndGuaranteed": "tested", "guaranteed": "expected", "predicted": "predicted", "notRecommended": "not-recommended" } }, "values": { "Human": { "WB-species-checked": "testedAndGuaranteed", "WB-species-dilution-info": "", "WB-species-notes": "<p></p>", "IP-species-checked": "testedAndGuaranteed", "IP-species-dilution-info": "", "IP-species-notes": "<p></p>", "ICCIF-species-checked": "testedAndGuaranteed", "ICCIF-species-dilution-info": "", "ICCIF-species-notes": "<p></p>", "FlowCytIntra-species-checked": "testedAndGuaranteed", "FlowCytIntra-species-dilution-info": "", "FlowCytIntra-species-notes": "<p></p>", "IHCP-species-checked": "notRecommended", "IHCP-species-dilution-info": "", "IHCP-species-notes": "<p></p>" }, "Mouse": { "WB-species-checked": "notRecommended", "WB-species-dilution-info": "", "WB-species-notes": "<p></p>", "IP-species-checked": "testedAndGuaranteed", "IP-species-dilution-info": "", "IP-species-notes": "<p></p>", "ICCIF-species-checked": "testedAndGuaranteed", "ICCIF-species-dilution-info": "", "ICCIF-species-notes": "<p></p>", "FlowCytIntra-species-checked": "testedAndGuaranteed", "FlowCytIntra-species-dilution-info": "", "FlowCytIntra-species-notes": "<p></p>", "IHCP-species-checked": "notRecommended", "IHCP-species-dilution-info": "", "IHCP-species-notes": "<p></p>" }, "Rat": { "WB-species-checked": "notRecommended", "WB-species-dilution-info": "", "WB-species-notes": "<p></p>", "IP-species-checked": "notRecommended", "IP-species-dilution-info": "", "IP-species-notes": "", "ICCIF-species-checked": "notRecommended", "ICCIF-species-dilution-info": "", "ICCIF-species-notes": "", "FlowCytIntra-species-checked": "notRecommended", "FlowCytIntra-species-dilution-info": "", "FlowCytIntra-species-notes": "", "IHCP-species-checked": "notRecommended", "IHCP-species-dilution-info": "", "IHCP-species-notes": "<p></p>" } } }

Product details

ab314896 is the carrier-free version of ab314895.

Patented technology
Our RabMAb® technology is a patented hybridoma-based technology for making rabbit monoclonal antibodies. For details on our patents, please refer to RabMAb® patents.

What are the advantages of a recombinant monoclonal antibody?
This product is a recombinant monoclonal antibody, which offers several advantages including:

  • - High batch-to-batch consistency and reproducibility
  • - Improved sensitivity and specificity
  • - Long-term security of supply
  • - Animal-free batch production

For more information, read more on recombinant antibodies.

Conjugation ready
Our carrier-free antibodies are typically supplied in a PBS-only formulation, purified and free of BSA, sodium azide and glycerol. This conjugation-ready format is designed for use with fluorochromes, metal isotopes, oligonucleotides, and enzymes, which makes them ideal for antibody labelling, functional and cell-based assays, flow-based assays (e.g. mass cytometry) and Multiplex Imaging applications.

Use our conjugation kits for antibody conjugates that are ready-to-use in as little as 20 minutes with 1 minute hands-on-time and 100% antibody recovery: available for fluorescent dyes, HRP, biotin and gold.

Compatibility
This product is compatible with the Maxpar® Antibody Labeling Kit from Fluidigm, without the need for antibody preparation. Maxpar® is a trademark of Fluidigm Canada Inc.

Properties and storage information

Form
Liquid
Purification technique
Affinity purification Protein A
Storage buffer
pH: 7.2 - 7.4 Constituents: PBS
Shipped at conditions
Blue Ice
Appropriate short-term storage conditions
+4°C
Appropriate long-term storage conditions
+4°C

Supplementary information

This supplementary information is collated from multiple sources and compiled automatically.

SMN also known as Survival of Motor Neuron protein or Gemin 1 is an important protein involved in the assembly of small nuclear ribonucleoproteins (snRNPs). It has a molecular mass of approximately 38 kDa. SMN proteins are expressed in almost all tissues with highest levels in spinal cord and brain tissues. They play a mechanical role in Gemin complex assisting RNA processing tasks which are essential in RNA metabolism alongside other Gemin proteins.
Biological function summary

The SMN protein operates within the SMN-Gemin complex a multi-protein assembly important for snRNP biogenesis and pre-mRNA splicing. This complex coordinates the maturation and transport of snRNPs facilitating the processing of precursor mRNAs in the nucleus. SMN and associated Gemin proteins mediate the assembly of Sm proteins onto snRNA ensuring accurate splicing mechanisms necessary for gene expression.

Pathways

The SMN protein is notably involved in the chaperone-assisted assembly pathway related to snRNP biogenesis. It plays a central role in the spliceosome assembly process working closely with Sm proteins and other RNA-binding proteins. Importantly SMN interacts with the ribonucleoprotein complex influencing mRNA splicing which integrates into the broader cell signaling pathways such as the cholinergic agonist pathways and RNA splicing pathways that regulate neuromuscular communication.

The deficiency or malfunction of SMN protein directly relates to Spinal Muscular Atrophy (SMA) an autosomal recessive disorder. SMA is characterized by motor neuron degeneration which can be attributed to insufficient SMN protein levels leading to compromised snRNP assembly and splicing. The SMN1 gene deletion or mutation reduces the available SMN protein linking this defect with the severity of SMA. Studies suggest that altering the expression levels of the related SMN2 gene can potentially modulate disease outcomes further emphasizing the connection between SMN protein and SMA pathogenesis.

Product protocols

For this product, it's our understanding that no specific protocols are required. You can visit:

Target data

The SMN complex catalyzes the assembly of small nuclear ribonucleoproteins (snRNPs), the building blocks of the spliceosome, and thereby plays an important role in the splicing of cellular pre-mRNAs (PubMed : 18984161, PubMed : 9845364). Most spliceosomal snRNPs contain a common set of Sm proteins SNRPB, SNRPD1, SNRPD2, SNRPD3, SNRPE, SNRPF and SNRPG that assemble in a heptameric protein ring on the Sm site of the small nuclear RNA to form the core snRNP (Sm core) (PubMed : 18984161). In the cytosol, the Sm proteins SNRPD1, SNRPD2, SNRPE, SNRPF and SNRPG are trapped in an inactive 6S pICln-Sm complex by the chaperone CLNS1A that controls the assembly of the core snRNP (PubMed : 18984161). To assemble core snRNPs, the SMN complex accepts the trapped 5Sm proteins from CLNS1A forming an intermediate (PubMed : 18984161). Within the SMN complex, SMN1 acts as a structural backbone and together with GEMIN2 it gathers the Sm complex subunits (PubMed : 17178713, PubMed : 21816274, PubMed : 22101937). Binding of snRNA inside 5Sm ultimately triggers eviction of the SMN complex, thereby allowing binding of SNRPD3 and SNRPB to complete assembly of the core snRNP (PubMed : 31799625). Ensures the correct splicing of U12 intron-containing genes that may be important for normal motor and proprioceptive neurons development (PubMed : 23063131). Also required for resolving RNA-DNA hybrids created by RNA polymerase II, that form R-loop in transcription terminal regions, an important step in proper transcription termination (PubMed : 26700805). May also play a role in the metabolism of small nucleolar ribonucleoprotein (snoRNPs).
See full target information SMN1

Product promise

We are committed to supporting your work with high-quality reagents, and we're here for you every step of the way. In the unlikely event that one of our products does not perform as expected, you're protected by our Product Promise.
For full details, please see our Terms & Conditions

Please note: All products are 'FOR RESEARCH USE ONLY. NOT FOR USE IN DIAGNOSTIC OR THERAPEUTIC PROCEDURES'.

For licensing inquiries, please contact partnerships@abcam.com