JavaScript is disabled in your browser. Please enable JavaScript to view this website.
AB307281

Anti-SMN/Gemin 1 antibody [EPR26216-68] - BSA and Azide free

Be the first to review this product! Submit a review

|

(0 Publication)

Rabbit Recombinant Monoclonal SMN/Gemin 1 antibody. Carrier free. Suitable for IP and reacts with Mouse samples.

View Alternative Names

Smn, Smn1, Survival motor neuron protein

2 Images
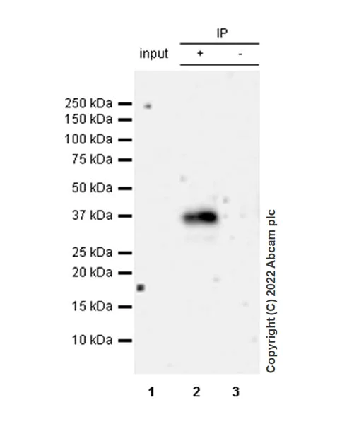
Immunoprecipitation - Anti-SMN/Gemin 1 antibody [EPR26216-68] - BSA and Azide free (AB307281)
  • IP

Supplier Data

Immunoprecipitation - Anti-SMN/Gemin 1 antibody [EPR26216-68] - BSA and Azide free (AB307281)

This data was developed using ab307280, the same antibody clone in a different buffer formulation.

SMN/Gemin 1 was immunoprecipitated from 0.35 mg NIH/3T3 (mouse embryonic fibroblast) whole cell lysate 10 ug with ab307280 at 1/30 dilution (2ug in 0.35mg lysates). Western blot was performed on the immunoprecipitate using ab307280 at 1/1000 dilution. VeriBlot for IP secondary antibody (HRP) (ab131366) was used at 1/5000 dilution.

Lane 1 : NIH/3T3 (mouse embryonic fibroblast) whole cell lysate 10 ug
Lane 2 : ab307280 IP in NIH/3T3 whole cell lysate
Lane 3 : Rabbit monoclonal IgG (ab172730) instead of ab307280 in NIH/3T3 whole cell lysate

Blocking and dilution buffer and concentration : 5% NFDM/TBST.

Exposure time : 154 seconds

All lanes:

Immunoprecipitation - Anti-SMN/Gemin 1 antibody [EPR26216-68] (<a href='/en-us/products/primary-antibodies/smn-gemin-1-antibody-epr26216-68-ab307280'>ab307280</a>) at 1/1000 dilution

Lane 1:

NIH/3T3 (mouse embryonic fibroblast) whole cell lysate 10 μg

Lane 2:

NIH/3T3 whole cell lysate

Secondary

All lanes:

Immunoprecipitation - VeriBlot for IP Detection Reagent (HRP) (<a href='/en-us/products/reagents/veriblot-for-ip-detection-reagent-hrp-ab131366'>ab131366</a>) at 1/5000 dilution

Observed band size: 37 kDa

false

Exposure time: 154s

Immunoprecipitation - Anti-SMN/Gemin 1 antibody [EPR26216-68] - BSA and Azide free (AB307281)
  • IP

Supplier Data

Immunoprecipitation - Anti-SMN/Gemin 1 antibody [EPR26216-68] - BSA and Azide free (AB307281)

This data was developed using ab307280, the same antibody clone in a different buffer formulation.

SMN/Gemin 1 was immunoprecipitated from 0.35 mg MEF (mouse embryonic fibroblast) whole cell lysate 10 ug with ab307280 at 1/30 dilution (2ug in 0.35mg lysates). Western blot was performed on the immunoprecipitate using ab307280 at 1/1000 dilution. VeriBlot for IP secondary antibody (HRP) (ab131366) was used at 1/5000 dilution.

Lane 1 : MEF (mouse embryonic fibroblast) whole cell lysate 10 ug
Lane 2 : ab307280 IP in MEF whole cell lysate
Lane 3 : Rabbit monoclonal IgG (ab172730) instead of ab307280 in MEF whole cell lysate

Blocking and dilution buffer and concentration : 5% NFDM/TBST.

Exposure time : 58 seconds

All lanes:

Immunoprecipitation - Anti-SMN/Gemin 1 antibody [EPR26216-68] (<a href='/en-us/products/primary-antibodies/smn-gemin-1-antibody-epr26216-68-ab307280'>ab307280</a>) at 1/1000 dilution

Lane 1:

MEF (mouse embryonic fibroblast) whole cell lysate 10 μg

Lane 2:

MEF whole cell lysate

Secondary

All lanes:

Immunoprecipitation - VeriBlot for IP Detection Reagent (HRP) (<a href='/en-us/products/reagents/veriblot-for-ip-detection-reagent-hrp-ab131366'>ab131366</a>) at 1/5000 dilution

Observed band size: 37 kDa

false

Exposure time: 58s

Key facts

Host species

Rabbit

Clonality

Monoclonal

Clone number

EPR26216-68

Isotype

IgG

Carrier free

Yes

Reacts with

Mouse

Applications

IP

applications

Immunogen

The exact immunogen used to generate this antibody is proprietary information.

Reactivity data

{ "title": "Reactivity Data", "filters": { "stats": ["", "Species", "Dilution Info", "Notes"], "tabs": { "all-applications": {"fullname" : "All Applications", "shortname": "All Applications"}, "IP" : {"fullname" : "Immunoprecipitation", "shortname":"IP"}, "FlowCytIntra" : {"fullname" : "Flow Cytometry (Intracellular)", "shortname":"Flow Cyt (Intra)"}, "ICCIF" : {"fullname" : "Immunocytochemistry/ Immunofluorescence", "shortname":"ICC/IF"}, "IHCFr" : {"fullname" : "Immunohistochemistry (Frozen sections)", "shortname":"IHC-Fr"}, "IHCP" : {"fullname" : "Immunohistochemistry (Formalin/PFA-fixed paraffin-embedded sections)", "shortname":"IHC-P"}, "WB" : {"fullname" : "Western blot", "shortname":"WB"} }, "product-promise": { "all": "all", "testedAndGuaranteed": "tested", "guaranteed": "expected", "predicted": "predicted", "notRecommended": "not-recommended" } }, "values": { "Human": { "IP-species-checked": "notRecommended", "IP-species-dilution-info": "", "IP-species-notes": "", "FlowCytIntra-species-checked": "notRecommended", "FlowCytIntra-species-dilution-info": "", "FlowCytIntra-species-notes": "", "ICCIF-species-checked": "notRecommended", "ICCIF-species-dilution-info": "", "ICCIF-species-notes": "", "IHCFr-species-checked": "notRecommended", "IHCFr-species-dilution-info": "", "IHCFr-species-notes": "", "IHCP-species-checked": "notRecommended", "IHCP-species-dilution-info": "", "IHCP-species-notes": "<p></p>", "WB-species-checked": "notRecommended", "WB-species-dilution-info": "", "WB-species-notes": "<p></p>" }, "Mouse": { "IP-species-checked": "testedAndGuaranteed", "IP-species-dilution-info": "", "IP-species-notes": "<p></p>", "FlowCytIntra-species-checked": "notRecommended", "FlowCytIntra-species-dilution-info": "", "FlowCytIntra-species-notes": "<p></p>", "ICCIF-species-checked": "notRecommended", "ICCIF-species-dilution-info": "", "ICCIF-species-notes": "<p></p>", "IHCFr-species-checked": "notRecommended", "IHCFr-species-dilution-info": "", "IHCFr-species-notes": "<p></p>", "IHCP-species-checked": "notRecommended", "IHCP-species-dilution-info": "", "IHCP-species-notes": "<p></p>", "WB-species-checked": "notRecommended", "WB-species-dilution-info": "", "WB-species-notes": "<p></p>" }, "Rat": { "IP-species-checked": "notRecommended", "IP-species-dilution-info": "", "IP-species-notes": "<p></p>", "FlowCytIntra-species-checked": "notRecommended", "FlowCytIntra-species-dilution-info": "", "FlowCytIntra-species-notes": "", "ICCIF-species-checked": "notRecommended", "ICCIF-species-dilution-info": "", "ICCIF-species-notes": "", "IHCFr-species-checked": "notRecommended", "IHCFr-species-dilution-info": "", "IHCFr-species-notes": "<p></p>", "IHCP-species-checked": "notRecommended", "IHCP-species-dilution-info": "", "IHCP-species-notes": "<p></p>", "WB-species-checked": "notRecommended", "WB-species-dilution-info": "", "WB-species-notes": "<p></p>" } } }

Product details

Patented technology
Our RabMAb® technology is a patented hybridoma-based technology for making rabbit monoclonal antibodies. For details on our patents, please refer to RabMAb® patents.

What are the advantages of a recombinant monoclonal antibody?
This product is a recombinant monoclonal antibody, which offers several advantages including:

  • - High batch-to-batch consistency and reproducibility
  • - Improved sensitivity and specificity
  • - Long-term security of supply
  • - Animal-free batch production

For more information, read more on recombinant antibodies.

Conjugation ready
Our carrier-free antibodies are typically supplied in a PBS-only formulation, purified and free of BSA, sodium azide and glycerol. This conjugation-ready format is designed for use with fluorochromes, metal isotopes, oligonucleotides, and enzymes, which makes them ideal for antibody labelling, functional and cell-based assays, flow-based assays (e.g. mass cytometry) and Multiplex Imaging applications.

Use our conjugation kits for antibody conjugates that are ready-to-use in as little as 20 minutes with 1 minute hands-on-time and 100% antibody recovery: available for fluorescent dyes, HRP, biotin and gold.

Compatibility
This product is compatible with the Maxpar® Antibody Labeling Kit from Fluidigm, without the need for antibody preparation. Maxpar® is a trademark of Fluidigm Canada Inc.

Properties and storage information

Form
Liquid
Purification technique
Affinity purification Protein A
Storage buffer
pH: 7.2 - 7.4 Constituents: PBS
Shipped at conditions
Blue Ice
Appropriate short-term storage conditions
+4°C
Appropriate long-term storage conditions
+4°C

Supplementary information

This supplementary information is collated from multiple sources and compiled automatically.

SMN also known as Survival of Motor Neuron protein or Gemin 1 is an important protein involved in the assembly of small nuclear ribonucleoproteins (snRNPs). It has a molecular mass of approximately 38 kDa. SMN proteins are expressed in almost all tissues with highest levels in spinal cord and brain tissues. They play a mechanical role in Gemin complex assisting RNA processing tasks which are essential in RNA metabolism alongside other Gemin proteins.
Biological function summary

The SMN protein operates within the SMN-Gemin complex a multi-protein assembly important for snRNP biogenesis and pre-mRNA splicing. This complex coordinates the maturation and transport of snRNPs facilitating the processing of precursor mRNAs in the nucleus. SMN and associated Gemin proteins mediate the assembly of Sm proteins onto snRNA ensuring accurate splicing mechanisms necessary for gene expression.

Pathways

The SMN protein is notably involved in the chaperone-assisted assembly pathway related to snRNP biogenesis. It plays a central role in the spliceosome assembly process working closely with Sm proteins and other RNA-binding proteins. Importantly SMN interacts with the ribonucleoprotein complex influencing mRNA splicing which integrates into the broader cell signaling pathways such as the cholinergic agonist pathways and RNA splicing pathways that regulate neuromuscular communication.

The deficiency or malfunction of SMN protein directly relates to Spinal Muscular Atrophy (SMA) an autosomal recessive disorder. SMA is characterized by motor neuron degeneration which can be attributed to insufficient SMN protein levels leading to compromised snRNP assembly and splicing. The SMN1 gene deletion or mutation reduces the available SMN protein linking this defect with the severity of SMA. Studies suggest that altering the expression levels of the related SMN2 gene can potentially modulate disease outcomes further emphasizing the connection between SMN protein and SMA pathogenesis.

Product protocols

For this product, it's our understanding that no specific protocols are required. You can visit:

Target data

The SMN complex catalyzes the assembly of small nuclear ribonucleoproteins (snRNPs), the building blocks of the spliceosome, and thereby plays an important role in the splicing of cellular pre-mRNAs. Most spliceosomal snRNPs contain a common set of Sm proteins SNRPB, SNRPD1, SNRPD2, SNRPD3, SNRPE, SNRPF and SNRPG that assemble in a heptameric protein ring on the Sm site of the small nuclear RNA to form the core snRNP (Sm core). In the cytosol, the Sm proteins SNRPD1, SNRPD2, SNRPE, SNRPF and SNRPG are trapped in an inactive 6S pICln-Sm complex by the chaperone CLNS1A that controls the assembly of the core snRNP. To assemble core snRNPs, the SMN complex accepts the trapped 5Sm proteins from CLNS1A forming an intermediate. Binding of snRNA inside 5Sm ultimately triggers eviction of the SMN complex, thereby allowing binding of SNRPD3 and SNRPB to complete assembly of the core snRNP. Within the SMN complex, SMN1 acts as a structural backbone and together with GEMIN2 it gathers the Sm complex subunits (By similarity). Ensures the correct splicing of U12 intron-containing genes that may be important for normal motor and proprioceptive neurons development (PubMed : 23063131). Also required for resolving RNA-DNA hybrids created by RNA polymerase II, that form R-loop in transcription terminal regions, an important step in proper transcription termination. May also play a role in the metabolism of small nucleolar ribonucleoprotein (snoRNPs) (By similarity).
See full target information Smn1

Product promise

We are committed to supporting your work with high-quality reagents, and we're here for you every step of the way. In the unlikely event that one of our products does not perform as expected, you're protected by our Product Promise.
For full details, please see our Terms & Conditions

Please note: All products are 'FOR RESEARCH USE ONLY. NOT FOR USE IN DIAGNOSTIC OR THERAPEUTIC PROCEDURES'.

For licensing inquiries, please contact partnerships@abcam.com