JavaScript is disabled in your browser. Please enable JavaScript to view this website.
AB108424

Anti-SMN/Gemin 1 antibody [EPR4430]

Be the first to review this product! Submit a review

|

(37 Publications)

Rabbit Recombinant Monoclonal SMN/Gemin 1 antibody. Suitable for IHC-P, WB and reacts with Human samples. Cited in 37 publications.

View Alternative Names

SMN, SMNT, SMN2, SMNC, SMN1, Survival motor neuron protein, Component of gems 1, Gemin-1

3 Images
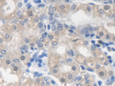
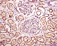
Immunohistochemistry (Formalin/PFA-fixed paraffin-embedded sections) - Anti-SMN/Gemin 1 antibody [EPR4430] (AB108424)
  • IHC-P

Unknown

Immunohistochemistry (Formalin/PFA-fixed paraffin-embedded sections) - Anti-SMN/Gemin 1 antibody [EPR4430] (AB108424)

ab108424 staining Gemin 1 in paraffin-embedded Human kidney tissue by Immunohistochemistry at dilution of 1 : 500.

Perform heat mediated antigen retrieval with citrate buffer pH 6 before commencing with IHC staining protocol.

Western blot - Anti-SMN/Gemin 1 antibody [EPR4430] (AB108424)
  • WB

Unknown

Western blot - Anti-SMN/Gemin 1 antibody [EPR4430] (AB108424)

All lanes:

Western blot - Anti-SMN/Gemin 1 antibody [EPR4430] (ab108424) at 1/1000 dilution

Lane 1:

HeLa cell lysate at 10 µg

Lane 2:

HepG2 cell lysate at 10 µg

Lane 3:

K562 cell lysate at 10 µg

Predicted band size: 123 kDa,20 kDa,30 kDa,32 kDa

Observed band size: 110 kDa

false

Western blot - Anti-SMN/Gemin 1 antibody [EPR4430] (AB108424)
  • WB

Lab

Western blot - Anti-SMN/Gemin 1 antibody [EPR4430] (AB108424)

Western blot : Rabbit Monoclonal [EPR4430] to SMN/Gemin 1 ab108424 staining at 1/1000 dilution, shown in green; Mouse anti alpha Tubulin (ab7291) loading control staining at 1/20,000 dilution, shown in magenta.

A band was observed at 32 kDa in Wild-type A549 cell lysates with no signal observed at this size in SMN1 knockout A549 cell line.

To generate this image, samples were run on an SDS-PAGE gel then transferred onto a nitrocellulose membrane. Membranes were blocked in 3pc Milk in TBS-0.1 % Tween® 20 (TBS-T) before incubation with primary antibodies overnight at 4 °C. Blots were washed four times in TBS-T, incubated with secondary antibodies for 1 h at room temperature, washed again four times then imaged.

Secondary antibodies used were Goat anti-Rabbit 800CW & Goat anti-Mouse 680RD at 1/20,000 dilution.

All lanes:

Western blot - Anti-SMN/Gemin 1 antibody [EPR4430] (ab108424) at 1/1000 dilution

Lane 1:

Wild-type A549 at 20 µg

Lane 2:

SMN1 knockout A549 at 20 µg

Lane 2:

Western blot - Human SMN1 knockout A549 cell line (<a href='/en-us/products/cell-lines/human-smn1-knockout-a549-cell-line-ab301247'>ab301247</a>) at 20 µg

Lane 3:

HeLa at 20 µg

Lane 4:

PC-3 at 20 µg

Secondary

All lanes:

Goat anti-Rabbit 800CW & Goat anti-Mouse 680RD at 1/20000 dilution

Predicted band size: 32 kDa

Observed band size: 32 kDa

false

  • Carrier free

    Anti-SMN/Gemin 1 antibody [EPR4430] - BSA and Azide free

Key facts

Host species

Rabbit

Clonality

Monoclonal

Clone number

EPR4430

Isotype

IgG

Carrier free

No

Reacts with

Human

Applications

WB, IHC-P

applications

Immunogen

The exact immunogen used to generate this antibody is proprietary information.

Reactivity data

{ "title": "Reactivity Data", "filters": { "stats": ["", "Species", "Dilution Info", "Notes"], "tabs": { "all-applications": {"fullname" : "All Applications", "shortname": "All Applications"}, "IHCP" : {"fullname" : "Immunohistochemistry (Formalin/PFA-fixed paraffin-embedded sections)", "shortname":"IHC-P"}, "ICCIF" : {"fullname" : "Immunocytochemistry/ Immunofluorescence", "shortname":"ICC/IF"}, "FlowCyt" : {"fullname" : "Flow Cytometry", "shortname":"Flow Cyt"}, "WB" : {"fullname" : "Western blot", "shortname":"WB"} }, "product-promise": { "all": "all", "testedAndGuaranteed": "tested", "guaranteed": "expected", "predicted": "predicted", "notRecommended": "not-recommended" } }, "values": { "Human": { "IHCP-species-checked": "testedAndGuaranteed", "IHCP-species-dilution-info": "1/500", "IHCP-species-notes": "<p></p>", "ICCIF-species-checked": "notRecommended", "ICCIF-species-dilution-info": "", "ICCIF-species-notes": "<p></p>", "FlowCyt-species-checked": "notRecommended", "FlowCyt-species-dilution-info": "", "FlowCyt-species-notes": "<p></p>", "WB-species-checked": "testedAndGuaranteed", "WB-species-dilution-info": "1/1000 - 1/10000", "WB-species-notes": "<p></p>" }, "Mouse": { "IHCP-species-checked": "predicted", "IHCP-species-dilution-info": "", "IHCP-species-notes": "", "ICCIF-species-checked": "notRecommended", "ICCIF-species-dilution-info": "", "ICCIF-species-notes": "", "FlowCyt-species-checked": "notRecommended", "FlowCyt-species-dilution-info": "", "FlowCyt-species-notes": "", "WB-species-checked": "predicted", "WB-species-dilution-info": "", "WB-species-notes": "" }, "Rat": { "IHCP-species-checked": "predicted", "IHCP-species-dilution-info": "", "IHCP-species-notes": "", "ICCIF-species-checked": "notRecommended", "ICCIF-species-dilution-info": "", "ICCIF-species-notes": "", "FlowCyt-species-checked": "notRecommended", "FlowCyt-species-dilution-info": "", "FlowCyt-species-notes": "", "WB-species-checked": "predicted", "WB-species-dilution-info": "", "WB-species-notes": "" } } }

Product details

Patented technology
Our RabMAb® technology is a patented hybridoma-based technology for making rabbit monoclonal antibodies. For details on our patents, please refer to RabMAb® patents.

What are the advantages of a recombinant monoclonal antibody?
This product is a recombinant monoclonal antibody, which offers several advantages including:

  • - High batch-to-batch consistency and reproducibility
  • - Improved sensitivity and specificity
  • - Long-term security of supply
  • - Animal-free batch production

For more information, read more on recombinant antibodies.

Properties and storage information

Form
Liquid
Purity
Tissue culture supernatant
Storage buffer
pH: 7.2 - 7.4 Preservative: 0.05% Sodium azide Constituents: 50% Tissue culture supernatant, 40% Glycerol (glycerin, glycerine), 9.85% Tris glycine, 0.1% BSA
Shipped at conditions
Blue Ice
Appropriate short-term storage conditions
+4°C
Appropriate long-term storage conditions
-20°C
Storage information
Stable for 12 months at -20°C

Supplementary information

This supplementary information is collated from multiple sources and compiled automatically.

SMN also known as Survival of Motor Neuron protein or Gemin 1 is an important protein involved in the assembly of small nuclear ribonucleoproteins (snRNPs). It has a molecular mass of approximately 38 kDa. SMN proteins are expressed in almost all tissues with highest levels in spinal cord and brain tissues. They play a mechanical role in Gemin complex assisting RNA processing tasks which are essential in RNA metabolism alongside other Gemin proteins.
Biological function summary

The SMN protein operates within the SMN-Gemin complex a multi-protein assembly important for snRNP biogenesis and pre-mRNA splicing. This complex coordinates the maturation and transport of snRNPs facilitating the processing of precursor mRNAs in the nucleus. SMN and associated Gemin proteins mediate the assembly of Sm proteins onto snRNA ensuring accurate splicing mechanisms necessary for gene expression.

Pathways

The SMN protein is notably involved in the chaperone-assisted assembly pathway related to snRNP biogenesis. It plays a central role in the spliceosome assembly process working closely with Sm proteins and other RNA-binding proteins. Importantly SMN interacts with the ribonucleoprotein complex influencing mRNA splicing which integrates into the broader cell signaling pathways such as the cholinergic agonist pathways and RNA splicing pathways that regulate neuromuscular communication.

The deficiency or malfunction of SMN protein directly relates to Spinal Muscular Atrophy (SMA) an autosomal recessive disorder. SMA is characterized by motor neuron degeneration which can be attributed to insufficient SMN protein levels leading to compromised snRNP assembly and splicing. The SMN1 gene deletion or mutation reduces the available SMN protein linking this defect with the severity of SMA. Studies suggest that altering the expression levels of the related SMN2 gene can potentially modulate disease outcomes further emphasizing the connection between SMN protein and SMA pathogenesis.

Product protocols

For this product, it's our understanding that no specific protocols are required. You can visit:

Target data

The SMN complex catalyzes the assembly of small nuclear ribonucleoproteins (snRNPs), the building blocks of the spliceosome, and thereby plays an important role in the splicing of cellular pre-mRNAs (PubMed : 18984161, PubMed : 9845364). Most spliceosomal snRNPs contain a common set of Sm proteins SNRPB, SNRPD1, SNRPD2, SNRPD3, SNRPE, SNRPF and SNRPG that assemble in a heptameric protein ring on the Sm site of the small nuclear RNA to form the core snRNP (Sm core) (PubMed : 18984161). In the cytosol, the Sm proteins SNRPD1, SNRPD2, SNRPE, SNRPF and SNRPG are trapped in an inactive 6S pICln-Sm complex by the chaperone CLNS1A that controls the assembly of the core snRNP (PubMed : 18984161). To assemble core snRNPs, the SMN complex accepts the trapped 5Sm proteins from CLNS1A forming an intermediate (PubMed : 18984161). Within the SMN complex, SMN1 acts as a structural backbone and together with GEMIN2 it gathers the Sm complex subunits (PubMed : 17178713, PubMed : 21816274, PubMed : 22101937). Binding of snRNA inside 5Sm ultimately triggers eviction of the SMN complex, thereby allowing binding of SNRPD3 and SNRPB to complete assembly of the core snRNP (PubMed : 31799625). Ensures the correct splicing of U12 intron-containing genes that may be important for normal motor and proprioceptive neurons development (PubMed : 23063131). Also required for resolving RNA-DNA hybrids created by RNA polymerase II, that form R-loop in transcription terminal regions, an important step in proper transcription termination (PubMed : 26700805). May also play a role in the metabolism of small nucleolar ribonucleoprotein (snoRNPs).
See full target information SMN1

Publications (37)

Recent publications for all applications. Explore the full list and refine your search

Cell & bioscience 15:105 PubMed40684181

2025

Circ_HUWE1: a novel regulator of lipid accumulation, inflammation, and gut microbiota in atherosclerosis.

Applications

Unspecified application

Species

Unspecified reactive species

Zulong Sheng,Yi Fan,Zhenjun Ji,Yanru He,Rui Zhang,Yuyu Yao,Genshan Ma

Open life sciences 19:20220990 PubMed39759103

2025

MFAP5 inhibits the malignant progression of endometrial cancer cells .

Applications

Unspecified application

Species

Unspecified reactive species

Guanying Liang,Zijuan Qi,Chun Du

Heliyon 9:e21412 PubMed37920489

2023

Mechanism of Nrf2/miR338-3p/TRAP-1 pathway involved in hyperactivation of synovial fibroblasts in patients with osteoarthritis.

Applications

Unspecified application

Species

Unspecified reactive species

Peng Jie,Ya Wu,Changzhi Song,Yi Cheng,Yunfei Liu,Kang Chen

International heart journal 64:750-758 PubMed37518356

2023

LIM Homeobox 2 Increases Adhesion-Regulating Molecule 1 Transcription to Facilitate the Pathological Progression of Oxidized Low-Density Lipoprotein-Stimulated Atherosclerotic Cell Models.

Applications

Unspecified application

Species

Unspecified reactive species

Junqi Xiao,Yang Xie,Qing Duan,Tao Liu,Rong Ye,Xunhong Duan,Zhibiao Le,Nan Deng,Fengen Liu

Diabetes, metabolic syndrome and obesity : targets and therapy 16:2105-2116 PubMed37457110

2023

A Novel Circ_Arf3/miR-452-5p/Mbnl1 Axis Regulates Proliferation and Expression of Fibrosis-Related Proteins of Mouse Mesangial Cells Under High Glucose.

Applications

Unspecified application

Species

Unspecified reactive species

Qiong Wang,Yanting Zhu,Qianlan Dong,Linping Zhang,Wei Zhang

Journal of diabetes investigation 14:940-952 PubMed37309277

2023

Long non-coding ribonucleic acid zinc finger E-box binding homeobox 1 antisense RNA 1 regulates myocardial fibrosis in diabetes through the Hippo-Yes-associated protein signaling pathway.

Applications

Unspecified application

Species

Unspecified reactive species

Jing Wu,Rui Lyu,Shumin Chen,Xiaoguang Wang

Parasites & vectors 16:184 PubMed37280619

2023

MicroRNA-29a-3p prevents Schistosoma japonicum-induced liver fibrosis by targeting Roundabout homolog 1 in hepatic stellate cells.

Applications

Unspecified application

Species

Unspecified reactive species

Hongyan Kong,Qiqin Song,Wenjiang Hu,Shusen Guo,Dandan Xiang,Shuaiwen Huang,Xin Xu,Jinan He,Lanyue Pan,Ran Tao,Haijing Yu,Jiaquan Huang

Open medicine (Warsaw, Poland) 18:20230654 PubMed37197357

2023

Effect of miR-499-5p/SOX6 axis on atrial fibrosis in rats with atrial fibrillation.

Applications

Unspecified application

Species

Unspecified reactive species

Xinyuan Han,Shunda Wang,Zhijun Yong,Xueting Zhang,Xuanqi Wang,Penghua You

International journal of molecular sciences 24: PubMed36675308

2023

The RNA-Binding Protein SMN as a Novel Player in Laryngeal Squamous Cell Carcinoma.

Applications

Unspecified application

Species

Unspecified reactive species

Francesca Gabanella,Andrea Colizza,Maria Chiara Mottola,Silvia Francati,Giovanna Blaconà,Carla Petrella,Christian Barbato,Antonio Greco,Massimo Ralli,Marco Fiore,Nicoletta Corbi,Giampiero Ferraguti,Alessandro Corsi,Antonio Minni,Marco de Vincentiis,Claudio Passananti,Maria Grazia Di Certo

Cell death discovery 9:8 PubMed36646672

2023

Simultaneous blockade of VEGF-B and IL-17A ameliorated diabetic kidney disease by reducing ectopic lipid deposition and alleviating inflammation response.

Applications

Unspecified application

Species

Unspecified reactive species

Zhonglian Cao,Hui Zhao,Jiajun Fan,Yilan Shen,Lei Han,Guangjun Jing,Xian Zeng,Xin Jin,Zeguo Zhu,Qi Bian,Yanyang Nan,Xiaozhi Hu,Xiaobin Mei,Dianwen Ju,Ping Yang
View all publications

Product promise

We are committed to supporting your work with high-quality reagents, and we're here for you every step of the way. In the unlikely event that one of our products does not perform as expected, you're protected by our Product Promise.
For full details, please see our Terms & Conditions

Please note: All products are 'FOR RESEARCH USE ONLY. NOT FOR USE IN DIAGNOSTIC OR THERAPEUTIC PROCEDURES'.

For licensing inquiries, please contact partnerships@abcam.com