JavaScript is disabled in your browser. Please enable JavaScript to view this website.
AB313570

Anti-SMOC1 antibody [EPR26922-29] - BSA and Azide free

Be the first to review this product! Submit a review

|

(0 Publication)

Rabbit Recombinant Monoclonal SMOC1 antibody. Carrier free. Suitable for WB, ICC/IF, Flow Cyt (Intra), IP and reacts with Human samples.

View Alternative Names

SPARC-related modular calcium-binding protein 1, Secreted modular calcium-binding protein 1, SMOC-1, SMOC1

6 Images
Immunocytochemistry/ Immunofluorescence - Anti-SMOC1 antibody [EPR26922-29] - BSA and Azide free (AB313570)
  • ICC/IF

Supplier Data

Immunocytochemistry/ Immunofluorescence - Anti-SMOC1 antibody [EPR26922-29] - BSA and Azide free (AB313570)

This data was developed using ab313569, the same antibody clone in a different buffer formulation. Immunofluorescent analysis of 4% Paraformaldehyde-fixed, 0.1% TritonX-100 permeabilized HeLa (human cervical adenocarcinoma epithelial cell) cells labelling SMOC1 with ab313569 at 1/100 (5.14 ug/ml) dilution, followed by ab150081 Goat Anti-Rabbit IgG H&L (Alexa Fluor® 488) preadsorbed antibody at 1/1000 2 ug/ml dilution (Green). Confocal image showing cytoplasmic staining in HeLa cell line. Image was taken with a confocal microscope(Leica-Microsystems, TCS SP8). ab195889 Anti-alpha Tubulin mouse monoclonal antibody - Microtubule Marker (Alexa Fluor® 594) was used to counterstain tubulin at 1/200 2.5ug/ml dilution (Red). The Nuclear counterstain was DAPI (Blue). Secondary antibody only control : Secondary antibody is ab150081 Goat Anti-Rabbit IgG H&L (Alexa Fluor® 488) preadsorbed at 1/1000 2 ug/ml dilution.

Flow Cytometry (Intracellular) - Anti-SMOC1 antibody [EPR26922-29] - BSA and Azide free (AB313570)
  • Flow Cyt (Intra)

Supplier Data

Flow Cytometry (Intracellular) - Anti-SMOC1 antibody [EPR26922-29] - BSA and Azide free (AB313570)

This data was developed using ab313569, the same antibody clone in a different buffer formulation. Flow cytometric analysis of 4% paraformaldehyde fixed 90% methanol permeabilized HeLa (human cervical adenocarcinoma epithelial cell) cells labelling SMOC1 with ab313569 at 1/50 dilution (1 ug)/Red (Red) compared with a Rabbit monoclonal IgG (ab172730) (Black) isotype control and an unlabelled control (cells without incubation with primary antibody and secondary antibody) (Blue). A Goat Anti-Rabbit IgG (Alexa Fluor® 488, ab150081) at 1/5000 dilution was used as the secondary antibody.

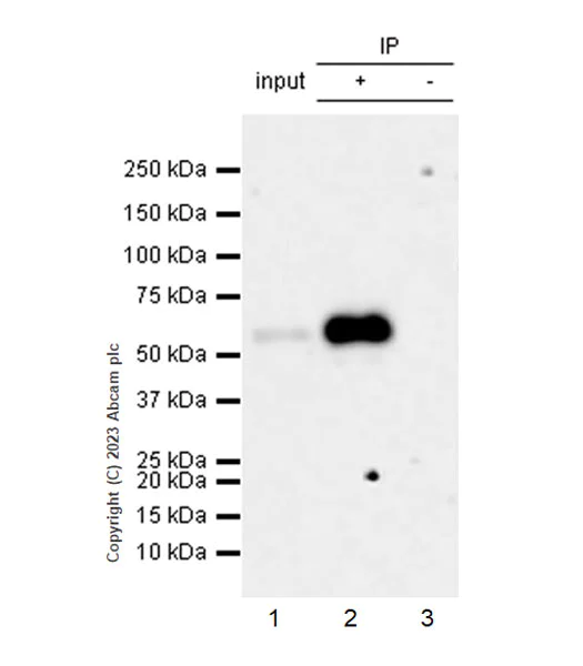
Immunoprecipitation - Anti-SMOC1 antibody [EPR26922-29] - BSA and Azide free (AB313570)
  • IP

Collaborator

Immunoprecipitation - Anti-SMOC1 antibody [EPR26922-29] - BSA and Azide free (AB313570)

This data was developed using ab313569, the same antibody clone in a different buffer formulation. SMOC1 was immunoprecipitated from 0.35 mg Wild-type HeLa (human cervical adenocarcinoma epithelial cell) concentrated culture supernatant (ultrafiltration). with ab313569 at 1/30 dilution (2ug in 0.35mg lysates). Western blot was performed on the immunoprecipitate using ab313569 at 1/1000 dilution. Lane 1 : Wild-type HeLa (human cervical adenocarcinoma epithelial cell) concentrated culture supernatant (ultrafiltration). Lane 2 : ab313569 IP in Wild-type HeLa (human cervical adenocarcinoma epithelial cell) concentrated culture supernatant (ultrafiltration). Lane 3 : Wild-type HeLa (human cervical adenocarcinoma epithelial cell) concentrated culture supernatant (ultrafiltration). Blocking and dilution buffer and concentration : 5% NFDM/TBST. The images were kindly provided by YCharOS Antibody Characterization.

All lanes:

Immunoprecipitation - Anti-SMOC1 antibody [EPR26922-29] (<a href='/en-us/products/primary-antibodies/smoc1-antibody-epr26922-29-ab313569'>ab313569</a>) at 1/30 dilution

All lanes:

Wild-type HeLa (human cervical adenocarcinoma epithelial cell) concentrated culture supernatant (ultrafiltration)

false

The images were kindly provided by YCharOS Antibody Characterization.

Immunoprecipitation - Anti-SMOC1 antibody [EPR26922-29] - BSA and Azide free (AB313570)
  • IP

Supplier Data

Immunoprecipitation - Anti-SMOC1 antibody [EPR26922-29] - BSA and Azide free (AB313570)

This data was developed using ab313569, the same antibody clone in a different buffer formulation. SMOC1 was immunoprecipitated from 0.35 mg HeLa (human cervical adenocarcinoma epithelial cell) treated with 300 ng/ml Brefeldin A for 24 hours whole cell lysate with ab313569 at 1/30 dilution (2ug in 0.35mg lysates). Western blot was performed on the immunoprecipitate using ab313569 at 1/1000 dilution. VeriBlot for IP secondary antibody(HRP)(ab131366) was used at 1/5000 dilution. Lane 1 : HeLa (human cervical adenocarcinoma epithelial cell) treated with 300 ng/ml Brefeldin A for 24 hours whole cell lysate Lane 2 : ab313569 IP in HeLa (human cervical adenocarcinoma epithelial cell) treated with 300 ng/ml Brefeldin A for 24 hours whole cell lysate Lane 3 : Rabbit monoclonal IgG (ab172730) instead of ab313569 in HeLa treated with 300 ng/ml Brefeldin A for 24 hours whole cell lysate Blocking and dilution buffer and concentration : 5% NFDM/TBST. Exposure time : 50 seconds

All lanes:

Immunoprecipitation - Anti-SMOC1 antibody [EPR26922-29] (<a href='/en-us/products/primary-antibodies/smoc1-antibody-epr26922-29-ab313569'>ab313569</a>) at 1/30 dilution

All lanes:

HeLa (human cervical adenocarcinoma epithelial cell) treated with 300 ng/ml Brefeldin A for 24 hours whole cell lysate

Secondary

All lanes:

Immunoprecipitation - VeriBlot for IP Detection Reagent (HRP) (<a href='/en-us/products/reagents/veriblot-for-ip-detection-reagent-hrp-ab131366'>ab131366</a>) at 1/5000 dilution

false

Exposure time: 50s

Western blot - Anti-SMOC1 antibody [EPR26922-29] - BSA and Azide free (AB313570)
  • WB

Collaborator

Western blot - Anti-SMOC1 antibody [EPR26922-29] - BSA and Azide free (AB313570)

This data was developed using ab313569, the same antibody clone in a different buffer formulation. Blocking and diluting buffer and concentration : 5% NFDM/TBST Cells were grown for 24 hours in serum free media before the media was collected. The images were kindly provided by YCharOS Antibody Characterization. Exposure time : 2 minutes

All lanes:

Western blot - Anti-SMOC1 antibody [EPR26922-29] (<a href='/en-us/products/primary-antibodies/smoc1-antibody-epr26922-29-ab313569'>ab313569</a>) at 1/1000 dilution

Lane 1:

Wild-type HeLa (human cervical adenocarcinoma epithelial cell) cture supernatant (trafiltration) at 30 µg

Lane 2:

SMOC1 knockout HeLa cture supernatant (trafiltration) at 30 µg

Secondary

All lanes:

Goat Anti-Rabbit IgG, (H+L), Peroxidase conjugated at 1/5000 dilution

Observed band size: 50-60 kDa

false

Exposure time: 2min

The images were kindly provided by YCharOS Antibody Characterization.

Western blot - Anti-SMOC1 antibody [EPR26922-29] - BSA and Azide free (AB313570)
  • WB

Supplier Data

Western blot - Anti-SMOC1 antibody [EPR26922-29] - BSA and Azide free (AB313570)

This data was developed using ab313569, the same antibody clone in a different buffer formulation. Blocking and diluting buffer and concentration : 5% NFDM/TBST In Western blot, anti-GAPDH antibody (ab181602) loading control staining at 1/200000 dilution. Exposure time : 48 seconds

All lanes:

Western blot - Anti-SMOC1 antibody [EPR26922-29] (<a href='/en-us/products/primary-antibodies/smoc1-antibody-epr26922-29-ab313569'>ab313569</a>) at 1/1000 dilution

Lane 1:

Untreated HeLa (human cervical adenocarcinoma epithelial cell) whole cell lysate at 20 µg

Lane 2:

HeLa treated with /ml Brefeldin A for 24 hours whole cell lysate at 20 µg

Secondary

All lanes:

Western blot - Goat Anti-Rabbit IgG H&L (HRP) (<a href='/en-us/products/secondary-antibodies/goat-rabbit-igg-h-l-hrp-ab97051'>ab97051</a>) at 1/20000 dilution

Observed band size: 50-60 kDa

false

Exposure time: 48s

Key facts

Host species

Rabbit

Clonality

Monoclonal

Clone number

EPR26922-29

Isotype

IgG

Carrier free

Yes

Reacts with

Human

Applications

IP, WB, ICC/IF, Flow Cyt (Intra)

applications

Immunogen

The exact immunogen used to generate this antibody is proprietary information.

Reactivity data

{ "title": "Reactivity Data", "filters": { "stats": ["", "Species", "Dilution Info", "Notes"], "tabs": { "all-applications": {"fullname" : "All Applications", "shortname": "All Applications"}, "WB" : {"fullname" : "Western blot", "shortname":"WB"}, "ICCIF" : {"fullname" : "Immunocytochemistry/ Immunofluorescence", "shortname":"ICC/IF"}, "FlowCytIntra" : {"fullname" : "Flow Cytometry (Intracellular)", "shortname":"Flow Cyt (Intra)"}, "IP" : {"fullname" : "Immunoprecipitation", "shortname":"IP"}, "IHCP" : {"fullname" : "Immunohistochemistry (Formalin/PFA-fixed paraffin-embedded sections)", "shortname":"IHC-P"}, "IHCFr" : {"fullname" : "Immunohistochemistry (Frozen sections)", "shortname":"IHC-Fr"} }, "product-promise": { "all": "all", "testedAndGuaranteed": "tested", "guaranteed": "expected", "predicted": "predicted", "notRecommended": "not-recommended" } }, "values": { "Human": { "WB-species-checked": "testedAndGuaranteed", "WB-species-dilution-info": "", "WB-species-notes": "<p></p>", "ICCIF-species-checked": "testedAndGuaranteed", "ICCIF-species-dilution-info": "", "ICCIF-species-notes": "<p></p>", "FlowCytIntra-species-checked": "testedAndGuaranteed", "FlowCytIntra-species-dilution-info": "", "FlowCytIntra-species-notes": "<p></p>", "IP-species-checked": "testedAndGuaranteed", "IP-species-dilution-info": "", "IP-species-notes": "<p></p>", "IHCP-species-checked": "notRecommended", "IHCP-species-dilution-info": "", "IHCP-species-notes": "<p></p>", "IHCFr-species-checked": "notRecommended", "IHCFr-species-dilution-info": "", "IHCFr-species-notes": "" }, "Mouse": { "WB-species-checked": "notRecommended", "WB-species-dilution-info": "", "WB-species-notes": "<p></p>", "ICCIF-species-checked": "notRecommended", "ICCIF-species-dilution-info": "", "ICCIF-species-notes": "<p></p>", "FlowCytIntra-species-checked": "notRecommended", "FlowCytIntra-species-dilution-info": "", "FlowCytIntra-species-notes": "<p></p>", "IP-species-checked": "notRecommended", "IP-species-dilution-info": "", "IP-species-notes": "", "IHCP-species-checked": "notRecommended", "IHCP-species-dilution-info": "", "IHCP-species-notes": "<p></p>", "IHCFr-species-checked": "notRecommended", "IHCFr-species-dilution-info": "", "IHCFr-species-notes": "<p></p>" }, "Rat": { "WB-species-checked": "notRecommended", "WB-species-dilution-info": "", "WB-species-notes": "<p></p>", "ICCIF-species-checked": "notRecommended", "ICCIF-species-dilution-info": "", "ICCIF-species-notes": "", "FlowCytIntra-species-checked": "notRecommended", "FlowCytIntra-species-dilution-info": "", "FlowCytIntra-species-notes": "", "IP-species-checked": "notRecommended", "IP-species-dilution-info": "", "IP-species-notes": "", "IHCP-species-checked": "notRecommended", "IHCP-species-dilution-info": "", "IHCP-species-notes": "<p></p>", "IHCFr-species-checked": "notRecommended", "IHCFr-species-dilution-info": "", "IHCFr-species-notes": "" } } }

Product details

Patented technology
Our RabMAb® technology is a patented hybridoma-based technology for making rabbit monoclonal antibodies. For details on our patents, please refer to RabMAb® patents.

What are the advantages of a recombinant monoclonal antibody?
This product is a recombinant monoclonal antibody, which offers several advantages including:

  • - High batch-to-batch consistency and reproducibility
  • - Improved sensitivity and specificity
  • - Long-term security of supply
  • - Animal-free batch production

For more information, read more on recombinant antibodies.

Conjugation ready
Our carrier-free antibodies are typically supplied in a PBS-only formulation, purified and free of BSA, sodium azide and glycerol. This conjugation-ready format is designed for use with fluorochromes, metal isotopes, oligonucleotides, and enzymes, which makes them ideal for antibody labelling, functional and cell-based assays, flow-based assays (e.g. mass cytometry) and Multiplex Imaging applications.

Use our conjugation kits for antibody conjugates that are ready-to-use in as little as 20 minutes with 1 minute hands-on-time and 100% antibody recovery: available for fluorescent dyes, HRP, biotin and gold.

Compatibility
This product is compatible with the Maxpar® Antibody Labeling Kit from Fluidigm, without the need for antibody preparation. Maxpar® is a trademark of Fluidigm Canada Inc.

Properties and storage information

Form
Liquid
Purification technique
Affinity purification Protein A
Storage buffer
pH: 7.2 - 7.4 Constituents: PBS
Shipped at conditions
Blue Ice
Appropriate short-term storage conditions
+4°C
Appropriate long-term storage conditions
+4°C

Supplementary information

This supplementary information is collated from multiple sources and compiled automatically.

SPARC-related modular calcium binding 1 (SMOC1) is an extracellular matrix protein coded by the SMOC1 gene. Known also as its full form the protein weighs approximately 59 kDa and consists of several domains including a thyroglobulin type-1 repeat and two EF-hand domains. SMOC1 is widely expressed in various tissues such as the eye bone and skin. Its expression pattern suggests it plays an important role in tissue development and maintenance.
Biological function summary

SMOC1 functions involve regulation of angiogenesis and cellular differentiation. It interacts with the extracellular matrix modulating the assembly and dynamics of structural proteins. SMOC1 sounds interactions with calmodulin and integrins forming part of a larger complex. This complex engagement influences cellular processes like cell migration adhesion and stabilization which are pivotal for development and wound healing.

Pathways

SMOC1 associates with integrin signaling and TGF-beta signaling pathways. These pathways govern processes like cell growth apoptosis and differentiation. SMOC1 modulates the activity of integrins connecting with proteins such as integrin alpha-V beta-3 and transforming growth factor beta (TGF-β). Their relationships indicate SMOC1's involvement in cellular communication and response to environmental changes.

SMOC1 links to conditions like microphthalmia and coloboma as well as bone development disorders. Mutations or dysregulation of SMOC1 impairs normal development indicating its role in ocular and skeletal health. Researchers note connections with proteins like Pax6 which is also involved in eye development. This involvement shows how closely SMOC1 is tied to disorders affecting vision and structural integrity.

Product protocols

For this product, it's our understanding that no specific protocols are required. You can visit:

Target data

Plays essential roles in both eye and limb development. Probable regulator of osteoblast differentiation.
See full target information SPARC-related modular calcium-binding protein 1

Product promise

We are committed to supporting your work with high-quality reagents, and we're here for you every step of the way. In the unlikely event that one of our products does not perform as expected, you're protected by our Product Promise.
For full details, please see our Terms & Conditions

Please note: All products are 'FOR RESEARCH USE ONLY. NOT FOR USE IN DIAGNOSTIC OR THERAPEUTIC PROCEDURES'.

For licensing inquiries, please contact partnerships@abcam.com