JavaScript is disabled in your browser. Please enable JavaScript to view this website.
AB313571

Anti-SMOC1 antibody [EPR26922-31]

  • 20ul selling size
  • RabMAb
  • KO Validated
  • Recombinant
  • What is this?

Be the first to review this product! Submit a review

|

(1 Publication)

Rabbit Recombinant Monoclonal SMOC1 antibody. Suitable for WB, IP and reacts with Human, Mouse samples. Cited in 1 publication.

View Alternative Names

SPARC-related modular calcium-binding protein 1, Secreted modular calcium-binding protein 1, SMOC-1, SMOC1

5 Images
Immunoprecipitation - Anti-SMOC1 antibody [EPR26922-31] (AB313571)
  • IP

Collaborator

Immunoprecipitation - Anti-SMOC1 antibody [EPR26922-31] (AB313571)

SMOC1 was immunoprecipitated from 0.35 mg Wild-type HeLa (human cervical adenocarcinoma epithelial cell) concentrated culture supernatant (ultrafiltration), with ab313571 at 1/30 dilution (2ug in 0.35mg lysates). Western blot was performed on the immunoprecipitate using ab313571 at 1/1000 dilution. Lane 1 : Wild-type HeLa (human cervical adenocarcinoma epithelial cell) concentrated culture supernatant (ultrafiltration). Lane 2 : ab313571 Wild-type HeLa (human cervical adenocarcinoma epithelial cell) concentrated culture supernatant (ultrafiltration). Lane 3 : Wild-type HeLa (human cervical adenocarcinoma epithelial cell) concentrated culture supernatant (ultrafiltration). Blocking and dilution buffer and concentration : 5% NFDM/TBST. The images were kindly provided by YCharOS Antibody Characterization.

All lanes:

Immunoprecipitation - Anti-SMOC1 antibody [EPR26922-31] (ab313571) at 1/30 dilution

All lanes:

Wild-type HeLa (human cervical adenocarcinoma epithelial cell) concentrated culture supernatant (ultrafiltration)

false

The images were kindly provided by YCharOS Antibody Characterization.

Western blot - Anti-SMOC1 antibody [EPR26922-31] (AB313571)
  • WB

Collaborator

Western blot - Anti-SMOC1 antibody [EPR26922-31] (AB313571)

Blocking and diluting buffer and concentration : 5% NFDM/TBST.

Cells were grown for 24 hours in serum free media before the media was collected.

All lanes:

Western blot - Anti-SMOC1 antibody [EPR26922-31] (ab313571) at 1/1000 dilution

Lane 1:

Wild-type HeLa (human cervical adenocarcinoma epithelial cell) culture supernatant (ultrafiltration) at 30 µg

Lane 2:

SMOC1 knockout HeLa culture supernatant (ultrafiltration) at 30 µg

Secondary

All lanes:

Goat Anti-Rabbit IgG, (H+L), Peroxidase conjugated at 1/20000 dilution

Observed band size: 50-60 kDa

false

Exposure time: 2min

The images were kindly provided by YCharOS Antibody Characterization.

Western blot - Anti-SMOC1 antibody [EPR26922-31] (AB313571)
  • WB

Supplier Data

Western blot - Anti-SMOC1 antibody [EPR26922-31] (AB313571)

Blocking and diluting buffer and concentration : 5% NFDM/TBST Negative control : HCT 116 (PMID : 29435136). The identity of the higher MW band at approximately 120 kDa is unknown. In Western blot, anti-GAPDH antibody (ab181602) loading control staining at 1/200000 dilution. Exposure time : Lanes 1-2 : 125 seconds; Lanes 3-5 : 10 seconds.

All lanes:

Western blot - Anti-SMOC1 antibody [EPR26922-31] (ab313571) at 1/2000 dilution

Lane 1:

Untreated HeLa (human cervical adenocarcinoma epithelial cell) whole cell lysate at 20 µg

Lane 2:

HeLa treated with /ml Brefeldin A for 24 hours whole cell lysate at 20 µg

Lane 3:

HUVEC (human umbilical vein endothelial cell) whole cell lysate at 20 µg

Lane 4:

HUVEC cture supernatant at 10 µL

Lane 5:

HCT 116 (human colorectal carcinoma epithelial cell) whole cell lysate at 20 µg

Secondary

All lanes:

Western blot - Goat Anti-Rabbit IgG H&L (HRP) (<a href='/en-us/products/secondary-antibodies/goat-rabbit-igg-h-l-hrp-ab97051'>ab97051</a>) at 1/20000 dilution

Observed band size: 50-60 kDa

false

Western blot - Anti-SMOC1 antibody [EPR26922-31] (AB313571)
  • WB

Supplier Data

Western blot - Anti-SMOC1 antibody [EPR26922-31] (AB313571)

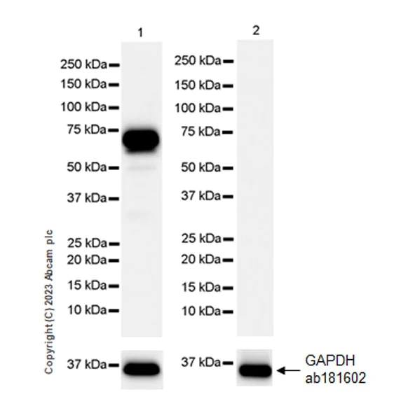
Blocking and diluting buffer and concentration : 5% NFDM/TBST Negative control : spleen (PMID : 12130637). In Western blot, anti-GAPDH antibody (ab181602) loading control staining at 1/200000 dilution. Exposure time : 10 seconds

All lanes:

Western blot - Anti-SMOC1 antibody [EPR26922-31] (ab313571) at 1/2000 dilution

Lane 1:

Human ovary cancer tissue lysate at 20 µg

Lane 2:

Human spleen tissue lysate at 20 µg

Secondary

All lanes:

Goat Anti-Rabbit IgG (HRP) with minimal cross-reactivity with human IgG at 1/2000 dilution

Observed band size: 50-60 kDa

false

Exposure time: 10s

Western blot - Anti-SMOC1 antibody [EPR26922-31] (AB313571)
  • WB

Supplier Data

Western blot - Anti-SMOC1 antibody [EPR26922-31] (AB313571)

Blocking and diluting buffer and concentration : 5% NFDM/TBST Exposure time : 10 seconds

All lanes:

Western blot - Anti-SMOC1 antibody [EPR26922-31] (ab313571) at 1/2000 dilution

All lanes:

NIH/3T3 (mouse embryonic fibroblast) cture supernatant at 10 µL

Secondary

All lanes:

Western blot - Goat Anti-Rabbit IgG H&L (HRP) (<a href='/en-us/products/secondary-antibodies/goat-rabbit-igg-h-l-hrp-ab97051'>ab97051</a>) at 1/20000 dilution

Observed band size: 50-60 kDa

false

Exposure time: 10s

  • Carrier free

    Anti-SMOC1 antibody [EPR26922-31] - BSA and Azide free

Key facts

Host species

Rabbit

Clonality

Monoclonal

Clone number

EPR26922-31

Isotype

IgG

Carrier free

No

Reacts with

Human, Mouse

Applications

IP, WB

applications

Immunogen

The exact immunogen used to generate this antibody is proprietary information.

Reactivity data

{ "title": "Reactivity Data", "filters": { "stats": ["", "Species", "Dilution Info", "Notes"], "tabs": { "all-applications": {"fullname" : "All Applications", "shortname": "All Applications"}, "WB" : {"fullname" : "Western blot", "shortname":"WB"}, "IP" : {"fullname" : "Immunoprecipitation", "shortname":"IP"}, "IHCP" : {"fullname" : "Immunohistochemistry (Formalin/PFA-fixed paraffin-embedded sections)", "shortname":"IHC-P"}, "ICCIF" : {"fullname" : "Immunocytochemistry/ Immunofluorescence", "shortname":"ICC/IF"}, "FlowCytIntra" : {"fullname" : "Flow Cytometry (Intracellular)", "shortname":"Flow Cyt (Intra)"}, "IHCFr" : {"fullname" : "Immunohistochemistry (Frozen sections)", "shortname":"IHC-Fr"} }, "product-promise": { "all": "all", "testedAndGuaranteed": "tested", "guaranteed": "expected", "predicted": "predicted", "notRecommended": "not-recommended" } }, "values": { "Human": { "WB-species-checked": "testedAndGuaranteed", "WB-species-dilution-info": "1/1000", "WB-species-notes": "<p></p>", "IP-species-checked": "testedAndGuaranteed", "IP-species-dilution-info": "1/30", "IP-species-notes": "<p></p>", "IHCP-species-checked": "notRecommended", "IHCP-species-dilution-info": "", "IHCP-species-notes": "<p></p>", "ICCIF-species-checked": "notRecommended", "ICCIF-species-dilution-info": "", "ICCIF-species-notes": "<p></p>", "FlowCytIntra-species-checked": "notRecommended", "FlowCytIntra-species-dilution-info": "", "FlowCytIntra-species-notes": "<p></p>", "IHCFr-species-checked": "notRecommended", "IHCFr-species-dilution-info": "", "IHCFr-species-notes": "" }, "Mouse": { "WB-species-checked": "testedAndGuaranteed", "WB-species-dilution-info": "1/1000", "WB-species-notes": "<p></p>", "IP-species-checked": "guaranteed", "IP-species-dilution-info": "", "IP-species-notes": "", "IHCP-species-checked": "notRecommended", "IHCP-species-dilution-info": "", "IHCP-species-notes": "<p></p>", "ICCIF-species-checked": "notRecommended", "ICCIF-species-dilution-info": "", "ICCIF-species-notes": "", "FlowCytIntra-species-checked": "notRecommended", "FlowCytIntra-species-dilution-info": "", "FlowCytIntra-species-notes": "", "IHCFr-species-checked": "notRecommended", "IHCFr-species-dilution-info": "", "IHCFr-species-notes": "<p></p>" }, "Rat": { "WB-species-checked": "notRecommended", "WB-species-dilution-info": "", "WB-species-notes": "<p></p>", "IP-species-checked": "notRecommended", "IP-species-dilution-info": "", "IP-species-notes": "", "IHCP-species-checked": "notRecommended", "IHCP-species-dilution-info": "", "IHCP-species-notes": "<p></p>", "ICCIF-species-checked": "notRecommended", "ICCIF-species-dilution-info": "", "ICCIF-species-notes": "", "FlowCytIntra-species-checked": "notRecommended", "FlowCytIntra-species-dilution-info": "", "FlowCytIntra-species-notes": "", "IHCFr-species-checked": "notRecommended", "IHCFr-species-dilution-info": "", "IHCFr-species-notes": "" } } }

Product details

Patented technology
Our RabMAb® technology is a patented hybridoma-based technology for making rabbit monoclonal antibodies. For details on our patents, please refer to RabMAb® patents.

What are the advantages of a recombinant monoclonal antibody?
This product is a recombinant monoclonal antibody, which offers several advantages including:

  • - High batch-to-batch consistency and reproducibility
  • - Improved sensitivity and specificity
  • - Long-term security of supply
  • - Animal-free batch production

For more information, read more on recombinant antibodies.

Properties and storage information

Form
Liquid
Purification technique
Affinity purification Protein A
Storage buffer
pH: 7.2 - 7.4 Preservative: 0.01% Sodium azide Constituents: PBS, 40% Glycerol (glycerin, glycerine), 0.05% BSA
Shipped at conditions
Blue Ice
Appropriate short-term storage duration
1-2 weeks
Appropriate short-term storage conditions
+4°C
Appropriate long-term storage conditions
-20°C
Aliquoting information
Upon delivery aliquot
Storage information
Avoid freeze / thaw cycle

Supplementary information

This supplementary information is collated from multiple sources and compiled automatically.

SPARC-related modular calcium binding 1 (SMOC1) is an extracellular matrix protein coded by the SMOC1 gene. Known also as its full form the protein weighs approximately 59 kDa and consists of several domains including a thyroglobulin type-1 repeat and two EF-hand domains. SMOC1 is widely expressed in various tissues such as the eye bone and skin. Its expression pattern suggests it plays an important role in tissue development and maintenance.
Biological function summary

SMOC1 functions involve regulation of angiogenesis and cellular differentiation. It interacts with the extracellular matrix modulating the assembly and dynamics of structural proteins. SMOC1 sounds interactions with calmodulin and integrins forming part of a larger complex. This complex engagement influences cellular processes like cell migration adhesion and stabilization which are pivotal for development and wound healing.

Pathways

SMOC1 associates with integrin signaling and TGF-beta signaling pathways. These pathways govern processes like cell growth apoptosis and differentiation. SMOC1 modulates the activity of integrins connecting with proteins such as integrin alpha-V beta-3 and transforming growth factor beta (TGF-β). Their relationships indicate SMOC1's involvement in cellular communication and response to environmental changes.

SMOC1 links to conditions like microphthalmia and coloboma as well as bone development disorders. Mutations or dysregulation of SMOC1 impairs normal development indicating its role in ocular and skeletal health. Researchers note connections with proteins like Pax6 which is also involved in eye development. This involvement shows how closely SMOC1 is tied to disorders affecting vision and structural integrity.

Product protocols

For this product, it's our understanding that no specific protocols are required. You can visit:

Target data

Plays essential roles in both eye and limb development. Probable regulator of osteoblast differentiation.
See full target information SPARC-related modular calcium-binding protein 1

Publications (1)

Recent publications for all applications. Explore the full list and refine your search

F1000Research 12:1279 PubMed39291144

2024

Identification of high-performing antibodies for SPARC-related modular calcium-binding protein 1 (SMOC-1) for use in Western Blot and immunoprecipitation.

Applications

Unspecified application

Species

Unspecified reactive species

Riham Ayoubi,Sara González Bolívar,Michael Nicouleau,Kathleen Southern,Carl Laflamme
View all publications

Product promise

We are committed to supporting your work with high-quality reagents, and we're here for you every step of the way. In the unlikely event that one of our products does not perform as expected, you're protected by our Product Promise.
For full details, please see our Terms & Conditions

Please note: All products are 'FOR RESEARCH USE ONLY. NOT FOR USE IN DIAGNOSTIC OR THERAPEUTIC PROCEDURES'.

For licensing inquiries, please contact partnerships@abcam.com