JavaScript is disabled in your browser. Please enable JavaScript to view this website.
AB125884

Anti-smooth muscle Myosin heavy chain 11 antibody

3

(3 Reviews)

|

(18 Publications)

Rabbit Polyclonal smooth muscle Myosin heavy chain 11 antibody. Suitable for IHC-P, WB and reacts with Human, Mouse samples. Cited in 18 publications.

View Alternative Names

KIAA0866, MYH11, Myosin-11, Myosin heavy chain 11, SMMHC

2 Images
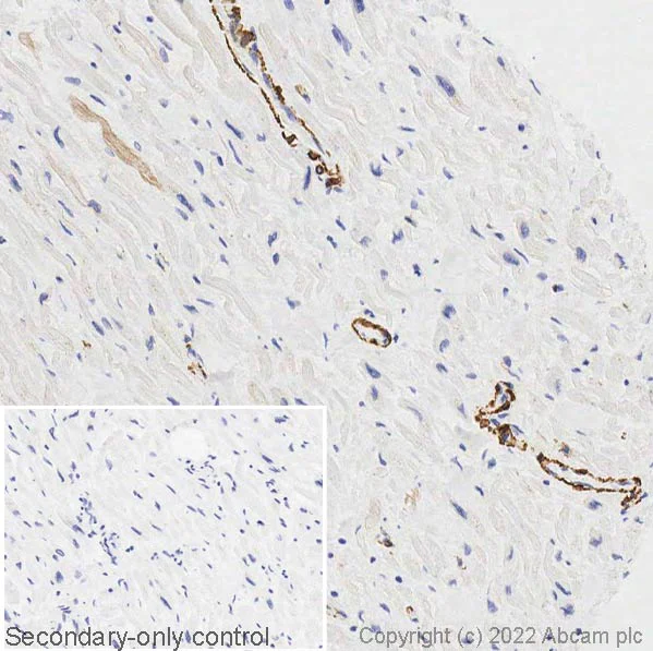
Immunohistochemistry (Formalin/PFA-fixed paraffin-embedded sections) - Anti-smooth muscle Myosin heavy chain 11 antibody (AB125884)
  • IHC-P

Lab

Immunohistochemistry (Formalin/PFA-fixed paraffin-embedded sections) - Anti-smooth muscle Myosin heavy chain 11 antibody (AB125884)

IHC image of smooth muscle Myosin heavy chain 11 staining in a section of formalin-fixed paraffin-embedded normal human heart* performed on a Leica BOND™ system using the standard protocol F. The section was pre-treated using heat mediated antigen retrieval with sodium citrate buffer (pH6, epitope retrieval solution 1) for 20mins. The section was then incubated with ab125884, 1ug/ml, for 15 mins at room temperature and detected using an HRP conjugated compact polymer system. DAB was used as the chromogen. The section was then counterstained with haematoxylin and mounted with DPX. The inset secondary-only control image is taken from an identical assay without primary antibody.

*Tissue obtained from the Human Research Tissue Bank, supported by the NIHR Cambridge Biomedical Research Centre

For other IHC staining systems (automated and non-automated) customers should optimize variable parameters such as antigen retrieval conditions, primary antibody concentration and antibody incubation times.

Western blot - Anti-smooth muscle Myosin heavy chain 11 antibody (AB125884)
  • WB

Unknown

Western blot - Anti-smooth muscle Myosin heavy chain 11 antibody (AB125884)

This blot was produced using a 3-8% Tris Acetate gel under the TA buffer system. The gel was run at 150V for 60 minutes before being transferred onto a Nitrocellulose membrane at 30V for 70 minutes. The membrane was then blocked for an hour using 5% Bovine Serum Albumin before being incubated with ab125884 overnight at 4°C. Antibody binding was detected using an anti-rabbit antibody conjugated to HRP, and visualised using ECL development solution.

All lanes:

Western blot - Anti-smooth muscle Myosin heavy chain 11 antibody (ab125884) at 1 µg/mL

All lanes:

Bladder (Mouse) Tissue Lysate at 10 µg

Secondary

All lanes:

Western blot - Goat Anti-Rabbit IgG H&L (HRP) (<a href='/en-us/products/secondary-antibodies/goat-rabbit-igg-h-l-hrp-ab97051'>ab97051</a>) at 1/10000 dilution

Predicted band size: 227 kDa

Observed band size: 227 kDa,42 kDa

true

Exposure time: 30s

Key facts

Host species

Rabbit

Clonality

Polyclonal

Isotype

IgG

Carrier free

No

Reacts with

Mouse, Human

Applications

WB, IHC-P

applications

Immunogen

The exact immunogen used to generate this antibody is proprietary information.

Reactivity data

{ "title": "Reactivity Data", "filters": { "stats": ["", "Species", "Dilution Info", "Notes"], "tabs": { "all-applications": {"fullname" : "All Applications", "shortname": "All Applications"}, "IHCP" : {"fullname" : "Immunohistochemistry (Formalin/PFA-fixed paraffin-embedded sections)", "shortname":"IHC-P"}, "WB" : {"fullname" : "Western blot", "shortname":"WB"} }, "product-promise": { "all": "all", "testedAndGuaranteed": "tested", "guaranteed": "expected", "predicted": "predicted", "notRecommended": "not-recommended" } }, "values": { "Human": { "IHCP-species-checked": "testedAndGuaranteed", "IHCP-species-dilution-info": "1 µg/mL", "IHCP-species-notes": "<p></p>", "WB-species-checked": "guaranteed", "WB-species-dilution-info": "", "WB-species-notes": "" }, "Mouse": { "IHCP-species-checked": "guaranteed", "IHCP-species-dilution-info": "", "IHCP-species-notes": "", "WB-species-checked": "testedAndGuaranteed", "WB-species-dilution-info": "1 µg/mL", "WB-species-notes": "<p></p>" }, "Rat": { "IHCP-species-checked": "predicted", "IHCP-species-dilution-info": "", "IHCP-species-notes": "", "WB-species-checked": "predicted", "WB-species-dilution-info": "", "WB-species-notes": "" }, "Chimpanzee": { "IHCP-species-checked": "predicted", "IHCP-species-dilution-info": "", "IHCP-species-notes": "", "WB-species-checked": "predicted", "WB-species-dilution-info": "", "WB-species-notes": "" }, "Chinese hamster": { "IHCP-species-checked": "predicted", "IHCP-species-dilution-info": "", "IHCP-species-notes": "", "WB-species-checked": "predicted", "WB-species-dilution-info": "", "WB-species-notes": "" }, "Macaque monkey": { "IHCP-species-checked": "predicted", "IHCP-species-dilution-info": "", "IHCP-species-notes": "", "WB-species-checked": "predicted", "WB-species-dilution-info": "", "WB-species-notes": "" }, "Orangutan": { "IHCP-species-checked": "predicted", "IHCP-species-dilution-info": "", "IHCP-species-notes": "", "WB-species-checked": "predicted", "WB-species-dilution-info": "", "WB-species-notes": "" }, "Pig": { "IHCP-species-checked": "predicted", "IHCP-species-dilution-info": "", "IHCP-species-notes": "", "WB-species-checked": "predicted", "WB-species-dilution-info": "", "WB-species-notes": "" }, "Rabbit": { "IHCP-species-checked": "predicted", "IHCP-species-dilution-info": "", "IHCP-species-notes": "", "WB-species-checked": "predicted", "WB-species-dilution-info": "", "WB-species-notes": "" } } }

Properties and storage information

Form
Liquid
Purification technique
Affinity purification Immunogen
Storage buffer
pH: 7.4 Preservative: 0.02% Sodium azide Constituents: PBS, 1% BSA
Shipped at conditions
Blue Ice
Appropriate short-term storage duration
1-2 weeks
Appropriate short-term storage conditions
+4°C
Appropriate long-term storage conditions
-20°C
Aliquoting information
Upon delivery aliquot
Storage information
Avoid freeze / thaw cycle

Supplementary information

This supplementary information is collated from multiple sources and compiled automatically.

Smooth muscle Myosin heavy chain 11 also known as MYH11 or myosin 11 is a protein that plays a mechanical role in muscle contraction. It forms part of the thick filament in smooth muscle cells. MYH11 has a molecular mass of approximately 227 kDa and is expressed in smooth muscle tissues including the walls of blood vessels the gastrointestinal tract and the respiratory system. As a member of the myosin heavy chain family it functions by interacting with actin filaments to facilitate contraction allowing for the maintenance and regulation of vascular tone and organ motility.
Biological function summary

Smooth muscle Myosin heavy chain 11 contributes to muscle function through its role within myofilament complexes. These complexes enable cells to achieve the force generation necessary for muscle contraction. MYH11 is critical to cytoskeletal maintenance and cell movement especially in the smooth muscles that line the visceral organs and blood vessels. Without proper functioning of MYH11 cells may lose structural stability and functionality leading to impaired muscle contraction and vessel elasticity.

Pathways

Smooth muscle Myosin heavy chain 11 engages intimately with signal transduction processes governing muscle contraction and relaxation. MYH11 acts in the RhoA/ROCK signaling pathway which is vital to the regulation of vascular smooth muscle contraction. Within this pathway MYH11 influences the activity of proteins like myosin light chain kinase and phosphatase. The protein also plays a role in actin-myosin complex dynamics through its interaction with cellular elements such as tropomyosin and caldesmon significantly impacting cellular processes like cell proliferation and migration.

Smooth muscle Myosin heavy chain 11 has significant correlations with conditions such as familial thoracic aortic aneurysm and aortic dissection types. Mutations or dysfunctions in MYH11 have a direct impact on the integrity of the aortic wall which can lead to these severe vascular conditions. Additionally MYH11 has associations with hypertension through its involvement in vascular tension regulation. The protein's malfunction may disturb its interactions with other myosin heavy chain family members exacerbating vascular risk factors.

Product protocols

For this product, it's our understanding that no specific protocols are required. You can visit:

Target data

Muscle contraction.
See full target information MYH11

Publications (18)

Recent publications for all applications. Explore the full list and refine your search

Physiological reports 12:e16156 PubMed39175041

2024

Aquaporin 1 confers apoptosis resistance in pulmonary arterial smooth muscle cells from the SU5416 hypoxia rat model.

Applications

Unspecified application

Species

Unspecified reactive species

Xin Yun,Shannon Niedermeyer,Manuella Ribas Andrade,Haiyang Jiang,Karthik Suresh,Todd Kolb,Mahendra Damarla,Larissa A Shimoda

Cardiovascular research 120:1811-1824 PubMed39056245

2024

Crucial role for sensory nerves and Na/H exchanger inhibition in dapagliflozin- and empagliflozin-induced arterial relaxation.

Applications

Unspecified application

Species

Unspecified reactive species

Elizabeth A Forrester,Miguel Benítez-Angeles,Kaitlyn E Redford,Tamara Rosenbaum,Geoffrey W Abbott,Vincenzo Barrese,Kim Dora,Anthony P Albert,Johs Dannesboe,Isabelle Salles-Crawley,Thomas A Jepps,Iain A Greenwood

Frontiers in oncology 13:1168772 PubMed37251946

2023

Identification of the hub genes associated with prostate cancer tumorigenesis.

Applications

Unspecified application

Species

Unspecified reactive species

Honghui Zhu,Qi Lin,Xiaomin Gao,Xixi Huang

Tissue engineering. Part C, Methods 29:72-84 PubMed36719780

2023

Implanted Tissue-Engineered Vascular Graft Cell Isolation with Single-Cell RNA Sequencing Analysis.

Applications

Unspecified application

Species

Unspecified reactive species

Gabriel J M Mirhaidari,Jenny C Barker,Christopher K Breuer,James W Reinhardt

Communications biology 6:130 PubMed36721040

2023

A vein wall cell atlas of murine venous thrombosis determined by single-cell RNA sequencing.

Applications

Unspecified application

Species

Unspecified reactive species

Elise DeRoo,Ting Zhou,Huan Yang,Amelia Stranz,Peter Henke,Bo Liu

Aging 14:8046-8060 PubMed36227173

2022

Palmitic acid inhibits vascular smooth muscle cell switch to synthetic phenotype via upregulation of miR-22 expression.

Applications

Unspecified application

Species

Unspecified reactive species

Yanchao Hu,Yajie Fan,Chunyan Zhang,Congxia Wang

Frontiers in genetics 12:806136 PubMed35126469

2022

Analysis of Placental Arteriovenous Formation Reveals New Insights Into Embryos With Congenital Heart Defects.

Applications

Unspecified application

Species

Unspecified reactive species

Jacinta I Kalisch-Smith,Emily C Morris,Mary A A Strevens,Andia N Redpath,Kostantinos Klaourakis,Dorota Szumska,Jennifer E Outhwaite,Xin Sun,Joaquim Miguel Vieira,Nicola Smart,Sarah De Val,Paul R Riley,Duncan B Sparrow

Arteriosclerosis, thrombosis, and vascular biology 40:1854-1869 PubMed32580634

2020

High Throughput Screen Identifies the DNMT1 (DNA Methyltransferase-1) Inhibitor, 5-Azacytidine, as a Potent Inducer of PTEN (Phosphatase and Tensin Homolog): Central Role for PTEN in 5-Azacytidine Protection Against Pathological Vascular Remodeling.

Applications

Unspecified application

Species

Unspecified reactive species

Keith A Strand,Sizhao Lu,Marie F Mutryn,Linfeng Li,Qiong Zhou,Blake T Enyart,Austin J Jolly,Allison M Dubner,Karen S Moulton,Raphael A Nemenoff,Keith A Koch,Daniel V LaBarbera,Mary C M Weiser-Evans

Theranostics 10:6182-6200 PubMed32483447

2020

Kindlin-2 deficiency induces fatal intestinal obstruction in mice.

Applications

Unspecified application

Species

Unspecified reactive species

Xiaokun He,Jiagui Song,Zeyu Cai,Xiaochun Chi,Zhenbin Wang,Decao Yang,Sian Xie,Jing Zhou,Yi Fu,Wei Li,Wei Kong,Jun Zhan,Hongquan Zhang

Development (Cambridge, England) 147: PubMed32341028

2020

Runx1 promotes scar deposition and inhibits myocardial proliferation and survival during zebrafish heart regeneration.

Applications

Unspecified application

Species

Unspecified reactive species

Jana Koth,Xiaonan Wang,Abigail C Killen,William T Stockdale,Helen G Potts,Andrew Jefferson,Florian Bonkhofer,Paul R Riley,Roger K Patient,Berthold Göttgens,Mathilda T M Mommersteeg
View all publications

Product promise

We are committed to supporting your work with high-quality reagents, and we're here for you every step of the way. In the unlikely event that one of our products does not perform as expected, you're protected by our Product Promise.
For full details, please see our Terms & Conditions

Please note: All products are 'FOR RESEARCH USE ONLY. NOT FOR USE IN DIAGNOSTIC OR THERAPEUTIC PROCEDURES'.

For licensing inquiries, please contact partnerships@abcam.com