JavaScript is disabled in your browser. Please enable JavaScript to view this website.
AB240069

Anti-smooth muscle Myosin heavy chain 11 antibody [EPR5336(B)] - BSA and Azide free

Be the first to review this product! Submit a review

|

(1 Publication)

Rabbit Recombinant Monoclonal smooth muscle Myosin heavy chain 11 antibody. Carrier free. Suitable for IHC-P, ICC/IF, WB, Flow Cyt (Intra) and reacts with Human samples. Cited in 1 publication.

View Alternative Names

KIAA0866, MYH11, Myosin-11, Myosin heavy chain 11, SMMHC

7 Images
Immunohistochemistry (Formalin/PFA-fixed paraffin-embedded sections) - Anti-smooth muscle Myosin heavy chain 11 antibody [EPR5336(B)] - BSA and Azide free (AB240069)
  • IHC-P

Unknown

Immunohistochemistry (Formalin/PFA-fixed paraffin-embedded sections) - Anti-smooth muscle Myosin heavy chain 11 antibody [EPR5336(B)] - BSA and Azide free (AB240069)

Immunohistochemical analysis of paraffin-embedded Human ovary tissue labelling smooth muscle Myosin heavy chain 11 with unpurified, ab133567 at 1/250 dilution.

This data was developed using the same antibody clone in a different buffer formulation containing PBS, BSA, glycerol, and sodium azide (ab133567).

Perform heat mediated antigen retrieval with citrate buffer pH 6 before commencing with IHC staining protocol.

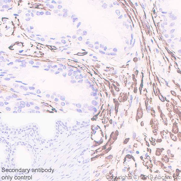
Immunohistochemistry (Formalin/PFA-fixed paraffin-embedded sections) - Anti-smooth muscle Myosin heavy chain 11 antibody [EPR5336(B)] - BSA and Azide free (AB240069)
  • IHC-P

Unknown

Immunohistochemistry (Formalin/PFA-fixed paraffin-embedded sections) - Anti-smooth muscle Myosin heavy chain 11 antibody [EPR5336(B)] - BSA and Azide free (AB240069)

Immunohistochemistry (Formalin/PFA-fixed paraffin-embedded sections) analysis of human prostatic hyperplasia tissue sections labeling smooth muscle Myosin heavy chain 11 with purified ab133567 at 1/1000 dilution (0.12 µg/mL). Perform heat mediated antigen retrieval using ab93684 (Tris/EDTA buffer, pH 9.0). Rabbit specific IHC polymer detection kit HRP/DAB (ab209101) was used as the secondary antibody. Negative control : PBS instead of the primary antibody. Hematoxylin was used as a counterstain.
This data was developed using the same antibody clone in a different buffer formulation containing PBS, BSA, glycerol, and sodium azide (ab133567).

Immunohistochemistry (Formalin/PFA-fixed paraffin-embedded sections) - Anti-smooth muscle Myosin heavy chain 11 antibody [EPR5336(B)] - BSA and Azide free (AB240069)
  • IHC-P

Unknown

Immunohistochemistry (Formalin/PFA-fixed paraffin-embedded sections) - Anti-smooth muscle Myosin heavy chain 11 antibody [EPR5336(B)] - BSA and Azide free (AB240069)

Immunohistochemical analysis of paraffin-embedded Human prostate tissue labelling smooth muscle Myosin heavy chain 11 with unpurified ab133567 at 1/250 dilution.

This data was developed using the same antibody clone in a different buffer formulation containing PBS, BSA, glycerol, and sodium azide (ab133567).

Perform heat mediated antigen retrieval with citrate buffer pH 6 before commencing with IHC staining protocol.

Immunocytochemistry/ Immunofluorescence - Anti-smooth muscle Myosin heavy chain 11 antibody [EPR5336(B)] - BSA and Azide free (AB240069)
  • ICC/IF

Unknown

Immunocytochemistry/ Immunofluorescence - Anti-smooth muscle Myosin heavy chain 11 antibody [EPR5336(B)] - BSA and Azide free (AB240069)

Immunocytochemistry/ Immunofluorescence analysis of A-673 (Human muscle Ewing's Sarcoma) cells labeling smooth muscle Myosin heavy chain 11 with purified ab133567 at 1/50 dilution (2.34 μg/mL). Cells were fixed in 4% Paraformaldehyde and permeabilized with 0.1% TritonX-100. Cells were counterstained with ab195889 Anti-alpha Tubulin antibody [DM1A] - Microtubule Marker (Alexa Fluor® 594) 1/200 (2.5 μg/mL). Goat anti rabbit IgG (Alexa Fluor® 488 , ab150077) was used as the secondary antibody at 1/1000 (2 μg/mL) dilution. DAPI (blue) was used as nuclear counterstain. PBS instead of the primary antibody was used as the secondary antibody only control.
This data was developed using the same antibody clone in a different buffer formulation containing PBS, BSA, glycerol, and sodium azide (ab133567).

Immunocytochemistry/ Immunofluorescence - Anti-smooth muscle Myosin heavy chain 11 antibody [EPR5336(B)] - BSA and Azide free (AB240069)
  • ICC/IF

AbReview36508****

Immunocytochemistry/ Immunofluorescence - Anti-smooth muscle Myosin heavy chain 11 antibody [EPR5336(B)] - BSA and Azide free (AB240069)

Unpurified ab133567 staining smooth muscle Myosin heavy chain 11 in Human smooth muscle cells by ICC/IF (Immunocytochemistry/immunofluorescence). Cells were fixed with paraformaldehyde and permeabilized and blocked in 1% serum, 0.1%triton, 0.1% BSA in PBS. Samples were incubated with primary antibody (1/100) for 16 hours at 4°C. A Goat anti-rabbit IgG Alexa 488 (green) was used as the secondary antibody, and DAPI was used to stain cell nuclei (blue).

This data was developed using the same antibody clone in a different buffer formulation containing PBS, BSA, glycerol, and sodium azide (ab133567).

This image is courtesy of an anonymous abreview.

Flow Cytometry (Intracellular) - Anti-smooth muscle Myosin heavy chain 11 antibody [EPR5336(B)] - BSA and Azide free (AB240069)
  • Flow Cyt (Intra)

Unknown

Flow Cytometry (Intracellular) - Anti-smooth muscle Myosin heavy chain 11 antibody [EPR5336(B)] - BSA and Azide free (AB240069)

Intracellular Flow Cytometry analysis of 293 (Human embryonic kidney epithelial cell) cells labeling smooth muscle Myosin heavy chain 11 (red) with purified ab133567 at a 1/20 dilution (10ug/mL). Cells were fixed with 4% paraformaldehyde and permeabilized with 90% methanol. A goat anti rabbit IgG (Alexa Fluor® 488) (ab150077) was used as the secondary antibody at a 1/2000 dilution. Black - Rabbit monoclonal IgG (Black) (ab172730). Blue (unlabeled control) - Cell without incubation with primary antibody and secondary antibody (Blue).

This data was developed using the same antibody clone in a different buffer formulation containing PBS, BSA, glycerol, and sodium azide (ab133567).

Western blot - Anti-smooth muscle Myosin heavy chain 11 antibody [EPR5336(B)] - BSA and Azide free (AB240069)
  • WB

Unknown

Western blot - Anti-smooth muscle Myosin heavy chain 11 antibody [EPR5336(B)] - BSA and Azide free (AB240069)

This data was developed using the same antibody clone in a different buffer formulation containing PBS, BSA, glycerol, and sodium azide (ab133567).

All lanes:

Western blot - Anti-smooth muscle Myosin heavy chain 11 antibody [EPR5336(B)] (<a href='/en-us/products/primary-antibodies/smooth-muscle-myosin-heavy-chain-11-antibody-epr5336b-ab133567'>ab133567</a>) at 1/5000 dilution

All lanes:

Human testis lysate at 15 µg

Secondary

All lanes:

Goat Anti-Rabbit IgG (HRP) with minimal cross-reactivity with human IgG at 1/2000 dilution

Predicted band size: 227 kDa

Observed band size: 227 kDa

false

  • Unconjugated

    Anti-smooth muscle Myosin heavy chain 11 antibody [EPR5336(B)]

  • 565 Alexa Fluor® 555

    Alexa Fluor® 555 Anti-smooth muscle Myosin heavy chain 11 antibody [EPR5336(B)]

  • 617 Alexa Fluor® 594

    Alexa Fluor® 594 Anti-smooth muscle Myosin heavy chain 11 antibody [EPR5336(B)]

  • 578 PE

    PE Anti-smooth muscle Myosin heavy chain 11 antibody [EPR5336(B)]

  • 660 APC

    APC Anti-smooth muscle Myosin heavy chain 11 antibody [EPR5336(B)]

  • 775 Alexa Fluor® 750

    Alexa Fluor® 750 Anti-smooth muscle Myosin heavy chain 11 antibody [EPR5336(B)]

  • 519 Alexa Fluor® 488

    Alexa Fluor® 488 Anti-smooth muscle Myosin heavy chain 11 antibody [EPR5336(B)]

  • 665 Alexa Fluor® 647

    Alexa Fluor® 647 Anti-smooth muscle Myosin heavy chain 11 antibody [EPR5336(B)]

Key facts

Host species

Rabbit

Clonality

Monoclonal

Clone number

EPR5336(B)

Isotype

IgG

Carrier free

Yes

Reacts with

Human

Applications

WB, Flow Cyt (Intra), IHC-P, ICC/IF

applications

Immunogen

The exact immunogen used to generate this antibody is proprietary information.

Reactivity data

{ "title": "Reactivity Data", "filters": { "stats": ["", "Species", "Dilution Info", "Notes"], "tabs": { "all-applications": {"fullname" : "All Applications", "shortname": "All Applications"}, "IHCP" : {"fullname" : "Immunohistochemistry (Formalin/PFA-fixed paraffin-embedded sections)", "shortname":"IHC-P"}, "ICCIF" : {"fullname" : "Immunocytochemistry/ Immunofluorescence", "shortname":"ICC/IF"}, "WB" : {"fullname" : "Western blot", "shortname":"WB"}, "FlowCytIntra" : {"fullname" : "Flow Cytometry (Intracellular)", "shortname":"Flow Cyt (Intra)"} }, "product-promise": { "all": "all", "testedAndGuaranteed": "tested", "guaranteed": "expected", "predicted": "predicted", "notRecommended": "not-recommended" } }, "values": { "Human": { "IHCP-species-checked": "testedAndGuaranteed", "IHCP-species-dilution-info": "", "IHCP-species-notes": "<p></p>", "ICCIF-species-checked": "testedAndGuaranteed", "ICCIF-species-dilution-info": "", "ICCIF-species-notes": "<p></p>", "WB-species-checked": "testedAndGuaranteed", "WB-species-dilution-info": "", "WB-species-notes": "<p></p>", "FlowCytIntra-species-checked": "testedAndGuaranteed", "FlowCytIntra-species-dilution-info": "", "FlowCytIntra-species-notes": "<p></p>" } } }

Product details

ab240069 is the carrier-free version of ab133567.

Species reactivity
Mouse, Rat: We have preliminary internal testing data to indicate this antibody may not react with these species.
Please contact us for more information.

Patented technology
Our RabMAb® technology is a patented hybridoma-based technology for making rabbit monoclonal antibodies. For details on our patents, please refer to RabMAb® patents.

What are the advantages of a recombinant monoclonal antibody?
This product is a recombinant monoclonal antibody, which offers several advantages including:

  • - High batch-to-batch consistency and reproducibility
  • - Improved sensitivity and specificity
  • - Long-term security of supply
  • - Animal-free batch production

For more information, read more on recombinant antibodies.

Conjugation ready
Our carrier-free antibodies are typically supplied in a PBS-only formulation, purified and free of BSA, sodium azide and glycerol. This conjugation-ready format is designed for use with fluorochromes, metal isotopes, oligonucleotides, and enzymes, which makes them ideal for antibody labelling, functional and cell-based assays, flow-based assays (e.g. mass cytometry) and Multiplex Imaging applications.

Use our conjugation kits for antibody conjugates that are ready-to-use in as little as 20 minutes with 1 minute hands-on-time and 100% antibody recovery: available for fluorescent dyes, HRP, biotin and gold.

Compatibility
This product is compatible with the Maxpar® Antibody Labeling Kit from Fluidigm, without the need for antibody preparation. Maxpar® is a trademark of Fluidigm Canada Inc.

Properties and storage information

Form
Liquid
Purification technique
Affinity purification Protein A
Storage buffer
pH: 7.2 - 7.4 Constituents: PBS
Shipped at conditions
Blue Ice
Appropriate short-term storage conditions
+4°C
Appropriate long-term storage conditions
+4°C
Storage information
Do Not Freeze

Supplementary information

This supplementary information is collated from multiple sources and compiled automatically.

Smooth muscle Myosin heavy chain 11 also known as MYH11 or myosin 11 is a protein that plays a mechanical role in muscle contraction. It forms part of the thick filament in smooth muscle cells. MYH11 has a molecular mass of approximately 227 kDa and is expressed in smooth muscle tissues including the walls of blood vessels the gastrointestinal tract and the respiratory system. As a member of the myosin heavy chain family it functions by interacting with actin filaments to facilitate contraction allowing for the maintenance and regulation of vascular tone and organ motility.
Biological function summary

Smooth muscle Myosin heavy chain 11 contributes to muscle function through its role within myofilament complexes. These complexes enable cells to achieve the force generation necessary for muscle contraction. MYH11 is critical to cytoskeletal maintenance and cell movement especially in the smooth muscles that line the visceral organs and blood vessels. Without proper functioning of MYH11 cells may lose structural stability and functionality leading to impaired muscle contraction and vessel elasticity.

Pathways

Smooth muscle Myosin heavy chain 11 engages intimately with signal transduction processes governing muscle contraction and relaxation. MYH11 acts in the RhoA/ROCK signaling pathway which is vital to the regulation of vascular smooth muscle contraction. Within this pathway MYH11 influences the activity of proteins like myosin light chain kinase and phosphatase. The protein also plays a role in actin-myosin complex dynamics through its interaction with cellular elements such as tropomyosin and caldesmon significantly impacting cellular processes like cell proliferation and migration.

Smooth muscle Myosin heavy chain 11 has significant correlations with conditions such as familial thoracic aortic aneurysm and aortic dissection types. Mutations or dysfunctions in MYH11 have a direct impact on the integrity of the aortic wall which can lead to these severe vascular conditions. Additionally MYH11 has associations with hypertension through its involvement in vascular tension regulation. The protein's malfunction may disturb its interactions with other myosin heavy chain family members exacerbating vascular risk factors.

Product protocols

For this product, it's our understanding that no specific protocols are required. You can visit:

Target data

Muscle contraction.
See full target information MYH11

Publications (1)

Recent publications for all applications. Explore the full list and refine your search

Journal of cellular biochemistry 121:2236-2246 PubMed31692056

2019

The circular RNA-NRIP1 plays oncogenic roles by targeting microRNA-505 in the renal carcinoma cell lines.

Applications

Unspecified application

Species

Unspecified reactive species

Zhen Dong,Yidong Liu,Qinghai Wang,Hongyang Wang,Jianlei Ji,Tao Huang,Aashish Khanal,Haitao Niu,Yanwei Cao
View all publications

Product promise

We are committed to supporting your work with high-quality reagents, and we're here for you every step of the way. In the unlikely event that one of our products does not perform as expected, you're protected by our Product Promise.
For full details, please see our Terms & Conditions

Please note: All products are 'FOR RESEARCH USE ONLY. NOT FOR USE IN DIAGNOSTIC OR THERAPEUTIC PROCEDURES'.

For licensing inquiries, please contact partnerships@abcam.com