JavaScript is disabled in your browser. Please enable JavaScript to view this website.
AB224804

Anti-smooth muscle Myosin heavy chain 11 antibody [SP314] - N-terminal

  • BOND RX™ Validated
  • RabMAb
  • Recombinant
  • Advanced Validation
  • What is this?

4

(2 Reviews)

|

(12 Publications)

Anti-smooth muscle Myosin heavy chain 11 antibody [SP314] - N-terminal (ab224804) is a rabbit monoclonal antibody detecting smooth muscle Myosin heavy chain 11 in Flow Cytometry (Intra), Flow Cytometry, IHC-P, IHC-Fr. Suitable for Human, Mouse, Rat.

- Biophysical QC for unrivalled batch-batch consistency

View Alternative Names

KIAA0866, MYH11, Myosin-11, Myosin heavy chain 11, SMMHC

12 Images
Immunohistochemistry (Formalin/PFA-fixed paraffin-embedded sections) - Anti-smooth muscle Myosin heavy chain 11 antibody [SP314] - N-terminal (AB224804)
  • IHC-P

Supplier Data

Immunohistochemistry (Formalin/PFA-fixed paraffin-embedded sections) - Anti-smooth muscle Myosin heavy chain 11 antibody [SP314] - N-terminal (AB224804)

Formalin-fixed, paraffin-embedded human ovary tissue stained for smooth muscle Myosin heavy chain 11 using ab224804 at 1/100 dilution in immunohistochemical analysis.

Immunohistochemistry (Formalin/PFA-fixed paraffin-embedded sections) - Anti-smooth muscle Myosin heavy chain 11 antibody [SP314] - N-terminal (AB224804)
  • IHC-P

Supplier Data

Immunohistochemistry (Formalin/PFA-fixed paraffin-embedded sections) - Anti-smooth muscle Myosin heavy chain 11 antibody [SP314] - N-terminal (AB224804)

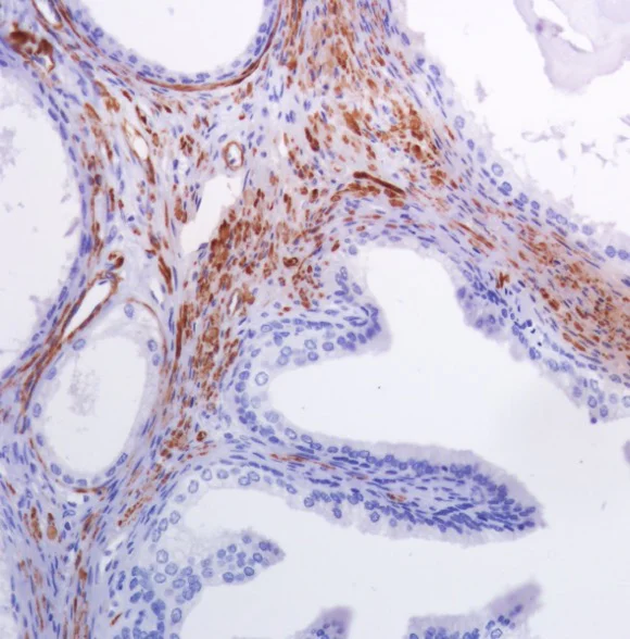
Formalin-fixed, paraffin-embedded human fallopian tube tissue stained for smooth muscle Myosin heavy chain 11 using ab224804 at 1/100 dilution in immunohistochemical analysis.

Immunohistochemistry (Formalin/PFA-fixed paraffin-embedded sections) - Anti-smooth muscle Myosin heavy chain 11 antibody [SP314] - N-terminal (AB224804)
  • IHC-P

Unknown

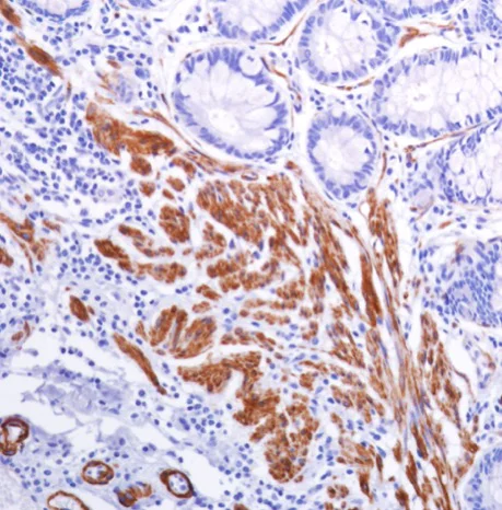
Immunohistochemistry (Formalin/PFA-fixed paraffin-embedded sections) - Anti-smooth muscle Myosin heavy chain 11 antibody [SP314] - N-terminal (AB224804)

Immunohistochemistry (Formalin/PFA-fixed paraffin-embedded sections) analysis of Human colon tissue sections labeling smooth muscle Myosin heavy chain 11 with ab224804 at 1/100 dilution (1.34 μg/ml). Heat mediated antigen retrieval with Tris-EDTA buffer (pH 9.0, epitope retrieval solution 2) for 10mins. Goat Anti-Rabbit & Mouse IgG (HRP) was used as the secondary antibody. Hematoxylin was used as a counterstain. Positive staining on the smooth muscle cells in human colon, performed on a Leica Biosystems BOND™ RX instrument.
The section was incubated with ab224804 for 10 mins at room temperature.

Immunohistochemistry (Formalin/PFA-fixed paraffin-embedded sections) - Anti-smooth muscle Myosin heavy chain 11 antibody [SP314] - N-terminal (AB224804)
  • IHC-P

Unknown

Immunohistochemistry (Formalin/PFA-fixed paraffin-embedded sections) - Anti-smooth muscle Myosin heavy chain 11 antibody [SP314] - N-terminal (AB224804)

Formalin-fixed, paraffin-embedded human prostate tissue stained for smooth muscle Myosin heavy chain 11 using ab224804 at 1/100 dilution in immunohistochemical analysis.

Immunohistochemistry (Formalin/PFA-fixed paraffin-embedded sections) - Anti-smooth muscle Myosin heavy chain 11 antibody [SP314] - N-terminal (AB224804)
  • IHC-P

Supplier Data

Immunohistochemistry (Formalin/PFA-fixed paraffin-embedded sections) - Anti-smooth muscle Myosin heavy chain 11 antibody [SP314] - N-terminal (AB224804)

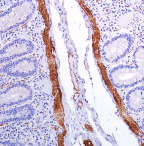
Formalin-fixed, paraffin-embedded human small intestine tissue stained for smooth muscle Myosin heavy chain 11 using ab224804 at 1/100 dilution in immunohistochemical analysis.

Immunohistochemistry (Formalin/PFA-fixed paraffin-embedded sections) - Anti-smooth muscle Myosin heavy chain 11 antibody [SP314] - N-terminal (AB224804)
  • IHC-P

Supplier Data

Immunohistochemistry (Formalin/PFA-fixed paraffin-embedded sections) - Anti-smooth muscle Myosin heavy chain 11 antibody [SP314] - N-terminal (AB224804)

Formalin-fixed, paraffin-embedded human colon tissue stained for smooth muscle Myosin heavy chain 11 using ab224804 at 1/100 dilution in immunohistochemical analysis.

Multiplex immunohistochemistry - Anti-smooth muscle Myosin heavy chain 11 antibody [SP314] - N-terminal (AB224804)
  • mIHC

Lab

Multiplex immunohistochemistry - Anti-smooth muscle Myosin heavy chain 11 antibody [SP314] - N-terminal (AB224804)

This data was developed using ab240983, the same antibody clone in a different buffer formulation.

Immunohistochemistry analysis of Formalin/PFA-fixed paraffin-embedded sections Mouse Prostate tissue labelling E Cadherin with ab324191 at 1 : 500 dilution (B), Cytokeratin 5 with ab236216 at 1 : 1500 dilution (C) and smooth muscle Myosin heavy chain 11 with ab240983 at 1 : 4000 dilution (D). Opal Polymer HRP Ms + Rb was used as a secondary antibody, and DAPI was used for a nuclear counter stain. Heat mediated antigen retrieval with Tris-EDTA buffer (pH 9.0, epitope retrieval solution2) for 20 mins.

Panel A : merged staining of anti-E Cadherin (green; Opal™690), anti-Cytokeratin 5 (magenta; Opal™520) and anti-smooth muscle Myosin heavy chain 11 (gray; Opal™570) on mouse prostate.

Panel B : anti-E Cadherin staining epithelium in mouse prostate.

Panel C : ant-Cytokeratin 5 staining basal cells in mouse prostate.

Panel D : ant-smooth muscle Myosin heavy chain 11 staining smooth muscle in mouse prostate.

Nuclear DNA was labeled with DAPI (shown in blue).

The section was incubated in three rounds of staining : in the order of ab324191, ab236216 and ab240983 for 30 mins at room temperature. Each round was followed by a separate fluorescent tyramide signal amplification system.

The immunostaining was performed on a Leica Biosystems BOND® RX instrument with an Opal™ 4-color kit. Image acquisition was performed with Leica SP8 confocal microscope.

Immunohistochemistry (Frozen sections) - Anti-smooth muscle Myosin heavy chain 11 antibody [SP314] - N-terminal (AB224804)
  • IHC-Fr

Unknown

Immunohistochemistry (Frozen sections) - Anti-smooth muscle Myosin heavy chain 11 antibody [SP314] - N-terminal (AB224804)

Immunohistochemistry (Frozen) analysis of rat small intestine tissue section labeling smooth muscle Myosin heavy chain 11 with purified ab224804 at 1/500 (1.8 μg/ml). Sections were fixed in 4% paraformaldehyde and permeabilized with 0.2% Triton X-100. Antigen retrieval was Heat mediated antigen retrieval using sodium citrate buffer (10mM citrate pH 6.0 + 0.05% Tween-20). Goat anti rabbit IgG (Alexa Fluor® 488, ab150077) was used as the secondary antibody at 1/1000 (2 μg/ml) dilution. DAPI was used as nuclear counterstain. PBS instead of the primary antibody was used as the secondary antibody only control.

Immunohistochemistry (Formalin/PFA-fixed paraffin-embedded sections) - Anti-smooth muscle Myosin heavy chain 11 antibody [SP314] - N-terminal (AB224804)
  • IHC-P

Unknown

Immunohistochemistry (Formalin/PFA-fixed paraffin-embedded sections) - Anti-smooth muscle Myosin heavy chain 11 antibody [SP314] - N-terminal (AB224804)

Immunohistochemistry (Formalin/PFA-fixed paraffin-embedded sections) analysis of rat colon tissue sections labeling smooth muscle Myosin heavy chain 11 with ab224804 at 1/400 dilution (0.27 μg/ml). Heat mediated antigen retrieval with Tris-EDTA buffer (pH 9.0, epitope retrieval solution 2) for 10mins. Goat Anti-Rabbit & Mouse IgG (HRP) was used as the secondary antibody. Hematoxylin was used as a counterstain. Positive staining on the smooth muscle cells in rat colon, performed on a Leica Biosystems BOND™ RX instrument.
The section was incubated with ab224804 for 10 mins at room temperature.

Flow Cytometry (Intracellular) - Anti-smooth muscle Myosin heavy chain 11 antibody [SP314] - N-terminal (AB224804)
  • Flow Cyt (Intra)

Unknown

Flow Cytometry (Intracellular) - Anti-smooth muscle Myosin heavy chain 11 antibody [SP314] - N-terminal (AB224804)

Flow cytometry analysis of C2C12 (Mouse myoblasts myoblast) labeling smooth muscle Myosin heavy chain 11 with purified ab224804 at 1/80 dilution (1.12 μg/ml) (red). Cells were fixed with 4% paraformaldehyde and permeabilised with 90% methanol. Goat anti rabbit IgG (Alexa Fluor® 488, ab150077) at 1/2000 dilution was used as a secondary antibody. Isotype control -Rabbit monoclonal IgG (ab172730) / Black. Unlableled control -Unlabelled cells / blue.

Immunohistochemistry (Formalin/PFA-fixed paraffin-embedded sections) - Anti-smooth muscle Myosin heavy chain 11 antibody [SP314] - N-terminal (AB224804)
  • IHC-P

Unknown

Immunohistochemistry (Formalin/PFA-fixed paraffin-embedded sections) - Anti-smooth muscle Myosin heavy chain 11 antibody [SP314] - N-terminal (AB224804)

Immunohistochemistry (Formalin/PFA-fixed paraffin-embedded sections) analysis of mouse colon tissue sections labeling smooth muscle Myosin heavy chain 11 with ab224804 at 1/400 dilution (0.27 μg/ml). Heat mediated antigen retrieval with Tris-EDTA buffer (pH 9.0, epitope retrieval solution 2) for 10mins. Goat Anti-Rabbit & Mouse IgG (HRP) was used as the secondary antibody. Hematoxylin was used as a counterstain. Positive staining on the smooth muscle cells in mouse colon, performed on a Leica Biosystems BOND™ RX instrument.
The section was incubated with ab224804 for 10 mins at room temperature.

Immunohistochemistry (Frozen sections) - Anti-smooth muscle Myosin heavy chain 11 antibody [SP314] - N-terminal (AB224804)
  • IHC-Fr

Unknown

Immunohistochemistry (Frozen sections) - Anti-smooth muscle Myosin heavy chain 11 antibody [SP314] - N-terminal (AB224804)

Immunohistochemistry (Frozen) analysis of mouse small intestine tissue section labeling smooth muscle Myosin heavy chain 11 with purified ab224804 at 1/500 (1.8 μg/ml). Sections were fixed in 4% paraformaldehyde and permeabilized with 0.2% Triton X-100. Antigen retrieval was Heat mediated antigen retrieval using sodium citrate buffer (10mM citrate pH 6.0 + 0.05% Tween-20). Goat anti rabbit IgG (Alexa Fluor® 488, ab150077) was used as the secondary antibody at 1/1000 (2 μg/ml) dilution. DAPI was used as nuclear counterstain. PBS instead of the primary antibody was used as the secondary antibody only control.

  • 519 Alexa Fluor® 488

    Alexa Fluor® 488 Anti-smooth muscle Myosin heavy chain 11 antibody [SP314] - N-terminal

  • 665 Alexa Fluor® 647

    Alexa Fluor® 647 Anti-smooth muscle Myosin heavy chain 11 antibody [SP314] - N-terminal

  • 565 Alexa Fluor® 555

    Alexa Fluor® 555 Anti-smooth muscle Myosin heavy chain 11 antibody [SP314] - N-terminal

  • 617 Alexa Fluor® 594

    Alexa Fluor® 594 Anti-smooth muscle Myosin heavy chain 11 antibody [SP314] - N-terminal

  • 578 PE

    PE Anti-smooth muscle Myosin heavy chain 11 antibody [SP314] - N-terminal

  • 660 APC

    APC Anti-smooth muscle Myosin heavy chain 11 antibody [SP314] - N-terminal

  • 775 Alexa Fluor® 750

    Alexa Fluor® 750 Anti-smooth muscle Myosin heavy chain 11 antibody [SP314] - N-terminal

  • Carrier free

    Anti-smooth muscle Myosin heavy chain 11 antibody [SP314] - BSA and Azide free

Key facts

Host species

Rabbit

Clonality

Monoclonal

Clone number

SP314

Isotype

IgG

Carrier free

No

Reacts with

Mouse, Rat, Human

Applications

IHC-P, mIHC, IHC-Fr, Flow Cyt (Intra)

applications

Immunogen

The exact immunogen used to generate this antibody is proprietary information.

Reactivity data

{ "title": "Reactivity Data", "filters": { "stats": ["", "Species", "Dilution Info", "Notes"], "tabs": { "all-applications": {"fullname" : "All Applications", "shortname": "All Applications"}, "FlowCytIntra" : {"fullname" : "Flow Cytometry (Intracellular)", "shortname":"Flow Cyt (Intra)"}, "IHCP" : {"fullname" : "Immunohistochemistry (Formalin/PFA-fixed paraffin-embedded sections)", "shortname":"IHC-P"}, "IHCFr" : {"fullname" : "Immunohistochemistry (Frozen sections)", "shortname":"IHC-Fr"}, "mIHC" : {"fullname" : "Multiplex immunohistochemistry", "shortname":"mIHC"} }, "product-promise": { "all": "all", "testedAndGuaranteed": "tested", "guaranteed": "expected", "predicted": "predicted", "notRecommended": "not-recommended" } }, "values": { "Human": { "FlowCytIntra-species-checked": "guaranteed", "FlowCytIntra-species-dilution-info": "", "FlowCytIntra-species-notes": "", "IHCP-species-checked": "testedAndGuaranteed", "IHCP-species-dilution-info": "1/100", "IHCP-species-notes": "<p>Perform heat mediated antigen retrieval with EDTA buffer pH 8.0 before commencing with IHC staining protocol.</p>", "IHCFr-species-checked": "guaranteed", "IHCFr-species-dilution-info": "", "IHCFr-species-notes": "", "mIHC-species-checked": "guaranteed", "mIHC-species-dilution-info": "", "mIHC-species-notes": "" }, "Mouse": { "FlowCytIntra-species-checked": "testedAndGuaranteed", "FlowCytIntra-species-dilution-info": "1/80", "FlowCytIntra-species-notes": "<p></p>", "IHCP-species-checked": "testedAndGuaranteed", "IHCP-species-dilution-info": "1/100", "IHCP-species-notes": "<p>Perform heat mediated antigen retrieval with EDTA buffer pH 8.0 before commencing with IHC staining protocol.</p>", "IHCFr-species-checked": "testedAndGuaranteed", "IHCFr-species-dilution-info": "1/500", "IHCFr-species-notes": "<p></p>", "mIHC-species-checked": "testedAndGuaranteed", "mIHC-species-dilution-info": "1/4000", "mIHC-species-notes": "<p></p>" }, "Rat": { "FlowCytIntra-species-checked": "guaranteed", "FlowCytIntra-species-dilution-info": "", "FlowCytIntra-species-notes": "", "IHCP-species-checked": "testedAndGuaranteed", "IHCP-species-dilution-info": "1/100", "IHCP-species-notes": "<p>Perform heat mediated antigen retrieval with EDTA buffer pH 8.0 before commencing with IHC staining protocol.</p>", "IHCFr-species-checked": "testedAndGuaranteed", "IHCFr-species-dilution-info": "1/500", "IHCFr-species-notes": "<p></p>", "mIHC-species-checked": "guaranteed", "mIHC-species-dilution-info": "", "mIHC-species-notes": "" } } }

Product details

What is this antibody validated in?
Anti-smooth muscle Myosin heavy chain 11 antibody [SP314] - N-terminal (ab224804) is a rabbit recombinant monoclonal antibody and is validated for use in Flow Cytometry (Intra), Flow Cytometry (Flow Cyt), Immunohistochemistry (IHC-P), Immunohistochemistry (IHC-Fr) in Human, Mouse, Rat samples.

Collaboration
Anti-smooth muscle Myosin heavy chain 11 [SP314] - N-terminal (ab224804) is a clone from the portfolio of Spring Bioscience (Roche) SP clones which have been optimised for immunohistochemistry (IHC).

Other related products
We have a range of other formats of antibody clone [SP314] also available for your convenience: ab224804, Carrier free - ab240983, Alexa Fluor® 488 - ab320557, Alexa Fluor® 647 - ab320558, Alexa Fluor® 555 - ab320559, Alexa Fluor® 594 - ab320560, PE - ab320561, APC - ab320562, Alexa Fluor® 750 - ab321418

Properties and storage information

Form
Liquid
Purification technique
Affinity purification Protein A/G
Purification notes
Purified from TCS by protein A/G.
Storage buffer
pH: 7.6 Preservative: 0.1% Sodium azide Constituents: PBS, 1% BSA
Shipped at conditions
Blue Ice
Appropriate short-term storage duration
1-2 weeks
Appropriate short-term storage conditions
+4°C
Appropriate long-term storage conditions
-20°C
Aliquoting information
Upon delivery aliquot
Storage information
Avoid freeze / thaw cycle

Supplementary information

This supplementary information is collated from multiple sources and compiled automatically.

Smooth muscle Myosin heavy chain 11 also known as MYH11 or myosin 11 is a protein that plays a mechanical role in muscle contraction. It forms part of the thick filament in smooth muscle cells. MYH11 has a molecular mass of approximately 227 kDa and is expressed in smooth muscle tissues including the walls of blood vessels the gastrointestinal tract and the respiratory system. As a member of the myosin heavy chain family it functions by interacting with actin filaments to facilitate contraction allowing for the maintenance and regulation of vascular tone and organ motility.
Biological function summary

Smooth muscle Myosin heavy chain 11 contributes to muscle function through its role within myofilament complexes. These complexes enable cells to achieve the force generation necessary for muscle contraction. MYH11 is critical to cytoskeletal maintenance and cell movement especially in the smooth muscles that line the visceral organs and blood vessels. Without proper functioning of MYH11 cells may lose structural stability and functionality leading to impaired muscle contraction and vessel elasticity.

Pathways

Smooth muscle Myosin heavy chain 11 engages intimately with signal transduction processes governing muscle contraction and relaxation. MYH11 acts in the RhoA/ROCK signaling pathway which is vital to the regulation of vascular smooth muscle contraction. Within this pathway MYH11 influences the activity of proteins like myosin light chain kinase and phosphatase. The protein also plays a role in actin-myosin complex dynamics through its interaction with cellular elements such as tropomyosin and caldesmon significantly impacting cellular processes like cell proliferation and migration.

Smooth muscle Myosin heavy chain 11 has significant correlations with conditions such as familial thoracic aortic aneurysm and aortic dissection types. Mutations or dysfunctions in MYH11 have a direct impact on the integrity of the aortic wall which can lead to these severe vascular conditions. Additionally MYH11 has associations with hypertension through its involvement in vascular tension regulation. The protein's malfunction may disturb its interactions with other myosin heavy chain family members exacerbating vascular risk factors.

Product protocols

For this product, it's our understanding that no specific protocols are required. You can visit:

Target data

Muscle contraction.
See full target information MYH11

Publications (12)

Recent publications for all applications. Explore the full list and refine your search

International journal of nanomedicine 20:11151-11168 PubMed40964000

2025

TiCTx MXene Potentiates PSAT1-Mediated Osteogenesis Through miR-665/GSK-3β/β-Catenin Axis to Counteract Inflammation-Induced Bone Loss.

Applications

Unspecified application

Species

Unspecified reactive species

Jinlong Zhang,Xinyang Wang,Jingwen Xiao,Hongxiang Hong,Jiajia Chen,Chunshuai Wu,Guanhua Xu,Zhiming Cui

BMC cardiovascular disorders 25:141 PubMed40021969

2025

Identification of the CeRNA axis of circ_0000006/miR-483-5p/KDM2B in the progression of aortic aneurysm to aorta dissection.

Applications

Unspecified application

Species

Unspecified reactive species

Yong Liu,Xiong Tan,Liang Wang,Weitao Jin,Yangchen He,Yu Yan,Kai Hu,Hao Wang,Chaohu Xiang,Ming Hou,Yinglong Lai

Molecular therapy : the journal of the American Society of Gene Therapy 33:615-630 PubMed39736815

2024

Functional screening identifies miRNAs with a novel function inhibiting vascular smooth muscle cell proliferation.

Applications

Unspecified application

Species

Unspecified reactive species

Julie Rodor,Eftychia Klimi,Simon D Brown,Georgios Krilis,Luca Braga,Nadja A R Ring,Margaret D Ballantyne,Despoina Kesidou,Aurelie Nguyen Dinh Cat,Vladislav Miscianinov,Francesca Vacante,Katarina Miteva,Matthew Bennett,Abdelaziz Beqqali,Mauro Giacca,Serena Zacchigna,Andrew H Baker

Science advances 10:eadr3530 PubMed39693423

2024

Regional differences in three-dimensional fiber organization, smooth muscle cell phenotype, and contractility in the pregnant mouse cervix.

Applications

Unspecified application

Species

Unspecified reactive species

Christopher J Hansen,Jackson H Rogers,Alexus J Brown,Naoko Boatwright,Shajila Siricilla,Christine M O'Brien,Sourav Panja,Cameron M Nichols,Kanchana Devanathan,Benjamin M Hardy,Mark D Does,Adam W Anderson,Bibhash C Paria,Anita Mahadevan-Jansen,Jeff Reese,Jennifer L Herington

Scientific reports 14:29581 PubMed39609469

2024

Pericytes require physiological oxygen tension to maintain phenotypic fidelity.

Applications

Unspecified application

Species

Unspecified reactive species

Tamara McErlain,Elizabeth C McCulla,Morgan J Glass,Lauren E Ziemer,Cristina M Branco,Meera Murgai

Nature communications 15:10206 PubMed39604360

2024

Single-cell transcriptome analysis reveals CD34 as a marker of human sinoatrial node pacemaker cardiomyocytes.

Applications

Unspecified application

Species

Unspecified reactive species

Amos A Lim,Delaram Pouyabahar,Mishal Ashraf,Kate Huang,Michelle Lohbihler,Brandon M Murareanu,Matthew L Chang,Maggie Kwan,Faisal J Alibhai,Thinh Tran,Amine Mazine,Michael A Laflamme,Gary D Bader,Zachary Laksman,Stephanie Protze

Aging cell 23:e14197 PubMed38825882

2024

Mapping the unicellular transcriptome of the ascending thoracic aorta to changes in mechanosensing and mechanoadaptation during aging.

Applications

Unspecified application

Species

Unspecified reactive species

Cristobal F Rivera,Yasmeen M Farra,Michele Silvestro,Steven Medvedovsky,Jacqueline Matz,Muhammad Yogi Pratama,John Vlahos,Bhama Ramkhelawon,Chiara Bellini

PloS one 19:e0304668 PubMed38820386

2024

Circ_0000006 and circ_0000160 regulate hsa-let-7e-5p/UBQLN4 axis in aortic dissection progression.

Applications

Unspecified application

Species

Unspecified reactive species

Yong Liu,Liang Wang,Dongyun Lei,Xiong Tan,Weitao Jin,Ming Hou,Kai Hu,Yu Yan,Hao Wang,Chaohu Xiang,Yinglong Lai

Cell discovery 9:25 PubMed36878933

2023

CD36 cancer-associated fibroblasts provide immunosuppressive microenvironment for hepatocellular carcinoma via secretion of macrophage migration inhibitory factor.

Applications

Unspecified application

Species

Unspecified reactive species

Gui-Qi Zhu,Zheng Tang,Run Huang,Wei-Feng Qu,Yuan Fang,Rui Yang,Chen-Yang Tao,Jun Gao,Xiao-Ling Wu,Hai-Xiang Sun,Yu-Fu Zhou,Shu-Shu Song,Zhen-Bin Ding,Zhi Dai,Jian Zhou,Dan Ye,Duo-Jiao Wu,Wei-Ren Liu,Jia Fan,Ying-Hong Shi

International journal of molecular sciences 24: PubMed36768296

2023

Endothelial Cell Markers Are Inferior to Vascular Smooth Muscle Cells Markers in Staining Vasa Vasorum and Are Non-Specific for Distinct Endothelial Cell Lineages in Clinical Samples.

Applications

Unspecified application

Species

Unspecified reactive species

Victoria Markova,Leo Bogdanov,Elena Velikanova,Anastasia Kanonykina,Alexey Frolov,Daria Shishkova,Anastasia Lazebnaya,Anton Kutikhin
View all publications

Product promise

We are committed to supporting your work with high-quality reagents, and we're here for you every step of the way. In the unlikely event that one of our products does not perform as expected, you're protected by our Product Promise.
For full details, please see our Terms & Conditions

Please note: All products are 'FOR RESEARCH USE ONLY. NOT FOR USE IN DIAGNOSTIC OR THERAPEUTIC PROCEDURES'.

For licensing inquiries, please contact partnerships@abcam.com