JavaScript is disabled in your browser. Please enable JavaScript to view this website.
AB212660

Anti-smooth muscle Myosin heavy chain I antibody [MYH11/923] - BSA and Azide free

Be the first to review this product! Submit a review

|

(2 Publications)

Mouse Monoclonal smooth muscle Myosin heavy chain 11 antibody. Carrier free. Suitable for IHC-P and reacts with Human samples. Cited in 2 publications. Immunogen corresponding to Recombinant Full Length Protein corresponding to Human MYH11.

View Alternative Names

KIAA0866, MYH11, Myosin-11, Myosin heavy chain 11, SMMHC

4 Images
Immunohistochemistry (Formalin/PFA-fixed paraffin-embedded sections) - Anti-smooth muscle Myosin heavy chain I antibody [MYH11/923] - BSA and Azide free (AB212660)
  • IHC-P

Supplier Data

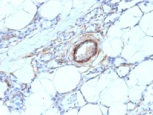
Immunohistochemistry (Formalin/PFA-fixed paraffin-embedded sections) - Anti-smooth muscle Myosin heavy chain I antibody [MYH11/923] - BSA and Azide free (AB212660)

Immunohistochemical analysis of formalin-fixed, paraffin-embedded Human colon carcinoma tissue section labeling smooth muscle Myosin heavy chain with ab212660 at 0.5 μg/mL.

Immunohistochemistry (Formalin/PFA-fixed paraffin-embedded sections) - Anti-smooth muscle Myosin heavy chain I antibody [MYH11/923] - BSA and Azide free (AB212660)
  • IHC-P

Supplier Data

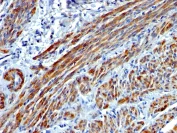
Immunohistochemistry (Formalin/PFA-fixed paraffin-embedded sections) - Anti-smooth muscle Myosin heavy chain I antibody [MYH11/923] - BSA and Azide free (AB212660)

Immunohistochemical analysis of formalin-fixed, paraffin-embedded Human angiosarcoma tissue section labeling smooth muscle Myosin heavy chain with ab212660 at 0.5 μg/mL.

Immunohistochemistry (Formalin/PFA-fixed paraffin-embedded sections) - Anti-smooth muscle Myosin heavy chain I antibody [MYH11/923] - BSA and Azide free (AB212660)
  • IHC-P

Supplier Data

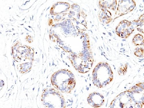
Immunohistochemistry (Formalin/PFA-fixed paraffin-embedded sections) - Anti-smooth muscle Myosin heavy chain I antibody [MYH11/923] - BSA and Azide free (AB212660)

Immunohistochemical analysis of formalin-fixed, paraffin-embedded Human breast carcinoma tissue section labeling smooth muscle Myosin heavy chain with ab212660 at 0.5 μg/mL.

Immunohistochemistry (Formalin/PFA-fixed paraffin-embedded sections) - Anti-smooth muscle Myosin heavy chain I antibody [MYH11/923] - BSA and Azide free (AB212660)
  • IHC-P

Supplier Data

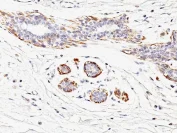
Immunohistochemistry (Formalin/PFA-fixed paraffin-embedded sections) - Anti-smooth muscle Myosin heavy chain I antibody [MYH11/923] - BSA and Azide free (AB212660)

Immunohistochemical analysis of formalin-fixed, paraffin-embedded Human Leiomyosarcoma tissue section labeling smooth muscle Myosin heavy chain with ab212660 at 0.5 μg/mL.

Key facts

Host species

Mouse

Clonality

Monoclonal

Clone number

MYH11/923

Isotype

IgG1

Light chain type

kappa

Carrier free

Yes

Reacts with

Human

Applications

IHC-P

applications

Immunogen

Recombinant Full Length Protein corresponding to Human MYH11.

P35749

Reactivity data

{ "title": "Reactivity Data", "filters": { "stats": ["", "Species", "Dilution Info", "Notes"], "tabs": { "all-applications": {"fullname" : "All Applications", "shortname": "All Applications"}, "IHCP" : {"fullname" : "Immunohistochemistry (Formalin/PFA-fixed paraffin-embedded sections)", "shortname":"IHC-P"} }, "product-promise": { "all": "all", "testedAndGuaranteed": "tested", "guaranteed": "expected", "predicted": "predicted", "notRecommended": "not-recommended" } }, "values": { "Human": { "IHCP-species-checked": "testedAndGuaranteed", "IHCP-species-dilution-info": "0.5-1 µg/mL", "IHCP-species-notes": "<p>for 30 minutes at room temperature.</p> Perform heat-mediated antigen retrieval with citrate buffer pH 6 before commencing with IHC staining protocol." } } }

Product details

ab212660 may be useful for the study of breast tumors as the presence of an intact layer of myoepithelial cells is an important feature, which may distinguish benign breast lesions and carcinoma in situ from invasive tumors.

Properties and storage information

Form
Liquid
Purification technique
Affinity purification Protein G
Purification notes
Purified from bioreactor concentrate.
Storage buffer
pH: 7.2 - 7.4 Constituents: PBS
Shipped at conditions
Blue Ice
Appropriate short-term storage duration
1-2 weeks
Appropriate short-term storage conditions
+4°C
Appropriate long-term storage conditions
+4°C
Aliquoting information
Upon delivery aliquot
Storage information
Avoid freeze / thaw cycle

Supplementary information

This supplementary information is collated from multiple sources and compiled automatically.

Smooth muscle myosin heavy chain 1 also known as MYH11 plays a significant role in the contractile function of smooth muscle tissues. It is a part of the myosin II family which are motor proteins responsible for converting chemical energy into mechanical force enabling muscle contraction. MYH11 has a high molecular mass approximately 220 kDa and exists primarily in smooth muscles like those in the walls of blood vessels and the gastrointestinal tract.
Biological function summary

MYH11 functions as a critical part of the contractile apparatus in smooth muscle cells. It interacts with actin filaments to initiate contraction utilizing ATP in the process. MYH11 often forms a complex with other proteins including light chains and myosin-binding proteins to ensure proper muscle contraction and relaxation. This complex stabilizes the filament structure optimizing muscle performance.

Pathways

MYH11 integrates into smooth muscle contraction pathways and the cytoskeletal signaling networks. Its activity involves interaction with the RhoA/Rho kinase pathway essential for muscle contraction regulation. Proteins such as actin and tropomyosin work closely with MYH11 in these pathways facilitating coordinated contraction and enabling cells to adapt to mechanical stress.

MYH11 mutations or dysregulation associate with conditions like familial aortic aneurysm and patent ductus arteriosus. In these disorders the normal contractile function of smooth muscle can be compromised leading to vessel weakening. Additionally MYH11 may involve with proteins like actin and caldesmon in these pathologies where altered contractile proteins contribute to disease progression and symptoms.

Product protocols

For this product, it's our understanding that no specific protocols are required. You can visit:

Target data

Muscle contraction.
See full target information MYH11

Publications (2)

Recent publications for all applications. Explore the full list and refine your search

Advanced science (Weinheim, Baden-Wurttemberg, Germany) 11:e2401844 PubMed38884204

2024

Versatile Design of NO-Generating Proteolipid Nanovesicles for Alleviating Vascular Injury.

Applications

Unspecified application

Species

Unspecified reactive species

Yueyue Yang,Xiangyun Zhang,Hongyu Yan,Rongping Zhao,Ruixin Zhang,Liuyang Zhu,Jingai Zhang,Adam C Midgley,Ye Wan,Songdi Wang,Meng Qian,Qiang Zhao,Ding Ai,Ting Wang,Deling Kong,Xinglu Huang,Kai Wang

Advanced biology 7:e2200322 PubMed36895072

2023

Differentiation of Peritubular Myoid-Like Cells from Human Induced Pluripotent Stem Cells.

Applications

Unspecified application

Species

Unspecified reactive species

Meghan Robinson,Anne Haegert,Yen-Yi Li,Tunc Morova,Angelina Yuan Yuan Zhang,Luke Witherspoon,Faraz Hach,Stephanie M Willerth,Ryan Flannigan
View all publications

Product promise

We are committed to supporting your work with high-quality reagents, and we're here for you every step of the way. In the unlikely event that one of our products does not perform as expected, you're protected by our Product Promise.
For full details, please see our Terms & Conditions

Please note: All products are 'FOR RESEARCH USE ONLY. NOT FOR USE IN DIAGNOSTIC OR THERAPEUTIC PROCEDURES'.

For licensing inquiries, please contact partnerships@abcam.com