JavaScript is disabled in your browser. Please enable JavaScript to view this website.
AB8969

Anti-Smoothelin antibody [R4A]

5

(5 Reviews)

|

(27 Publications)

Mouse Monoclonal Smoothelin antibody. Suitable for WB, IHC-P, ICC/IF, IHC-Fr and reacts with Pig, Chicken, Monkey, Human, Dog, Cat samples. Cited in 27 publications.

View Alternative Names

SMSMO, SMTN, Smoothelin

9 Images
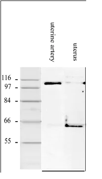
Western blot - Anti-Smoothelin antibody [R4A] (AB8969)
  • WB

Unknown

Western blot - Anti-Smoothelin antibody [R4A] (AB8969)

All lanes:

Western blot - Anti-Smoothelin antibody [R4A] (ab8969)

Lane 1:

Human uterine artery

Lane 2:

Human uterine corpus

Predicted band size: 99 kDa

false

Immunocytochemistry/ Immunofluorescence - Anti-Smoothelin antibody [R4A] (AB8969)
  • ICC/IF

AbReview5491226****

Immunocytochemistry/ Immunofluorescence - Anti-Smoothelin antibody [R4A] (AB8969)

ab8969 staining cells from a human vascular smooth muscle cells by ICC/IF. Cells were PFA fixed and permeabilized in 0.5% Triton X-100 prior to blocking in 10% serum for 10 minutes at 21°C. The primary antibody was diluted 1/100 and incubated with the sample for 1 hour at 21°C. An Rhodamine conjugated donkey anti-mouse antibody, diluted 1/200, was used as the secondary.

This image is courtesy of an anonymous Abreview

Immunocytochemistry/ Immunofluorescence - Anti-Smoothelin antibody [R4A] (AB8969)
  • ICC/IF

Supplier Data

Immunocytochemistry/ Immunofluorescence - Anti-Smoothelin antibody [R4A] (AB8969)

Indirect immunofluorescence staining of a cultured human fibroblast, showing colocalization of smoothelin (red fluorescence; as detected by ab8969) and actin (green fluorescence).

Immunohistochemistry (Frozen sections) - Anti-Smoothelin antibody [R4A] (AB8969)
  • IHC-Fr

Supplier Data

Immunohistochemistry (Frozen sections) - Anti-Smoothelin antibody [R4A] (AB8969)

Immunohistochemical analysis on frozen section of chicken gizzard striated muscle labeling Smoothelin with ab8969.

Immunocytochemistry/ Immunofluorescence - Anti-Smoothelin antibody [R4A] (AB8969)
  • ICC/IF

Unknown

Immunocytochemistry/ Immunofluorescence - Anti-Smoothelin antibody [R4A] (AB8969)

Human blood vessel in cardiac muscle stained with the monoclonal smoothelin antibody ab8969.

Immunohistochemistry (Frozen sections) - Anti-Smoothelin antibody [R4A] (AB8969)
  • IHC-Fr

Supplier Data

Immunohistochemistry (Frozen sections) - Anti-Smoothelin antibody [R4A] (AB8969)

Smooth muscle cells in swine colon as detected by ab8969 (dilution 1 : 100).

Immunohistochemistry (Frozen sections) - Anti-Smoothelin antibody [R4A] (AB8969)
  • IHC-Fr

Supplier Data

Immunohistochemistry (Frozen sections) - Anti-Smoothelin antibody [R4A] (AB8969)

Smooth muscle cells in swine colon as detected by ab8969 (dilution 1 : 100).

Immunohistochemistry (Frozen sections) - Anti-Smoothelin antibody [R4A] (AB8969)
  • IHC-Fr

Supplier Data

Immunohistochemistry (Frozen sections) - Anti-Smoothelin antibody [R4A] (AB8969)

Immunohistochemistry on frozen section of chicken gizzard striated muscle labeling Smoothelin with ab8969.

Immunohistochemistry (Frozen sections) - Anti-Smoothelin antibody [R4A] (AB8969)
  • IHC-Fr

Supplier Data

Immunohistochemistry (Frozen sections) - Anti-Smoothelin antibody [R4A] (AB8969)

Smooth muscle cells in swine colon as detected by ab8969 (dilution 1 : 100).

Key facts

Host species

Mouse

Clonality

Monoclonal

Clone number

R4A

Isotype

IgG1

Carrier free

No

Reacts with

Chicken, Human, Pig, Cat, Monkey, Dog

Applications

ICC/IF, WB, IHC-P, IHC-Fr

applications

Specificity

Reacts with the 59 kDa and 100 kDa protein, corresponding to smoothelin A and B, respectively, which are exclusively found in smooth muscle cells.

Reactivity data

{ "title": "Reactivity Data", "filters": { "stats": ["", "Species", "Dilution Info", "Notes"], "tabs": { "all-applications": {"fullname" : "All Applications", "shortname": "All Applications"}, "WB" : {"fullname" : "Western blot", "shortname":"WB"}, "IHCP" : {"fullname" : "Immunohistochemistry (Formalin/PFA-fixed paraffin-embedded sections)", "shortname":"IHC-P"}, "ICCIF" : {"fullname" : "Immunocytochemistry/ Immunofluorescence", "shortname":"ICC/IF"}, "IHCFr" : {"fullname" : "Immunohistochemistry (Frozen sections)", "shortname":"IHC-Fr"} }, "product-promise": { "all": "all", "testedAndGuaranteed": "tested", "guaranteed": "expected", "predicted": "predicted", "notRecommended": "not-recommended" } }, "values": { "Human": { "WB-species-checked": "guaranteed", "WB-species-dilution-info": "1/100 - 1/1000", "WB-species-notes": "<p></p>", "IHCP-species-checked": "testedAndGuaranteed", "IHCP-species-dilution-info": "", "IHCP-species-notes": "<p></p>", "ICCIF-species-checked": "testedAndGuaranteed", "ICCIF-species-dilution-info": "", "ICCIF-species-notes": "<p></p>", "IHCFr-species-checked": "guaranteed", "IHCFr-species-dilution-info": "", "IHCFr-species-notes": "" }, "Mouse": { "WB-species-checked": "notRecommended", "WB-species-dilution-info": "1/100 - 1/1000", "WB-species-notes": "<p></p>", "IHCP-species-checked": "notRecommended", "IHCP-species-dilution-info": "", "IHCP-species-notes": "<p></p>", "ICCIF-species-checked": "notRecommended", "ICCIF-species-dilution-info": "", "ICCIF-species-notes": "<p></p>", "IHCFr-species-checked": "notRecommended", "IHCFr-species-dilution-info": "", "IHCFr-species-notes": "<p></p>" }, "Rat": { "WB-species-checked": "notRecommended", "WB-species-dilution-info": "1/100 - 1/1000", "WB-species-notes": "<p></p>", "IHCP-species-checked": "notRecommended", "IHCP-species-dilution-info": "", "IHCP-species-notes": "<p></p>", "ICCIF-species-checked": "notRecommended", "ICCIF-species-dilution-info": "", "ICCIF-species-notes": "<p></p>", "IHCFr-species-checked": "notRecommended", "IHCFr-species-dilution-info": "", "IHCFr-species-notes": "<p></p>" }, "Cat": { "WB-species-checked": "guaranteed", "WB-species-dilution-info": "1/100 - 1/1000", "WB-species-notes": "<p></p>", "IHCP-species-checked": "notRecommended", "IHCP-species-dilution-info": "", "IHCP-species-notes": "", "ICCIF-species-checked": "notRecommended", "ICCIF-species-dilution-info": "", "ICCIF-species-notes": "", "IHCFr-species-checked": "notRecommended", "IHCFr-species-dilution-info": "", "IHCFr-species-notes": "" }, "Chicken": { "WB-species-checked": "guaranteed", "WB-species-dilution-info": "1/100 - 1/1000", "WB-species-notes": "<p></p>", "IHCP-species-checked": "guaranteed", "IHCP-species-dilution-info": "", "IHCP-species-notes": "", "ICCIF-species-checked": "guaranteed", "ICCIF-species-dilution-info": "", "ICCIF-species-notes": "", "IHCFr-species-checked": "testedAndGuaranteed", "IHCFr-species-dilution-info": "", "IHCFr-species-notes": "<p></p>" }, "Dog": { "WB-species-checked": "guaranteed", "WB-species-dilution-info": "1/100 - 1/1000", "WB-species-notes": "<p></p>", "IHCP-species-checked": "notRecommended", "IHCP-species-dilution-info": "", "IHCP-species-notes": "", "ICCIF-species-checked": "notRecommended", "ICCIF-species-dilution-info": "", "ICCIF-species-notes": "", "IHCFr-species-checked": "notRecommended", "IHCFr-species-dilution-info": "", "IHCFr-species-notes": "" }, "Hamster": { "WB-species-checked": "notRecommended", "WB-species-dilution-info": "1/100 - 1/1000", "WB-species-notes": "<p></p>", "IHCP-species-checked": "notRecommended", "IHCP-species-dilution-info": "", "IHCP-species-notes": "<p></p>", "ICCIF-species-checked": "notRecommended", "ICCIF-species-dilution-info": "", "ICCIF-species-notes": "<p></p>", "IHCFr-species-checked": "notRecommended", "IHCFr-species-dilution-info": "", "IHCFr-species-notes": "<p></p>" }, "Monkey": { "WB-species-checked": "guaranteed", "WB-species-dilution-info": "1/100 - 1/1000", "WB-species-notes": "<p></p>", "IHCP-species-checked": "notRecommended", "IHCP-species-dilution-info": "", "IHCP-species-notes": "", "ICCIF-species-checked": "notRecommended", "ICCIF-species-dilution-info": "", "ICCIF-species-notes": "", "IHCFr-species-checked": "notRecommended", "IHCFr-species-dilution-info": "", "IHCFr-species-notes": "" }, "Pig": { "WB-species-checked": "guaranteed", "WB-species-dilution-info": "1/100 - 1/1000", "WB-species-notes": "<p></p>", "IHCP-species-checked": "guaranteed", "IHCP-species-dilution-info": "", "IHCP-species-notes": "", "ICCIF-species-checked": "guaranteed", "ICCIF-species-dilution-info": "", "ICCIF-species-notes": "", "IHCFr-species-checked": "testedAndGuaranteed", "IHCFr-species-dilution-info": "", "IHCFr-species-notes": "<p></p>" } } }

Properties and storage information

Form
Liquid
Purification technique
Affinity purification Protein G
Storage buffer
Preservative: 0.09% Sodium azide Constituents: PBS
Shipped at conditions
Blue Ice
Appropriate short-term storage duration
1-2 weeks
Appropriate short-term storage conditions
+4°C
Appropriate long-term storage conditions
-20°C
Aliquoting information
Upon delivery aliquot
Storage information
Avoid freeze / thaw cycle

Supplementary information

This supplementary information is collated from multiple sources and compiled automatically.

Smoothelin is a cytoskeletal protein known for its mechanical role in smooth muscle cells. It is approximately 59 kDa in mass. The protein binds to actin filaments contributing to muscle cell contractility and maintaining the integrity of vascular tissues. It is expressed predominantly in contractile smooth muscle cells in tissues such as the intestines bladder and vasculature. Alternative names for Smoothelin include SMTN and smoothelin-A the latter referring to its variant expressed in some muscle tissues.
Biological function summary

Smoothelin is an important component in smooth muscle contraction processes. It is not typically associated with larger protein complexes instead it functions directly with actin filaments. The protein stabilizes and organizes these filaments facilitating a contracted state that is essential for the function of hollow organs and blood vessels. Through its interactions with actin Smoothelin plays a regulatory role in ensuring the contractile apparatus of smooth muscle tissues functions properly.

Pathways

Smoothelin plays an integral role in the smooth muscle contractile pathway. This pathway includes interactions with other proteins such as myosin light-chain kinase which phosphorylates myosin to facilitate muscle contraction. Additionally Smoothelin is associated with the actin cytoskeleton pathway which orchestrates the organization of the cytoskeleton to manage cellular shape and motility. These pathways highlight the coordination among actin-binding proteins in supporting dynamic cellular functions.

Dysregulation or alteration of Smoothelin expression associates with conditions like atherosclerosis and bladder dysfunction. In atherosclerosis impaired smooth muscle contractility often related to aberrant protein expression contributes to vascular stiffness and plaque formation. Furthermore changes in Smoothelin expression in bladder tissues can link to smooth muscle dysfunction disorders. Smoothelin's activity may influence or be influenced by other proteins involved in these diseases such as myosin light-chain phosphatase which counterbalances kinase activity to regulate contraction levels.

Product protocols

For this product, it's our understanding that no specific protocols are required. You can visit:

Target data

Structural protein of the cytoskeleton.
See full target information SMTN

Publications (27)

Recent publications for all applications. Explore the full list and refine your search

The Korean journal of physiology & pharmacology : official journal of the Korean Physiological Society and the Korean Society of Pharmacology 26:183-193 PubMed35477546

2022

Differentially expressed mRNAs and their upstream miR-491-5p in patients with coronary atherosclerosis as well as the function of miR-491-5p in vascular smooth muscle cells.

Applications

Unspecified application

Species

Unspecified reactive species

Hui Ding,Quanhua Pan,Long Qian,Chuanxian Hu

Journal of cellular and molecular medicine 25:6056-6069 PubMed34132029

2021

MicroRNA-199a-5p aggravates angiotensin II-induced vascular smooth muscle cell senescence by targeting Sirtuin-1 in abdominal aortic aneurysm.

Applications

Unspecified application

Species

Unspecified reactive species

Wuyuan Tao,Yimei Hong,Haiwei He,Qian Han,Mengmeng Mao,Bei Hu,Hao Zhang,Xiaoran Huang,Wei You,Xiaoting Liang,Yuelin Zhang,Xin Li

Cell death & disease 12:326 PubMed33771969

2021

MIRLET7BHG promotes hepatocellular carcinoma progression by activating hepatic stellate cells through exosomal SMO to trigger Hedgehog pathway.

Applications

Unspecified application

Species

Unspecified reactive species

Yunhong Xia,Lu Zhen,Hongxia Li,Shuomin Wang,Sun Chen,Chongchong Wang,Xiaoyu Yang

Frontiers in cardiovascular medicine 7:567837 PubMed33330641

2020

Oxidized Low-Density Lipoprotein Induces WNT5A Signaling Activation in THP-1 Derived Macrophages and a Human Aortic Vascular Smooth Muscle Cell Line.

Applications

Unspecified application

Species

Unspecified reactive species

Ian Ackers,Candice Szymanski,Mitchell J Silver,Ramiro Malgor

Chinese medical journal 133:424-434 PubMed31977553

2020

Encapsulated three-dimensional bioprinted structure seeded with urothelial cells: a new construction technique for tissue-engineered urinary tract patch.

Applications

Unspecified application

Species

Unspecified reactive species

Yi-Peng Jin,Chong Shi,Yuan-Yi Wu,Ji-Lei Sun,Jiang-Ping Gao,Yong Yang

Scientific reports 9:18096 PubMed31792260

2019

BioSphincters to treat Fecal Incontinence in Nonhuman Primates.

Applications

Unspecified application

Species

Unspecified reactive species

Prabhash Dadhich,Jaime L Bohl,Riccardo Tamburrini,Elie Zakhem,Christie Scott,Nancy Kock,Erin Mitchell,John Gilliam,Khalil N Bitar

Human reproduction (Oxford, England) 34:1428-1438 PubMed31348822

2019

Uterine spiral artery muscle dedifferentiation.

Applications

Unspecified application

Species

Unspecified reactive species

A Robson,G E Lash,B A Innes,J Y Zhang,S C Robson,J N Bulmer

Tissue engineering. Part A 25:936-948 PubMed30648499

2019

Biochemical Myogenic Differentiation of Adipogenic Stem Cells Is Donor Dependent and Requires Sound Characterization.

Applications

Unspecified application

Species

Unspecified reactive species

Skadi Lau,Melanie Klingenberg,Anna Mrugalla,Florian Helms,Daniel Sedding,Axel Haverich,Mathias Wilhelmi,Ulrike Böer

Veterinary pathology 54:178-187 PubMed27507806

2016

Spontaneous Lung Lesions in Aging Laboratory Rabbits ( Oryctolagus cuniculus).

Applications

Unspecified application

Species

Unspecified reactive species

T K Cooper,J W Griffith,Z C Chroneos,J M Izer,L B Willing,X Peng

Experimental and therapeutic medicine 12:1901-1907 PubMed27588108

2016

Suppressive effect of formononetin on platelet-derived growth factor-BB-stimulated proliferation and migration of vascular smooth muscle cells.

Applications

Unspecified application

Species

Human

Zhuo Chen,Suixin Liu,Ying Cai,Kangling Xie,Wenliang Zhang,Lei Dong,Yuan Liu,Fan Zheng,Yaoshan Dun,Ning Li
View all publications

Product promise

We are committed to supporting your work with high-quality reagents, and we're here for you every step of the way. In the unlikely event that one of our products does not perform as expected, you're protected by our Product Promise.
For full details, please see our Terms & Conditions

Associated Products

Select an associated product type
Alternative Product
Primary Antibodies

AB204305

Anti-Smoothelin antibody

primary-antibodies

smoothelin-antibody-ab204305

5

(2 reviews)

Alternative Product
Primary Antibodies

AB219652

Anti-Smoothelin antibody [EPR20044]

primary-antibodies

smoothelin-antibody-epr20044-ab219652

0

(0 reviews)

Alternative Product
Primary Antibodies

AB236034

Anti-Smoothelin antibody [EPR20044] - BSA and Azide free

primary-antibodies

smoothelin-antibody-epr20044-bsa-and-azide-free-ab236034

0

(0 reviews)

Please note: All products are 'FOR RESEARCH USE ONLY. NOT FOR USE IN DIAGNOSTIC OR THERAPEUTIC PROCEDURES'.

For licensing inquiries, please contact partnerships@abcam.com