JavaScript is disabled in your browser. Please enable JavaScript to view this website.
AB325490

Anti-Smoothened antibody [18-10-10] - BSA and Azide free

Be the first to review this product! Submit a review

|

(0 Publication)

Rat Recombinant Monoclonal Smoothened antibody. Carrier free. Suitable for WB and reacts with Transfected cell lysate - Human, Human, Mouse samples.

View Alternative Names

Smoh, Protein smoothened

2 Images
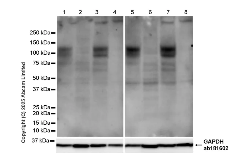
Western blot - Anti-Smoothened antibody [18-10-10] - BSA and Azide free (AB325490)
  • WB

Lab

Western blot - Anti-Smoothened antibody [18-10-10] - BSA and Azide free (AB325490)

This data was developed using ab325489, the same antibody clone in a different buffer formulation.

Blocking and diluting buffer and concentration : 5% NFDM/TBST.

Negative control : RAW 264.7 and MCF7.

Cells were lysed in RIPA buffer (150mM NaCl, 50mM Tris-HCL pH7.4, 0.25% Na deoxycholate, 2% NP-40, 1mM DTT). The samples should be made fresh and remain unboiled.

In Western blot, Anti-GAPDH antibody [EPR16891] - Loading Control (ab181602) (1 : 200000) (36KDa).

All lanes:

Western blot - Anti-Smoothened antibody [18-10-10] (<a href='/en-us/products/primary-antibodies/smoothened-antibody-18-10-10-ab325489'>ab325489</a>) at 1/1000 dilution

Lane 1:

MEF (mouse embryo fibroblast) whole cell lysate at 20 µg

Lane 2:

RAW 264.7 (mouse Abelson murine leukemia virus-induced tumor macrophage) whole cell lysate at 20 µg

Lane 3:

293T (human embryonic kidney epithelial cell) whole cell lysate at 20 µg

Lane 4:

MCF7 (human breast adenocarcinoma epithelial cell) whole cell lysate at 20 µg

Lane 5:

MEF whole cell lysate at 60 µg

Lane 6:

RAW 264.7 whole cell lysate at 60 µg

Lane 7:

293T whole cell lysate at 60 µg

Lane 8:

MCF7 whole cell lysate at 60 µg

Secondary

All lanes:

Western blot - Goat Anti-Rat IgG H&L (HRP) (<a href='/en-us/products/secondary-antibodies/goat-rat-igg-h-l-hrp-ab205720'>ab205720</a>) at 1/2000 dilution

Observed band size: 86 kDa,36 kDa

false

Exposure time: 81s

Western blot - Anti-Smoothened antibody [18-10-10] - BSA and Azide free (AB325490)
  • WB

Lab

Western blot - Anti-Smoothened antibody [18-10-10] - BSA and Azide free (AB325490)

This data was developed using ab325489, the same antibody clone in a different buffer formulation.

Blocking and diluting buffer and concentration : 5% NFDM/TBST.

Samples are non-boiled as boiling may cause protein aggregation.

In Western blot, Anti-GAPDH antibody [EPR16891] - Loading Control (ab181602) (1 : 200000) (36KDa), Anti-6X His tag® antibody [EPR20547] - ChIP Grade (ab213204) (1 : 5000)(86kDa).

All lanes:

Western blot - Anti-Smoothened antibody [18-10-10] (<a href='/en-us/products/primary-antibodies/smoothened-antibody-18-10-10-ab325489'>ab325489</a>) at 1/1000 dilution

Lane 1:

293T cells transfected with an empty vector containing a myc-his-tag, whole cell lysate at 20 µg

Lane 2:

293T cells transfected with a human Smo expression vector containing a myc-his-tag, whole cell lysate at 20 µg

Secondary

All lanes:

Western blot - Goat Anti-Rat IgG H&L (HRP) (<a href='/en-us/products/secondary-antibodies/goat-rat-igg-h-l-hrp-ab205720'>ab205720</a>) at 1/10000 dilution

Observed band size: 86 kDa,36 kDa

false

Exposure time: 8s

Key facts

Host species

Rat

Clonality

Monoclonal

Clone number

18-10-10

Isotype

IgG2a

Carrier free

Yes

Reacts with

Human, Mouse

Applications

WB

applications

Immunogen

The exact immunogen used to generate this antibody is proprietary information.

Specificity

SMO is a highly unstable protein. Lysates should be made fresh and left unboiled to prevent aggregation.

Reactivity data

{ "title": "Reactivity Data", "filters": { "stats": ["", "Species", "Dilution Info", "Notes"], "tabs": { "all-applications": {"fullname" : "All Applications", "shortname": "All Applications"}, "WB" : {"fullname" : "Western blot", "shortname":"WB"}, "ICCIF" : {"fullname" : "Immunocytochemistry/ Immunofluorescence", "shortname":"ICC/IF"} }, "product-promise": { "all": "all", "testedAndGuaranteed": "tested", "guaranteed": "expected", "predicted": "predicted", "notRecommended": "not-recommended" } }, "values": { "Human": { "WB-species-checked": "testedAndGuaranteed", "WB-species-dilution-info": "", "WB-species-notes": "<p></p>", "ICCIF-species-checked": "notRecommended", "ICCIF-species-dilution-info": "", "ICCIF-species-notes": "" }, "Mouse": { "WB-species-checked": "testedAndGuaranteed", "WB-species-dilution-info": "", "WB-species-notes": "<p></p>", "ICCIF-species-checked": "notRecommended", "ICCIF-species-dilution-info": "", "ICCIF-species-notes": "<p></p>" }, "Transfected cell lysate - Human": { "WB-species-checked": "testedAndGuaranteed", "WB-species-dilution-info": "", "WB-species-notes": "<p></p>", "ICCIF-species-checked": "notRecommended", "ICCIF-species-dilution-info": "", "ICCIF-species-notes": "" } } }

Product details

ab325490 is the carrier-free version of ab325489.

What are the advantages of a recombinant monoclonal antibody?
This product is a recombinant monoclonal antibody, which offers several advantages including:

  • - High batch-to-batch consistency and reproducibility
  • - Improved sensitivity and specificity
  • - Long-term security of supply
  • - Animal-free batch production

For more information, read more on recombinant antibodies.

Want a custom formulation?
This antibody clone is manufactured by Abcam. If you require a custom buffer formulation or conjugation for your experiments, please contact orders@abcam.com

Conjugation ready
Our carrier-free antibodies are typically supplied in a PBS-only formulation, purified and free of BSA, sodium azide and glycerol. This conjugation-ready format is designed for use with fluorochromes, metal isotopes, oligonucleotides, and enzymes, which makes them ideal for antibody labelling, functional and cell-based assays, flow-based assays (e.g. mass cytometry) and Multiplex Imaging applications.

Use our conjugation kits for antibody conjugates that are ready-to-use in as little as 20 minutes with 1 minute hands-on-time and 100% antibody recovery: available for fluorescent dyes, HRP, biotin and gold.

Compatibility
This product is compatible with the Maxpar® Antibody Labeling Kit from Fluidigm, without the need for antibody preparation. Maxpar® is a trademark of Fluidigm Canada Inc.

Properties and storage information

Form
Liquid
Purification technique
Ion exchange chromatography
Storage buffer
pH: 7.2 - 7.4 Constituents: PBS
Shipped at conditions
Blue Ice
Appropriate short-term storage conditions
+4°C
Appropriate long-term storage conditions
+4°C

Product protocols

For this product, it's our understanding that no specific protocols are required. You can visit:

Target data

G protein-coupled receptor which associates with the patched protein (PTCH) to transduce hedgehog protein signaling. Binding of sonic hedgehog (SHH) to its receptor patched prevents inhibition of smoothened (SMO) by patched (By similarity). When active, SMO binds to and sequesters protein kinase A catalytic subunit PRKACA at the cell membrane, preventing PRKACA-mediated phosphorylation of GLI transcription factors which releases the GLI proteins from PRKACA-mediated inhibition and allows for transcriptional activation of hedgehog pathway target genes (PubMed : 33886552). Required for the accumulation of KIF7, GLI2 and GLI3 in the cilia. Interacts with DLG5 at the ciliary base to induce the accumulation of KIF7 and GLI2 at the ciliary tip for GLI2 activation (PubMed : 25644602).
See full target information Smo

Product promise

We are committed to supporting your work with high-quality reagents, and we're here for you every step of the way. In the unlikely event that one of our products does not perform as expected, you're protected by our Product Promise.
For full details, please see our Terms & Conditions

Please note: All products are 'FOR RESEARCH USE ONLY. NOT FOR USE IN DIAGNOSTIC OR THERAPEUTIC PROCEDURES'.

For licensing inquiries, please contact partnerships@abcam.com