JavaScript is disabled in your browser. Please enable JavaScript to view this website.
AB150971

Anti-SMOX antibody

Be the first to review this product! Submit a review

|

(2 Publications)

Rabbit Polyclonal SMOX antibody. Suitable for IHC-P, ICC/IF and reacts with Human samples. Cited in 2 publications. Immunogen corresponding to Recombinant Fragment Protein within Human SMOX aa 1-150.

View Alternative Names

C20orf16, SMO, UNQ3039/PRO9854, SMOX, Spermine oxidase, Polyamine oxidase 1, PAO-1, PAOh1

2 Images
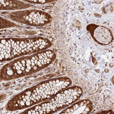
Immunohistochemistry (Formalin/PFA-fixed paraffin-embedded sections) - Anti-SMOX antibody (AB150971)
  • IHC-P

Unknown

Immunohistochemistry (Formalin/PFA-fixed paraffin-embedded sections) - Anti-SMOX antibody (AB150971)

Immunohistochemical analysis of paraffin-embedded Human colon tissue labeling Spermine oxidase with ab150971 at 1/50 dilution.

Immunocytochemistry/ Immunofluorescence - Anti-SMOX antibody (AB150971)
  • ICC/IF

Unknown

Immunocytochemistry/ Immunofluorescence - Anti-SMOX antibody (AB150971)

Immunofluorescent analysis of PFA/Triton X-100-fixed U20S cells labeling Spermine oxidase with ab150971 at 4 μg/ml.

Key facts

Host species

Rabbit

Clonality

Polyclonal

Isotype

IgG

Carrier free

No

Reacts with

Human

Applications

ICC/IF, IHC-P

applications

Immunogen

Recombinant Fragment Protein within Human SMOX aa 1-150. The exact immunogen used to generate this antibody is proprietary information.

Q9NWM0

Reactivity data

{ "title": "Reactivity Data", "filters": { "stats": ["", "Species", "Dilution Info", "Notes"], "tabs": { "all-applications": {"fullname" : "All Applications", "shortname": "All Applications"}, "IHCP" : {"fullname" : "Immunohistochemistry (Formalin/PFA-fixed paraffin-embedded sections)", "shortname":"IHC-P"}, "ICCIF" : {"fullname" : "Immunocytochemistry/ Immunofluorescence", "shortname":"ICC/IF"} }, "product-promise": { "all": "all", "testedAndGuaranteed": "tested", "guaranteed": "expected", "predicted": "predicted", "notRecommended": "not-recommended" } }, "values": { "Human": { "IHCP-species-checked": "testedAndGuaranteed", "IHCP-species-dilution-info": "1/50 - 1/200", "IHCP-species-notes": "<p></p> Perform heat-mediated antigen retrieval with citrate buffer pH 6 before commencing with IHC staining protocol.", "ICCIF-species-checked": "testedAndGuaranteed", "ICCIF-species-dilution-info": "1-4 µg/mL", "ICCIF-species-notes": "<p>Cells were fixed in 4% paraformaldehyde and then permealized with 0.1% Triton X-100.</p>" } } }

Properties and storage information

Form
Liquid
Purification technique
Affinity purification Immunogen
Storage buffer
pH: 7.2 Preservative: 0.02% Sodium azide Constituents: PBS, 40% Glycerol (glycerin, glycerine)
Shipped at conditions
Blue Ice
Appropriate short-term storage conditions
+4°C
Appropriate long-term storage conditions
-20°C
Aliquoting information
Upon delivery aliquot
Storage information
Avoid freeze / thaw cycle

Supplementary information

This supplementary information is collated from multiple sources and compiled automatically.

SMOX also known as spermine oxidase is an enzyme that catalyzes the oxidation of spermine to spermidine releasing hydrogen peroxide and 3-aminopropanal. This enzyme is important in the polyamine metabolism process. SMOX has a molecular mass of approximately 66 kDa. It is expressed in various tissues including the liver kidney and other tissues with high metabolic activity.
Biological function summary

SMOX is essential for polyamine catabolism influencing cell growth and proliferation. It does not function as part of a complex but works independently to regulate intracellular levels of polyamines. The balance of polyamines like spermine and spermidine is critical for cellular functions impacting cell cycle regulation and apoptosis.

Pathways

The enzymatic activity of SMOX plays an important role in the polyamine metabolic pathway. This pathway interconnects with the urea cycle and is involved in the regulation of cellular proliferation. SMOX influences the activity of proteins like ornithine decarboxylase (ODC) which is vital in polyamine synthesis. By controlling polyamine levels SMOX indirectly modulates signaling pathways associated with cellular responses and stress reactions.

SMOX has a connection with cancer and neurodegenerative diseases. Abnormal expression of SMOX can disrupt polyamine homeostasis leading to oxidative stress and promoting tumorigenesis. In cancer SMOX activity often pairs with increased levels of ODC contributing to tumor progression. In neurodegenerative diseases such as Alzheimer's disease SMOX activity is linked to elevated oxidative stress resulting in neuronal damage and cognitive decline. The regulation of SMOX and polyamine metabolism remains a focus of research for therapeutic strategies.

Product protocols

For this product, it's our understanding that no specific protocols are required. You can visit:

Target data

Flavoenzyme which catalyzes the oxidation of spermine to spermidine. Can also use N(1)-acetylspermine and spermidine as substrates, with different affinity depending on the isoform (isozyme) and on the experimental conditions. Plays an important role in the regulation of polyamine intracellular concentration and has the potential to act as a determinant of cellular sensitivity to the antitumor polyamine analogs. May contribute to beta-alanine production via aldehyde dehydrogenase conversion of 3-amino-propanal.
See full target information SMOX

Publications (2)

Recent publications for all applications. Explore the full list and refine your search

Journal of Cancer 13:3051-3060 PubMed36046649

2022

Microbiome dysbiosis inhibits carcinogen-induced murine oral tumorigenesis.

Applications

Unspecified application

Species

Unspecified reactive species

Yuh-Ling Chen,Kuan-Chih Huang,Jer-Horng Wu,Tsunglin Liu,Jiung-Wen Chen,Jia-Yan Xie,Meng-Yen Chen,Li-Wha Wu,Chun-Liang Tung

Hepatology research : the official journal of the 48:967-977 PubMed29923661

2018

Spermine oxidase is upregulated and promotes tumor growth in hepatocellular carcinoma.

Applications

Unspecified application

Species

Unspecified reactive species

Tingting Hu,Dalong Sun,Jie Zhang,Ruyi Xue,Harry L A Janssen,Wenqing Tang,Ling Dong
View all publications

Product promise

We are committed to supporting your work with high-quality reagents, and we're here for you every step of the way. In the unlikely event that one of our products does not perform as expected, you're protected by our Product Promise.
For full details, please see our Terms & Conditions

Please note: All products are 'FOR RESEARCH USE ONLY. NOT FOR USE IN DIAGNOSTIC OR THERAPEUTIC PROCEDURES'.

For licensing inquiries, please contact partnerships@abcam.com