JavaScript is disabled in your browser. Please enable JavaScript to view this website.
AB183498

Anti-SMYD3 antibody [EPR11106(2)] - N-terminal

Be the first to review this product! Submit a review

|

(5 Publications)

Rabbit Recombinant Monoclonal SMYD3 antibody. N-terminal. Suitable for IP, WB, ICC/IF, Flow Cyt (Intra), IHC-P and reacts with Human samples. Cited in 5 publications.

View Alternative Names

ZMYND1, ZNFN3A1, SMYD3, Histone-lysine N-methyltransferase SMYD3, SET and MYND domain-containing protein 3, Zinc finger MYND domain-containing protein 1

8 Images
Flow Cytometry (Intracellular) - Anti-SMYD3 antibody [EPR11106(2)] - N-terminal (AB183498)
  • Flow Cyt (Intra)

Supplier Data

Flow Cytometry (Intracellular) - Anti-SMYD3 antibody [EPR11106(2)] - N-terminal (AB183498)

Intracellular flow cytometric analysis of 293 cells fixed in 2% paraformaldehyde labeling SMYD3 with ab183498 at 1/110 dilution andGoat anti rabbit IgG (FITC) at 1/150 dilution. Rabbit Monoclonal IgG was used as an isotype control.

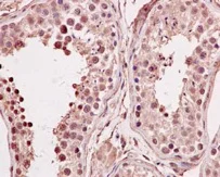
Immunohistochemistry (Formalin/PFA-fixed paraffin-embedded sections) - Anti-SMYD3 antibody [EPR11106(2)] - N-terminal (AB183498)
  • IHC-P

Supplier Data

Immunohistochemistry (Formalin/PFA-fixed paraffin-embedded sections) - Anti-SMYD3 antibody [EPR11106(2)] - N-terminal (AB183498)

Immunohistochemical analysis of paraffin-embedded Human testis labeling SMYD3 with ab183498 at 1/100 dilution and HRP Polymer for Rabbit IgG. Counterstained with Hematoxylin.

Perform heat mediated antigen retrieval with EDTA buffer pH 9 before commencing with IHC staining protocol.

Immunocytochemistry/ Immunofluorescence - Anti-SMYD3 antibody [EPR11106(2)] - N-terminal (AB183498)
  • ICC/IF

Supplier Data

Immunocytochemistry/ Immunofluorescence - Anti-SMYD3 antibody [EPR11106(2)] - N-terminal (AB183498)

Flow cytometric analysis of HeLa cells fixed in 20 °C acetone labeling SMYD3 at 1/500 dilution and Goat anti rabbit IgG(Alexa Fluor® 555) at 1/200 (red). Counterstained with DAPI (blue)

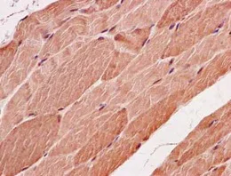
Immunohistochemistry (Formalin/PFA-fixed paraffin-embedded sections) - Anti-SMYD3 antibody [EPR11106(2)] - N-terminal (AB183498)
  • IHC-P

Supplier Data

Immunohistochemistry (Formalin/PFA-fixed paraffin-embedded sections) - Anti-SMYD3 antibody [EPR11106(2)] - N-terminal (AB183498)

Immunohistochemical analysis of paraffin-embedded Human skeletal muscle labeling SMYD3 at 1/100 dilution and HRP Polymer for Rabbit IgG. Counterstained with Hematoxylin.

Perform heat mediated antigen retrieval with EDTA buffer pH 9 before commencing with IHC staining protocol.

Immunoprecipitation - Anti-SMYD3 antibody [EPR11106(2)] - N-terminal (AB183498)
  • IP

Supplier Data

Immunoprecipitation - Anti-SMYD3 antibody [EPR11106(2)] - N-terminal (AB183498)

Immunoprecipitation of HeLa cells labeling SMYD3 with ab183498 at 1/50 dilution and Anti-Rabbit IgG (HRP), specific to the non-reduced form of IgG at 1/1500.

All lanes:

Immunoprecipitation - Anti-SMYD3 antibody [EPR11106(2)] - N-terminal (ab183498)

Predicted band size: 49 kDa

false

Western blot - Anti-SMYD3 antibody [EPR11106(2)] - N-terminal (AB183498)
  • WB

Supplier Data

Western blot - Anti-SMYD3 antibody [EPR11106(2)] - N-terminal (AB183498)

All lanes:

Western blot - Anti-SMYD3 antibody [EPR11106(2)] - N-terminal (ab183498) at 1/10000 dilution

Lane 1:

HeLa lysate at 20 µg

Lane 2:

293 lysate at 20 µg

Lane 3:

T47-D lysate at 20 µg

Secondary

All lanes:

Goat Anti-Rabbit IgG, (H+L), Peroxidase conjugated at 1/1000 dilution

Predicted band size: 49 kDa

false

Western blot - Anti-SMYD3 antibody [EPR11106(2)] - N-terminal (AB183498)
  • WB

Lab

Western blot - Anti-SMYD3 antibody [EPR11106(2)] - N-terminal (AB183498)

Lanes 1 - 4 : Merged signal (red and green). Green - ab183498 observed at 49 kDa. Red - loading control, ab8245, observed at 37 kDa.

ab183498 was shown to recognize SMYD3 in wild-type HAP1 cells as signal was lost at the expected MW in SMYD3 knockout cells. Additional cross-reactive bands were observed in the wild-type and knockout cells. Wild-type and SMYD3 knockout samples were subjected to SDS-PAGE. The membrane was blocked with 3% Milk. ab183498 and ab8245 (Mouse anti-GAPDH loading control) were incubated overnight at 4°C at 1/1000 dilution and 1/20000 dilution respectively. Blots were developed with Goat anti-Rabbit IgG H&L (IRDye® 800CW) preabsorbed ab216773 and Goat anti-Mouse IgG H&L (IRDye® 680RD) preabsorbed ab216776 secondary antibodies at 1/20000 dilution for 1 hour at room temperature before imaging.

All lanes:

Western blot - Anti-SMYD3 antibody [EPR11106(2)] - N-terminal (ab183498) at 1/1000 dilution

Lane 1:

Wild-type HAP1 whole cell lysate at 20 µg

Lane 2:

SMYD3 knockout HAP1 whole cell lysate at 20 µg

Lane 3:

HeLa whole cell lysate at 20 µg

Lane 4:

MCF7 whole cell lysate at 20 µg

Predicted band size: 49 kDa

false

Western blot - Anti-SMYD3 antibody [EPR11106(2)] - N-terminal (AB183498)
  • WB

Supplier Data

Western blot - Anti-SMYD3 antibody [EPR11106(2)] - N-terminal (AB183498)

All lanes:

Western blot - Anti-SMYD3 antibody [EPR11106(2)] - N-terminal (ab183498) at 1/2000 dilution

All lanes:

MCF-7 lysate at 20 µg

Secondary

All lanes:

Goat Anti-Rabbit IgG, (H+L), Peroxidase conjugated at 1/1000 dilution

Predicted band size: 49 kDa

false

  • Carrier free

    Anti-SMYD3 antibody [EPR11106(2)] - BSA and Azide free

Key facts

Host species

Rabbit

Clonality

Monoclonal

Clone number

EPR11106(2)

Isotype

IgG

Carrier free

No

Reacts with

Human

Applications

WB, Flow Cyt (Intra), ICC/IF, IP, IHC-P

applications

Immunogen

The exact immunogen used to generate this antibody is proprietary information.

Reactivity data

{ "title": "Reactivity Data", "filters": { "stats": ["", "Species", "Dilution Info", "Notes"], "tabs": { "all-applications": {"fullname" : "All Applications", "shortname": "All Applications"}, "IP" : {"fullname" : "Immunoprecipitation", "shortname":"IP"}, "WB" : {"fullname" : "Western blot", "shortname":"WB"}, "ICCIF" : {"fullname" : "Immunocytochemistry/ Immunofluorescence", "shortname":"ICC/IF"}, "FlowCytIntra" : {"fullname" : "Flow Cytometry (Intracellular)", "shortname":"Flow Cyt (Intra)"}, "IHCP" : {"fullname" : "Immunohistochemistry (Formalin/PFA-fixed paraffin-embedded sections)", "shortname":"IHC-P"} }, "product-promise": { "all": "all", "testedAndGuaranteed": "tested", "guaranteed": "expected", "predicted": "predicted", "notRecommended": "not-recommended" } }, "values": { "Human": { "IP-species-checked": "testedAndGuaranteed", "IP-species-dilution-info": "1/40 - 1/60", "IP-species-notes": "<p></p>", "WB-species-checked": "testedAndGuaranteed", "WB-species-dilution-info": "1/1000 - 1/10000", "WB-species-notes": "<p></p>", "ICCIF-species-checked": "testedAndGuaranteed", "ICCIF-species-dilution-info": "1/500", "ICCIF-species-notes": "<p></p>", "FlowCytIntra-species-checked": "testedAndGuaranteed", "FlowCytIntra-species-dilution-info": "", "FlowCytIntra-species-notes": "<p></p>", "IHCP-species-checked": "testedAndGuaranteed", "IHCP-species-dilution-info": "1/50 - 1/100", "IHCP-species-notes": "<p></p>" } } }

Product details

Patented technology
Our RabMAb® technology is a patented hybridoma-based technology for making rabbit monoclonal antibodies. For details on our patents, please refer to RabMAb® patents.

What are the advantages of a recombinant monoclonal antibody?
This product is a recombinant monoclonal antibody, which offers several advantages including:

  • - High batch-to-batch consistency and reproducibility
  • - Improved sensitivity and specificity
  • - Long-term security of supply
  • - Animal-free batch production

For more information, read more on recombinant antibodies.

Properties and storage information

Form
Liquid
Purification technique
Affinity purification Protein A
Storage buffer
pH: 7.2 Preservative: 0.01% Sodium azide Constituents: PBS, 40% Glycerol (glycerin, glycerine), 0.05% BSA
Shipped at conditions
Blue Ice
Appropriate short-term storage duration
1-2 weeks
Appropriate short-term storage conditions
+4°C
Appropriate long-term storage conditions
-20°C
Aliquoting information
Upon delivery aliquot
Storage information
Avoid freeze / thaw cycle

Supplementary information

This supplementary information is collated from multiple sources and compiled automatically.

SMYD3 short for SET and MYND domain containing 3 is a member of the protein lysine methyltransferase family. It mainly functions as a histone methyltransferase adding methyl groups to lysine 4 on histone H3 (H3K4) and lysine 5 on histone H4 (H4K5) influencing chromatin structure and gene expression. SMYD3 has a molecular mass of approximately 56 kDa. It is widely expressed in multiple tissues but levels are higher in skeletal muscle and the heart. This broad expression indicates its potential role in various cellular functions.
Biological function summary

This methyltransferase regulates transcriptional activation by methylating histones. It acts as part of transcriptional coactivator complexes interacting with RNA polymerase II. SMYD3 modulates the expression of genes involved in cell proliferation and cancer progression. Additionally it interacts with proteins like Heat Shock Protein 90 (HSP90) and promotes the stabilization of substrate proteins. Its influence extends to non-histone proteins which suggests a wider impact on cellular signaling and structure.

Pathways

SMYD3 is involved in the MAPK (Mitogen-Activated Protein Kinase) signaling pathway an important regulator of cell differentiation proliferation and survival. It interacts with key proteins in this pathway such as ERK2 (Extracellular signal-regulated kinase 2) influencing cellular outcomes. SMYD3 also plays a role in the Wnt signaling pathway which is important for development and oncogenesis. This interaction with signaling pathways underlines its significant regulatory functions within the cell.

SMYD3 is strongly associated with cancer. Its overexpression contributes to tumorigenesis and metastasis particularly in colorectal and liver cancers. In cancer SMYD3 interacts with proteins like AKT1 promoting cancer cell survival and growth. Additionally SMYD3 has been linked to congenital heart diseases through its role in cardiac development. It interacts with cardiac transcription factors further connecting its function to heart malformations.

Product protocols

For this product, it's our understanding that no specific protocols are required. You can visit:

Target data

Histone methyltransferase. Specifically methylates 'Lys-4' of histone H3, inducing di- and tri-methylation, but not monomethylation (PubMed : 15235609, PubMed : 22419068). Also methylates 'Lys-5' of histone H4 (PubMed : 22419068). Plays an important role in transcriptional activation as a member of an RNA polymerase complex (PubMed : 15235609). Binds DNA containing 5'-CCCTCC-3' or 5'-GAGGGG-3' sequences (PubMed : 15235609).
See full target information SMYD3

Publications (5)

Recent publications for all applications. Explore the full list and refine your search

Journal of experimental & clinical cancer research : CR 43:151 PubMed38812026

2024

The novel SMYD3 inhibitor EM127 impairs DNA repair response to chemotherapy-induced DNA damage and reverses cancer chemoresistance.

Applications

Unspecified application

Species

Unspecified reactive species

Paola Sanese,Katia De Marco,Martina Lepore Signorile,Francesca La Rocca,Giovanna Forte,Marialaura Latrofa,Candida Fasano,Vittoria Disciglio,Elisabetta Di Nicola,Antonino Pantaleo,Giusy Bianco,Vito Spilotro,Claudia Ferroni,Matilde Tubertini,Nicoletta Labarile,Lucia De Marinis,Raffaele Armentano,Gianluigi Gigante,Valerio Lantone,Giuliano Lantone,Marina Naldi,Manuela Bartolini,Greta Varchi,Alberto Del Rio,Valentina Grossi,Cristiano Simone

Neuro-oncology advances 4:vdac120 PubMed36267874

2022

The long non-coding RNA and its binding partner PTBP1 regulate exon 5 skipping of transcripts in group 4 medulloblastomas.

Applications

Unspecified application

Species

Unspecified reactive species

Bongyong Lee,Keisuke Katsushima,Rudramani Pokhrel,Menglang Yuan,Stacie Stapleton,George Jallo,Robert J Wechsler-Reya,Charles G Eberhart,Animesh Ray,Ranjan J Perera

SLAS discovery : advancing life sciences R & D 26:947-960 PubMed34154424

2021

Discovery of the SMYD3 Inhibitor BAY-6035 Using Thermal Shift Assay (TSA)-Based High-Throughput Screening.

Applications

Unspecified application

Species

Unspecified reactive species

Stefan Gradl,Holger Steuber,Joerg Weiske,Magda M Szewczyk,Norbert Schmees,Stephan Siegel,Detlef Stoeckigt,Clara D Christ,Fengling Li,Shawna Organ,Megha Abbey,Steven Kennedy,Irene Chau,Viacheslav Trush,Dalia Barsyte-Lovejoy,Peter J Brown,Masoud Vedadi,Cheryl Arrowsmith,Manfred Husemann,Volker Badock,Marcus Bauser,Andrea Haegebarth,Ingo V Hartung,Carlo Stresemann

International journal of molecular sciences 21: PubMed33333978

2020

In Silico/In Vitro Hit-to-Lead Methodology Yields SMYD3 Inhibitor That Eliminates Unrestrained Proliferation of Breast Carcinoma Cells.

Applications

Unspecified application

Species

Unspecified reactive species

Ilham M Alshiraihi,Dillon K Jarrell,Zeyad Arhouma,Kelly N Hassell,Jaelyn Montgomery,Alyssa Padilla,Hend M Ibrahim,Debbie C Crans,Takamitsu A Kato,Mark A Brown

SLAS discovery : advancing life sciences R & D 23:34-46 PubMed28957646

2017

A High-Throughput Dose-Response Cellular Thermal Shift Assay for Rapid Screening of Drug Target Engagement in Living Cells, Exemplified Using SMYD3 and IDO1.

Applications

Unspecified application

Species

Unspecified reactive species

Dean E McNulty,William G Bonnette,Hongwei Qi,Liping Wang,Thau F Ho,Anna Waszkiewicz,Lorena A Kallal,Raman P Nagarajan,Melissa Stern,Amy M Quinn,Caretha L Creasy,Dai-Shi Su,Alan P Graves,Roland S Annan,Sharon M Sweitzer,Marc A Holbert
View all publications

Product promise

We are committed to supporting your work with high-quality reagents, and we're here for you every step of the way. In the unlikely event that one of our products does not perform as expected, you're protected by our Product Promise.
For full details, please see our Terms & Conditions

Please note: All products are 'FOR RESEARCH USE ONLY. NOT FOR USE IN DIAGNOSTIC OR THERAPEUTIC PROCEDURES'.

For licensing inquiries, please contact partnerships@abcam.com