JavaScript is disabled in your browser. Please enable JavaScript to view this website.
AB232626

Anti-SMYD3 antibody [EPR11107(2)] - BSA and Azide free

Be the first to review this product! Submit a review

|

(1 Publication)

Rabbit Recombinant Monoclonal SMYD3 antibody. Carrier free. Suitable for IHC-P, IP, WB, ICC/IF, Flow Cyt (Intra) and reacts with Human, Mouse, Rat samples. Cited in 1 publication.

View Alternative Names

ZMYND1, ZNFN3A1, SMYD3, Histone-lysine N-methyltransferase SMYD3, SET and MYND domain-containing protein 3, Zinc finger MYND domain-containing protein 1

6 Images
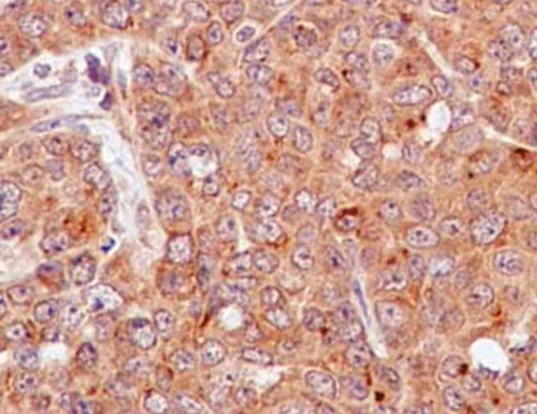
Immunohistochemistry (Formalin/PFA-fixed paraffin-embedded sections) - Anti-SMYD3 antibody [EPR11107(2)] - BSA and Azide free (AB232626)
  • IHC-P

Supplier Data

Immunohistochemistry (Formalin/PFA-fixed paraffin-embedded sections) - Anti-SMYD3 antibody [EPR11107(2)] - BSA and Azide free (AB232626)

Immunohistochemical analysis of paraffin-embedded human colonic carcinoma tissue, labeling SMYD3 with ab187149 at 1/100 dilution. Counterstained with Hematoxylin.

This data was developed using the same antibody clone in a different buffer formulation containing PBS, BSA, glycerol, and sodium azide (ab187149).

Heat mediated antigen retrieval was performed before commencing with IHC staining protocol.

Flow Cytometry (Intracellular) - Anti-SMYD3 antibody [EPR11107(2)] - BSA and Azide free (AB232626)
  • Flow Cyt (Intra)

Supplier Data

Flow Cytometry (Intracellular) - Anti-SMYD3 antibody [EPR11107(2)] - BSA and Azide free (AB232626)

Immunohistochemical analysis of 2% paraformaldehyde-fixed HeLa (human epithelial cell line from cervix adenocarcinoma) cells, labeling SMYD3 with ab187149 at 1/30 dilution. Secondary antibody was Goat anti rabbit IgG (FITC) at 1/150 dilution. Isotype control was a Rabbit monoclonal IgG.

This data was developed using the same antibody clone in a different buffer formulation containing PBS, BSA, glycerol, and sodium azide (ab187149).

Immunocytochemistry/ Immunofluorescence - Anti-SMYD3 antibody [EPR11107(2)] - BSA and Azide free (AB232626)
  • ICC/IF

Supplier Data

Immunocytochemistry/ Immunofluorescence - Anti-SMYD3 antibody [EPR11107(2)] - BSA and Azide free (AB232626)

Immunofluorescent analysis of 4% paraformaldehyde-fixed MCF7 (human breast adenocarcinoma cell line) cells, labeling SMYD3 with ab187149 at 1/250 dilution (left image; green); secondary antibody was Goat anti rabbit IgG Alexa Fluor®488, and counterstained with Dapi (right image; blue).

This data was developed using the same antibody clone in a different buffer formulation containing PBS, BSA, glycerol, and sodium azide (ab187149).

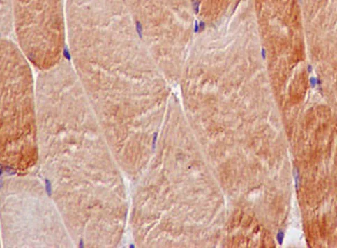
Immunohistochemistry (Formalin/PFA-fixed paraffin-embedded sections) - Anti-SMYD3 antibody [EPR11107(2)] - BSA and Azide free (AB232626)
  • IHC-P

Supplier Data

Immunohistochemistry (Formalin/PFA-fixed paraffin-embedded sections) - Anti-SMYD3 antibody [EPR11107(2)] - BSA and Azide free (AB232626)

Immunohistochemical analysis of paraffin-embedded mouse skeletal muscle tissue, labeling SMYD3 with ab187149 at 1/100 dilution. Counterstained with Hematoxylin.

This data was developed using the same antibody clone in a different buffer formulation containing PBS, BSA, glycerol, and sodium azide (ab187149).

Heat mediated antigen retrieval was performed before commencing with IHC staining protocol.

Immunoprecipitation - Anti-SMYD3 antibody [EPR11107(2)] - BSA and Azide free (AB232626)
  • IP

Supplier Data

Immunoprecipitation - Anti-SMYD3 antibody [EPR11107(2)] - BSA and Azide free (AB232626)

Immunoprecipitation analysis of HeLa (human epithelial cell line from cervix adenocarcinoma) cell lysate labeling SMYD3 using ab187149 at 1/50 dilution (Lane 1). A Anti-Rabbit IgG (HRP), specific to the non-reduced form of IgG at 1/1500 was used as secondary antibody. Lane 2 : PBS instead of HeLa lysate.

This data was developed using the same antibody clone in a different buffer formulation containing PBS, BSA, glycerol, and sodium azide (ab187149).

All lanes:

Immunoprecipitation - Anti-SMYD3 antibody [EPR11107(2)] (<a href='/en-us/products/primary-antibodies/smyd3-antibody-epr111072-ab187149'>ab187149</a>)

Predicted band size: 49 kDa

false

Western blot - Anti-SMYD3 antibody [EPR11107(2)] - BSA and Azide free (AB232626)
  • WB

Lab

Western blot - Anti-SMYD3 antibody [EPR11107(2)] - BSA and Azide free (AB232626)

This data was developed using the same antibody clone in a different buffer formulation containing PBS, BSA, glycerol, and sodium azide (ab187149).

Lanes 1 - 4 : Merged signal (red and green). Green - ab187149 observed at 49 kDa. Red - loading control, ab8245 (Mouse anti-GAPDH antibody [6C5]) observed at 37kDa.

ab187149 was shown to react with SMYD3 in HAP1 wild-type cells in Western blot. Loss of signal was observed when SMYD3 knockout sample was used. HAP1 wild-type and SMYD3 knockout whole cell lysates were subjected to SDS-PAGE. Membranes were blocked in 3% Milk in TBS-T (0.1% Tween®) before incubation with ab187149 and ab8245 (Mouse anti-GAPDH antibody [6C5]) overnight at 4°C at a 1 in 1000 dilution and a 1 in 20000 dilution respectively. Blots were developed with Goat anti-Rabbit IgG H&L (IRDye® 800CW) preabsorbed (ab216773) and Goat anti-Mouse IgG H&L (IRDye® 680RD) preabsorbed (ab216776) secondary antibodies at 1 in 20000 dilution for 1 hour at room temperature before imaging.

All lanes:

Western blot - Anti-SMYD3 antibody [EPR11107(2)] (<a href='/en-us/products/primary-antibodies/smyd3-antibody-epr111072-ab187149'>ab187149</a>) at 1/1000 dilution

Lane 1:

Wild-type HAP1 whole cell lysate at 20 µg

Lane 2:

SMYD3 knockout HAP1 whole cell lysate at 20 µg

Lane 3:

HeLa whole cell lysate at 20 µg

Lane 4:

MCF7 whole cell lysate at 20 µg

Predicted band size: 49 kDa

Observed band size: 49 kDa

false

Key facts

Host species

Rabbit

Clonality

Monoclonal

Clone number

EPR11107(2)

Isotype

IgG

Carrier free

Yes

Reacts with

Mouse, Rat, Human

Applications

IP, ICC/IF, Flow Cyt (Intra), IHC-P, WB

applications

Immunogen

The exact immunogen used to generate this antibody is proprietary information.

Reactivity data

{ "title": "Reactivity Data", "filters": { "stats": ["", "Species", "Dilution Info", "Notes"], "tabs": { "all-applications": {"fullname" : "All Applications", "shortname": "All Applications"}, "IHCP" : {"fullname" : "Immunohistochemistry (Formalin/PFA-fixed paraffin-embedded sections)", "shortname":"IHC-P"}, "IP" : {"fullname" : "Immunoprecipitation", "shortname":"IP"}, "WB" : {"fullname" : "Western blot", "shortname":"WB"}, "ICCIF" : {"fullname" : "Immunocytochemistry/ Immunofluorescence", "shortname":"ICC/IF"}, "FlowCytIntra" : {"fullname" : "Flow Cytometry (Intracellular)", "shortname":"Flow Cyt (Intra)"} }, "product-promise": { "all": "all", "testedAndGuaranteed": "tested", "guaranteed": "expected", "predicted": "predicted", "notRecommended": "not-recommended" } }, "values": { "Human": { "IHCP-species-checked": "testedAndGuaranteed", "IHCP-species-dilution-info": "", "IHCP-species-notes": "<p></p>", "IP-species-checked": "testedAndGuaranteed", "IP-species-dilution-info": "", "IP-species-notes": "<p></p>", "WB-species-checked": "testedAndGuaranteed", "WB-species-dilution-info": "", "WB-species-notes": "<p></p>", "ICCIF-species-checked": "testedAndGuaranteed", "ICCIF-species-dilution-info": "", "ICCIF-species-notes": "<p></p>", "FlowCytIntra-species-checked": "testedAndGuaranteed", "FlowCytIntra-species-dilution-info": "", "FlowCytIntra-species-notes": "<p><a href='/en-us/products/primary-antibodies/rabbit-igg-monoclonal-epr25a-isotype-control-ab172730'>ab172730</a> - Rabbit monoclonal IgG, is suitable for use as an isotype control with this antibody.</p>" }, "Mouse": { "IHCP-species-checked": "testedAndGuaranteed", "IHCP-species-dilution-info": "", "IHCP-species-notes": "<p></p>", "IP-species-checked": "guaranteed", "IP-species-dilution-info": "", "IP-species-notes": "", "WB-species-checked": "testedAndGuaranteed", "WB-species-dilution-info": "", "WB-species-notes": "<p></p>", "ICCIF-species-checked": "guaranteed", "ICCIF-species-dilution-info": "", "ICCIF-species-notes": "", "FlowCytIntra-species-checked": "guaranteed", "FlowCytIntra-species-dilution-info": "", "FlowCytIntra-species-notes": "" }, "Rat": { "IHCP-species-checked": "guaranteed", "IHCP-species-dilution-info": "", "IHCP-species-notes": "", "IP-species-checked": "guaranteed", "IP-species-dilution-info": "", "IP-species-notes": "", "WB-species-checked": "testedAndGuaranteed", "WB-species-dilution-info": "", "WB-species-notes": "<p></p>", "ICCIF-species-checked": "guaranteed", "ICCIF-species-dilution-info": "", "ICCIF-species-notes": "", "FlowCytIntra-species-checked": "guaranteed", "FlowCytIntra-species-dilution-info": "", "FlowCytIntra-species-notes": "" } } }

Product details

ab232626 is the carrier-free version of ab187149.

Patented technology
Our RabMAb® technology is a patented hybridoma-based technology for making rabbit monoclonal antibodies. For details on our patents, please refer to RabMAb® patents.

What are the advantages of a recombinant monoclonal antibody?
This product is a recombinant monoclonal antibody, which offers several advantages including:

  • - High batch-to-batch consistency and reproducibility
  • - Improved sensitivity and specificity
  • - Long-term security of supply
  • - Animal-free batch production

For more information, read more on recombinant antibodies.

Conjugation ready
Our carrier-free antibodies are typically supplied in a PBS-only formulation, purified and free of BSA, sodium azide and glycerol. This conjugation-ready format is designed for use with fluorochromes, metal isotopes, oligonucleotides, and enzymes, which makes them ideal for antibody labelling, functional and cell-based assays, flow-based assays (e.g. mass cytometry) and Multiplex Imaging applications.

Use our conjugation kits for antibody conjugates that are ready-to-use in as little as 20 minutes with 1 minute hands-on-time and 100% antibody recovery: available for fluorescent dyes, HRP, biotin and gold.

Compatibility
This product is compatible with the Maxpar® Antibody Labeling Kit from Fluidigm, without the need for antibody preparation. Maxpar® is a trademark of Fluidigm Canada Inc.

Properties and storage information

Form
Liquid
Purification technique
Affinity purification Protein A
Storage buffer
pH: 7.2 - 7.4 Constituents: PBS
Shipped at conditions
Blue Ice
Appropriate short-term storage conditions
+4°C
Appropriate long-term storage conditions
+4°C
Storage information
Do Not Freeze

Supplementary information

This supplementary information is collated from multiple sources and compiled automatically.

SMYD3 short for SET and MYND domain containing 3 is a member of the protein lysine methyltransferase family. It mainly functions as a histone methyltransferase adding methyl groups to lysine 4 on histone H3 (H3K4) and lysine 5 on histone H4 (H4K5) influencing chromatin structure and gene expression. SMYD3 has a molecular mass of approximately 56 kDa. It is widely expressed in multiple tissues but levels are higher in skeletal muscle and the heart. This broad expression indicates its potential role in various cellular functions.
Biological function summary

This methyltransferase regulates transcriptional activation by methylating histones. It acts as part of transcriptional coactivator complexes interacting with RNA polymerase II. SMYD3 modulates the expression of genes involved in cell proliferation and cancer progression. Additionally it interacts with proteins like Heat Shock Protein 90 (HSP90) and promotes the stabilization of substrate proteins. Its influence extends to non-histone proteins which suggests a wider impact on cellular signaling and structure.

Pathways

SMYD3 is involved in the MAPK (Mitogen-Activated Protein Kinase) signaling pathway an important regulator of cell differentiation proliferation and survival. It interacts with key proteins in this pathway such as ERK2 (Extracellular signal-regulated kinase 2) influencing cellular outcomes. SMYD3 also plays a role in the Wnt signaling pathway which is important for development and oncogenesis. This interaction with signaling pathways underlines its significant regulatory functions within the cell.

SMYD3 is strongly associated with cancer. Its overexpression contributes to tumorigenesis and metastasis particularly in colorectal and liver cancers. In cancer SMYD3 interacts with proteins like AKT1 promoting cancer cell survival and growth. Additionally SMYD3 has been linked to congenital heart diseases through its role in cardiac development. It interacts with cardiac transcription factors further connecting its function to heart malformations.

Product protocols

For this product, it's our understanding that no specific protocols are required. You can visit:

Target data

Histone methyltransferase. Specifically methylates 'Lys-4' of histone H3, inducing di- and tri-methylation, but not monomethylation (PubMed : 15235609, PubMed : 22419068). Also methylates 'Lys-5' of histone H4 (PubMed : 22419068). Plays an important role in transcriptional activation as a member of an RNA polymerase complex (PubMed : 15235609). Binds DNA containing 5'-CCCTCC-3' or 5'-GAGGGG-3' sequences (PubMed : 15235609).
See full target information SMYD3

Publications (1)

Recent publications for all applications. Explore the full list and refine your search

Nature metabolism 5:572-578 PubMed37037945

2023

A proteo-transcriptomic map of non-alcoholic fatty liver disease signatures.

Applications

Unspecified application

Species

Unspecified reactive species

Olivier Govaere,Megan Hasoon,Leigh Alexander,Simon Cockell,Dina Tiniakos,Mattias Ekstedt,Jörn M Schattenberg,Jerome Boursier,Elisabetta Bugianesi,Vlad Ratziu,Ann K Daly,Quentin M Anstee
View all publications

Product promise

We are committed to supporting your work with high-quality reagents, and we're here for you every step of the way. In the unlikely event that one of our products does not perform as expected, you're protected by our Product Promise.
For full details, please see our Terms & Conditions

Please note: All products are 'FOR RESEARCH USE ONLY. NOT FOR USE IN DIAGNOSTIC OR THERAPEUTIC PROCEDURES'.

For licensing inquiries, please contact partnerships@abcam.com