JavaScript is disabled in your browser. Please enable JavaScript to view this website.
AB85936

Anti-SNAIL + SLUG antibody

5

(2 Reviews)

|

(49 Publications)

Rabbit Polyclonal SNAIL antibody. Suitable for IHC-P, WB and reacts with Human, Recombinant fragment - Human samples. Cited in 49 publications.

View Alternative Names

SNAH, SNAI1, Zinc finger protein SNAI1, Protein snail homolog 1, Protein sna

2 Images
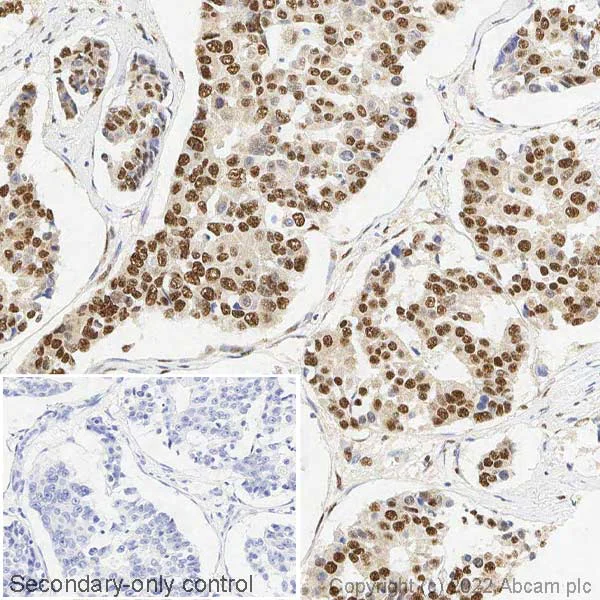
Immunohistochemistry (Formalin/PFA-fixed paraffin-embedded sections) - Anti-SNAIL + SLUG antibody (AB85936)
  • IHC-P

Lab

Immunohistochemistry (Formalin/PFA-fixed paraffin-embedded sections) - Anti-SNAIL + SLUG antibody (AB85936)

IHC image of SNAIL + SLUG staining in a section of formalin-fixed paraffin-embedded normal human breast carcinoma* performed on a Leica BOND™ system using the standard protocol F. The section was pre-treated using heat mediated antigen retrieval with sodium citrate buffer (pH6, epitope retrieval solution 1) for 20mins. The section was then incubated with ab85936, 1ug/ml, for 15 mins at room temperature and detected using an HRP conjugated compact polymer system. DAB was used as the chromogen. The section was then counterstained with haematoxylin and mounted with DPX. The inset secondary-only control image is taken from an identical assay without primary antibody.

*Tissue obtained from the Human Research Tissue Bank, supported by the NIHR Cambridge Biomedical Research Centre

For other IHC staining systems (automated and non-automated) customers should optimize variable parameters such as antigen retrieval conditions, primary antibody concentration and antibody incubation times.

Western blot - Anti-SNAIL + SLUG antibody (AB85936)
  • WB

Project

Western blot - Anti-SNAIL + SLUG antibody (AB85936)

Please note this antibody has only been shown to detect recombinant protein and we are unable to detect endogenous protein by western blot, in our lab. Please contact our scientific support services if you have any queries regarding this antibody.

All lanes:

Western blot - Anti-SNAIL + SLUG antibody (ab85936) at 1 µg/mL

Lane 1:

SLUG (SNAI2) Human - GST Tagged Recombinant Protein at 0.1 µg

Lane 2:

SNAIL (SNAI1) - GST Tagged Recombinant Protein at 0.1 µg

Secondary

All lanes:

Western blot - Goat Anti-Rabbit IgG H&L (HRP) preadsorbed (<a href='/en-us/products/secondary-antibodies/goat-rabbit-igg-h-l-hrp-preadsorbed-ab97080'>ab97080</a>) at 1/5000 dilution

true

Exposure time: 30s

Key facts

Host species

Rabbit

Clonality

Polyclonal

Isotype

IgG

Carrier free

No

Reacts with

Human

Applications

WB, IHC-P

applications

Immunogen

The exact immunogen used to generate this antibody is proprietary information.

Specificity

Replenishment batches of ab85936 are tested in WB. Previous batches were additionally validated in IHC-P. This application is still expected to work and is covered by our Abpromise guarantee.

Reactivity data

{ "title": "Reactivity Data", "filters": { "stats": ["", "Species", "Dilution Info", "Notes"], "tabs": { "all-applications": {"fullname" : "All Applications", "shortname": "All Applications"}, "IHCP" : {"fullname" : "Immunohistochemistry (Formalin/PFA-fixed paraffin-embedded sections)", "shortname":"IHC-P"}, "WB" : {"fullname" : "Western blot", "shortname":"WB"} }, "product-promise": { "all": "all", "testedAndGuaranteed": "tested", "guaranteed": "expected", "predicted": "predicted", "notRecommended": "not-recommended" } }, "values": { "Human": { "IHCP-species-checked": "testedAndGuaranteed", "IHCP-species-dilution-info": "1 µg/mL", "IHCP-species-notes": "<p></p> Perform heat-mediated antigen retrieval with citrate buffer pH 6 before commencing with IHC staining protocol.", "WB-species-checked": "guaranteed", "WB-species-dilution-info": "", "WB-species-notes": "" }, "Mouse": { "IHCP-species-checked": "notRecommended", "IHCP-species-dilution-info": "", "IHCP-species-notes": "<p></p>", "WB-species-checked": "notRecommended", "WB-species-dilution-info": "", "WB-species-notes": "<p>Please note this antibody has only been shown to detect recombinant protein and we are unable to detect endogenous protein by western blot, in our lab. Please contact our scientific support services if you have any queries regarding this antibody.</p>" }, "Rat": { "IHCP-species-checked": "notRecommended", "IHCP-species-dilution-info": "", "IHCP-species-notes": "", "WB-species-checked": "notRecommended", "WB-species-dilution-info": "", "WB-species-notes": "" }, "Recombinant fragment - Human": { "IHCP-species-checked": "notRecommended", "IHCP-species-dilution-info": "", "IHCP-species-notes": "", "WB-species-checked": "testedAndGuaranteed", "WB-species-dilution-info": "1 µg/mL", "WB-species-notes": "<p>Please note this antibody has only been shown to detect recombinant protein and we are unable to detect endogenous protein by western blot, in our lab. Please contact our scientific support services if you have any queries regarding this antibody.</p>" } } }

Product details

Batches sold under ab85936 have passed QC testing in Western Blot (Recombinant only) and IHC. In our hands, this product did not work in ICC/IF. For further information please contact our Customer Services team.

Properties and storage information

Form
Liquid
Purification technique
Affinity purification Immunogen
Storage buffer
pH: 7.4 Preservative: 0.02% Sodium azide Constituents: PBS, 1% BSA
Shipped at conditions
Blue Ice
Appropriate short-term storage duration
1-2 weeks
Appropriate short-term storage conditions
+4°C
Appropriate long-term storage conditions
-20°C
Aliquoting information
Upon delivery aliquot
Storage information
Avoid freeze / thaw cycle

Supplementary information

This supplementary information is collated from multiple sources and compiled automatically.

SNAIL and SLUG also known as Snai1 and Snai2 are zinc finger transcription factors important in the regulation of epithelial-mesenchymal transition (EMT). These proteins are expressed mainly in various developing tissues and tumors. The molecular weight of SNAIL is approximately 29 kDa while SLUG typically has a mass around 30 kDa. These factors function within the nucleus binding to E-box sequences in DNA to repress the transcription of epithelial markers.
Biological function summary

SNAIL and SLUG operate as vital regulators of cell motility and invasion by modulating gene expression. They do not work alone; they participate as components of a complex with other EMT-inducing transcription factors including TWIST and ZEB. These factors suppress E-cadherin and other adhesion molecules which facilitates the disassembly of tight junctions between cells promoting a mesenchymal phenotype that is more migratory and invasive.

Pathways

These transcription factors play key roles in both the TGF-beta and Wnt signaling pathways. In the TGF-beta pathway SNAIL and SLUG regulate gene expression to support EMT affecting processes in development and cancer progression. Within the Wnt pathway these factors interact with beta-catenin impacting cell cycle regulation and supporting cells' transition between epithelial and mesenchymal states a critical step in tumor metastasis.

SNAIL and SLUG significantly relate to cancer and fibrosis. In cancer their interaction with proteins such as ZEB and TWIST is important for the metastasis of carcinoma cells. In fibrosis these transcription factors link to TGF-beta-induced fibroblast activation contributing to tissue scarring. The dysregulation of SNAIL and SLUG often serves as an indicator of poor prognosis due to their roles in promoting invasive and metastatic properties in cancer.

Product protocols

For this product, it's our understanding that no specific protocols are required. You can visit:

Target data

Involved in induction of the epithelial to mesenchymal transition (EMT), formation and maintenance of embryonic mesoderm, growth arrest, survival and cell migration (PubMed : 10655587, PubMed : 15647282, PubMed : 20389281, PubMed : 20562920, PubMed : 21952048, PubMed : 25827072). Binds to 3 E-boxes of the E-cadherin/CDH1 gene promoter and to the promoters of CLDN7 and KRT8 and, in association with histone demethylase KDM1A which it recruits to the promoters, causes a decrease in dimethylated H3K4 levels and represses transcription (PubMed : 10655587, PubMed : 20389281, PubMed : 20562920). The N-terminal SNAG domain competes with histone H3 for the same binding site on the histone demethylase complex formed by KDM1A and RCOR1, and thereby inhibits demethylation of histone H3 at 'Lys-4' (in vitro) (PubMed : 20389281, PubMed : 21300290, PubMed : 23721412). During EMT, involved with LOXL2 in negatively regulating pericentromeric heterochromatin transcription (PubMed : 16096638). SNAI1 recruits LOXL2 to pericentromeric regions to oxidize histone H3 and repress transcription which leads to release of heterochromatin component CBX5/HP1A, enabling chromatin reorganization and acquisition of mesenchymal traits (By similarity). Associates with EGR1 and SP1 to mediate tetradecanoyl phorbol acetate (TPA)-induced up-regulation of CDKN2B, possibly by binding to the CDKN2B promoter region 5'-TCACA-3 (PubMed : 20121949). In addition, may also activate the CDKN2B promoter by itself (PubMed : 20121949).
See full target information SNAI1

Additional targets

SNAI2

Publications (49)

Recent publications for all applications. Explore the full list and refine your search

Advanced science (Weinheim, Baden-Wurttemberg, Germany) 12:e2417605 PubMed40349174

2025

SCORT-Cas13d Nanotherapy Precisely Targets the 'Undruggable' Transcription Factor HoxB13 in Metastatic Prostate Cancer In Vivo.

Applications

Unspecified application

Species

Unspecified reactive species

Zhifen Cui,Furong Huang,Kun Fang,Jingyue Yan,Yuebao Zhang,Diana D Kang,Yufan Zhou,Yue Zhao,Jeffrey I Everitt,William Hankey,Andrew J Armstrong,Jiaoti Huang,Hongyan Wang,Victor X Jin,Yizhou Dong,Qianben Wang

Scientific reports 15:12172 PubMed40204777

2025

Long-term expansion of basal cells and the novel differentiation methods identify mechanisms for switching Claudin expression in normal epithelia.

Applications

Unspecified application

Species

Unspecified reactive species

Akihito Inoko,Norihito Soga,Minako Suzuki,Tohru Kiyono,Junichi Ikenouchi,Takahiro Kojima,Yoshikatsu Sato,Daisuke Saito,Tatsuo Miyamoto,Naoki Goshima,Hideaki Ito,Kenji Kasai

iScience 27:110544 PubMed39206147

2024

Proteogenomic characterization of pancreatic neuroendocrine tumors uncovers hypoxia and immune signatures in clinically aggressive subtypes.

Applications

Unspecified application

Species

Unspecified reactive species

Atsushi Tanaka,Makiko Ogawa,Yihua Zhou,Yusuke Otani,Ronald C Hendrickson,Matthew M Miele,Zhuoning Li,David S Klimstra,Julia Y Wang,Michael H Roehrl

Journal of experimental & clinical cancer research : CR 43:208 PubMed39061061

2024

SLC14A1 and TGF-β signaling: a feedback loop driving EMT and colorectal cancer metachronous liver metastasis.

Applications

Unspecified application

Species

Unspecified reactive species

Yixun Zhang,Yumeng Yang,Xuan Qi,Peng Cui,Yi Kang,Haiyi Liu,Zhigang Wei,Haibo Wang

Clinical and translational medicine 14:e1632 PubMed38515278

2024

PROM2 overexpression induces metastatic potential through epithelial-to-mesenchymal transition and ferroptosis resistance in human cancers.

Applications

Unspecified application

Species

Unspecified reactive species

Justine Paris,Claire Wilhelm,Celeste Lebbé,Mohammed Elmallah,Frédéric Pamoukdjian,Audrey Héraud,Guillaume Gapihan,Aurore Van De Walle,Van Nhan Tran,Diaddin Hamdan,Clara Allayous,Maxime Battistella,Emmanuel Van Glabeke,Kah Wai Lim,Christophe Leboeuf,Sébastien Roger,Géraldine Falgarone,Anh Tuan Phan,Guilhem Bousquet

Cell reports 43:113810 PubMed38377004

2024

Proteogenomic characterization of primary colorectal cancer and metastatic progression identifies proteome-based subtypes and signatures.

Applications

Unspecified application

Species

Unspecified reactive species

Atsushi Tanaka,Makiko Ogawa,Yihua Zhou,Kei Namba,Ronald C Hendrickson,Matthew M Miele,Zhuoning Li,David S Klimstra,Patrick G Buckley,Jeffrey Gulcher,Julia Y Wang,Michael H A Roehrl

Science advances 10:eadi1736 PubMed38354248

2024

Cooperative pro-tumorigenic adaptation to oncogenic RAS through epithelial-to-mesenchymal plasticity.

Applications

Unspecified application

Species

Unspecified reactive species

Hadrien De Blander,Laurie Tonon,Frédérique Fauvet,Roxane M Pommier,Christelle Lamblot,Rahma Benhassoun,Francesca Angileri,Benjamin Gibert,Raphaël Rodriguez,Maria Ouzounova,Anne-Pierre Morel,Alain Puisieux

International journal of oncology 64: PubMed38063205

2023

mA‑modified HOXC10 promotes HNSCC progression via co‑activation of ADAM17/EGFR and Wnt/β‑catenin signaling.

Applications

Unspecified application

Species

Unspecified reactive species

Yujuan Zhou,Qiang Huang,Chunping Wu,Ye Xu,Yang Guo,Xiaohui Yuan,Chengzhi Xu,Liang Zhou

PloS one 18:e0291693 PubMed37751436

2023

Suppression of migration and invasion by taraxerol in the triple-negative breast cancer cell line MDA-MB-231 via the ERK/Slug axis.

Applications

Unspecified application

Species

Unspecified reactive species

Yu-Ting Xia,Yu-Qin Zhang,Lu Chen,Liangliang Min,Da Huang,Yulu Zhang,Cong Li,Zhi-Hua Li

Scientific reports 13:5492 PubMed37015949

2023

Indwelling stents cause severe inflammation and fibrosis of the ureter via urothelial-mesenchymal transition.

Applications

Unspecified application

Species

Unspecified reactive species

Alina Reicherz,Felipe Eltit,Kymora Scotland,Khaled Almutairi,Robert Bell,Bita Mojtahedzadeh,Michael Cox,Ben Chew,Dirk Lange
View all publications

Product promise

We are committed to supporting your work with high-quality reagents, and we're here for you every step of the way. In the unlikely event that one of our products does not perform as expected, you're protected by our Product Promise.
For full details, please see our Terms & Conditions

Please note: All products are 'FOR RESEARCH USE ONLY. NOT FOR USE IN DIAGNOSTIC OR THERAPEUTIC PROCEDURES'.

For licensing inquiries, please contact partnerships@abcam.com