JavaScript is disabled in your browser. Please enable JavaScript to view this website.
AB224731

Anti-SNAIL + SLUG antibody [CL3700] - N-terminal

Be the first to review this product! Submit a review

|

(12 Publications)

Mouse Monoclonal SNAIL antibody. N-terminal. Suitable for IHC-P, ICC/IF and reacts with Human samples. Cited in 12 publications. Immunogen corresponding to Recombinant Fragment Protein within Human SNAI1 aa 1-50.

View Alternative Names

SNAH, SNAI1, Zinc finger protein SNAI1, Protein snail homolog 1, Protein sna

8 Images
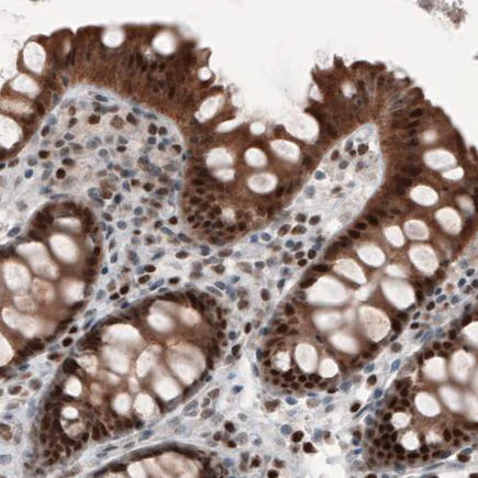
Immunohistochemistry (Formalin/PFA-fixed paraffin-embedded sections) - Anti-SNAIL + SLUG antibody [CL3700] - N-terminal (AB224731)
  • IHC-P

Supplier Data

Immunohistochemistry (Formalin/PFA-fixed paraffin-embedded sections) - Anti-SNAIL + SLUG antibody [CL3700] - N-terminal (AB224731)

Paraffin-embedded human colon tissue stained for SNAIL using ab224731 at 1/5000 dilution in immunohistochemical analysis.

Immunohistochemistry (Formalin/PFA-fixed paraffin-embedded sections) - Anti-SNAIL + SLUG antibody [CL3700] - N-terminal (AB224731)
  • IHC-P

Supplier Data

Immunohistochemistry (Formalin/PFA-fixed paraffin-embedded sections) - Anti-SNAIL + SLUG antibody [CL3700] - N-terminal (AB224731)

Paraffin-embedded human cortex tissue stained for SNAIL using ab224731 at 1/5000 dilution in immunohistochemical analysis.

Immunohistochemistry (Formalin/PFA-fixed paraffin-embedded sections) - Anti-SNAIL + SLUG antibody [CL3700] - N-terminal (AB224731)
  • IHC-P

Unknown

Immunohistochemistry (Formalin/PFA-fixed paraffin-embedded sections) - Anti-SNAIL + SLUG antibody [CL3700] - N-terminal (AB224731)

Paraffin-embedded human breast cancer tissue stained for SNAIL using ab224731 at 1/5000 dilution in immunohistochemical analysis.

Immunohistochemistry (Formalin/PFA-fixed paraffin-embedded sections) - Anti-SNAIL + SLUG antibody [CL3700] - N-terminal (AB224731)
  • IHC-P

Supplier Data

Immunohistochemistry (Formalin/PFA-fixed paraffin-embedded sections) - Anti-SNAIL + SLUG antibody [CL3700] - N-terminal (AB224731)

Paraffin-embedded human fallopian tube tissue stained for SNAIL using ab224731 at 1/5000 dilution in immunohistochemical analysis.

Immunocytochemistry/ Immunofluorescence - Anti-SNAIL + SLUG antibody [CL3700] - N-terminal (AB224731)
  • ICC/IF

Supplier Data

Immunocytochemistry/ Immunofluorescence - Anti-SNAIL + SLUG antibody [CL3700] - N-terminal (AB224731)

PFA-fixed, Triton X-100 permeabilized BeWo cells stained for SNAI1 (Green) using ab224731 at 4 μg/ml in ICC/IF.

Microtublues are stained red.

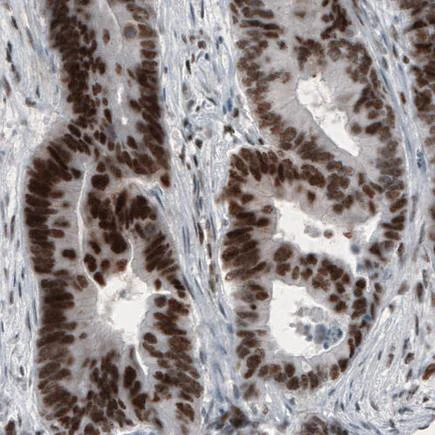
Immunohistochemistry (Formalin/PFA-fixed paraffin-embedded sections) - Anti-SNAIL + SLUG antibody [CL3700] - N-terminal (AB224731)
  • IHC-P

Supplier Data

Immunohistochemistry (Formalin/PFA-fixed paraffin-embedded sections) - Anti-SNAIL + SLUG antibody [CL3700] - N-terminal (AB224731)

Paraffin-embedded human colorectal cancer tissue stained for SNAIL using ab224731 at 1/5000 dilution in immunohistochemical analysis.

Immunohistochemistry (Formalin/PFA-fixed paraffin-embedded sections) - Anti-SNAIL + SLUG antibody [CL3700] - N-terminal (AB224731)
  • IHC-P

Supplier Data

Immunohistochemistry (Formalin/PFA-fixed paraffin-embedded sections) - Anti-SNAIL + SLUG antibody [CL3700] - N-terminal (AB224731)

Paraffin-embedded human testis tissue stained for SNAIL using ab224731 at 1/5000 dilution in immunohistochemical analysis.

Immunohistochemistry (Formalin/PFA-fixed paraffin-embedded sections) - Anti-SNAIL + SLUG antibody [CL3700] - N-terminal (AB224731)
  • IHC-P

Supplier Data

Immunohistochemistry (Formalin/PFA-fixed paraffin-embedded sections) - Anti-SNAIL + SLUG antibody [CL3700] - N-terminal (AB224731)

Paraffin-embedded human prostate tissue stained for SNAIL using ab224731 at 1/5000 dilution in immunohistochemical analysis.

Key facts

Host species

Mouse

Clonality

Monoclonal

Clone number

CL3700

Isotype

IgG1

Carrier free

No

Reacts with

Human

Applications

IHC-P, ICC/IF

applications

Immunogen

Recombinant Fragment Protein within Human SNAI1 aa 1-50. The exact immunogen used to generate this antibody is proprietary information.

O95863

Reactivity data

{ "title": "Reactivity Data", "filters": { "stats": ["", "Species", "Dilution Info", "Notes"], "tabs": { "all-applications": {"fullname" : "All Applications", "shortname": "All Applications"}, "IHCP" : {"fullname" : "Immunohistochemistry (Formalin/PFA-fixed paraffin-embedded sections)", "shortname":"IHC-P"}, "ICCIF" : {"fullname" : "Immunocytochemistry/ Immunofluorescence", "shortname":"ICC/IF"} }, "product-promise": { "all": "all", "testedAndGuaranteed": "tested", "guaranteed": "expected", "predicted": "predicted", "notRecommended": "not-recommended" } }, "values": { "Human": { "IHCP-species-checked": "testedAndGuaranteed", "IHCP-species-dilution-info": "1/5000 - 1/10000", "IHCP-species-notes": "<p></p> Perform heat-mediated antigen retrieval with citrate buffer pH 6 before commencing with IHC staining protocol.", "ICCIF-species-checked": "testedAndGuaranteed", "ICCIF-species-dilution-info": "2-10 µg/mL", "ICCIF-species-notes": "<p>Fixation/Permeabilization: PFA/Triton X-100</p>" }, "Mouse": { "IHCP-species-checked": "predicted", "IHCP-species-dilution-info": "", "IHCP-species-notes": "", "ICCIF-species-checked": "predicted", "ICCIF-species-dilution-info": "", "ICCIF-species-notes": "" } } }

Properties and storage information

Form
Liquid
Purification technique
Affinity purification Protein A
Purification notes
Purified from TCS.
Storage buffer
pH: 7.2 Preservative: 0.02% Sodium azide Constituents: PBS, 40% Glycerol (glycerin, glycerine)
Shipped at conditions
Blue Ice
Appropriate short-term storage duration
1-2 weeks
Appropriate short-term storage conditions
+4°C
Appropriate long-term storage conditions
-20°C
Aliquoting information
Upon delivery aliquot
Storage information
Avoid freeze / thaw cycle

Supplementary information

This supplementary information is collated from multiple sources and compiled automatically.

SNAIL and SLUG also known as Snai1 and Snai2 are zinc finger transcription factors important in the regulation of epithelial-mesenchymal transition (EMT). These proteins are expressed mainly in various developing tissues and tumors. The molecular weight of SNAIL is approximately 29 kDa while SLUG typically has a mass around 30 kDa. These factors function within the nucleus binding to E-box sequences in DNA to repress the transcription of epithelial markers.
Biological function summary

SNAIL and SLUG operate as vital regulators of cell motility and invasion by modulating gene expression. They do not work alone; they participate as components of a complex with other EMT-inducing transcription factors including TWIST and ZEB. These factors suppress E-cadherin and other adhesion molecules which facilitates the disassembly of tight junctions between cells promoting a mesenchymal phenotype that is more migratory and invasive.

Pathways

These transcription factors play key roles in both the TGF-beta and Wnt signaling pathways. In the TGF-beta pathway SNAIL and SLUG regulate gene expression to support EMT affecting processes in development and cancer progression. Within the Wnt pathway these factors interact with beta-catenin impacting cell cycle regulation and supporting cells' transition between epithelial and mesenchymal states a critical step in tumor metastasis.

SNAIL and SLUG significantly relate to cancer and fibrosis. In cancer their interaction with proteins such as ZEB and TWIST is important for the metastasis of carcinoma cells. In fibrosis these transcription factors link to TGF-beta-induced fibroblast activation contributing to tissue scarring. The dysregulation of SNAIL and SLUG often serves as an indicator of poor prognosis due to their roles in promoting invasive and metastatic properties in cancer.

Product protocols

For this product, it's our understanding that no specific protocols are required. You can visit:

Target data

Involved in induction of the epithelial to mesenchymal transition (EMT), formation and maintenance of embryonic mesoderm, growth arrest, survival and cell migration (PubMed : 10655587, PubMed : 15647282, PubMed : 20389281, PubMed : 20562920, PubMed : 21952048, PubMed : 25827072). Binds to 3 E-boxes of the E-cadherin/CDH1 gene promoter and to the promoters of CLDN7 and KRT8 and, in association with histone demethylase KDM1A which it recruits to the promoters, causes a decrease in dimethylated H3K4 levels and represses transcription (PubMed : 10655587, PubMed : 20389281, PubMed : 20562920). The N-terminal SNAG domain competes with histone H3 for the same binding site on the histone demethylase complex formed by KDM1A and RCOR1, and thereby inhibits demethylation of histone H3 at 'Lys-4' (in vitro) (PubMed : 20389281, PubMed : 21300290, PubMed : 23721412). During EMT, involved with LOXL2 in negatively regulating pericentromeric heterochromatin transcription (PubMed : 16096638). SNAI1 recruits LOXL2 to pericentromeric regions to oxidize histone H3 and repress transcription which leads to release of heterochromatin component CBX5/HP1A, enabling chromatin reorganization and acquisition of mesenchymal traits (By similarity). Associates with EGR1 and SP1 to mediate tetradecanoyl phorbol acetate (TPA)-induced up-regulation of CDKN2B, possibly by binding to the CDKN2B promoter region 5'-TCACA-3 (PubMed : 20121949). In addition, may also activate the CDKN2B promoter by itself (PubMed : 20121949).
See full target information SNAI1

Additional targets

SNAI2

Publications (12)

Recent publications for all applications. Explore the full list and refine your search

Cancer medicine 13:e70412 PubMed39629744

2024

FAM3C Regulates Glioma Cell Proliferation, Invasion, Apoptosis, and Epithelial Mesenchymal Transition via the Notch Pathway.

Applications

Unspecified application

Species

Unspecified reactive species

Xiaochao Xia,Zihao Wang,Lvmeng Song,Yinchuan Cheng,Ping Xiong,Shun Li

Cell death & disease 15:218 PubMed38490994

2024

TGF-β-driven LIF expression influences neutrophil extracellular traps (NETs) and contributes to peritoneal metastasis in gastric cancer.

Applications

Unspecified application

Species

Unspecified reactive species

Fangbin Zhang,Yan Yan,Xinguang Cao,Changqing Guo,Ke Wang,Shuai Lv

Biomedical reports 19:69 PubMed37719680

2023

Knockdown of ABHD11‑AS1 prevents the procession of TNBC by upregulating miR‑199a‑5p.

Applications

Unspecified application

Species

Unspecified reactive species

Ying Dong,Ting Zhang,Shengwen Shao,Xining Li,Peiyu Jiang,Yue Guo,Donghua Gu

Oxidative medicine and cellular longevity 2022:1030238 PubMed36589681

2022

Inositol Alleviates Pulmonary Fibrosis by Promoting Autophagy via Inhibiting the HIF-1-SLUG Axis in Acute Respiratory Distress Syndrome.

Applications

Unspecified application

Species

Unspecified reactive species

Yufeng Liang,Yingyi Xu,Bingtai Lu,Yuanming Huang,Shuman Xu,Junjie Xie,Ming Liu,Di Che,Liuheyi Ma,Jianping Tao,Jie Hong,Jianhui Zhang,Xun Situ,XinXu Ou,Lihe Chen,Yang Li,Lihong Zhang,Zhiyuan Wu

Frontiers in genetics 13:926282 PubMed36134026

2022

Comprehensive analysis of transcriptome characteristics and identification of as a potential biomarker in dermatofibrosarcoma protuberans.

Applications

Unspecified application

Species

Unspecified reactive species

Xiao Zhang,Di Sun,Haiyan Zheng,Yamin Rao,Yuqi Deng,Xiao Liang,Jun Chen,Jun Yang

Environmental toxicology 37:2540-2551 PubMed35841383

2022

LOXL3-promoted hepatocellular carcinoma progression via promotion of Snail1/USP4-mediated epithelial-mesenchymal transition.

Applications

Unspecified application

Species

Unspecified reactive species

Rong Li,Runze Shang,Shunle Li,Yifan Ren,Lin Shen,Longbao Yang,Shuo Chen,Xi Chen,Junhui Li,Meng Xu

Nature cell biology 24:896-905 PubMed35681009

2022

Mechanical force application to the nucleus regulates nucleocytoplasmic transport.

Applications

Unspecified application

Species

Unspecified reactive species

Ion Andreu,Ignasi Granero-Moya,Nimesh R Chahare,Kessem Clein,Marc Molina-Jordán,Amy E M Beedle,Alberto Elosegui-Artola,Juan F Abenza,Leone Rossetti,Xavier Trepat,Barak Raveh,Pere Roca-Cusachs

Bioengineered 13:11668-11683 PubMed35510522

2022

Curcumol enhances cisplatin sensitivity of gastric cancer: involvement of and the nuclear factor-kappa B/snail family transcriptional repressor 1 axis.

Applications

Unspecified application

Species

Unspecified reactive species

Ying Hu,Ruitong Xu,Jinxia Ma,Zhanpeng Yan,Jun Ma

Nanoscale 14:2617-2627 PubMed35133394

2022

Revealing the heterogeneity in neuroblastoma cells nanopillar-guided subnuclear deformation.

Applications

Unspecified application

Species

Unspecified reactive species

Yongpeng Zeng,Priya Dharshana Ramani,Weibo Gao,Wenting Zhao

Cell death and differentiation 29:861-873 PubMed34974534

2022

O-GlcNAcylation of MORC2 at threonine 556 by OGT couples TGF-β signaling to breast cancer progression.

Applications

Unspecified application

Species

Unspecified reactive species

Ying-Ying Liu,Hong-Yi Liu,Tian-Jian Yu,Qin Lu,Fang-Lin Zhang,Guang-Yu Liu,Zhi-Ming Shao,Da-Qiang Li
View all publications

Product promise

We are committed to supporting your work with high-quality reagents, and we're here for you every step of the way. In the unlikely event that one of our products does not perform as expected, you're protected by our Product Promise.
For full details, please see our Terms & Conditions

Please note: All products are 'FOR RESEARCH USE ONLY. NOT FOR USE IN DIAGNOSTIC OR THERAPEUTIC PROCEDURES'.

For licensing inquiries, please contact partnerships@abcam.com