JavaScript is disabled in your browser. Please enable JavaScript to view this website.
AB228880

Anti-SNAP25 antibody

Be the first to review this product! Submit a review

|

(1 Publication)

Rabbit Polyclonal SNAP25 antibody. Suitable for WB, IHC-P, ICC/IF, IHC-Fr and reacts with Mouse, Rat, Human samples. Cited in 1 publication. Immunogen corresponding to Recombinant Fragment Protein within Human SNAP25.

View Alternative Names

SNAP, SNAP25, Synaptosomal-associated protein 25, SNAP-25, Super protein, Synaptosomal-associated 25 kDa protein, SUP

7 Images
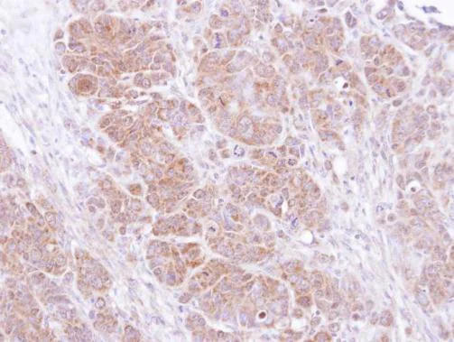
Immunohistochemistry (Formalin/PFA-fixed paraffin-embedded sections) - Anti-SNAP25 antibody (AB228880)
  • IHC-P

Supplier Data

Immunohistochemistry (Formalin/PFA-fixed paraffin-embedded sections) - Anti-SNAP25 antibody (AB228880)

Paraffin-embedded SW480 (human) xenograft tissue stained for SNAP25 using ab228880 at 1/100 dilution in immunohistochemical analysis.

Immunohistochemistry (Formalin/PFA-fixed paraffin-embedded sections) - Anti-SNAP25 antibody (AB228880)
  • IHC-P

Supplier Data

Immunohistochemistry (Formalin/PFA-fixed paraffin-embedded sections) - Anti-SNAP25 antibody (AB228880)

Paraffin-embedded rat hind brain tissue stained for SNAP25 using ab228880 at 1/500 dilution in immunohistochemical analysis.

Immunohistochemistry (Frozen sections) - Anti-SNAP25 antibody (AB228880)
  • IHC-Fr

Supplier Data

Immunohistochemistry (Frozen sections) - Anti-SNAP25 antibody (AB228880)

Frozen sectioned E13.5 rat brain tissue stained for SNAP25 using ab228880 at 1/250 dilution in immunohistochemical analysis (green).

The nuclear counterstain is DAPI (blue). Beta Tubulin 3, a mature neuron marker, is detected with a beta Tubulin 3 antibody at 1/500 dilution (red).

Immunocytochemistry/ Immunofluorescence - Anti-SNAP25 antibody (AB228880)
  • ICC/IF

Supplier Data

Immunocytochemistry/ Immunofluorescence - Anti-SNAP25 antibody (AB228880)

4% paraformaldehyde-fixed DIV9 rat E18 primary cortical neurons cells stained for SNAP25 (green) using ab228880 at 1/500 dilution in ICC/IF.

Nuclear counterstain : DAPI (blue). Beta Tubulin 3, a mature neuron marker, is detected with a beta Tubulin 3 antibody at 1/500 dilution (red).

Immunohistochemistry (Formalin/PFA-fixed paraffin-embedded sections) - Anti-SNAP25 antibody (AB228880)
  • IHC-P

Supplier Data

Immunohistochemistry (Formalin/PFA-fixed paraffin-embedded sections) - Anti-SNAP25 antibody (AB228880)

Paraffin-embedded mouse fore brain tissue stained for SNAP25 using ab228880 at 1/500 dilution in immunohistochemical analysis.

Western blot - Anti-SNAP25 antibody (AB228880)
  • WB

Supplier Data

Western blot - Anti-SNAP25 antibody (AB228880)

Samples were separated by 12% SDS-PAGE.

All lanes:

Western blot - Anti-SNAP25 antibody (ab228880) at 1/5000 dilution

Lane 1:

U87-MG whole cell extracts at 30 µg

Lane 2:

SK-N-SH whole cell extracts at 30 µg

Lane 3:

IMR32 whole cell extracts at 30 µg

Lane 4:

SK-N-AS whole cell extracts at 30 µg

Secondary

All lanes:

HRP-conjugated anti-rabbit IgG

Predicted band size: 23 kDa

false

Western blot - Anti-SNAP25 antibody (AB228880)
  • WB

Supplier Data

Western blot - Anti-SNAP25 antibody (AB228880)

Samples were separated by 12% SDS-PAGE.

All lanes:

Western blot - Anti-SNAP25 antibody (ab228880) at 1/1000 dilution

Lane 1:

Mouse brain tissue extracts at 50 µg

Lane 2:

Rat brain tissue extracts at 50 µg

Secondary

All lanes:

HRP-conjugated anti-rabbit IgG

Predicted band size: 23 kDa

false

Key facts

Host species

Rabbit

Clonality

Polyclonal

Isotype

IgG

Carrier free

No

Reacts with

Mouse, Rat, Human

Applications

WB, ICC/IF, IHC-P, IHC-Fr

applications

Immunogen

Recombinant Fragment Protein within Human SNAP25. The exact immunogen used to generate this antibody is proprietary information.

P60880

Reactivity data

{ "title": "Reactivity Data", "filters": { "stats": ["", "Species", "Dilution Info", "Notes"], "tabs": { "all-applications": {"fullname" : "All Applications", "shortname": "All Applications"}, "WB" : {"fullname" : "Western blot", "shortname":"WB"}, "IHCP" : {"fullname" : "Immunohistochemistry (Formalin/PFA-fixed paraffin-embedded sections)", "shortname":"IHC-P"}, "ICCIF" : {"fullname" : "Immunocytochemistry/ Immunofluorescence", "shortname":"ICC/IF"}, "IHCFr" : {"fullname" : "Immunohistochemistry (Frozen sections)", "shortname":"IHC-Fr"} }, "product-promise": { "all": "all", "testedAndGuaranteed": "tested", "guaranteed": "expected", "predicted": "predicted", "notRecommended": "not-recommended" } }, "values": { "Human": { "WB-species-checked": "testedAndGuaranteed", "WB-species-dilution-info": "1/500 - 1/3000", "WB-species-notes": "<p></p>", "IHCP-species-checked": "testedAndGuaranteed", "IHCP-species-dilution-info": "1/100 - 1/1000", "IHCP-species-notes": "<p></p>", "ICCIF-species-checked": "guaranteed", "ICCIF-species-dilution-info": "", "ICCIF-species-notes": "", "IHCFr-species-checked": "guaranteed", "IHCFr-species-dilution-info": "", "IHCFr-species-notes": "" }, "Mouse": { "WB-species-checked": "testedAndGuaranteed", "WB-species-dilution-info": "1/500 - 1/3000", "WB-species-notes": "<p></p>", "IHCP-species-checked": "testedAndGuaranteed", "IHCP-species-dilution-info": "1/100 - 1/1000", "IHCP-species-notes": "<p></p>", "ICCIF-species-checked": "guaranteed", "ICCIF-species-dilution-info": "", "ICCIF-species-notes": "", "IHCFr-species-checked": "guaranteed", "IHCFr-species-dilution-info": "", "IHCFr-species-notes": "" }, "Rat": { "WB-species-checked": "testedAndGuaranteed", "WB-species-dilution-info": "1/500 - 1/3000", "WB-species-notes": "<p></p>", "IHCP-species-checked": "testedAndGuaranteed", "IHCP-species-dilution-info": "1/100 - 1/1000", "IHCP-species-notes": "<p></p>", "ICCIF-species-checked": "testedAndGuaranteed", "ICCIF-species-dilution-info": "1/100 - 1/1000", "ICCIF-species-notes": "<p></p>", "IHCFr-species-checked": "testedAndGuaranteed", "IHCFr-species-dilution-info": "1/100 - 1/1000", "IHCFr-species-notes": "<p></p>" }, "Chicken": { "WB-species-checked": "predicted", "WB-species-dilution-info": "", "WB-species-notes": "", "IHCP-species-checked": "predicted", "IHCP-species-dilution-info": "", "IHCP-species-notes": "", "ICCIF-species-checked": "predicted", "ICCIF-species-dilution-info": "", "ICCIF-species-notes": "", "IHCFr-species-checked": "predicted", "IHCFr-species-dilution-info": "", "IHCFr-species-notes": "" }, "Chimpanzee": { "WB-species-checked": "predicted", "WB-species-dilution-info": "", "WB-species-notes": "", "IHCP-species-checked": "predicted", "IHCP-species-dilution-info": "", "IHCP-species-notes": "", "ICCIF-species-checked": "predicted", "ICCIF-species-dilution-info": "", "ICCIF-species-notes": "", "IHCFr-species-checked": "predicted", "IHCFr-species-dilution-info": "", "IHCFr-species-notes": "" }, "Cow": { "WB-species-checked": "predicted", "WB-species-dilution-info": "", "WB-species-notes": "", "IHCP-species-checked": "predicted", "IHCP-species-dilution-info": "", "IHCP-species-notes": "", "ICCIF-species-checked": "predicted", "ICCIF-species-dilution-info": "", "ICCIF-species-notes": "", "IHCFr-species-checked": "predicted", "IHCFr-species-dilution-info": "", "IHCFr-species-notes": "" }, "Rhesus monkey": { "WB-species-checked": "predicted", "WB-species-dilution-info": "", "WB-species-notes": "", "IHCP-species-checked": "predicted", "IHCP-species-dilution-info": "", "IHCP-species-notes": "", "ICCIF-species-checked": "predicted", "ICCIF-species-dilution-info": "", "ICCIF-species-notes": "", "IHCFr-species-checked": "predicted", "IHCFr-species-dilution-info": "", "IHCFr-species-notes": "" }, "Xenopus laevis": { "WB-species-checked": "predicted", "WB-species-dilution-info": "", "WB-species-notes": "", "IHCP-species-checked": "predicted", "IHCP-species-dilution-info": "", "IHCP-species-notes": "", "ICCIF-species-checked": "predicted", "ICCIF-species-dilution-info": "", "ICCIF-species-notes": "", "IHCFr-species-checked": "predicted", "IHCFr-species-dilution-info": "", "IHCFr-species-notes": "" } } }

Properties and storage information

Form
Liquid
Purification technique
Affinity purification Immunogen
Storage buffer
pH: 7 Preservative: 0.01% Thimerosal (merthiolate) Constituents: 20% Glycerol (glycerin, glycerine), 1.21% Tris, 0.75% Glycine
Shipped at conditions
Blue Ice
Appropriate short-term storage duration
1-2 weeks
Appropriate short-term storage conditions
+4°C
Appropriate long-term storage conditions
-20°C
Aliquoting information
Upon delivery aliquot
Storage information
Avoid freeze / thaw cycle

Supplementary information

This supplementary information is collated from multiple sources and compiled automatically.

SNAP25 also known as Synaptosomal-associated protein 25 plays a critical role in neurotransmitter release through its involvement in the vesicle fusion process. It is part of the SNARE complex and is essential for the docking and fusion of synaptic vesicles with the presynaptic membrane. The protein is approximately 25 kDa in mass and is expressed abundantly in neurons within the central nervous system. Among its various synonyms you may encounter 'protein SNAP' in some literature.
Biological function summary

SNARE proteins mediate the fusion of transport vesicles with their target membranes. SNAP25 as part of this complex facilitates synaptic-vesicle exocytosis by forming a tight complex with syntaxin and VAMP (also called synaptobrevin). This interaction promotes the merging of vesicle and plasma membranes enabling efficient neurotransmitter release into the synaptic cleft. SNAP25 undergoes dynamic regulation and modification which is important for precise synaptic function.

Pathways

One observes SNAP25's integration in the process of neurotransmitter release specifically in the exocytosis pathway. It associates closely with other SNARE proteins such as syntaxin-1 and VAMP-2 embodying a core element in synaptic signaling mechanisms. The proper functioning of SNAP25 within this pathway assures the controlled release of neurotransmitters influencing synaptic plasticity and communication.

SNAP25 exhibits strong associations with conditions such as Attention Deficit Hyperactivity Disorder (ADHD) and epilepsy. Variants and dysregulation in SNAP25 have been linked to problems in synaptic transmission which can contribute to these neurological disorders. The protein also interacts with other SNARE complex proteins such as syntaxin which can potentially mediate its role in disease pathogenesis. Understanding these interactions offers insights into therapeutic targets for neurological disorders involving SNAP25.

Product protocols

For this product, it's our understanding that no specific protocols are required. You can visit:

Target data

t-SNARE involved in the molecular regulation of neurotransmitter release. May play an important role in the synaptic function of specific neuronal systems. Associates with proteins involved in vesicle docking and membrane fusion. Regulates plasma membrane recycling through its interaction with CENPF. Modulates the gating characteristics of the delayed rectifier voltage-dependent potassium channel KCNB1 in pancreatic beta cells.
See full target information SNAP25

Publications (1)

Recent publications for all applications. Explore the full list and refine your search

Frontiers in cardiovascular medicine 9:1062695 PubMed36568562

2022

Large-conductance Ca-activated K channel β1-subunit maintains the contractile phenotype of vascular smooth muscle cells.

Applications

Unspecified application

Species

Unspecified reactive species

Meili Wang,Shuanglei Li,Hongshan Liu,Mingyuan Liu,Jin Zhang,Yang Wu,Cangsong Xiao,Haixia Huang
View all publications

Product promise

We are committed to supporting your work with high-quality reagents, and we're here for you every step of the way. In the unlikely event that one of our products does not perform as expected, you're protected by our Product Promise.
For full details, please see our Terms & Conditions

Please note: All products are 'FOR RESEARCH USE ONLY. NOT FOR USE IN DIAGNOSTIC OR THERAPEUTIC PROCEDURES'.

For licensing inquiries, please contact partnerships@abcam.com