JavaScript is disabled in your browser. Please enable JavaScript to view this website.
AB226046

Anti-SNAP25 antibody [EP3274] - BSA and Azide free

  • BOND RX™ Validated
  • RabMAb
  • Recombinant
  • KO Validated
  • What is this?

4

(1 Review)

|

(0 Publication)

Anti-SNAP25 antibody [EP3274] - BSA and Azide free (ab226046) is a rabbit recombinant monoclonal antibody provided in a PBS only buffer for easy conjugation detecting SNAP25 in Western Blot, IHC-P. Suitable for Human, Mouse, Rat.

- KO validated for confirmed specificity
- BSA, sodium azide, and glycerol-free for easy conjugation
- Biophysical QC for unrivalled batch-batch consistency

View Alternative Names

SNAP, SNAP25, Synaptosomal-associated protein 25, SNAP-25, Super protein, Synaptosomal-associated 25 kDa protein, SUP

7 Images
Western blot - Anti-SNAP25 antibody [EP3274] - BSA and Azide free (AB226046)
  • WB

Lab

Western blot - Anti-SNAP25 antibody [EP3274] - BSA and Azide free (AB226046)

False colour image of Western blot : Anti-SNAP25 antibody [EP3274] staining at 1/1000 dilution, shown in green; loading control ab7291 (Mouse anti-Alpha Tubulin [DM1A]) staining at 1/20000 dilution, shown in red. In Western blot, ab108990 was shown to bind specifically to SNAP25. A band was observed at 27 kDa in wild-type SH-SY5Y cell lysates with no signal observed at this size in SNAP25 knockout cell line ab280041 (knockout cell lysate ab280100). To generate this image, wild-type and SNAP25 knockout SH-SY5Y cell lysates were analysed. First, samples were run on an SDS-PAGE gel then transferred onto a nitrocellulose membrane. Membranes were blocked in 3 % milk in TBS-0.1 % Tween® 20 (TBS-T) before incubation with primary antibodies overnight at 4 °C. Blots were washed four times in TBS-T, incubated with secondary antibodies for 1 h at room temperature, washed again four times then imaged. Secondary antibodies used were Goat anti-Rabbit IgG H&L (IRDye® 800CW) preabsorbed (ab216773) and Goat anti-Mouse IgG H&L (IRDye® 680RD) preabsorbed (ab216776) at 1/20000 dilution.

All lanes:

Western blot - Anti-SNAP25 antibody [EP3274] (<a href='/en-us/products/primary-antibodies/snap25-antibody-ep3274-ab108990'>ab108990</a>) at 1/1000 dilution

Lane 1:

Wild-type SH-SY5Y cell lysate at 20 µg

Lane 2:

SNAP25 knockout SH-SY5Y cell lysate at 20 µg

Lane 2:

Western blot - Human SNAP25 knockout SH-SY5Y cell line (<a href='/en-us/products/cell-lines/human-snap25-knockout-sh-sy5y-cell-line-ab280041'>ab280041</a>)

Lane 3:

Neuro-2a cell lysate at 20 µg

Lane 4:

K562 cell lysate at 20 µg

Predicted band size: 23 kDa

Observed band size: 27 kDa

false

Immunohistochemistry (Formalin/PFA-fixed paraffin-embedded sections) - Anti-SNAP25 antibody [EP3274] - BSA and Azide free (AB226046)
  • IHC-P

Lab

Immunohistochemistry (Formalin/PFA-fixed paraffin-embedded sections) - Anti-SNAP25 antibody [EP3274] - BSA and Azide free (AB226046)

This data was developed using ab108990, the same antibody clone in a different buffer formulation.

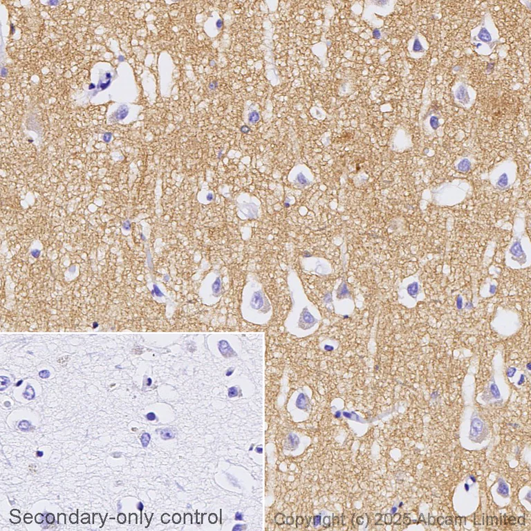
Immunohistochemical analysis of paraffin-embedded human Alzheimer's brain tissue* labelling SNAP25 with ab108990 at 1ug/ml followed by a ready to use LeicaDS9800 (Bond Polymer Refine Detection).

Positive staining in human Alzheimer's brain.

The section was incubated with ab108990 for 30 mins at room temperature. The immunostaining was performed on a Leica Biosystems BOND® RX instrument. Counterstained with Hematoxylin.

Secondary antibody only control : Secondary antibody is a ready to use LeicaDS9800 (Bond Polymer Refine Detection).

Heat mediated antigen retrieval with sodium citrate buffer (pH 6.0 epitope retrieval solution1) for 20 mins.

*Tissue obtained from the Human Research Tissue Bank, supported by the NIHR Cambridge Biomedical Research Centre.

Immunohistochemistry (Formalin/PFA-fixed paraffin-embedded sections) - Anti-SNAP25 antibody [EP3274] - BSA and Azide free (AB226046)
  • IHC-P

Unknown

Immunohistochemistry (Formalin/PFA-fixed paraffin-embedded sections) - Anti-SNAP25 antibody [EP3274] - BSA and Azide free (AB226046)

ab108990 showing negative staining in Normal spleen tissue.

This data was developed using the same antibody clone in a different buffer formulation containing PBS, BSA, glycerol, and sodium azide (ab108990).

Immunohistochemistry (Formalin/PFA-fixed paraffin-embedded sections) - Anti-SNAP25 antibody [EP3274] - BSA and Azide free (AB226046)
  • IHC-P

Unknown

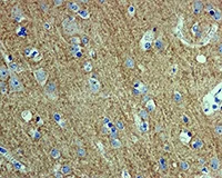
Immunohistochemistry (Formalin/PFA-fixed paraffin-embedded sections) - Anti-SNAP25 antibody [EP3274] - BSA and Azide free (AB226046)

ab108990, at 1/100 dilution, staining SNAP25 in paraffin-embedded Human cerebellum tissue by Immunohistochemistry.This data was developed using the same antibody clone in a different buffer formulation containing PBS, BSA, glycerol, and sodium azide (ab108990).

Immunohistochemistry (Formalin/PFA-fixed paraffin-embedded sections) - Anti-SNAP25 antibody [EP3274] - BSA and Azide free (AB226046)
  • IHC-P

Unknown

Immunohistochemistry (Formalin/PFA-fixed paraffin-embedded sections) - Anti-SNAP25 antibody [EP3274] - BSA and Azide free (AB226046)

ab108990 showing negative staining in Normal colon tissue.

This data was developed using the same antibody clone in a different buffer formulation containing PBS, BSA, glycerol, and sodium azide (ab108990).

Immunohistochemistry (Formalin/PFA-fixed paraffin-embedded sections) - Anti-SNAP25 antibody [EP3274] - BSA and Azide free (AB226046)
  • IHC-P

Unknown

Immunohistochemistry (Formalin/PFA-fixed paraffin-embedded sections) - Anti-SNAP25 antibody [EP3274] - BSA and Azide free (AB226046)

ab108990, at 1/100 dilution, staining SNAP25 in paraffin-embedded Human brain tissue by Immunohistochemistry.This data was developed using the same antibody clone in a different buffer formulation containing PBS, BSA, glycerol, and sodium azide (ab108990).

Immunohistochemistry (Formalin/PFA-fixed paraffin-embedded sections) - Anti-SNAP25 antibody [EP3274] - BSA and Azide free (AB226046)
  • IHC-P

Unknown

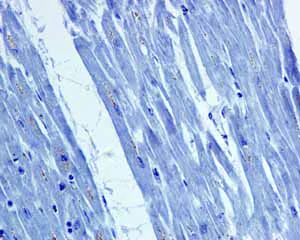
Immunohistochemistry (Formalin/PFA-fixed paraffin-embedded sections) - Anti-SNAP25 antibody [EP3274] - BSA and Azide free (AB226046)

ab108990 showing negative staining in Skeletal muscle tissue.

This data was developed using the same antibody clone in a different buffer formulation containing PBS, BSA, glycerol, and sodium azide (ab108990).

Key facts

Host species

Rabbit

Clonality

Monoclonal

Clone number

EP3274

Isotype

IgG

Carrier free

Yes

Reacts with

Mouse, Rat, Human

Applications

IHC-P, WB

applications

Immunogen

The exact immunogen used to generate this antibody is proprietary information.

Reactivity data

{ "title": "Reactivity Data", "filters": { "stats": ["", "Species", "Dilution Info", "Notes"], "tabs": { "all-applications": {"fullname" : "All Applications", "shortname": "All Applications"}, "IHCP" : {"fullname" : "Immunohistochemistry (Formalin/PFA-fixed paraffin-embedded sections)", "shortname":"IHC-P"}, "IP" : {"fullname" : "Immunoprecipitation", "shortname":"IP"}, "FlowCyt" : {"fullname" : "Flow Cytometry", "shortname":"Flow Cyt"}, "WB" : {"fullname" : "Western blot", "shortname":"WB"} }, "product-promise": { "all": "all", "testedAndGuaranteed": "tested", "guaranteed": "expected", "predicted": "predicted", "notRecommended": "not-recommended" } }, "values": { "Human": { "IHCP-species-checked": "testedAndGuaranteed", "IHCP-species-dilution-info": "", "IHCP-species-notes": "<p>Antigen retrieval is recommended.</p>", "IP-species-checked": "notRecommended", "IP-species-dilution-info": "", "IP-species-notes": "<p></p>", "FlowCyt-species-checked": "notRecommended", "FlowCyt-species-dilution-info": "", "FlowCyt-species-notes": "<p></p>", "WB-species-checked": "testedAndGuaranteed", "WB-species-dilution-info": "", "WB-species-notes": "<p></p>" }, "Mouse": { "IHCP-species-checked": "guaranteed", "IHCP-species-dilution-info": "", "IHCP-species-notes": "", "IP-species-checked": "notRecommended", "IP-species-dilution-info": "", "IP-species-notes": "", "FlowCyt-species-checked": "notRecommended", "FlowCyt-species-dilution-info": "", "FlowCyt-species-notes": "<p></p>", "WB-species-checked": "testedAndGuaranteed", "WB-species-dilution-info": "", "WB-species-notes": "<p></p>" }, "Rat": { "IHCP-species-checked": "guaranteed", "IHCP-species-dilution-info": "", "IHCP-species-notes": "", "IP-species-checked": "notRecommended", "IP-species-dilution-info": "", "IP-species-notes": "", "FlowCyt-species-checked": "notRecommended", "FlowCyt-species-dilution-info": "", "FlowCyt-species-notes": "", "WB-species-checked": "testedAndGuaranteed", "WB-species-dilution-info": "", "WB-species-notes": "<p></p>" } } }

Product details

Product Specifications
Anti-SNAP25 antibody [EP3274] - BSA and Azide free (ab226046) is a recombinant rabbit monoclonal antibody which was developed by Abcam using patented rabbit monoclonal antibody technology.
ab226046 is provided in a carrier-free, conjugation ready format, and is validated in IHC-P, WB in human, mouse, rat samples.
Carrier-free antibodies are compatible with our best-in-class range of Lightning-Link® conjugation kits.
Anti-SNAP25 antibody [EP3274] - BSA and Azide free (ab226046) specifically detects SNAP25 (UniProt ID: P60880; Molecular weight: 23kDa) and is sold in 100 ug and 1mg selling sizes.

Quality and Validation
The specificity of Anti-SNAP25 antibody [EP3274] - BSA and Azide free (ab226046) has been confirmed by testing in knockout samples.

Related Products
Antibody clone EP3274 is also available pre-conjugated to a variety of labels for your convenience - Alexa Fluor® 647,Alexa Fluor® 488 (ab207366, ab208379).

Patented technology
Our RabMAb® technology is a patented hybridoma-based technology for making rabbit monoclonal antibodies. For details on our patents, please refer to RabMAb® patents.

What are the advantages of a recombinant monoclonal antibody?
This product is a recombinant monoclonal antibody, which offers several advantages including:

  • - High batch-to-batch consistency and reproducibility
  • - Improved sensitivity and specificity
  • - Long-term security of supply
  • - Animal-free batch production

For more information, read more on recombinant antibodies.

Conjugation ready
Our carrier-free antibodies are typically supplied in a PBS-only formulation, purified and free of BSA, sodium azide and glycerol. This conjugation-ready format is designed for use with fluorochromes, metal isotopes, oligonucleotides, and enzymes, which makes them ideal for antibody labelling, functional and cell-based assays, flow-based assays (e.g. mass cytometry) and Multiplex Imaging applications.

Use our conjugation kits for antibody conjugates that are ready-to-use in as little as 20 minutes with 1 minute hands-on-time and 100% antibody recovery: available for fluorescent dyes, HRP, biotin and gold.

Compatibility
This product is compatible with the Maxpar® Antibody Labeling Kit from Fluidigm, without the need for antibody preparation. Maxpar® is a trademark of Fluidigm Canada Inc.

Properties and storage information

Form
Liquid
Purification technique
Affinity purification Protein A
Storage buffer
pH: 7.2 - 7.4 Constituents: PBS
Shipped at conditions
Blue Ice
Appropriate short-term storage conditions
+4°C
Appropriate long-term storage conditions
+4°C
Storage information
Do Not Freeze

Supplementary information

This supplementary information is collated from multiple sources and compiled automatically.

SNAP25 also known as Synaptosomal-associated protein 25 plays a critical role in neurotransmitter release through its involvement in the vesicle fusion process. It is part of the SNARE complex and is essential for the docking and fusion of synaptic vesicles with the presynaptic membrane. The protein is approximately 25 kDa in mass and is expressed abundantly in neurons within the central nervous system. Among its various synonyms you may encounter 'protein SNAP' in some literature.
Biological function summary

SNARE proteins mediate the fusion of transport vesicles with their target membranes. SNAP25 as part of this complex facilitates synaptic-vesicle exocytosis by forming a tight complex with syntaxin and VAMP (also called synaptobrevin). This interaction promotes the merging of vesicle and plasma membranes enabling efficient neurotransmitter release into the synaptic cleft. SNAP25 undergoes dynamic regulation and modification which is important for precise synaptic function.

Pathways

One observes SNAP25's integration in the process of neurotransmitter release specifically in the exocytosis pathway. It associates closely with other SNARE proteins such as syntaxin-1 and VAMP-2 embodying a core element in synaptic signaling mechanisms. The proper functioning of SNAP25 within this pathway assures the controlled release of neurotransmitters influencing synaptic plasticity and communication.

SNAP25 exhibits strong associations with conditions such as Attention Deficit Hyperactivity Disorder (ADHD) and epilepsy. Variants and dysregulation in SNAP25 have been linked to problems in synaptic transmission which can contribute to these neurological disorders. The protein also interacts with other SNARE complex proteins such as syntaxin which can potentially mediate its role in disease pathogenesis. Understanding these interactions offers insights into therapeutic targets for neurological disorders involving SNAP25.

Product protocols

For this product, it's our understanding that no specific protocols are required. You can visit:

Target data

t-SNARE involved in the molecular regulation of neurotransmitter release. May play an important role in the synaptic function of specific neuronal systems. Associates with proteins involved in vesicle docking and membrane fusion. Regulates plasma membrane recycling through its interaction with CENPF. Modulates the gating characteristics of the delayed rectifier voltage-dependent potassium channel KCNB1 in pancreatic beta cells.
See full target information SNAP25

Product promise

We are committed to supporting your work with high-quality reagents, and we're here for you every step of the way. In the unlikely event that one of our products does not perform as expected, you're protected by our Product Promise.
For full details, please see our Terms & Conditions

Please note: All products are 'FOR RESEARCH USE ONLY. NOT FOR USE IN DIAGNOSTIC OR THERAPEUTIC PROCEDURES'.

For licensing inquiries, please contact partnerships@abcam.com