JavaScript is disabled in your browser. Please enable JavaScript to view this website.
AB288428

Anti-SNAP25 antibody [SP12]

Be the first to review this product! Submit a review

|

(1 Publication)

Mouse Recombinant Monoclonal Chromogranin A antibody. Suitable for WB, IHC-P and reacts with Mouse, Rabbit samples. Cited in 1 publication.

View Alternative Names

Chromogranin-A, CgA, Pituitary secretory protein I, SP-I, CHGA

2 Images
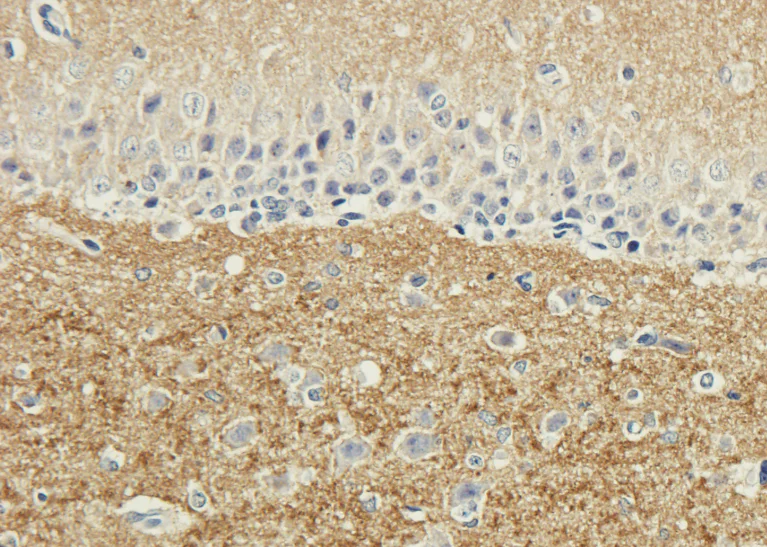
Immunohistochemistry (Formalin/PFA-fixed paraffin-embedded sections) - Anti-SNAP25 antibody [SP12] (AB288428)
  • IHC-P

Supplier Data

Immunohistochemistry (Formalin/PFA-fixed paraffin-embedded sections) - Anti-SNAP25 antibody [SP12] (AB288428)

Immunohistochemical staining of rabbit brain using ab288428 at 3μg/ml. Positive cytoplasmic staining for SNAP25 in rabbit brain.

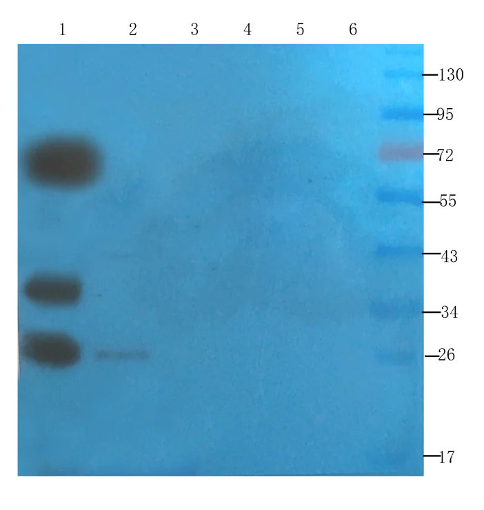
Western blot - Anti-SNAP25 antibody [SP12] (AB288428)
  • WB

Supplier Data

Western blot - Anti-SNAP25 antibody [SP12] (AB288428)

Western blot analysis using 12% SDS PAGE gel.

All lanes:

Western blot - Anti-SNAP25 antibody [SP12] (ab288428) at 2 µg/mL

Lane 1:

Mouse brain lysate

Lane 2:

Mouse rectum lysate

Lane 3:

Mouse pancreas lysate

Lane 4:

Human lung cancer cell lysate

Lane 5:

Human breast cancer cell lysate

Lane 6:

HeLa cell lysate

Predicted band size: 23 kDa

Observed band size: 23 kDa

false

Key facts

Host species

Mouse

Clonality

Monoclonal

Clone number

SP12

Isotype

IgG1

Light chain type

kappa

Carrier free

No

Reacts with

Rabbit, Mouse

Applications

IHC-P, WB

applications

Specificity

This antibody binds to native and denatured SNAP-25.

Reactivity data

{ "title": "Reactivity Data", "filters": { "stats": ["", "Species", "Dilution Info", "Notes"], "tabs": { "all-applications": {"fullname" : "All Applications", "shortname": "All Applications"}, "WB" : {"fullname" : "Western blot", "shortname":"WB"}, "IHCP" : {"fullname" : "Immunohistochemistry (Formalin/PFA-fixed paraffin-embedded sections)", "shortname":"IHC-P"} }, "product-promise": { "all": "all", "testedAndGuaranteed": "tested", "guaranteed": "expected", "predicted": "predicted", "notRecommended": "not-recommended" } }, "values": { "Mouse": { "WB-species-checked": "testedAndGuaranteed", "WB-species-dilution-info": "2 µg/mL", "WB-species-notes": "<p></p>", "IHCP-species-checked": "guaranteed", "IHCP-species-dilution-info": "", "IHCP-species-notes": "" }, "Rabbit": { "WB-species-checked": "guaranteed", "WB-species-dilution-info": "", "WB-species-notes": "", "IHCP-species-checked": "testedAndGuaranteed", "IHCP-species-dilution-info": "3 µg/mL", "IHCP-species-notes": "<p></p>" } } }

Properties and storage information

Form
Liquid
Purification technique
Affinity purification Protein A
Storage buffer
Preservative: 0.02% Proclin 300 Constituents: PBS
Shipped at conditions
Blue Ice
Appropriate short-term storage duration
1-2 weeks
Appropriate short-term storage conditions
+4°C
Appropriate long-term storage conditions
-20°C
Aliquoting information
Upon delivery aliquot
Storage information
Avoid freeze / thaw cycle

Supplementary information

This supplementary information is collated from multiple sources and compiled automatically.

SNAP25 also known as Synaptosomal-associated protein 25 plays a critical role in neurotransmitter release through its involvement in the vesicle fusion process. It is part of the SNARE complex and is essential for the docking and fusion of synaptic vesicles with the presynaptic membrane. The protein is approximately 25 kDa in mass and is expressed abundantly in neurons within the central nervous system. Among its various synonyms you may encounter 'protein SNAP' in some literature.
Biological function summary

SNARE proteins mediate the fusion of transport vesicles with their target membranes. SNAP25 as part of this complex facilitates synaptic-vesicle exocytosis by forming a tight complex with syntaxin and VAMP (also called synaptobrevin). This interaction promotes the merging of vesicle and plasma membranes enabling efficient neurotransmitter release into the synaptic cleft. SNAP25 undergoes dynamic regulation and modification which is important for precise synaptic function.

Pathways

One observes SNAP25's integration in the process of neurotransmitter release specifically in the exocytosis pathway. It associates closely with other SNARE proteins such as syntaxin-1 and VAMP-2 embodying a core element in synaptic signaling mechanisms. The proper functioning of SNAP25 within this pathway assures the controlled release of neurotransmitters influencing synaptic plasticity and communication.

SNAP25 exhibits strong associations with conditions such as Attention Deficit Hyperactivity Disorder (ADHD) and epilepsy. Variants and dysregulation in SNAP25 have been linked to problems in synaptic transmission which can contribute to these neurological disorders. The protein also interacts with other SNARE complex proteins such as syntaxin which can potentially mediate its role in disease pathogenesis. Understanding these interactions offers insights into therapeutic targets for neurological disorders involving SNAP25.

Product protocols

For this product, it's our understanding that no specific protocols are required. You can visit:

Target data

Pancreastatin. Strongly inhibits glucose induced insulin release from the pancreas.. Catestatin. Inhibits catecholamine release from chromaffin cells and noradrenergic neurons by acting as a non-competitive nicotinic cholinergic antagonist (PubMed : 15326220). Displays antibacterial activity against Gram-positive bacteria S.aureus and M.luteus, and Gram-negative bacteria E.coli and P.aeruginosa (PubMed : 15723172, PubMed : 24723458). Can induce mast cell migration, degranulation and production of cytokines and chemokines (PubMed : 21214543). Acts as a potent scavenger of free radicals in vitro (PubMed : 24723458). May play a role in the regulation of cardiac function and blood pressure (PubMed : 18541522).. Serpinin. Regulates granule biogenesis in endocrine cells by up-regulating the transcription of protease nexin 1 (SERPINE2) via a cAMP-PKA-SP1 pathway. This leads to inhibition of granule protein degradation in the Golgi complex which in turn promotes granule formation.
See full target information CHGA

Publications (1)

Recent publications for all applications. Explore the full list and refine your search

Brain research 667:24-32 PubMed7895080

1994

Synapse alterations in the hippocampal-entorhinal formation in Alzheimer's disease with and without Lewy body disease.

Applications

Unspecified application

Species

Unspecified reactive species

K Wakabayashi,W G Honer,E Masliah
View all publications

Product promise

We are committed to supporting your work with high-quality reagents, and we're here for you every step of the way. In the unlikely event that one of our products does not perform as expected, you're protected by our Product Promise.
For full details, please see our Terms & Conditions

Please note: All products are 'FOR RESEARCH USE ONLY. NOT FOR USE IN DIAGNOSTIC OR THERAPEUTIC PROCEDURES'.

For licensing inquiries, please contact partnerships@abcam.com