JavaScript is disabled in your browser. Please enable JavaScript to view this website.
AB308182

Anti-SNAP91 antibody [HL1657]

Be the first to review this product! Submit a review

|

(0 Publication)

Rabbit Recombinant Monoclonal Snap91 antibody. Carrier free. Suitable for WB, IHC-P and reacts with Rat, Human, Mouse, Cat samples.
6 Images
Immunohistochemistry paraffin embedded sections - Anti-SNAP91 antibody [HL1657] (AB308182)
  • IHC-P

Supplier Data

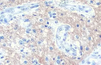
Immunohistochemistry paraffin embedded sections - Anti-SNAP91 antibody [HL1657] (AB308182)

Immunohistochemical analysis of paraffin-embedded human glioblastoma labeling SNAP91 protein with ab308182 at 1/100 dilution. Heat mediated antigen retrieval was performed with citrate buffer pH 6.0 for 15 mins.

Western blot - Anti-SNAP91 antibody [HL1657] (AB308182)
  • WB

Supplier Data

Western blot - Anti-SNAP91 antibody [HL1657] (AB308182)

Separated by 7.5% SDS-PAGE.

All lanes:

Western blot - Anti-SNAP91 antibody [HL1657] (ab308182) at 1/1000 dilution

All lanes:

Human brain tissue lysate at 30 µg

Secondary

All lanes:

HRP-conjugated anti-rabbit IgG antibody

Predicted band size: 91.9 kDa

false

Western blot - Anti-SNAP91 antibody [HL1657] (AB308182)
  • WB

Supplier Data

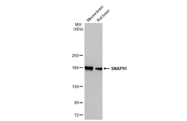
Western blot - Anti-SNAP91 antibody [HL1657] (AB308182)

Various tissue extracts (50 μg) were separated by 5% SDS-PAGE, and the membrane was blotted with SNAP91 antibody [HL1657] (ab308182) diluted at 1/1000. A HRP-conjugated anti-rabbit IgG antibody was used to detect the primary antibody.

All lanes:

Western blot - Anti-SNAP91 antibody [HL1657] (ab308182) at 1/1000 dilution

Lane 1:

Mouse brain tissue lysate at 50 µg

Lane 2:

Rat brain tissue lysate at 50 µg

Secondary

All lanes:

HRP-conjugated anti-rabbit IgG antibody

Predicted band size: 91.9 kDa

false

Western blot - Anti-SNAP91 antibody [HL1657] (AB308182)
  • WB

Supplier Data

Western blot - Anti-SNAP91 antibody [HL1657] (AB308182)

Separated by 7.5% SDS-PAGE.

All lanes:

Western blot - Anti-SNAP91 antibody [HL1657] (ab308182) at 1/1000 dilution

All lanes:

Rat brain tissue lysate at 50 µg

Secondary

All lanes:

HRP-conjugated anti-rabbit IgG antibody

Predicted band size: 91.9 kDa

false

Western blot - Anti-SNAP91 antibody [HL1657] (AB308182)
  • WB

Supplier Data

Western blot - Anti-SNAP91 antibody [HL1657] (AB308182)

All lanes:

Western blot - Anti-SNAP91 antibody [HL1657] (ab308182) at 1/1000 dilution

All lanes:

Mouse brain tissue lysate at 50 µg

Secondary

All lanes:

HRP-conjugated anti-rabbit IgG antibody

Predicted band size: 91.9 kDa

false

Immunohistochemistry (Formalin/PFA-fixed paraffin-embedded sections) - Anti-SNAP91 antibody [HL1657] (AB308182)
  • IHC-P

Supplier Data

Immunohistochemistry (Formalin/PFA-fixed paraffin-embedded sections) - Anti-SNAP91 antibody [HL1657] (AB308182)

Immunohistochemical analysis of paraffin-embedded cat brain tissue labelling SNAP91 with ab308182 at 1/100 dilution.

Antigen Retrieval : Citrate buffer, pH 6.0, 15 min

Key facts

Host species

Rabbit

Clonality

Monoclonal

Clone number

HL1657

Isotype

IgG

Carrier free

Yes

Reacts with

Rat, Human, Mouse, Cat

Applications

IHC-P, WB

applications

Reactivity data

{ "title": "Reactivity Data", "filters": { "stats": ["", "Species", "Dilution Info", "Notes"], "tabs": { "all-applications": {"fullname" : "All Applications", "shortname": "All Applications"}, "WB" : {"fullname" : "Western blot", "shortname":"WB"}, "IHCP" : {"fullname" : "Immunohistochemistry (Formalin/PFA-fixed paraffin-embedded sections)", "shortname":"IHC-P"} }, "product-promise": { "all": "all", "testedAndGuaranteed": "tested", "guaranteed": "expected", "predicted": "predicted", "notRecommended": "not-recommended" } }, "values": { "Human": { "WB-species-checked": "testedAndGuaranteed", "WB-species-dilution-info": "1/1000", "WB-species-notes": "<p></p>", "IHCP-species-checked": "testedAndGuaranteed", "IHCP-species-dilution-info": "1/100", "IHCP-species-notes": "<p></p> Perform heat-mediated antigen retrieval with citrate buffer pH 6 before commencing with IHC staining protocol." }, "Mouse": { "WB-species-checked": "testedAndGuaranteed", "WB-species-dilution-info": "1/1000", "WB-species-notes": "<p></p>", "IHCP-species-checked": "guaranteed", "IHCP-species-dilution-info": "", "IHCP-species-notes": "" }, "Rat": { "WB-species-checked": "testedAndGuaranteed", "WB-species-dilution-info": "1/1000", "WB-species-notes": "<p></p>", "IHCP-species-checked": "guaranteed", "IHCP-species-dilution-info": "", "IHCP-species-notes": "" }, "Cat": { "WB-species-checked": "guaranteed", "WB-species-dilution-info": "", "WB-species-notes": "", "IHCP-species-checked": "testedAndGuaranteed", "IHCP-species-dilution-info": "1/100", "IHCP-species-notes": "<p></p> Perform heat-mediated antigen retrieval with citrate buffer pH 6 before commencing with IHC staining protocol." } } }

Product details

What are the advantages of a recombinant monoclonal antibody?
This product is a recombinant monoclonal antibody, which offers several advantages including:

  • - High batch-to-batch consistency and reproducibility
  • - Improved sensitivity and specificity
  • - Long-term security of supply
  • - Animal-free batch production

For more information, read more on recombinant antibodies.

Conjugation ready
Our carrier-free antibodies are typically supplied in a PBS-only formulation, purified and free of BSA, sodium azide and glycerol. This conjugation-ready format is designed for use with fluorochromes, metal isotopes, oligonucleotides, and enzymes, which makes them ideal for antibody labelling, functional and cell-based assays, flow-based assays (e.g. mass cytometry) and Multiplex Imaging applications.

Use our conjugation kits for antibody conjugates that are ready-to-use in as little as 20 minutes with 1 minute hands-on-time and 100% antibody recovery: available for fluorescent dyes, HRP, biotin and gold.

Properties and storage information

Form
Liquid
Purification technique
Affinity purification Protein A
Storage buffer
pH: 7.4 Constituents: PBS
Shipped at conditions
Blue Ice
Appropriate short-term storage duration
1-2 weeks
Appropriate short-term storage conditions
+4°C
Appropriate long-term storage conditions
+4°C
Aliquoting information
Upon delivery aliquot
Storage information
Avoid freeze / thaw cycle

Supplementary information

This supplementary information is collated from multiple sources and compiled automatically.

AP180 also known as AP3K is a protein with a mass of about 90 kDa that has essential roles in endocytosis and synaptic vesicle recycling. This protein is expressed in the nervous system particularly in the brain. AP180 regulates clathrin-coated vesicle formation by facilitating the assembly of clathrin coats on vesicles. It interacts with clathrin through a specific domain ensuring that vesicles have the necessary structural components to capture and transport neurotransmitters effectively.
Biological function summary

AP180 ensures proper functioning of synaptic transmission by assisting in the regulation of vesicle trafficking. It forms part of a complex required for vesicle budding from the plasma membrane. AP180's ability to bind clathrin with high specificity and affinity makes it indispensable for maintaining the vesicular system's integrity. The protein participates in assembling clathrin lattices which are fundamental for creating adequately-sized synaptic vesicles critical for efficient neurotransmission.

Pathways

AP180 integrates into the synaptic vesicle cycle and endocytic pathway thereby influencing neural communication. In the context of the synaptic vesicle cycle AP180 works closely with proteins like synaptotagmin and synaptophysin for efficient neurotransmitter release and recycling. It also interacts within the endocytic pathway to regulate membrane retrieval an action important in synapses where neurotransmitter availability depends on this fast recycling process. These interactions highlight AP180's central role in maintaining synaptic function and stability.

AP180 connects to cognitive disorders and neurodegenerative diseases. Its malfunction might contribute to cognitive impairments as observed in Alzheimer's disease models due to its pivotal role in synaptic vesicle recycling and transmission. Moreover abnormalities in AP180 could influence Parkinson's disease pathways given its interaction with other synaptic proteins such as alpha-synuclein which is implicated in the disease. Therefore AP180 represents a significant target for understanding synaptic dysregulation in these neurodegenerative conditions.

Product protocols

For this product, it's our understanding that no specific protocols are required. You can visit:

Product promise

We are committed to supporting your work with high-quality reagents, and we're here for you every step of the way. In the unlikely event that one of our products does not perform as expected, you're protected by our Product Promise.
For full details, please see our Terms & Conditions

Please note: All products are 'FOR RESEARCH USE ONLY. NOT FOR USE IN DIAGNOSTIC OR THERAPEUTIC PROCEDURES'.

For licensing inquiries, please contact partnerships@abcam.com