JavaScript is disabled in your browser. Please enable JavaScript to view this website.
AB254583

Anti-SNAPIN antibody

Be the first to review this product! Submit a review

|

(1 Publication)

Rabbit Polyclonal SNAPIN antibody. Suitable for IHC-P, ICC/IF and reacts with Human samples. Cited in 1 publication. Immunogen corresponding to Recombinant Fragment Protein within Human SNAPIN aa 1 to C-terminus.

View Alternative Names

BLOC1S7, SNAP25BP, SNAPAP, SNAPIN, SNARE-associated protein Snapin, Biogenesis of lysosome-related organelles complex 1 subunit 7, Synaptosomal-associated protein 25-binding protein, BLOC-1 subunit 7, SNAP-associated protein

2 Images
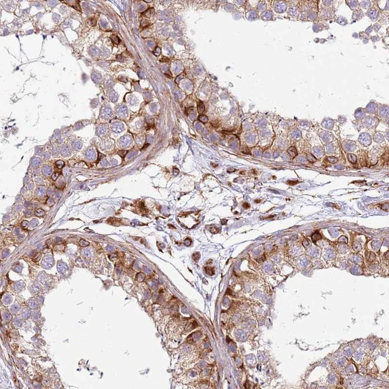
Immunohistochemistry (Formalin/PFA-fixed paraffin-embedded sections) - Anti-SNAPIN antibody (AB254583)
  • IHC-P

Unknown

Immunohistochemistry (Formalin/PFA-fixed paraffin-embedded sections) - Anti-SNAPIN antibody (AB254583)

Paraffin-embedded human testis tissue stained for SNAPIN using ab254583 at 1/50 dilution in immunohistochemical analysis.

Immunocytochemistry/ Immunofluorescence - Anti-SNAPIN antibody (AB254583)
  • ICC/IF

Unknown

Immunocytochemistry/ Immunofluorescence - Anti-SNAPIN antibody (AB254583)

PFA fixed, Triton X-100 permeabilized A-431 (Human epidermoid carcinoma cell line) cells labeling SNAPIN using ab254583 at 4µg/ml (green) in ICC/IF.

Key facts

Host species

Rabbit

Clonality

Polyclonal

Isotype

IgG

Carrier free

No

Reacts with

Human

Applications

ICC/IF, IHC-P

applications

Immunogen

Recombinant Fragment Protein within Human SNAPIN aa 1 to C-terminus. The exact immunogen used to generate this antibody is proprietary information.

O95295

Reactivity data

{ "title": "Reactivity Data", "filters": { "stats": ["", "Species", "Dilution Info", "Notes"], "tabs": { "all-applications": {"fullname" : "All Applications", "shortname": "All Applications"}, "IHCP" : {"fullname" : "Immunohistochemistry (Formalin/PFA-fixed paraffin-embedded sections)", "shortname":"IHC-P"}, "ICCIF" : {"fullname" : "Immunocytochemistry/ Immunofluorescence", "shortname":"ICC/IF"} }, "product-promise": { "all": "all", "testedAndGuaranteed": "tested", "guaranteed": "expected", "predicted": "predicted", "notRecommended": "not-recommended" } }, "values": { "Human": { "IHCP-species-checked": "testedAndGuaranteed", "IHCP-species-dilution-info": "1/50 - 1/200", "IHCP-species-notes": "<p></p> Perform heat-mediated antigen retrieval with citrate buffer pH 6 before commencing with IHC staining protocol.", "ICCIF-species-checked": "testedAndGuaranteed", "ICCIF-species-dilution-info": "0.25-2 µg/mL", "ICCIF-species-notes": "<p>Fixation/Permeabilization: PFA/Triton X-100.</p>" }, "Mouse": { "IHCP-species-checked": "predicted", "IHCP-species-dilution-info": "", "IHCP-species-notes": "", "ICCIF-species-checked": "predicted", "ICCIF-species-dilution-info": "", "ICCIF-species-notes": "" }, "Rat": { "IHCP-species-checked": "predicted", "IHCP-species-dilution-info": "", "IHCP-species-notes": "", "ICCIF-species-checked": "predicted", "ICCIF-species-dilution-info": "", "ICCIF-species-notes": "" } } }

Properties and storage information

Form
Liquid
Purification technique
Affinity purification Immunogen
Storage buffer
pH: 7.2 Preservative: 0.02% Sodium azide Constituents: PBS, 40% Glycerol (glycerin, glycerine)
Shipped at conditions
Blue Ice
Appropriate short-term storage duration
1-2 weeks
Appropriate short-term storage conditions
+4°C
Appropriate long-term storage conditions
-20°C
Aliquoting information
Upon delivery aliquot
Storage information
Avoid freeze / thaw cycle

Supplementary information

This supplementary information is collated from multiple sources and compiled automatically.

SNAPIN also known as SNAP25-interacting protein has an approximate mass of 15 kDa and functions mechanically by interacting with the SNARE complex an important structure in vesicular trafficking. It binds directly to the SNAP25 protein facilitating synaptic vesicle docking and neurotransmitter release at the synapse. Expression of SNAPIN is widespread throughout neuronal tissues and other cell types indicating its role in cellular communication processes.
Biological function summary

SNAPIN enhances the efficiency of synaptic transmission and vesicle fusion processes. It integrates into the SNARE complex where it stabilizes this multi-protein assembly essential for neurotransmitter release. By bridging interactions between SNAP25 and synaptic vesicles SNAPIN helps bridge essential synapse communication modulating the synaptic transmission needed for effective neuron signaling.

Pathways

SNAPIN participates in the synaptic vesicle cycle and neurotransmitter release pathways. It works closely in tandem with proteins such as Synaptotagmin and Synaptobrevin which are vital players in the SNARE complex responsible for membrane fusion. By modulating neurotransmitter release SNAPIN contributes to synaptic plasticity and response to neurological stimuli linking it to broader neurological signaling pathways.

Dysfunction of SNAPIN can relate to neurodegenerative diseases including Alzheimer's disease due to its role in neurotransmitter release and synaptic function. Misregulation of SNAPIN function might also implicate it in psychiatric disorders such as schizophrenia where synaptic communication deficits are present. Additionally its involvement with SNAP25 in the SNARE complex associates it with these diseases and potential disruptions in SNARE-associated pathways and synaptic communication.

Product protocols

For this product, it's our understanding that no specific protocols are required. You can visit:

Target data

Component of the BLOC-1 complex, a complex that is required for normal biogenesis of lysosome-related organelles (LRO), such as platelet dense granules and melanosomes. In concert with the AP-3 complex, the BLOC-1 complex is required to target membrane protein cargos into vesicles assembled at cell bodies for delivery into neurites and nerve terminals. The BLOC-1 complex, in association with SNARE proteins, is also proposed to be involved in neurite extension. Plays a role in intracellular vesicle trafficking and synaptic vesicle recycling. May modulate a step between vesicle priming, fusion and calcium-dependent neurotransmitter release through its ability to potentiate the interaction of synaptotagmin with the SNAREs and the plasma-membrane-associated protein SNAP25. Its phosphorylation state influences exocytotic protein interactions and may regulate synaptic vesicle exocytosis. May also have a role in the mechanisms of SNARE-mediated membrane fusion in non-neuronal cells (PubMed : 17182842, PubMed : 18167355). As part of the BORC complex may play a role in lysosomes movement and localization at the cell periphery. Associated with the cytosolic face of lysosomes, the BORC complex may recruit ARL8B and couple lysosomes to microtubule plus-end-directed kinesin motor (PubMed : 25898167).
See full target information SNAPIN

Publications (1)

Recent publications for all applications. Explore the full list and refine your search

Cancers 13: PubMed34771722

2021

VISTA Is a Diagnostic Biomarker and Immunotherapy Target of Aggressive Feline Mammary Carcinoma Subtypes.

Applications

Unspecified application

Species

Unspecified reactive species

Andreia Gameiro,Catarina Nascimento,Jorge Correia,Fernando Ferreira
View all publications

Product promise

We are committed to supporting your work with high-quality reagents, and we're here for you every step of the way. In the unlikely event that one of our products does not perform as expected, you're protected by our Product Promise.
For full details, please see our Terms & Conditions

Please note: All products are 'FOR RESEARCH USE ONLY. NOT FOR USE IN DIAGNOSTIC OR THERAPEUTIC PROCEDURES'.

For licensing inquiries, please contact partnerships@abcam.com